An RPA-Based CRISPR/Cas12a Assay in Combination with a Lateral Flow Assay for the Rapid Detection of Shigella flexneri in Food Samples
Abstract
1. Introduction
2. Materials and Methods
2.1. Bacterial Culture and Genomic DNA Extraction
2.2. Design of Primers, sgRNA, and ssDNA Probes
2.3. PCR/qPCR/RPA Amplification Reaction
2.4. Visualization Platform for RPA–CRISPR/Cas12a–LFA Detection
2.5. Specificity and Sensitivity Assessment of the RPA–CRISPR/Cas12a–LFA System
2.6. Application of the Shigella flexneri RPA–CRISPR/Cas12aLFA Detection Method to Artificially Contaminated Samples
2.7. Validation of the RPA–CRISPR/Cas12a–LFA System with Actual Samples
2.8. Data Analyses
3. Results and Discussion
3.1. Working Principle of the RPA–CRISPR/Cas12a–LFA Detection System
3.2. Optimization of the RPA Reaction for the RPA–CRISPR/Cas12a–LFA System
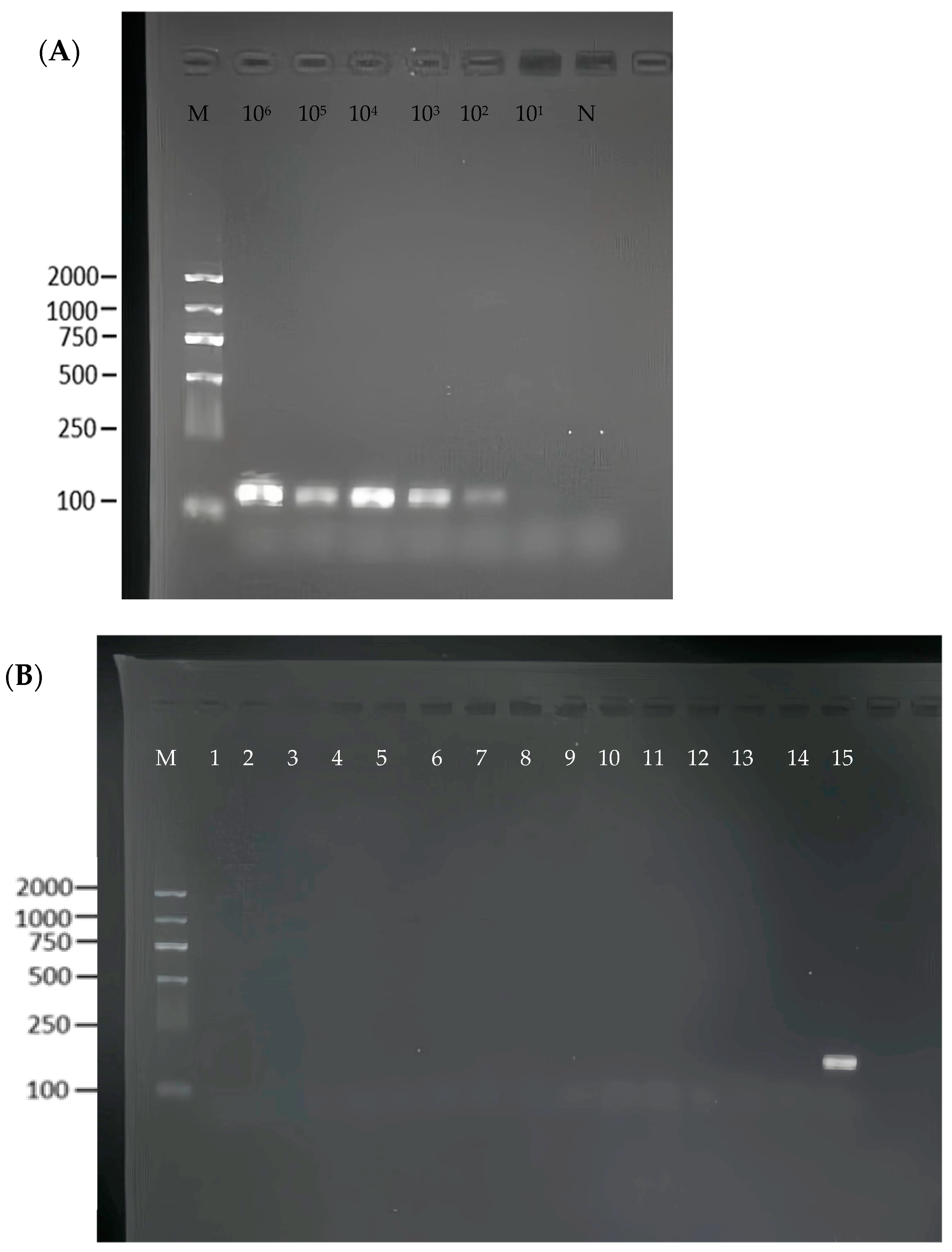
3.3. Sensitivity and Specificity of the RPA Reaction
3.4. Feasibility of crRNA-Guided Cis- and Trans-Cleavage by Cas12a
3.5. RPA–CRISPR/Cas12a Assay Optimization
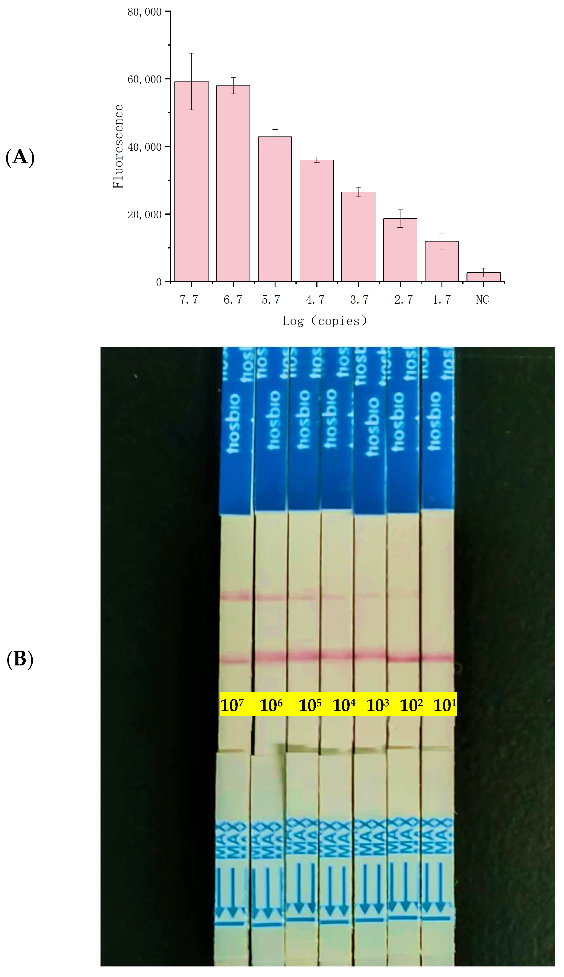
3.6. Sensitivity and Specificity Evaluation of the RPA–CRISPR/Cas12a–LFA Platform
3.7. Sensitivity of the RPA–CRISPR/Cas12a–LFA Method in Artificially Contaminated Samples
3.8. Evaluating the Consistency between RPA–CRISPR/Cas12a–LFA and qPCR in Actual Samples
4. Conclusions
Supplementary Materials
Author Contributions
Funding
Institutional Review Board Statement
Informed Consent Statement
Data Availability Statement
Conflicts of Interest
References
- Adsit, F.G., Jr.; Randall, T.A.; Locklear, J.K.; Kurtz, D.M. The emergence of the tetrathionate reductase operon in the Escherichia coli/Shigella pan-genome. Microbiol. Open 2022, 11, e1333. [Google Scholar] [CrossRef] [PubMed]
- Akiba, T.; Koyama, K.; Ishiki, Y.; Kimura, S.; Fukushima, T. On the mechanism of the development of multiple drug-resistant clones of Shigella. Jpn. J. Microbiol. 1960, 4, 219–227. [Google Scholar] [CrossRef] [PubMed]
- Bhat, A.I.; Aman, R.; Mahfouz, M. Onsite detection of plant viruses using isothermal amplification assays. Plant Biotechnol. J. 2022, 20, 1859–1873. [Google Scholar] [CrossRef]
- Bian, Z.; Liu, W.; Jin, J.; Hao, Y.; Jiang, L.; Xie, Y.; Zhang, H. Development of a recombinase polymerase amplification assay with lateral flow dipstick (RPA-LFD) for rapid detection of spp. and enteroinvasive. PLoS ONE 2022, 17, e0278869. [Google Scholar] [CrossRef]
- Chen, Y.; Zhang, L.; Xu, L.; Guo, X.; Yang, H.; Zhuang, L.; Li, Y.; Wang, Z.; Gu, B. Rapid and sensitive detection of Shigella flexneri using fluorescent microspheres as label for immunochromatographic test strip. Ann. Transl. Med. 2019, 7, 565. [Google Scholar] [CrossRef] [PubMed]
- He, P.; Wang, H.; Yan, Y.; Zhu, G.; Chen, Z. Development and Application of a Multiplex Fluorescent PCR for Shigella Detection and Species Identification. J. Fluoresc. 2022, 32, 707–713. [Google Scholar] [CrossRef] [PubMed]
- Jiang, H.; Li, Y.; Lv, X.; Deng, Y.; Li, X. Recent advances in cascade isothermal amplification techniques for ultra-sensitive nucleic acid detection. Talanta 2023, 260, 124645. [Google Scholar] [CrossRef] [PubMed]
- Jolany, V.; Somayeh, K.; Camellia, B.; Hannah, A.; Hajizade, A.; Sijercic, A.; Ahmadian, G. CRISPR-based diagnosis of infectious and noninfectious diseases. Biol. Proced. Online 2020, 22, 22. [Google Scholar] [CrossRef]
- Farzad, K.; Amirhossein, S. Fluoroquinolones-resistant species in Iranian children: A meta-analysis. World J. Pediatr. 2019, 15, 441–453. [Google Scholar]
- Khalil, I.A.; Troeger, C.; Blacker, B.F.; Rao, P.C.; Brown, A.; Atherly, D.E.; Brewer, T.G.; Engmann, C.M.; Houpt, E.R.; Kang, G.; et al. Morbidity and mortality due to shigella and enterotoxigenic Escherichia coli diarrhoea: The Global Burden of Disease Study 1990–2016. Lancet Infect. Dis. 2018, 18, 1229–1240. [Google Scholar] [CrossRef]
- Khan, M.Z.H.; Hasan, M.R.; Hossain, S.I.; Ahommed, M.S.; Daizy, M. Ultrasensitive detection of pathogenic viruses with electrochemical biosensor: State of the art. Biosens. Bioelectron. 2020, 166, 112431. [Google Scholar] [CrossRef] [PubMed]
- Kim, J.-H.; Oh, S.-W. Development of a filtration-based LAMP–LFA method as sensitive and rapid detection of E. coli O157:H7. J. Food Sci. Technol.-Mysore 2019, 56, 2576–2583. [Google Scholar] [CrossRef] [PubMed]
- Kotloff, K.L.R.; Mark, S.P.-M.; James, A.P.; Patricia, Z.; Anita, K.M. Shigellosis. Lancet 2018, 391, 801–812. [Google Scholar] [CrossRef] [PubMed]
- Lee, H.; Ku, H.-J.; Lee, D.-H.; Kim, Y.-T.; Shin, H.; Ryu, S.; Lee, J.-H. Characterization and Genomic Study of the Novel Bacteriophage HY01 Infecting Both O157:H7 and: Potential as a Biocontrol Agent in Food. PLoS ONE 2016, 11, e0168985. [Google Scholar] [CrossRef]
- Li, Y.; Shi, Z.; Hu, A.; Cui, J.; Yang, K.; Liu, Y.; Deng, G.; Zhu, C.; Zhu, L. Rapid One-Tube RPA-CRISPR/Cas12 Detection Platform for Methicillin-Resistant Staphylococcus aureus. Diagnostics 2022, 12, 829. [Google Scholar] [CrossRef]
- Liu, L.; Duan, J.-J.; Wei, X.-Y.; Hu, H.; Wang, Y.-B.; Jia, P.-P.; Pei, D.-S. Generation and application of a novel high-throughput detection based on RPA-CRISPR technique to sensitively monitor pathogenic microorganisms in the environment. Sci. Total Environ. 2022, 838, 156048. [Google Scholar] [CrossRef]
- Lv, X.; Cao, W.; Zhang, H.; Zhang, Y.; Shi, L.; Ye, L. CE–RAA–CRISPR assay: A rapid and sensitive method for detecting Vibrio parahaemolyticus in seafood. Foods 2022, 11, 1681. [Google Scholar] [CrossRef]
- Muzembo, B.A.; Kitahara, K.; Mitra, D.; Ohno, A.; Khatiwada, J.; Dutta, S.; Miyoshi, S.-I. Burden of Shigella in South Asia: A systematic review and meta-analysis. J. Travel Med. 2023, 30, taac132z. [Google Scholar] [CrossRef]
- Muzembo, B.A.; Kitahara, K.; Mitra, D.; Ohno, A.; Khatiwada, J.; Dutta, S.; Miyoshi, S.-I. Ov-RPA–CRISPR/Cas12a assay for the detection of Opisthorchis viverrini infection in field-collected human feces. Parasites Vectors 2024, 17, 80. [Google Scholar]
- Qian, J.; Huang, D.; Ni, D.; Zhao, J.; Shi, Z.; Fang, M.; Xu, Z. A portable CRISPR Cas12a based lateral flow platform for sensitive detection of Staphylococcus aureus with double insurance. Food Control 2022, 132, 108485. [Google Scholar] [CrossRef]
- Shi, Y.; Kang, L.; Mu, R.; Xu, M.; Duan, X.; Li, Y.; Yang, C.; Ding, J.-W.; Wang, Q.; Li, S. CRISPR/Cas12a-Enhanced Loop-Mediated Isothermal Amplification for the Visual Detection of Shigella flexneri. Front. Bioeng. Biotechnol. 2022, 10, 845688. [Google Scholar] [CrossRef] [PubMed]
- Shi, Y.; Tan, Q.; Gong, T.; Li, Q.-y.; Zhu, Y.; Duan, X.; Yang, C.; Ding, J.-w.; Li, S.; Xie, H.; et al. Cascaded signal amplification strategy for ultra-specific, ultra-sensitive, and visual detection of Shigella flexneri. Microchim. Acta 2024, 191, 271. [Google Scholar] [CrossRef] [PubMed]
- Shi, Y.; Xu, M.; Duan, X.; Li, S.; Ding, J.-w.; Chen, L. WarmStart colorimetric loop-mediated isothermal amplification for the one-tube, contamination-free and visualization detection of Shigella flexneri. Int. J. Infect. Dis. 2021, 112, 55–62. [Google Scholar] [CrossRef]
- Song, M.-S.; Sekhon, S.S.; Shin, W.-R.; Kim, H.C.; Min, J.; Ahn, J.-Y.; Kim, Y.-H. Detecting and Discriminating Using an Aptamer-Based Fluorescent Biosensor Platform. Molecules 2017, 22, 825. [Google Scholar] [CrossRef]
- Sun, Y.; Qin, P.; He, J.; Li, W.; Shi, Y.; Xu, J.; Wu, Q.; Chen, Q.; Li, W.; Wang, X.; et al. Rapid and simultaneous visual screening of SARS-CoV-2 and influenza virufses with customized isothermal amplification integrated lateral flow strip. Biosens. Bioelectron. 2022, 197, 113771. [Google Scholar] [CrossRef] [PubMed]
- Thompson, C.N.; Anders, K.L.; Le, T.; Quynh, N.H.; Thanh, T.; Pham, V.; Minh, L.; Thi, P.; Tu, T.; Do, H.; et al. A cohort study to define the age-specific incidence and risk factors of diarrhoeal infections in Vietnamese children: A study protocol. BMC Public Health 2014, 14, 1289. [Google Scholar] [CrossRef]
- Wang, J.; Lan, R.; Knirel, Y.A.; Luo, X.; Senchenkova, S.N.; Shashkov, A.S.; Xu, J.; Sun, Q. Serological Identification and Prevalence of a Novel O-Antigen Epitope Linked to 3- and 4-O-Acetylated Rhamnose III of Lipopolysaccharide in Shigella flexneri. J. Clin. Microbiol. 2014, 52, 2033–2038. [Google Scholar] [CrossRef][Green Version]
- Yang, P.; Chou, S.-J.; Li, J.; Hui, W.; Liu, W.; Sun, N.; Zhang, R.Y.; Zhu, Y.; Tsai, M.-L.; Lai, H.I.; et al. Supramolecular nanosubstrate–mediated delivery system enables CRISPR-Cas9 knockin of hemoglobin beta gene for hemoglobinopathies. Sci. Adv. 2020, 6, eabb7107. [Google Scholar] [CrossRef]
- Zhao, G.; Zhan, X. Facile preparation of disposable immunosensor for Shigella flexneri based on multi-wall carbon nanotubes/chitosan composite. Electrochim. Acta 2010, 55, 2466–2471. [Google Scholar] [CrossRef]
- Zheng, S.; Yang, Q.; Yang, H.; Zhang, Y.; Guo, W.; Zhang, W. An ultrasensitive and specific ratiometric electrochemical biosensor based on SRCA-CRISPR/Cas12a system for detection of Salmonella in food. Food Control 2023, 146, 109528. [Google Scholar] [CrossRef]
- Lin, L.; Zha, G.; Wei, H.; Zheng, Y.; Yang, P.; Liu, Y.; Liu, M.; Wang, Z.; Zou, X.; Zhu, H.; et al. Rapid detection of Staphylococcus aureus in food safety using an RPA-CRISPR-Cas12a assay. Food Control 2023, 145, 109505. [Google Scholar] [CrossRef]
- Liu, H.; Wang, J.; Hu, X.; Tang, X.; Zhang, C. A rapid and high-throughput Helicobacter pylori RPA-CRISPR/Cas12a-based nucleic acid detection system. Clinica Chimica Acta 2023, 540, 117201. [Google Scholar] [CrossRef] [PubMed]
- Liu, L.; Zhao, G.; Li, X.; Xu, Z.; Lei, H.; Shen, X. Development of rapid and easy detection of Salmonella in food matrics using RPA-CRISPR/Cas12a method. LWT Food Sci. Technol. 2022, 162, 113443. [Google Scholar] [CrossRef]
- Luo, J.W.; Xu, D.; Wang, J.; Liu, H.; Li, Y.; Zhang, Y.; Zeng, H.; Deng, B.; Liu, X. A Dual-mode platform for the rapid detection of O157:H7 based on CRISPR/Cas12a and RPA. Anal. Bioanal. Chem. 2024, 416, 3509–3518. [Google Scholar] [CrossRef]
- Wang, J.B.; Xu, D.; Liu, H.; Liu, J.; Zhu, L.; Zeng, H.; Wu, W. A visual, rapid, and sensitive detection platform for Vibrio parahaemolyticus based on RPA-CRISPR/Cas12a and an immunochromatographic test strip. Food Qual. Saf. 2024, 8, fyae008. [Google Scholar] [CrossRef]





| Name | Sequence |
|---|---|
| SF1-F | GCCACGACTATGCTGTAACTTTCCCGGATG |
| SF1-R | CTTACCGCCAATCTCTTCGGAGGCAGCTGA |
| SF2-F | CGATAATGATACCGGCGCTCTGCTCTCCCTG |
| SF2-R | CTTCCAGACCATGCTCGCAGAGAAACTTCAG |
| SF3-F | CTGCATGGCTGGAAAAACTCAGTGCCTCTG |
| SF3-R | GTTCTGACTTTATCCCGGGCAATGTCCTCC |
| crRNA | GAAUUUCUACUGUUGUAGAUUGGUCCGGGUUAUUGUCACCAGAA |
| Serial Number | Species | Detection Results |
|---|---|---|
| 1 | Shigella flexneri | + |
| 2 | Escherichia coli O157:H7 | − |
| 3 | Enteroinvasive Escherichia coli | − |
| 4 | Enterotoxigenic Escherichia coli | − |
| 5 | Escherichia coli O127:K63 | − |
| 6 | Escherichia coli EPEC O86:K61 | − |
| 7 | Staphylococcus aureus | − |
| 8 | Cronobacter sakazakii | − |
| 9 | Listeria monocytogenes | − |
| 10 | Vibrio alginolyticus | − |
| 11 | Pseudomonas aeruginosa | − |
| 12 | Pseudomonas aeruginosa | − |
| 13 | Vibrio parahaemolyticus | − |
| 14 | Vibrio vulnificus | − |
| 15 | Vibrio alginolyticus | − |
Disclaimer/Publisher’s Note: The statements, opinions and data contained in all publications are solely those of the individual author(s) and contributor(s) and not of MDPI and/or the editor(s). MDPI and/or the editor(s) disclaim responsibility for any injury to people or property resulting from any ideas, methods, instructions or products referred to in the content. |
© 2024 by the authors. Licensee MDPI, Basel, Switzerland. This article is an open access article distributed under the terms and conditions of the Creative Commons Attribution (CC BY) license (https://creativecommons.org/licenses/by/4.0/).
Share and Cite
Xu, J.; Zhang, T.; Lv, X.; Shi, L.; Bai, W.; Ye, L. An RPA-Based CRISPR/Cas12a Assay in Combination with a Lateral Flow Assay for the Rapid Detection of Shigella flexneri in Food Samples. Foods 2024, 13, 3200. https://doi.org/10.3390/foods13193200
Xu J, Zhang T, Lv X, Shi L, Bai W, Ye L. An RPA-Based CRISPR/Cas12a Assay in Combination with a Lateral Flow Assay for the Rapid Detection of Shigella flexneri in Food Samples. Foods. 2024; 13(19):3200. https://doi.org/10.3390/foods13193200
Chicago/Turabian StyleXu, Jieru, Tianxin Zhang, Xinrui Lv, Lei Shi, Weibin Bai, and Lei Ye. 2024. "An RPA-Based CRISPR/Cas12a Assay in Combination with a Lateral Flow Assay for the Rapid Detection of Shigella flexneri in Food Samples" Foods 13, no. 19: 3200. https://doi.org/10.3390/foods13193200
APA StyleXu, J., Zhang, T., Lv, X., Shi, L., Bai, W., & Ye, L. (2024). An RPA-Based CRISPR/Cas12a Assay in Combination with a Lateral Flow Assay for the Rapid Detection of Shigella flexneri in Food Samples. Foods, 13(19), 3200. https://doi.org/10.3390/foods13193200
