Efficacy of Oregano Essential Oil Extract in the Inhibition of Bacterial Lipopolysaccharide (LPS)-Induced Osteoclastogenesis Using RAW 264.7 Murine Macrophage Cell Line—An In-Vitro Study
Abstract
1. Introduction
2. Materials and Methods
2.1. Preparation of Oregano Essential Oil Extract
2.2. Study and Sample Characteristics
2.3. Preparation of Culture Medium
2.4. Staining Procedure
2.5. Quantification of Osteoclast
2.6. Statistical Analysis
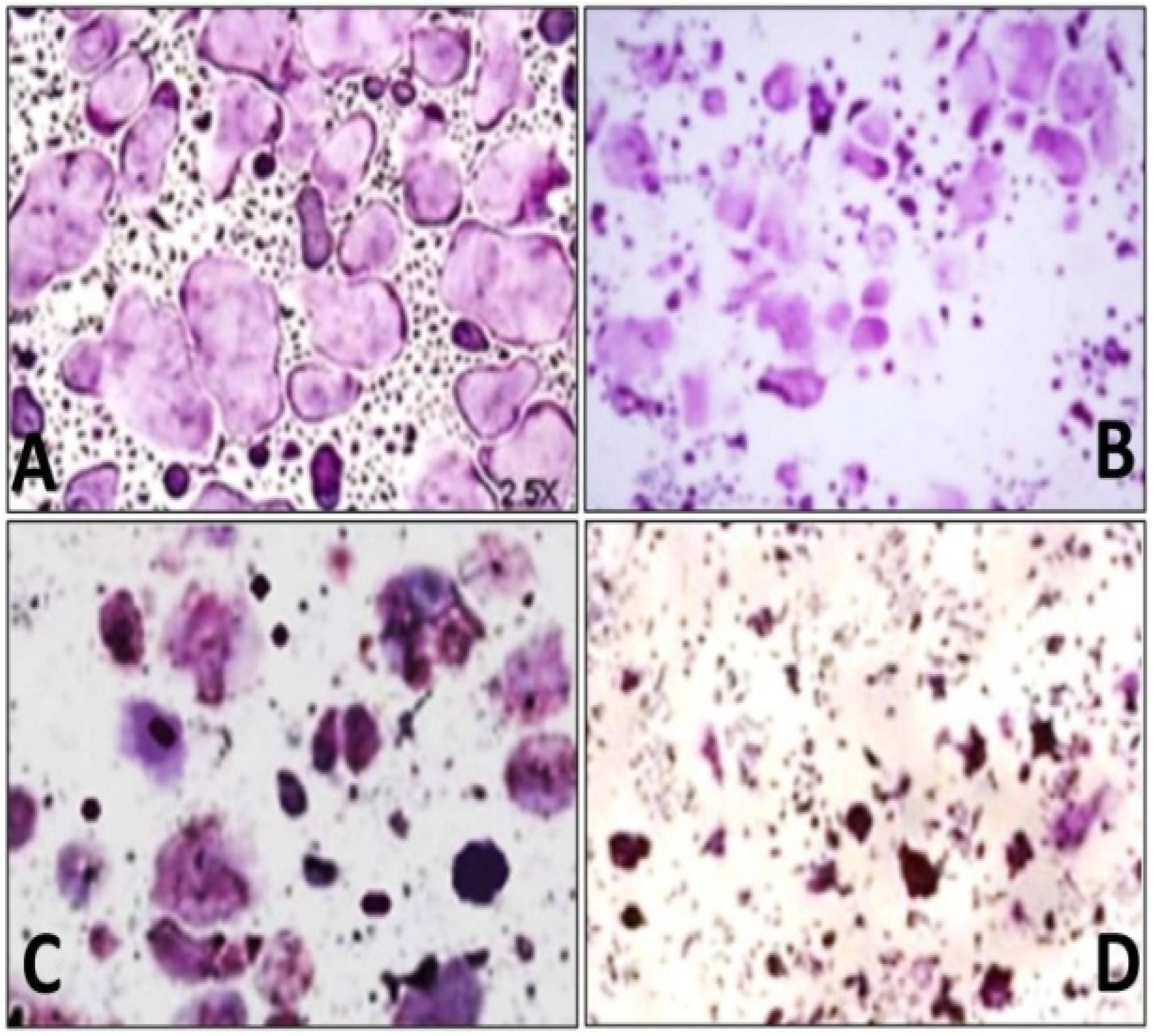
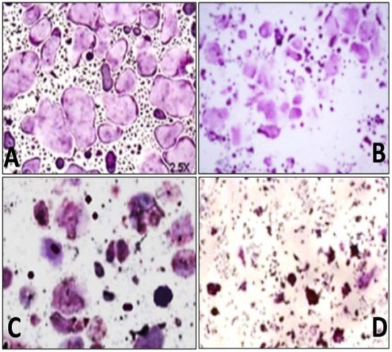
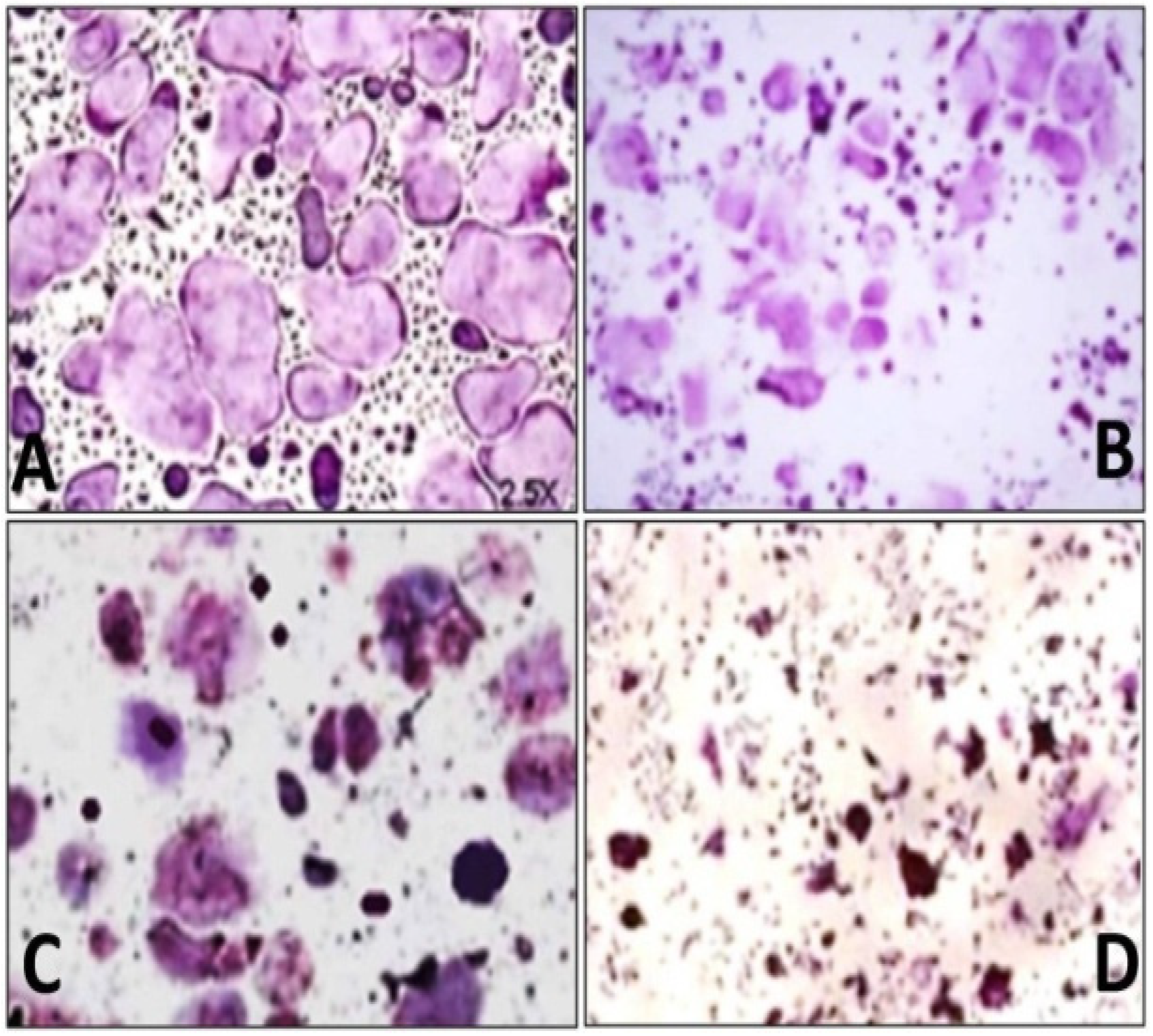
3. Results
4. Discussion
5. Strength, Limitations, and Future Directions
6. Conclusions
Author Contributions
Funding
Institutional Review Board Statement
Informed Consent Statement
Data Availability Statement
Conflicts of Interest
Abbreviations
| LPS | Lipopolysaccharide |
| NF-kB | nuclear factor kappa-B |
| MAPKs | mitogen-activated protein kinases |
| ERK | extracellular-signal-regulated kinase |
| BRONJ | bisphosphonate-induced osteonecrosis of the jaw |
| ATCC | American Type Culture Collection |
| DMEM | Dulbecco’s modified eagle’s medium |
| FBS | Fetal Bovine Serum |
| TRAP | Tartrate-resistant acid phosphatase |
| ANOVA | One-way Analysis of Variance |
| SPSS | statistical package of social sciences |
| miRNA-21 | micro ribonucleic acid-21 |
| RANK | Receptor Activator of Nuclear Factor-kB- |
| RANKL | Receptor Activator of Nuclear Factor-kB-Ligand |
| TNF | Tumour necrosis factor IL- Interleukin |
| TGF-β | Transforming growth factor |
| TAK1 | Transforming growth factor beta-activated kinase 1 |
| Ca(OH2) | Calcium Hydroxide |
| MAPKs | Mitogen Activated Protein Kinases |
| Akt | Protein kinase B |
| IκB | inhibitor of nuclear factor kappa B |
| NFATc1 | Nuclear Factor of Activated T cells 1 |
References
- Fernandes, M.; de Ataide, I.; Wagle, R. Tooth resorption part II—External resorption: Case series. J. Conserv. Dent. JCD 2013, 16, 180–185. [Google Scholar] [CrossRef]
- Consolaro, A.; Furquim, L.Z. Extreme root resorption associated with induced tooth movement: A protocol for clinical management. Dent. Press J. Orthod. 2014, 19, 19–26. [Google Scholar] [CrossRef][Green Version]
- Lee, J.; Kang, S.; Jung, H.I.; Kim, S.; Karabucak, B.; Kim, E. Dentists’ clinical decision-making about teeth with apical periodontitis using a variable-controlled survey model in South Korea. BMC Oral Health 2020, 20, 1–10. [Google Scholar] [CrossRef]
- Jhajharia, K.; Parolia, A.; Shetty, K.V.; Mehta, L.K. Biofilm in endodontics: A review. J. Int. Soc. Prev. Community Dent. 2015, 5, 1–12. [Google Scholar] [CrossRef] [PubMed]
- Shrivastava, D.; Natoli, V.; Srivastava, K.C.; Alzoubi, I.A.; Nagy, A.I.; Hamza, M.O.; Al-Johani, K.; Alam, M.K.; Khurshid, Z. Novel Approach to Dental Biofilm Management through Guided Biofilm Therapy (GBT): A Review. Microorganisms 2021, 9, 1966. [Google Scholar] [CrossRef]
- AlQranei, M.S.; Senbanjo, L.T.; Aljohani, H.; Hamza, T.; Chellaiah, M.A. Lipopolysaccharide-TLR-4 Axis regulates Osteoclastogenesis independent of RANKL/RANK signaling. BMC Immunol. 2021, 22, 23. [Google Scholar] [CrossRef] [PubMed]
- Strålberg, F.; Kassem, A.; Kasprzykowski, F.; Abrahamson, M.; Grubb, A.; Lindholm, C.; Lerner, U.H. Inhibition of lipopolysaccharide-induced osteoclast formation and bone resorption in vitro and in vivo by cysteine proteinase inhibitors. J. Leukoc. Biol. 2017, 101, 1233–1243. [Google Scholar] [CrossRef] [PubMed]
- Duhan, D.; Babaji, P.; Devanna, R.; Jagtap, K.; Chaurasia, V.R.; Jerry, J.J.; Choudhury, B.K. The cell biology and role of resorptive cells in diseases: A review. Ann. Afr. Med. 2017, 16, 39. [Google Scholar] [CrossRef]
- Hienz, S.A.; Paliwal, S.; Ivanovski, S. Mechanisms of Bone Resorption in Periodontitis. J. Immunol. Res. 2015, 2015, 615486. [Google Scholar] [CrossRef]
- Ribet, A.B.P.; Ng, P.Y.; Pavlos, N.J. Membrane Transport Proteins in Osteoclasts: The Ins and Outs. Front. Cell Dev. Biol. 2021, 9, 644986. [Google Scholar] [CrossRef]
- Lee, N.K. RANK signaling pathways and key molecules inducing osteoclast differentiation. Biomed. Sci. Lett. 2017, 23, 295–302. [Google Scholar] [CrossRef]
- Holland, R.; Gomes, J.E.; Cintra, L.T.A.; de Azevedo Queiroz, Í.O.; Estrela, C. Factors affecting the periapical healing process of endodontically treated teeth. J. Appl. Oral Sci. Rev. FOB 2017, 25, 465–476. [Google Scholar] [CrossRef] [PubMed]
- Nishida, D.; Arai, A.; Zhao, L.; Yang, M.; Nakamichi, Y.; Horibe, K.; Hosoya, A.; Kobayashi, Y.; Udagawa, N.; Mizoguchi, T. RANKL/OPG ratio regulates odontoclastogenesis in damaged dental pulp. Sci. Rep. 2021, 11, 4575. [Google Scholar] [CrossRef] [PubMed]
- Bi, H.; Chen, X.; Gao, S.; Yu, X.; Xiao, J.; Zhang, B.; Liu, X.; Dai, M. Key Triggers of Osteoclast-Related Diseases and Available Strategies for Targeted Therapies: A Review. Front. Med. 2017, 4, 234. [Google Scholar] [CrossRef]
- Hayes, K.N.; Winter, E.M.; Cadarette, S.M.; Burden, A.M. Duration of Bisphosphonate Drug Holidays in Osteoporosis Patients: A Narrative Review of the Evidence and Considerations for Decision-Making. J. Clin. Med. 2021, 10, 1140. [Google Scholar] [CrossRef] [PubMed]
- Shi, J.; Liang, G.; Huang, R.; Liao, L.; Qin, D. Effects of bisphosphonates in preventing periprosthetic bone loss following total hip arthroplasty: A systematic review and meta-analysis. J. Orthop. Surg. 2018, 13, 225. [Google Scholar] [CrossRef] [PubMed]
- Coskun Benlidayi, I.; Guzel, R. Oral bisphosphonate related osteonecrosis of the jaw: A challenging adverse effect. ISRN Rheumatol. 2013, 2013, 215034. [Google Scholar] [CrossRef]
- Sigua-Rodriguez, E.A.; da Costa Ribeiro, R.; de Brito, A.C.; Alvarez-Pinzon, N.; de Albergaria-Barbosa, J.R. Bisphosphonate-related osteonecrosis of the jaw: A review of the literature. Int. J. Dent. 2014, 2014, 192320. [Google Scholar] [CrossRef]
- Sheokand, V.; Chadha, V.S.; Palwankar, P. The comparative evaluation of 1% alendronate gel as local drug delivery system in chronic periodontitis in smokers and non smokers: Randomized clinical trial. J. Oral Biol. Craniofacial Res. 2019, 9, 198–203. [Google Scholar] [CrossRef]
- Sharma, A.; Pradeep, A.R. Clinical efficacy of 1% alendronate gel as a local drug delivery system in the treatment of chronic periodontitis: A randomized, controlled clinical trial. J. Periodontol. 2012, 83, 11–18. [Google Scholar] [CrossRef]
- Pradeep, A.R.; Kumari, M.; Rao, N.S.; Naik, S.B. 1% alendronate gel as local drug delivery in the treatment of Class II furcation defects: A randomized controlled clinical trial. J. Periodontol. 2013, 84, 307–315. [Google Scholar] [CrossRef] [PubMed]
- Sharma, A.; Raman, A.; Pradeep, A.R. Role of 1% alendronate gel as adjunct to mechanical therapy in the treatment of chronic periodontitis among smokers. J. Appl. Oral Sci. 2017, 25, 243–249. [Google Scholar] [CrossRef]
- Zymperdikas, V.F.; Yavropoulou, M.P.; Kaklamanos, E.G.; Papadopoulos, M.A. Effects of systematic bisphosphonate use in patients under orthodontic treatment: A systematic review. Eur. J. Orthod. 2020, 42, 60–71. [Google Scholar] [CrossRef]
- Dagli, N.; Dagli, R.; Mahmoud, R.S.; Baroudi, K. Essential oils, their therapeutic properties, and implication in dentistry: A review. J. Int. Soc. Prev. Community Dent. 2015, 5, 335–340. [Google Scholar] [CrossRef]
- Nimbulkar, G.; Garacha, V.; Shetty, V.; Bhor, K.; Srivastava, K.C.; Shrivastava, D.; Sghaireen, M.G. Microbiological and Clinical evaluation of Neem gel and Chlorhexidine gel on Dental Plaque and Gingivitis in 20–30 Years Old Adults: A Randomized Parallel-Armed, Double-Blinded Controlled Trial. J. Pharm. Bioallied Sci. 2020, 12 (Suppl. 1), S345–S351. [Google Scholar] [CrossRef]
- An, J.; Hao, D.; Zhang, Q.; Chen, B.; Zhang, R.; Wang, Y.; Yang, H. Natural products for treatment of bone erosive diseases: The effects and mechanisms on inhibiting osteoclastogenesis and bone resorption. Int. Immunopharmacol. 2016, 36, 118–131. [Google Scholar] [CrossRef] [PubMed]
- He, G.; Ma, R. Overview of Molecular Mechanisms Involved in Herbal Compounds for Inhibiting Osteoclastogenesis from Macrophage Linage RAW264.7. Curr. Stem Cell Res. Ther. 2020, 15, 570–578. [Google Scholar] [CrossRef]
- Janani, K.; Ajitha, P.; Sandhya, R.; Teja, K. Chemical constituent, minimal inhibitory concentration, and antimicrobial efficiency of essential oil from oreganum vulgare against Enterococcus faecalis: An in vitro study. J. Conserv. Dent. 2019, 22, 538. [Google Scholar] [CrossRef]
- Hejazinia, F.; Fozouni, L.; Azami, N.S.; Mousavi, S. The Anti-Biofilm Activity of Oregano Essential Oil Against Dental Plaque-Forming Streptococcus mutans In Vitro and In Vivo. J. Kermanshah Univ. Med. Sci. 2020, 24, e107680. Available online: https://sites.kowsarpub.com/jkums/articles/107680.html#abstract (accessed on 20 November 2021). [CrossRef]
- Deepak, V.; Kruger, M.C.; Joubert, A.; Coetzee, M. Piperine alleviates osteoclast formation through the p38/c-Fos/NFATc1 signaling axis. BioFactors Oxf. Engl. 2015, 41, 403–413. [Google Scholar] [CrossRef]
- Deepak, V.; Kasonga, A.; Kruger, M.C.; Coetzee, M. Carvacrol Inhibits Osteoclastogenesis and Negatively Regulates the Survival of Mature Osteoclasts. Biol. Pharm. Bull. 2016, 39, 1150–1158. [Google Scholar] [CrossRef]
- Lee, K.-Y.; Kim, J.-H.; Kim, E.-Y.; Yeom, M.; Jung, H.-S.; Sohn, Y. Water extract of Cnidii Rhizoma suppresses RANKL-induced osteoclastogenesis in RAW 264.7 cell by inhibiting NFATc1/c-Fos signaling and prevents ovariectomized bone loss in SD-rat. BMC Complement. Altern. Med. 2019, 19, 207. [Google Scholar] [CrossRef]
- Kang, H. Sample size determination and power analysis using the G*Power software. J. Educ. Eval. Health Prof. 2021, 18, 17. [Google Scholar] [CrossRef] [PubMed]
- Kumar, G.; Jalaluddin, M.; Rout, P.; Mohanty, R.; Dileep, C.L. Emerging trends of herbal care in dentistry. J. Clin. Diagn. Res. 2013, 7, 1827–1829. [Google Scholar] [CrossRef]
- Madhyastha, R.; Madhyastha, H.; Pengjam, Y.; Nurrahmah, Q.I.; Nakajima, Y.; Maruyama, M. The pivotal role of microRNA-21 in osteoclastogenesis inhibition by anthracycline glycoside aloin. J. Nat. Med. 2019, 73, 59–66. [Google Scholar] [CrossRef] [PubMed]
- Ma, W.T.; Gao, F.; Gu, K.; Chen, D.K. The role of monocytes and macrophages in autoimmune diseases: A comprehensive review. Front. Immunol. 2019, 10, 1140. [Google Scholar] [CrossRef] [PubMed]
- Martinho, F.C.; Leite, F.R.M.; Nascimento, G.G.; Cirelli, J.A.; Gomes, B.P.F.A. Clinical investigation of bacterial species and endotoxin in endodontic infection and evaluation of root canal content activity against macrophages by cytokine production. Clin. Oral Investig. 2014, 18, 2095–2102. [Google Scholar] [CrossRef] [PubMed]
- Kim, J.-Y.; Cheon, Y.-H.; Kwak, S.C.; Baek, J.M.; Yoon, K.-H.; Lee, M.S.; Oh, J. Emodin regulates bone remodeling by inhibiting osteoclastogenesis and stimulating osteoblast formation. J. Bone Miner. Res. Off. J. Am. Soc. Bone Miner. Res. 2014, 29, 1541–1553. [Google Scholar] [CrossRef]
- Anti-inflammatory Effects and Mechanisms of Usnic—ProQuest. Available online: https://www.proquest.com/docview/1112075433 (accessed on 20 November 2021).
- Gomes, B.P.; Herrera, D.R. Etiologic role of root canal infection in apical periodontitis and its relationship with clinical symptomatology. Braz. Oral Res. 2018, 32, 69. [Google Scholar] [CrossRef]
- Siqueira, J.F., Jr.; Rôças, I.N. Microbiology and treatment of acute apical abscesses. Clin. Microbiol. Rev. 2013, 26, 255–273. [Google Scholar] [CrossRef]
- Cao, H.; Qi, Z.; Jiang, H.; Zhao, J.; Liu, Z.; Tang, Z. Detection of Porphyromonas endodontalis, Porphyromonas gingivalis and Prevotella intermedia in primary endodontic infections in a Chinese population. Int. Endod. J. 2012, 45, 773–781. [Google Scholar] [CrossRef] [PubMed]
- Goncalves, C.; Soares, G.M.; Faveri, M.; Perez-Chaparro, P.J.; Lobao, E.; Figueiredo, L.C.; Baccelli, G.T.; Feres, M. Association of three putative periodontal pathogens with chronic periodontitis in Brazilian subjects. J. Appl. Oral Sci. 2016, 24, 181–185. [Google Scholar] [CrossRef] [PubMed]
- Zeng, L.; Xu, Y.; Xing, G. Effect of lipopolysaccharide on osteoclasts formation and bone resorption function and its mechanism. Chin. J. Reparative Reconstr. Surg. 2018, 32, 568–574. [Google Scholar]
- Hou, G.Q.; Guo, C.; Song, G.H.; Fang, N.; Fan, W.J.; Chen, X.D.; Yuan, L.; Wang, Z.Q. Lipopolysaccharide (LPS) promotes osteoclast differentiation and activation by enhancing the MAPK pathway and COX-2 expression in RAW264. 7 cells. Int. J. Mol. Med. 2013, 32, 503–510. [Google Scholar] [CrossRef]
- Dahlén, G.; Magnusson, B.C.; Möller, Å. Histological and histochemical study of the influence of lipopolysaccharide extracted from Fusobacterium nucleatum on the periapical tissues in the monkey Macaca fascicularis. Arch. Oral Biol. 1981, 26, 591–598. [Google Scholar] [CrossRef]
- Choi, Y.; Faccio, R.; Teitelbaum, S.L.; Takayanagi, H. Osteoclast Biology: Regulation of Formation and Function. In Osteoimmunology Interactions of the Immune and Skeletal Systems, 2nd ed.; Academic Press: Cambridge, MA, USA, 2016; pp. 41–70. [Google Scholar]
- Song, W.; Li, S.; Tang, Q.; Chen, L.; Yuan, Z. In vitro biocompatibility and bioactivity of calcium silicate-based bioceramics in endodontics (Review). Int. J. Mol. Med. 2021, 48, 128. [Google Scholar] [CrossRef]
- Mohammadi, Z.; Dummer, P.M.H. Properties and applications of calcium hydroxide in endodontics and dental traumatology. Int. Endod. J. 2011, 44, 697–730. [Google Scholar] [CrossRef] [PubMed]
- Mohammadi, Z.; Shalavi, S.; Yazdizadeh, M. Antimicrobial activity of calcium hydroxide in endodontics: A review. Chonnam Med. J. 2012, 48, 133–140. [Google Scholar] [CrossRef]
- Al-Rahabi, M.; Abdulkhayum, A. Single visit root canal treatment: Review. Saudi Endod. J. 2012, 2, 80. [Google Scholar] [CrossRef]
- Zare Jahromi, M.; Ranjbarian, P.; Shiravi, S. Cytotoxicity evaluation of Iranian propolis and calcium hydroxide on dental pulp fibroblasts. J. Dent. Res. Dent. Clin. Dent. Prospect 2014, 8, 130–133. [Google Scholar] [CrossRef]
- Hirschman, W.R.; Wheater, M.A.; Bringas, J.S.; Hoen, M.M. Cytotoxicity comparison of three current direct pulp-capping agents with a new bioceramic root repair putty. J. Endod. 2012, 38, 385–388. [Google Scholar] [CrossRef]
- Janani, K.; Teja, K.; Ajitha, P.; Sandhya, R. Evaluation of tissue inflammatory response of four intracanal medicament—An animal study. J. Conserv. Dent. 2020, 23, 216. [Google Scholar] [PubMed]
- Venkateshbabu, N.; Anand, S.; Abarajithan, M.; Sheriff, S.O.; Jacob, P.S.; Sonia, N. Natural Therapeutic Options in Endodontics—A Review. Open Dent. J. 2016, 10, 214–226. [Google Scholar] [CrossRef] [PubMed]
- Yang, C.; Zhu, K.; Yuan, X.; Zhang, X.; Qian, Y.; Cheng, T. Curcumin has immunomodulatory effects on RANKL-stimulated osteoclastogenesis in vitro and titanium nanoparticle-induced bone loss in vivo. J. Cell. Mol. Med. 2020, 24, 1553–1567. [Google Scholar] [CrossRef] [PubMed]
- Gorabi, A.M.; Kiaie, N.; Hajighasemi, S.; Jamialahmadi, T.; Majeed, M.; Sahebkar, A. The effect of curcumin on the differentiation of mesenchymal stem cells into mesodermal lineage. Molecules 2019, 24, 4029. [Google Scholar] [CrossRef] [PubMed]
- Ocaña-Fuentes, A.; Arranz-Gutiérrez, E.; Señorans, F.J.; Reglero, G. Supercritical fluid extraction of oregano (Origanum vulgare) essentials oils: Anti-inflammatory properties based on cytokine response on THP-1 macrophages. Food Chem. Toxicol. Int. J. Publ. Br. Ind. Biol. Res. Assoc. 2010, 48, 1568–1575. [Google Scholar] [CrossRef]
- Han, F.; Ma, G.-Q.; Yang, M.; Yan, L.; Xiong, W.; Shu, J.-C.; Zhao, Z.-D.; Xu, H.-L. Chemical composition and antioxidant activities of essential oils from different parts of the oregano. J. Zhejiang Univ. Sci. B 2017, 18, 79–84. [Google Scholar] [CrossRef] [PubMed]
- Boureau, L.; Pribat, A.; Mortain-Bertrand, A.; Bert, L.S.; Rolin, D.; Teyssier, E.; Gallusci, P. Metabolic Engineering of Isoprenoid Biosynthesis; Springer: Berlin/Heidelberg, Germany, 2013; Available online: https://hal.inrae.fr/hal-02811271 (accessed on 20 November 2021).
- Kumari, S.; Priya, P.; Misra, G.; Yadav, G. Structural and biochemical perspectives in plant isoprenoid biosynthesis. Phytochem. Rev. 2013, 12, 255–291. [Google Scholar] [CrossRef]
- Jeong, A.; Suazo, K.F.; Wood, W.G.; Distefano, M.D.; Li, L. Isoprenoids and Protein Prenylation: Implications in the Pathogenesis and Therapeutic Intervention of Alzheimer’s Disease. Crit. Rev. Biochem. Mol. Biol. 2018, 53, 279–310. [Google Scholar] [CrossRef] [PubMed]
- Andrade, L.N.; De Sousa, D.P. A review on anti-inflammatory activity of monoterpenes. Molecules 2013, 18, 1227–1254. [Google Scholar]
- Sapkota, M.; Li, L.; Kim, S.W.; Soh, Y. Thymol inhibits RANKL-induced osteoclastogenesis in RAW264. 7 and BMM cells and LPS-induced bone loss in mice. Food Chem. Toxicol. 2018, 120, 418–429. [Google Scholar] [CrossRef] [PubMed]
- Cheng, C.; Zou, Y.; Peng, J. Oregano Essential Oil Attenuates RAW264.7 Cells from Lipopolysaccharide-Induced Inflammatory Response through Regulating NADPH Oxidase Activation-Driven Oxidative Stress. Molecules 2018, 23, 1857. [Google Scholar] [CrossRef] [PubMed]
- Teja, K.V.; Janani, K.; Srivastava, K.C.; Shrivastava, D.; Jose, J.; Marya, A.; Karobari, M.I. Comparison of Herbal Agents with Sodium Hypochlorite as Root Canal Irrigant: A Systematic Review of In Vitro Studies. Evid. Based Complement. Altern. Med. 2021, 2021, 8967219. [Google Scholar] [CrossRef]

| S.No. | Compound Name | Retention Time | Peak Area % |
|---|---|---|---|
| 1 | 3-thujene | 4.9 | 0.4 |
| 2 | α-pinene | 7.6 | 0.6 |
| 3 | β-Pinene | 10.15 | 0.5 |
| 4 | α-Terpinene | 10.47 | 1.19 |
| 5 | p-cymene | 12.04 | 9.47 |
| 6 | γ-terpinene | 12.8 | 12.68 |
| 7 | β-linalool | 14.035 | 0.67 |
| 8 | Borneol | 14.767 | 0.4 |
| 9 | Terpinen-4-ol | 15.94 | 0.41 |
| 10 | Carvacrol | 20.672 | 41.2 |
| 11 | β-caryophyllene | 21.84 | 0.83 |
| 12 | β-bisabolene | 22.47 | 0.601 |
| 13 | myristicin | 22.573 | 0.25 |
| 14 | spathulenol | 25.28 | 0.4 |
| 15 | apiol | 27.16 | 0.14 |
| Control Group (without Oregano Essential Oil) | Experimental Group (Different Concentration of Oregano Essential Oil) | ||
|---|---|---|---|
| 25 ng/mL | 50 ng/mL | 100 ng/ml | |
| 12.0 ± 0.4 b***c***d*** | 8.0 ± 0.3 a***c***d*** | 5.0 ± 0.3 a***b***d*** | 1.0 ± 0.2 a***b***c*** |
Publisher’s Note: MDPI stays neutral with regard to jurisdictional claims in published maps and institutional affiliations. |
© 2021 by the authors. Licensee MDPI, Basel, Switzerland. This article is an open access article distributed under the terms and conditions of the Creative Commons Attribution (CC BY) license (https://creativecommons.org/licenses/by/4.0/).
Share and Cite
Janani, K.; Teja, K.V.; Alam, M.K.; Shrivastava, D.; Iqbal, A.; Khattak, O.; Al-Johani, K.; Hamza, M.O.; Jose, J.; Karobari, M.I.; et al. Efficacy of Oregano Essential Oil Extract in the Inhibition of Bacterial Lipopolysaccharide (LPS)-Induced Osteoclastogenesis Using RAW 264.7 Murine Macrophage Cell Line—An In-Vitro Study. Separations 2021, 8, 240. https://doi.org/10.3390/separations8120240
Janani K, Teja KV, Alam MK, Shrivastava D, Iqbal A, Khattak O, Al-Johani K, Hamza MO, Jose J, Karobari MI, et al. Efficacy of Oregano Essential Oil Extract in the Inhibition of Bacterial Lipopolysaccharide (LPS)-Induced Osteoclastogenesis Using RAW 264.7 Murine Macrophage Cell Line—An In-Vitro Study. Separations. 2021; 8(12):240. https://doi.org/10.3390/separations8120240
Chicago/Turabian StyleJanani, Krishnamachari, Kavalipurapu Venkata Teja, Mohammad Khursheed Alam, Deepti Shrivastava, Azhar Iqbal, Osama Khattak, Khalid Al-Johani, May Othman Hamza, Jerry Jose, Mohmed Isaqali Karobari, and et al. 2021. "Efficacy of Oregano Essential Oil Extract in the Inhibition of Bacterial Lipopolysaccharide (LPS)-Induced Osteoclastogenesis Using RAW 264.7 Murine Macrophage Cell Line—An In-Vitro Study" Separations 8, no. 12: 240. https://doi.org/10.3390/separations8120240
APA StyleJanani, K., Teja, K. V., Alam, M. K., Shrivastava, D., Iqbal, A., Khattak, O., Al-Johani, K., Hamza, M. O., Jose, J., Karobari, M. I., & Srivastava, K. C. (2021). Efficacy of Oregano Essential Oil Extract in the Inhibition of Bacterial Lipopolysaccharide (LPS)-Induced Osteoclastogenesis Using RAW 264.7 Murine Macrophage Cell Line—An In-Vitro Study. Separations, 8(12), 240. https://doi.org/10.3390/separations8120240

