Phytoplasma Transmission by Seeds in Alfalfa: A Risk for Agricultural Crops and Environment
Abstract
1. Introduction
2. Materials and Methods
2.1. Seed Collection
2.2. Seed Sterilization, Sowing and Germination
2.3. Transplantation to Pots in Greenhouse
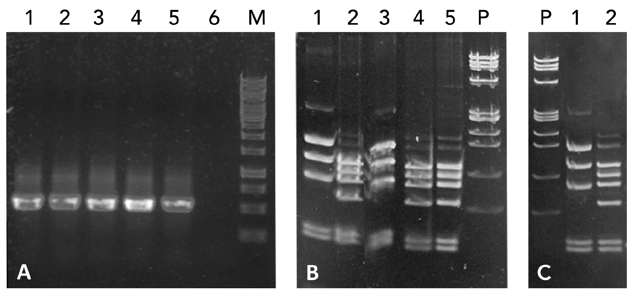
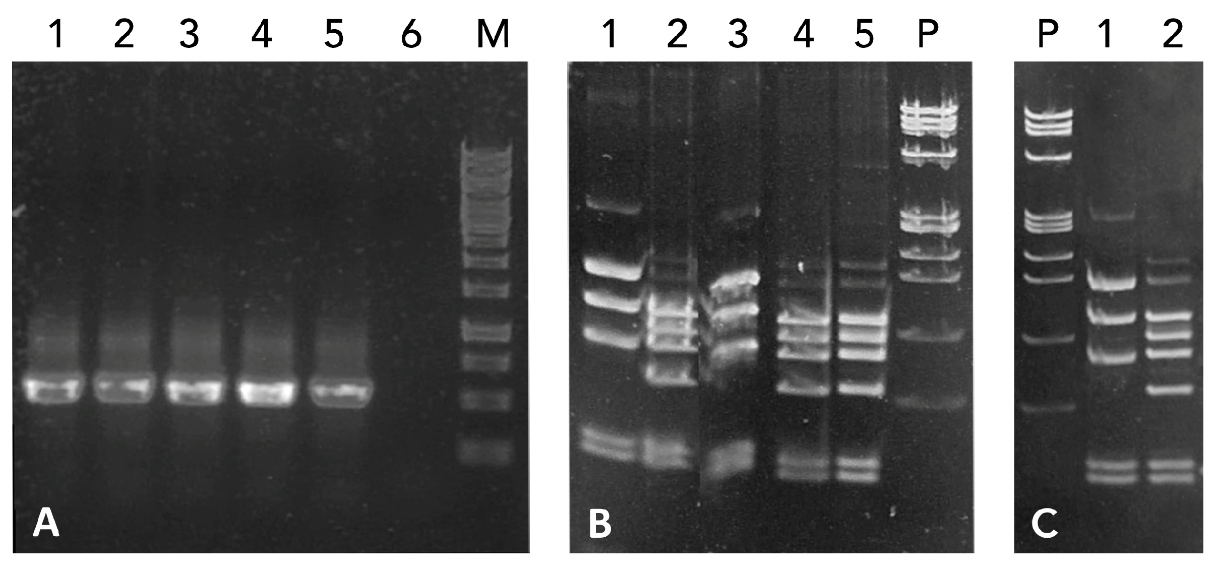
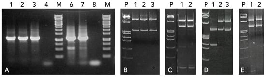
2.4. DNA Extraction, Phytoplasma Detection and Identification
3. Results
4. Discussion
5. Conclusions
Author Contributions
Funding
Data Availability Statement
Acknowledgments
Conflicts of Interest
References
- Doi, Y.; Teranaka, M.; Yora, K.; Asuyama, H. Mycoplasma-or PLT group-like microorganisms found in the phloem elements of plants infected with mulberry dwarf, potato witches’ broom, aster yellows, or paulownia witches’ broom. Jpn. J. Phytopathol. 1967, 33, 259–266. [Google Scholar] [CrossRef]
- Bertaccini, A.; Lee, I.-M. Phytoplasmas: An update. In Phytoplasmas: Plant Pathogenic Bacteria-I: Characterization and Epidemiology of Phytoplasma-Associated Diseases; Rao, G.P., Bertaccini, A., Fiore, N., Liefting, L.W., Eds.; Springer: Singapore, 2018; pp. 1–29. [Google Scholar]
- Bertaccini, A. Plants and phytoplasmas: When bacteria modify plants. Plants 2022, 11, 1425. [Google Scholar] [CrossRef]
- Weintraub, P.G.; Beanland, L. Insect vectors of phytoplasmas. Annu. Rev. Entomol. 2006, 51, 91–111. [Google Scholar] [CrossRef]
- Lee, I.-M.; Gundersen-Rindal, D.E.; Davis, R.E.; Bartoszyk, I.M. Revised classification scheme of phytoplasmas based on RFLP analyses of 16S rRNA and ribosomal protein gene sequences. Int. J. Syst. Evol. Microbiol. 1998, 48, 1153–1169. [Google Scholar] [CrossRef]
- Bertaccini, A.; Arocha-Rosete, Y.; Contaldo, N.; Duduk, B.; Fiore, N.; Guglielmi Montano, H.; Kube, M.; Kuo, C.-H.; Martini, M.; Oshima, K.; et al. Revision of the ‘Candidatus Phytoplasma’ species description guidelines. Int. J. Syst. Evol. Microbiol. 2022, 72, 005353. [Google Scholar] [CrossRef]
- Bertaccini, A.; Marani, F. Electron microscopy of two viruses and mycoplasma-like organisms in lilies with deformed flowers. Phytopathol. Mediterr. 1982, 21, 8–14. [Google Scholar]
- Calari, A.; Paltrinieri, S.; Contaldo, N.; Sakalieva, D.; Mori, N.; Duduk, B.; Bertaccini, A. Molecular evidence of phytoplasmas in winter oilseed rape, tomato and corn seedlings. Bull. Insectology 2011, 64, S157–S158. [Google Scholar]
- Zwolinska, A.; Krawczyk, K.; Pospieszny, H. Molecular characterization of “stolbur” phytoplasma associated with pea plants in Poland. J. Phytopathol. 2012, 160, 317–323. [Google Scholar] [CrossRef]
- Carminati, G.; Satta, E.; Paltrinieri, S.; Bertaccini, A. Simultaneous evaluation of ‘Candidatus Phytoplasma’ and ‘Candidatus Liberibacter solanacearum’ seed transmission in carrot. Phytopathogenic Mollicutes 2019, 9, 141–142. [Google Scholar] [CrossRef]
- Satta, E.; Carminati, G.; Bertaccini, A. Phytoplasma presence in carrot seedlings. Australas. Plant Dis. Notes 2020, 15, 11. [Google Scholar] [CrossRef]
- Ghayeb Zamharir, M.; Shameli, S.; Bertaccini, A. Epidemiology of soybean bud proliferation and seed pod abortion disease in Iran. Australas. Plant Pathol. 2022, 51, 383–390. [Google Scholar] [CrossRef]
- Mateeti, S.T.; Checchi, G.; Messina, N.A.; Feduzi, G.; Bertaccini, A.; Contaldo, N. Presence and seed transmission of phytoplasmas in tomato fields in Italy. Phytopathogenic Mollicutes 2022, 12, 1–6. [Google Scholar] [CrossRef]
- Mateeti, S.T.; Darabakula, M.; Contaldo, N.; Pacini, F.; Bertaccini, A. Seed transmission of phytoplasmas infecting eggplants in India. Phytopathogenic Mollicutes 2023, 13, 57–58. [Google Scholar] [CrossRef]
- Darabakula, M.; Mateeti, S.T.; Pacini, F.; Bertaccini, A.; Contaldo, N. Eggplant little leaf-associated phytoplasma detection in seedlings under insect-proof conditions. Int. J. Plant Biol. 2024, 15, 217–229. [Google Scholar] [CrossRef]
- Gungoosingh Bunwaree, A.; Contaldo, N.; Bertaccini, A. Seed transmission of phytoplasmas in tomato and chili varieties commonly grown in Mauritius. Phytopathogenic Mollicutes 2023, 13, 55–56. [Google Scholar] [CrossRef]
- Hosseini, S.; Bahar, M.; Zirak, L. Characterization of phytoplasmas related to peanut witches’ broom and “stolbur” groups associated with alfalfa diseases in Iran. J. Plant Dis. Prot. 2013, 120, 70–76. [Google Scholar] [CrossRef]
- Khan, A.J.; Botti, S.; Paltrinieri, S.; Al-Subhi, A.M.; Bertaccini, A. Phytoplasmas in alfalfa seedlings: Infected or contaminated seedling? In Proceedings of the 14th International Organization of Mycoplasmology Conference, Vienna, Austria, 7–12 July 2002; Volume 148, p. 205. [Google Scholar]
- Murashige, T.; Skoog, F. A revised medium for rapid growth and bioassays with tobacco tissue cultures. Physiol. Plant. 1962, 15, 473–497. [Google Scholar] [CrossRef]
- Doyle, J.J.; Doyle, J.L. Isolation of plant DNA from fresh tissue. Focus 1990, 12, 13–15. [Google Scholar]
- Deng, S.J.; Hiruki, C. Amplification of 16S rRNA genes from culturable and nonculturable Mollicutes. J. Microbiol. Methods 1991, 14, 53–61. [Google Scholar] [CrossRef]
- Schneider, B.; Seemüller, E.; Smart, C.D.; Kirkpatrick, B.C. Phylogenetic classification of plant pathogenic mycoplasma-like organisms or phytoplasmas. In Molecular and Diagnostic Procedures in Mycoplasmology; Academic Press: San Diego, CA, USA, 1995; pp. 369–380. [Google Scholar]
- Gundersen, D.E.; Lee, I.-M. Ultrasensitive detection of phytoplasmas by nested-PCR assays using two universal primer pairs. Phytopathol. Mediterr. 1996, 35, 114–151. [Google Scholar]
- Lorenz, K.H.; Schneider, B.; Ahrens, U.; Seemüller, E. Detection of the apple proliferation and pear decline phytoplasmas by PCR amplification of ribosomal and non ribosomal DNA. Phytopathology 1995, 85, 771–776. [Google Scholar] [CrossRef]
- Gibb, K.S.; Padovan, A.C.; Mogen, B.D. Studies on sweet potato little-leaf phytoplasma detected in sweet potato and other plant species growing in Northern Australia. Phytopathology 1995, 85, 169–174. [Google Scholar] [CrossRef]
- Schaff, D.A.; Lee, I.-M.; Davis, R.E. Sensitive detection and identification of mycoplasma-like organisms in plants by polymerase chain reactions. Biochem. Biophys. Res. Commun. 1992, 186, 1503–1509. [Google Scholar] [CrossRef]
- Lee, I.-M.; Gundersen, D.E.; Hammond, R.W.; Davis, R.E. Use of mycoplasma like organism (MLO) group-specific oligonucleotide primers for nested-PCR assays to detect mixed-MLO infections in a single host plant. Phytopathology 1994, 84, 559–566. [Google Scholar] [CrossRef]
- Lee, I.-M.; Bertaccini, A.; Vibio, M.; Gundersen, D.E. Detection of multiple phytoplasmas in perennial fruit trees with decline symptoms in Italy. Phytopathology 1995, 85, 728–735. [Google Scholar] [CrossRef]
- Satta, E. Studies on phytoplasma seed transmission in different biological systems. Ph.D. Thesis, Alma Mater Studiorum-University of Bologna, Bologna, Italy, 2017. [Google Scholar] [CrossRef]
- Wang, Y.L.; Zhang, H.B. Assembly and function of seed endophytes in response to environmental stress. J. Microbiol. Biotechnol. 2023, 33, 1119–1129. [Google Scholar] [CrossRef]
- Peters, R.D.; Lee, M.E.; Grau, C.R.; Driscoll, S.J.; Winberg, R.M.; Kurtzweil, N.C.; Lukaesko, L.A.; Lee, I.-M. First report of aster yellows phytoplasma in alfalfa. Plant Dis. 1999, 83, 488. [Google Scholar] [CrossRef]
- Marzachì, C.; Veratti, F.; d’Aquilio, M.; Vischi, A.; Conti, M.; Boccardo, G. Molecular hybridization and PCR amplification of non ribosomal DNA to detect and differentiate “stolbur” phytoplasma isolates from Italy. J. Plant Pathol. 2000, 82, 201–212. [Google Scholar]
- Khan, A.J.; Botti, S.; Al-Subhi, A.M.; Gundersen-Rindal, D.E.; Bertaccini, A. Molecular identification of a new phytoplasma associated with alfalfa witches’ broom in Oman. Phytopathology 2002, 92, 1038–1047. [Google Scholar] [CrossRef]
- Li, Z.N.; Zhang, L.; Man, J.Y.; Wu, Y.F. Detection and identification of elm yellows group phytoplasma (16SrV) associated with alfalfa witches’ broom disease. J. Phytopathol. 2012, 160, 311–313. [Google Scholar] [CrossRef]
- Salehi, M.; Izadpanah, K.; Ebrahim-Nesbat, F. Etiology, transmission and host range of alfalfa witches’ broom in southern Iran. Iran. J. Plant Pathol. 1995, 31, 1–9. [Google Scholar]
- Esmailzadeh Hosseini, S.A.; Khodakaramian, G.; Salehi, M.; Fani, S.R.; Bolok Yazdi, H.R.; Raoufi, D.; Jadidi, O.; Bertaccini, A. Status of alfalfa witches’ broom phytoplasma disease in Iran. Phytopathogenic Mollicutes 2015, 5 (Suppl. 1), 65–66. [Google Scholar] [CrossRef]
- Esmailzadeh Hosseini, S.A.; Khodakaramian, G.; Salehi, M.; Bertaccini, A. Characterization of 16SrII group phytoplasmas associated with alfalfa (Medicago sativa) witches’ broom disease in diverse areas of Iran. J. Crop Prot. 2016, 5, 581–590. [Google Scholar] [CrossRef]
- De La Rue, S.J.; Hopkinson, R.; Gibb, K.S. Assessment of Stylosanthes seed yield reduction caused by phytoplasma-associated diseases. Aust. J. Exp. Agric. 2002, 42, 1053–1056. [Google Scholar] [CrossRef]
- Cordova, I.; Jones, P.; Harrison, N.A.; Oropeza, C. In situ PCR detection of phytoplasma DNA in embryos from coconut palms with lethal yellowing disease. Mol. Plant Pathol. 2003, 4, 99–108. [Google Scholar] [CrossRef] [PubMed]
- Nečas, T.; Mašková, V.; Krška, B. The possibility of ESFY phytoplasma transmission through flowers and seeds. Acta Hortic. 2008, 781, 443–448. [Google Scholar] [CrossRef]
- Nipah, J.O.; Jones, P.; Hodgetts, J.; Dickinson, M. Detection of phytoplasma DNA in embryos from coconut palms in Ghana, and kernels from maize in Peru. Bull. Insectology 2007, 60, 385. [Google Scholar]
- Faghihi, M.M.; Bagheri, A.N.; Bahrami, H.R.; Hasanzadeh, H.; Rezazadeh, R.; Siampour, M.; Samavi, S.; Salehi, M.; Izadpanah, K. Witches’ broom disease of lime affects seed germination and seedling growth but is not seed transmissible. Plant Dis. 2011, 95, 419–422. [Google Scholar] [CrossRef]
- Botti, S.; Bertaccini, A. Phytoplasma infection through seed transmission: Further observations. In Proceedings of the 16th International Congress of the IOM, Cambridge, UK, 9–14 July 2006; Volume 76, p. 113. [Google Scholar]
- Oropeza, C.; Cordova, I.; Puch-Hau, C.; Castillo, R.; Chan, J.L.; Sáenz, L. Detection of lethal yellowing phytoplasma in coconut plantlets obtained through in vitro germination of zygotic embryos from the seeds of infected palms. Ann. Appl. Biol. 2017, 171, 28–36. [Google Scholar] [CrossRef]
- Lu, H.; Wilson, B.; Zhang, H.; Woruba, S.B.; Feng, B.; Johnson, A.C.; Komolong, B.; Kuniata, L.; Yang, G.; Gurr, G.M. Detection and identification of Bogia coconut syndrome phytoplasma from seed-associated tissues and seedlings of coconut (Cocos nucifera) and betel nut (Areca catechu). Sci. Rep. 2024, 14, 11542. [Google Scholar] [CrossRef]
- Satta, E.; Paltrinieri, S.; Bertaccini, A. Phytoplasma transmission by seed. In Phytoplasmas: Plant Pathogenic Bacteria-II Transmission and Management of Phytoplasma Associated Diseases; Bertaccini, A., Weintraub, P.G., Rao, G.P., Mori, N., Eds.; Springer: Singapore, 2019; pp. 131–147. [Google Scholar]
- Satta, E.; Contaldo, N.; Paltrinieri, S.; Bertaccini, A. Biological and molecular proof of phytoplasma seed transmission in corn. In Proceedings of the IOM2016—21st Congress of the International Organization for Mycoplasmology, Brisbane, Australia, 3–7 July 2016; Volume 61, pp. 65–66. [Google Scholar]








| Sample Location | No. Seeds | No. Seeds Germinated | Germination | Transplanted | No. Plants Survived | Survival Rate |
|---|---|---|---|---|---|---|
| Al Hamara | 12 | 4 | 33.3% | 4 | 4 | 100% |
| Al Kami | 13 | 4 | 30.8% | 3 | 3 | 100% |
| Bahla | 18 | 3 | 16.7% | 3 | 2 | 66.7% |
| Dhank | 12 | 5 | 41.7% | 3 | 2 | 66.7% |
| Ibri | 17 | 2 | 1.2% | 2 | 2 | 100% |
| Manah | 17 | 0 | - | - | - | - |
| Moday bi | 15 | 4 | 26.7% | 3 | 3 | 100% |
| Nizwa | 17 | 2 | 11.8% | 1 | 1 | 100% |
| Sur | 18 | 5 | 27.8% | 2 | 2 | 100% |
| Saham | 15 | 6 | 40.0% | 3 | 3 | 100% |
| Salalah | 44 | 9 | 20.5% | 2 | 2 | 100% |
| Sohar | 24 | 0 | - | - | - | - |
| Yanqoul | 26 | 1 | 3.8% | 1 | 1 | 100% |
| Location | Sample | 30 DAT RFLP | Sequencing | 150 DAT RFLP | Sequencing |
|---|---|---|---|---|---|
| AL Hamara-1 | 1a | PCR+ | - | 16SrV+? | 99.38% ‘Ca. P. ulmi’ |
| AL Hamara-2 | 2a | PCR+ | - | - | - |
| AL Kami-1 | 3a | PCR+ | - | - | - |
| Bahla-I-2 | 6a | 16SrX | 98.30% ‘Ca. P. pyri’ related | - | - |
| Bahla-I-2 | 7a | PCR+ | - | - | - |
| Dhank-2 | 10a | 16SrV | 99.80% ‘Ca. P. ulmi’ | ? | nd |
| Ibri-2 | 12a | - | - | - | - |
| Moday bi-1 | 15a | - | - | - | - |
| Moday bi-2 | 16a | - | - | - | - |
| Nizwa-2 | 18a | 16SrV | nd | - | - |
| Sur-1 | 19a | 16SrX | nd | 16SrXII | 99.39% ‘Ca. P. solani’ |
| Sur-2 | 20a | 16SrV | nd | ? | nd |
| Saham-2 | 22a | 16SrV | nd | ? | nd |
| Salalah-1 | 23a | PCR+ | - | ? | nd |
| Salalah-2 | 24a | - | - | - | - |
| Yanqoul-II-1 | 27a | 16SrV | nd | - | - |
| AL Hamara-1 | 1b | +fb | - | - | - |
| Al Kami-2 | 4a | +fb | - | - | - |
| Al Kami-2 | 4b | 16SrII, -IX, -XII, ? | nd | nd | nd |
| Bahla-I-2 | 6b | - | - | - | - |
| Bahla-II-1 | 7b | +fb | - | - | - |
| Dhank-2 | 10b | 16SrX | 99.58% ‘Ca. P. prunorum’ | 16SrIII | 100% ‘Ca. P. pruni’ |
| Ibri-2 | 12b | +fb | - | - | - |
| Moday bi-2 | 16b | 16SrX | nd | - | - |
| Saham-1 | 21a | +fb | - | - | - |
| Saham-2 | 22b | +fb | - | - | - |
| Location | 2002 Testing | 2024 30 DAT | 2024 150 DAT |
|---|---|---|---|
| Al Hamara-1 | 16SrI, 16SrV, 16SrX | - | 16SrV |
| Al Kami-1 | 16SrV | - | - |
| Bahla-I-2 | 16SrI, 16SrII | 16SrX | - |
| Dhank-2 | 16SrII, 16SrV | 16SrV, 16SrX | - |
| Ibri-2 | 16SrI, 16SrII | - | - |
| Moday bi-2 | 16SrI, 16SrII, 16SrV, 16SrX | 16SrX | - |
| Nizwa-2 | 16SrII | 16SrV | - |
| Sur-1 | 16SrII | 16SrX/16SrV | 16SrXII |
| Saham-2 | 16SrI, 16SrII, 16SrV, 16SrXII | 16SrV | - |
| Salalah-1 | 16SrII | - | - |
| Yanqoul-II-1 | 16SrI, 16SrV, 16SrX | 16SrV | - |
Disclaimer/Publisher’s Note: The statements, opinions and data contained in all publications are solely those of the individual author(s) and contributor(s) and not of MDPI and/or the editor(s). MDPI and/or the editor(s) disclaim responsibility for any injury to people or property resulting from any ideas, methods, instructions or products referred to in the content. |
© 2025 by the authors. Licensee MDPI, Basel, Switzerland. This article is an open access article distributed under the terms and conditions of the Creative Commons Attribution (CC BY) license (https://creativecommons.org/licenses/by/4.0/).
Share and Cite
Bertaccini, A.; Gandra, R.R.; Mateeti, S.; Pacini, F. Phytoplasma Transmission by Seeds in Alfalfa: A Risk for Agricultural Crops and Environment. Seeds 2025, 4, 39. https://doi.org/10.3390/seeds4030039
Bertaccini A, Gandra RR, Mateeti S, Pacini F. Phytoplasma Transmission by Seeds in Alfalfa: A Risk for Agricultural Crops and Environment. Seeds. 2025; 4(3):39. https://doi.org/10.3390/seeds4030039
Chicago/Turabian StyleBertaccini, Assunta, Reena Reddy Gandra, Sritej Mateeti, and Francesco Pacini. 2025. "Phytoplasma Transmission by Seeds in Alfalfa: A Risk for Agricultural Crops and Environment" Seeds 4, no. 3: 39. https://doi.org/10.3390/seeds4030039
APA StyleBertaccini, A., Gandra, R. R., Mateeti, S., & Pacini, F. (2025). Phytoplasma Transmission by Seeds in Alfalfa: A Risk for Agricultural Crops and Environment. Seeds, 4(3), 39. https://doi.org/10.3390/seeds4030039

