Neuromyelitis Optica Spectrum Disorder with Sick Sinus Syndrome: Two Cases and a Literature Review
Abstract
:1. Introduction
2. Methods
- At least one core clinical characteristic.
- Positive test for AQP4-IgG using the best available detection method (a cell-based assay is strongly recommended).
- Exclusion of alternative diagnoses.
- Optic neuritis;
- Acute myelitis;
- Area postrema syndrome—an episode of otherwise unexplained hiccups or nausea and vomiting;
- Acute brain stem syndrome;
- Symptomatic narcolepsy or acute diencephalic clinical syndrome with NMOSD-typical diencephalic MRI lesions;
- Symptomatic cerebral syndrome with NMOSD-typical brain lesions.
3. Results
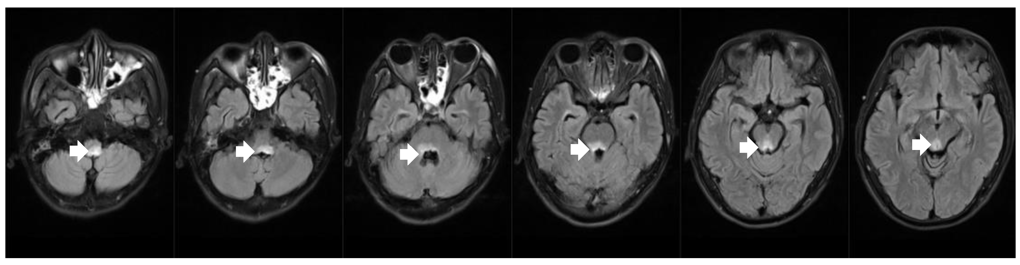
3.1. Case 1
3.2. Case 2
4. Discussion
5. Conclusions
Author Contributions
Funding
Institutional Review Board Statement
Informed Consent Statement
Data Availability Statement
Conflicts of Interest
Abbreviations:
| NMOSD | Neuromyelitis optica spectrum disorder |
| CNS | central nervous system |
| SSS | sick sinus syndrome |
| MRI | magnetic resonance imaging |
| IVIG | intravenous immunoglobulin |
| ICU | intensive care unit |
| AQP4-IgG | anti-aquaporin-4 immunoglobulin |
| ECG | electrocardiograph |
| APS | area postrema syndrome |
| IVMP | intravenous methylprednisolone |
| PE | plasma exchange |
| CHD | coronary heart disease |
| NST | nucleus of the solitary tract |
| NA | nucleus ambiguus |
| DMV | dorsal motor nucleus of the vagus |
| RVLM | rostral ventrolateral medulla |
| FLAIR | fluid attenuated inversion recovery |
References
- Kitley, J.; Waters, P.; Woodhall, M.; Leite, M.I.; Murchison, A.; George, J.; Küker, W.; Chandratre, S.; Vincent, A.; Palace, J. Neuromyelitis Optica Spectrum Disorders with Aquaporin-4 and Myelin-Oligodendrocyte Glycoprotein Antibodies: A Comparative Study. JAMA Neurol. 2014, 71, 276–283. [Google Scholar] [CrossRef] [PubMed]
- Jensen, P.N.; Gronroos, N.N.; Chen, L.Y.; Folsom, A.R.; deFilippi, C.; Heckbert, S.R.; Alonso, A. Incidence of and Risk Factors for Sick Sinus Syndrome in the General Population. J. Am. Coll. Cardiol. 2014, 64, 531–538. [Google Scholar] [CrossRef]
- Wingerchuk, D.M.; Banwell, B.; Bennett, J.L.; Cabre, P.; Carroll, W.; Chitnis, T.; de Seze, J.; Fujihara, K.; Greenberg, B.; Jacob, A.; et al. International consensus diagnostic criteria for neuromyelitis optica spectrum disorders. Neurology 2015, 85, 177–189. [Google Scholar] [CrossRef]
- Okada, S.; Takarabe, S.; Nogawa, S.; Abe, T.; Morishita, T.; Mori, M.; Nishida, J. Persistent Hiccups Followed by Cardiorespiratory Arrest. Lancet 2012, 380, 1444. [Google Scholar] [CrossRef] [PubMed]
- Talhami, A.; Lützen, N.; Grundmann, S.; Niesen, W.-D.; Berger, B. Near-Fatal Primary Manifestation of Anti-Aquaporin 4-Positive Neuromyelitis Optica Spectrum Disorder Survived without Neurological Sequelae: A Case Report. J. Neurol. Sci. 2020, 412, 116797. [Google Scholar] [CrossRef]
- Ryouhei, K.; Norio, C.; Atsushi, H.; Satosh, F.; Naokazu, M.; Kazutaka, N.; Takehiro, U.; Kenji, S.; Riki, M. A case of area postrema syndrome associated with sick sinus syndrome in an elderly patient with neuromyelitis optica spectrum disorder: Case report. Neurol. Clin. Neurosci. 2020, 8, 183–185. [Google Scholar] [CrossRef]
- Kazumasa, O.; Masako, K.; Satoshi, N. Neuromyelitis Optica Spectrum Disorder with Area Postrema Syndrome. Neurol. Clin. Pract. 2019, 9, 173–175. [Google Scholar] [CrossRef]
- Tsouris, Z.; Dastamani, M.; Siokas, V.; Aloizou, A.-M.; Zagouras, A.; Provatas, A.; Tsimourtou, V.; Dardiotis, E. Recurrent Episodes of Syncope Requiring Pacemaker Implantation as an Initial Presentation of Neuromyelitis Optica Spectrum Disorder. Mult. Scler. Relat. Disord. 2020, 45, 102423. [Google Scholar] [CrossRef] [PubMed]
- Hamaguchi, M.; Fujita, H.; Suzuki, T.; Suzuki, K. Sick Sinus Syndrome as the Initial Manifestation of Neuromyelitis Optica Spectrum Disorder: A Case Report. BMC Neurol. 2022, 22, 56. [Google Scholar] [CrossRef] [PubMed]
- Bigi, S.; Makhani, N.; Banwell, B. Hiccups, Vomiting and the Brain. Neuropediatrics 2012, 43, PS16_09. [Google Scholar] [CrossRef]
- Endo, Y.; Hayashi, K.; Ikawa, M.; Yamamura, O.; Ookura, K.; Hamano, T. A case of neuromyelitis optica spectrum disorder with persistent nausea and repeated syncope. Rinsho Shinkeigaku 2020, 60, 142–145. [Google Scholar] [CrossRef]
- Quek, A.M.L.; McKeon, A.; Lennon, V.A.; Mandrekar, J.N.; Iorio, R.; Jiao, Y.; Costanzi, C.; Weinshenker, B.G.; Wingerchuk, D.M.; Lucchinetti, C.F.; et al. Effects of Age and Sex on Aquaporin-4 Autoimmunity. Arch. Neurol. 2012, 69, 1039–1043. [Google Scholar] [CrossRef] [PubMed]
- Nytrova, P.; Dolezal, O. Sex Bias in Multiple Sclerosis and Neuromyelitis Optica Spectrum Disorders: How It Influences Clinical Course, MRI Parameters and Prognosis. Front. Immunol. 2022, 13, 933415. [Google Scholar] [CrossRef]
- Carnero Contentti, E.; Correale, J. Neuromyelitis Optica Spectrum Disorders: From Pathophysiology to Therapeutic Strategies. J. Neuroinflamm. 2021, 18, 208. [Google Scholar] [CrossRef] [PubMed]
- Butler, T.L.; Au, C.G.; Yang, B.; Egan, J.R.; Tan, Y.M.; Hardeman, E.C.; North, K.N.; Verkman, A.S.; Winlaw, D.S. Cardiac Aquaporin Expression in Humans, Rats, and Mice. Am. J. Physiol. Heart Circ. Physiol. 2006, 291, H705–H713. [Google Scholar] [CrossRef] [PubMed]
- Cosgrove, J.; Alli, S.; Ramadan, H.; Ford, H.L. Myocarditis and Diffuse Skeletal Muscle Oedema: New Features of Neuromyelitis Optica Spectrum Disorder? A Case Report. Mult. Scler. 2014, 20, 120–122. [Google Scholar] [CrossRef] [PubMed]
- Palma, J.-A.; Benarroch, E.E. Neural Control of the Heart: Recent Concepts and Clinical Correlations. Neurology 2014, 83, 261–271. [Google Scholar] [CrossRef] [PubMed]
- Wehrwein, E.A.; Orer, H.S.; Barman, S.M. Overview of the Anatomy, Physiology, and Pharmacology of the Autonomic Nervous System. Compr. Physiol. 2016, 6, 1239–1278. [Google Scholar] [CrossRef] [PubMed]



| Patient No. | Age | Sex | Arrhythmia | Neurological Symptoms | MRI Findings | History of Heart Diseases | Treatment for NMOSD |
|---|---|---|---|---|---|---|---|
| 1 [4] | 78 | M | Cardiac arrest | Syncope, orthostatic hypotension, APS, lower limb weakness | Medulla oblongata and cervical cord | No | IVMP, IVIG |
| 2 [5] | 21 | F | Cardiac arrest | APS | Medulla oblongata | No | IVMP, RTX |
| 3 [6] | 77 | M | Sinus arrest | APS | Medulla oblongata | CHD | Oral prednisolone |
| 4 [7] | 61 | F | Sinus arrest | Syncope, APS | Medulla oblongata | No | IVMP |
| 5 [8] | 42 | M | Sinus arrest | Syncope, APS, left optic neuritis | Medulla oblongata and left optic nerve | No | IVMP |
| 6 [9] | 77 | F | Sinus arrest | Syncope, APS, limb weakness | Medulla oblongata and cervical cord | No | IVMP, PE |
| 7 [10] | 16 | M | Sinus bradycardia | APS | Medulla oblongata | No | IVMP |
| 8 [11] | 22 | F | Sinus arrest | APS, syncope, diplopia and hypesthesia | Medulla oblongata and cervical cord | No | IVMP |
| 9 | 45 | M | Sinus arrest | Syncope, APS | Medulla oblongata | No | IVMP, IVIG |
| 10 | 26 | M | Cardiac arrest | APS, limbs weakness, dysphagia, diplopia | Medulla oblongata, pons and mesencephalon | No | IVMP, PE, IVIG |
Disclaimer/Publisher’s Note: The statements, opinions and data contained in all publications are solely those of the individual author(s) and contributor(s) and not of MDPI and/or the editor(s). MDPI and/or the editor(s) disclaim responsibility for any injury to people or property resulting from any ideas, methods, instructions or products referred to in the content. |
© 2023 by the authors. Licensee MDPI, Basel, Switzerland. This article is an open access article distributed under the terms and conditions of the Creative Commons Attribution (CC BY) license (https://creativecommons.org/licenses/by/4.0/).
Share and Cite
Lin, H.; Duan, X.; Li, L.; Ye, J.; Xiao, H. Neuromyelitis Optica Spectrum Disorder with Sick Sinus Syndrome: Two Cases and a Literature Review. Healthcare 2023, 11, 2810. https://doi.org/10.3390/healthcare11212810
Lin H, Duan X, Li L, Ye J, Xiao H. Neuromyelitis Optica Spectrum Disorder with Sick Sinus Syndrome: Two Cases and a Literature Review. Healthcare. 2023; 11(21):2810. https://doi.org/10.3390/healthcare11212810
Chicago/Turabian StyleLin, Huiting, Xinyi Duan, Lina Li, Jinhao Ye, and Haibing Xiao. 2023. "Neuromyelitis Optica Spectrum Disorder with Sick Sinus Syndrome: Two Cases and a Literature Review" Healthcare 11, no. 21: 2810. https://doi.org/10.3390/healthcare11212810
APA StyleLin, H., Duan, X., Li, L., Ye, J., & Xiao, H. (2023). Neuromyelitis Optica Spectrum Disorder with Sick Sinus Syndrome: Two Cases and a Literature Review. Healthcare, 11(21), 2810. https://doi.org/10.3390/healthcare11212810

