You are currently viewing a new version of our website. To view the old version click .
Journal of Mind and Medical Sciences
  • Journal of Mind and Medical Sciences is published by MDPI from Volume 12 Issue 1 (2025). Previous articles were published by another publisher in Open Access under a CC-BY (or CC-BY-NC-ND) licence, and they are hosted by MDPI on mdpi.com as a courtesy and upon agreement with Valparaiso University (ValpoScholar).
  • Case Report
  • Open Access

25 October 2023

Giant Renal Cell Carcinoma in a Patient with Ipsilateral Lower Limb Hypertrophic Lichen Planus: Case Report and Literature Review

,
,
,
,
,
,
,
,
and
1
Faculty of General Medicine, Carol Davila University of Medicine and Pharmacy, Bucharest, Romania
2
CF2 Clinical Hospital, Department of General Surgery, Bucharest, Romania
3
Department of Dermatology, Elias Emergency University Hospital, Bucharest, Romania
4
Prof. Dr. Victor Babeș Clinical Hospital of Infectious and Tropical Diseases, Department of Dermatology, Bucharest, Romania

Abstract

Renal cell carcinoma is the most common type of primary urogenital cancer, usually resistant to radiotherapy and chemotherapy. Hypertrophic lichen planus is an inflammatory dermatosis characterized by the presence of papulosquamous and intensely pruritic lesions. The association of these two conditions is unusual, being reported in the specialized literature only in a few rare cases with the onset of lichenoid lesions after patients have undergone various forms of treatment. The case of a 62-year-old male patient who was admitted for severe abdominal pain due to a giant renal tumor associated with a hypertrophic plaque located on the anterior part of the left calf is presented. After (clinical, biochemical, imaging) diagnosis, surgery was performed for en bloc removal of the entire mass, adrenal gland, and spleen. The histopathological exam established the diagnosis of a moderately differentiated T2b clear cell Grawitz tumor, without regional lymph node metastasis (stage II). The patient continued local corticosteroid therapy in the hospital for hypertrophic lichen planus lesions, being referred to the oncology department after discharge.

Introduction

Renal cell carcinoma, also known as Grawitz tumor, is a sporadic (96%) or familial (4%) type of urogenital cancer with multifactorial etiology. This malignancy arises from the epithelium of the renal cortex and includes over 14 distinct histological and molecular subtypes, of which the clear cell type is the most common [1,2,3]. The histological subtypes of renal cell carcinoma are extremely diverse: clear cell, papillary, clear cell papillary, chromophobe, succinate dehydrogenase deficient, tubulocystic, renal carcinoma with leiomyomatosis associated with cystic disease (acquired or hereditary), as well as multilocular cystic renal neoplasm of low malignant potential, MiT family translocation carcinomas, collecting duct or renal medullary carcinomas, mucinous tubular and spindle cell carcinomas [4,5].
Although the multifactorial etiology of Grawitz tumors has not been fully documented, several genetic mutations have been incriminated and multiple risk factors for developing the disease have been identified (smoking, male sex, African-American race, older age, exposure to trichloroethylene, rare genetic disorders, pre-existing renal afflictions) [3,4,5,6].
Grawitz tumors are characterized by diverse and scarce symptomatology and clinical manifestations in the early stages, which are highly treatable and have a 5-year survival rate of 66% for stage I and 64% for stage II, respectively. In contrast, patients presenting in late stages have a 5-year survival of approximately 42% for stage III and only 11% for stage IV, respectively [7]. The overall mortality rate of renal cell carcinoma is about 30-40%, with a median survival of circa 13 months from diagnosis [8,9].
The lichenoid tissue reaction was defined in 1973 by Pinkus as the liquefaction of basal cells associated with a band-like inflammatory cell infiltrate located in the papillary dermis. The clinical expression of these cellular alterations is constituted from flat-topped papular lesions with a pathognomonic shine [10]. The archetype of the lichenoid reaction is represented by lichen planus, a disease in which Koebner’s phenomenon can be present and whose clinical characteristics can be summed up by the specific `4 Ps`, namely pruritic polygonal purple papules [11,12].
Lichen planus was first described by Wilson in 1869. It has an incidence of approximately 1% of dermatological diseases and a higher prevalence reported among African- American men, with an age of onset usually placed in the 30-60 years [13,14].
Although many questions remain concerning the etiology of this dermatological condition and true lichen planus is considered an idiopathic disease, many factors have been incriminated in its etiology. These factors are represented by the genetic predisposition (involving histocompatibility antigens), certain immunological alternations involving various factors [15,16], association with autoimmune conditions and/or endocrine and metabolic anomalies [14,17], infectious agents [18,19,20,21], neuropsychiatric conditions, as well as multiple drugs and chemical substances [13,22].
The association of lichen planus with renal cell carcinoma is most uncommon, although lichen planus has been associated with various malignancies (gastric cancer, hepatocellular carcinoma, thymoma, lymphoblastoma, lymphosarcoma, neuroblastoma, craniopharyngioma) [10,18].
Among the multiple clinical and histopathological subtypes of lichen planus, the hypertrophic lichen planus has frequently been associated with chronic venous insufficiency [10,12].
The aim of this paper is to present the case of an unusual association between a common type of large renal tumor affecting the left kidney, and hypertrophic lichen planus located on the left calf in a patient with chronic venous insufficiency (more pronounced in the left inferior limb due to the compression from the voluminous retroperitoneal mass).

Case Presentation

It is presented the case of a 62-year-old male patient of urban provenience, who has been known with histologically confirmed hypertrophic lichen planus with an onset of about 2 years prior to the current event. The patient was admitted into the General Surgery Department of the CF2 Clinical Hospital from Bucharest after complaining of moderate to severe diffuse abdominal pain, accentuated in the left hypochondrium and flank and associated with hematuria, chronic constipation, nausea and malaise (affirmatively in evolution for about 6 months).
The patient’s heredo-collateral background showed no significant information. From the patient’s medical history, we noted that he suffered from stage II arterial hypertension and chronic venous insufficiency (undergoing treatment with an ACE inhibitor and micronized purified flavonoid fraction). Concurrently, about 2 years prior to admission into the general surgery service, the patient had been diagnosed with lichen planus for which he had been treated with topical corticosteroids, with an approximately 16-month remission of the clinical manifestations.
Regarding the current event, the patient complained for about 6 months prior to admission from malaise, asthenia, nausea, chronic constipation and the above-mentioned abdominal pain. These manifestations have intensified in the last two weeks, when he had also started noticing pollakiuria and intermittent macroscopic hematuria, leading him to seek specialized medical help.
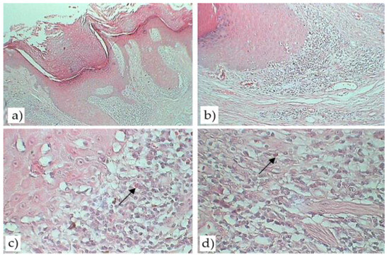
Clinical examination of the skin revealed the presence of a pruritic lesion located on the anterior side of the left calf, composed of multiple erythematous polygonal, prominent, large papules with a slight purple tint, with a tendency to cluster into a single ill-defined plaque of about 20/7 cm with a maximum elevation of 0.4 cm, with irregular edges (Figure 1). Histopathological appearance of hypertrophic lichen planus is shown in Figure 2.
Figure 1. Aspect of hypertrophic lichen planus lesions located on the anterior side of the left calf, during topical corticotherapy, in a patient with chronic venous insufficiency and left renal cell carcinoma.
Figure 2. Histopathologic aspect of hypertrophic lichen planus previous to initiation of local corticotherapy (hematoxylin-eosin - magnifying glass, 10x, 40x): hyperkeratosis, hypergranulosis, acanthosis, elongated rete ridges, Civatte bodies (arrows), dermal lymphocytic inflammatory infiltrate.
Upon general physical exam, the patient appeared pale and dehydrated, with poorly represented adipose tissue and a BMI of 18.4 kg/m2.
In regards to the patient’s lifestyle and hygienic-dietary regimen, we report that the patient is a former smoker, denies alcohol and coffee intake and states compliance with the diet and treatment targeting his associated conditions.
Upon general surgical exam, we observed a slightly and asymmetrically distended abdomen (more pronounced on the left side), mobile with breathing, percussion dullness on the left hypochondrium and flank, diffuse pain both spontaneously and upon palpation, accentuated in the left hypochondrium and flank, and a large abdominal mass sensitive upon palpation, of hard consistency, immobile and imprecisely delimited, occupying approximately the entire left hypochondrium and flank, without signs of peritoneal irritation. The patient declared chronic constipation with fecal matter of oily appearance in evolution for about a year, pollakiuria and intermittent macroscopic hematuria, while the physical exam revealed a positive left Giordano sign.
Clinical examination of the respiratory system revealed an increased anterior-posterior diameter of the chest, a slightly decreased vesicular murmur bilaterally, with a rough tonality, without any adventitious sounds and with a respiratory rate of 15 breaths/minute. Clinical exam of the cardiovascular system showed a slightly increased cardiac dullness, blood pressure = 132/67 mmHg and ventricular allure = 70/min.
Regarding paraclinical exams, the complete blood count upon admission revealed leukocytosis (WBC 11.380/μL) with a balanced leukocyte formula and microcytic anemia (RBC: 3.2 x 106/μL, hemoglobin: 11.10 g/dL, hematocrit: 31.20%, MCV: 79.5 fL, MCH: 26 pg, MCHC: 29.3 g/dL). The biochemical blood analysis showed hyperuricemia, increased serum creatinine (urea: 114 mg/dL, creatinine: 3.6 mg/dL), hyperglycemia (229 mg/dL), hyperamylasemia (552 U/L), hyponatremia (130.90 mmol/L). An increased erythrocyte sedimentation rate was also noted (ESR: 50 mm/h) and an increased fibrinogen (456.11 mg/dL). The urine summary revealed microscopic hematuria (28 erythrocytes/field) at the time of the examination.
Electrocardiogram showed sinus rhythm and did not identify acute end-phase changes. The cardiopulmonary X- ray revealed a slight accentuation of the hilar and interstitial peribronchovascular pattern and a discrete ascension of the left hemidiaphragm, also present on the thoracic CT scan.
Due to the high level of creatinine presented, a native abdominopelvic CT scan was performed and the results were as follows: in the left hypochondrium and abdominal flank, a large mass was found, with an axial diameter of circa 182/136 mm and a craniocaudal diameter of approximately 212 mm, which is clearly delimited by its partially calcified walls and characterized by mainly fluid signal (including also tissue areas, septa and micronodular calcifications. The mass imprints and moves anteriorly and cranially the left postero-lateral parietal peritoneum, the spleen and the corporeo-caudal segment of the pancreas. It also imprints the regional enteric loops and the left colic flexure, being into contact through its posterosuperior pole with the left hemidiaphragm on which it discreetly ascends. The tumor seems to originate at the cortical level of the anterior valve of the left kidney, which is located in a lower position than normal. The CT scan also showed patchy calcifications arranged somewhat circumferentially at the level of both renal medullas, without obvious involvement of their cortex (nephrocalcinosis). The rest of the intra- abdominal organs had a normal appearance at the time of examination (Figure 3 and Figure 4).
Figure 3. Different color-coded coronal sections of native CT scan showing large retroperitoneal mass with an axial diameter of about 182/136 mm and a craniocaudal diameter of approximately 212 mm.
Figure 4. Different color-coded axial sections of native Due to the high level of creatinine presented, a native CT scan showing large retroperitoneal mass. The mass seems to originate at the cortical level of the anterior valve of the left kidney, which is located in a lower position than normal.
Treatment
As a result of the anamnesis, clinical exam and paraclinical examinations, a presumptive diagnosis of a renal tumor associated with hypertrophic lichen planus was established. Disease staging was difficult to assess based on the native CT scan, although it suggested a T2bN0M0 (stage II) Grawitz tumor.
Treatment options were discussed by a multi- disciplinary team (general surgeon, oncologist, internal medicine specialist and dermatologist) and presented to the patient. After careful consideration surgery was performed, and the successful en bloc removal of the entire mass, adrenal gland and the spleen was achieved. The resected specimen was sent for histopathological examination (Figure 5, Figure 6 and Figure 7).
Figure 5. Nephrectomy, adrenalectomy and the splenectomy specimen: giant renal tumor.
Figure 6. The resected specimen – giant renal tumor with intratumorally hemorrhage, thrombosis and necrosis revealed upon dissection.
Figure 7. Nephrectomy and splenectomy specimen: postoperative dissection of spleen and giant renal tumor with intratumorally hemorrhage, clotting and necrosis.
The patient benefited from specific medical treatment (diuretic, hydroelectrolytic and metabolic rebalancing, as well as anti-thromboembolic prevention), with a slowly favorable surgical and paraclinical postoperative evolution. Also, we opted to continue local corticotherapy for the hypertrophic lichen planus lesions, with the recommendation for further dermatologic reevaluation after surgical healing.
The histopathological exam established the diagnosis of a moderately differentiated T2b clear cell Grawitz tumor without regional lymph node metastasis (stage II). The histopathological report described the spleen of 11/9/4 cm with intact capsule and burgundy colored parenchyma on section, and with a microscopic appearance of vascular stasis. The left kidney measured 11/7/6.5 cm and showed slight decapsulation, excessive adipose tissue and an imprecise cortico-medullary demarcation on sections. At the renal cortex level, 4 retention cysts between 0.2-0.5 cm could be observed. Starting from the anterior valve cortex level, there was a voluminous encapsulated mass of increased consistency, approximately 18/12.5/21 cm and about 4000 g, with the thickness of the capsular wall of 0.2-0.5 cm.
Upon section, the tumor appeared grayish-yellow, solid, with numerous calcifications and cystic hemorrhagic and necrotic areas. In the medullary area numerous hemorrhagic areas of dark brown and black colors were noticed. Microscopically, focal glomerulosclerosis was highlighted, along with numerous calcifications, predominantly at pyelocaliceal level, as well as serous urinary retention cysts, multiple cystic areas alternating with solid areas, a delicate capillary network and a moderate inflammatory infiltrate. Lastly, the histopathological exam highlighted the presence of numerous tumor cells of large size and round or polygona shape, predominantly grouped in nests. The cells presented eccentric, mostly round but also some irregular nuclei with sizes varying between 10-15 μ, with rare nucleoli present and a clear or eosinophilic and finely granular cytoplasm. Unfortunately, since the patient solicited the slides for immunohistochemistry, we do not possess pictures of the slides at the present time.
Therefore, the patient was directed towards the oncology service for staging and initiation of specialized treatment, at which point we unfortunately lost track of his evolution. Upon discharge, the lichen planus lesions were in complete remission.

Discussions

Hypertrophic lichen planus represents a highly pruritic clinical variant that, apart from the typical features of lichen planus, is characterized by the presence of thick, adheren hyperkeratotic deposits. The factors incriminated in the etiology of lichen planus are illustrated in the Table 1 [17,18,19,20,21,22,23].
Table 1. The etiology of lichen planus.
The diagnosis of lichen planus was based on the pathognomonic clinical appearance associated with intense pruritus and confirmed by characteristic histopathological anomalies (hyperkeratosis, hypergranulosis, acanthosis, Civatte bodies and dermal lymphocytic inflammatory infiltrate) [3,4,10].
In regards to the presented case, we concluded that the atypical aspect of the previously histopathological confirmed lesions, which presently lacked hyperkeratotic deposits, was due to previous episodes that healed without restitutio ad integrum and left residual scarring, as well as a result of local corticoid treatment.
The treatment regimen for lichen planus included recommendations for a balanced lifestyle and diet, topical products (glucocorticoids as first-line products, followed by retinoids, calcineurin inhibitors such as tacrolimus, and also cyclosporine, mycophenolate mofetil, trichloroacetic acid) and systemic therapy (sedatives, antihistamines, systemic corticoids, retinoids, cyclosporine, azathioprine, methotrexate, cyclophosphamide, dapsone, sulfasalazine, hydroxychloroquine, mycophenolate mofetil, enoxaparin, griseofulvin, tetracycline, metronidazole, itraconazole, efalizumab and alefacept) [3,10,13]. Other treatment options include cryotherapy, radicular radiotherapy, phototherapy and photochemotherapy, carbon dioxide or Nd:YAG laser, surgical excision and Grenz ray treatment, the latter being rarely used in the present because of its high risk of provoking Koebner’s phenomenon [10,11,24].
Most cases of lichen planus have a good prognosis and a benign, albeit long and self-limited evolution with resolution within 6-9 months for patients that benefit from local corticotherapy and within approximately 18 months in the absence of any treatment regimen, respectively [10,13]. Most frequent complications are represented by long-term residual lichenification, cutaneous atrophy and hyperpigmentation and also, in rare cases, malignant transformation (squamous cell carcinomas). The factors incriminated in the etiology of renal cell carcinoma are illustrated in the Table 2 [3,10,21,22,23,24,25,26].
Table 2. Etiology of renal cell carcinoma
Renal cell carcinomas present with a variety of clinical and paraclinical manifestations, of which the most frequent are flank pain, hematuria and the presence of a palpable abdominal or flank mass, followed by weight loss, arterial hypertension, malaise, fever, night sweats, varicocele (more common on the left) and paraneoplastic manifestations (erythrocytosis or anemia, hypercalcemia, hepatic dysfunctions, polyneuromyopathy, dermatomyositis) [7].
For diagnostic and staging purposes, it is recommended to perform extensive imaging tests (abdominopelvic ultrasonography, thoraco-abdominal CT, and for suspected metastatic disease, brain CT scan or MRI in selected cases, urography, arterio- and venography). The 2017 TNM staging and 5-year survival rates for renal cell carcinoma are illustrated in Table 3 [2,6,27,28].
Table 3. TNM staging of renal cell carcinoma and corresponding survival rates
Treatment options for Grawitz tumors include surgical treatment (open or laparoscopic partial or radical nephrectomy with lymphadenectomy and early ligation of the renal artery with vena cava closure in cases with such indication), as well as immunomodulatory and targeted molecular therapy, thermal ablation, etc. [7].
Therapeutic approach depends upon staging and comorbidities. Thus, in stages I and II it is recommended to opt for surgical tumor resection (laparoscopic or open in cases with voluminous tumors that are hard to approach or when there are contraindications for increased intra- abdominal pressure) or radiofrequency ablation or cryoablation, when possible (small uni- or bilateral tumors) [12,13,14,15,16,29]. Stage III represents an indication for open radical nephrectomy with or without adrenalectomy and lymphadenectomy, depending on imaging findings [2,3,4,5]. Stage IV has a palliative treatment and care recommendation (nephrectomy with cytoreductive intent whenever possible (in IMDC1 patients), as well as tyrosine kinase inhibitors, immune check-point inhibitors, renal artery embolization, etc.) [30,31,32].
The main prognostic of renal cell carcinoma depends on tumor-related factors (size, extension, cellularity and differentiation, the presence of necrosis and sarcomatous degeneration), paraclinical-related factors (anemia, thrombocytosis, hypercalcemia, elevated LDH, elevated ESR and/or CRP) and patient-related factors (clinical manifestations, especially severe weight loss and paraneoplastic syndromes, as well as comorbidities and distant metastasis) [5].
In the case presented, stage II renal cell carcinoma has an 85% 5-year survival rate and an estimated 74% 10-year survival rate for a 62-year-old man. Factors that might alter the prognosis and thus, must be taken into consideration in similar cases are related to clinical and paraclinical elements: arterial hypertension, anemia, hyperamylasemia, increased serum creatinine, hyperglycemia, hyponatremia, increased erythrocyte sedimentation rate and increased fibrinogen.
Postoperative follow-up is recommended to include an abdominal ultrasound (every 6 months for stage I, every 3- 6 months for stages II-III, every 6-16 weeks for stage IV), cardiopulmonary X-ray (annually in stage I) or chest CT (annually in stage I, every 3-6 months in stages II-III, every 6-16 weeks in stage IV) and abdominopelvic CT or MRI (every 6 months in stage I, every 3-6 months in stages II-III for 3 years and then annually for 5 years, and respectively, every 6-16 weeks in stage IV) [33,34,35]. Patient follow-up should be dynamically adapted, in accordance with the clinical and paraclinical evolution of the patient.

Conclusions

Worldwide, renal cancer is the 14th most frequent type of cancer and the 9th most frequent type of cancer among male patients. The Grawitz tumors is the most common type of urogenital neoplasia (80-90% of cases), while lichen planus represents only 1% of dermatological cases. The association of these two diseases is usually uncommon, sometimes such association being iatrogenic [1,2,36].
We presented this case due to the unlikely association between renal cell cancer and hypertrophic lichen planus located on the ipsilateral calf, which we considered most likely to be in relation to the chronic venous insufficiency and, possibly, the compression caused by the voluminous retroperitoneal mass. At the same time, we have taken into consideration the possibility that the hypertrophic lichen planus appeared as a paraneoplastic manifestation in this particular case, given the fact that lichen planus is known to be associated with different types of cancer (such as gastric cancer, hepatocellular carcinoma, thymoma, lymphoblastoma, lymphosarcoma, neuroblastoma and craniopharyngioma.
Another reason for presenting this case is the impressive size of the renal tumor, which was successfully resected entirely without intraoperative incident or accident, followed by a favorable surgical postoperative outcome.

Contributions

Conceptualization, S.P.; methodology, D.T. and Z.J.K; software, S.P. and I.-T.P.; validation, C.G. and D.P.; investigation, S.P.; resources, D.P. and G.-P.G.; data curation D.T.; writing—original draft preparation, S.P.; writing—review and editing, C.G., M.A.P., O.D.B.; visualization, R.-M.S. and G.-P.G.; supervision, D.P., C.G. and P.M.A; project administration, S.P. and G.-P.G.

Acknowledgments

This case is part of a larger and ongoing doctoral study `Genodermatoses – Etiopathogenic, clinical, diagnostic and therapeutic considerations, with practical applications in medical case studies` by Silvia Popescu (Ph.D. student at Carol Davila University of Medicine and Pharmacy), under the supervision of Professor Giurcăneanu Călin. The authors would like to express the highest gratitude and special consideration to Doctor Dumitru Peța, the main surgeon in the presented case, whom we would like to congratulate on this occasion for the impressive and immense surgical success of this extremely difficult case and for the notable professional achievements throughout his entire medical career.

Compliance with ethical standards

Any aspect of the work covered in this manuscript has been conducted with the ethical approval of all relevant bodies and that such approvals are acknowledged within the manuscript. Informed consent was obtained from all subjects involved in the study.

Conflict of interest disclosure

There are no known conflicts of interest in the publication of this article. The manuscript was read and approved by all authors.

References

  1. Hsieh JJ, Purdue MP, Signoretti S; et al. Renal cell carcinoma. Nat Rev Dis Primers. 2017, 3, 17009. [Google Scholar] [CrossRef] [PubMed]
  2. Nishiyama H, Inoue T, Koizumi Y, et al. Chapter 2:indications and dosing of anticancer drug therapy in patients with impaired kidney function, from clinical practice guidelines for the management of kidney injury during anticancer drug therapy 2022. Int J Clin Oncol. 2023, 28, 1298–1314. [Google Scholar] [CrossRef] [PubMed]
  3. Rotaru D, Chisnoiu R, Picos AM, Picos A, Chisnoiu A. Treatment trends in oral lichen planus and oral lichenoid lesions (Review). Exp Ther Med. 2020, 20, 198. [Google Scholar] [CrossRef]
  4. Tziotzios C, Lee JYW, Brier T, et al. Lichen planus and lichenoid dermatoses: Clinical overview and molecular basis. J Am Acad Dermatol. 2018, 79, 789–804. [Google Scholar] [CrossRef]
  5. Capitanio U, Montorsi F. Renal cancer. Lancet. 2016, 387, 894–906. [CrossRef]
  6. Nabi S, Kessler ER, Bernard B, Flaig TW, Lam ET. Renal cell carcinoma: a review of biology and pathophysiology. F1000Res. 2018, 7, 307. [Google Scholar] [CrossRef]
  7. Tziotzios C, Brier T, Lee JYW, et al. Lichen planus and lichenoid dermatoses: Conventional and emerging therapeutic strategies. J Am Acad Dermatol. 2018, 79, 807–818. [Google Scholar] [CrossRef]
  8. Bahadoram S, Davoodi M, Hassanzadeh S, Bahadoram M, Barahman M, Mafakher L. Renal cell carcinoma: an overview of the epidemiology, diagnosis, and treatment. G Ital Nefrol. 2022, 39, 2022-vol3. [Google Scholar]
  9. So TH, Sharma S, Parij R, et al. A systematic review to summarize treatment patterns, guidelines, and characteristics of patients with renal cell carcinoma in the Asia-Pacific region. Expert Rev Anticancer Ther. 2023, 23, 853–863. [Google Scholar] [CrossRef]
  10. Aravind T, Janardhanan M, Suresh R, Savithri V, Mohan M. Histopathologic evaluation of oral lichen planus and oral lichenoid reaction: A comparative analysis based on basement membrane thickness and the distribution of mast cells. J Oral Maxillofac Pathol. 2021, 25, 549–550. [Google Scholar] [CrossRef]
  11. Happle R, Kluger N. Koebner's sheep in Wolf's clothing: does the isotopic response exist as a distinct phenomenon? J Eur Acad Dermatol Venereol. 2018, 32, 542–543. [Google Scholar] [CrossRef] [PubMed]
  12. Gambichler T, Rüddel I, Hessam S, Bechara FG, Stockfleth E, Schmitz L. Altered epigenetic pathways and cell cycle dysregulation in healthy appearing skin of patients with koebnerized squamous cell carcinomas following skin surgery. J Eur Acad Dermatol Venereol. 2018, 32, 1485–1491. [Google Scholar] [CrossRef]
  13. Robles-Méndez JC, Rizo-Frías P, Herz-Ruelas ME, Pandya AG, Ocampo Candiani J. Lichen planus pigmentosus and its variants: review and update. Int J Dermatol. 2018, 57, 505–514. [Google Scholar] [CrossRef]
  14. Marshman, G. Lichen planus. Australas J Dermatol. 1998, 39, 1–13. [Google Scholar] [CrossRef]
  15. Whittington CP, Saleh JS, Bresler SC. Hypertrophic Lichen Planus: An Up-to-Date Review and Differential Diagnosis. Arch Pathol Lab Med 2023. [Google Scholar] [CrossRef]
  16. Husein-ElAhmed H, Gieler U, Steinhoff M. Lichen planus: a comprehensive evidence-based analysis of medical treatment. J Eur Acad Dermatol Venereol. 2019, 33, 1847–1862. [Google Scholar] [CrossRef]
  17. Korkij W, Chuang TY, Soltani K. Liver abnormalities in patients with lichen planus. A retrospective case- control study. J Am Acad Dermatol. 1984, 11, 609–615. [Google Scholar] [CrossRef]
  18. Ghazi N, Khorasanchi M. Markers associated with malignant transformation of oral lichen planus: A review article. Arch Oral Biol. 2021, 127, 105158. [Google Scholar] [CrossRef]
  19. Astudillo MG, Hoang MP, Nazarian RM, Foreman RK. Distinction Between Hypertrophic Lichen Planus and Squamous Cell Carcinoma Requires Clinicopathologic Correlation in Difficult Cases. Am J Dermatopathol. 2021, 43, 349–355. [Google Scholar] [CrossRef]
  20. Shengyuan L, Songpo Y, Wen W, Wenjing T, Haitao Z, Binyou W. Hepatitis C virus and lichen planus: a reciprocal association determined by a meta-analysis. Arch Dermatol. 2009, 145, 1040–1047. [Google Scholar]
  21. Bigby, M. The relationship between lichen planus and hepatitis C clarified. Arch Dermatol. 2009, 145, 1048–1050. [Google Scholar] [CrossRef] [PubMed]
  22. Caragea G, Avram O, Pauna A, Costea AC, Tudosie M. Acetaminophen, a therapeutic or an extremely toxic remedy – a review. J Mind Med Sci. 2022, 9, 102–110. [Google Scholar] [CrossRef]
  23. Motofei, IG. Malignant Melanoma: Autoimmunity and Supracellular Messaging as New Therapeutic Approaches. Curr Treat Options Oncol. 2019, 20, 45. [Google Scholar] [CrossRef] [PubMed]
  24. Brodkin RH, Bleiberg J. Grenz Rays and lichen planus. report of a case of isomorphic phenomenon following Grenz Ray therapy. Arch Dermatol. 1965, 91, 149–150. [Google Scholar] [CrossRef]
  25. Constantin VD, Socea B, Gaspar BS, Epistatu D, Paunica I, Dumitriu AS, Paunica S, Silaghi A. Limb amputations; etiopathogenesis, diagnosis and the multidisciplinary therapeutic approach. J Mind Med Sci. 2022, 9, 209–223. [Google Scholar] [CrossRef]
  26. Krasowska D, Kozłowicz K, Kowal M, et al. Twice malignant transformation of hypertrophic lichen planus. Ann Agric Environ Med. 2012, 19, 787–789. [Google Scholar]
  27. Rouprêt M, Seisen T, Birtle AJ, et al. European Association of Urology Guidelines on Upper Urinary Tract Urothelial Carcinoma: 2023 Update. Eur Urol. 2023, 84, 49–64. [Google Scholar] [CrossRef]
  28. Eddicks S, Kivelitz D, Breitwieser C, et al. Right ventricular metastasis caused by a renal cell carcinoma (Grawitz tumor): case report. J Am Soc Echocardiogr. 2006, 19, 1073.e11–1073e1073E15. [Google Scholar] [CrossRef]
  29. Omer S, Smarandache AM, Omer I, et al. How does a medical team in the Oncology Department react to the Covid-19 pandemic? J Mind Med Sci. 2021, 8, 286–291. [Google Scholar] [CrossRef]
  30. Jonasch, E. Updates to the Management of Kidney Cancer. J Natl Compr Canc Netw. 2018, 16, 639–641. [Google Scholar] [CrossRef]
  31. Dabestani S, Marconi L, Kuusk T, Bex A. Follow-up after curative treatment of localised renal cell carcinoma. World J Urol. 2018, 36, 1953–1959. [Google Scholar] [CrossRef]
  32. Bex A, Ljungberg B, van Poppel H, Powles T; European Association of Urology. The Role of Cytoreductive Nephrectomy: European Association of Urology Recommendations in 2016. Eur Urol. 2016, 70, 901–905. [Google Scholar] [CrossRef] [PubMed]
  33. Motzer RJ, Jonasch E, Agarwal N, et al. Kidney cancer, version 3.2015. J Natl Compr Canc Netw. 2015, 13, 151–159. [Google Scholar] [CrossRef]
  34. Aurilio G, Mauri G, Rossi D, et al. Image-Guided Ablations in Patients with Recurrent Renal Cell Carcinoma. J Clin Med. 2023, 12, 4902. [Google Scholar] [CrossRef]
  35. Méndez-Vidal MJ, Lázaro Quintela M, Lainez-Milagro N, et al. SEOM SOGUG clinical guideline for treatment of kidney cancer (2022). Clin Transl Oncol. 2023, 25, 2732–2748. [Google Scholar] [CrossRef]
  36. Shah RR, Bhate C, Hernandez A, Ho CH. Lichen planus pemphigoides: A unique form of bullous and lichenoid eruptions secondary to nivolumab. Dermatol Ther. 2022, 35, e15432. [Google Scholar] [CrossRef]
Disclaimer/Publisher’s Note: The statements, opinions and data contained in all publications are solely those of the individual author(s) and contributor(s) and not of MDPI and/or the editor(s). MDPI and/or the editor(s) disclaim responsibility for any injury to people or property resulting from any ideas, methods, instructions or products referred to in the content.

Article Metrics

Citations

Article Access Statistics

Multiple requests from the same IP address are counted as one view.