A New Rapid Method for the Authentication of Common Octopus (Octopus vulgaris) in Seafood Products Using Recombinase Polymerase Amplification (RPA) and Lateral Flow Assay (LFA)
Abstract
:1. Introduction
2. Materials and Methods
2.1. Schematic Overview of the Experimental Program
2.2. Sampling
2.3. Sample Preparation and DNA Extraction
2.4. Authentication of Samples and Method Validation by FINS
2.5. Design of Primers and Probe for RPA
- OVUL_F1_nfo: 5′-ACTAGGAGCACCAGATATAGCATTCCCACGAATA-3′
- OVUL_R1_nfo: Biotin-5′-GAGCTAAATTTCTTGAAAGAGGCGGGTAAACGGT-3′
- OVUL_ P1_nfo: FAM-5′-ACTCTTACCTCCTTCTCTTACTCTTCTCCTTT[THF]ATCTGCAGCAGTTGA-3′
2.6. RPA-LFA Optimization
2.7. Evaluation of the RPA-LFA Performance
2.7.1. Detection Limit
2.7.2. Specificity, Sensitivity and Application to Commercial Products
2.7.3. Interlaboratory Validation
3. Results
3.1. Design of Primers and Probe
3.2. Optimization of RPA-LFA
3.3. Detection Limit
3.4. Specificity and Sensitivity
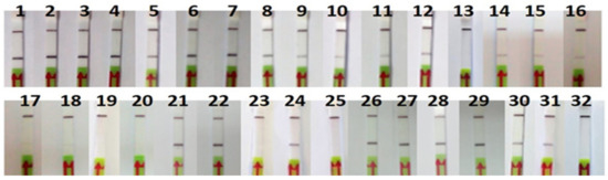
3.5. Application to Commercial Products
3.6. Interlaboratory Validation
4. Discussion
5. Conclusions
Supplementary Materials
Author Contributions
Funding
Institutional Review Board Statement
Informed Consent Statement
Acknowledgments
Conflicts of Interest
References
- FAO. The State of World Fisheries and Aquaculture 2018—Meeting the Sustainable Development Goals; FAO: Rome, Italy, 2018. [Google Scholar]
- Cusa, M.; Falcão, L.; de Jesus, J.; Biolatti, C.; Blondeel, L.; Bracken, F.S.A.; Devriese, L.; Garcés-Pastor, S.; Minoudi, S.; Gubili, C.; et al. Fish out of water: Consumers’ unfamiliarity with the appearance of commercial fish species. Sustain. Sci. 2021, 16, 1313–1322. [Google Scholar] [CrossRef]
- Verrez-Bagnis, V.; Sotelo, C.G.; Mendes, R.; Silva, H.; Kappel, K.; Schröder, U. Methods for Seafood Authenticity Testing in Europe. In Bioactive Molecules in Food. Reference Series in Phytochemistry; Mérillon, J.M., Ramawat, K., Eds.; Springer: Cham, Switzerland, 2019. [Google Scholar] [CrossRef]
- Hupfer, C.; Waiblinger, H.-U.; Busch, U. Development and validation of a real-time PCR detection method for celery in food. Eur. Food Res. Technol. 2007, 225, 329–335. [Google Scholar] [CrossRef]
- Griffiths, A.M.; Sotelo, C.G.; Mendes, R.; Perez-Martin, R.; Schröder, U.; Shorten, M.; Silva, H.; Verrez-Bagnis, V.; Mariani, S. Current methods for seafood authenticity testing in Europe: Is there a need for harmonisation? Food Control. 2014, 45, 95–100. [Google Scholar] [CrossRef] [Green Version]
- Quinteiro, J.; Sotelo, C.G.; Rehbein, H.; Pryde, S.E.; Medina, I.; Perez-Martin, R.; Rey-Méndez, A.M.; Mackie, I.M. Use of mtDNA Direct Polymerase Chain Reaction (PCR) Sequencing and PCR−Restriction Fragment Length Polymorphism Methodologies in Species Identification of Canned Tuna. J. Agric. Food Chem. 1998, 46, 1662–1669. [Google Scholar] [CrossRef]
- Ulrich, R.M.; John, D.E.; Barton, G.W.; Hendrick, G.S.; Fries, D.P.; Paul, J.H. A handheld sensor assay for the identification of grouper as a safeguard against seafood mislabeling fraud. Food Control 2015, 53, 81–90. [Google Scholar] [CrossRef]
- FAO. Fisheries and Aquaculture Software. FishStatJ-Software for Fishery and Aquaculture Statistical Time Series. Available online: http://www.fao.org/fishery/en (accessed on 28 April 2020).
- FAO. GLOBEFISH-Information and Analysis on World Fish Trade. Available online: http://www.fao.org/in-action/globefish/market-reports/en/ (accessed on 28 April 2020).
- Golden, R.E.; Warner, K. The Global Reach of Seafood Fraud: A Current Review of the Literature; Oceana Reports; Oceana: Washington, DC, USA, 2014. [Google Scholar]
- Environmental Justice Foundation (EJFEFJ). Fish in Disguise: Seafood Fraud in Korea; EJF Foundation Reports; EJF: London, UK, 2019. [Google Scholar]
- Chapela, M.; Sotelo, C.G.; Calo-Mata, P.; Perez-Martin, R.; Rehbein, H.; Hold, G.; Quinteiro, J.; Méndez, M.R.; Rosa, C.; Santos, A. Identification of Cephalopod Species (Ommastrephidae and Loliginidae) in Seafood Products by Forensically Informative Nucleotide Sequencing (FINS). J. Food Sci. 2002, 67, 1672–1676. [Google Scholar] [CrossRef]
- Warnke, K.; Saint-Paul, U.; Söller, R.; Blohm, D. Rapid differentiation between Octopus vulgaris Cuvier (1797) and Octopus mimus Gould (1852), using randomly amplified polymorphic DNA. J. Zool. Syst. Evol. Res. 2000, 38, 119–122. [Google Scholar] [CrossRef]
- SantaClara, F.J.; Espiñeira, M.; Vieites, J.M. Genetic Identification of Squids (Families Ommastrephidae and Loliginidae) by PCR–RFLP and FINS Methodologies. J. Agric. Food Chem. 2007, 55, 9913–9920. [Google Scholar] [CrossRef] [PubMed]
- Espiñeira, M.; Vieites, J.M. Rapid method for controlling the correct labeling of products containing common octopus (Octo-pus vulgaris) and main substitute species (Eledone cirrhosa and Dosidicus gigas) by fast real-time PCR. Food Chem. 2012, 135, 2439–2444. [Google Scholar] [CrossRef]
- Piepenburg, O.; Williams, C.H.; Stemple, D.; Armes, N.A. DNA Detection Using Recombination Proteins. PLoS Biol. 2006, 4, e204. [Google Scholar] [CrossRef]
- Lobato, I.M.; O’Sullivan, C.K. Recombinase polymerase amplification: Basics, applications and recent advances. TrAC Trends Anal. Chem. 2018, 98, 19–35. [Google Scholar] [CrossRef]
- Daher, R.K.; Stewart, G.; Boissinot, M.; Bergeron, M.G. Recombinase Polymerase Amplification for Diagnostic Applications. Clin. Chem. 2016, 62, 947–958. [Google Scholar] [CrossRef]
- Peng, Y.; Zheng, X.; Kan, B.; Li, W.; Zhang, W.; Jiang, T.; Lu, J.; Qin, A. Rapid detection of Burkholderia pseudomallei with a lateral flow recombinase polymerase amplification assay. PLoS ONE 2019, 14, e0213416. [Google Scholar] [CrossRef] [Green Version]
- Santiago-Felipe, S.; Tortajada-Genaro, L.A.; Puchades, R.; Maquieira, A. Recombinase polymerase and enzyme-linked im-munosorbent assay as a DNA amplification-detection strategy for food analysis. Anal. Chim. Acta 2014, 811, 81–87. [Google Scholar] [CrossRef]
- Szántó-Egész, R.; Jánosi, A.; Mohr, A.; Szalai, G.; Szabó, E.K.; Micsinai, A.; Sipos, R.; Rátky, J.; Anton, I.; Zsolnai, A. Breed-Specific Detection of Mangalica Meat in Food Products. Food Anal. Methods 2016, 9, 889–894. [Google Scholar] [CrossRef]
- Cao, Y.; Zheng, K.; Jiang, J.; Wu, J.; Shi, F.; Song, X.; Jiang, Y. A novel method to detect meat adulteration by recombinase polymerase amplification and SYBR green I. Food Chem. 2018, 266, 73–78. [Google Scholar] [CrossRef] [PubMed]
- Sajid, M.; Kawde, A.-N.; Daud, M. Designs, formats and applications of lateral flow assay: A literature review. J. Saudi Chem. Soc. 2015, 19, 689–705. [Google Scholar] [CrossRef] [Green Version]
- Folmer, O.; Black, M.; Hoeh, W.; Lutz, R.; Vrijenhoek, R. DNA primers for amplification of mitochondrial cytochrome c oxi-dase subunit I from diverse metazoan invertebrates. Mol. Mar. Biol. Biotechnol. 1994, 3, 294–299. [Google Scholar]
- Hall, T.A. BioEdit: A user-friendly biological sequence alignment editor and analysis program for Windows 95/98/NT. Nucleic. Acids Symp. Ser. 1999, 41, 95–98. [Google Scholar]
- Kumar, S.; Nei, M.; Dudley, J.; Tamura, K. MEGA: A biologist-centric software for evolutionary analysis of DNA and protein sequences. Briefings Bioinform. 2008, 9, 299–306. [Google Scholar] [CrossRef] [PubMed] [Green Version]
- Altschul, S.F.; Madden, T.L.; Schäffer, A.A.; Zhang, J.; Zhang, Z.; Miller, W.; Lipman, D.J. Gapped BLAST and PSI-BLAST: A new generation of protein database search programs. Nucleic Acids Res. 1997, 25, 3389–3402. [Google Scholar] [CrossRef] [Green Version]
- Clark, K.; Karsch-Mizrachi, I.; Lipman, D.J.; Ostell, J.; Sayers, E.W. GenBank. Nucleic Acids Res. 2016, 44, D67–D72. [Google Scholar] [CrossRef] [Green Version]
- Resolución de 24 de Mayo de 2019, de la Secretaría General de Pesca, por la que se Publica el Listado de Denominaciones Comerciales de Especies Pesqueras y de Acuicultura Admitidas en España. BOE Núm. 143, de 15 de Junio de 2019; pp. 62708–62789. Available online: https://www.boe.es/eli/es/res/2019/05/24/(5) (accessed on 28 April 2020).
- Liu, H.-B.; Zang, Y.-X.; Du, X.-J.; Li, P.; Wang, S. Development of an isothermal amplification-based assay for the rapid visual detection of Salmonella bacteria. J. Dairy Sci. 2017, 100, 7016–7025. [Google Scholar] [CrossRef] [PubMed] [Green Version]
- Poulton, K.; Webster, B. Development of a lateral flow recombinase polymerase assay for the diagnosis of Schistosoma man-soni infections. Anal. Biochem. 2018, 546, 65–71. [Google Scholar] [CrossRef]
- Regulation (EU) No 1379/2013 of the European Parliament and of the Council of 11 December 2013 on the Common Organisation of the Markets in Fishery and Aquaculture Products, Amending Council Regulations (EC) No 1184/2006 and (EC) No 1224/2009 and Repealing Council Regulation (EC) No 104/2000. Available online: http://data.europa.eu/eli/reg/2013/1379/oj (accessed on 28 April 2020).
- Real Decreto 1521/1984, de 1 de Agosto, por el que se Aprueba la Reglamentación Técnico-Sanitaria de los Establecimientos y Productos de la Pesca y Acuicultura con Destino al Consumo Humano «BOE» núm. 201, de 22 de Agosto de 1984, pp. 24166–24186. Available online: https://www.boe.es/eli/es/rd/1984/08/01/1521 (accessed on 28 April 2020).
- Public Information on Royal Decree Project “Denominaciones Comerciales y las Denominaciones de Alimentos Conservados y Preparados Aplicables a los Productos de la Pesca y la Acuicultura”. Ministerio de Agricultura, Pesca y Alimentación, Gobierno de España. 2020. Available online: https://www.mapa.gob.es/es/pesca/participacion-publica/RD_Denominaciones%20Conservas%20y%20Preparados.aspx (accessed on 28 April 2020).






| Sample Code | Species (Authenticated by FINS) | GenBank Accession Number | RPA-LFA Result |
|---|---|---|---|
| OVUL142 | Octopus vulgaris | MN977138 | + |
| OVUL 17 | Octopus vulgaris | MN977136 | + |
| OVUL 18 | Octopus vulgaris | MN977137 | + |
| OVUL 20 | Octopus vulgaris | MN977139 | + |
| OVUL 22 | Octopus vulgaris | MN977140 | + |
| OVUL 23 | Octopus vulgaris | MT919755 | + |
| OVUL 24 | Octopus vulgaris | MT919756 | + |
| OVUL 25 | Octopus vulgaris | MT919757 | + |
| OVUL 26 | Octopus vulgaris | MT919758 | + |
| OCC-PT1 | Octopus vulgaris | MT919759 | + |
| OCC-PT2 | Octopus vulgaris | MT919760 | + |
| OCC-PT3 | Octopus vulgaris | MT919761 | + |
| OCC-PT4 | Octopus vulgaris | MT919762 | + |
| OCC-PT5 | Octopus vulgaris | MT919763 | + |
| OCC-PT6 | Octopus vulgaris | MT919764 | + |
| OCYA 3 | Octopus cyanea | MN977143 | - |
| OCYA 4 | Octopus cyanea | MN977144 | - |
| OMIM1 | Octopus mimus | MN977146 | - |
| ECIR 143 | Eledone cirrhosa | MN977149 | - |
| ECIR 144 | Eledone cirrhosa | MN977150 | - |
| AMEM 1 | Amphioctopus membranaceus | MN977147 | - |
| AMEM 2 | Amphioctopus membranaceus | MT919765 | - |
| DGIG 1 | Dosidicus gigas | MN977152 | - |
| DGIG 4 | Dosidicus gigas | MN977153 | - |
| LVUL 1 | Loligo vulgaris | MN977128 | - |
| TEBL 1 | Todaropsis eblanae | MN977179 | - |
| TPAC 2 | Todarodes pacificus | MT919767 | - |
| MHYA 8 | Martialia hyadesii | MN977155 | - |
| NSLO6 | Nototodarus sloanii | MN977156 | - |
| LFOR 3 | Loligo forbesii | MT919766 | - |
| TSAG 1 | Todarodes sagittatus | MN977180 | - |
| SOFF 3 | Sepia officinalis | MN977162 | - |
| Sample Code | Type of Sample | Retailer | Commercial Name (on Label) | Scientific Name on Label) | FINS Authentication | Accession Number GenBank | RPA-LFA Result |
|---|---|---|---|---|---|---|---|
| P1 | Cooked | S | Cooked octopus | Octopus vulgaris | Octopus vulgaris | MT919738 | + |
| P2 | Frozen | S | Raw octopus | Octopus vulgaris | Octopus vulgaris | MT919739 | + |
| P3 | Cooked | S | Cooked octopus legs | NI | Octopus vulgaris | MT919740 | + |
| P4 | Cooked | S | Cooked octopus | Octopus vulgaris | Octopus vulgaris | MT919741 | + |
| P5 | Canned | S | Octopus in olive oil | Octopus vulgaris | Octopus vulgaris | * | + |
| P6 | Canned | S | Octopus in olive oil from Galician estuaries | NI | Octopus vulgaris | * | + |
| P7 | Cooked | R | Octopus “á feira” | NI | Octopus vulgaris | MT919742 | + |
| P8 | Cooked | S | Octopus legs cooked in their juice | Octopus vulgaris | Octopus vulgaris | MT919743 | + |
| P9 | Cooked | S | Cooked chopped octopus, Galician style | NI | Octopus vulgaris | MT919744 | + |
| P10 | Canned | S | Octopus “Galician style” | NI | Octopus vulgaris | * | + |
| P11 | Canned | S | Octopus in garlic | NI | amplification failure | + | |
| P12 | Canned | S | Octopus in extra virgin olive oil | Octopus vulgaris | Octopus vulgaris | * | + |
| P13 | Canned | S | Octopus from the Cantabrian Sea | NI | Octopus vulgaris | * | + |
| P14 | Cooked | R | Octopus “á feira” | NI | Octopus vulgaris | MT919745 | + |
| P15 | Cooked | R | Cooked octopus | NI | Octopus vulgaris | MT919746 | + |
| P16 | Canned | S | Octopus in olive oil | Octopus vulgaris | Octopus vulgaris | * | + |
| P17 | Canned | S | Squid cubes in seafood sauce | Dosidicus spp | Dosidicus gigas | * | - |
| P18 | Canned | S | Cubes in garlic octopus style | Dosidicus gigas | Dosidicus gigas | * | - |
| P19 | Canned | S | Pieces of Jumbo flying squid tentacles in Galician sauce | Dosidicus gigas | Dosidicus gigas | * | - |
| P20 | Canned | S | Cubes in sunflower oil. Jumbo flying squid. | NI | Dosidicus gigas | * | - |
| P21 | Cooked | S | Sliced Wild Octopus | Octopus vulgaris | Octopus vulgaris | MT919747 | + |
| P22 | Defrosted | S | Thawed octopus | Octopus vulgaris | Octopus vulgaris | MT919748 | + |
| P23 | Fresh | S | Fresh “pulpito” | Eledone cirrhosa | Eledone cirrhosa | MT919749 | - |
| P24 | Canned | S | Octopus in olive oil | NI | Octopus vulgaris | * | + |
| P25 | Canned | S | Squid cubes in garlic | Dosidicus spp | Dosidicus gigas | * | - |
| P26 | Cooked | S | Cooked chopped octopus | NI | Octopus vulgaris | MT919750 | + |
| P27 | Canned | S | Octopus in olive oil | NI | Octopus vulgaris | * | + |
| P28 | Canned | S | Octopus in seafood sauce | NI | Octopus vulgaris | * | + |
| P29 | Frozen | S | Frozen Octopus | Octopus vulgaris | Octopus vulgaris | MT919751 | + |
| P30 | Frozen | S | Frozen Octopus | Octopus vulgaris | Octopus vulgaris | MT919752 | + |
| P31 | Grilled | R | Grilled octopus | NI | Octopus vulgaris | MT919753 | + |
| P32 | Frozen | S | Ultrafrozen Raw octopus | Octopus vulgaris | Octopus maya | MT919754 | - |
| Sequences | Region | Reference |
|---|---|---|
| LCO1490-5′GGTCAACAAATCATAAAGATATTGG3′ HCO2198-5′TAAACTTCAGGGTGACCAAAAAATCA3′ | Mitochondrial COI | Folmer, 1994 [24] |
| 16SVAR-F- 5′CAAATTACGCTGTTATCCCTATGG3′ 16SVAR-R- 5′GACGAGAAGACCCTAATGAGCTTT3′ | Mitochondrial 16S rDNA | Chapela et al., 2002 [12] |
| Sample Code | Species | LAB 1 | LAB 2 | LAB 3 | LAB 4 | LAB 5 | LAB 6 | LAB 7 | LAB 8 |
|---|---|---|---|---|---|---|---|---|---|
| IIM1 | Amphioctopus membranaceus | - | - | - | - | - | - | - | - |
| IIM2 | Dosidicus gigas | - | - | - | + | - | - | + | - |
| IIM3 | Octopus vulgaris | + | + | + | + | + | + | + | + |
| IIM4 | Octopus mimus | - | - | - | - | - | - | - | - |
| IIM5 | Octopus vulgaris | + | + | + | + | + | + | + | + |
| IIM6 | Octopus vulgaris | + | + | + | + | + | + | + | + |
| IIM7 | Octopus cyanea | - | - | - | - | - | - | - | - |
| IIM8 | Eledone cirrhosa | + | - | - | - | + | - | + | - |
| C+ | Octopus vulgaris | + | + | + | + | + | + | + | + |
| C- | Nototodarus sloanii | - | - | - | - | - | - | - | - |
Publisher’s Note: MDPI stays neutral with regard to jurisdictional claims in published maps and institutional affiliations. |
© 2021 by the authors. Licensee MDPI, Basel, Switzerland. This article is an open access article distributed under the terms and conditions of the Creative Commons Attribution (CC BY) license (https://creativecommons.org/licenses/by/4.0/).
Share and Cite
Velasco, A.; Ramilo-Fernández, G.; Denis, F.; Oliveira, L.; Shum, P.; Silva, H.; Sotelo, C.G. A New Rapid Method for the Authentication of Common Octopus (Octopus vulgaris) in Seafood Products Using Recombinase Polymerase Amplification (RPA) and Lateral Flow Assay (LFA). Foods 2021, 10, 1825. https://doi.org/10.3390/foods10081825
Velasco A, Ramilo-Fernández G, Denis F, Oliveira L, Shum P, Silva H, Sotelo CG. A New Rapid Method for the Authentication of Common Octopus (Octopus vulgaris) in Seafood Products Using Recombinase Polymerase Amplification (RPA) and Lateral Flow Assay (LFA). Foods. 2021; 10(8):1825. https://doi.org/10.3390/foods10081825
Chicago/Turabian StyleVelasco, Amaya, Graciela Ramilo-Fernández, Françoise Denis, Luís Oliveira, Peter Shum, Helena Silva, and Carmen G. Sotelo. 2021. "A New Rapid Method for the Authentication of Common Octopus (Octopus vulgaris) in Seafood Products Using Recombinase Polymerase Amplification (RPA) and Lateral Flow Assay (LFA)" Foods 10, no. 8: 1825. https://doi.org/10.3390/foods10081825
APA StyleVelasco, A., Ramilo-Fernández, G., Denis, F., Oliveira, L., Shum, P., Silva, H., & Sotelo, C. G. (2021). A New Rapid Method for the Authentication of Common Octopus (Octopus vulgaris) in Seafood Products Using Recombinase Polymerase Amplification (RPA) and Lateral Flow Assay (LFA). Foods, 10(8), 1825. https://doi.org/10.3390/foods10081825

