Next Issue
Volume 11, April
Previous Issue
Volume 10, April
 
 
Journal of Mind and Medical Sciences is published by MDPI from Volume 12 Issue 1 (2025). Previous articles were published by another publisher in Open Access under a CC-BY (or CC-BY-NC-ND) licence, and they are hosted by MDPI on mdpi.com as a courtesy and upon agreement with Valparaiso University (ValpoScholar).

J. Mind Med. Sci., Volume 10, Issue 2 (October 2023) – 22 articles

  • Issues are regarded as officially published after their release is announced to the table of contents alert mailing list.
  • You may sign up for e-mail alerts to receive table of contents of newly released issues.
  • PDF is the official format for papers published in both, html and pdf forms. To view the papers in pdf format, click on the "PDF Full-text" link, and use the free Adobe Reader to open them.
Order results
Result details
Select all
Export citation of selected articles as:
6 pages, 409 KB  
Case Report
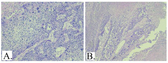
Subungual Squamous Cell carcinoma Leading to Arm Amputation
by Ovidiu Fabian, Emilia Maria Pătruţ, Mădălina Șteţca, Radu Mircea Galasiu, Vlad Zolog, Adriana Zolog, Iacob Domşa, Ioan Șimon, Anca Mihailov, Olga Hilda Orăşan and Flaviu Mureşan
J. Mind Med. Sci. 2023, 10(2), 364-369; https://doi.org/10.22543/2392-7674.1404 - 25 Oct 2023
Viewed by 980
Abstract
Although rare, subungual carcinoma is the most common malignant nail tumor. The symptomatology is not characteristic, being very similar to that of other nail and periungual diseases. For this reason, early diagnosis is usually established by performing a biopsy. With appropriate treatment, subungual [...] Read more.
Although rare, subungual carcinoma is the most common malignant nail tumor. The symptomatology is not characteristic, being very similar to that of other nail and periungual diseases. For this reason, early diagnosis is usually established by performing a biopsy. With appropriate treatment, subungual carcinoma usually has a favorable prognosis. Metastatic cases are rarely encountered, but they usually have a poor therapeutic result. This article presents the case of a patient with subungual carcinoma (diagnosed by histopathological exam), initially treated by amputation of the distal and middle phalanges of the fourth finger. Two years after the operation, a recurrence in the epitrochlear nodes was diagnosed, for which epitrochlear lymphadenectomy and postoperative chemotherapy were performed. At 7 months, metastases were detected in the axillary nodes, which were treated with radiotherapy and chemotherapy. The appearance and development of the tumor at the elbow and the lower third of the arm led the patient to accept scapulohumeral disarticulation. The patient finally adapted to the physical infirmity, having a good general condition and an optimistic attitude. Full article
Show Figures

Figure 1

8 pages, 583 KB  
Case Report
Giant Renal Cell Carcinoma in a Patient with Ipsilateral Lower Limb Hypertrophic Lichen Planus: Case Report and Literature Review
by Silvia Popescu, Dumitru Peța, Zoltan Janos Kövér, Dumitru Toma, Ioan-Teodor Cristea, Mihaela Anca Popescu, Oana-Denisa Bălălău, Romina-Marina Sima, Gabriel-Petre Gorecki and Călin Giurcăneanu
J. Mind Med. Sci. 2023, 10(2), 356-363; https://doi.org/10.22543/2392-7674.1425 - 25 Oct 2023
Cited by 1 | Viewed by 778
Abstract
Renal cell carcinoma is the most common type of primary urogenital cancer, usually resistant to radiotherapy and chemotherapy. Hypertrophic lichen planus is an inflammatory dermatosis characterized by the presence of papulosquamous and intensely pruritic lesions. The association of these two conditions is unusual, [...] Read more.
Renal cell carcinoma is the most common type of primary urogenital cancer, usually resistant to radiotherapy and chemotherapy. Hypertrophic lichen planus is an inflammatory dermatosis characterized by the presence of papulosquamous and intensely pruritic lesions. The association of these two conditions is unusual, being reported in the specialized literature only in a few rare cases with the onset of lichenoid lesions after patients have undergone various forms of treatment. The case of a 62-year-old male patient who was admitted for severe abdominal pain due to a giant renal tumor associated with a hypertrophic plaque located on the anterior part of the left calf is presented. After (clinical, biochemical, imaging) diagnosis, surgery was performed for en bloc removal of the entire mass, adrenal gland, and spleen. The histopathological exam established the diagnosis of a moderately differentiated T2b clear cell Grawitz tumor, without regional lymph node metastasis (stage II). The patient continued local corticosteroid therapy in the hospital for hypertrophic lichen planus lesions, being referred to the oncology department after discharge. Full article
Show Figures

Figure 1

9 pages, 316 KB  
Article
Periodontal Status and Inflammatory Markers in Gingival Crevicular Fluid of Patients with Periodontitis and Colorectal Cancer
by Sandu Râmboiu, Flavia Mirela Nicolae, Andrada Soancă, Dorin Nicolae Gheorghe, Dora Maria Popescu, Bogdan Silviu Ungureanu, Dragoș Nicolae Mărgăritescu, Adina Turcu-Știolica, Mihail Virgil Boldeanu, Valeriu Marin Șurlin, Dan Ionuț Gheonea and Petra Șurlin
J. Mind Med. Sci. 2023, 10(2), 347-355; https://doi.org/10.22543/2392-7674.1429 - 25 Oct 2023
Cited by 1 | Viewed by 1163
Abstract
Objectives. The present pilot study was carried out to evaluate the periodontal status, the levels of interleukin-6 and tumor necrosis factor alpha in gingival crevicular fluid on hospitalized patients with colorectal cancer. Materials and Methods. The sample of our study was [...] Read more.
Objectives. The present pilot study was carried out to evaluate the periodontal status, the levels of interleukin-6 and tumor necrosis factor alpha in gingival crevicular fluid on hospitalized patients with colorectal cancer. Materials and Methods. The sample of our study was represented by 74 patients with colorectal cancer. They were assigned to one of the two study groups, based on cancer’s stages, as follows: (i) stage III-IV: 51 patients (A-group); (ii) stage I-II: 23 patients (B-group). For each participant periodontal parameters were recorded and gingival crevicular fluid samples were collected and immunologically assessed. Results. Statistically significant differences were found between the two groups, regarding probing pocket depth, clinical attachment loss, bleeding on probing, interleukin-6 and tumor necrosis factor alpha. In A-group, statistically significant correlations were found between the inflammatory markers and probing pocket depth and between their levels and bleeding on probing. In B-group, statistically significant correlation was found between the levels of interleukin-6 and bleeding on probing. Conclusions. Our results suggest an association between the severity of periodontitis, the studied immunologic inflammatory markers and colorectal cancer’s severity. Full article
Show Figures

Figure 1

8 pages, 183 KB  
Article
Is Open Surgery Still Part of the Current Treatment of Inguinal Hernias?
by Dan Bratu, Alin Mihetiu, Alexandra Sandu, Crenguta Serboiu, Corneliu Tudor, Laurentiu Simion, Dragos Cretoiu, Florin Bobirca, Dragos Davitoiu, Bogdan Serban and Claudiu Eduard Nistor
J. Mind Med. Sci. 2023, 10(2), 339-346; https://doi.org/10.22543/2392-7674.1413 - 25 Oct 2023
Cited by 1 | Viewed by 972
Abstract
Inguinal hernia repair represents one of the most frequent pathologies with surgical addressability. From the multitude of surgical procedures, a limited number still keep their indication in the current treatment of hernias. Open surgery, the exclusive repair method until recently, is associated with [...] Read more.
Inguinal hernia repair represents one of the most frequent pathologies with surgical addressability. From the multitude of surgical procedures, a limited number still keep their indication in the current treatment of hernias. Open surgery, the exclusive repair method until recently, is associated with laparoscopic techniques with benefits that are at least superposable on those in open repair. We conducted a study, analyzing several types of procedures in open surgery and comparing them to each other, but also with the TAPP approach, which is still at the beginning in our service. The non-mesh procedures scored poorly in terms of recurrence, the duration of the surgical intervention, and complications of the pain type, the Lichtenstein procedure was frequently associated with non-infectious inflammatory complications, and the TAPP, which is still in the learning curve, presented a prolonged duration of the surgical intervention. The Lichtenstein procedure maintains its usefulness and represents the most frequent technique for sanctioning inguinal hernia, the non-mesh processes, less used lately, are more frequently preferred in situations where hernia strangulation is associated with a septic complication. Open surgery hernia repair remains a feasible option in the era of minimal invasiveness, especially under the conditions of performing a tension-free technique, for specific categories of patients or surgical services remaining the first intention solution. Full article
9 pages, 363 KB  
Article
Prevalence of Comorbidities and Survival Analysis of COVID-19 Patients—An Observational Study from a Tertiary Healthcare Center in North West Romania
by Mihaela-Simona Popoviciu, Lorena Paduraru, Roxana Adriana Stoica, Anca Pantea Stoian, Claudiu Teodorescu and Simona Cavalu
J. Mind Med. Sci. 2023, 10(2), 330-338; https://doi.org/10.22543/2392-7674.1401 - 25 Oct 2023
Cited by 1 | Viewed by 538
Abstract
Objectives. The experience accumulated in the last two years shows that the prevention of COVID-19 in people with comorbidities (protective measures, vaccination, etc.) still remains a public health priority. In this context, the aim of our study was to perform a retrospective, [...] Read more.
Objectives. The experience accumulated in the last two years shows that the prevention of COVID-19 in people with comorbidities (protective measures, vaccination, etc.) still remains a public health priority. In this context, the aim of our study was to perform a retrospective, observational study in order to assess the time-to-death and risk factors of mortality among COVID-19 patients. Materials and Methods. The study was conducted on 177 patients admitted to Oradea Emergency County Hospital, Bihor, Romania, between October and December 2021. Inclusion criteria were patients over 18 years positive for COVID-19 in upper respiratory tract samples using real-time PCR test. Exclusion criteria were pregnant women, ageyears, and patients with incomplete records at admission. Results. The mortality rate was assessed in correlation with the most prevalent comorbidities such as diabetes, cardiovascular diseases, hypertension, chronic kidney disease, and chronic pulmonary diseases, either alone or associated. During hospitalization, an aggravated health condition was noticed for 71 patients (40.11%). Among them, 47 patients were transferred to the intensive care unit (66.20%) due to severe respiratory failure, aggravation of associated diabetes and/or other associated comorbidities. Ventilation support was necessary in 122 cases (68.63%). The average survival time was 8.66 days. In conclusion, we found that the most prevalent comorbidities were cardiovascular diseases, being the major risk factor for mortality or aggravation after hospitalization. Its association with diabetes caused a risk of death 2.1 times higher than in patients without comorbidities. Based on Kaplan–Meier survival analysis, we found that the in-hospital survival rate was significantly higher in females compared to males (50.52% vs. 33.75%). Full article
Show Figures

Figure 1

9 pages, 296 KB  
Article
Revascularization Impact: Quality of Life Enhancement in Chronic Limb-Threatening Ischemia
by Cristian Traian Paius, Vlad Denis Constantin, Alexandru Carap, Andrei Tarus and Grigore Tinica
J. Mind Med. Sci. 2023, 10(2), 321-329; https://doi.org/10.22543/2392-7674.1441 - 25 Oct 2023
Cited by 3 | Viewed by 978
Abstract
Introduction. Globally, over 230 million people have peripheral artery disease, often undiagnosed, leading to chronic limb-threatening ischemia. Revascularization is vital for preventing amputation and improving quality of life. While specific questionnaires for severe ischemia are lacking, the SF-36 questionnaire is widely used [...] Read more.
Introduction. Globally, over 230 million people have peripheral artery disease, often undiagnosed, leading to chronic limb-threatening ischemia. Revascularization is vital for preventing amputation and improving quality of life. While specific questionnaires for severe ischemia are lacking, the SF-36 questionnaire is widely used to assess quality of life, with variations like SF-12 and SF-8 for larger cohorts. Objectives. Our aim was to assess how different lower limb revascularization methods affect the postoperative quality of life in patients with chronic limb-threatening ischemia. Methods. This study was conducted at the St. Pantelimon Emergency Hospital of Bucharest, Romania. It included 166 adult patients with chronic limb-threatening ischemia who were monitored for 12 months. Quality of life was assessed using the SF-36 questionnaire. The patients were categorized into two groups: 112 underwent conventional surgery, and 54 had hybrid procedures. Data analysis involved t-tests, Mann-Whitney U tests and assessment of data reliability. Results. In the Conventional Surgery group, the average age was 70.5 years, predominantly male, with similar risk factors as the second group. The Hybrid Surgery group had an average age of 73 and exhibited more extensive distal arterial lesions, higher rates of ulcer/gangrene, and a higher occurrence of postoperative minor amputations. The SF-36 questionnaire showed low data reliability for the General Health and Social Functioning domains. Additionally, the Hybrid Surgery group had poorer preoperative perception in the Body Pain category. However, significant postoperative improvements in quality of life were observed in all domains for both groups with similar results. Conclusions. Revascularization improves the quality of life for patients with chronic limb-threatening ischemia, including those that also require minor amputations. SF-36 has good assessment for most QoL aspects, but reliability declines in severe ischemia. Full article
Show Figures

Figure 1

9 pages, 256 KB  
Article
Follow-Up Care After Metabolic Surgery—A Prospective Study in the North-Eastern Region of Romania
by Sorina Boariu, Ana Maria Scutariu, Adrian Cureniuc, Anamaria Meuca, Roxana Adriana Stoica, Anca Pantea Stoian and Delia Reurean Pintilei
J. Mind Med. Sci. 2023, 10(2), 312-320; https://doi.org/10.22543/2392-7674.1415 - 25 Oct 2023
Viewed by 681
Abstract
Background. Anti-obesity therapeutic strategies are continuously evolving. Bariatric procedures or metabolic surgery are among the most effective and long-lasting therapies for obesity and its complications. Our objective was to investigate the clinical and biological evolution after metabolic surgery in a group of [...] Read more.
Background. Anti-obesity therapeutic strategies are continuously evolving. Bariatric procedures or metabolic surgery are among the most effective and long-lasting therapies for obesity and its complications. Our objective was to investigate the clinical and biological evolution after metabolic surgery in a group of patients from North-Eastern Romania and to evaluate a nutritional intervention plan for this population. Materials and Methods. Our clinic surveyed 50 patients who received nutritional counselling before and after bariatric surgery. The patient's weight loss, metabolic markers, and lifestyle changes from January to December 2021 were recorded. SPSS Statistics v.18 was used for statistical analyses. Results and Discussions. Patients had a mean age of 37.70 ± 11.38 years, with an initial body mass index (BMI) of 42.98 ± 6.12 kg/m2. One month after surgery, longitudinal gastrectomy patients lost 12.6 kg (114.33 ± 19.26 vs. 101.73 ± 17.27 kg), and gastric bypass patients lost 10.86 kg (119.33 ± 20.83 vs. 108.47 ± 17.96 kg). Body composition improved in the first six months after the intervention due to adipose (mean value 37.83 ± 6.42 from 46.38 ± 6.63) and visceral (mean value 8.50 ± 4.42 from 13.72 ± 5.67) tissues decrease. Muscle tissue increased from 35.54 ± 12.63 to a mean value of 39.95 ± 17.96. HbA1c values improved from 5.90 ± 0.63% to 5.30 ± 0.30% in the first month after the intervention. The nutritional intervention was safe without significant deficits after 1 and 6 months. Conclusions. Metabolic surgery is associated with a weight loss of 10.8 to 12.6 kg and improved body composition. Patients require follow-up and further dietary counseling to sustain long-term results. Full article
8 pages, 232 KB  
Article
Best Therapeutic Practices in the Management of Obstetric Sepsis
by Gabriel Petre Gorecki, Oana Denisa Balalau, Diana Elena Comandasu, Anca Daniela Stanescu and Dana Rodica Tomescu
J. Mind Med. Sci. 2023, 10(2), 304-311; https://doi.org/10.22543/2392-7674.1436 - 25 Oct 2023
Cited by 3 | Viewed by 2210
Abstract
Background. Physiological changes that occur during pregnancy make maternal sepsis a difficult condition to diagnose and treat, still having a fairly high mortality rate. Consequently, an early diagnosis and prompt therapeutic management of sepsis can significantly decrease mortality. The purpose of this [...] Read more.
Background. Physiological changes that occur during pregnancy make maternal sepsis a difficult condition to diagnose and treat, still having a fairly high mortality rate. Consequently, an early diagnosis and prompt therapeutic management of sepsis can significantly decrease mortality. The purpose of this study is to review literature data that present current practices in the management of obstetric sepsis. Methods. To collect the data required for the study, we performed a search of published articles in the PubMed and Google Scholar databases related to obstetric sepsis. Research paper articles from the period 2012–2022 were included in the analysis. In addition, 145 articles from the period 2012–2022 were evaluated, with the aim of finding out in which situations the risk of maternal death is higher. Thus, the analysis included a total number of 151 articles, which were divided into two distinct stages. Results. The risk of maternal death is higher among patients with the human immunodeficiency virus (HIV), followed by Escherichia coli, genital tract infection, cancer, drug users and in the case of patients with chronic liver disease. Conclusions. After analyzing the data, we found that prompt and focused antibiotic therapy as well as fluid resuscitation are essential to increase the chances of survival of these patients. Full article
Show Figures

Figure 1

9 pages, 578 KB  
Article
Prevalent Distribution of Conscious Processes on Either Side of the Brain
by Sohail Adnan, Mubasher Shah, Muhammad Fateen Rashed and Sadaf Nawab
J. Mind Med. Sci. 2023, 10(2), 295-303; https://doi.org/10.22543/2392-7674.1382 - 25 Oct 2023
Cited by 2 | Viewed by 561
Abstract
Objectives. The brain has an intrinsic tendency for the lateralization of its functions. For instance, the left hemisphere assists in the comprehension and motor expression of language. What remains uncertain is whether conscious processes are also more prevalent in one hemisphere of [...] Read more.
Objectives. The brain has an intrinsic tendency for the lateralization of its functions. For instance, the left hemisphere assists in the comprehension and motor expression of language. What remains uncertain is whether conscious processes are also more prevalent in one hemisphere of the brain than the other. The epistemic goal of this research was to address this particular issue. Materials and Methods. We observed the rare pathological event of proximal occlusion of the middle cerebral artery (MCA), which halts blood flow to the central two-thirds of a hemisphere, and examined its effects on consciousness. We aggregated individual scores for eyes-opening and limb-motor responses from the Glasgow Coma Scale (GCS) to determine the conscious level, and used brain computed tomography imaging to identify the whole-territory infarcts of MCA. Results. Being a rare condition, we managed to recruit 35 patients from two centers (average age: 64.54 ± 13 years, 45.71% females). Whole-territory infarcts of the MCA occurred more frequently in the left hemisphere (22 versus 13, frequency: 62.85%). Unconsciousness was also more common with left hemisphere infarctions (16 versus 2 unconscious patients of the right hemisphere, Frequency: 72%, GCS: 2/10 = 3/22 cases, GCS: 5/10 = 1/22 cases, GCS: 6-7/10 = 12/22 cases). The difference in unconsciousness proved significant in Fisher’s exact analysis (p-value = 0.001) and remained independent of age (p-value = 0.7247) and gender (p-value = 0.3145). Moreover, six conscious patients with left hemisphere involvement exhibited a loss of conscious control for normal responses, implying a strong link between consciousness and cognition. Unconsciousness also correlated with stroke outcomes (16 Unconscious: 56.25% deceased within the hospital). Conclusion. Conscious processes are more predominant in the brain's left hemisphere. Our observations indicate that only a gross unilateral insult to the brain can lead to unconsciousness. Full article
Show Figures

Figure 1

12 pages, 1377 KB  
Article
Coxarthrosis Etiology Influences the Patients’ Quality of Life in the Preoperative and Postoperative Phase of Total Hip Arthroplasty
by Madalin Bulzan, Simona Cavalu, Amir Mohamed Abdelhamid, Calin Tudor Hozan and Florica Voiţă-Mekeres
J. Mind Med. Sci. 2023, 10(2), 283-294; https://doi.org/10.22543/2392-7674.1412 - 25 Oct 2023
Cited by 6 | Viewed by 762
Abstract
Background. In orthopedics, the patients’ quality of life relative to the preoperative and postoperative phase is referred with a low impact compared to other branches of medicine. In this context, our interest focused on assessing the quality of life in patients with [...] Read more.
Background. In orthopedics, the patients’ quality of life relative to the preoperative and postoperative phase is referred with a low impact compared to other branches of medicine. In this context, our interest focused on assessing the quality of life in patients with traumatic and non-traumatic coxarthrosis by longitudinally following the evolution of the patients. Materials and Methods. The well-established instrument Short Form Survey SF-36 was applied in a retrospective study, conducted on a cohort of 203 participants who underwent THA (Total Hip Arthroplasty). Statistical analysis was generated using GraphPad Prism (version 9.5.1). Results. In the pre-operative phase, physical functioning was more affected in participants with traumatic coxarthrosis, while fatigue was specific to nontraumatic coxarthrosis. Emotional well-being and social functioning were high in patients with traumatic coxarthrosis. One month after surgery, we recorded an increased physical functioning and improvement in the perception of the ability to exercise roles in non-traumatic group. Energy/vitality and general health and well-being were at high level in traumatic group, 1st month post-surgery, although pain was still frequent. Age was the sole strong independent predictor of postoperative physical functioning in the traumatic group, while in the non-traumatic group, we identified gender, age, symptoms and type of prosthesis as strong predictors of postoperative physical functioning. The overall results related to daily living activities indicated that the traumatic group displayed more favorable post-surgery evolution and higher autonomy compared to the non-traumatic one. Conclusions. We conclude that SF-36 questionnaire is a specific, useful and inexpensive tool for evaluating the outcomes of orthopedic treatment and patients’ evolution after arthroplasty, especially in terms of functional outcome scores relative to coxarthrosis etiology. Full article
Show Figures

Figure 1

7 pages, 279 KB  
Article
Endoscopic Approach to Recurrent Inguinal Hernia After Previous Open Surgery
by Doru Moga, Dragos Serban, Bogdan Geavlete, Crenguta Serboiu, Bogdan Serban, Ana Maria Dascalu and Valentin Oprea
J. Mind Med. Sci. 2023, 10(2), 276-282; https://doi.org/10.22543/2392-7674.1402 - 25 Oct 2023
Cited by 3 | Viewed by 2837
Abstract
Background. The management of a recurrent inguinal hernia varies depending on multiple factors. In the case of recurrent inguinal hernias after open anterior repair, the laparoscopic approach is recommended. TEP and TAPP procedures are considered to have similar results. The purpose of [...] Read more.
Background. The management of a recurrent inguinal hernia varies depending on multiple factors. In the case of recurrent inguinal hernias after open anterior repair, the laparoscopic approach is recommended. TEP and TAPP procedures are considered to have similar results. The purpose of the study is to evaluate on our sample if there are differences between primary inguinal hernia cases and recurrent hernia after laparoscopic TAPP and TEP procedures. Materials and Methods. We retrospectively reviewed the medical records of 300 patients who underwent laparoscopic inguinal hernia repairs at our hospital from March 2013 to March 2023. Results. Of the 300 patients, 39 of them (13%) had recurrent hernias after open anterior procedures. The mean age of patients with recurrent hernias was 56.82 years, compared to 50.47 years in those with primary hernias. In 27 cases we used the TAPP approach (69%), while in the remaining 12 cases the TEP approach (31%). Operative time for recurrent hernias was 72.69 minutes as opposed to 58.49 minutes for primary hernias. The percentage of peritoneal tears was higher for recurrent hernias (38%) than for primary hernias (18%). Conclusions. Surgery for inguinal hernia recurrence, is often more complex and time-consuming than for a primary hernia. However, postoperative results are favorable, with a low complication rate. Out of the two minimally invasive approach options, TAPP is our choice, especially due to the increased incidence of peritoneal tears. Full article
Show Figures

Figure 1

9 pages, 219 KB  
Article
Perceived Stress and Religious Coping Among Pakistani-Origin Emerging Muslim Adults Living in Pakistan and the United States: A Cross-Cultural View
by Amna Khan and Kiran Bashir
J. Mind Med. Sci. 2023, 10(2), 267-275; https://doi.org/10.22543/2392-7674.1431 - 25 Oct 2023
Cited by 3 | Viewed by 1677
Abstract
This study explored the relationship between Perceived Stress and Religious Coping levels among Muslim emerging adults of Pakistani origin living in Pakistan and Muslim emerging adults of Pakistani origin living in the United States (US). Participants (Pakistani Origin Muslims Living in Pakistan, n [...] Read more.
This study explored the relationship between Perceived Stress and Religious Coping levels among Muslim emerging adults of Pakistani origin living in Pakistan and Muslim emerging adults of Pakistani origin living in the United States (US). Participants (Pakistani Origin Muslims Living in Pakistan, n = 103; and Pakistani Origin Muslims Living in the US, n = 50) were between 18–25 years old. The Perceived Stress Scale (PSS-10) and Brief R-Cope scale were administered using an online format. Results indicated that negative religious coping strategies were associated with higher perceived stress in both groups while positive religious coping strategies showed a weaker association with lower perceived stress levels, and this finding appeared only in the US sample. Marital status was also an important predictor of perceived stress. These findings demonstrate that Muslim emerging adults, irrespective of culture, show moderately similar patterns in their perception of stress and their utilization of religious coping strategies. Full article
7 pages, 352 KB  
Article
Prevalence of Depression, Anxiety and Stress After the COVID-19 Pandemic Period Among Students at the Medical University of Sofia; Significance of Demographic, Educational, and Pandemic-Related Variables
by Nadya T. Avramova
J. Mind Med. Sci. 2023, 10(2), 260-266; https://doi.org/10.22543/2392-7674.1376 - 25 Oct 2023
Cited by 1 | Viewed by 960
Abstract
This cross-sectional study aimed to determine the prevalence of depression, anxiety, and stress among undergraduate dental students at Sofia Medical University and to investigate its associations with some demographic, educational and pandemic-related variables. A self-reported questionnaire that included the validated DASS-21 scale was [...] Read more.
This cross-sectional study aimed to determine the prevalence of depression, anxiety, and stress among undergraduate dental students at Sofia Medical University and to investigate its associations with some demographic, educational and pandemic-related variables. A self-reported questionnaire that included the validated DASS-21 scale was administered to a group of 2nd, 3rd, 4th, and 5th year students (n = 70, response rate 95.7%). Results indicated abnormal levels of depression, anxiety, and stress in 34.3%, 65.7% and 59.7% of the participants, respectively. A much larger proportion of females suffered from abnormal levels of anxiety (56.6%) as compared with males (9%), p = 0.003. Single students exhibited significantly higher level of depression (25.4%) than those having a partner (9%), p = 0.037. Third-year dental students demonstrated higher level of depression (19.4%) compared to 5th year students (1.5%), p = 0.007 as well as higher stress scores (25.4%) than 2nd year students (17.9%), p = 0.035. Academic performance (assessed by GPA in this study), dentistry as the first students’ choice when applying for MUS, financial responsibilities, and pandemic-related academic responses were not found significant factors for depression, anxiety, and stress (p > 0.05). These outcomes highlight the need to provide psychological support programs with special attention on susceptible groups. Dental students should implement preventive measures and adopt coping strategies to manage stress and reduce levels of anxiety and depression. Full article
Show Figures

Figure 1

6 pages, 146 KB  
Review
The Role of Inflammation in Age-Related Macular Degeneration
by Diana Florina Tricorache, Ana Maria Dascalu, Crenguta Serboiu, Anca Bobirca, Dragos Cretoiu, Dan Bratu, Corneliu Tudor and Laura Carina Tribus
J. Mind Med. Sci. 2023, 10(2), 254-259; https://doi.org/10.22543/2392-7674.1421 - 25 Oct 2023
Viewed by 1345
Abstract
Age-related macular degeneration (AMD) is a complex, chronic, and progressive disease which affects the macular area, being one of the leading causes of irreversible vision loss worldwide. Specific alterations of retinal structure occur at the macular level, which regarding its severity can range [...] Read more.
Age-related macular degeneration (AMD) is a complex, chronic, and progressive disease which affects the macular area, being one of the leading causes of irreversible vision loss worldwide. Specific alterations of retinal structure occur at the macular level, which regarding its severity can range from the presence of drusen to the development of geographic atrophy or choroidal neovascularization. AMD has long been considered a degenerative disease, but new studies highlight the role of inflammation present both in the atrophic form and in the exudative form. The present review is based on comprehensive research on PubMed and Web of Science databases, and it aims to describe the inflammatory pathways involved in AMD onset and progression. Understanding the molecules involved in AMD pathogenesis, and their mechanism of action, is crucial because they can be both biomarkers with a predictive role in disease management, as well as potential therapeutic targets. Full article
7 pages, 186 KB  
Review
Sentinel Node Biopsy for Personalized Breast Cancer Management: Advances and Controversies
by Rahim Al Moushaly, Daniel Ion, Octavian Andronic, Bogdan Socea, Alexandru Cosmin Palcau and Dan Nicolae Paduraru
J. Mind Med. Sci. 2023, 10(2), 247-253; https://doi.org/10.22543/2392-7674.1440 - 25 Oct 2023
Viewed by 1866
Abstract
Sentinel lymph node biopsy (SLNB) has become the gold standard for axillary lymph node staging, providing valuable prognostic information while minimizing complications compared to axillary lymph node dissection. However, there are ongoing debates and controversies surrounding SLNB in specific cases. Studies have explored [...] Read more.
Sentinel lymph node biopsy (SLNB) has become the gold standard for axillary lymph node staging, providing valuable prognostic information while minimizing complications compared to axillary lymph node dissection. However, there are ongoing debates and controversies surrounding SLNB in specific cases. Studies have explored the use of SLNB in neoadjuvant chemotherapy, emphasizing the need for customized therapy decisions. Factors such as age, tumor characteristics, and treatment response influence the selection of SLNB or axillary lymph node dissection. Additionally, the presence of extranodal extension, micrometastases, and isolated tumor cells has been evaluated to determine the need for lymphadenectomy. The importance of accurate oncological staging by thorough pathological evaluation has been highlighted, particularly with regards to invasion depth and lympho-vascular invasion. The significance of biological tumor status, such as hormone receptor and HER2 status, in axillary management decisions has been emphasized. Moreover, discussions have emerged regarding SLNB in the context of local recurrence, with differing perspectives on its utility. Future extensive studies are needed to refine protocols and incorporate these concepts related to SLNB into breast cancer management guidelines. Full article
10 pages, 304 KB  
Review
Sarcopenic Obesity, Pathogenesis, and Treatment with a Focus on Exercise and Protein Intake
by Yasemin Karaağaç
J. Mind Med. Sci. 2023, 10(2), 237-246; https://doi.org/10.22543/2392-7674.1419 - 25 Oct 2023
Cited by 2 | Viewed by 4787
Abstract
Sarcopenic obesity involves the co-occurrence of sarcopenia and obesity, yields more health risks than either condition alone, thus requiring prevention and treatment for healthy aging. In this review, the literature on the diagnosis of sarcopenic obesity, the mechanisms of its pathogenesis and treatment [...] Read more.
Sarcopenic obesity involves the co-occurrence of sarcopenia and obesity, yields more health risks than either condition alone, thus requiring prevention and treatment for healthy aging. In this review, the literature on the diagnosis of sarcopenic obesity, the mechanisms of its pathogenesis and treatment with emphasis on exercise and dietary protein were revised. Changes in body composition and sex hormones with age, myocellular mechanisms, inflammation, oxidative stress, physical inactivity, and insufficient protein intake are the main factors associated with the pathogenesis of sarcopenic obesity. Treatment targets weight loss while preserving muscle mass and function. Promising approaches involve high-protein and low-calorie diets combined with aerobic and resistance exercises. In addition to the total amount of protein taken daily, the amount consumed per meal, the type, source, and essential amino acid content of the protein are also important factors. Full article
Show Figures

Figure 1

20 pages, 275 KB  
Review
Diabetes Mellitus: Interdisciplinary Medical, Surgical and Psychological Therapeutic Approach
by Bogdan Socea, Adrian Silaghi, Laura Florentina Rebegea, Daniela Gabriela Balan, Cristian Balalau, Tiberiu Ștefăniță Tenea-Cojan, Doina Andrada Mihai and Ioana Paunica
J. Mind Med. Sci. 2023, 10(2), 217-236; https://doi.org/10.22543/2392-7674.1445 - 25 Oct 2023
Cited by 13 | Viewed by 2487
Abstract
Diabetes mellitus is a complex and widespread metabolic disease, having extremely complex implications (biological, psychological, social) for patients. Understanding the pathophysiology of diabetes (majorly influenced by various factors such as genetic predisposition, age, lifestyle choices, etc.) is essential for the prevention of this [...] Read more.
Diabetes mellitus is a complex and widespread metabolic disease, having extremely complex implications (biological, psychological, social) for patients. Understanding the pathophysiology of diabetes (majorly influenced by various factors such as genetic predisposition, age, lifestyle choices, etc.) is essential for the prevention of this condition and the establishment of effective treatment strategies. The latest and relevant literature data related to the epidemiology, pathophysiology, and treatment of diabetes are presented, after an exhaustive review of the articles published on this topic and indexed in the WOS, PubMed, Scopus and Google Scholar databases. Preventing or delaying the onset of diabetes can be achieved in some patients with type 2 diabetes. After onset, treatment of diabetes is complex, involving a comprehensive approach (pharmacological interventions, lifestyle changes, surgical interventions in selected cases, as well as psychological support), depending on the stage of the disease and possible associated complications. Finally, diabetes is often asymptomatic in the initial stages, so an early diagnosis remains the essential element for the best subsequent therapeutic control. Full article
8 pages, 299 KB  
Review
From COVID-19 to Long COVID: The Forms of the Neurological Manifestations
by Sana Ahuja and Sufian Zaheer
J. Mind Med. Sci. 2023, 10(2), 209-216; https://doi.org/10.22543/2392-7674.1403 - 25 Oct 2023
Cited by 3 | Viewed by 993
Abstract
Ever since the SARS-CoV-2 infection was declared a global pandemic in 2020, numerous multisystemic manifestations have been discovered. The COVID-19 is known to cause a wide spectrum of neurological symptoms like fatigue, headache, brain fog, stroke, smell and taste disorders, encephalopathy and neurodegenerative [...] Read more.
Ever since the SARS-CoV-2 infection was declared a global pandemic in 2020, numerous multisystemic manifestations have been discovered. The COVID-19 is known to cause a wide spectrum of neurological symptoms like fatigue, headache, brain fog, stroke, smell and taste disorders, encephalopathy and neurodegenerative disorders. The neurological manifestations are more prevalent in the post-COVID syndrome or long COVID. The National Institute for Health and Care Excellence and WHO defined Ongoing Symptomatic COVID as 4-12 weeks post infection and post COVID-19 syndrome as persistence of symptoms beyond 12 weeks. So far there are limited data available regarding the pathophysiology of neurological symptoms of prolonged COVID, although neuroinflammation and oxidative damage have been implicated. In this review article, we have highlighted the transition from COVID to long-term COVID, focusing the discussion particularly on neurological complications. Full article
Show Figures

Figure 1

13 pages, 210 KB  
Review
Gastric Cancer: Actualities and Perspectives of Early Diagnosis and Targeted Therapy
by Adrian Silaghi, Laura Florentina Rebegea, Daniela Gabriela Balan, Anca Dumitriu, Stana Paunica, Cristian Balalau, Stefăniță Tenea Cojan, Dragos Epistatu and Vlad Denis Constantin
J. Mind Med. Sci. 2023, 10(2), 196-208; https://doi.org/10.22543/2392-7674.1444 - 25 Oct 2023
Cited by 1 | Viewed by 1835
Abstract
Gastric cancer is an extremely aggressive form of malignancy that, if left untreated, is life-threatening. Improved survival rates depend on early detection of the disease, as well as on the combination of different forms of treatment (surgery, chemotherapy, radiotherapy, immunotherapy, etc.). Screening methods [...] Read more.
Gastric cancer is an extremely aggressive form of malignancy that, if left untreated, is life-threatening. Improved survival rates depend on early detection of the disease, as well as on the combination of different forms of treatment (surgery, chemotherapy, radiotherapy, immunotherapy, etc.). Screening methods have brought real benefit in early detection of malignancies, but many cases are still diagnosed at advanced stages. The current study is a review related to actualities and perspectives of early diagnosis and targeted therapy of gastric cancer. After an extensive review of the literature, epidemiological, diagnostic and treatment data are presented. The open surgical approach is used in emergency centers or with a low surgical activity, while the minimally invasive approach (laparoscopic, robotic) is possible in large centers dedicated to the treatment of gastric cancer. In the near future, new diagnostic and therapeutic tools are expected to appear, not only to cure cancer definitively, but also to be able to prevent it, if possible, without radically changing the lifestyle of the population. Full article
5 pages, 202 KB  
Review
Evaluating the Effectiveness of Chess as a Therapeutic Tool in the Comprehensive Management of ADHD
by Neilay Krishna Agarwal
J. Mind Med. Sci. 2023, 10(2), 191-195; https://doi.org/10.22543/2392-7674.1405 - 25 Oct 2023
Viewed by 5760
Abstract
Using databases such as PubMed and Google Scholar with the keywords "Chess" and "ADHD", this study was conducted to review the literature on the usefulness of chess in patients with ADHD. The most relevant articles were searched using the following criteria: English language, [...] Read more.
Using databases such as PubMed and Google Scholar with the keywords "Chess" and "ADHD", this study was conducted to review the literature on the usefulness of chess in patients with ADHD. The most relevant articles were searched using the following criteria: English language, and all types of studies published in a medical journal. A total 12 articles were identified. Of a total of 12 articles, 4 met the inclusion criteria and were subsequently reviewed. The results of the review showed that chess therapy/training is effective in the management of ADHD patients in terms of reducing symptoms and severity. Due to its effectiveness, playful nature, high adherence and low cost, it can be used as a therapeutic tool in multimodal management to improve ADHD symptoms. Considering the limited number of published studies in this field, our findings need to be confirmed by further controlled, randomized and extended studies. In our investigation, we found no study evaluating the effectiveness of chess in the adult subgroup of the ADHD population. Full article
Show Figures

Figure 1

13 pages, 206 KB  
Review
Barrett's Esophagus as a Premalignant Condition: Medical and Surgical Therapeutic Management
by Vlad Denis Constantin, Adrian Silaghi, Laura Florentina Rebegea, Stana Paunica, Anca Silvia Dumitriu, Doina Andrada Mihai, Ioana Paunica and Dragos Epistatu
J. Mind Med. Sci. 2023, 10(2), 178-190; https://doi.org/10.22543/2392-7674.1443 - 25 Oct 2023
Cited by 3 | Viewed by 1231
Abstract
Barrett's esophagus (BE) represents a special clinical entity, which may have reduced symptoms, but an increased potential for malignant degeneration. The factors that lead to the appearance of Barrett's esophagus are multiple, the most important being gastro-esophageal reflux, as well as smoking and [...] Read more.
Barrett's esophagus (BE) represents a special clinical entity, which may have reduced symptoms, but an increased potential for malignant degeneration. The factors that lead to the appearance of Barrett's esophagus are multiple, the most important being gastro-esophageal reflux, as well as smoking and obesity. BE occurs as a result of damage of the esophageal mucosa, caused by acid/basic gastroesophageal reflux and resulting in the transformation of the epithelium from squamous to intestinal type. The diagnosis of BE is primarily based on endoscopic examination. This method has not only a diagnostic role, but also a therapeutic one through the minimally invasive resection of the mucosa with suspicious dysplastic lesions, thus reducing the risk of esophageal adenocarcinoma. Conservative therapeutic methods by administering chemoprotective agents (proton pump inhibitors, statins, etc.) are also useful. Surgical treatment of Barrett's esophagus aims to both resect areas of high-grade esophageal dysplasia/adenocarcinoma and reduce the degree of gastroesophageal reflux through various surgical procedures. As a conclusion, the potential for malignant degeneration of BE should not be neglected, the form of treatment largely depending on the patient's age and comorbidities. Full article
6 pages, 268 KB  
Review
Psychological Violence and Manipulative Behavior in Couple: A Focus on Personality Traits
by Carmela Mento, Clara Lombardo, Nicholas Whithorn, Maria Rosaria Anna Muscatello, Antonio Bruno, Maura Casablanca and Maria Catena Silvestri
J. Mind Med. Sci. 2023, 10(2), 172-177; https://doi.org/10.22543/2392-7674.1399 - 25 Oct 2023
Cited by 4 | Viewed by 5104
Abstract
Psychological violence is characterized by systematic denigration and humiliation of the partner (victim). It is an insidious and manipulative behavior put in place to ensure that the victim begins to doubt themselves, and their own judgments, to the point of feeling confused and [...] Read more.
Psychological violence is characterized by systematic denigration and humiliation of the partner (victim). It is an insidious and manipulative behavior put in place to ensure that the victim begins to doubt themselves, and their own judgments, to the point of feeling confused and wrong. This behavior pattern is called Gaslighting and the personality traits are characterized by lack of empathy, psychopathy, narcissism and Machiavellianism. These three conditions are part of the so-called dark triad and distinguished by the lack of empathy. The aim of this study is to explore psychological aspects and consequences of Gaslighting phenomena. This systematic review was conducted according to Systematic Reviews guidelines (PubMed and Google Scholar databases), using 2 key terms related to this topic “Psychological Violence” AND “Gaslighting”. Data for this systematic review were collected in accordance with the Preferred Reporting Items for Systematic Reviews and Meta-Analyses (PRISMA). The reviewed studies focused on violence on affective manipulation, abuse trauma that compromises a subject's identity, psyche, self-esteem and sense of self, in women's mental health conditions. Most of the research analyzed is focused on the gender violence and manipulative behavior in couples. Full article
Show Figures

Figure 1

Previous Issue
Next Issue
Back to TopTop