A Collaborative Federated Learning Framework for Lung and Colon Cancer Classifications
Abstract
1. Introduction
- (1)
- A robust federated learning architecture was designed and developed, particularly for medical image classification, which is demonstrated through lung and colon cancer classifications. The framework seamlessly consolidated data from many healthcare organizations while upholding data privacy and security regulations.
- (2)
- The federated learning workflow was streamlined for smooth global model updates after each communication round, with local model weights adjusted to align with the global model. A comprehensive evaluation process was also applied, assessing each client’s model performance after every training epoch, enhancing transparency and identifying performance variations or underperforming clients.
- (3)
- Explainable AI techniques were integrated to provide visual and quantitative insights into the model’s decision-making process and provide further interpretability.
- (4)
- The performance of the proposed federated learning (FL) model is evaluated against well-known transfer learning (TL) models and other current state-of-the-art (SOTA) approaches.
2. Literature Survey
2.1. Lung and Colon Cancer Diagnoses
- (1)
- Data Privacy Concerns: Many existing models require centralized data collection, where medical images from different institutions are pooled together in a single repository. This raises serious privacy concerns, especially in healthcare, where patient data are highly sensitive. Centralized models can be susceptible to data breaches and may not comply with regulations such as HIPAA or GDPR.
- (2)
- Limited Generalization: Centralized models are often trained on data from a limited number of sources or geographic locations, which can result in poor generalizability to other patient populations. This lack of diversity in the training data can lead to biases and reduced effectiveness when applied to new datasets, limiting the model’s ability to handle variations in medical imaging from different institutions or regions.
- (3)
- Computational Requirements: Modern models for cancer classification, such as deep convolutional neural networks (CNNs), demand significant computational resources. This can be a barrier for smaller institutions with limited access to high-performance computing infrastructure. Moreover, training large-scale models can be time-consuming and energy-intensive.
- (4)
- Imbalance in Class Distribution: Medical datasets, including lung and colon cancer imaging datasets, often suffer from class imbalance, where the number of images of cancerous tissues is much lower than that of non-cancerous ones. This imbalance can bias the model, making it more likely to misclassify cancer cases, which is especially problematic in clinical settings where false negatives can be life-threatening. Work reported by You et al. [23] introduced adaptive anatomical contrast with a dynamic contrastive loss, which better handles class imbalances in long-tail distributions.
- (5)
- Difficulty in Handling Heterogeneous Data: Medical imaging data can be highly heterogeneous due to differences in imaging equipment, protocols, and settings across institutions. Current models may struggle to handle this heterogeneity, leading to reduced performance when applied to data from sources other than the training data.
2.2. Federated Learning Applications
- There is a noticeable absence of sufficient measures to guarantee the privacy and security of patient data.
- There are instances where the computational cost becomes considerably higher owing to the substantial increase in the data scale, making it challenging to maintain efficiency and performance.
3. Data and Methodology
3.1. Dataset, Preprocessing, and Splitting
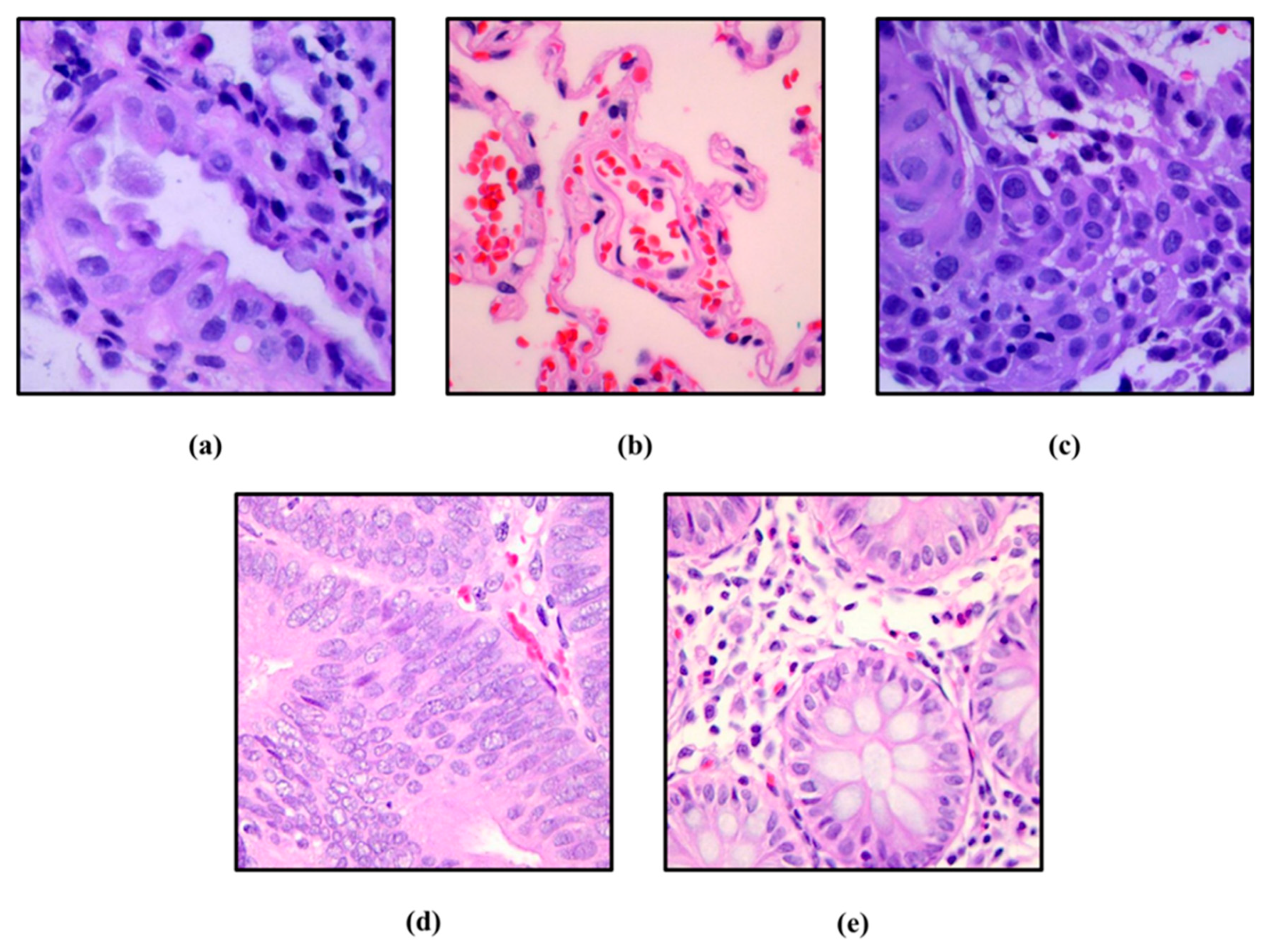
3.2. Description of the Classes
3.2.1. Lung Adenocarcinoma
3.2.2. Lung Benign
3.2.3. Lung Squamous Cell Carcinoma
3.2.4. Colon Adenocarcinoma
3.2.5. Colon Benign
3.3. Federated Learning (FL)
3.4. Inception-V3 Model
3.5. Proposed Workflow for FL
3.5.1. Local Device (Client) Creation
3.5.2. Integration of Inception-V3 and Its Configuration
3.5.3. Communication Rounds
3.6. Experimental Setup and Hyperparameter Settings
3.7. Evaluation Metrics
4. Experimental Results
4.1. Lung Cancer
4.2. Colon Cancer
4.3. Lung and Colon Cancers
4.4. Client-Wise Results
4.5. Explainable AI (XAI)
5. Discussion
5.1. Comparative Analysis
5.2. Strengths of the Proposed Model
5.3. Challenges in Federated Learning for Medical Diagnostics
5.4. Limitations and Future Work
6. Conclusions
Author Contributions
Funding
Institutional Review Board Statement
Informed Consent Statement
Data Availability Statement
Conflicts of Interest
Abbreviations
| Acronym | Stands for |
| ANN | Artificial Neural Network |
| CAD | Computer-aided Diagnosis |
| CNN | Convolutional Neural Network |
| CT | Computed Tomography |
| colon_aca | Colon Adenocarcinoma |
| colon_bnt | Colon Benign |
| DaaS | Data as a Service |
| DL | Deep Learning |
| DT | Decision Tree |
| ELM | Extreme Learning Machine |
| FL | Federated Learning |
| FedAvg | Federated Averaging |
| GDPR | General Data Protection Regulation |
| HIPAA | Health Insurance Portability and Accountability Act |
| IID | Independent and Identically Distributed |
| IoMT | The Internet of Medical Things |
| LCC | Large Cell Carcinoma |
| lung_aca | Lung Adenocarcinoma |
| lung_bnt | Lung Benign |
| lung_scc | Lung Squamous Cell Carcinoma |
| MRI | Magnetic Resonance Imaging |
| NSCLC | Non-small Cell Lung Cancer |
| RF | Random Forest |
| SCC | Squamous Cell Carcinoma |
| SGD | Stochastic Gradient Descent |
| TL | Transfer Learning |
| WHO | World Health Organization |
| XAI | Explainable Artificial Intelligence |
| XGBoost | Extreme Gradient Boosting |
References
- Bray, F.; Laversanne, M.; Sung, H.; Ferlay, J.; Siegel, R.L.; Soerjomataram, I.; Jemal, A. Global cancer statistics 2022: GLOBOCAN estimates of incidence and mortality worldwide for 36 cancers in 185 countries. CA A Cancer J. Clin. 2024, 74, 229–263. [Google Scholar] [CrossRef] [PubMed]
- Cancer Today. Available online: https://gco.iarc.fr/today/online-analysis-pie?v=2020&mode=cancer&mode_population=continents&population=900&populations=900&key=total&sex=0&cancer=39&type=0&statistic=5&prevalence=0&population_group=0&ages_group%5B%5D=0&ages_group%5B%5D=17&nb_items=7&group_cancer=1&include_nmsc=1&include_nmsc_other=1&half_pie=0&donut=0 (accessed on 13 January 2024).
- Xi, Y.; Xu, P. Global colorectal cancer burden in 2020 and projections to 2040. Transl. Oncol. 2021, 14, 101174. [Google Scholar] [CrossRef] [PubMed]
- Cancer. Available online: https://www.who.int/news-room/fact-sheets/detail/cancer (accessed on 13 January 2024).
- N.A. and R.A. Office of the Federal Register. Public Law 104-191-Health Insurance Portability and Accountability Act of 1996. govinfo.gov, August 1996. Available online: https://www.govinfo.gov/app/details/PLAW-104publ191 (accessed on 13 January 2024).
- I (Legislative Acts) Regulations Regulation (EU) 2016/679 of the European Parliament and of the Council of 27 April 2016 on the Protection of Natural Persons with Regard to the Processing of Personal Data and on the Free Movement of Such Data, and Repealing Directive 95/46/EC (General Data Protection Regulation) (Text with EEA Relevance)’. Available online: https://eur-lex.europa.eu/eli/reg/2016/679/oj (accessed on 10 January 2024).
- Masud, M.; Sikder, N.; Nahid, A.-A.; Bairagi, A.K.; Al Zain, M.A. A Machine Learning Approach to Diagnosing Lung and Colon Cancer Using a Deep Learning-Based Classification Framework. Sensors 2021, 21, 748. [Google Scholar] [CrossRef]
- Chehade, A.H.; Abdallah, N.; Marion, J.-M.; Oueidat, M.; Chauvet, P. Lung and colon cancer classification using medical imaging: A feature engineering approach. Phys. Eng. Sci. Med. 2022, 45, 729–746. [Google Scholar] [CrossRef]
- Mangal Engineerbabu, S.; Chaurasia Engineerbabu, A.; Khajanchi, A. Convolution Neural Networks for Diagnosing Colon and Lung Cancer Histopathological Images. September 2020. Available online: https://arxiv.org/abs/2009.03878v1 (accessed on 1 February 2024).
- Hadiyoso, S.; Aulia, S.; Irawati, I.D. Diagnosis of lung and colon cancer based on clinical pathology images using convolutional neural network and CLAHE framework. Int. J. Appl. Sci. Eng. 2023, 20, 1–7. [Google Scholar] [CrossRef]
- You, C.; Zhao, R.; Liu, F.; Dong, S.; Chinchali, S.; Topcu, U.; Staib, L.; Duncan, J. Class-aware adversarial transformers for medical imagesegmentation. Adv. Neural Inf. Process. Syst. 2022, 35, 29582–29596. [Google Scholar] [PubMed]
- You, C.; Xiang, J.; Su, K.; Zhang, X.; Dong, S.; Onofrey, J.; Staib, L.; Duncan, J.S. Incremental Learning Meets Transfer Learning: Application to Multi-Site Prostate MRI Segmentation; Springer: Cham, Switzerland, 2022; Volume 13573, pp. 3–16. [Google Scholar] [CrossRef]
- Mehmood, S.; Ghazal, T.M.; Khan, M.A.; Zubair, M.; Naseem, M.T.; Faiz, T.; Ahmad, M. Malignancy Detection in Lung and Colon Histopathology Images Using Transfer Learning with Class Selective Image Processing. IEEE Access 2022, 10, 25657–25668. [Google Scholar] [CrossRef]
- Toğaçar, M. Disease type detection in lung and colon cancer images using the complement approach of inefficient sets. Comput. Biol. Med. 2021, 137, 104827. [Google Scholar] [CrossRef]
- Kumar, N.; Sharma, M.; Singh, V.P.; Madan, C.; Mehandia, S. An empirical study of handcrafted and dense feature extraction techniques for lung and colon cancer classification from histopathological images. Biomed. Signal Process. Control 2022, 75, 103596. [Google Scholar] [CrossRef]
- Talukder, A.; Islam, M.; Uddin, A.; Akhter, A.; Hasan, K.F.; Moni, M.A. Machine learning-based lung and colon cancer detection using deep feature extraction and ensemble learning. Expert Syst. Appl. 2022, 205, 117695. [Google Scholar] [CrossRef]
- Al-Jabbar, M.; Alshahrani, M.; Senan, E.M.; Ahmed, I.A. Histopathological Analysis for Detecting Lung and Colon Cancer Malignancies Using Hybrid Systems with Fused Features. Bioengineering 2023, 10, 383. [Google Scholar] [CrossRef]
- Ananthakrishnan, B.; Shaik, A.; Chakrabarti, S.; Shukla, V.; Paul, D.; Kavitha, M.S. Smart Diagnosis of Adenocarcinoma Using Convolution Neural Networks and Support Vector Machines. Sustainability 2023, 15, 1399. [Google Scholar] [CrossRef]
- You, C.; Zhao, R.; Staib, L.H.; Duncan, J.S. Momentum Contrastive Voxel-Wise Representation Learning for Semi-Supervised Volumetric Medical Image Segmentation; Springer: Cham, Switzerland, 2022; Volume 13434, pp. 639–652. [Google Scholar] [CrossRef]
- You, C.; Zhou, Y.; Zhao, R.; Staib, L.; Duncan, J.S. SimCVD: Simple Contrastive Voxel-Wise Representation Distillation for Semi-Supervised Medical Image Segmentation. IEEE Trans. Med. Imaging 2022, 41, 2228–2237. [Google Scholar] [CrossRef] [PubMed]
- You, C.; Dai, W.; Min, Y.; Staib, L.; Duncan, J.S. Bootstrapping Semi-Supervised Medical Image Segmentation with Anatomical-Aware Contrastive Distillation; Springer: Cham, Switzerland, 2022; Volume 13939, pp. 641–653. [Google Scholar] [CrossRef]
- You, C.; Dai, W.; Min, Y.; Liu, F.; Clifton, D.A.; Zhou, S.K.; Staib, L.; Duncan, J.S. Rethinking Semi-Supervised Medical Image Segmentation: A Variance-Reduction Perspective. Adv. Neural Inf. Process. Syst. 2023, 36, 9984–10021. [Google Scholar]
- You, C.; Dai, W.; Min, Y.; Staib, L.; Sekhon, J.; Duncan, J.S. ACTION++: Improving Semi-Supervised Medical Image Segmentation with Adaptive Anatomical Contrast; Springer: Cham, Switzerland, 2023; Volume 14223, pp. 194–205. [Google Scholar] [CrossRef]
- Konečn, J.K.; Brendan, H.; Google, M.; Google, D.R.; Richtárik, P. Federated Optimization: Distributed Machine Learning for On-Device Intelligence. October 2016. Available online: https://arxiv.org/abs/1610.02527v1 (accessed on 1 February 2024).
- Konečn, J.; McMahan, H.B.; Yu, F.X.; Suresh, A.T.; Google, D.B.; Richtárik, P. Federated Learning: Strategies for Improving Communication Efficiency. October 2016. Available online: https://arxiv.org/abs/1610.05492v2 (accessed on 1 February 2024).
- Roth, H.R.; Chang, K.; Singh, P.; Neumark, N.; Li, W.; Gupta, V.; Gupta, S.; Qu, L.; Ihsani, A.; Bizzo, B.C.; et al. Federated Learning for Breast Density Classification: A Real-World Implementation; Springer: Cham, Switzerland, 2020; Volume 12444, pp. 181–191. [Google Scholar] [CrossRef]
- Florescu, L.M.; Streba, C.T.; Şerbănescu, M.-S.; Mămuleanu, M.; Florescu, D.N.; Teică, R.V.; Nica, R.E.; Gheonea, I.A.; Florescu, L.M.; Streba, C.T.; et al. Federated Learning Approach with Pre-Trained Deep Learning Models for COVID-19 Detection from Unsegmented CT images. Life 2022, 12, 958. [Google Scholar] [CrossRef]
- Hossain, M.; Ahamed, F.; Islam, R.; Imam, R. Privacy Preserving Federated Learning for Lung Cancer Classification. In Proceedings of the 2023 26th International Conference on Computer and Information Technology, ICCIT 2023, Cox’s Bazar, Bangladesh, 13–15 December 2023. [Google Scholar] [CrossRef]
- Zhang, W.; Zhou, T.; Lu, Q.; Wang, X.; Zhu, C.; Sun, H.; Wang, Z.; Lo, S.K.; Wang, F.-Y. Dynamic-Fusion-Based Federated Learning for COVID-19 Detection. IEEE Internet Things J. 2021, 8, 15884–15891. [Google Scholar] [CrossRef] [PubMed]
- Khan, T.A.; Fatima, A.; Shahzad, T.; Rahman, A.U.; Alissa, K.; Ghazal, T.M.; Al-Sakhnini, M.M.; Abbas, S.; Khan, M.A.; Ahmed, A. Secure IoMT for Disease Prediction Empowered with Transfer Learning in Healthcare 5.0, the Concept and Case Study. IEEE Access 2023, 11, 39418–39430. [Google Scholar] [CrossRef]
- Peyvandi, A.; Majidi, B.; Peyvandi, S.; Patra, J.C. Privacy-preserving federated learning for scalable and high data quality computational-intelligence-as-a-service in Society 5.0. Multimed. Tools Appl. 2022, 81, 25029–25050. [Google Scholar] [CrossRef] [PubMed]
- Borkowski, A.A.; Bui, M.M.; Thomas, L.B.; Wilson, C.P.; DeLand, L.A.; Mastorides, S.M. Lung and Colon Cancer Histopathological Image Dataset (LC25000). December 2019. Available online: https://arxiv.org/abs/1912.12142v1 (accessed on 1 February 2024).
- Bhimji, S.S.; Wallen, J.M. Lung Adenocarcinoma. StatPearls, June 2023. Available online: https://www.ncbi.nlm.nih.gov/books/NBK519578/ (accessed on 1 February 2024).
- Walser, T.; Cui, X.; Yanagawa, J.; Lee, J.M.; Heinrich, E.; Lee, G.; Sharma, S.; Dubinett, S.M. Smoking and Lung Cancer: The Role of Inflammation. Proc. Am. Thorac. Soc. 2008, 5, 811–815. [Google Scholar] [CrossRef]
- Ma, Z.; Zhang, M.; Liu, J.; Yang, A.; Li, H.; Wang, J.; Hua, D.; Li, M. An Assisted Diagnosis Model for Cancer Patients Based on Federated Learning. Front. Oncol. 2022, 12, 860532. [Google Scholar] [CrossRef]
- Szegedy, C.; Vanhoucke, V.; Ioffe, S.; Shlens, J.; Wojna, Z. Rethinking the Inception Architecture for Computer Vision. In Proceedings of the IEEE Conference on Computer Vision and Pattern Recognition (CVPR), Las Vegas, NV, USA, 27–30 June 2016; pp. 2818–2826. [Google Scholar] [CrossRef]
- Simonyan, K.; Zisserman, A. Very Deep Convolutional Networks for Large-Scale Image Recognition. 2015. Available online: http://www.robots.ox.ac.uk/ (accessed on 17 February 2024).
- He, K.; Zhang, X.; Ren, S.; Sun, J. Deep Residual Learning for Image Recognition. Available online: http://image-net.org/challenges/LSVRC/2015/ (accessed on 17 February 2024).
- Xie, S.; Girshick, R.; Dollár, P.; Tu, Z.; He, K. Aggregated Residual Transformations for Deep Neural Networks. In Proceedings of the 30th IEEE Conference on Computer Vision and Pattern Recognition, CVPR 2017, Honolulu, HI, USA, 21–26 July 2017; pp. 5987–5995. [Google Scholar] [CrossRef]
- Chollet, F. Xception: Deep Learning with Depthwise Separable Convolutions. In Proceedings of the 30th IEEE Conference on Computer Vision and Pattern Recognition, CVPR, Honolulu, HI, USA, 21–26 July 2017; pp. 1800–1807. [Google Scholar] [CrossRef]
- Ribeiro, M.; Singh, S.; Guestrin, C. “Why Should I Trust You?”: Explaining the Predictions of Any Classifier. In Proceedings of the 2016 Conference of the North American Chapter of the Association for Computational Linguistics: Demonstrations, San Diego, CA, USA, 12–17 June 2016; pp. 97–101. [Google Scholar] [CrossRef]
- Selvaraju, R.R.; Cogswell, M.; Das, A.; Vedantam, R.; Parikh, D.; Batra, D. Grad-CAM: Visual Explanations from Deep Networks via Gradient-based Localization. Int. J. Comput. Vis. 2016, 128, 336–359. [Google Scholar] [CrossRef]
- Tasnim, Z.; Chakraborty, S.; Shamrat, F.M.J.M.; Chowdhury, A.N.; Alam Nuha, H.; Karim, A.; Zahir, S.B.; Billah, M. Deep Learning Predictive Model for Colon Cancer Patient using CNN-based Classification. Int. J. Adv. Comput. Sci. Appl. 2021, 12. [Google Scholar] [CrossRef]
- Shandilya, S.; Nayak, S.R. Analysis of Lung Cancer by Using Deep Neural Network; Springer: Singapore, 2022; Volume 814, pp. 427–436. [Google Scholar] [CrossRef]
- Karim, D.Z.; Bushra, T.A. Detecting Lung Cancer from Histopathological Images using Convolution Neural Network. In Proceedings of the IEEE Region 10 Annual International Conference, Proceedings/TENCON, Auckland, New Zealand, 7–10 December 2021; pp. 626–631. [Google Scholar] [CrossRef]
- Raju, M.S.N.; Rao, B.S. Lung and colon cancer classification using hybrid principle component analysis network-extreme learning machine. Concurr. Comput. Pr. Exp. 2022, 35, e7361. [Google Scholar] [CrossRef]
- Ren, Z.; Zhang, Y.; Wang, S. A Hybrid Framework for Lung Cancer Classification. Electronics 2022, 11, 1614. [Google Scholar] [CrossRef]
- Attallah, O.; Aslan, M.F.; Sabanci, K. A Framework for Lung and Colon Cancer Diagnosis via Lightweight Deep Learning Models and Transformation Methods. Diagnostics 2022, 12, 2926. [Google Scholar] [CrossRef] [PubMed]















| Previous Study | Main Contribution of the Research | Limitations of the Work |
|---|---|---|
| Zhang et al. [29] | Dynamic fusion-based approach for CT scan image analysis to diagnose COVID-19. | Concerns regarding the appropriateness of controls for patient data privacy and authenticity. |
| Roth et al. [26] | In a real-world collaborative setting, the author employed FL to develop medical imaging classification models. | The proposed model is overly simplistic and requires additional simulations. |
| Khan et al. [30] | Proposed a secure IoMT-based transfer learning methodology | Focusing more on the application of IoMT devices, intended for industry 5.0 application. There is chance of data corruption through IoMT devices. |
| Florescu et al. [27] | A federated learning (FL) system was implemented for COVID-19 detection using CT images, with clients deployed locally on a single machine. | Doubts about the suitability of safeguards for maintaining the confidentiality and integrity of patient data. |
| Peyvandi et al. [31] | Proposed blockchain-based DCIaaS framework enhances data and computational intelligence quality, equality, and privacy for machine learning, demonstrating improved accuracy in biomedical image classification and hazardous litter management. | Potential complexity and computational overhead introduced by using blockchain technology, which could affect the efficiency and scalability of the system. |
| Image Type | Folder Title | Total Images | Training Set | Testing Set | Validation Set |
|---|---|---|---|---|---|
| Lung Adenocarcinoma | lung_aca | 5000 | 4000 | 500 | 500 |
| Lung Benign | lung_bnt | 5000 | 4000 | 500 | 500 |
| Lung Squamous Cell Carcinoma | lung_scc | 5000 | 4000 | 500 | 500 |
| Colon Adenocarcinoma | colon_aca | 5000 | 4000 | 500 | 500 |
| Colon Benign | colon_bnt | 5000 | 4000 | 500 | 500 |
| System | Specification |
|---|---|
| Processor | Intel Xeon CPU |
| CPU | ~2.30 GHz |
| RAM | 85 GB |
| GPU | NVIDIA A100 |
| GPU RAM | 40 GB |
| Hard Disk | 80 GB |
| Hyperparameter | Value |
|---|---|
| Optimizer | Adam |
| Loss | Categorical Crossentropy |
| Batch Size | 16 |
| Image Size | 100 × 100 |
| No. of Epochs | 50 |
| No. of Clients | 5 |
| Classification Model | Precision | Recall | Accuracy |
|---|---|---|---|
| “Federated Learning with Inception-V3” | 1.0 | 1.0 | 99.87% |
| Inception-V3 | 0.9916 | 0.9916 | 99.16% |
| VGG16 | 0.9833 | 0.9833 | 98.33% |
| ResNet-50 | 0.9926 | 0.992 | 99.20% |
| ResNeXt50 | 0.992 | 0.9927 | 99.20% |
| Xception | 0.9927 | 0.9927 | 99.27% |
| Type of Class | Precision | Recall | F1 Score | Specificity | Accuracy |
|---|---|---|---|---|---|
| lung_aca | 99.60% | 100.00% | 99.80% | 99.80% | 99.60% |
| lung_bnt | 100.00% | 100.00% | 100.00% | 100.00% | 100.00% |
| lung_scc | 100.00% | 100.00% | 100.00% | 100.00% | 100.00% |
| Macro Average | 99.87% | 100.00% | 99.93% | 99.93% | 99.87% |
| Classification Model | Precision | Recall | Accuracy |
|---|---|---|---|
| “Federated Learning with Inception-V3” | 1.0 | 1.0 | 100.00% |
| Inception-V3 | 0.996 | 0.996 | 99.60% |
| VGG16 | 0.994 | 0.994 | 99.40% |
| ResNet-50 | 0.997 | 0.997 | 99.70% |
| ResNeXt50 | 1.0 | 1.0 | 100.00% |
| Xception | 1.0 | 1.0 | 100.00% |
| Type of Class | Precision | Recall | F1 Score | Specificity | Accuracy |
|---|---|---|---|---|---|
| colon_aca | 100% | 100% | 100% | 100% | 100% |
| colon_bnt | 100% | 100% | 100% | 100% | 100% |
| Macro Average | 100% | 100% | 100% | 100% | 100% |
| Micro Average | 100% | 100% | 100% | 100% | 100% |
| Classification Model | Precision | Recall | Accuracy |
|---|---|---|---|
| “Federated Learning with Inception-V3” | 99.72% | 99.72% | 99.72% |
| Inception-V3 | 98.96% | 98.96% | 98.96% |
| VGG16 | 98.36% | 98.36% | 98.36% |
| ResNet-50 | 98.96% | 98.84% | 98.88% |
| ResNeXt50 | 98.88% | 98.88% | 98.88% |
| Xception | 99.10% | 99.10% | 99.10% |
| Type of Class | Precision | Recall | F1 Score | Specificity | Accuracy |
|---|---|---|---|---|---|
| colon_aca | 100% | 100% | 1.000 | 100% | 100% |
| colon_bnt | 100% | 100% | 1.000 | 100% | 100% |
| lung_aca | 98.80% | 99.80% | 0.999 | 99.70% | 99.72% |
| lung_bnt | 100% | 100% | 1.000 | 100% | 100% |
| lung_scc | 99.80% | 98.812% | 0.993 | 99.95% | 99.72% |
| Macro Average | 99.72% | 99.72% | 0.9984 | 99.93% | 99.88% |
| Micro Average | 99.72% | 99.72% | 99.72% | - | 99.72% |
| Previous Studies | Year | Approaches | Performance | ||
|---|---|---|---|---|---|
| Colon | Lung | Lung and Colon | |||
| Mangal et al. [9] | 2020 | Deep learning approach using CNN | Accuracy: 96.00% | Accuracy: 97.89% | - |
| Tasnim et al. [43] | 2021 | CNN with max pooling | Accuracy: 99.67% | - | - |
| Talukder et al. [16] | 2021 | Deep feature extraction and ensemble learning | Accuracy: 100% | Accuracy: 99.05% | Accuracy: 99.30% |
| Shandilya et al. [44] | 2021 | Pretrained CNN | - | Accuracy: 98.67% | - |
| Hadiyoso et al. [10] | 2022 | VGG-19 architecture and CLAHE framework | Accuracy: 98.96% | - | - |
| Karim et al. [45] | 2022 | Extreme learning machine (ELM)-based DL | - | Accuracy: 98.07% | - |
| Raju et al. [46] | 2022 | Extreme learning machine (ELM)-based DL | Accuracy: 98.97% Precision: 98.87% F1 Score: 98.84% | - | - |
| Chehade et al. [8] | 2022 | XGBoost | Accuracy: 99.00% Precision: 98.6% F1 Score: 98.8% | Accuracy: 99.53% Precision: 99.33% F1 Score: 99.33% | Accuracy: 99% |
| Ren et al. [47] | 2022 | Deep convolutional GAN (LCGAN) | - | Accuracy: 99.84% Precision: 99.84% F1 Score: 99.84% | - |
| Mehmood et al. [13] | 2022 | Transfer learning with class selective image processing | - | - | Accuracy: 98.4% |
| Khan et al. [30] | 2023 | Transfer learning with a secure IoMT-based approach | - | - | Accuracy: 98.80% |
| Toğaçar et al. [14] | 2022 | DarkNet-19 model and SVM classifier | - | - | Accuracy: 99.69% |
| Attallah et al. [48] | 2022 | CNN features with transformation methods | - | - | Accuracy: 99.6% |
| Masud et al. [7] | 2022 | Deep learning (DL) and digital image processing (DIP) techniques | - | - | Accuracy: 96.33% Precision: 96.39% F1 Score: 96.38% |
| Al-Jabbar et al. [17] | 2023 | Fusion of GoogleNet and VGG-19 | - | - | Accuracy: 99.64% Precision: 100% |
| Ananthakrishnan et al. [18] | 2023 | CNN with an SVM classifier | Accuracy: 99.8% | Accuracy: 98.77% | Accuracy: 100% |
| Proposed Model | 2024 | Federated learning with Inception-V3 | Accuracy: 100% Precision: 100% F1 Score: 100% | Accuracy: 99.87% Precision: 99.87% F1 Score: 99.87% | Accuracy: 99.72% Precision: 99.72% F1 Score: 99.72% |
Disclaimer/Publisher’s Note: The statements, opinions and data contained in all publications are solely those of the individual author(s) and contributor(s) and not of MDPI and/or the editor(s). MDPI and/or the editor(s) disclaim responsibility for any injury to people or property resulting from any ideas, methods, instructions or products referred to in the content. |
© 2024 by the authors. Licensee MDPI, Basel, Switzerland. This article is an open access article distributed under the terms and conditions of the Creative Commons Attribution (CC BY) license (https://creativecommons.org/licenses/by/4.0/).
Share and Cite
Hossain, M.M.; Islam, M.R.; Ahamed, M.F.; Ahsan, M.; Haider, J. A Collaborative Federated Learning Framework for Lung and Colon Cancer Classifications. Technologies 2024, 12, 151. https://doi.org/10.3390/technologies12090151
Hossain MM, Islam MR, Ahamed MF, Ahsan M, Haider J. A Collaborative Federated Learning Framework for Lung and Colon Cancer Classifications. Technologies. 2024; 12(9):151. https://doi.org/10.3390/technologies12090151
Chicago/Turabian StyleHossain, Md. Munawar, Md. Robiul Islam, Md. Faysal Ahamed, Mominul Ahsan, and Julfikar Haider. 2024. "A Collaborative Federated Learning Framework for Lung and Colon Cancer Classifications" Technologies 12, no. 9: 151. https://doi.org/10.3390/technologies12090151
APA StyleHossain, M. M., Islam, M. R., Ahamed, M. F., Ahsan, M., & Haider, J. (2024). A Collaborative Federated Learning Framework for Lung and Colon Cancer Classifications. Technologies, 12(9), 151. https://doi.org/10.3390/technologies12090151

