Abstract
IgG4 is an unusual immunoglobulin (Ig) and is the least component of IgG in humans. It is often asymmetrical and heterobivalent with weak Fc (fragment crystallizable region)-dependent effector function and ineffective complement activation, thus playing an unclear role in immune functions. IgE is an uncommon Ig, being important mostly in allergy and type 2 immunity. There are two rare chronic Ig-related fibroinflammatory diseases, namely IgG4-related disease (IgG4RD) and Kimura disease (KD), characterized by prominent IgG4- or IgE-positive plasma cells in the affected tissues, with or without blood elevations of the same Ig. The etiology of these two Ig-related diseases is unclear, though it appears that the pathogenesis in both is related to polarized Ig heavy chain isotype switching, concomitant with other cellular, cytokine and chemotaxin interactions that culminates in the characteristic pathologic manifestations of inflammation and fibrosis. IgG4RD and KD, despite having overlapping and differing features, may be connected by the similar pathogenetic polarized Ig isotype switching.
1. Introduction
The isotype of antibodies produced in specific humoral immunity is determined by the inciting antigen. Immunoglobulin (Ig) G4 is an unusual isotype with weak Fc-dependent effector function and is unable to activate complements. The function of IgG4 is unclear and is not usually involved in humoral immunity [1]. Another uncommon immunoglobulin is IgE, which is involved in type 2 immunity and allergy [2]. A prominent increase in tissue plasma cells expressing these unusual or uncommon immunoglobulins occurs in two uncommon, etiologically unclear fibroinflammatory diseases, IgG4RD and KD [3,4,5]. It has been reported that these diseases are characterized by skewed or polarized Ig isotype switching, with sustained production of Ig of the specific isotypes [6]. This may lead to increased IgG4- or IgE-positive plasma cells in the affected tissues, with or without elevated tissue and/or serum levels of the respective Ig isotype. Cellular, cytokine and chemotaxin reactions and interactions in these diseases result in the pathological hallmarks of tissue inflammation and fibrosis [6]. Both KD and IgG4RD often present as tumefactive lesions, thus confounding with true neoplasms. Increased awareness and recognition of these benign fibroinflammatory diseases is essential for their distinction from true neoplasms, as they require different and often conservative management strategies [7].
To further confuse the picture, there are diseases manifesting increased tissue and/or serum levels of IgG4 or IgE. Diseases with increased tissue IgG4-positive plasma cells, with/without blood IgG4 level, include Rosai–Dorfman disease [8], autoimmune atrophic gastritis [9], sclerosing variant of mucoepidermoid carcinoma of salivary gland [10], multicentric Castleman disease [11,12,13], eosinophilic granulomatosis with polyangiitis [14] and lymphocyte-variant hypereosinophilic syndrome [15]. Diseases with increased tissue IgE-positive plasma cells with or without increased blood IgE include atopic asthma [16] and atopic dermatitis [17]. These well-recognized entities are not covered in this review. This review focuses toward a probable relationship of IgG4RD with KD, based on their commonalities of polarized Ig isotype switching and overlapping clinical and histologic features. For easier understanding and clarity, this review begins with a short recapitulation of B cell immunology, Ig heavy chain isotype switching, and characteristics of IgG4 and IgE.
2. B Cell Development
B cell development begins in the fetal liver and continues in the bone marrow where stromal cells provide cytokines and chemokines (CXCL12 and interleukin (IL)-7) for development into common lymphoid progenitor cells (CLP). CLP further develops into pro-B cells on stimulation. Pro-B cells undergo sequential genetic rearrangement of their Ig heavy and light chain genes and differentiate into IgM-expressing immature B cells. These immature B cells finally become IgD- and IgM-coexpressing mature B cells and then migrate to peripheral lymphoid organs and enter into germinal centers (GCs). In the GC dark zones, B cells undergo somatic hypermutation (SHM), isotype switching and clonal expansion. In the light zone, there is affinity maturation and clonal selection for B-cells with high-affinity B-cell receptors (BCR). Antigen activation of B cells involves cellular interaction of antigen-presenting cells (APC), B and T cells involving two processes: first, antigen coupling of BCR, and second, activation in the T cell independent (TI) or T cell dependent (TD) manners. The TI path requires encountering antigens with repetitive epitopes (such as polysaccharide and glycolipids), leading to BCR crosslinking, and production of short-lived plasma cells and low-affinity antibodies. The TD response requires antigen and T-follicular helper (Tfh) cell interaction. Both result in B cell differentiation to plasma cells that produce affinity antibodies and production of memory B cells [18,19].
3. Immunoglobulin (Ig) Class Switching Recombination (CSR)
CSR occurs in the GC of peripheral lymphoid organs. This involves switching of the heavy chain (HC) class from IgD or IgM in activated B cells to IgA, G or E. This produces antibodies with different effector functions that are required for the immune response. CSR occurs by a common mechanism. There is transcription of the HC-constant-region DNA, induced by IL and tumor necrosis factor (TNF). This process could be TD or TI. In TD, the CD40 ligand (CD40L) expressed by T follicular helper (Tfh) and T-helper 2 (Th2) cells ligates to CD40 on B cells, inducing HC-constant-region transcription and activation-induced cytidine deaminase (AID). AID is essential for DNA excision, ligation and recombination in CSR and SHM. The transcribed constant region contains switch regions that are excised by AID to allow the constant regions of the final Ig HC to remain and recombine. In TI, B lymphocyte stimulator (BLYs) expressed by dendritic cells induces expression of AID, followed by switch-region excision and constant-region recombination. Class switching is controlled by Tfh cells and the cytokines produced. IgG4 switching is promoted by Tfh2,17 cells and the secreted cytokines IL-4, IL-10, IL-17 and IL-21 [6,20,21,22]. It has been shown in leprosy patients that PD-1 expression is increased on various T cells. This may contribute to T cell anergy with increased Treg cells and IL10 secretion [23]. The role of PD-1 differential expression on various immune cells in IgG4RD, however, remains to be explored. Tfh13 cells, type 2 cytokines IL-4, IL-5, IL-9 and IL-13, IL-6 from activated monocytes and IL-7 from stromal cells promote IgE switching. The switching process involves the JAK/STAT, NFKB and STAT6 pathways. Negative regulation is controlled by IFN-α, IL-21, BCR, BCL6 and transforming growth factor (TGFβ) [24,25,26,27,28].
4. T Follicular Helper (Tfh) Cells
Tfh cells belong to one of the five types of CD4+ T helper (Th) cells, Th1, Th2, Th17, Treg (T-regulatory) and Tfh cells [29]. Tfh cells were not well studied until the recent decades. They are characterized by expression of CX chemokine receptor 5 (CXCR5), programmed cell death protein 1 (PD-1), inducible T cell costimulator (ICOS), B-cell lymphoma 6 protein (Bcl-6) and IL-21. Tfh cells play a significant role in mounting humoral immunity by interacting with B cells, and are important in SHM and Ig CSR. Tfh cell differentiation is initiated in naïve T cells by an antigen-dependent process, followed by Bcl-6, CXCR5, ICOS and PD-1 expressions. Bcl-6 is the key to Tfh cell development, which is necessary for repression of development to other Th cell subtypes. Tfh is promoted by IL-6, IL-12, IL-21, IL-23, IL-27, activin A, TGFβ and type 1 interferon (IFN-α/β). On the other hand, IL-2 and IL-7 inhibit Tfh differentiation. Skewed differentiation of naïve T cells into Tfh1, Tfh2, Tfh17 and Treg cells is influenced by the cytokine milieu [29,30,31,32,33,34]. Tfh cells also exhibit plasticity [30,32] and are capable of transition to conventional T helper cells.
5. IgE
IgE is a critical factor in allergic inflammation and type 2 immunity. It was described in 1967 [2] and has four HC constant domains, different from the three HC constant domains in IgG. It is mostly produced in the mucosa-associated lymphoid tissue [31]. In the GC of lymphoid tissue, class switch to IgE is facilitated in the TD mechanism in a cytokine microenvironment of IL-13, IL-4 and IL-21 with Tfh13 and Th2 cells. High-affinity IgE is produced under the control of IL-13, and low-affinity IgE is produced under the control of IL-4 (as occurring in IgG4RD) [6]. There are two types of Fc receptors for IgE. The high-affinity receptor is expressed mostly on mast cells and basophils. The low-affinity (CD23) receptors are constitutively expressed on B cells, monocytes, eosinophils, DC, Langerhan cells and platelets [35]. An important effector function of IgE is activation of basophil and mast cells leading to chemotaxis for eosinophil through various eotaxins, IL-4 and IL-13 [36,37]. On degranulation of eosinophils, various factors including major basic protein (MBP), eosinophil peroxidase (EPX), eosinophil cationic protein (ECP) and eosinophil derived neurotoxin (EDN) are secreted, which contribute to tissue damage and inflammation [38].
6. IgG4
IgG4 is an unusual immunoglobulin and the latest discovered type of IgG. In the human body, IgG4 is the least common among other IgGs [39]. It has unique structural and functional properties and undergoes a continuous process of “half antibody exchange” or “Fab arm exchange”. This results in asymmetry and heterobivalency. Despite this, IgG4 usually behaves as a monovalent antibody. The major structural difference between IgG1 and IgG4 lies in a few amino acids at the hinge regions of the CH2 and CH3 domains, leading to flexible hinging and appearance of “half antibodies” or “Fab arm exchange”. IgG4 consequently exhibits negligible activation of the classical complement pathway and much reduced binding to both low- and high-affinity Fc-gamma receptors [39,40,41]
Control of the IgG4 class switch in GCs is mediated by Tfh2,17, Th2 cells and the secreted cytokines IL-4, IL-10, IL17 and IL-21. IL-10 contributes by facilitating IL-4-mediated class switch to IgG4 rather than IgE [6,42]. The stimulating antigen that drives IgG4 production may be similar to that for IgE production and believed to be allergens or atopic antigens. However, findings to the contrary have been reported [6]. The physiological role of IgG4 is enigmatic. The weak affinity for Fc receptors on effector cells and poor ability to activate complements may contribute to anti-inflammatory and immune evasive ability of IgG4 [1].
7. Etiology
7.1. Genetic Predisposition
Some work has been performed on the genetics of IgG4RD. However, much less has been investigated and little is known about the genetics of KD [43]. The following is a summary on the genetics of IgG4RD. These are genetic risk factors and not causative.
Heritability may play a role in IgG4RD. There have been reports of the disease in two siblings with type 1 autoimmune pancreatitis (IgG4-related chronic pancreatitis) [44], and heritability of IgG4 levels in patients from families with autoimmune thyroiditis [45].
HLA and non-HLA genes have also been reported to be associated with IgG4RD. HLA genes that have been reported to be associated with IgG4RD susceptibility are HLA-DRB1, HLA-DQB1, HLA I and HLA-B8, and with disease relapse are HLA-A, HLA-C and HLA-DQB1 [42,43]. Non-HLA genes that have been reported to be associated with disease susceptibility are P2RX3, TOP1, PRSS1, SPINK1, FCRL3, FCGR, CACNA1C, CFTR, CTLA4, CXCR3, KCNA3, MLL3, TNFα and SPINK1; with disease relapse, CACNA1C; with IgG4-related chronic pancreatitis, CTLA4, KCNA3, FCRL3 and PRSS1; with IgG4-related chronic aortitis, FCGR; and with other extrapancreatic lesions, TNFα, CXCR3 and MLL3 [46,47].
7.2. Etiological Propositions
The etiology of IgG4RD and KD remains unclear. The following are some possible mechanisms.
7.2.1. Atopic and Allergic Antigenic Stimulation
It has been observed that allergic and atopic challenges occur in both polarized IgE and IgG4 isotype switches involving type 2 immune reactions with Th2 cells and IL-4, IL-5 and IL-13 [1,24,48,49,50]. Allergy has been hypothesized to be the etiologic event in both IgG4RD and KD [6,22,51,52,53,54,55,56]. Evidence of allergy has been demonstrated in KD, including demonstration of increased type 2 immune cells, Tfh13 cells, eosinophils, basophils, mast cells and IgE-positive B cells and mast cells in lesional tissues and increase in blood IgE levels in KD [6]. Atopy/allergy may therefore be etiologically responsible for at least a proportion of KD [6]. In IgG4RD, however, there is little evidence of Th2 cell accumulation in involved tissues after exclusion of cases with coexisting allergy [6,51,52,53,54].
7.2.2. Autoimmunity
There is evidence that autoimmunity may play an etiologic role in IgG4RD. Autoantibodies against self-antigens have been reported, including ubiquitin ligase-associated protein [57], carbonic anhydrase IV [58], annexin A11 [59], laminin [60], amylase α-2A [61], galectin-3 [62], pancreatic secretory trypsin inhibitor and trypsinogen [63,64,65]. These mostly represent IgG4 isotype antibodies that have also been detected in systemic lupus erythematosus (SLE) and rheumatoid arthritis. Recently, an IgG4 anticytokine autoantibody against the IL-1 receptor antagonist (IL-1RA) has been identified in IgG4RD patients [66]. This antibody promotes expression of IL-1, proinflammatory and profibrotic cytokines in fibroblast, and epithelial cell lines in vitro, and is also detected in lesional tissues in IgG4RD patients. Furthermore, there is recent evidence that IgG4 directly promotes disease in an Fc-independent manner in pemphigus vulgaris and myasthenia gravis through binding to skin and muscle-specific autoantigens [66]. IgG4RD patients with a family history of autoimmune diseases show younger disease onset and exhibit higher frequency of antinuclear antibodies [67]. Autoimmunity is therefore responsible for at least a proportion of IgG4RFID.
7.2.3. Other Causes of Aberrant Antigenic Stimulation
Infections have been reported to be related to IgG4RD, including Gram-positive bacteria (such as Staphylococcus aureus) and Mycobacterium tuberculosis [47]. Environmental factors related to blue-collar occupations, such as solvents and industrial gasses, may also play a possible causative role in IgG4RD [47].
8. Pathogenesis
IgG4RD and KD have in common polarized immune stimulation, cytokine-skewed Tfh cell activation and polarized Ig isotype switching. The resulting immune cell, cytokine and chemotaxin interactions lead to the pathologic hallmarks of chronic tissue inflammation and fibrosis.
8.1. KD
On stimulation by polarized immune conditions, cellular interactions involving APC, Th2, type 2 immune cells and B cells result in a cytokine milieu skewed for the development of disease-specific Tfh13 cells. There is increased secretion of IL-4, IL-5 and IL-13, polarized IgE isotype switching in activated B cells and then maturation to IgE-positive plasma cells. IgE activates basophils and mast cells, releasing eotaxins for eosinophils. Activated eosinophils release proinflammatory and profibrogenic mediators including galectin-10, osteopontin, MBP1 and EPX [3,36,37,38,51,68,69,70,71,72]. In addition, mast cells release further profibrogenic factors IL-4, IL-13, TGFβ1, tryptase and chymase [36]. This results in the characteristic histological features of KD [3]. Fibrosis in KD is mostly paucicellular or collagenous and patternless [3]. Recently, a multiomic study on the pathogenesis of KD revealed high expression of the transmembrane 176A protein (TMEM176A) and loss of S100 calcium-binding protein P (S100P) on peripheral blood mononuclear cells, eosinophils and granulocytes in KD patients. Both high TMEM176A expression and loss of S100P can lead to activation of the extracellular-signal-regulate kinase/mitogen-activated protein kinase (Erk/MAPK) signaling pathway in eosinophils, which may play a role in pathogenesis of KD [43].
8.2. IgG4RD
With polarized immune stimulation, interactions among B cells, T cells and APC leads to a cytokine milieu rich in IL-4, IL-10, IL13, IL17 and IL-21, and skewed Tfh2 and Tfh17 differentiation, followed by JAK1/JAK3, TyK2 (tyrosine kinase 2)/JAK3 and STAT 6 (signal transducer and activator of transcription 6) signaling. This adaptive immune response drives Th2 cell and polarized IgG4 isotype switching in activated B cells, resulting in IgG4-positive plasma cell development [55]. There is recent evidence that the T cell repertoire in IgG4RD includes CD4+ or CD8+ cytotoxic T lymphocytes (CTL), which may be autoreactive [6,60,63]. The CTL leads to cellular apoptosis of the affected tissues, followed by tissue remodeling and fibrosis [6,60]. The IgG4 antibody may also promote pathogenesis independent of Fc signaling or complement activation [66,73]. In the fully developed lesions, the characteristic pathologic features of chronic inflammation, plasmacytosis and fibrosis is produced [3]. Fibrosis in IgG4RD is caused by CTL-induced cellular apoptosis with subsequent stromal remodeling [6]. The pathognomonic pattern of storiform fibrosis in IgG4RD is different from paucicellular patternless fibrosis in KD [3].
9. Clinicopathologic Features of Kimura Disease
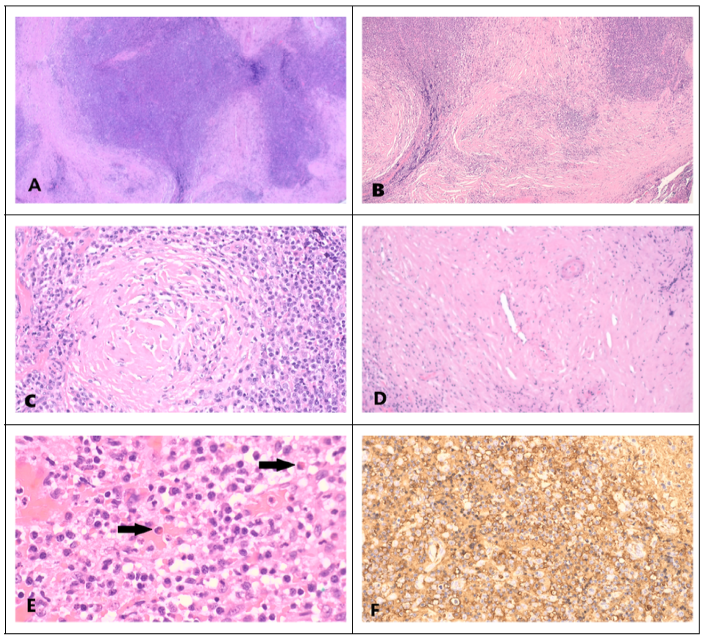
KD was first described in 1937 by the Chinese researcher Jin [74] and 11 years later by Kimura [75], whose name became entrenched in the literature as the disease eponym. KD affects mostly young- to middle-aged Asian subjects, though uncommonly non-Asians are also involved [4,76,77]. KD produces tumor-like lesions, mostly in superficial locations, namely subcutaneous masses, enlarged salivary and lacrimal glands, and regional lymph nodes [4,74,75,76,77,78]. Histologically, KD is characterized by florid lymphoid follicular hyperplasia (ectopic lymphoid follicles), lymphoplasmacytic and eosinophilic infiltration with frequent eosinophilic abscesses and profuse stromal fibrosis [3,4,74,75,76,77,78]. In the lymph node, KD shows, in addition, a vascularized GC, GC proteinaceous deposits and necrosis, polykaryocytes and GC reticular IgE deposits [79] (Figure 1). KD involving lymph nodes of multiple regions [80], multiple skin sites [81] and renal involvement [82] have also been reported, though rare. There is a high incidence of peripheral blood eosinophilia and elevated serum IgE. Serum IgG4 may also be raised [83]. Treatment is by surgical excision, local or systemic corticosteroids, local radiotherapy or immunosuppressant agents [84]. The recent finding of activated Erk/MAPK signaling also renders it a possible future therapeutic target in KD [43]. There are also reports of successful treatment using anti-IgE (omalizumab) [85], anti-IL4 and anti-IL13 (dupilumab) [86]
Figure 1.
Kimura disease, M/44; right arm. M/60; right arm mass. (A) Extensive fibrosis, involvement of adjacent fat; H&E ×20. (B) Eosinophilic abscess; H&E ×100. (C) Germinal center (GC) extracellular eosinophilic deposit; H&E ×100. (D) Vascularized GC; H & E ×200. (E) Many IgE positive cells; immunostain ×100. (F) Only rare IgG4 positive cells; immunostain ×100.
10. Clinicopathologic Features of IgG4-Related Disease
IgG4RFID—masquerading as eosinophilic angiocentric fibrosis, inflammatory pseudotumor, or the eponymic diseases Kuttner’s tumor, Mikulicz’s syndrome, Osmond’s disease and Riedel’s thyroiditis in the old literature [5]—was initially introduced in the early 2000s as sclerosing pancreatitis or autoimmune pancreatitis associated with raised serum IgG4 or tissue IgG4-positive plasma cells [87,88]. With increased recognition, there is a proliferation of reports on IgG4RD [7], culminating in a consensus statement on the pathologic features and diagnostic criteria of IgG4RD in 2012 [89]. The latter report details three possible characteristic histological features of IgG4RD: (1) dense lymphoplasmacytic infiltrate; (2) fibrosis, often storiform in character; and (3) obliterative phlebitis. Regarding the IgG4+ plasma cell count, it ranges from 10 to 200 cells/HPF depending on the organ involved. An elevated IgG4+/IgG+ cell ratio of >40% (>50% for aorta specimens) is also necessary (Figure 2). Accordingly, there are three diagnostic categories: (1) histologically highly suggestive of IgG4RD, with two of the three characteristic histologic features and the required IgG4+ plasma cell count; (2) probable histologic features of IgG4RD, with only one characteristic histological feature and the required IgG4+ plasma cell count.; (3) insufficient histopathologic evidence of IgG4RD, when features of neither category (1) nor (2) are met. A Japanese group of researchers further defined the diagnostic criteria in 2020. Clinical and radiologic features were introduced, together with emphasis on the need to exclude masquerading conditions [90]. Another Japanese group recently proposed categorization of IgG4RD by clinical characteristics. Based on the pattern of organ involvement, four groups are defined: pancreaticobiliary (group 1), retroperitoneal (group 2), head and neck (group 3) and systemic Mikulicz (group 4). Groups 1, 2 and 3 have more prominent proliferative changes (proliferative phenotype) and group 4 more prominent fibrosis (fibrotic phenotype). The same group also defined the allergy phenotype, where IgG4 is considered to be beneficial in alleviating hypersensitivity, is anti-inflammatory and induces tolerance to allergens. Another phenotype is the malignancy phenotype, where the IgG4 produced competes with antitumor antibodies for tumor antigens on tumor cells. This is considered to be a mechanism of tumor evasion from host immune defenses [22].
Figure 2.
IgG4RD, F/39; left orbital mass. F/85; left orbital mass. (A) Extensive fibrosis, thick fibrous bands separate lymphoid tissue areas; H & E ×20. (B) Storiform fibrosis; H & E ×200. (C) Obliterative phlebitis; H & E ×200. (D) Obliterated vein; H & E ×200. (E) Florid lymphoplasmacytic infiltration, with some eosinophils (arrows); H & E ×400. (F) Many IgG4 positive cells; immunostain ×100.
IgG4RD involves multiple organs and tissues, including superficial and deep seated. This is in contrast to KD, where superficial sites are primarily involved. The myriad involved sites include pancreas, hepatobiliary system, liver, retroperitoneum, mesentery, mediastinum, aorta, lung, pleura, kidney and urinary tract, central nervous system, thyroid, prostate, seminal vesicles, maxillary sinus, nasal septum, paranasal sinus and pericardium. The involved superficial sites overlap with those of KD, including orbit, lacrimal gland, salivary gland, skin and breast [7,91]. The disease is tumefactive and often confused with true tumors. In the pancreas, pancreatectomy and Whipple’s operation is not infrequently performed for tumor-like lesions caused by IgG4RD [92,93]. However, true malignancies have been described in the backdrop of IgG4RD, including lymphoma, pancreatic ductal adenocarcinoma, salivary duct carcinoma, pulmonary adenocarcinoma and gastrointestinal clear cell sarcoma [7], and may correspond to the malignancy phenotype of IgG4RD proposed recently [22]. It is therefore important to thoroughly examine IgG4RD-involved tissues to exclude malignancies in suspicious cases. Treatment of IgG4RD does not require radical surgery and steroids are usually effective. Promising results have also been reported with anti-CD20 (rituximab) treatment [47], and JAK inhibitors (tofacitinib) have also been used with success [55,94].
11. KDVs IgG4RD
Increased awareness and proliferation of studies on IgG4RD and KD uncovered significant differences, similarities and overlap in clinical, histological, immunological and hematological features of the two diseases [3,95,96]. A comparison of the salient features of IgG4RD and KD is summarized in Table 1.
Table 1.
Comparison of IgG4RD and KD.
11.1. Similarities and Overlapping Features
There are many common features, including those considered to be characteristic of either IgG4RD or KD.
In KD, there may be features considered to be characteristic of IgG4RD: storiform fibrosis, obliterative phlebitis, non-obliterative phlebitis, increased tissue IgG4-positive plasma cells and IgG4/IgG-positive plasma cell ratio, which are characteristic of IgG4RD.
In IgG4RD, there may be features considered to be characteristic of KD: tissue eosinophilia, eosinophilic abscess germinal centers eosinophilic deposits, vascularized germinal centers, tissue IgE reticular staining in germinal center, and increased tissue IgE-positive plasma cells > 10/HPF.
Despite being common overlapping features, there are statistically significant differences in manifestations of these features between IgG4RD and KD [3]. In daily practice, however, these overlapping though statistically different features may cause confusion and misdiagnosis. There have, therefore, been proposals on criteria and features for inclusion and exclusion of IgG4RD [11,22,89,91,97,98]. According to the 2019 American College of Rheumatology/European League against Rheumatism classification criteria, peripheral blood eosinophilia is a strong exclusion criterion and storiform fibrosis is a robust inclusion criterion for IgG4RD [97]. The presence of common overlapping features between IgG4RD and KD is not surprising, considering that both are pathogenetically related to polarized Ig isotype class switching and that IL-4 in both conditions can induce both IgG4 and IgE isotype switching [6].
11.2. Differences
11.2.1. Epidemiology
Patient Age
KD affects younger (mean 30 years) while IgG4RD affects older (mean 59 years) subjects [3,47].
Patient Sex
Though males are more frequently affected by both diseases, male sex dominance is more prevalent in KD [3]. In IgG4-related sialadenitis and dacryoadenitis, the female sex has been reported to be more prevalent [47]. A mild female dominance in IgG4RD has also been reported in a study based on the US population [99].
11.2.2. Anatomical Sites Involved
There is a more significant difference in involved anatomical sites between IgG4RD and KD. IgG4RD is a multisystem disease involving deep-seated and superficial organs. This compares with KD, which predominantly affects superficial tissues in the head and neck region [3,7]. This may be related to frequent increase in circulating Tfh2 (cTfh2) cells in IgG4RD [100]. cTfh2 cells may home to the GC of secondary and tertiary lymphoid organs, thus facilitating IgG4 isotype switching and development of IgG4RD in deep-seated organs. An increase in cTfh cells has not been reported in KD, though further studies are required to validate this hypothesis. Involvement of multiple anatomic sites in IgG4RD may be related to the possible role of autoimmunity in this disease.
11.2.3. Storiform Fibrosis
Storiform fibrosis is significantly different between IgG4RD and KD. It frequently occurs in IgG4RFID and is among the important diagnostic criteria of the disease [3,81,93]. However, it may infrequently develop in KD [3].
11.2.4. Tissue Eosinophilia, Eosinophilic Abscess, GC Proteinaceous/IgE Deposits and GC Vascularization
These histological features are diagnostically distinctive and frequent in KD, though they may occur with lower frequency in IgG4RD [3,79].
12. Conclusions
Recent advances in immunology have unraveled the complex interaction of immune cells, cytokines, chemotaxins and cell mediators in B cell development and differentiation. This unravels the mechanism of producing antigen-specific Ig with desired effector functions by isotype switching. The involvement of Tfh cells has also been more recently understood, followed by immense interest and work on their roles in humoral immunity in the last decade. There are two conditions of unclear etiology characterized by polarized Ig isotype switching to IgG4 and IgE, namely IgG4RD and KD, respectively. They exhibit the similar pathogenic mechanism of cytokine-skewed, Tfh cell-directed, polarized Ig isotype switching. The resulting cytokine, chemotaxin and cellular milieu cause inflammation and fibrosis characteristic of these diseases. Fibrosis in KD is of an allergic type, mediated by type 2 immune cytokines and mediators from eosinophils, while that of IgG4RD is more the sequel of remodeling of cellular apoptosis caused by cytotoxic cells. Increased understanding of the immunological pathogenesis of both diseases, involvement of the JAK/STAT signaling pathway in IgG4RD, IL4 and IL13 in both diseases and IgE in KD, has opened a new horizon for treatment of these unusual diseases. These include reports of success in using JAK inhibitors for IgG4RD and anti-IgE and anti-IL4/IL13 in KD. Though the etiology of both diseases is mostly nebulous, there is evidence of allergy being responsible in some KD and autoimmunity in some IgG4RD. These triggering events may be operative in the backdrop of genetic factors, as in IgG4RD. Despite significant differences regarding the anatomic distribution of the disease, pattern of fibrosis and degree of eosinophil infiltration, many overlapping features occur in both conditions. This necessitates strict adherence to defined diagnostic criteria for accurate distinction. Accurate recognition of these frequently tumefactive fibroinflammatory diseases is essential for differential diagnosis from true neoplasms and avoidance of excessive treatment. As both conditions show similar pathogenesis through isotype switching and histological features of inflammation and fibrosis, it is proposed that they are both regarded as Ig-related fibroinflammatory diseases, thus connecting the ancient KD with the contemporary IgG4RD.
Funding
This research received no external funding.
Institutional Review Board Statement
Not applicable.
Informed Consent Statement
Not applicable.
Data Availability Statement
Not applicable.
Acknowledgments
The author thanks Yvonne Chan for assistance in preparing the manuscript.
Conflicts of Interest
The author declares no competing interests.
Abbreviations
| AID | Activation-induced cytidine deaminase |
| AP-1 | activation protein-1 |
| Batf | Basic leucine zipper transcription factor |
| Bcl6 | B-cell lymphoma 6 protein |
| BCR | B-cell receptor |
| BLys | B lymphocyte stimulator |
| CD40L | CD40 ligand |
| CLP | Common lymphoid progenitor cells |
| CSR | Class switching recombination |
| CTL | Cytotoxic T lymphocytes |
| CXCR5 | CX chemokine receptor 5 |
| EDN | Eosinophil-derived neurotoxin |
| EPX | Eosinophil peroxidase |
| Fc | Fragment crystallizable |
| GC | Germinal center |
| HC | Heavy chain |
| ICOS | Inducible T cell costimulator |
| IFN | Interferon |
| Ig | Immunoglobulin |
| IgG4RD | Immunoglobulin G4-related disease |
| IL | Interleukin |
| IL-1RA | IL-1 receptor antagonist |
| IRF4 | Interferon regulatory factor 4 |
| KD | Kimura disease |
| LC | Light chain |
| MBP | Major basic protein |
| PD-1 | Programmed cell death protein-1 |
| SHM | Somatic hypermutation |
| TD | T cell dependent |
| Tfh | T follicular helper |
| TGFB1 | Transforming growth factor B1 |
| Th2 | T helper 2 |
| TI | T cell independent |
| TNF | Tumor necrosis factor |
References
- Cresioli, S.; Correa, I.; Kargiannis, P.; Davies, A.M.; Sutton, B.J.; Nestle, F.O.; Karagiannis, S.N. IgG4 characteristics and functions in cancer immunity. Curr. Allergy Asthma Rep. 2016, 16, 7. [Google Scholar] [CrossRef] [PubMed]
- Ishizaka, K.; Ishizaka, T. Identification of gamma E-antibodies as a carrier of reaginic activity. J. Immunol. 1967, 99, 1187–1198. [Google Scholar] [CrossRef] [PubMed]
- Wang, X.; Ng, C.S.; Yin, W. A comparative study of Kimura’s disease and IgG4-related disease: Similarities, differences and overlapping features. Histopathology 2021, 79, 801–809. [Google Scholar] [CrossRef] [PubMed]
- Chen, H.; Thompson, L.D.R.; Auguilera, N.S.I.; Abbondanzo, S.L. Kimura’s disease. A clinicopathologic study of 21 cases. Am. J. Surg. Pathol. 2004, 28, 505–513. [Google Scholar] [CrossRef]
- Mahajan, V.S.; Mattoo, H.; Deshpande, V.; Pillai, S.S.; Stone, J.H. IgG4-related disease. Ann. Rev. Pathol. 2014, 9, 315–317. [Google Scholar] [CrossRef]
- Munemura, R.; Maehara, T.; Murakami, Y.; Koga, R.; Aoyagi, R.; Kaneko, N.; Doi, A.; Perugino, C.A.; Della-Torre, E.; Saeki, T.; et al. Distinct disease-specific Tfh cell populations in 2 different fibrotic diseases: IgG4-related disease and Kimura disease. J. Allergy Clin. Immunol. 2022, 150, 440–455. [Google Scholar] [CrossRef]
- Cheuk, W.; Chan, J.K.C. IgG4-related sclerosing disease. A critical appraisal of an evolving clinicopathologic entity. Adv. Anat. Pathol. 2010, 17, 303–332. [Google Scholar] [CrossRef]
- Kuo, T.T.; Chen, T.C.; Lee, L.Y.; Lu, P. IgG4-positive plasma cells in cutaneous Rosai-Dorfman disease: An additional immunohistochemical features and possible relationship to IgG4-related sclerosing disease. J. Cutan. Pathol. 2009, 36, 1069–1073. [Google Scholar] [CrossRef]
- Bedeir, A.S.; Lash, R.H.; Lash, J.G.; Ray, M.B. Significant increase in IgG4+ plasma cells in gastric biopsy specimens from patients with pernicious anemia. J. Clin. Pathol. 2010, 63, 999–1001. [Google Scholar] [CrossRef]
- Tian, W.; Yakirevich, E.M.A.; Matoso, A.; Gnepp, D. IgG4 (+) plasma cells in sclerosing variant of mucoepidermoid carcinoma. Am. J. Surg. Pathol. 2012, 36, 973–979. [Google Scholar] [CrossRef] [PubMed]
- Nishikori, A.; Nishimura, M.F.; Nishimura, Y.; Notohara, K.; Satou, A.; Moriyama, M.; Nakamura, S.; Sato, Y. Investigation of IgG4-positive cells in idiopathic multicentric Castleman disease and validation of the 2020 exclusion criteria for IgG4-related disease. Pathol. Int. 2022, 72, 43–52. [Google Scholar] [CrossRef]
- Sasaki, T.; Akiyama, M.; Kaneoko, Y.; Mori, T.; Yasuoka, H.; Suzuki, K.; Yamaoka, K.; Okamoto, S.; Takeuchi, T. Distinct features distinguishing IgG4-rated disease from multicentric Castleman’s disease. RMD Open 2017, 3, e000432. [Google Scholar] [CrossRef] [PubMed]
- Sasaki, T.; Akiyama, M.; Kanedo, Y.; Takeuchi, T. Immunoglobulin G4-related disease and idiopathic multicentric Castleman’s disease: Confusable immune-related disorders. Rheumatology 2022, 61, 490–501. [Google Scholar] [CrossRef] [PubMed]
- Kubo, S.; Kanada, R.; Nawata, A.; Miyazaki, Y.; Kawabe, A.; Hanami, K.; Nakatsuka, K.; Sato, K.; Nakayama, S.; Tanak, Y. Eosinophilic granulomatosis with polyangiitis exhibits T cell activation and IgG4 immune response in the tissue, comparison with IgG4-related disease. RMD Open 2022, 8, e002086. [Google Scholar] [CrossRef] [PubMed]
- Carruthers, M.N.; Park, S.; Slack, G.W.; Dalal, B.; Skinnider, B.F.; Schaeffer, D.F.; Dutz, J.P.; Law, J.K.; Donnellan, F.; Marquez, V.; et al. IgG4-related disease and lymphocyte variant hypereosinophilic syndrome: A comparative case series. Eur. J. Haematol. 2017, 98, 378–387. [Google Scholar] [CrossRef]
- Gong, F.; Zheng, T.; Zhou, P. T follicular helper cell subsets and the associated cytokine IL-21 in the pathogenesis and therapy of asthma. Front. Immunol. 2019, 10, 2918. [Google Scholar] [CrossRef]
- Boothe, D.W.; Tarbox, J.A.; Tarbox, M.B. Atopic dermatitis: Pathophysiology. In Management of Atopic Dermatitis. Advances in Experimental Medicine and Biology; Fortson, E., Feldman, S., Strowd, L., Eds.; Springer: Cham, Switzerland, 2017; Volume 1027. [Google Scholar]
- Tsui, D.Y.; Hung, K.H.; Chang, C.W.; Liu, K. Regulatory mechanisms of B cell responses and the implication in B cell-related disease. J. Biomed. Sci. 2019, 26, 64. [Google Scholar] [CrossRef]
- Chi, X.; Li, Y.; Qiu, X. V(D) J recombination, somatic hypermutation and class switch recombination of immunoglobulins: Mechanism and regulation. Immunology 2020, 160, 233–247. [Google Scholar] [CrossRef]
- Grados, A.; Ebbo, M.; Piperoglou, C.; Groh, M.; Regent, A.; Samson, M.; Terrier, B.; Loundou, A.; More, N.; Andia, S.; et al. T cell polarization toward TH2/THF2 and TH17/TFH17 in patients with IgG4-related disease. Front. Immunol. 2017, 8, 235. [Google Scholar] [CrossRef]
- Akiyama, M.; Yasuoka, H.; Yoshimoto, K.; Takeuchi, T. Interleukin-4 contributes to the shift of balance of IgG subclasses toward IgG4 in IgG4-related disease. Cytokine 2018, 110, 416–419. [Google Scholar] [CrossRef]
- Akiyama, M.; Alshahri, W.; Ishigaki, S.; Saito, K.; Kaneko, Y. The immunological pathogenesis og IgG4-related disease categorized by clinical characteristics. Immunol. Med. 2025, 48, 11–23. [Google Scholar] [CrossRef] [PubMed]
- Tarique, M.; Naz, H.; Suhail, M.; Turan, A.; Saini, C.; Muhammed, N.; Shankar, H.; Zughaibi, T.A.; Khan, T.H.; Khanna, N.; et al. Differential expression of programmed death 1 (PD-1) on various immune cells and its role in human leprosy. Front. Immunol. 2023, 14, 1138145. [Google Scholar] [CrossRef]
- Bacharier, L.B.; Jabara, H.; Geha, R.S. Molecular Mechanisms of Immunoglobulin E regulation. Arch. Allergy Immunol. 1998, 115, 257–269. [Google Scholar] [CrossRef]
- Stavnezer, J.; Guikema, J.E.J.; Schrader, C.E. Mechanism and regulation of class switch recombination. Ann. Rev. Immunol. 2000, 26, 261–292. [Google Scholar] [CrossRef]
- Duarte, J. Functional switching. Nat. Immunol. 2016, 17, S12. [Google Scholar] [CrossRef]
- Oudinet, C.; Braikia, F.; Dauba, A.; Khamlichi, A.A. Mechanism and regulation of class switch recombination by IgH transcriptional control elements. Adv. Immunol. 2020, 147, 89–137. [Google Scholar]
- Dauba, A.; Khamlichi, A.A. Long-range control of class switch recombination by transcriptional regulatory elements. Front. Immunol. 2021, 12, 738216. [Google Scholar] [CrossRef] [PubMed]
- Nurieva, R.I.; Chung, Y. Understanding the development and function of T follicular helper cells. Cell. Mol. Immunol. 2010, 7, 190–197. [Google Scholar] [CrossRef]
- Olatunde, A.C.; Hale, J.S.; Lamb, T.J. Cytokine-skewed Tfh cells: Functional consequences for B cell help. Trends Immunol. 2021, 42, 536–550. [Google Scholar] [CrossRef]
- Crotty, S. T follicular helper cell differentiation, function and roles in disease. Immunity 2014, 41, 529–542. [Google Scholar] [CrossRef]
- Read, K.A.; Powell, M.D.; Oestreich, K.J. T follicular helper cell programming by cytokine-mediated events. Immunology 2016, 149, 253–261. [Google Scholar] [CrossRef]
- Krishnaswamy, J.K.; Alsen, S.; Yrlid, U.; Eeisenbarth, S.C.; Williams, A. Determination of T follicular helper cell fate by dendritic cells. Front. Immunol. 2018, 9, 2169. [Google Scholar] [CrossRef]
- Crotty, S. T follicular helper cell biology: A decade of discovery and diseases. Immunity 2019, 50, 1132–1148. [Google Scholar] [CrossRef]
- Rosenwasser, L.J. Mechanisms of IgE inflammation. Curr. Allergy Asthma Rep. 2011, 11, 178–183. [Google Scholar] [CrossRef] [PubMed]
- Iype, J.; Fux, M. Basophils orchestrating eosinophils’ chemotaxis and function in allergic inflammation. Cells 2021, 10, 895. [Google Scholar] [CrossRef] [PubMed]
- Kampen, G.T.; Stafford, S.; Adachi, T.; Jinquan, T.; Quan, S.; Grant, J.A.; Skov, P.S.; Poulsen, L.K.; Alamm, R. Eotaxin induced degranulation and chemotaxis of eosinophils through the activation of ERK2 and P38 mitogen-activated protein kinases. Blood 2000, 95, 1911–1917. [Google Scholar] [CrossRef] [PubMed]
- Fettrelet, T.; Gigon, L.; Karaulov, A.; Yousefi, S.; Simon, H. The enigma of eosinophil degranulation. Int. J. Mol. Sci. 2021, 22, 7091. [Google Scholar] [CrossRef]
- Nirula, A.; Glaser, S.M.; Kalled, S.; Taylor, F.R. What is IgG4? A review of the biology of a unique immunoglobulin subtype. Curr. Opin. Rheumatol. 2011, 23, 119–124, Erratum in Curr. Opin. Rheumatol. 2011, 2, 227. [Google Scholar] [CrossRef]
- Aalberse, R.C.; Stapel, S.O.; Schumann, J.; Rispens, T. Immunoglobulin G4: An odd antibody. Clin. Exp. Allergy 2009, 39, 469–477. [Google Scholar] [CrossRef]
- Aalberse, R. The role of IgG antibodies in allergy and immunotherapy. Allergy 2011, 66 (Suppl. S95), 28–30. [Google Scholar] [CrossRef]
- Jeannin, P.; Lecoanet, S.; Delneste, Y.; Gauchat, J.F.; Bonnefoy, J.Y. IgE versus IgG4 production can be differentially regulated by IL-10. J. Immunol. 1999, 160, 3555–3561. [Google Scholar] [CrossRef]
- Wu, X.; Wang, A.; Zhang, S.; Wang, X.; Guo, P.; Zhu, W.; Jiao, Y.; Zhou, J.; Zhang, W.; Peng, L.; et al. Multiomic landscape of immune pathogenesis in Kimura’s disease. Iscience 2023, 26, 106559. [Google Scholar] [CrossRef]
- Watanabe, T.; Maruyama, M.; Ito, T.; Kanai, K.; Oguchi, T.; Muraki, T.; Hamano, H.; Arakura, N.; Ota, M.; Kawa, S.; et al. Two siblings with type 1 autoimmune pancreatitis. Intern Med. 2013, 52, 895–899. [Google Scholar] [CrossRef]
- Outschooru, I.M.; Talor, M.; Burek, C.L.; Hoffman, W.H.; Rose, N.R. Heritability analysis of IgG4 antibodies in autoimmune thyroid disease. Autoimmunity 2014, 47, 320–326. [Google Scholar] [CrossRef] [PubMed]
- Ishikawa, Y.; Terao, C. Genetic analysis of IgG4-related disease. Mod. Rheumatol. 2020, 30, 17–23. [Google Scholar] [CrossRef]
- Floreani, A.; Okazaki, K.; Uchida, K.; Gershwin, M.E. IgG4-related disease: Changing epidemiology and new thoughts on a multisystem disease. J. Transl. Autoimmun. 2021, 4, 100074. [Google Scholar] [CrossRef]
- Geha, R.S.; Jabara, H.H.; Brodeur, S.R. The regulation of immunoglobulin E class-switch recombination. Nat. Rev. Immunol. 2003, 3, 721–732. [Google Scholar] [CrossRef] [PubMed]
- Coffman, R.L.; Lebman, D.A.; Rothman, P. Mechanism and regulation of immunoglobulin isotype switching. In Advances in Immunology; Dixon, F.J., Ed.; Academic Press: Cambridge, MA, USA, 1993; Volume 54, pp. 229–270. [Google Scholar]
- Yanagihar, Y. Regulatory mechanism of immunoglobulin E synthesis by human B cells. Clin. Exp. Allergy Rev. 2006, 6, 101–105. [Google Scholar] [CrossRef]
- Choi, J.W.; Lee, M.H.; Fujii, T. Relationship between neutrophil gelatinase-associated lipocalin, eosinophil cationic protein, cytokines, and atopic sensitization in patients with allergic disease. BioMed Res. Int. 2022, 2022, 6564706. [Google Scholar] [CrossRef]
- Maehara, T.; Moriyama, M.; Nakashima, H.; Miyake, K.; Hayashida, J.; Tanaka, A.; Shinozaki, S.; Kubo, Y.; Nakamura, S. Interleukin-21 contributes to germinal centre formation and immunoglobulin G4 production in IgG4-related dacryoadenitis and sialoadenitis, so-called Mikulicz’s disease. Ann. Rheum. Dis. 2012, 71, 2011–2019. [Google Scholar] [CrossRef]
- Della-Torre, E.; Mattoo, H.; Mahajan, V.S.; Carruthers, M.; Pillai, S.; Stone, J.H. Prevalence of atopy, eosinophilia and IgE elevation in IgG4-related disease. Allergy 2014, 69, 269–272. [Google Scholar] [CrossRef] [PubMed]
- Mattoo, H.; Della-Torre, E.; Mahajan, V.S.; Stone, J.H. Circulating Th2 memory cells in IgG4-related disease are restricted to a defined subset of subjects with atopy. Allergy 2014, 69, 379–402. [Google Scholar] [CrossRef] [PubMed]
- Khan, S.; Gordins, P.; Durairaj, S. JAK inhibition as a therapeutic strategy for IgG4-RD. J. Investig. Allergol. Clin. Immunol. 2021, 31, 280–281. [Google Scholar] [CrossRef] [PubMed]
- Carballo, I.; Gonzalez-Quintela, A.; Sopena, B.; Vidal, C. Immunoglobulin G4-related disease: What an allergist should know. J. Investig. Allergol. Clin. Immunol. 2021, 31, 212–227. [Google Scholar] [CrossRef]
- Frulloni, L.; Lunardi, C.; Simmone, R.; Dolcino, M.; Scattolini, C.; Falconi, M.; Benini, L.; Vantini, I.; Corrocher, R.; Puccetti, A. Identification of a novel antibody associated with autoimmune pancreatitis. N. Eng. J. Med. 2009, 36, 2135–2142. [Google Scholar] [CrossRef]
- Nishimori, I.; Miyaji, E.; Morimoto, K.; Nagao, K.; Kamada, M.; Onishi, S. Serum antibodies to carbonic anhydrase IV in patients with autoimmune pancreatitis. Gut 2005, 54, 274–281. [Google Scholar] [CrossRef]
- Hubers, L.M.; Vos, H.; Schuurman, A.R.; Erken, R.; Oude Elferink, R.P.; Burgering, B.; van de Graff, S.F.J.; Beuers, U. Annexin A11 is targeted by IgG4 and IgG1antibodies in IgG4-related disease. Gut 2018, 67, 728–735. [Google Scholar] [CrossRef]
- Shiokawa, M.; Kodama, Y.; Sekiguchi, K.; Kuwada, T.; Tomono, T.; Kuriyama, K.; Yamazaki, H.; Morita, T.; Marui, S.; Sogabe, Y.; et al. Laminin 511 is a target antigen in autoimmune pancreatitis. Sci. Transl. Med. 2018, 10, eaaq0997. [Google Scholar] [CrossRef]
- Endo, T.; Takizawa, S.; Tanaka, S.; Takahashi, M.; Fujii, H.; Kamisawa, T.; Kobatashi, T. Amylase alpha-2A autoantibodies: Novel marker of autoimmune pancreatitis and fulminant type 1 diabetes. Diabetes 2009, 58, 732–737. [Google Scholar] [CrossRef]
- Perugino, C.A.; Al Salem, S.B.; Mattoo, H.; Della-Torre, E.; Mahajan, V.; Ganesh, G.; Allard-Chamard, H.; Wallace, Z.; Montesi, S.B.; Kreuzer, J.; et al. Identification of galectin-3 as an autoantigen in patients with IgG4-related disease. J. Allergy Clin. Immunol. 2019, 143, 736–745. [Google Scholar] [CrossRef]
- Mattoo, H.; Mahajan, V.S.; Machara, T.; Deshpande, V.; Della-Torre, E.; Wallace, Z.S.; Kulikova, M.; Drijvers, J.M.; Daccache, J.; Carruthers, M.N.; et al. Clonal expansion of CD4+ cytotoxic T lymphocytes in patients with IgG4-related disease. J. Allergy Clin. Immunol. 2016, 138, 825–838. [Google Scholar] [CrossRef] [PubMed]
- Asada, M.; Nishio, A.; Uchida, K.; Kido, M.; Ueno, S.; Uza, N.; Kiziya, K.; Inoue, S.; Kitamura, H.; Ohashi, S.; et al. Identification of a novel autoantibody against pancreatic secretory trypsin inhibitor in patients with autoimmune pancreatitis. Pancreas 2006, 33, 20–26. [Google Scholar] [CrossRef]
- Lohr, J.M.; Faissner, R.; Koczan, D.; Ofsky, R.; Kaderali, L.; Kleeff, J.; Bewerunge, P.; Bassi, C.; Brors, B.; Eilis, R.; et al. Autoantibodies against the exocrine pancreas in autoimmune pancreatitis: Gene and protein expression profiling and immunoassays identify pancreatic enzymes as a major target of the inflammatory process. Am. J. Gastroenterol. 2010, 105, 2060–2067. [Google Scholar] [CrossRef] [PubMed]
- Jarrell, J.A.; Baker, M.C.; Perugino, C.A.; Liu, H.; Bloom, M.S.; Maehara, T.; Wong, H.H.; Lanz, T.V.; Adamska, J.Z.; Kongpachith, S.; et al. Neutralizing anti-IL-1 receptor antagonist autoantibodies induce inflammatory and fibrotic mediators in IgG4-related disease. J. Allergy Clin. Immunol. 2022, 149, 358–368. [Google Scholar] [CrossRef]
- Sun, R.; Liu, Z.; Lu, H.; Peng, Y.; Li, J.; Nie, Y.; Li, J.; Peng, L.; Zhou, J.; Fei, Y.; et al. Potential impact of autoimmune disease family in IgG4-related disease: A retrospective cohort study. RMD Open 2023, 9, e002865. [Google Scholar] [CrossRef] [PubMed]
- Aoki, A.; Hirahara, K.; Kiuchi, M.; Nakayama, T. Eosinophils: Cells known for over 140 years with broad and new functions. Allergol. Int. 2021, 70, 3–8. [Google Scholar] [CrossRef]
- Kita, H.; Gleich, G. Eosinophils and IgE receptors: A continuing controversy. Blood 1997, 89, 3497–3501. [Google Scholar] [CrossRef]
- Pritam, P.; Manna, S.; Sahu, A.; Swain, S.S.; Ramchandani, S.; Bissoyi, S.; Panda, M.K.; Sing, Y.D.; Mohanta, Y.K.; Jit, B.P. Eosinophils: A central player in modulating pathological complexity in asthma. Allergol. Immunopathol. 2021, 49, 191–207. [Google Scholar] [CrossRef]
- Simon, H.-U. The eosinophil and its role in physiology and disease: News and views. Semin. Immunopathol. 2021, 43, 291–293. [Google Scholar] [CrossRef]
- Bozza, M.T.; Lintomen, L.; Kitoko, J.Z.; Paiva, C.N.; Olsen, P.C. The role of MIF on eosinophil biology and eosinophilic inflammation. Clin. Rev. Allergy Immunol. 2020, 58, 15–24. [Google Scholar] [CrossRef]
- Shiokawa, M.; Kodama, Y.; Kuriyama, K.; Yoshimura, K.; Tomono, T.; Morita, T.; Kakiuchi, N.; Matsumori, T.; Mima, A.; Nishikawa, Y.; et al. Pathogenicity of IgG in patients with IgG4-related disease. Gut 2016, 65, 1322–1332. [Google Scholar] [CrossRef] [PubMed]
- Jin, X.; Shi, T. Eosinophilic lymphogranuloma: A report of 7 cases similar to Mikulicz’s disease. Zhonghua Yixue Zhazhi 1937, 23, 681–699. (In Chinese) [Google Scholar]
- Kimura, T.; Yoshimura, S.; Ishikawa, E. On the unusual granulation combined with hyperplastic changes of lymphatic tissues. Trans. Soc. Pathol. Jpn. 1948, 37, 179–180. (In Japanese) [Google Scholar]
- Abuel-Haj, M.; Hurford, M.T. Kimura’s disease. Arch. Pathol. Lab Med. 2007, 131, 650–651. [Google Scholar] [CrossRef]
- Daaleman, T.P.; Woodroof, J. Kimura’s disease presenting as subcutaneous facial plaque in an African American. Cutis 2000, 66, 201–204. [Google Scholar]
- Li, T.-J.; Chen, X.-M.; Wang, S.-Z.; Fan, M.-W.; Semba, I.; Kitano, M. Kimura’s disease: A clinicopathologic study of 54 Chinese patients. Oral Med. Oral Pathol. Oral Radiol. Endodontol. 1996, 82, 549–555. [Google Scholar] [CrossRef]
- Hui, P.K.; Chan, J.K.C.; Ng, C.S.; Kung, I.T.; Gwi, E. Lymphadenopathy of Kimura’s disease. Am. J. Surg. Pathol. 1989, 1, 177–186. [Google Scholar] [CrossRef]
- Liu, Y.C.; Liu, S.C.; Xu, J.; Xu, X.C.; Wang, M.Y. An unusual case of systemic lymphadenopathy—Kimura’s disease. J. Inflamm. Res. 2023, 16, 701–705. [Google Scholar] [CrossRef] [PubMed]
- Yang, B.D.; Kiao, H.L.; Wang, M.H.; Long, Q.Y.; Zhong, L.L.; Liu, Z.M.; Cheng, X.C. Kimura’s disease successfully affecting multiple body parts: A case-based literature review. BMC Ophthalmol. 2022, 22, 154. [Google Scholar] [CrossRef]
- Liu, C.; Hu, W.; Chen, H.; Tang, Z.; Zeng, C.; Liu, Z.; Li, L. Clinical and pathological study of Kimura’s disease with renal involvement. J. Nephrol. 2008, 21, 517–525. [Google Scholar]
- Liu, L.; Cheng, Y.; Fang, Z.; Kong, J.P.; Wu, X.D.; Zhang, Z. Kimura’s disease or IgG4-related disease? A case-based review. Clin. Rheumatol. 2015, 34, 385–389. [Google Scholar] [CrossRef] [PubMed]
- Ma, X.R.; Xin, S.J.; Ouyang, T.X.; Ma, Y.T.; Chen, W.Y.; Chang, M.L. Successful treatment of Kimura’s disease with leflunomide and methylprednisolone: A case report. Int. J. Clin. Exp. Med. 2014, 7, 2219–2222. [Google Scholar]
- Nonaka, M.; Sakitani, E.; Yoshihara, T. Anti-IgE therapy to Kimura’s disease: A pilot study. Auris Nasus Larynx 2014, 41, 384–388. [Google Scholar] [CrossRef]
- Yang, B.; Yu, H.; Jia, M.; Yao, W.; Diao, R.; Li, B.; Wang, Y.; Li, T.; Ge, L.; Wang, H. Successful treatment of dupilumab in Kimura disease independent pf IgE: A case report with literature review. Front. Immnol. 2022, 13, 1084879. [Google Scholar] [CrossRef]
- Hamano, H.; Kawa, S.; Horiuchi, A.; Unno, H.; Furuya, N.; Akamatsu, T.; Fushima, M.; Nikaido, T.; Nakayama, K.; Usuda, T.; et al. High serum IgG4 concentrations in patients with sclerosing pancreatitis. N. Eng. J. Med. 2001, 344, 732–738. [Google Scholar] [CrossRef]
- Kamisawa, T.; Funata, N.; Hayashi, Y.; Eishi, Y.; Koike, M.; Tsuruta, K.; Okamoto, A.; Egawa, N.; Nakjima, H. A new clinicopathological entity of IgG4-related autoimmune disease. J. Gastroenterol. 2003, 38, 38982–38984. [Google Scholar] [CrossRef]
- Deshpande, V.; Zea, Y.; Chan, J.K.C.; Yi, E.E.; Sato, Y.; Yoshino, T.; Kloppel, G.; Heathcote, J.G.; Khosroshahi, A.; Ferry, J.A.; et al. Consensus statement on the pathology of IgG4-related disease. Mod. Pathol. 2012, 25, 1181–1192. [Google Scholar] [CrossRef]
- Umehara, H.; Okazaki, K.; Kawa, S.; Takahashi, H.; Goto, H.; Matsui, S.; Ishizaka, N.; Akamizu, T.; Sato, Y.; Kawano, M. The 2020 revised comprehensive diagnostic (RCD) criteria for IgG4-RD. Mod. Rheumatol. 2021, 31, 529–533. [Google Scholar] [CrossRef] [PubMed]
- Stone, J.H.; Zen, Y.; Deshpande, V. IgG4-related disease. N. Eng. J. Med. 2012, 366, 539–551. [Google Scholar] [CrossRef]
- Nehring, P.; Przybytkowski, A. Think twice before operating on a pancreatic mass: Could it be IgG4-related disease? Lancet 2020, 395, 816. [Google Scholar] [CrossRef]
- Saavedra-Perez, D.; Vaquero, E.C.; Ayuso, J.R.; Fernandez-Cruz, L. Autoimmune pancreatitis: A surgical dilemma. Cirugía Española (Engl. Ed.) 2014, 92, 645–653. [Google Scholar] [CrossRef] [PubMed]
- Cao, X.; Li, S.; Wan, J.; Yu, Z.; Dong, G.; Zhou, W. Effectiveness of tofacitinib monotherapy for patients with IgG4-RD or idiopathic retroperitoneal fibrosis. Clin. Exp. Rheumatol. 2024, 42, 1736–1743. [Google Scholar] [CrossRef]
- Kottler, D.; Barete, S.; Quereux, G.; Ingen-Housz-Oro, S.; Fraitag, S.; Ortonne, N.; Deschamps, L.; Rybojad, M.; Flageul, B.; Crickx, B.; et al. Retrospective multicentric study of 25 Kimura disease patients: Emphasis on therapeutics and shared features with cutaneous IgG4-related disease. Dermatology 2015, 231, 367–377. [Google Scholar] [CrossRef]
- Chang, S.Y.; Lee, C.C.; Chang, M.L.; Teng, W.C.; Hsiao, C.Y.; Yu, H.H.; Hsieh, M.J.; Chan, T.M. Comparison of clinical manifestations and pathology between Kimura disease and IgG4-related disease: A report of two cases and literature review. J. Clin. Med. 2022, 11, 6887. [Google Scholar] [CrossRef]
- Wallace, Z.S.; Naden, R.P.; Chari, S.; Choi, H.K.; Della-Torre, E.; Dicaire, J.; Hart, P.A.; Inoue, D.; Kawano, M.; Khosroshahi, A.; et al. The 2019 American College of Rheumatology/European League Against Rheumatism Classification Criteria for IgG4-related disease. Am. Rheum Dis. 2020, 79, 77–87. [Google Scholar] [CrossRef] [PubMed]
- Satou, A.; Notohara, K.; Zen, Y.; Nakamura, S.; Yoshino, T.; Okazaki, K.; Sato, Y. Clinicopathological differential diagnosis of IgG4-related disease: A historical review and a proposal of the criteria for excluding mimickers of IgG4-related diseases. Pathol. Int. 2020, 1, 391–402. [Google Scholar] [CrossRef] [PubMed]
- Wallace, Z.S.; Miles, G.; Smolkina, E.; Petruski-Ivleva, N.; Madziva, D.; Cook, C.; Fu, X.; Zhang, Y.; Stone, J.H.; Choi, H.K. Incidence, prevalence and mortality of IgG4-related disease in the USA: A claims-based analysis of commercially insured adults. Ann. Rheumat. Dis. 2023, 82, 957–962. [Google Scholar] [CrossRef]
- Mitsuhiro, A.; Katsuya, S.; Yamaoka, K.; Yasuoka, H.; Takeshita, M.; Kaneko, Y.; Kondo, H.; Kassai, Y.; Miyazaki, T.; Morita, R.; et al. Number of circulating follicular helper 2 T cells correlates with IgG4 and interleukin-4 levels and plasmablast numbers in IgG4-related disease. Arthritis Rheumatol. 2015, 65, 2476–2481. [Google Scholar] [CrossRef]
Disclaimer/Publisher’s Note: The statements, opinions and data contained in all publications are solely those of the individual author(s) and contributor(s) and not of MDPI and/or the editor(s). MDPI and/or the editor(s) disclaim responsibility for any injury to people or property resulting from any ideas, methods, instructions or products referred to in the content. |
© 2025 by the author. Licensee MDPI, Basel, Switzerland. This article is an open access article distributed under the terms and conditions of the Creative Commons Attribution (CC BY) license (https://creativecommons.org/licenses/by/4.0/).

