Analysis of Polyphenolic Composition, Antioxidant Power and Stress-Response Effects of Fractionated Perilla Leaf Extract on Cells In Vitro
Abstract
1. Introduction
2. Materials and Methods
2.1. Sample Preparation
2.2. High Performance Liquid Chromatography (HPLC)
2.3. Determination of Total Phenolic Content
2.4. Determination of Total Flavonoid Content
2.5. Determination of Ortho-Diphenolic Content
2.6. Determination of 2 2-Diphenyl-1-picrylhydrazyl (DPPH) Radical Scavenging Activity
2.7. Determination of 2,2-Azinobis-(3-ethylbenzothiazoline-6-sulfonate) (Abts) Radical Cation Stabilisation
2.8. Determination of Cupric Reducing Antioxidant Power
2.9. Determination of Ferric Reducing Antioxidant Power
2.10. Determination of Nitrous Oxide Radical Scavenging Activity
2.11. Determination of Hydrogen Peroxide Scavenging Activity
2.12. Cell Culture
2.13. Cell Viability
2.14. Construction of the Human NQO1 ARE-Luciferase Reporter
2.15. Transfection
2.16. Dual-Luciferase Reporter Assay
2.17. Western Blotting
3. Results
3.1. Qualitative and Quantitative Assessment of Fractions Using HPLC
3.2. Determination of Total Phenolic, Flavonoid and Ortho-Diphenolic Content
3.3. Determination of the DPPH Radical Scavenging Activity and ABTS Radical Cation Stabilization
3.4. Determination of Cupric and Ferric Reducing Antioxidant Power
3.5. Determination of Nitrous Oxide Radical and Hydrogen Peroxide Scavenging Activity
3.6. Cell Viability
3.7. Dual-Luciferase Reporter Assay
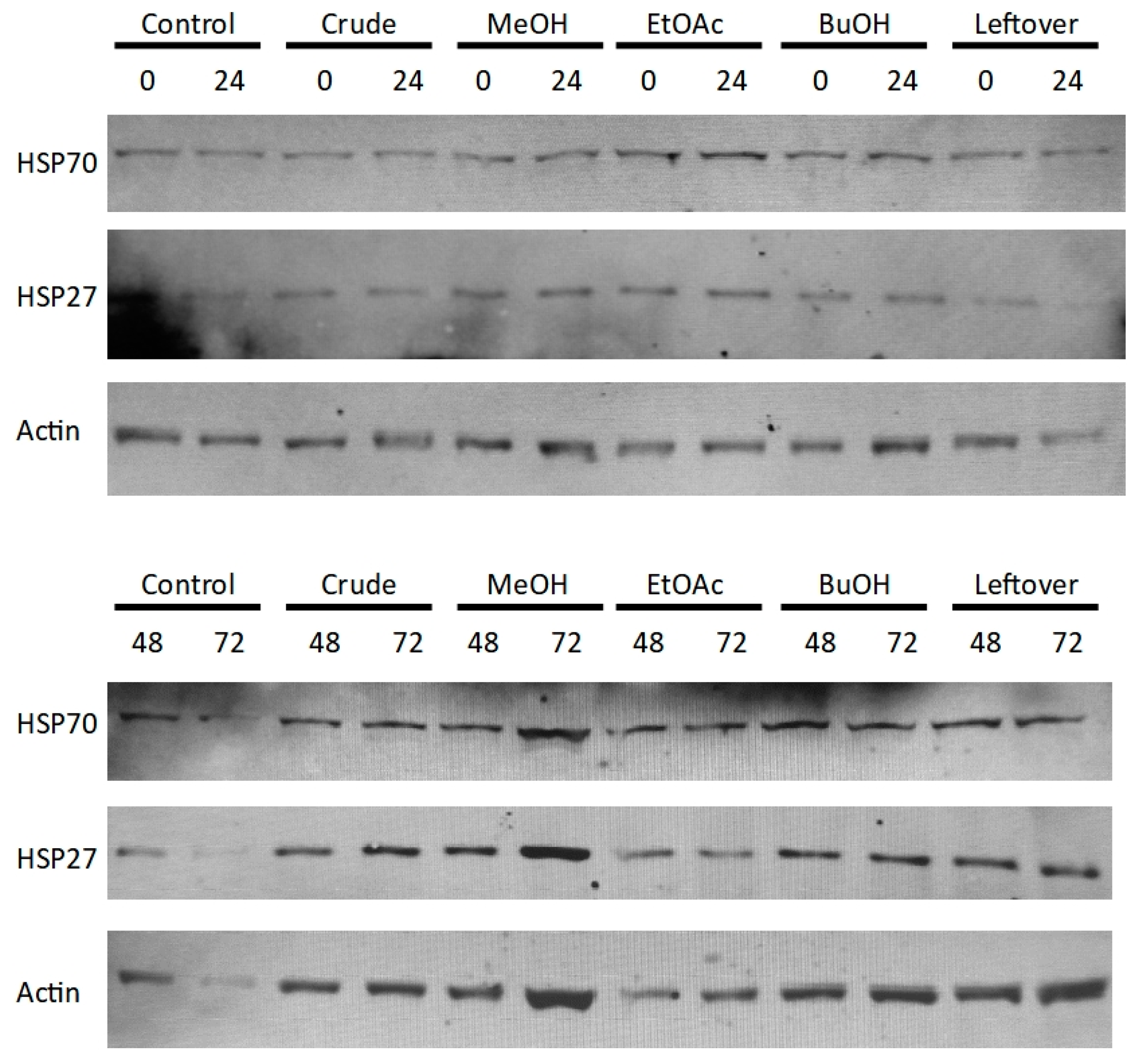
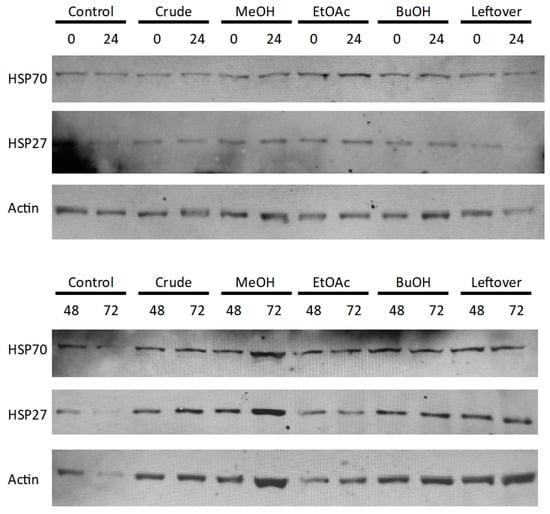
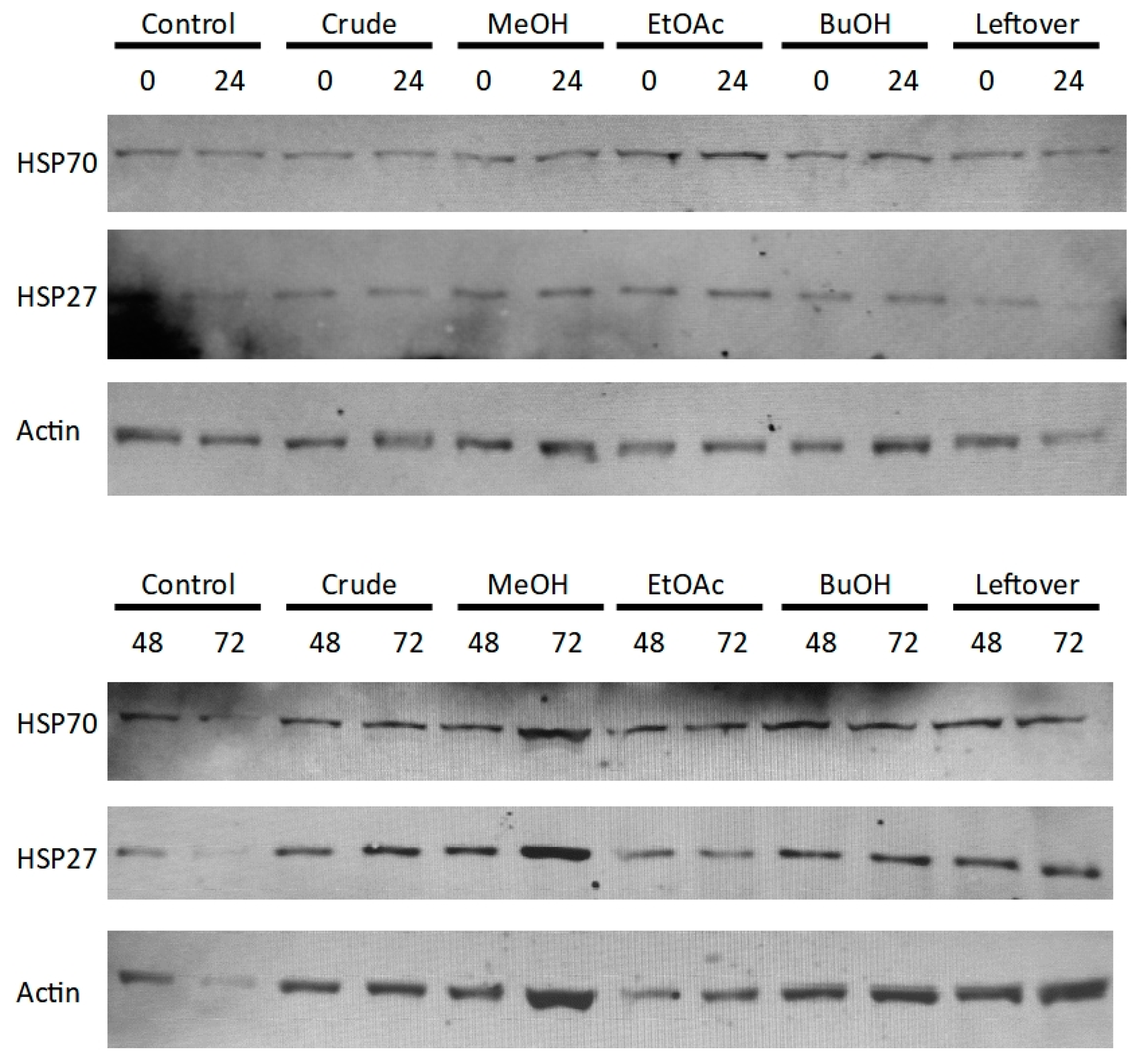
3.8. Western Blotting
4. Discussion
5. Conclusions
Author Contributions
Funding
Institutional Review Board Statement
Informed Consent Statement
Data Availability Statement
Acknowledgments
Conflicts of Interest
References
- Ahmed, H.M. Ethnomedicinal, phytochemical and pharmacological investigations of Perilla frutescens (L.) Britt. Molecules 2018, 24, 102. [Google Scholar] [CrossRef] [PubMed]
- Yu, H.; Qiu, J.F.; Ma, L.J.; Hu, Y.J.; Li, P.; Wan, J.B. Phytochemical and phytopharmacological review of Perilla frutescens L. (Labiatae), a traditional edible-medicinal herb in China. Food Chem. Toxicol. 2017, 108, 375–391. [Google Scholar] [CrossRef] [PubMed]
- Igarashi, M.; Miyazaki, Y. A review on bioactivities of perilla: Progress in research on the functions of perilla as medicine and food. Evid.-Based Complement. Altern. Med. 2013, 2013, 925342. [Google Scholar] [CrossRef] [PubMed]
- Kwak, Y.; Ju, J. Inhibitory activities of Perilla frutescens britton leaf extract against the growth, migration, and adhesion of human cancer cells. Nutr. Res. Pract. 2015, 9, 11. [Google Scholar] [CrossRef]
- Pintha, K.; Tantipaiboonwong, P.; Yodkeeree, S.; Chaiwangyen, W.; Chumphukam, O.; Khantamat, O.; Khanaree, C.; Kangwan, N.; Thongchuai, B.; Suttajit, M. Thai perilla (Perilla frutescens) leaf extract inhibits human breast cancer invasion and migration. Maejo Int. J. Sci. Technol. 2018, 12, 112–123. [Google Scholar]
- Hou, T.; Netala, V.R.; Zhang, H.; Xing, Y.; Li, H.; Zhang, Z. Perilla frutescens: A rich source of pharmacological active compounds. Molecules 2022, 27, 3578. [Google Scholar] [CrossRef] [PubMed]
- Vanita, K.; Megh, T.; Shivam, D. Perilla frutescens—A review on pharmacological activities, extraction procedure and applications. Asian J. Pharm. Clin. Res. 2022, 15, 34–40. [Google Scholar]
- Youn, I.; Han, S.; Jung, H.J.; Noh, S.G.; Chung, H.Y.; Koo, Y.K.; Shin, S.; Seo, E.K. Anti-Inflammatory Activity of the Constituents from the Leaves of Perilla frutescens var. acuta. Pharmaceuticals 2023, 16, 1655. [Google Scholar] [CrossRef]
- Tantipaiboonwong, P.; Pintha, K.; Chaiwangyen, W.; Suttajit, M.; Khanaree, C.; Khantamat, O. Bioefficacy of Nga-Mon (Perilla frutescens) fresh and dry leaf: Assessment of antioxidant, antimutagenicity, and anti-inflammatory potential. Plants 2023, 12, 2210. [Google Scholar] [CrossRef]
- Adam, G.; Robu, S.; Flutur, M.M.; Cioanca, O.; Vasilache, I.A.; Adam, A.M.; Mircea, C.; Nechita, A.; Harabor, V.; Harabor, A.; et al. Applications of Perilla frutescens extracts in clinical practice. Antioxidants 2023, 12, 727. [Google Scholar] [CrossRef] [PubMed]
- Takemoto, K.; Ganlin, T.; Iji, M.; Narukawa, T.; Koyama, T.; Hao, L.; Watanabe, H. Vegetable Extracts as Therapeutic Agents: A Comprehensive Exploration of Anti-Allergic Effects. Nutrients 2024, 16, 693. [Google Scholar] [CrossRef]
- Khanaree, C.; Punfa, W.; Tantipaiboonwong, P.; Nuntaboon, P.; Suttajit, M.; Topanurak, S.; Dukaew, N.; Mon, M.T.; Hu, R.; Pintha, K. In vitro anti-metastasis of Perilla frutescens leaf water extract on aggressive human breast cancer cells. J. Assoc. Med. Sci. 2022, 55, 51–59. [Google Scholar] [CrossRef]
- Jeong, J.H.; Park, H.J.; Chi, G.Y.; Choi, Y.H.; Park, S.H. An Ethanol Extract of Perilla frutescens Leaves Suppresses Adrenergic Agonist-Induced Metastatic Ability of Cancer Cells by Inhibiting Src-Mediated EMT. Molecules 2023, 28, 3414. [Google Scholar] [CrossRef] [PubMed]
- Huang, S.; Nan, Y.; Chen, G.; Ning, N.; Du, Y.; Lu, D.; Yang, Y.; Meng, F.; Yuan, L. The role and mechanism of Perilla frutescens in Cancer treatment. Molecules 2023, 28, 5883. [Google Scholar] [CrossRef] [PubMed]
- Kaurinovic, B.; Vastag, D. Flavonoids and Phenolic Acids as Potential Natural Antioxidants; IntechOpen: London, UK, 2019; pp. 1–20. [Google Scholar]
- Makhaik, M.S.; Shakya, A.K.; Kale, R. Dietary phytochemicals: As a natural source of antioxidants. In Antioxidants-Benefits, Sources, Mechanisms of Action; IntechOpen: London, UK, 2021; p. 646. [Google Scholar]
- Chaudhary, P.; Janmeda, P.; Docea, A.O.; Yeskaliyeva, B.; Abdull Razis, A.F.; Modu, B.; Calina, D.; Sharifi-Rad, J. Oxidative stress, free radicals and antioxidants: Potential crosstalk in the pathophysiology of human diseases. Front. Chem. 2023, 11, 1158198. [Google Scholar] [CrossRef]
- Mitra, S.; Tareq, A.M.; Das, R.; Emran, T.B.; Nainu, F.; Chakraborty, A.J.; Ahmad, I.; Tallei, T.E.; Idris, A.M.; Simal-Gandara, J. Polyphenols: A first evidence in the synergism and bioactivities. Food Rev. Int. 2023, 39, 4419–4441. [Google Scholar] [CrossRef]
- Sun, X.; Sarteshnizi, R.A.; Udenigwe, C.C. Recent advances in protein–polyphenol interactions focusing on structural properties related to antioxidant activities. Curr. Opin. Food Sci. 2022, 45, 100840. [Google Scholar] [CrossRef]
- Filipsky, T.; Riha, M.; Macakova, K.; Anzenbacherová, E.; Karlickova, J.; Mladenka, P. Antioxidant effects of coumarins include direct radical scavenging, metal chelation and inhibition of ROS-producing enzymes. Curr. Top. Med. Chem. 2015, 15, 415–431. [Google Scholar] [CrossRef]
- Cianfruglia, L.; Morresi, C.; Bacchetti, T.; Armeni, T.; Ferretti, G. Protection of polyphenols against glyco-oxidative stress: Involvement of glyoxalase pathway. Antioxidants 2020, 9, 1006. [Google Scholar] [CrossRef]
- Grgić, J.; Šelo, G.; Planinić, M.; Tišma, M.; Bucić-Kojić, A. Role of the encapsulation in bioavailability of phenolic compounds. Antioxidants 2020, 9, 923. [Google Scholar] [CrossRef]
- Treml, J.; Šmejkal, K. Flavonoids as potent scavengers of hydroxyl radicals. Compr. Rev. Food Sci. Food Saf. 2016, 15, 720–738. [Google Scholar] [CrossRef]
- Kopustinskiene, D.M.; Jakstas, V.; Savickas, A.; Bernatoniene, J. Flavonoids as anticancer agents. Nutrients 2020, 12, 457. [Google Scholar] [CrossRef]
- Ponte, L.G.S.; Pavan, I.C.B.; Mancini, M.C.S.; da Silva, L.G.S.; Morelli, A.P.; Severino, M.B.; Bezerra, R.M.N.; Simabuco, F.M. The hallmarks of flavonoids in cancer. Molecules 2021, 26, 2029. [Google Scholar] [CrossRef] [PubMed]
- Chen, J.; Yang, J.; Ma, L.; Li, J.; Shahzad, N.; Kim, C.K. Structure-antioxidant activity relationship of methoxy, phenolic hydroxyl, and carboxylic acid groups of phenolic acids. Sci. Rep. 2020, 10, 2611. [Google Scholar] [CrossRef] [PubMed]
- Abotaleb, M.; Liskova, A.; Kubatka, P.; Büsselberg, D. Therapeutic potential of plant phenolic acids in the treatment of cancer. Biomolecules 2020, 10, 221. [Google Scholar] [CrossRef] [PubMed]
- El Menyiy, N.; El Allam, A.; Aboulaghras, S.; Jaouadi, I.; Bakrim, S.; El Omari, N.; Shariati, M.A.; Miftakhutdinov, A.; Wilairatana, P.; Mubarak, M.S.; et al. Inflammatory auto-immune diseases of the intestine and their management by natural bioactive compounds. Biomed. Pharmacother. 2022, 151, 113158. [Google Scholar] [CrossRef]
- Vaidya, F.U.; Chhipa, A.S.; Sagar, N.; Pathak, C. Oxidative stress and inflammation can fuel cancer. In Role of Oxidative Stress in Pathophysiology of Diseases; Springer: Berlin/Heidelberg, Germany, 2020; pp. 229–258. [Google Scholar]
- Neganova, M.; Liu, J.; Aleksandrova, Y.; Klochkov, S.; Fan, R. Therapeutic influence on important targets associated with chronic inflammation and oxidative stress in cancer treatment. Cancers 2021, 13, 6062. [Google Scholar] [CrossRef] [PubMed]
- Bardelčíková, A.; Šoltys, J.; Mojžiš, J. Oxidative stress, inflammation and colorectal cancer: An overview. Antioxidants 2023, 12, 901. [Google Scholar] [CrossRef] [PubMed]
- Zhao, C.R.; Qu, X.J. Nrf2–ARE signaling pathway and natural products for cancer chemoprevention. Cancer Epidemiol. 2010, 34, 523–533. [Google Scholar] [CrossRef]
- Kwon, S.H.; Wang, Z.; Hwang, S.H.; Kang, Y.H.; Lee, J.Y.; Lim, S.S. Comprehensive evaluation of the antioxidant capacity of Perilla frutescens leaves extract and isolation of free radical scavengers using step-wise HSCCC guided by DPPH-HPLC. Int. J. Food Prop. 2017, 20 (Suppl. S1), 921–934. [Google Scholar] [CrossRef]
- Izumi, Y.; Matsumura, A.; Wakita, S.; Akagi, K.I.; Fukuda, H.; Kume, T.; Irie, K.; Takada-Takatori, Y.; Sugimoto, H.; Hashimoto, T.; et al. Isolation, identification, and biological evaluation of Nrf2-ARE activator from the leaves of green perilla (Perilla frutescens var. crispa f. Viridis). Free Radic. Biol. Med. 2012, 53, 669–679. [Google Scholar] [CrossRef] [PubMed]
- Lee, A.Y.; Wu, T.T.; Hwang, B.R.; Lee, J.; Lee, M.H.; Lee, S.; Cho, E.J. The neuro-protective effect of the methanolic extract of Perilla frutescens var. japonica and rosmarinic acid against H2O2-induced oxidative stress in C6 glial cells. Biomol. Ther. 2016, 24, 338. [Google Scholar] [CrossRef]
- Adam, G.; Cojocaru, F.D.; Verestiuc, L.; Cioanca, O.; Vasilache, I.A.; Adam, A.M.; Mircea, C.; Nechita, A.; Harabor, V.; Huzum, B.; et al. Assessing the Antioxidant Properties, In Vitro Cytotoxicity and Antitumoral Effects of Polyphenol-Rich Perilla leaves Extracts. Antioxidants 2023, 13, 58. [Google Scholar] [CrossRef] [PubMed]
- Singleton, V.L.; Orthofer, R.; Lamuela-Raventós, R.M. Analysis of total phenols and other oxidation substrates and antioxidants by means of folin-ciocalteu reagent. Methods Enzymol. 1999, 299, 152–178. [Google Scholar]
- Mabry, T.J.; Markham, K.R.; Thomas, M.B.; Mabry, T.J.; Markham, K.R.; Thomas, M.B. The Ultraviolet Spectra of Flavones and Flavonols; Springer: Berlin/Heidelberg, Germany, 1970. [Google Scholar]
- Mateos, R.; Espartero, J.L.; Trujillo, M.; Ríos, J.J.; León-Camacho, M.; Alcudia, F.; Cert, A. Determination of phenols, flavones, and lignans in virgin olive oils by solid-phase extraction and high-performance liquid chromatography with diode array ultraviolet detection. J. Agric. Food Chem. 2001, 49, 2185–2192. [Google Scholar] [CrossRef]
- Peng, S.; Zhang, B.; Yao, J.; Duan, D.; Fang, J. Dual protection of hydroxytyrosol, an olive oil polyphenol, against oxidative damage in PC12 cells. Food Funct. 2015, 6, 2091–2100. [Google Scholar] [CrossRef] [PubMed]
- Ballus, C.A.; Meinhart, A.D.; de Souza Campos, F.A., Jr.; Godoy, H.T. Total phenolics of virgin olive oils highly correlate with the hydrogen atom transfer mechanism of antioxidant capacity. J. Am. Oil Chem. Soc. 2015, 92, 843–851. [Google Scholar] [CrossRef]
- Apak, R.; Güçlü, K.; Özyürek, M.; Karademir, S.E. Novel total antioxidant capacity index for dietary polyphenols and vitamins C and E, using their cupric ion reducing capability in the presence of neocuproine: CUPRAC method. J. Agric. Food Chem. 2004, 52, 7970–7981. [Google Scholar] [CrossRef]
- Benzie, I.F.; Strain, J.J. The ferric reducing ability of plasma (FRAP) as a measure of “antioxidant power”: The FRAP assay. Anal. Biochem. 1996, 239, 70–76. [Google Scholar] [CrossRef]
- Polshettiwar, S.A.; Ganjiwale, R.O.; Wadher, S.J.; Yeole, P.G. Spectrophotometric estimation of total tannins in some ayurvedic eye drops. Indian J. Pharm. Sci. 2007, 69, 574. [Google Scholar]
- Zhang, G.; Zong, R.; Tseng, H.W.; Thummel, R.P. Ru (II) Complexes of Tetradentate Ligands Related to 2,9-Di(pyrid-2′-yl)-1,10-phenanthroline. Inorg. Chem. 2008, 47, 990–998. [Google Scholar] [CrossRef]
- Ueda, H.; Yamazaki, C.; Yamazaki, M. Luteolin as an anti-inflammatory and anti-allergic constituent of Perilla frutescens. Biol. Pharm. Bull. 2002, 25, 1197–1202. [Google Scholar] [CrossRef] [PubMed]
- Tada, M.; Matsumoto, R.; Yanmaguchi, H.; Chiba, K. Novel antioxidants isolated from Perilla flutescens britton var. crispa (Thunb). Biosci. Biotechnol. Biochem. 1996, 60, 1093–1095. [Google Scholar]
- Zhu, F.; Asada, T.; Sato, A.; Koi, Y.; Nishiwaki, H.; Tamura, H. Rosmarinic acid extract for antioxidant, antiallergic, and α-glucosidase inhibitory activities, isolated by supramolecular technique and solvent extraction from Perilla leaves. J. Agric. Food Chem. 2014, 62, 885–892. [Google Scholar] [CrossRef]
- Alagawany, M.; Abd El-Hack, M.E.; Farag, M.R.; Gopi, M.; Karthik, K.; Malik, Y.S.; Dhama, K. Rosmarinic acid: Modes of action, medicinal values and health benefits. Anim. Health Res. Rev. 2017, 18, 167. [Google Scholar] [CrossRef] [PubMed]
- Noor, S.; Mohammad, T.; Rub, M.A.; Raza, A.; Azum, N.; Yadav, D.K.; Hassan, M.I.; Asiri, A.M. Biomedical features and therapeutic potential of rosmarinic acid. Arch. Pharmacal Res. 2022, 45, 205–228. [Google Scholar] [CrossRef]
- Petersen, M.; Abdullah, Y.; Benner, J.; Eberle, D.; Gehlen, K.; Hücherig, S.; Janiak, V.; Kim, K.H.; Sander, M.; Weitzel, C.; et al. Evolution of rosmarinic acid biosynthesis. Phytochemistry 2009, 70, 1663–1679. [Google Scholar] [CrossRef] [PubMed]
- Lim, H.J.; Woo, K.W.; Lee, K.R.; Lee, S.K.; Kim, H.P. Inhibition of proinflammatory cytokine generation in lung inflammation by the leaves of Perilla frutescens and its constituents. Biomol. Ther. 2014, 22, 62. [Google Scholar] [CrossRef]
- Stansbury, J. Rosmarinic acid as a novel agent in the treatment of allergies and asthma. J. Restor. Med. 2014, 3, 121–126. [Google Scholar] [CrossRef]
- Jin, B.R.; Chung, K.S.; Cheon, S.Y.; Lee, M.; Hwang, S.; Noh Hwang, S.; Rhee, K.J.; An, H.J. Rosmarinic acid suppresses colonic inflammation in dextran sulphate sodium (DSS)-induced mice via dual inhibition of NF-κB and STAT3 activation. Sci. Rep. 2017, 7, 46252. [Google Scholar] [CrossRef] [PubMed]
- Hong, E.; Park, K.H.; Kim, G.H. Phenolic-enriched fractions from Perilla frutescens var. acuta: Determinating rosmarinic acid and antioxidant activity. J. Food Biochem. 2011, 35, 1637–1645. [Google Scholar] [CrossRef]
- Han, J.; Wang, D.; Ye, L.; Li, P.; Hao, W.; Chen, X.; Ma, J.; Wang, B.; Shang, J.; Li, D.; et al. Rosmarinic acid protects against inflammation and cardiomyocyte apoptosis during myocardial ischemia/reperfusion injury by activating peroxisome proliferator-activated receptor gamma. Front. Pharmacol. 2017, 8, 456. [Google Scholar] [CrossRef]
- Mushtaq, N.; Schmatz, R.; Ahmed, M.; Pereira, L.B.; da Costa, P.; Reichert, K.P.; Dalenogare, D.; Pelinson, L.P.; Vieira, J.M.; Stefanello, N.; et al. Protective effect of rosmarinic acid against oxidative stress biomarkers in liver and kidney of strepotozotocin-induced diabetic rats. J. Physiol. Biochem. 2015, 71, 743–751. [Google Scholar] [CrossRef] [PubMed]
- Luo, C.; Zou, L.; Sun, H.; Peng, J.; Gao, C.; Bao, L.; Ji, R.; Jin, Y.; Sun, S. A review of the anti-inflammatory effects of rosmarinic acid on inflammatory diseases. Front. Pharmacol. 2020, 11, 153. [Google Scholar] [CrossRef]
- Gui, H.; Jin, Y.; Lin, A.; Wang, P.; Wang, Y.; Zhu, H. Rosmarinic acid relieves cisplatin-induced ovary toxicity in female mice via suppression of oxidative stress and inflammation. J. Biochem. Mol. Toxicol. 2021, 35, e22839. [Google Scholar] [CrossRef] [PubMed]
- Lu, Y.H.; Hong, Y.; Zhang, T.Y.; Chen, Y.X.; Wei, Z.J.; Gao, C.Y. Rosmarinic acid exerts anti-inflammatory effect and relieves oxidative stress via Nrf2 activation in carbon tetrachloride-induced liver damage. Food Nutr. Res. 2022, 66, 8359. [Google Scholar] [CrossRef] [PubMed]
- Deguchi, Y.; Ito, M. Caffeic acid and rosmarinic acid contents in genus Perilla. J. Nat. Med. 2020, 74, 834–839. [Google Scholar] [CrossRef]
- Li, Y.; Zhang, Y.; Wang, Y.; Li, X.; Zhou, L.; Yang, J.; Guo, L. Metabolites and chemometric study of Perilla (Perilla frutescens) from different varieties and geographical origins. J. Food Sci. 2022, 87, 5240–5251. [Google Scholar] [CrossRef]
- Sultana, B.; Anwar, F.; Ashraf, M. Effect of extraction solvent/technique on the antioxidant activity of selected medicinal plant extracts. Molecules 2009, 14, 2167–2180. [Google Scholar] [CrossRef] [PubMed]
- Hong, E.; Kim, G.H. Comparison of extraction conditions for phenolic, flavonoid content and determination of rosmarinic acid from Perilla frutescens var. acuta. Int. J. Food Sci. Technol. 2010, 45, 1353–1359. [Google Scholar] [CrossRef]
- Choi, G.Y.; Han, Y.S.; Sim, K.H.; Kim, M.H. Phenolic compounds, antioxidant capacity, and α-amylase and α-glucosidase inhibitory activity of ethanol extracts of perilla seed meal. Food Sci. Nutr. 2023, 11, 4596–4606. [Google Scholar] [CrossRef] [PubMed]
- Nguyen, N.T.K.; Truong, H.A.V.; Nguyen, H.K.T. Optimizing conditions to improve polyphenol content and screening antioxidant capacity with DNA protection activity of Perilla frutescens. Hue Univ. J. Sci. Nat. Sci. 2024, 133, 35–48. [Google Scholar] [CrossRef]
- Shahidi, F.; Yeo, J. Insoluble-bound phenolics in food. Molecules 2016, 21, 1216. [Google Scholar] [CrossRef]
- Zhang, Y.; Mei, X.; Zhang, Q.; Li, M.; Wu, X.; Ma, C. Protective effect of a rosmarinic acid–rich extract from cold-pressed Perilla frutescens seed flour on oxidative hepatotoxicity in vitro and in vivo. J. Food Biochem. 2018, 42, e12492. [Google Scholar] [CrossRef]
- Baugh, S.; Ignelzi, S. Hydrolysis and redox factors affecting analysis of common phenolic marker compounds in botanical extracts and finished products. J. AOAC Int. 2000, 83, 1135–1140. [Google Scholar]
- Kim, M.K.; Lee, H.S.; Kim, E.J.; Won, N.H.; Chi, Y.M.; Kim, B.C.; Lee, K.W. Protective effect of aqueous extract of Perilla frutescens on tert-butyl hydroperoxide-induced oxidative hepatotoxicity in rats. Food Chem. Toxicol. 2007, 45, 1738–1744. [Google Scholar] [CrossRef] [PubMed]
- Parr, A.; Bolwell, G.P. Phenols in the plant and in man. The potential for possible nutritional enhancement of the diet by modifying the phenols content or profile. J. Sci. Food Agric. 2000, 80, 985–1012. [Google Scholar] [CrossRef]
- Le Bourvellec, C.; Renard, C.M. Interactions between polyphenols and macromolecules: Quantification methods and mechanisms. Crit. Rev. Food Sci. Nutr. 2012, 52, 213–248. [Google Scholar] [CrossRef] [PubMed]
- Osakabe, N.; Yasuda, A.; Natsume, M.; Sanbongi, C.; Kato, Y.; Osawa, T.; Yoshikawa, T. Rosmarinic acid, a major polyphenolic component of Perilla frutescens, reduces lipopolysaccharide (LPS)-induced liver injury in D-galactosamine (D-GalN)-sensitized mice. Free Radic. Biol. Med. 2002, 33, 798–806. [Google Scholar] [CrossRef]
- Paradee, N.; Utama-Ang, N.; Uthaipibull, C.; Porter, J.B.; Garbowski, M.W.; Srichairatanakool, S. Extracts of Thai Perilla frutescens nutlets attenuate tumour necrosis factor-α-activated generation of microparticles, ICAM-1 and IL-6 in human endothelial cells. Biosci. Rep. 2020, 40, BSR20192110. [Google Scholar] [CrossRef]
- Edward, O.C.; Thomas, S.S.; Cha, K.O.; Jung, H.A.; Han, A.; Cha, Y.S. Green perilla leaf extract ameliorates long-term oxidative stress induced by a high-fat diet in aging mice. Nutr. Res. Pract. 2022, 16, 549–564. [Google Scholar] [CrossRef]
- Lei, Y.; Wang, K.; Deng, L.; Chen, Y.; Nice, E.C.; Huang, C. Redox regulation of inflammation: Old elements, a new story. Med. Res. Rev. 2015, 35, 306–340. [Google Scholar] [CrossRef] [PubMed]









| Chemical Compound | Rt | Formula | R2 | LOD | LOQ |
|---|---|---|---|---|---|
| Caffeic Acid | 10.81 | y = 106920x + 179396 | 0.9846 | 0.088 | 0.29 |
| Syringic | 12.36 | y = 67460x − 355785 | 0.9919 | 0.050 | 0.17 |
| Vanillin | 14.59 | y = 108318x + 38533 | 0.9957 | 0.054 | 0.18 |
| p-coumaric acid | 16.24 | y = 118736x − 174419 | 0.9997 | 0.034 | 0.11 |
| Ferulic acid | 18.90 | y = 73150x − 84158 | 0.9999 | 0.048 | 0.16 |
| Ellagic Acid | 20.62 | y = 48178x + 25528 | 0.9968 | 0.041 | 0.14 |
| Rosmarinic Acid | 23.81 | y = 29517x + 164232 | 0.9946 | 0.055 | 0.18 |
| Trans-Cinnamic | 28.55 | y = 50153x + 36860 | 0.9998 | 0.091 | 0.30 |
| 3′,4′,5,7 tetrahydroxyflavone | 29.17 | y = 57138x + 68835 | 0.9954 | 0.041 | 0.14 |
| Quercetin | 29.51 | y = 102718x + 116121 | 0.9994 | 0.050 | 0.17 |
| 4′,5,7-trihydroxyisoflavone | 31.03 | y = 77186x + 43243 | 0.9998 | 0.077 | 0.26 |
| 5,7-dihydroxy flavone | 37.57 | y = 170069x − 714585 | 0.9833 | 0.172 | 0.57 |
| Rutin | 38.55 | y = 194800x + 49409 | 0.9999 | 0.077 | 0.26 |
| Class | Compound | Methanol Fraction | Ether Fraction |
|---|---|---|---|
| Phenolic acid | Caffeic Acid | 39.45 ± 2.61 | 0.20 ± 0.01 |
| Syringic Acid | 7.13 ± 0.59 | ND | |
| p-coumaric acid | 4.87 ± 0.18 | 0.03 ± 0.00 | |
| Ferulic acid | 3.07 ± 0.04 | ND | |
| Ellagic Acid | 23.87 ± 0.27 | 0.33 ± 0.01 | |
| Rosmarinic Acid | 786.88 ± 1.51 | 4.60 ± 0.04 | |
| Trans-Cinnamic Acid | 34.02 ± 0.29 | 0.58 ± 0.17 | |
| Phenolic aldehyde | Vanillin | 14.85 ± 0.32 | 0.17 ± 0.00 |
| Flavonoid | 3′,4′,5,7-tetrahydroxyflavone | 10.20 ± 0.20 | 0.10 ± 0.04 |
| Quercetin | 7.84 ± 0.06 | 2.69 ± 4.50 | |
| 4′,5,7-trihydroxyisoflavone | 8.69 ± 0.08 | 0.09 ± 0.01 | |
| 5,7-dihydroxyflavone | 1.09 ± 0.06 | 1.17 ± 0.02 | |
| 4′,5,7-trihydroxyflavone 2 | 18.03 ± 0.02 | 0.26 ± 0.20 | |
| Kaempferol 2 | 0.40 ± 0.02 | ND | |
| Pinocembrin 2 | 0.56 ± 0.02 | 0.06 ± 0.00 | |
| Flavonoid glycoside | Rutin | 1.29 ± 0.03 | 0.89 ± 0.00 |
| Gallate ester | Methyl 3,4,5-trihydroxybenzoate 1 | 8.04 ± 0.49 | ND |
| Amino Acid | Tryptophanol 1 | 11.13 ± 0.17 | 0.02 ± 0.00 |
| Compound | Butanol Fraction pH 2 | Butanol Fraction pH 4 | Butanol Fraction pH 7 | Butanol Fraction pH 9 |
|---|---|---|---|---|
| Caffeic acid | 38.61 ± 0.39 | 37.85 ± 0.31 | 39.70 ± 0.69 | 38.62 ± 0.00 |
| Syringic acid | 5.75 ± 0.01 | 5.81 ± 0.02 | 6.30 ± 0.35 | 6.26 ± 0.02 |
| Vanillin | 14.90 ± 0.16 | 14.65 ± 0.14 | 15.55 ± 0.28 | 14.97 ± 0.10 |
| p-coumaric acid | 5.23 ± 0.11 | 5.04 ± 0.07 | 5.37 ± 0.12 | 5.03 ± 0.06 |
| Ferulic acid | 5.32 ± 0.07 | 3.92 ± 1.70 | 1.72 ± 0.11 | 1.29 ± 0.81 |
| Ellagic acid | 20.71 ± 15.92 | 30.03 ± 6.28 | 17.47 ± 1.67 | 19.55 ± 0.07 |
| Rosmarinic acid | 905.51 ± 3.21 | 859.48 ± 51.51 | 523.96 ± 7.18 | 482.18 ± 2.17 |
| Trans-Cinnamic acid | 40.32 ± 1.33 | 33.29 ± 10. 47 | 46.59 ± 0.49 | 26.46 ± 0.12 |
| 3,4,5,7-tetrahydroxyflavone | 12.89 ± 0.59 | 10.35 ± 3.65 | 14.90 ± 0.05 | 7.64 ± 0.02 |
| Quercetin | 8.51 ± 0.35 | 7.12 ± 1.97 | 9.64 ± 0.03 | 5.80 ± 0.03 |
| 4′,5,7-trihydroxyisoflavone | 14.57 ± 1.96 | 9.83 ± 7.98 | 19.01 ± 0.12 | 4.09 ± 0.07 |
| 5,7di hydroxy flavone | 1.01 ± 0.01 | 0.98 ± 0.04 | 1.06 ± 0.01 | 1.00 ± 0.01 |
| Rutin | 1.07 ± 0.00 | 1.06 ± 0.01 | 1.09 ± 0.01 | 1.06 ± 0.11 |
| Methyl 3,4,5-trihydroxybenzoate 1 | 8.29 ± 0.01 | 8.14 ± 0.00 | 8.35 ± 0.18 | 8.32 ± 0.01 |
| Tryptophanol 1 | 9.36 ± 1.03 | 7.31 ± 3.30 | 1.24 ± 0.59 | 1.06 ± 0.13 |
| 4′,5,7-trihydroxyflavone 2 | 20.66 ± 1.16 | 18.20 ± 3.88 | 23.39 ± 0.15 | 15.54 ± 0.09 |
| Kaempferol 2 | 1.98 ± 0.66 | 1.27 ± 1.63 | 3.18 ± 0.05 | 0.12 ± 0.00 |
| Pinocembrin 2 | 0.48 ± 0.00 | 0.47 ± 0.00 | 0.49 ± 0.00 | 0.47 ± 0.01 |
| TPC (mg/L CAE) | TFC (mg/L CatE) | TdPC (mg/L PyE) | |
|---|---|---|---|
| Methanol Fraction Replicate 1 | 1705.43 ± 144.9 | 1199.43 ±26.5 | 1401.95 ± 33.2 |
| Methanol Fraction Replicate 2 | 1865.75 ± 266.7 | 1240.86 ± 13.8 | 1580.15 ± 76.1 |
| Ethyl Acetate Fraction Replicate 1 | 321.83 ± 37.1 | 208.00 ± 5.2 | 247.33 ± 9.9 |
| Ethyl Acetate Fraction Replicate 2 | 371.44 ± 6.1 | 304.19 ± 14.5 | 340.41 ± 4.9 |
| Ether Fraction Replicate 1 | 46.36 ± 8.7 | 77.52 ± 6.4 | 6.31 ± 5.4 |
| Ether Fraction Replicate 2 | 55.96 ± 0.5 | 87.05 ± 22.4 | 17.85 ± 2.0 |
| Butanol Fraction pH 2 | 1267.33 ± 224.3 | 1253.24 ± 15.9 | 1496.05 ± 134.9 |
| Butanol Fraction pH 4 | 1302.89 ± 42.6 | 1278.48 ± 52.5 | 1525.15 ± 45.6 |
| Butanol Fraction pH 7 | 1472.10 ± 94.2 | 1414.67 ± 38.3 | 1747.85 ± 63.7 |
| Butanol Fraction pH 9 | 1289.27 ± 61.9 | 987.52 ± 51.0 | 1356.82 ± 106.4 |
| EC50 DPPH | EC50 ABTS•+ | |
|---|---|---|
| Methanol fraction replicate 1 | 2.98 ± 0.0 | 0.75 ± 0.0 |
| Ethyl Acetate fraction replicate 1 | >10 | 3.24 ± 0.2 |
| Ether fraction replicate 1 | >10 | >10 |
| Butanol fraction pH2 | 4.23 ± 0.1 | 1.08 ± 0.1 |
| Butanol fraction pH4 | 4.28 ± 0.1 | 1.19 ± 0.1 |
| Butanol fraction pH7 | 4.22 ± 0.1 | 0.86 ± 0.1 |
| Butanol fraction pH9 | 4.25 ± 0.8 | 1.27 ± 0.2 |
| CUPRAC (mg/L CAE) | FRAP (mg/L AcE) | |
|---|---|---|
| Methanol fraction replicate 1 | 557.96 ± 59.4 | 1892.22 ± 117.1 |
| Methanol fraction replicate 2 | 514.44 ± 49.4 | 2147.78 ± 19.2 |
| Ethyl Acetate fraction replicate 1 | 109.63 ± 15.2 | 747.78 ± 96.2 |
| Ethyl Acetate fraction replicate 2 | 193.15 ± 7.3 | 847.78 ± 50.9 |
| Organic fraction replicate 1 | 54.63 ± 6.1 | 292.22 ± 69.4 |
| Organic fraction replicate 2 | 77.96 ± 4.5 | 281.11 ± 38.5 |
| Butanol fraction pH 2 | 438.33 ± 24.6 | 814.44 ± 245.7 |
| Butanol fraction pH 4 | 475.19 ± 60.0 | 381.11 ± 279.5 |
| Butanol fraction pH 7 | 512.59 ± 18.1 | 1770.00 ± 100.0 |
| Butanol fraction pH 9 | 487.96 ± 54.8 | 1792.22 ± 77.0 |
| % NOS | % OH | |
|---|---|---|
| Methanol fraction replicate 1 | 76.18 ± 5.1 | 72.95 ± 1.5 |
| Methanol fraction replicate 2 | 71.18 ± 3.2 | 67.32 ± 2.0 |
| Ethyl Acetate fraction replicate 1 | 75.00 ± 0.9 | 27.83 ± 1.0 |
| Ethyl Acetate fraction replicate 2 | 72.65 ± 1.2 | 34.23 ± 2.1 |
| Organic fraction replicate 1 | 59.47 ± 0.3 | 12.87 ± 3.7 |
| Organic fraction replicate 2 | 58.74 ± 0.5 | 12.33 ± 0.4 |
| Butanol fraction pH 2 | 80.19 ± 0.0 | 55.00 ± 0.9 |
| Butanol fraction pH 4 | 78.62 ± 1.0 | 56.73 ± 0.5 |
| Butanol fraction pH 7 | 71.91 ± 12.1 | 56.79 ± 1.7 |
| Butanol fraction pH 9 | 84.80 ± 0.7 | 50.75 ± 0.6 |
Disclaimer/Publisher’s Note: The statements, opinions and data contained in all publications are solely those of the individual author(s) and contributor(s) and not of MDPI and/or the editor(s). MDPI and/or the editor(s) disclaim responsibility for any injury to people or property resulting from any ideas, methods, instructions or products referred to in the content. |
© 2025 by the authors. Licensee MDPI, Basel, Switzerland. This article is an open access article distributed under the terms and conditions of the Creative Commons Attribution (CC BY) license (https://creativecommons.org/licenses/by/4.0/).
Share and Cite
Lia, F.; Baron, B. Analysis of Polyphenolic Composition, Antioxidant Power and Stress-Response Effects of Fractionated Perilla Leaf Extract on Cells In Vitro. Biologics 2025, 5, 2. https://doi.org/10.3390/biologics5010002
Lia F, Baron B. Analysis of Polyphenolic Composition, Antioxidant Power and Stress-Response Effects of Fractionated Perilla Leaf Extract on Cells In Vitro. Biologics. 2025; 5(1):2. https://doi.org/10.3390/biologics5010002
Chicago/Turabian StyleLia, Frederick, and Byron Baron. 2025. "Analysis of Polyphenolic Composition, Antioxidant Power and Stress-Response Effects of Fractionated Perilla Leaf Extract on Cells In Vitro" Biologics 5, no. 1: 2. https://doi.org/10.3390/biologics5010002
APA StyleLia, F., & Baron, B. (2025). Analysis of Polyphenolic Composition, Antioxidant Power and Stress-Response Effects of Fractionated Perilla Leaf Extract on Cells In Vitro. Biologics, 5(1), 2. https://doi.org/10.3390/biologics5010002

