Delayed Intervention’s Impact on Transcatheter Mitral Valve Implantation Strategy
Abstract
Introduction
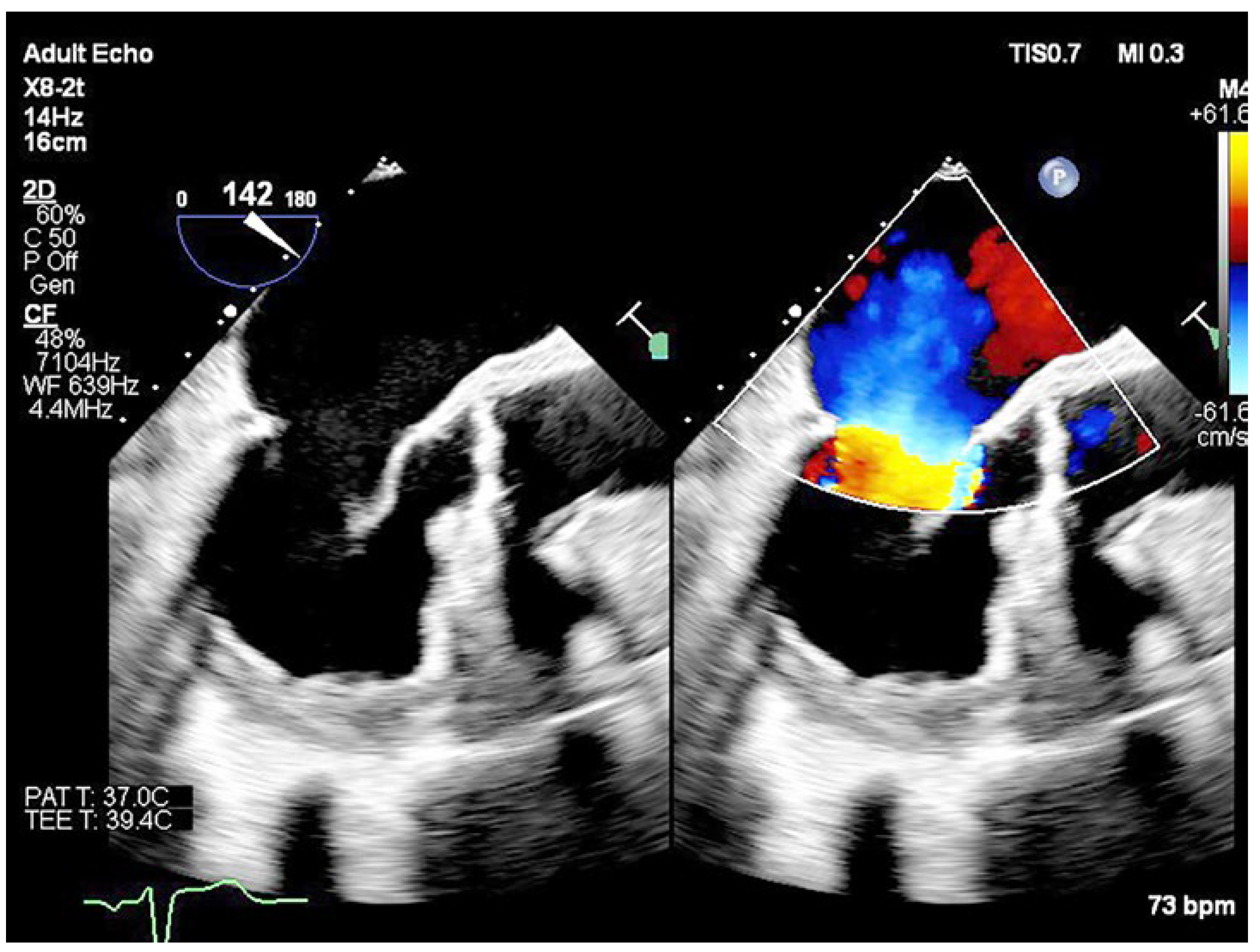
Case Description



Operative Procedure
Discussion

Conclusions
Author Contributions
Informed Consent Statement
Conflicts of Interest
References
- Khan, J.M.; Babaliaros, V.C.; Greenbaum, A.B.; Foerst, J.R.; Yazdani, S.; McCabe, J.M.; et al. Anterior Leaflet Laceration to Prevent Ventricular Outflow Tract Obstruction During Transcatheter Mitral Valve Replacement. J Am Coll Cardiol. 2019, 74, 595, Erratum in: J Am Coll Cardiol. 2019, 74, 595. [Google Scholar] [CrossRef] [PubMed]
- Babaliaros, V.C.; Greenbaum, A.B.; Khan, J.M.; Rogers, T.; Wang, D.D.; Eng, M.H.; et al. Intentional percutaneous laceration of the anterior mitral leaflet to prevent outflow obstruction during transcatheter mitral valve replacement: First-in-human experience. JACC Cardiovasc. Interv. 2017, 10, 798–809. [Google Scholar] [CrossRef] [PubMed]
- Mach, M.; Kerbel, T.; Poschner, T.; Bartunek, A.; Sauer, J.; Laufer, G.; Andreas, M. Mitral Leaflet Cutting Before Transcatheter Mitral Valve Replacement: The Mitra-Cut Technique. JACC Cardiovasc. Interv. 2022, 15, 2107–2108. [Google Scholar] [CrossRef] [PubMed]
- Alperi, A.; Avanzas, P.; Leon, V.; Silva, I.; Hernández-Vaquero, D.; Almendárez, M.; et al. Current status of transcatheter mitral valve replacement: Systematic review and meta-analysis. Front. Cardiovasc. Med. 2023, 10, 1130212. [Google Scholar] [CrossRef] [PubMed]
- Nucera, M.; Miazza, J.; Praz, F.; Kaiser, C.; Siepe, M.; Reineke, D.; Reuthebuch, O. Transapical Transcatheter Mitral Valve Implantation with the Tendyne Valve: The Swiss Experience. Thorac Cardiovasc Surg. Epub ahead of print. 2023. [Google Scholar] [CrossRef] [PubMed]
© 2024 by the author. Attribution - Non-Commercial - NoDerivatives 4.0
Share and Cite
Vasiloi, I.; Nestelberger, T.; Kaufmann, B.A.; Praz, F.; Reuthebuch, O.T. Delayed Intervention’s Impact on Transcatheter Mitral Valve Implantation Strategy. Cardiovasc. Med. 2024, 27, 114. https://doi.org/10.4414/cvm.2024.1514206641
Vasiloi I, Nestelberger T, Kaufmann BA, Praz F, Reuthebuch OT. Delayed Intervention’s Impact on Transcatheter Mitral Valve Implantation Strategy. Cardiovascular Medicine. 2024; 27(4):114. https://doi.org/10.4414/cvm.2024.1514206641
Chicago/Turabian StyleVasiloi, Ion, Thomas Nestelberger, Beat A. Kaufmann, Fabien Praz, and Oliver T. Reuthebuch. 2024. "Delayed Intervention’s Impact on Transcatheter Mitral Valve Implantation Strategy" Cardiovascular Medicine 27, no. 4: 114. https://doi.org/10.4414/cvm.2024.1514206641
APA StyleVasiloi, I., Nestelberger, T., Kaufmann, B. A., Praz, F., & Reuthebuch, O. T. (2024). Delayed Intervention’s Impact on Transcatheter Mitral Valve Implantation Strategy. Cardiovascular Medicine, 27(4), 114. https://doi.org/10.4414/cvm.2024.1514206641

