Artificial Intelligence Approaches for Medical Diagnostics in the USA
A special issue of Diagnostics (ISSN 2075-4418). This special issue belongs to the section "Machine Learning and Artificial Intelligence in Diagnostics".
Deadline for manuscript submissions: 31 May 2026 | Viewed by 4301
Special Issue Editors
Interests: deformable image registration; image segmentation; quantitative imaging biomarkers for MR-guided adaptive radiation therapy
Special Issues, Collections and Topics in MDPI journals
Special Issue Information
Dear Colleagues,
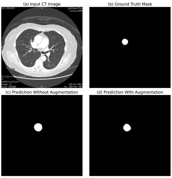
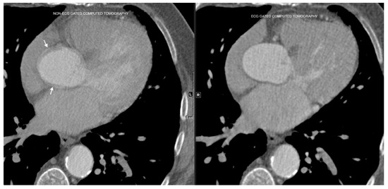
The integration of Artificial Intelligence (AI) into medical diagnostics has revolutionized healthcare in the United States, enhancing the accuracy, efficiency, and accessibility of diagnostic procedures. This Special Issue aims to highlight the latest advancements and research on the application of AI technologies to improve medical imaging diagnostic procedures. The focus includes cutting-edge AI applications in medical image computing, with particular emphasis on advancements in image segmentation, image registration, and quality enhancement. Additional topics include methodologies for artifact reduction, radiomics-based predictive analytics, and novel image reconstruction techniques. By highlighting these innovations, this issue underscores how AI is reshaping the diagnostic landscape in the USA, advancing precision diagnosis and fostering patient-centric care. Contributions are encouraged from multidisciplinary teams, including expertise in medical physics, computer science, and clinical practice, to accelerate the translation of AI innovations into clinical settings for patient care.
Dr. Jinzhong Yang
Guest Editor
Dr. Yao Zhao
Guest Editor Assistant
Manuscript Submission Information
Manuscripts should be submitted online at www.mdpi.com by registering and logging in to this website. Once you are registered, click here to go to the submission form. Manuscripts can be submitted until the deadline. All submissions that pass pre-check are peer-reviewed. Accepted papers will be published continuously in the journal (as soon as accepted) and will be listed together on the special issue website. Research articles, review articles as well as short communications are invited. For planned papers, a title and short abstract (about 250 words) can be sent to the Editorial Office for assessment.
Submitted manuscripts should not have been published previously, nor be under consideration for publication elsewhere (except conference proceedings papers). All manuscripts are thoroughly refereed through a single-blind peer-review process. A guide for authors and other relevant information for submission of manuscripts is available on the Instructions for Authors page. Diagnostics is an international peer-reviewed open access semimonthly journal published by MDPI.
Please visit the Instructions for Authors page before submitting a manuscript. The Article Processing Charge (APC) for publication in this open access journal is 2600 CHF (Swiss Francs). Submitted papers should be well formatted and use good English. Authors may use MDPI's English editing service prior to publication or during author revisions.
Keywords
- artificial intelligence
- medical image segmentation
- image registration
- image quality enhancement
- image artifact reduction
- radiomics
- image reconstruction
- deep learning in diagnostics
- AI-driven medical Imaging
- diagnostic accuracy
- diagnostic imaging innovations
Benefits of Publishing in a Special Issue
- Ease of navigation: Grouping papers by topic helps scholars navigate broad scope journals more efficiently.
- Greater discoverability: Special Issues support the reach and impact of scientific research. Articles in Special Issues are more discoverable and cited more frequently.
- Expansion of research network: Special Issues facilitate connections among authors, fostering scientific collaborations.
- External promotion: Articles in Special Issues are often promoted through the journal's social media, increasing their visibility.
- Reprint: MDPI Books provides the opportunity to republish successful Special Issues in book format, both online and in print.
Further information on MDPI's Special Issue policies can be found here.

