The Art of Safe and Judicious Deprescribing in an Elderly Patient: A Case Report
Abstract
1. Introduction
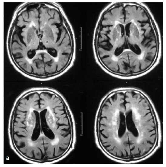
2. Case Presentation
- Could the difficulty in planning and attention, as well as concentration deficits be explained by this kind of treatment?
- Could the dramatic improvement recorded in our patient be due to changes in the therapeutic regimen?
3. Conclusions
Author Contributions
Funding
Conflicts of Interest
References
- Bégaud, B.; Martin, K.; Fourrier, A.; Haramburu, F. Does age increase the risk of adverse drug reactions? Br. J. Clin. Pharm. 2002, 54, 550–552. [Google Scholar] [CrossRef]
- Onder, G.; Pedone, C.; Landi, F.; Cesari, M.; Della Vedova, C.; Bernabei, R.; Gambassi, G. Adverse drug reactions as cause of hospital admissions: Results from the Italian Group of Pharmacoepidemiology in the Elderly (GIFA). J. Am. Geriatr. Soc. 2002, 50, 1962–1968. [Google Scholar] [CrossRef]
- Gareri, P.; Marigliano, N.M.; De Fazio, S.; De Sarro, G. La gestione del rischio iatrogeno nell’anziano. Prat. Med. Aspetti Leg. 2010, 4, 9–19. [Google Scholar] [CrossRef][Green Version]
- Gareri, P.; De Sarro, G. Farmacologia geriatrica. In L’assistenza All’Anziano. Ospedale, Territorio, Domicilio; Mongardi, M., Ed.; McGraw Hill: Milano, Italy, 2011. [Google Scholar]
- Palleria, C.; Di Paolo, A.; Giofrè, C.; Caglioti, C.; Leuzzi, G.; Siniscalchi, A.; De Sarro, G.; Gallelli, L. Pharmacokinetic drug-drug interaction and their implication in clinical management. J. Res. Med. Sci. 2013, 18, 601–610. [Google Scholar]
- Gareri, P.; De Fazio, P.; Cotroneo, A.; Lacava, R.; Gallelli, L.; De Fazio, S.; De Sarro, G. Anticholinergic drug-induced delirium in an elderly alzheimer’s dementia patient. Arch. Gerontol. Geriatr. 2007, 44, 199–206. [Google Scholar] [CrossRef] [PubMed]
- Boyd, C.M.; Darer, J.; Boult, C.; Fried, L.P.; Boult, L.; Wu, A.W. Clinical Practice Guidelines and Quality of Care for Older Patients with Multiple Comorbid Diseases. JAMA 2005, 294, 716–724. [Google Scholar] [CrossRef] [PubMed]
- Arslan, S.; Atalay, A.; Kutsal, Y.G. Drug use in elderly. Turk. J. Geriatr. 2000, 3, 56–60. [Google Scholar]
- Nechba, R.B.; Kadiri, M.E.M.; Bennani-Ziatni, M.; Zeggwagh, A.A.; Mesfioui, A. Difficulty in managing polypharmacy in the elderly: Case report and review of the literature. J. Clin. Gerontol. Geriatr. 2015, 6, 30–33. [Google Scholar] [CrossRef]
- Opondo, D.; Eslami, S.; Visscher, S.; De Rooij, S.E.; Verheij, R.; Korevaar, J.C.; Abu-Hanna, A. Inappropriateness of Medication Prescriptions to Elderly Patients in the Primary Care Setting: A Systematic Review. PLoS ONE 2012, 7, e43617. [Google Scholar] [CrossRef]
- American Geriatrics Society, New York. Updated AGS Beers Criteria for potentially inappropriate medication use in older adults. J. Am. Geriatr. Soc. 2019, 67, 674–694. [Google Scholar]
- Gareri, P.; De Sarro, G. Principi e problemi di farmacologia geriatrica. In Geriatria nel Territorio—Un Metodo per i Vecchi, per i Medici e per il Futuro; Putignano, S., Cester, A., Gareri, P., Eds.; Critical Medicine Publishing s.r.l.: Roma, Italy, 2012; pp. 361–403. [Google Scholar]
- Fahrni, M.L.; Azmy, M.T.; Usir, E.; Aziz, N.A.; Hassan, Y. Inappropriate prescribing defined by STOPP and START criteria and its association with adverse drug events among hospitalized older patients: A multicentre, prospective study. PLoS ONE 2019, 14, e0219898. [Google Scholar] [CrossRef] [PubMed]
- Gareri, P.; Cotroneo, A.; Lacava, R.; Seminara, G.; Marigliano, N.; LoIacono, A.; De Sarro, G. Comparison of the efficacy of new and conventional antipsychotic drugs in the treatment of behavioral and psychological symptoms of dementia (bpsd). Arch. Gerontol. Geriatr. 2004, 38, 207–215. [Google Scholar] [CrossRef] [PubMed]
- Gareri, P.; De Fazio, P.; Manfredi, G.L.; De Sarro, G. Use and safety of antipsychotics in behavioral disorders in elderly demented people. J. Clin. Psychopharmacol. 2014, 34, 109–123. [Google Scholar] [CrossRef] [PubMed]
- Gareri, P.; De Fazio, P.; De Fazio, S.; Marigliano, N.; Ibbadu, G.F.; De Sarro, G. Adverse effects of atypical antipsychotics in the elderly: A review. Drugs Aging 2006, 23, 937–956. [Google Scholar] [CrossRef] [PubMed]
- De Gage, S.B.; Moride, Y.; Ducruet, T.; Kurth, T.; Verdoux, H.; Tournier, M.; Pariente, A.; Begaud, B. Benzodiazepine use and risk of Alzheimer’s disease: Case-control study. BMJ 2014, 349, g5205. [Google Scholar] [CrossRef]
- Farrell, B.; Pottie, K.; Thompson, W.; Boghossian, T.; Pizzola, L.; Rashid, F.J.; Rojas-Fernandez, C.; Walsh, K.; Welch, V.; Moayyedi, P. Deprescribing proton pump inhibitors. Can. Fam. Physician Med. Fam. Can. 2017, 63, 354–364. [Google Scholar]
- Xie, Y.; Bowe, B.; Yan, Y.; Xian, H.; Li, T.; Al Aly, Z. Estimates of all cause mortality and cause specific mortality associated with proton pump inhibitors among US veterans: Cohort study. BMJ 2019, 365, l1580. [Google Scholar] [CrossRef]
- Gareri, P.; Castagna, A.; Cotroneo, A.M.; Putignano, S.; De Sarro, G.; Bruni, A.C. The role of citicoline in cognitive impairment: Pharmacological characteristics, possible advantages, and doubts for an old drug with new perspectives. Clin. Interv. Aging 2015, 10, 1421–1429. [Google Scholar] [CrossRef]
- Gareri, P.; Cotroneo, A.M.; Manfredi, V.G.L. From Neuroinflammation to Neuroprotection: Focus on Potential New Therapeutic Targets in Cognitive Impairment. Neurol. Neurobiol. 2020, 2020, 1–4. [Google Scholar] [CrossRef]
- Secades, J.J. Citicoline in the Treatment of Cognitive Impairment. J. Neurol. Exp. Neurosci. 2019, 5, 14–26. [Google Scholar] [CrossRef][Green Version]
- Gareri, P.; Cotroneo, A.M.; Castagna, A.; Putignano, S.; La Cava, R.; Monteleone, F.; Rocca, F.; Malara, A.; Fanto, F. Effectiveness and safety of citicoline in mild vascular cognitive impairment: The IDEALE study. Clin. Interv. Aging 2013, 8, 131–137. [Google Scholar] [CrossRef] [PubMed]
- Castagna, A.; Cotroneo, A.M.; Ruotolo, G.; Gareri, P. The CITIRIVAD Study: CITIcoline plus RIVAstigmine in Elderly Patients Affected with Dementia Study. Clin. Drug Investig. 2016, 36, 1059–1065. [Google Scholar] [CrossRef] [PubMed]
- Gareri, P.; Castagna, A.; Cotroneo, A.M.; Putignano, D.; Conforti, R.; Santamaria, F.; Marino, S.; Putignano, S. The Citicholinage Study: Citicoline Plus Cholinesterase Inhibitors in Aged Patients Affected with Alzheimer’s Disease Study. J. Alzheimer’s Dis. 2017, 56, 557–565. [Google Scholar] [CrossRef] [PubMed]
- Gareri, P.; Cotroneo, A.M.; Orsitto, G.; Putignano, S. The CitiMem study: Optimizing pharmacological treatment in dementia. Arch. Geront. Geriatr. 2020, 89, 104073. [Google Scholar] [CrossRef] [PubMed]
- Talebreza, S.; McPherson, M.L. Recognizing and Managing Polypharmacy in Advanced Illness. Med. Clin. N. Am. 2020, 104, 405–413. [Google Scholar] [CrossRef]
- Gallelli, L.; Siniscalchi, A.; Palleria, C.; Mumoli, L.; Staltari, O.; Squillace, A.; Maida, F.; Russo, E.; Gratteri, S.; De Sarro, G.; et al. Adverse Drug Reactions Related to Drug Administration in Hospitalized Patients. Curr. Drug Saf. 2017, 12, 171–177. [Google Scholar] [CrossRef]
- Gallelli, L.; Ferreri, G.; Colosimo, M.; Pirritano, D.; Flocco, M.A.; Pelaia, G.; Maselli, R.; De Sarro, G.B. Retrospectiveanalysis of adverse drug reactions to bronchodilators observed in two pulmonary divisions of Catanzaro, Italy. Pharmacol. Res. 2003, 47, 493–499. [Google Scholar] [CrossRef]

| Treatment | Name and Dosage | Indication |
|---|---|---|
| Apixaban | Eliquis 5 mg bid | Atrial fibrillation |
| Bisoprolol | Cardicor1.25 mg twice a day | Atrial fibrillation |
| Repaglinide | Novonorm 0.5 mg bid | Diabetes |
| Atorvastatin | Torvast 20 mg once a day | Hypercholesterolemia |
| Tiotropium bromide | Spiriva 18 μgrams 1 puff once a day | Chronic obstructive pulmonary disease |
| Ramipril/hydrochlorothiazide | Triatec HCT 5/25 mg once a day | Blood Hypertension |
| Chlorpromazine | Largactil 25 mg bedtime | Psychosis |
| Risperidone | Risperdal 1 mg bedtime | Psychosis |
| Levodopa/Carbidopa | Sinemet 100/25 mg once a day | Parkinsonism |
| N-demethyl-diazepam | En ten drops at bedtime | Anxiety |
| Pantoprazole | Pantopan 20 mg | Gastric protection |
| Admission | 3 Months | 6 Months | Normal Values | |
|---|---|---|---|---|
| Blood Glucose | 124 | 122 | 123 | 74–106 mg/dL |
| Glycated hemoglobin HbA1c | 6.5 | 6.5 | 6.4 | 5.7–6.4% |
| Blood cholesterol | 220 | 210 | 210 | 70–200 mg/dL |
| Cholesterol-HDL | 45 | 44 | 44 | 35–39 mg/dL |
| Cholesterol-LDL | 145 | 128 | 125 | <130 mg/dL |
| Triglycerides | 125 | 124 | - | 50–150 mg/dL |
| Aspartate amino transferase | 32 | - | - | 5–50 IU/L |
| Alanine amino transferase | 31 | - | - | 5–50 IU/L |
| Creatinine | 92 | - | - | 0.7–1.2 mg/dL |
| White blood cells | 7,850 | - | - | 4500–11,000 cells per µL |
| Red Cells | 3.4 | - | - | 4.2–5.9 × 106 cells/mcL |
| Folate | 9 | - | - | 2.5–20 ng/mL |
| Vitamin B12 | 420 | - | - | 200–800 pg/mL |
| Homocysteine | 11 | - | - | <20 ng/mL |
| TSH | 2.6 | - | - | 0.15–3.5 mU/L |
| FT3 | 4.5 | - | - | 3.0–8.0 pmol/L |
| FT4 | 1.2 | - | - | 0.9–2.4 ng/dL |
| C-reactive protein | 8 | - | - | 0.5–10 mg/L |
| Vitamin D | 12 | 25 | 30 | 30–60 ng/mL |
| Sodium | 140 | - | - | 135–145 mM/L |
| Potassium | 4.2 | - | - | 3.6–5.1 mM/L |
| Mini-Mental State Examination (MMSE) | Admission | 3 Months | 6 Months | Comments |
|---|---|---|---|---|
| Orientation to time | 2/5 | 4/5 | 4/5 | Improved at follow-up vs. admission |
| Orientation to place | 4/5 | 4/5 | 4/5 | |
| Registration | 3/3 | 3/3 | 3/3 | |
| Attention and calculation | 1/5 | 2/5 | 2/5 | Improved at follow-up vs. admission |
| Recall | 2/3 | 2/3 | 2/3 | |
| Language | 3/3 | 3/3 | 3/3 | |
| Praxis | 5/6 | 6/6 | 6/6 | Improved at follow-up vs. admission |
| MMSE total score | 20.4/30 | 24.4/30 | 24.4/30 | Normal value 26/30 |
| MoCA (Montreal Cognitive Assessment) | ||||
| Visuospatial abilities | 3/5 | |||
| Naming | 3/3 | |||
| Short-term memory recall | 3/5 | |||
| Attention | 3/6 | |||
| Language | 2/3 | |||
| Abstract thinking | 2/2 | |||
| Delayed recall | 0/5 | |||
| Orientation to time and place | 3/6 | |||
| MoCA total score | 19/30 | Normal value 26/30 | ||
| Clock Drawing Test (CDT) | 6/10 | |||
| Rey words | 21 | cut-off 28.53 | ||
| Stroop Test | ||||
| Time | 43 | cut-off < 36.9 s | ||
| Mistakes | 2 | cut-off < 4.2 | ||
| TMT-A (Trail Making Test) | normal range | |||
| TMT-B | Unable | |||
| NPI scale (Neuropsychiatric Inventory Scale) | 27/144 episodes of anxiety; occasional visual hallucinations | |||
| GDS-15 items (Geriatric Depression Scale) | 8/15 points | cut-off ≥ 5 depressed mood | ||
| Cumulative Insight Rating Scale (CIRS) | 0/8 | |||
| Activities of Daily Living (ADL) | 2/6 | 3/6 | Improved at follow-up vs. admission | |
| Instrumental Activities of Daily Living (IADL) | 1/5 | 2/5 | Improved at follow-up vs. admission |
| • Digitalis (dosage/day > 0.125 mg/day) |
| • Plasma long half-life BDZ (diazepam, N-demethyl-diazepam, chlordiazepoxide) |
| • Tricyclic Antidepressants (amitriptyline, imipramine, chlorimipramine) |
| • Phenotiazines with piperidine structure (thioridazine, chlorpromazine) |
| • Butyrophenones (haloperidol) |
| • Atypical AP (clozapine, risperidone, olanzapine, quetiapine, aripiprazole) |
| • Semisynthetic belladonna alkaloids, quaternary ammonium compounds (butylscopolamine) |
| • Systemic antihistamine drugs (promethazine, diphenydramine) |
| • MethylDopa, Nifedipine, Disopyramide |
| • Adrenergic alpha1-blockers (doxazosin, terazosin) |
| • Presynaptic alpha2-agonists (clonidine) |
| • Laxatives (sodium picosulfate, bisacodyl) |
| • Antidiarrhea (loperamide) |
| • Prokinetics (metoclopramide) |
| • Class III antiarrythmics (amiodarone) |
| • NSAIDs (aspirin, indomethacin, naproxen, oxicams) |
© 2020 by the authors. Licensee MDPI, Basel, Switzerland. This article is an open access article distributed under the terms and conditions of the Creative Commons Attribution (CC BY) license (http://creativecommons.org/licenses/by/4.0/).
Share and Cite
Gareri, P.; Gallelli, L.; Cotroneo, A.M.; Manfredi, V.G.L.; De Sarro, G. The Art of Safe and Judicious Deprescribing in an Elderly Patient: A Case Report. Geriatrics 2020, 5, 57. https://doi.org/10.3390/geriatrics5030057
Gareri P, Gallelli L, Cotroneo AM, Manfredi VGL, De Sarro G. The Art of Safe and Judicious Deprescribing in an Elderly Patient: A Case Report. Geriatrics. 2020; 5(3):57. https://doi.org/10.3390/geriatrics5030057
Chicago/Turabian StyleGareri, Pietro, Luca Gallelli, Antonino Maria Cotroneo, Valeria Graziella Laura Manfredi, and Giovambattista De Sarro. 2020. "The Art of Safe and Judicious Deprescribing in an Elderly Patient: A Case Report" Geriatrics 5, no. 3: 57. https://doi.org/10.3390/geriatrics5030057
APA StyleGareri, P., Gallelli, L., Cotroneo, A. M., Manfredi, V. G. L., & De Sarro, G. (2020). The Art of Safe and Judicious Deprescribing in an Elderly Patient: A Case Report. Geriatrics, 5(3), 57. https://doi.org/10.3390/geriatrics5030057

