Assessment of Growth Inhibition of Eugenol-Loaded Nano-Emulsions against Beneficial Bifidobacterium sp. along with Resistant Escherichia coli Using Flow Cytometry
Abstract
1. Introduction
2. Materials and Methods
2.1. Materials
2.2. Preparation of Nano-Emulsion
2.3. Particle Size Measurement
2.4. Bacterial Cell Culture and Treatments
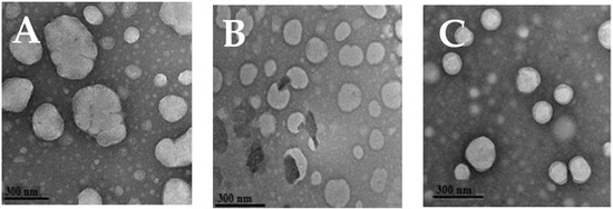
2.5. Transmission Electron Microscopy (TEM)
2.6. Staining Procedure and Flow Cytometry Analysis
2.6.1. Propidium Iodide (PI) Staining before and after Bulk CO and CO Nano-Emulsions Treatment
2.6.2. 5(6)-Carboxyfluorescein Diacetate (CFDA) Staining
2.6.3. Double Staining
2.6.4. Flow Cytometry Analysis
2.7. Fourier Transform Infrared Spectroscopy (FTIR)
2.8. Statistical Analysis
3. Results
4. Discussions
5. Conclusions
Author Contributions
Funding
Institutional Review Board Statement
Informed Consent Statement
Data Availability Statement
Conflicts of Interest
References
- Maurya, V.K.; Gothandam, K.M.; Ranjan, V.; Shakya, A.; Pareek, S. Effect of drying methods (microwave vacuum, freeze, hot air and sun drying) on physical, chemical and nutritional attributes of five pepper (Capsicum annuum var. annuum) cultivars. J. Sci. Food Agric. 2018, 98, 3492–3500. [Google Scholar] [CrossRef] [PubMed]
- Unalan, I.; Boccaccini, A.R. Essential oils in biomedical applications: Recent progress and future opportunities. Curr. Opin. Biomed. Eng. 2021, 17, 100261. [Google Scholar] [CrossRef]
- Mansouri, S.; Pajohi-Alamoti, M.; Aghajani, N.; Bazargani-Gilani, B.; Nourian, A. Stability and antibacterial activity of Thymus daenensis L. essential oil nanoemulsion in mayonnaise. J. Sci. Food Agric. 2021, 101, 3880–3888. [Google Scholar] [CrossRef] [PubMed]
- Ouwehand, A.; Tiihonen, K.; Kettunen, H.; Peuranen, S.; Schulze, H.; Rautonen, N. In vitro effects of essential oils on potential pathogens and beneficial members of the normal microbiota. Vet. Med. 2010, 55, 71–78. [Google Scholar] [CrossRef]
- Thapa, D.; Losa, R.; Zweifel, B.; Wallace, R.J. Sensitivity of pathogenic and commensal bacteria from the human colon to essential oils. Microbiology 2012, 158, 2870–2877. [Google Scholar] [CrossRef]
- Yang, Z.; He, Q.; Ismail, B.B.; Hu, Y.; Guo, M. Ultrasonication induced nano-emulsification of thyme essential oil: Optimization and antibacterial mechanism against Escherichia coli. Food Control. 2022, 133, 108609. [Google Scholar] [CrossRef]
- da Silva, B.D.; Rosario, D.K.A.D.; Conte-Junior, C.A. Can droplet size influence antibacterial activity in ultrasound-prepared essential oil nanoemulsions? Crit. Rev. Food Sci. Nutr. 2022, 1–11. [Google Scholar] [CrossRef]
- Al-Otaibi, W.A.; AlMotwaa, S.M. Preparation, characterization, optimization, and antibacterial evaluation of nano-emulsion incorporating essential oil extracted from Teucrium polium L. J. Dispers. Sci. Technol. 2021, 1–11. [Google Scholar] [CrossRef]
- Sharma, A.D.; Kaur, I.; Singh, N. Synthesis, Characterization, and in vitro drug release and in vitro antibacterial activity of o/w nanoemulsions loaded with natural eucalyptus globulus essential oil. J. Nanosci. Nanotechnol. 2021, 17, 191–207. [Google Scholar]
- Roozitalab, G.; Yousefpoor, Y.; Abdollahi, A.; Safari, M.; Rasti, F.; Osanloo, M. Antioxidative, anticancer, and antibacterial activities of a nanoemulsion-based gel containing Myrtus communis L. essential oil. Chem. Papers 2022, 76, 4261–4271. [Google Scholar] [CrossRef]
- Zhu, Y.; Li, C.; Cui, H.; Lin, L. Encapsulation strategies to enhance the antibacterial properties of essential oils in food system. Food Control 2021, 123, 107856. [Google Scholar] [CrossRef]
- Mao, L.; Xu, D.; Yang, J.; Yuan, F.; Gao, Y.; Zhao, J. Effect of small and large molecules emulsifiers on the characteristics of b-carotene nanoemulsions prepared by high pressure homogenization. Food Technol. Biotechnol. 2009, 47, 336–342. [Google Scholar]
- Liang, R.; Xu, S.; Shoemaker, C.F.; Li, Y.; Zhong, F.; Huang, Q. Physical and antimicrobial properties of peppermint oil nanoemulsions. J. Agric. Food Chem. 2012, 60, 7548–7555. [Google Scholar] [CrossRef] [PubMed]
- Donsì, F.; Annunziata, M.; Vincensi, M.; Ferrari, G. Design of nanoemulsion-based delivery systems of natural antimicrobials: Effect of the emulsifier. J. Biotechnol. 2012, 159, 342–350. [Google Scholar] [CrossRef] [PubMed]
- Terjung, N.; Löffler, M.; Gibis, M.; Hinrichs, J.; Weiss, J. Influence of droplet size on the efficacy of oil-in-water emulsions loaded with phenolic antimicrobials. Food Funct. 2012, 3, 290–301. [Google Scholar] [CrossRef]
- Lin, Y.-E.; Lin, M.-H.; Yeh, T.-Y.; Lai, Y.-S.; Lu, K.-H.; Huang, H.-S.; Peng, F.-C.; Liu, S.-H.; Sheen, L.-Y. Genotoxicity and 28-day repeated dose oral toxicity study of garlic essential oil in mice. J. Tradit. Complement. Med. 2022, 12, 536–544. [Google Scholar] [CrossRef]
- Wang, Q.; Gong, J.; Huang, X.; Yu, H.; Xue, F. In vitro evaluation of the activity of microencapsulated carvacrol against Escherichia coli with K88 pili. J. Appl. Microbiol. 2009, 107, 1781–1788. [Google Scholar] [CrossRef]
- Majeed, H.; Antoniou, J.; Fang, Z. Apoptotic effects of eugenol-loaded nanoemulsions in human colon and liver cancer cell lines. Asian Pac. J. Cancer Prev. 2014, 15, 9159–9164. [Google Scholar] [CrossRef]
- Majeed, H.; Antoniou, J.; Shoemaker, C.F.; Fang, Z. Action mechanism of small and large molecule surfactant-based clove oil nanoemulsions against food-borne pathogens and real-time detection of their subpopulations. Arch. Microbiol. 2015, 197, 35–45. [Google Scholar] [CrossRef]
- Majeed, H.; Liu, F.; Hategekimana, J.; Sharif, H.R.; Qi, J.; Ali, B.; Bian, Y.-Y.; Ma, J.; Yokoyama, W.; Zhong, F. Bactericidal action mechanism of negatively charged food grade clove oil nanoemulsions. Food Chem. 2016, 197, 75–83. [Google Scholar] [CrossRef]
- Zhao, W.; Yang, R.; Zhang, H.Q.; Zhang, W.; Hua, X.; Tang, Y. Quantitative and real time detection of pulsed electric field induced damage on Escherichia coli cells and sublethally injured microbial cells using flow cytometry in combination with fluorescent techniques. Food Control. 2011, 22, 566–573. [Google Scholar] [CrossRef]
- Ju, S.-N.; Shi, H.-H.; Yang, J.-Y.; Zhao, Y.-C.; Xue, C.-H.; Wang, Y.-M.; Huang, Q.-R.; Zhang, T.-T. Characterization, stability, digestion and absorption of a nobiletin nanoemulsion using DHA-enriched phosphatidylcholine as an emulsifier in vivo and in vitro. Food Chem. 2022, 397, 133787. [Google Scholar] [CrossRef]
- Sielatycka, K.; Juzwa, W.; Śliwa-Dominiak, J.; Kaczmarczyk, M.; Łoniewski, I.; Marlicz, W. Multiparameter flow cytometric enumeration of probiotic-containing commercial powders. Innov. Food Sci. Emerg. Technol. 2021, 68, 102598. [Google Scholar] [CrossRef]
- Michelutti, L.; Bulfoni, M.; Nencioni, E. A novel pharmaceutical approach for the analytical validation of probiotic bacterial count by flow cytometry. J. Microbiol. Method 2020, 170, 105834. [Google Scholar] [CrossRef] [PubMed]
- da Cruz Rodrigues, V.C.; da Silva, L.G.S.; Simabuco, F.M.; Venema, K.; Antunes, A.E.C. Survival, metabolic status and cellular morphology of probiotics in dairy products and dietary supplement after simulated digestion. J. Funct. Foods 2019, 55, 126–134. [Google Scholar] [CrossRef]
- Porat, R.; Lichter, A.; Terry, L.A.; Harker, R.; Buzby, J. Postharvest losses of fruit and vegetables during retail and in consumers’ homes: Quantifications, causes, and means of prevention. Postharvest Biol. Technol. 2018, 139, 135–149. [Google Scholar] [CrossRef]
- Hou, K.; Xu, Y.; Cen, K.; Gao, C.; Feng, X.; Tang, X. Nanoemulsion of cinnamon essential oil Co-emulsified with hydroxypropyl-β-cyclodextrin and Tween-80: Antibacterial activity, stability and slow release performance. Food Biosci. 2021, 43, 101232. [Google Scholar] [CrossRef]
- Ambrosio, C.M.S.; de Alencar, S.M.; de Sousa, R.L.M.; Moreno, A.M.; Da Gloria, E.M. Antimicrobial activity of several essential oils on pathogenic and beneficial bacteria. Ind. Crops Prodct. 2017, 97, 128–136. [Google Scholar] [CrossRef]
- Fu, X.; Gao, Y.; Yan, W.; Zhang, Z.; Sarker, S.; Yin, Y.; Liu, Q.; Feng, J.; Chen, J. Preparation of eugenol nanoemulsions for antibacterial activities. RSC Adv. 2022, 12, 3180–3190. [Google Scholar] [CrossRef]
- Krithika, B.; Preetha, R. Formulation of protein based inulin incorporated synbiotic nanoemulsion for enhanced stability of probiotic. Mater. Res. Express 2019, 6, 114003. [Google Scholar] [CrossRef]
- Meng, L.; Ma, J.; Liu, C.; Mao, X.; Li, J. The microbial stress responses of Escherichia coli and Staphylococcus aureus induced by chitooligosaccharide. Carbohydr. Polym. 2022, 287, 119325. [Google Scholar] [CrossRef] [PubMed]
- Nirmala, M.J.; Durai, L.; Gopakumar, V.; Nagarajan, R. Preparation of celery essential oil-based nanoemulsion by ultrasonication and evaluation of its potential anticancer and antibacterial activity. Int. J. Nanomed. 2020, 15, 7651. [Google Scholar] [CrossRef] [PubMed]
- Parvarei, M.M.; Khorshidian, N.; Fazeli, M.R.; Mortazavian, A.M.; Nezhad, S.S.; Mortazavi, S.A. Comparative effect of probiotic and paraprobiotic addition on physicochemical, chemometric and microstructural properties of yogurt. LWT-Food Sci. Technol. 2021, 144, 111177. [Google Scholar] [CrossRef]
- Amiri, S.; Rezazadeh-Bari, M.; Alizadeh-Khaledabad, M.; Rezaei-Mokarram, R.; Sowti-Khiabani, M. Fermentation optimization for co-production of postbiotics by Bifidobacterium lactis BB12 in cheese whey. Waste Biomass Valorization 2021, 12, 5869–5884. [Google Scholar] [CrossRef]
- Biswas, D.; Tiwari, M.; Tiwari, V. Molecular mechanism of antimicrobial activity of chlorhexidine against carbapenem-resistant Acinetobacter baumannii. PLoS ONE 2019, 14, e0224107. [Google Scholar] [CrossRef]
- Ansari, M.A.; Khan, H.M.; Khan, A.A.; Ahmad, M.K.; Mahdi, A.A.; Pal, R.; Cameotra, S.S. Interaction of silver nanoparticles with Escherichia coli and their cell envelope biomolecules. J. Basic Microbiol. 2014, 54, 905–915. [Google Scholar] [CrossRef] [PubMed]







| Emulsion Formulation (v/v, %) | Particle Size (nm) Mean ± SD | PDI Mean ± SD | Zeta Potential (mV) Mean ± SD | NPS |
|---|---|---|---|---|
| 10% MCT | 222.3 ± 5.07 a | 0.11 ± 0.013 a | −31.1 ± 0.12 a | 5 |
| 1:9% EU: MCT | 218.2 ± 2.12 a | 0.22 ± 0.10 b | −27.88 ± 0.08 b | 5 |
| 3:7% EU: MCT | 180.2 ± 1.22 b | 0.09 ± 0.12 a | −30.11 ± 0.10 a | 5 |
| 5:5% EU: MCT: EU | 151.2 ± 1.23 c | 0.11 ± 0.033 a | −28.0 ± 0.19 b | 5 |
Disclaimer/Publisher’s Note: The statements, opinions and data contained in all publications are solely those of the individual author(s) and contributor(s) and not of MDPI and/or the editor(s). MDPI and/or the editor(s) disclaim responsibility for any injury to people or property resulting from any ideas, methods, instructions or products referred to in the content. |
© 2023 by the authors. Licensee MDPI, Basel, Switzerland. This article is an open access article distributed under the terms and conditions of the Creative Commons Attribution (CC BY) license (https://creativecommons.org/licenses/by/4.0/).
Share and Cite
Majeed, U.; Shafi, A.; Shahbaz, M.; Khan, K.u.R.; Iqbal, K.J.; Akram, K.; Baboo, I.; Munawar, S.H.; Munir, M.M.; Sultan, R.; et al. Assessment of Growth Inhibition of Eugenol-Loaded Nano-Emulsions against Beneficial Bifidobacterium sp. along with Resistant Escherichia coli Using Flow Cytometry. Fermentation 2023, 9, 140. https://doi.org/10.3390/fermentation9020140
Majeed U, Shafi A, Shahbaz M, Khan KuR, Iqbal KJ, Akram K, Baboo I, Munawar SH, Munir MM, Sultan R, et al. Assessment of Growth Inhibition of Eugenol-Loaded Nano-Emulsions against Beneficial Bifidobacterium sp. along with Resistant Escherichia coli Using Flow Cytometry. Fermentation. 2023; 9(2):140. https://doi.org/10.3390/fermentation9020140
Chicago/Turabian StyleMajeed, Usman, Afshan Shafi, Muhammad Shahbaz, Kashif ur Rehman Khan, Khalid Javed Iqbal, Kashif Akram, Irfan Baboo, Shaukat Hussain Munawar, Muhammad Mazhar Munir, Rizwana Sultan, and et al. 2023. "Assessment of Growth Inhibition of Eugenol-Loaded Nano-Emulsions against Beneficial Bifidobacterium sp. along with Resistant Escherichia coli Using Flow Cytometry" Fermentation 9, no. 2: 140. https://doi.org/10.3390/fermentation9020140
APA StyleMajeed, U., Shafi, A., Shahbaz, M., Khan, K. u. R., Iqbal, K. J., Akram, K., Baboo, I., Munawar, S. H., Munir, M. M., Sultan, R., Majeed, H., Cacciotti, I., Esatbeyoglu, T., & Korma, S. A. (2023). Assessment of Growth Inhibition of Eugenol-Loaded Nano-Emulsions against Beneficial Bifidobacterium sp. along with Resistant Escherichia coli Using Flow Cytometry. Fermentation, 9(2), 140. https://doi.org/10.3390/fermentation9020140

