Recurrent Takotsubo Syndrome with Contemporary Brady- and Tachyarrhythmic Presentation
Abstract
Introduction
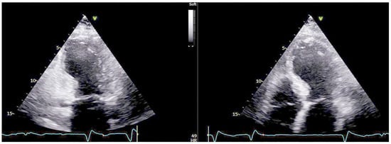
Case Description
Discussion
Author Contributions
Institutional Review Board Statement
Conflicts of Interest
References
- Ghadri, J.R.; Wittstein, I.S.; Prasad, A.; Sharkey, S.; Dote, K.; Akashi, Y.J.; et al. International Expert Consensus Document on Takotsubo Syndrome (Part II): Diagnostic Workup, Outcome, and Management. Eur Heart J. 2018, 39, 2047–2062. [Google Scholar] [CrossRef] [PubMed]
- Syed, F.F.; Asirvatham, S.J.; Francis, J. Arrhythmia occurrence with takotsubo cardiomyopathy: a literature review. Europace 2011, 13, 780–788. [Google Scholar] [CrossRef] [PubMed]
- Le, M.T.; Grimard, C.; Varenne, O.; Jakamy, R.; Rosencher, J. Tako-Tsubo cardiomyopathy and high-degree atrio-ventricular block: do we need to wait left ventricular function recovery to implant a pacemaker? Int J Cardiol. 2014, 176, e56–e59. [Google Scholar] [CrossRef] [PubMed]
- Vavilis, G.; Y-Hassan, S. Atrio-ventricular block and takotsubo syndrome: A review illustrated with two case reports. Clin Case Rep. 2022, 10, e05417. [Google Scholar] [CrossRef] [PubMed]
- Di Valentino, M.; Moccetti, M.; Previsdomini, M.; Biasco, L.; Menafoglio, A. A rare complication of electric cardioversion in an elderly patient “Electrical Takotsubo”. Cardiovasc Med. 2018, 21, 78–81. [Google Scholar]
- Ghadri, J.R.; Wittstein, I.S.; Prasad, A.; Sharkey, S.; Dote, K.; Akashi, Y.J.; et al. International Expert Consensus Document on Takotsubo Syndrome (Part I): Clinical Characteristics, Diagnostic Criteria, and Pathophysiology. Eur Heart J. 2018, 39, 2032–2046. [Google Scholar] [CrossRef] [PubMed]
- Singh, T.; Khan, H.; Gamble, D.T.; Scally, C.; Newby, D.E.; Dawson, D. Takotsubo Syndrome: Pathophysiology, Emerging Concepts, and Clinical Implications. Circulation Erratum in: Circulation. 2022, 145, e1053. 2022, 145, 1002–1019. [Google Scholar] [CrossRef] [PubMed]


© 2024 by the author. Attribution - Non-Commercial - NoDerivatives 4.0
Share and Cite
Demarchi, A.; Greco, L.; Regoli, F.; Valentino, M.D.; Amoruso, M.; Chiesa, A.F.; Pirroni, S.; Foletti, M.; Simone, A.D.; Sarzilla, S.; et al. Recurrent Takotsubo Syndrome with Contemporary Brady- and Tachyarrhythmic Presentation. Cardiovasc. Med. 2024, 27, 120. https://doi.org/10.4414/cvm.2024.1514199273
Demarchi A, Greco L, Regoli F, Valentino MD, Amoruso M, Chiesa AF, Pirroni S, Foletti M, Simone AD, Sarzilla S, et al. Recurrent Takotsubo Syndrome with Contemporary Brady- and Tachyarrhythmic Presentation. Cardiovascular Medicine. 2024; 27(4):120. https://doi.org/10.4414/cvm.2024.1514199273
Chicago/Turabian StyleDemarchi, Andrea, Lorenzo Greco, Francois Regoli, Marcello Di Valentino, Marco Amoruso, Alessandro Felice Chiesa, Silvia Pirroni, Mauro Foletti, Angelo Di Simone, Simone Sarzilla, and et al. 2024. "Recurrent Takotsubo Syndrome with Contemporary Brady- and Tachyarrhythmic Presentation" Cardiovascular Medicine 27, no. 4: 120. https://doi.org/10.4414/cvm.2024.1514199273
APA StyleDemarchi, A., Greco, L., Regoli, F., Valentino, M. D., Amoruso, M., Chiesa, A. F., Pirroni, S., Foletti, M., Simone, A. D., Sarzilla, S., & Menafoglio, A. (2024). Recurrent Takotsubo Syndrome with Contemporary Brady- and Tachyarrhythmic Presentation. Cardiovascular Medicine, 27(4), 120. https://doi.org/10.4414/cvm.2024.1514199273
