- Article
The Conducting Tissues of the Mouse Heart
- Yolanda Macías,
- Damián Sánchez-Quintana,
- Eduardo Back Sternick and
- Robert H. Anderson
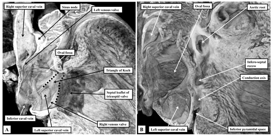
Background: Since the study of Lev and Thaemert in 1973, little has been published concerning the overall arrangement of the murine conduction tissues, in particular with relation to gross anatomical landmarks. We recently emphasised the potential va...

