Dermatopathological Challenges in Objectively Characterizing Immunotherapy Response in Mycosis Fungoides
Abstract
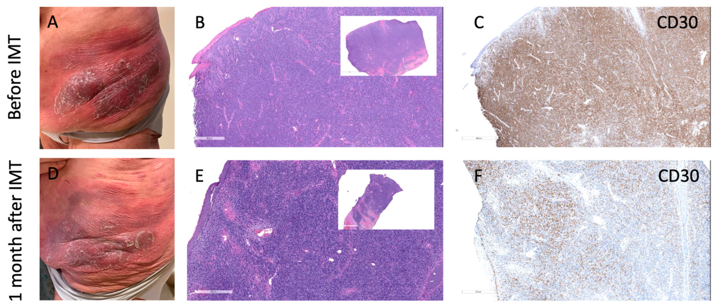
1. Introduction
2. Utilizing Melanoma as a Model for Assessing the Effectiveness of IMT in MF
3. Prognostic Markers in the TME of Melanoma, and Implications for MF
4. CD8+ Tumor-Associated Lymphocytes
5. NK Cells
6. Histiocytes and Tumor-Associated Macrophages
7. Plasmacytoid Dendritic Cells
8. Cancer-Associated Fibroblasts
9. B Cells
10. Tertiary Lymphoid Structures
11. Novel Methods for Monitoring the Response to IMT
12. Conclusions
Author Contributions
Funding
Conflicts of Interest
Abbreviations
| MF | Mycosis fungoides |
| TME | Tumor microenvironment |
| IMT | Immunotherapy |
| TIL | Tumor-infiltrating lymphocytes |
| TAM | Tumor-infiltrating macrophages |
| pDCs | Plasmacytoid dendritic cells |
| CAFs | Cancer-associated fibroblasts |
| TAB | Tumor-associated B cells |
| TLS | Tertiary lymphoid structures |
| MSI | Multispectral imaging |
References
- Quaglino, P.; Scarisbrick, J.; Roccuzzo, G.; Abeldano, A.; Battistella, M.; McCormack, C.; Cowan, R.; Cozzio, A.; Cury-Martins, J.; Enz, P.; et al. Identifying unmet needs and challenges in the definition of a plaque in mycosis fungoides: An EORTC-CLTG/ISCL survey. J. Eur. Acad. Dermatol. Venereol. 2023, 37, 680–688. [Google Scholar] [CrossRef] [PubMed]
- Cerroni, L. Skin Lymphoma: The Illustrated Guide; John Wiley & Sons: Hoboken, NJ, USA, 2020. [Google Scholar]
- Willsmore, Z.N.; Harris, R.J.; Crescioli, S.; Hussein, K.; Kakkassery, H.; Thapa, D.; Cheung, A.; Chauhan, J.; Bax, H.J.; Chenoweth, A.; et al. B Cells in Patients With Melanoma: Implications for Treatment With Checkpoint Inhibitor Antibodies. Front. Immunol. 2021, 11, 622442. [Google Scholar] [CrossRef]
- Sivanand, A.; Surmanowicz, P.; Alhusayen, R.; Hull, P.; Litvinov, I.V.; Zhou, Y.; Gniadecki, R. Immunotherapy for Cutaneous T-Cell Lymphoma: Current Landscape and Future Developments. J. Cutan. Med. Surg. 2019, 23, 537–544. [Google Scholar] [CrossRef] [PubMed]
- Singh, S.; Roszik, J.; Saini, N.; Singh, V.K.; Bavisi, K.; Wang, Z.; Vien, L.T.; Yang, Z.; Kundu, S.; Davis, R.E.; et al. B Cells Are Required to Generate Optimal Anti-Melanoma Immunity in Response to Checkpoint Blockade. Front. Immunol. 2022, 13, 794684. [Google Scholar] [CrossRef] [PubMed] [PubMed Central]
- Helmink, B.A.; Reddy, S.M.; Gao, J.; Zhang, S.; Basar, R.; Thakur, R.; Yizhak, K.; Sade-Feldman, M.; Blando, J.; Han, G.; et al. B cells and tertiary lymphoid structures promote immunotherapy response. Nature 2020, 577, 549–555. [Google Scholar] [CrossRef]
- Jiang, T.T.; Kruglov, O.; Lin, G.H.Y.; Minic, A.; Jordan, K.; Uger, R.A.; Wong, M.; Shou, Y.; Akilov, O.E. Clinical Response to Anti-CD47 Immunotherapy Is Associated with Rapid Reduction of Exhausted Bystander CD4+ BTLA+ T Cells in Tumor Microenvironment of Mycosis Fungoides. Cancers 2021, 13, 5982. [Google Scholar] [CrossRef]
- Barnes, T.A.; Amir, E. HYPE or HOPE: The prognostic value of infiltrating immune cells in cancer. Br. J. Cancer 2018, 118, e5. [Google Scholar] [CrossRef]
- Stadler, R.; Roccuzzo, G.; Ortiz-Romero, P.; Bagot, M.; Quaglino, P.; Guenova, E.; Jonak, C.; Papadavid, E.; Stranzenbach, R.; Marreaud, S.; et al. Phase II trial of atezolizumab (Anti-PD-L1) in the treatment of relapsed/refractory IIB/IVB mycosis fungoides/Sézary syndrome patients after previous systemic treatment. EORTC-1652-CLTG “PARCT”. Eur. J. Cancer 2025, 222, 115484. [Google Scholar] [CrossRef]
- Sweis, R.F.; Drazer, M.W.; Ratain, M.J. Analysis of Impact of Post-Treatment Biopsies in Phase I Clinical Trials. J. Clin. Oncol. 2016, 34, 369–374. [Google Scholar] [CrossRef]
- Bevins, N.J.; Okamura, R.; Montesion, M.; Adashek, J.J.; Goodman, A.M.; Kurzrock, R. Tumor Infiltrating Lymphocyte Expression of PD-1 Predicts Response to Anti-PD-1/PD-L1 Immunotherapy. J. Immunother. Precis. Oncol. 2022, 5, 90–97. [Google Scholar] [CrossRef]
- Reschke, R.; Enk, A.H.; Hassel, J.C. Prognostic Biomarkers in Evolving Melanoma Immunotherapy. Am. J. Clin. Dermatol. 2025, 26, 213–223. [Google Scholar] [CrossRef]
- Keung, E.Z.; Gershenwald, J.E. Clinicopathological Features, Staging, and Current Approaches to Treatment in High-Risk Resectable Melanoma. J. Natl. Cancer Inst. 2020, 112, 875–885. [Google Scholar] [CrossRef] [PubMed]
- Fu, Q.; Chen, N.; Ge, C.; Li, R.; Li, Z.; Zeng, B.; Li, C.; Wang, Y.; Xue, Y.; Song, X.; et al. Prognostic value of tumor-infiltrating lymphocytes in melanoma: A systematic review and meta-analysis. Oncoimmunology 2019, 8, 1593806. [Google Scholar] [CrossRef]
- Piras, F.; Colombari, R.; Minerba, L.; Murtas, D.; Floris, C.; Maxia, C.; Corbu, A.; Perra, M.T.; Sirigu, P. The predictive value of CD8, CD4, CD68, and human leukocyte antigen-D-related cells in the prognosis of cutaneous malignant melanoma with vertical growth phase. Cancer Interdiscip. Int. J. Am. Cancer Soc. 2005, 104, 1246–1254. [Google Scholar] [CrossRef]
- Ladányi, A.; Somlai, B.; Gilde, K.; Fejös, Z.; Gaudi, I.; Tímár, J. T-cell activation marker expression on tumor-infiltrating lymphocytes as prognostic factor in cutaneous malignant melanoma. Clin. Cancer Res. 2004, 10, 521–530. [Google Scholar] [CrossRef]
- Maibach, F.; Sadozai, H.; Seyed Jafari, S.M.; Hunger, R.E.; Schenk, M. Tumor-Infiltrating Lymphocytes and Their Prognostic Value in Cutaneous Melanoma. Front. Immunol. 2020, 11, 2105. [Google Scholar] [CrossRef] [PubMed]
- Stein, J.; Soni, A.; Danilova, L.; Cottrell, T.; Gajewski, T.; Hodi, F.; Bhatia, S.; Urba, W.; Sharfman, W.; Wind-Rotolo, M.; et al. Major pathologic response on biopsy (MPRbx) in patients with advanced melanoma treated with anti-PD-1: Evidence for an early, on-therapy biomarker of response. Ann. Oncol. 2019, 30, 589–596. [Google Scholar] [CrossRef]
- Chen, P.-L.; Roh, W.; Reuben, A.; Cooper, Z.A.; Spencer, C.N.; Prieto, P.A.; Miller, J.P.; Bassett, R.L.; Gopalakrishnan, V.; Wani, K.; et al. Analysis of Immune Signatures in Longitudinal Tumor Samples Yields Insight into Biomarkers of Response and Mechanisms of Resistance to Immune Checkpoint Blockade. Cancer Discov. 2016, 6, 827–837. [Google Scholar] [CrossRef]
- Hoppe, R.T.; Medeiros, L.J.; Warnke, R.A.; Wood, G.S. CD8-positive tumor-infiltrating lymphocytes influence the long-term survival of patients with mycosis fungoides. J. Am. Acad. Dermatol. 1995, 32, 448–453. [Google Scholar] [CrossRef]
- Accart, N.; Urosevic-Maiwald, M.; Dummer, R.; Bataille, V.; Kehrer, N.; Niculescu, C.; Limacher, J.-M.; Chenard, M.-P.; Bonnefoy, J.-Y.; Rooke, R. Lymphocytic infiltration in the cutaneous lymphoma microenvironment after injection of TG1042. J. Transl. Med. 2013, 11, 226. [Google Scholar] [CrossRef]
- Shaver, K.A.; Croom-Perez, T.J.; Copik, A.J. Natural Killer Cells: The Linchpin for Successful Cancer Immunotherapy. Front. Immunol. 2021, 12, 679117. [Google Scholar] [CrossRef]
- Barry, K.C.; Hsu, J.; Broz, M.L.; Cueto, F.J.; Binnewies, M.; Combes, A.J.; Nelson, A.E.; Loo, K.; Kumar, R.; Rosenblum, M.D.; et al. A natural killer–dendritic cell axis defines checkpoint therapy–responsive tumor microenvironments. Nat. Med. 2018, 24, 1178–1191. [Google Scholar] [CrossRef] [PubMed]
- Nersesian, S.; Schwartz, S.L.; Grantham, S.R.; MacLean, L.K.; Lee, S.N.; Pugh-Toole, M.; Boudreau, J.E. NK cell infiltration is associated with improved overall survival in solid cancers: A systematic review and meta-analysis. Transl. Oncol. 2021, 14, 100930. [Google Scholar] [CrossRef] [PubMed]
- Kruglov, O.; Johnson, L.D.S.; Minic, A.; Jordan, K.; Uger, R.A.; Wong, M.; Sievers, E.L.; Shou, Y.; Akilov, O.E. The pivotal role of cytotoxic NK cells in mediating the therapeutic effect of anti-CD47 therapy in mycosis fungoides. Cancer Immunol. Immunother. 2021, 71, 919–932. [Google Scholar] [CrossRef]
- Querfeld, C.; Thompson, J.A.; Taylor, M.H.; DeSimone, J.A.; Zain, J.M.; Shustov, A.R.; Johns, C.; McCann, S.; Lin, G.H.; Petrova, P.S.; et al. Intralesional TTI-621, a novel biologic targeting the innate immune checkpoint CD47, in patients with relapsed or refractory mycosis fungoides or Sézary syndrome: A multicentre, phase 1 study. Lancet Haematol. 2021, 8, e808-e17. [Google Scholar] [CrossRef] [PubMed]
- Durgin, J.S.; Weiner, D.M.; Wysocka, M.; Rook, A.H. The immunopathogenesis and immunotherapy of cutaneous T cell lymphoma: Pathways and targets for immune restoration and tumor eradication. J. Am. Acad. Dermatol. 2021, 84, 587–595. [Google Scholar] [CrossRef]
- Zaki, M.A.A.; Wada, N.; Ikeda, J.; Shibayama, H.; Hashimoto, K.; Yamagami, T.; Tatsumi, Y.; Tsukaguchi, M.; Take, H.; Tsudo, M.; et al. Prognostic implication of types of tumor-associated macrophages in Hodgkin lymphoma. Virchows Arch. 2011, 459, 361–366. [Google Scholar] [CrossRef]
- Hourani, T.; Holden, J.A.; Li, W.; Lenzo, J.C.; Hadjigol, S.; O’Brien-Simpson, N.M. Tumor Associated Macrophages: Origin, Recruitment, Phenotypic Diversity, and Targeting. Front. Oncol. 2021, 11, 788365. [Google Scholar] [CrossRef]
- Nath, K.; Tsang, H.; Gandhi, M.K. Tumor microenvironment of follicular lymphoma. Ann. Lymphoma 2021, 5, 1–19. [Google Scholar] [CrossRef]
- Dupuis, F.; Lamant, L.; Gerard, E.; Torossian, N.; Chaltiel, L.; Filleron, T.; Beylot-Barry, M.; Dutriaux, C.; Prey, S.; Gros, A.; et al. Clinical, histological and molecular predictors of metastatic melanoma responses to anti-PD-1 immunotherapy. Br. J. Cancer 2018, 119, 193–199. [Google Scholar] [CrossRef]
- Uppaluri, R.; Campbell, K.M.; Egloff, A.M.; Zolkind, P.; Skidmore, Z.L.; Nussenbaum, B.; Paniello, R.C.; Rich, J.T.; Jackson, R.; Pipkorn, P.; et al. Neoadjuvant and Adjuvant Pembrolizumab in Resectable Locally Advanced, Human Papillomavirus-Unrelated Head and Neck Cancer: A Multicenter, Phase II Trial. Clin. Cancer Res. 2020, 26, 5140–5152. [Google Scholar] [CrossRef] [PubMed]
- El-Guindy, D.M.; Elgarhy, L.H.; Elkholy, R.A.; Ali, D.A.; Helal, D.S. Potential role of tumor-associated macrophages and CD163/CD68 ratio in mycosis fungoides and Sézary syndrome in correlation with serum sCD163 and CCL22. J. Cutan. Pathol. 2022, 49, 261–273. [Google Scholar] [CrossRef]
- Furudate, S.; Fujimura, T.; Kakizaki, A.; Hidaka, T.; Asano, M.; Aiba, S. Tumor-associated M2 macrophages in mycosis fungoides acquire immunomodulatory function by interferon alpha and interferon gamma. J. Dermatol. Sci. 2016, 83, 182–189. [Google Scholar] [CrossRef] [PubMed]
- Assaf, C.; Booken, N.; Dippel, E.; Dobos, G.; Eich, H.; Klemke, C.; Mitteldorf, C.; Nicolay, J.P.; Theurich, S.; Wobser, M.; et al. Practical recommendations for therapy and monitoring of mogamulizumab patients in Germany. J. Dtsch. Dermatol. Ges. 2025, 23, 341–354. [Google Scholar] [CrossRef] [PubMed]
- Jiang, T.T.; Kruglov, O.; Akilov, O.E. Unleashed monocytic engagement in Sézary syndrome during the combination of anti-CCR4 antibody with type I interferon. Blood Adv. 2024, 8, 2384–2397. [Google Scholar] [CrossRef]
- Reizis, B.; Bunin, A.; Ghosh, H.S.; Lewis, K.L.; Sisirak, V. Plasmacytoid Dendritic Cells: Recent Progress and Open Questions. Annu. Rev. Immunol. 2011, 29, 163–183. [Google Scholar] [CrossRef]
- Werner, F.; Wagner, C.; Simon, M.; Glatz, K.; Mertz, K.D.; Läubli, H.; Griss, J.; Wagner, S.N. A Standardized Analysis of Tertiary Lymphoid Structures in Human Melanoma: Disease Progression- and Tumor Site-Associated Changes With Germinal Center Alteration. Front. Immunol. 2021, 12, 675146. [Google Scholar] [CrossRef]
- Sawant, A.; Ponnazhagan, S. Role of plasmacytoid dendritic cells in breast cancer bone dissemination. Oncoimmunology 2013, 2, e22983. [Google Scholar] [CrossRef]
- Han, N.; Zhang, Z.; Liu, S.; Ow, A.; Ruan, M.; Yang, W.; Zhang, C. Increased tumor-infiltrating plasmacytoid dendritic cells predicts poor prognosis in oral squamous cell carcinoma. Arch. Oral. Biol. 2017, 78, 129–134. [Google Scholar] [CrossRef]
- Labidi-Galy, S.I.; Treilleux, I.; Goddard-Leon, S.; Combes, J.-D.; Blay, J.-Y.; Ray-Coquard, I.; Caux, C.; Bendriss-Vermare, N. Plasmacytoid dendritic cells infiltrating ovarian cancer are associated with poor prognosis. Oncoimmunology 2012, 1, 380–382. [Google Scholar] [CrossRef]
- Jensen, T.O.; Schmidt, H.; Møller, H.J.; Donskov, F.; Høyer, M.; Sjoegren, P.; Christensen, J.; Steiniche, T. Intratumoral neutrophils and plasmacytoid dendritic cells indicate poor prognosis and are associated with pSTAT3 expression in AJCC stage I/II melanoma. Cancer 2012, 118, 2476–2485. [Google Scholar] [CrossRef] [PubMed]
- Chevolet, I.; Speeckaert, R.; Schreuer, M.; Neyns, B.; Krysko, O.; Bachert, C.; Van Gele, M.; van Geel, N.; Brochez, L. Clinical significance of plasmacytoid dendritic cells and myeloid-derived suppressor cells in melanoma. J. Transl. Med. 2015, 13, 9. [Google Scholar] [CrossRef]
- Aspord, C.; Leccia, M.T.; Charles, J.; Plumas, J. Plasmacytoid dendritic cells support melanoma progression by promoting Th2 and regulatory immunity through OX40L and ICOSL. Cancer Immunol. Res. 2013, 1, 402–415. [Google Scholar] [CrossRef]
- Karta, J.; Bossicard, Y.; Kotzamanis, K.; Dolznig, H.; Letellier, E. Mapping the Metabolic Networks of Tumor Cells and Cancer-Associated Fibroblasts. Cells 2021, 10, 304. [Google Scholar] [CrossRef] [PubMed]
- Maller, O.; DuFort, C.C.; Weaver, V.M. YAP forces fibroblasts to feel the tension. Nat. Cell Biol. 2013, 15, 570–572. [Google Scholar] [CrossRef]
- Nelson, W.J. Regulation of cell-cell adhesion by the cadherin-catenin complex. Biochem. Soc. Trans. 2008, 36 Pt 2, 149–155. [Google Scholar] [CrossRef] [PubMed]
- Otranto, M.; Sarrazy, V.; Bonté, F.; Hinz, B.; Gabbiani, G.; Desmoulière, A. The role of the myofibroblast in tumor stroma remodeling. Cell Adh Migr. 2012, 6, 203–219. [Google Scholar] [CrossRef]
- Naik, P.P. Cutaneous Malignant Melanoma: A Review of Early Diagnosis and Management. World J. Oncol. 2021, 12, 7–19. [Google Scholar] [CrossRef]
- Aronovich, A.; Moyal, L.; Gorovitz, B.; Amitay-Laish, I.; Naveh, H.P.; Forer, Y.; Maron, L.; Knaneh, J.; Ad-El, D.; Yaacobi, D.; et al. Cancer-Associated Fibroblasts in Mycosis Fungoides Promote Tumor Cell Migration and Drug Resistance through CXCL12/CXCR4. J. Investig. Dermatol. 2021, 141, 619–627.e2. [Google Scholar] [CrossRef]
- Griss, J.; Bauer, W.; Wagner, C.; Simon, M.; Chen, M.; Grabmeier-Pfistershammer, K.; Maurer-Granofszky, M.; Roka, F.; Penz, T.; Bock, C.; et al. B cells sustain inflammation and predict response to immune checkpoint blockade in human melanoma. Nat. Commun. 2019, 10, 4186. [Google Scholar] [CrossRef]
- Nielsen, P.; Eriksen, J.; Sørensen, M.; Wehkamp, U.; Lindahl, L.; Bzorek, M.; Iversen, L.; Woetman, A.; Ødum, N.; Litman, T.; et al. Role of B-cells in Mycosis Fungoides. Acta Derm. Venereol. 2021, 101, adv00413. [Google Scholar] [CrossRef]
- Theurich, S.; Schlaak, M.; Steguweit, H.; Heukamp, L.C.; Wennhold, K.; Kurschat, P.; Rabenhorst, A.; Hartmann, K.; Schlösser, H.; Shimabukuro-Vornhagen, A.; et al. Targeting Tumor-Infiltrating B Cells in Cutaneous T-Cell Lymphoma. J. Clin. Oncol. 2016, 34, e110–e116. [Google Scholar] [CrossRef] [PubMed]
- Li, R.; Strobl, J.; Poyner, E.F.M.; Balbaa, A.; Torabi, F.; Mazin, P.V.; Chipampe, N.-J.; Stephenson, E.; Ramírez-Suástegi, C.; Shanmugiah, V.B.M.; et al. Cutaneous T cell lymphoma atlas reveals malignant T(H)2 cells supported by a B cell-rich tumor microenvironment. Nat. Immunol. 2024, 25, 2320–2330. [Google Scholar] [CrossRef] [PubMed]
- Akatsuka, T.; Miyagaki, T.; Nakajima, R.; Kamijo, H.; Oka, T.; Takahashi, N.; Suga, H.; Yoshizaki, A.; Asano, Y.; Sugaya, M.; et al. Decreased IL-10-producing regulatory B cells in patients with advanced mycosis fungoides. Eur. J. Dermatol. 2018, 28, 314–319. [Google Scholar] [CrossRef] [PubMed]
- Jacquelot, N.; Tellier, J.; Sl, N.; Gt, B. Tertiary lymphoid structures and B lymphocytes in cancer prognosis and response to immunotherapies. Oncoimmunology 2021, 10, 1900508. [Google Scholar]
- Tokunaga, R.; Nakagawa, S.; Sakamoto, Y.; Nakamura, K.; Naseem, M.; Izumi, D.; Kosumi, K.; Taki, K.; Higashi, T.; Miyata, T.; et al. 12-Chemokine signature, a predictor of tumor recurrence in colorectal cancer. Int. J. Cancer 2020, 147, 532–541. [Google Scholar] [CrossRef]
- Prabhakaran, S.; Rizk, V.T.; Ma, Z.; Cheng, C.-H.; Berglund, A.E.; Coppola, D.; Khalil, F.; Mulé, J.J.; Soliman, H.H. Evaluation of invasive breast cancer samples using a 12-chemokine gene expression score: Correlation with clinical outcomes. Breast Cancer Res. 2017, 19, 71. [Google Scholar] [CrossRef]
- Phillips, D.; Matusiak, M.; Gutierrez, B.R.; Bhate, S.S.; Barlow, G.L.; Jiang, S.; Demeter, J.; Smythe, K.S.; Pierce, R.H.; Fling, S.P.; et al. Immune cell topography predicts response to PD-1 blockade in cutaneous T cell lymphoma. Nat. Commun. 2021, 12, 6726. [Google Scholar] [CrossRef]
- Pivetta, E.; Spessotto, P. Multispectral imaging technology: Visualize, analyze, phenotyping, and quantify immune cells in situ. Int. J. Biol. Markers 2020, 35 (Suppl. S1), 26–30. [Google Scholar] [CrossRef]
- Feng, Z.; Jensen, S.M.; Messenheimer, D.J.; Farhad, M.; Neuberger, M.; Bifulco, C.B.; Fox, B.A. Multispectral imaging of T and B cells in murine spleen and tumor. J. Immunol. 2016, 196, 3943–3950. [Google Scholar] [CrossRef]
- Stadler, R. Inhibition of the CD47-SIRPα axis by TTI-621 to treat relapsed or refractory mycosis fungoides or Sézary syndrome. Lancet Haematol. 2021, 8, e779–e781. [Google Scholar] [CrossRef]
- Jawed, S.I.; Myskowski, P.L.; Horwitz, S.; Moskowitz, A.; Querfeld, C. Primary cutaneous T-cell lymphoma (mycosis fungoides and Sézary syndrome): Part I. Diagnosis: Clinical and histopathologic features and new molecular and biologic markers. J. Am. Acad. Dermatol. 2014, 70, 205.e1–205.e16. [Google Scholar] [CrossRef] [PubMed]
- de Masson, A.; O’mAlley, J.T.; Elco, C.P.; Garcia, S.S.; Divito, S.J.; Lowry, E.L.; Tawa, M.; Fisher, D.C.; Devlin, P.M.; Teague, J.E.; et al. High-throughput sequencing of the T cell receptor β gene identifies aggressive early-stage mycosis fungoides. Sci. Transl. Med. 2018, 10, eaar5894. [Google Scholar] [CrossRef] [PubMed]
- Cieslak, C.; Hain, C.; Rückert-Reed, C.; Busche, T.; Klages, L.J.; Schaper-Gerhardt, K.; Gutzmer, R.; Kalinowski, J.; Stadler, R. Nanopore Sequencing for T-Cell Receptor Rearrangement Analysis in Cutaneous T-Cell Lymphoma. Cancers 2024, 16, 3700. [Google Scholar] [CrossRef]
- Fujii, K.; Kanekura, T. Next-Generation Sequencing Technologies for Early-Stage Cutaneous T-Cell Lymphoma. Front. Med. 2019, 6, 181. [Google Scholar] [CrossRef] [PubMed]
- Alkon, N.; Chennareddy, S.; Cohenour, E.R.; Ruggiero, J.R.; Stingl, G.; Bangert, C.; Rindler, K.; Bauer, W.M.; Weninger, W.; Griss, J.; et al. Single-cell sequencing delineates T-cell clonality and pathogenesis of the parapsoriasis disease group. J. Allergy Clin. Immunol. 2025, 155, 461–478. [Google Scholar] [CrossRef]
- Martínez-Vila, C.; Teixido, C.; Aya, F.; Martín, R.; González-Navarro, E.A.; Alos, L.; Castrejon, N.; Arance, A. Detection of Circulating Tumor DNA in Liquid Biopsy: Current Techniques and Potential Applications in Melanoma. Int. J. Mol. Sci. 2025, 26, 861. [Google Scholar] [CrossRef]



| Cell Type/Structure | Melanoma Prognostic Role | MF Prognostic Role | Unmet Clinical/Research Needs in MF |
|---|---|---|---|
| CD8+ tumor-associated lymphocytes (TILs) | High density is associated with favorable prognosis and improved immunotherapy response. | Presence and spatial organization may predict outcome, but findings are inconsistent across stages. | Standardized methods to assess spatial distribution and functionality; correlation with response to immunotherapy. |
| Natural killer (NK) cells | Low frequency and impaired function correlate with worse outcomes | Can lyse malignant cells, but reduced cytotoxic activity may accompany disease progression. | Better characterization of NK subsets and their interaction with malignant T-cells in MF lesions. |
| Histiocytes/tumor-associated macrophages (TAMs) | M2-like polarization linked to poor prognosis and immune evasion. | TAMs exhibit M2-skewed, immunosuppressive phenotype contributing to progression. | Functional profiling of TAMs in early vs. advanced MF; role in immunotherapy resistance. |
| Plasmacytoid dendritic cells (pDCs) | Produce type I IFNs, may support both antitumor immunity and immune suppression. | Accumulate in MF lesions; implicated in immune suppression and poorer outcomes. | Need for mechanistic studies defining pDC function and impact on immunotherapy. |
| Cancer-associated fibroblasts (CAFs) | Promote fibrosis, tumor growth, and resistance to therapy. | Contribute to dermal fibrosis and immune modulation; associated with worse prognosis. | Lack of spatial/functional profiling in MF; role in creating immune-excluding niches. |
| B cells | Dual role: antibody production (anti-tumor) vs. regulatory B cells (pro-tumor); context-dependent. | High intratumoral B cell density correlates with poor prognosis in advanced MF and large-cell transformation. | Further stratification by MF stage; mechanisms of Th2 support and potential for targeting B cell interactions. |
| Tertiary lymphoid structures (TLSs) | Associated with improved immune infiltration and ICI response. | Rarely observed; emerging evidence suggests a role in antitumor immunity but not well-defined. | Larger studies needed to determine TLS presence, structure, and prognostic value in MF. |
Disclaimer/Publisher’s Note: The statements, opinions and data contained in all publications are solely those of the individual author(s) and contributor(s) and not of MDPI and/or the editor(s). MDPI and/or the editor(s) disclaim responsibility for any injury to people or property resulting from any ideas, methods, instructions or products referred to in the content. |
© 2025 by the authors. Published by MDPI on behalf of the European Society of Dermatopathology. Licensee MDPI, Basel, Switzerland. This article is an open access article distributed under the terms and conditions of the Creative Commons Attribution (CC BY) license (https://creativecommons.org/licenses/by/4.0/).
Share and Cite
Xiao, A.; Karunamurthy, A.; Akilov, O. Dermatopathological Challenges in Objectively Characterizing Immunotherapy Response in Mycosis Fungoides. Dermatopathology 2025, 12, 22. https://doi.org/10.3390/dermatopathology12030022
Xiao A, Karunamurthy A, Akilov O. Dermatopathological Challenges in Objectively Characterizing Immunotherapy Response in Mycosis Fungoides. Dermatopathology. 2025; 12(3):22. https://doi.org/10.3390/dermatopathology12030022
Chicago/Turabian StyleXiao, Amy, Arivarasan Karunamurthy, and Oleg Akilov. 2025. "Dermatopathological Challenges in Objectively Characterizing Immunotherapy Response in Mycosis Fungoides" Dermatopathology 12, no. 3: 22. https://doi.org/10.3390/dermatopathology12030022
APA StyleXiao, A., Karunamurthy, A., & Akilov, O. (2025). Dermatopathological Challenges in Objectively Characterizing Immunotherapy Response in Mycosis Fungoides. Dermatopathology, 12(3), 22. https://doi.org/10.3390/dermatopathology12030022

