Abstract
Verbesina sphaerocephala A. Gray, like other wild plants of the genus Verbesina, has been used in herbal medicine. There is information for other species of the genus related to their phenolic content, antioxidant capacity, and isolation of bioactive compounds with antimicrobial activity. However, there are no reports for V. sphaerocephala, although it has an important presence in the state of Michoacán, México. In this study, the phenolic composition, quantification of rutin, and in vitro antioxidant and antibacterial activities of methanolic extracts from V. sphaerocephala leaves and flowers were determined. The results showed that all the investigated extracts have high phenolic and flavonoid contents. The flavonoid rutin was identified in all the extracts from V. sphaerocephala by high-performance thin-layer chromatography (HPTLC). The V. sphaerocephala extracts showed scavenging activity against DPPH• and ABTS•+ radicals (IC50 and 5.83 ± 0.50 and 0.93 ± 0.01 mg/mL, respectively) as well as relevant antioxidant capacity (51.05 ± 0.36 mg of ascorbic acid/g of dry tissue). The experimental results show that V. sphaerocephala extracts possessed a strong antimicrobial activity against Escherichia coli and Staphylococcus aureus bacteria. This research indicates that V. sphaerocephala could be considered as a potential source of natural compounds from the point of ethnopharmacological usage.
1. Introduction
Phenolic compounds, the most abundant secondary metabolites in plants, have received more and more attention in recent years because of their distinct bioactivities [1]. Flavonoids constitute the largest group of phenolic compounds [2]. According to their chemical structure, they are divided into several sub-classes: flavanones, flavanols, flavones, isoflavones, flavonols, and anthocyanins. The flavonoid rutin (quercetin-3-O-rhamnoglucoside) is a natural flavonol with a low molecular weight that is widely distributed in plants [3]. Rutin has been reported to have high radical scavenging activity [4], antioxidant capacity [5], and antibacterial activity [6].
The family Asteraceae is considered one of the largest flowering plant families including more than 23,600 species and about 1620 genera [7]. The genus Verbesina belongs to the family Asteraceae and contains about 300 species distributed from Canada to Argentina, with the highest diversity in the highlands of Mexico and in the north and central Andes [8]. In Mexico, this genus consists of 179 species [9]. Verbesina sphaerocephala A. Gray is an endemic species of Mexico [10] which has been used in traditional medicine for healing, for its anti-inflammatory and antidiarrheal properties, and for the treatment of gangrene, venous ulcer, and gynecological conditions [11]. However, as far as we know, no studies describing the bioactive potential of this plant exist in the literature.
Therefore, the aim of the present study was to determine the phenolic composition, rutin content, and in vitro antioxidant and antibacterial activities of methanolic extracts from V. sphaerocephala leaves and flowers.
2. Material and Methods
2.1. Chemicals and Reagents
The 2,2-diphenyl-1-picrylhydrazyl (DPPH•), 2,2′-azino-bis[3-ethylbenzothiazoline-6-sulphonic acid] (ABTS•+), Folin–Ciocalteu reagent, potassium persulfate, sodium phosphate, sodium carbonate, ammonium molybdate, ascorbic acid, aluminum chloride, ethyl acetate, formic acid, glacial acetic acid, sulfuric acid, methanol, water (HPLC grade), and p-anisaldehyde were purchased from Sigma-Aldrich (St. Louis, MO, USA). Plates 20 × 10 cm HPTLC Silica gel 60 F254 were purchased from Merck (Kenilworth, NJ, USA). Nutrient agar media and nutrient broth were purchased from BD Bioxon (Estado de México, México). Ampicillin was purchased from AMSA Laboratories (Jalisco, México) and dimethyl sulfoxide (DMSO) was purchased from Fermont (Nuevo León, México).
2.2. Standards
Gallic acid, catechin, and rutin (>99%) were purchased from Sigma-Aldrich (St. Louis, MO, USA). The stock solutions were prepared by diluting the standards in methanol (1 mg/mL). The stock solutions were then diluted in methanol to obtain working solutions (0.1–1 mg/mL). Working solutions of standards were stored at −20 °C in dark conditions.
2.3. Plant Material
V. sphaerocephala specimens were collected during October 2017 at Pajacuarán, in the Mexican state of Michoacán (20°6′15.001″ N, 102°32′32.42″ W, and 1827 m altitude). Two populations were collected, namely, Population 1 (P1) and Population 2 (P2). The specimens were authenticated by one of the authors, Dr. Monserrat Vázquez Sánchez. Voucher herbarium specimens were deposited at the Jorge Espinoza Salas Herbarium of the Universidad Autónoma Chapingo (UACh), with collection number MVS_62.
2.4. Drying Process
Foliar (leaf) and reproductive tissues (flower) were removed from the V. sphaerocephala plants and dried in a horizontal air flow oven model TE-FH45DM (Terlab, Mexico) at 40 °C for 24 h. Afterwards, the tissues were ground in a blender to obtain a fine powder. Additionally, to homogenize the particle size to 250 µm, a sieve (number 60) was used. Milled tissues were stored in dark conditions at room temperature until they were used.
2.5. Preparation of Extracts
The extraction of phenolic compounds was achieved using 1 g of dry milled plant materials which was suspended in 20 mL of solvent (50% methanol, 80% methanol, or 100% methanol, v/v) by agitation at 100 rpm using an orbital shaker apparatus, model Sea Star (Heathrow Scientific, Vernon Hills, IL, USA), in the dark at room temperature for 24 h. Then, the extracts were centrifuged at 2722× g for 10 min at room temperature. The supernatant was recovered and filtered through Whatman No. 1 filter paper (Whatman International Ltd., Maidstone, UK) to obtain the crude extract. Aliquots of the extract were taken for the phenolic content, chromatographic analysis, and antioxidant determinations.
2.6. Determination of Total Phenolic and Flavonoid Contents
2.6.1. Total Phenolic Content
The determination of total phenolic contents of the extracts was conducted using the Folin–Ciocalteu method with some modifications [12]. The extracts (250 µL) were mixed with 1250 µL of distilled water, followed by 62.5 µL of 1N Folin–Ciocalteu reagent, and stirred for 5 min. Lastly, 187.5 µL of 20% (w/v) Na2CO3 solution was added and kept up in dark conditions for 2 h at room temperature. The absorbance of each sample was read at 760 nm using a Microplate Spectrophotometer (PowerWave HT, BioTek Instruments, Inc., Winooski, VT, USA). Total phenolic contents were estimated using a gallic acid standard curve (A760 = 0.0023 [gallic acid] + 0.0355, R2 = 0.9943), obtained using eight known concentrations (40–460 µg/mL) of gallic acid. The total phenolic content was expressed as milligrams of gallic acid equivalents per gram of dry tissue (mg GAE/g DT).
2.6.2. Total Flavonoid Content
Total flavonoid content of each sample was determined by the aluminum chloride method previously reported, with slight modifications [13]. Five hundred microliters of extract was added with 500 µL of 2% (w/v) solution of AlCl3·6H2O. After 10 min, absorbance was read at 430 nm using a PowerWave HT Microplate Spectrophotometer (BioTek Instruments, Inc., Winooski, VT, USA). Total flavonoid contents were estimated using a catechin standard curve (A430 = 0.0121 [catechin] − 0.0032, R2 = 0.9906) obtained using eleven concentrations of catechin (400–4250 µg/mL). Total flavonoid contents were expressed as milligrams of catechin equivalents per gram of dry tissue (mg CE/g DT).
2.7. Quantitative Analysis and Radical Scavenging Activity of Rutin by High-Performance Thin-Layer Chromatography (HPTLC)
A Camag HPTLC instrumental set-up (Camag, Muttenz, Switzerland) consisting of an Automatic Sample Applicator (ATS 4), an Automatic Developing Chamber (ADC 2), a Chromatogram Immersion Device III, a TLC Plate Heater III, a TLC Visualizer, and VisionCats version 2.5.18072.1 data processing software was used for the analysis. Standard and sample solutions (5 μL) were applied bandwise (band length 8 mm, 15 nL/s delivery speed under nitrogen 6 bars pressure, track distance 9.4 mm, and distance from the edge 20.1 mm) on a HPTLC glass plate (20 × 10 cm) coated with 200 μm layer thickness of silica gel 60 F254 by an Automatic TLC Sampler (ATS 4). Plates were developed in an Automatic Developing Chamber (ADC 2) with ethyl acetate/formic acid/acetic acid/water (100:11:11:26, v/v/v/v) as the mobile phase (70 mm). The saturation time of the chamber was conditioned and optimized to 5 min at room temperature (22 °C ± 2) and relative humidity (33 ± 2%) for better resolution with mobile phase vapors. The plates were dipped in 200 mL of freshly prepared p-anisaldehyde-sulfuric/acetic acids solution (170 mL of methanol, 20 mL of glacial acetic acid, 5 mL concentrated sulfuric acid, and 1 mL of p-anisaldehyde), using a Chromatogram Immersion Device IIP (speed 50 mm/s, time 1 s), and subsequently heated (100 °C, 10 min) in a TLC Plate Heater III. The chromatograms were documented under visible and UV (λmax 254 and 366 nm) light after development and after post-chromatographic derivatization with the use of a TLC Visualizer 2 and a computer program, VisionCats version 2.5.18072.1.
For screening of the antioxidant activity of the separated chromatographic zones, the developed plate was dipped for 1 s in freshly prepared 0.1% (w/v) DPPH• radical solution using a Chromatogram Immersion Device III and subsequently heated at 40 °C (2 min) on a TLC Plate Heater III. Documentation of the chromatograms was performed at white light illumination.
Rutin was identified in the derivatized plates (with p-anisaldehyde-sulfuric/acetic acids solution) based on the band colors as well as retardation factors (Rf) of the standard in comparison with constituents of the analyzed extracts. For quantitative analysis, the content of rutin was determined by using a calibration curve established with a standard concentration range from 0.1 to 1 mg/mL per spot. The quantification of rutin was accomplished based on the regression equation (y = [4.484 × 10−1 x / 2.472 × 10−7 + x] + 5.67 × 10−1, R = 99.9872%) of each concentration peak area plotted against the concentration of rutin spotted (0.1, 0.3, 0.5, 0.7, 1.0, and 1.2 mg/mL), and the results were expressed as mg/g of dry tissue (mg/g DT).
2.8. Antioxidant Activity Assays
2.8.1. DPPH• Antioxidant Assay
The determination of free radical scavenging activity was determined according to the DPPH• method previously described [14]. Firstly, a 24 µM ethanol solution of DPPH• was prepared. Then, 450 µL of DPPH• reagent previously prepared was mixed with 50 µL of extract (1.25–25 mg/mL) and they were incubated for 10 min at room temperature. After incubation, the absorbance was measured at 523 nm using a Microplate Spectrophotometer (PowerWave HT, BioTek Instruments, Inc., Winooski, VT, USA).
The scavenging effect of DPPH• was measured using the formula
where Acontrol is the absorbance of the control (DPPH• solution), and Asample is the absorbance of the test sample (DPPH• solution plus 50 µL of extract). The median inhibitory concentration (IC50) was determined using linear regression. The scavenging activity was expressed as the IC50 that represents the V. sphaerocephala extract concentration (mg/mL) needed to reduce by 50% the initial DPPH• absorbance.
2.8.2. ABTS•+ Antioxidant Assay
The ABTS•+ radical scavenging assay was used to evaluate the antioxidant activity of the extracts [15]. For this purpose, a 7 mM ABTS•+ solution (dissolved in distilled water) was prepared. ABTS•+ radical cations were produced by reacting 1 mL of ABTS•+ stock solution with 17.6 µL of 140 mM potassium persulfate. The mixture was kept up in the dark at room temperature for 12 h before use. After, the ABTS•+ solution was diluted with deionized water to obtain an absorbance of 0.70 (±0.01) at 734 nm. Finally, 500 µL of diluted ABTS•+ radical solution was added to 500 µL of the extract (0.01–2.5 mg/mL, dissolved in their respective extraction solvents). After 6 min, absorbance was registered at 734 nm using a PowerWave HT Microplate Spectrophotometer (BioTek Instruments, Inc., Winooski, VT, USA).
The scavenging effect percentage was calculated using the formula
where Ablank represents the absorbance of the blank (ABTS•+ solution plus 500 µL of 50% methanol, 80% methanol, or 100% methanol (v/v), and Asample is the absorbance of the V. sphaerocephala extracts (ABTS•+ solution plus 500 µL of extract). The IC50 (mg/mL) was calculated by using linear regression.
2.8.3. Total Antioxidant Capacity Assay
The phosphomolybdenum assay was used to evaluate the total antioxidant capacity [16]. In this method, the formation of a green phosphate/Mo (V) complex for the reduction of Mo (VI) to Mo (V) by an antioxidant is measured at an acidic pH. To accomplish this, 50 µL of V. sphaerocephala extract was combined with 500 µL of a solution that contained 0.6 M sulfuric acid, 28 mM sodium phosphate, and 4 mM ammonium molybdate. Then, extracts were incubated in a digital dry bath (Thermo Fisher Scientific, Inc., Waltham, MA, USA) at 95 °C for 90 min. After incubation, the samples were subsequently cooled down to room temperature, and the absorbance of each was measured at 695 nm using a Microplate Spectrophotometer (PowerWave HT, BioTek Instruments, Inc., Winooski, VT, USA). A blank formed by 50 µL of 50% methanol, 80% methanol, or 100% methanol (v/v) instead of extract was used. The total antioxidant capacity was calculated by using an ascorbic acid standard curve (A695 = 0.0014 [ascorbic acid] − 0.011, R2 = 0.9993) generated with six concentrations of ascorbic acid (0.03–0.3 mg/mL). Total antioxidant capacity was expressed as milligrams of ascorbic acid equivalents per gram of dry tissue (AAE/g DT).
2.9. Antibacterial Analysis
2.9.1. Sample Preparation for Antibacterial Analysis
Prior to antibacterial analysis, the extracts (20 mL) were placed on a Petri plate in a fume hood at ambient temperature for 24 h to allow evaporation of the solvent. Subsequently, each extract was transferred to a 15mL Falcon tube, and 5 mL of distilled water was added. Then, the extracts were lyophilized using a Labconco freeze dryer, model 77530 (Labconco, Kansas City, MO, USA), at −50 °C for 24 h and under high vacuum conditions (0.02 mBar). After this, 20 mg of each extract was resuspended individually in 1 mL of methanol/DMSO (9:1, v/v). Finally, the extracts were stored under refrigeration at 4 °C protected from light.
2.9.2. Antibacterial Activity
The antibacterial activity of V. sphaerocephala extracts was surveyed by employing the disc diffusion assay to determine the inhibition zones of all samples against Escherichia coli strain 0111 and Staphylococcus aureus separately, provided by Instituto de Diagnóstico y Referencia Epidemiológicos (InDRE), Ministry of Health, Mexico City. Each strain was grown in nutrient broth at 37 °C. After 24 h, each microorganism at 1 × 106 CFU/mL was inoculated on the surface of nutrient agar media plates. A sterile inoculation loop was used to streak-inoculate each fresh nutrient agar media plate. Twenty-five microliters of the extracts (25 mg/mL) were loaded on sterile blank discs (5 mm diameter) and the discs were impregnated onto inoculated agar. Discs with ampicillin (10 mg/mL, dissolved in DMSO) were used as positive controls and discs impregnated with methanol/DMSO (9:1, v/v) were used as negative controls. The plates were incubated at 25 °C ± 2 for 24 h. The diameters of the inhibition zones (mm) indicating the antibacterial activity of the extracts were manually measured with a manual vernier caliper (Stanley Black & Decker, Inc., New Britain, CT, USA). Each inhibition zone diameter was measured three times (three different plates).
The values of bacteria growth inhibition during the treatment with extracts used (after 24 h) was calculated according to the formula
where Dsample represents the inhibition zone diameter of bacteria samples treated with the extracts (disc with 25 μL of the extracts), and Dcontrol is the inhibition zone diameter of the control sample (discs with ampicillin).
2.10. Statistical Analysis
Results were reported as mean ± standard deviation of three independent replicates. An analysis of variance (ANOVA) was used to assess statistical significance. Differences between values with a p < 0.05 were considered statistically significant. For the comparison of means for the corresponding results, Tukey’s test was performed. For the antibacterial activity assays, Dunnett’s test was used to assess the statistical significance of differences between test and control data (p < 0.05). Relationships between all determinations were tested using Pearson’s correlation. These analyses were performed with the SPSS software version 25.0 (SPSS Inc., Chicago, IL, USA).
3. Results and Discussion
3.1. Total Phenolic and Flavonoid Contents
In this work, our aim was to estimate the total phenolic and flavonoid contents of the methanolic extracts from V. sphaerocephala leaves and flowers, and the results are presented in Table 1. The total phenolic contents of the V. sphaerocephala extracts ranged from 6.55 ± 0.71 to 10.50 ± 0.76 mg GAE/g DT. The highest phenolic content was observed in leaves from Population 2 extracted with 100% methanol (P2-L-100M), and the lowest was observed in leaves from Population 1 extracted with 100% methanol (P1-L-100M).
Table 1.
Total phenolic, flavonoid, and rutin contents, free radical scavenging activity, total antioxidant capacity, and antibacterial activity of methanolic extracts from leaves and flowers of Verbesina sphaerocephala.
In the case of flower tissue, the highest concentration of phenolic compounds was found in Population 2 extracted with 100% methanol (P2-F-100M), while Population 1 extracted with 50% methanol (P1-F-50M) showed the lowest phenolic content. The concentration of total phenolics in the methanolic extracts from V. sphaerocephala Population 2 (both tissues) was higher than Population 1 according to the statistical analysis (p < 0.05). The mean total phenolic content value of the extracts of V. sphaerocephala was 8.45 mg GAE/g DT. Previous research results have shown a concentration of 3.23 mg GAE/g DT in ethanolic extracts of V. sphaerocephala leaves [17], lower values compared to those obtained from the extracts analyzed here.
Regarding the total flavonoid content, as seen in Table 1, the lowest content was observed in leaf extracts from Population 1 extracted with 50% methanol (P1-L-50M), with 2.09 ± 0.35 mg CE/g DT, while the highest content was observed in leaf extracts from Population 2 extracted with 100% methanol (P2-L-100M), with 9.85 ± 0.38 mg CE/g DT. The previous extract also showed the highest percentage of flavonoids (92.4%) with respect to the total phenolic content, which is shown in Figure 1.
Figure 1.
Average percentage of total flavonoid content from the total phenolic content of methanolic extracts from Verbesina sphaerocephala leaves and flowers. Bar plot represents mean ± standard deviation of three repetitions. Different letters indicate significant differences between groups within homogeneous subsets (Tukey, p < 0.05). Abbreviations: P1, Population 1; P2, Population 2; L, leaves; F, flowers; 100M, extracted with 100% methanol; 80M, extracted with 80% methanol; 50M, extracted with 50% methanol.
In the case of flower extracts, the lowest value of the total flavonoid content was shown by Population 2 extracted with 80% methanol (P2-F-80M), while the highest flavonoid content was obtained in Population 2 extracted with 50% methanol (P2-F-50M). The above values represent 31.7 and 73.5%, respectively, of the total phenolic content (Figure 1). The concentration of the total flavonoid content in the methanolic extracts from V. sphaerocephala leaves and flowers was lower compared to previously published data (37.83 mg CE/g DT) [17].
Based on Pearson’s correlation coefficient, no clear relationship was observed between the total phenolic and flavonoid contents of the extracts (R = 0.601, p < 0.01) since the extracts that showed the highest total phenolic contents did not obtain the highest total flavonoid contents.
3.2. Quantitative Analysis and Radical Scavenging Activity of Rutin by HPTLC
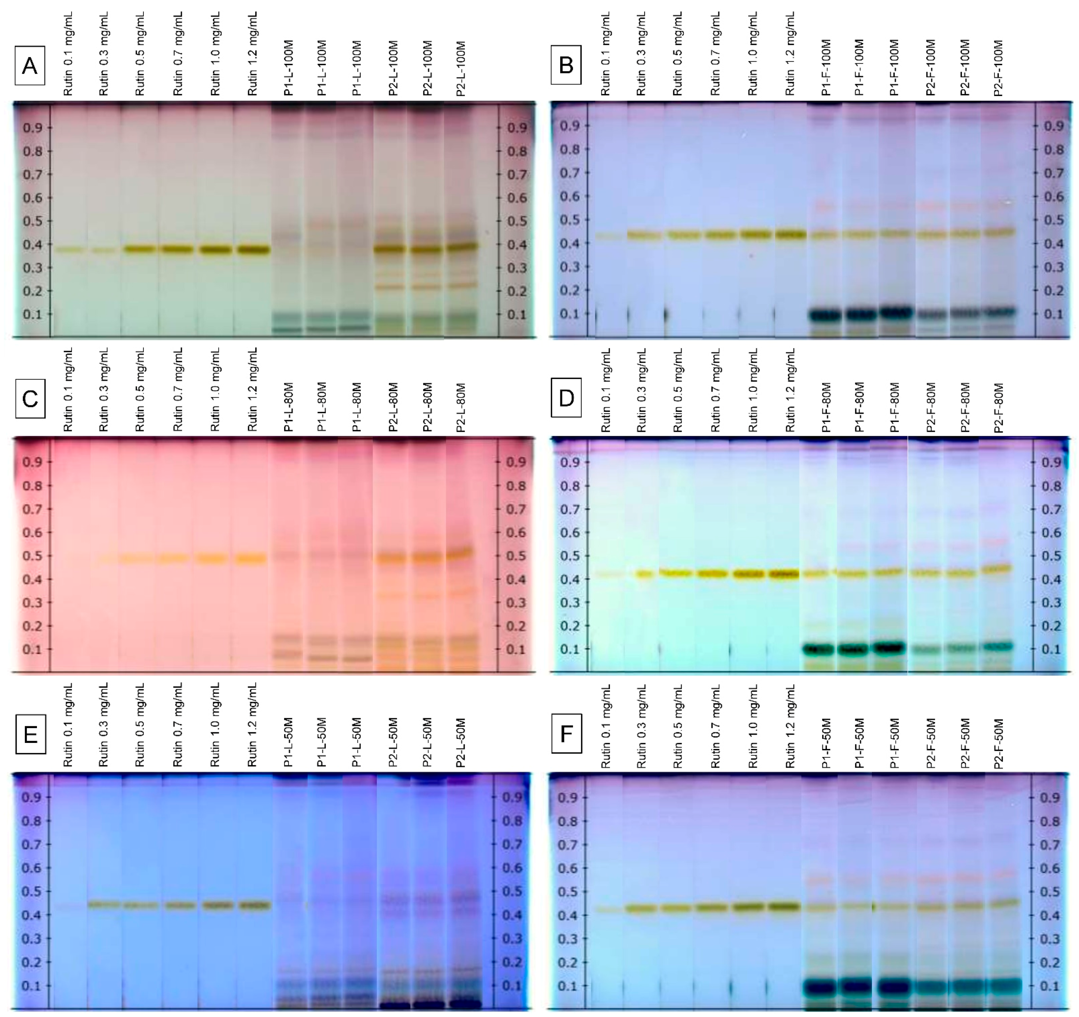
Derivatization with p-anisaldehyde/sulfuric acid reagent was used to detect rutin in the V. sphaerocephala extracts. The p-anisaldehyde-sulfuric acid reagent, under visible light, reacts with phenolic compounds to form differently colored zones. The analysis by HPTLC showed clearly separated compact, sharp, and high-resolution, yellow-colored bands in the plates derivatized with the p-anisaldehyde-sulfuric acid reagent. Rutin bands (yellow) were observed in all the extracts from V. sphaerocephala analyzed in this study. The bands of rutin were obtained at Rf 0.380–0.439 (Figure 2). It is noteworthy that the V. sphaerocephala flower profiles showed great similarity in the rutin signals, while in the leaves, the profiles showed notable differences.
Figure 2.
HPTLC chromatogram of methanolic extracts from Verbesina sphaerocephala under visible light in the transmittance mode after derivatization with p-anisaldehyde. (A) Leaf tissue from Populations 1 and 2 extracted with 100% methanol. (B) Flower tissue from Populations 1 and 2 extracted with 100% methanol. (C) Leaf tissue from Populations 1 and 2 extracted with 80% methanol. (D) Flower tissue from Populations 1 and 2 extracted with 80% methanol. (E) Leaf tissue from Populations 1 and 2 extracted with 50% methanol. (F) Flower tissue from Populations 1 and 2 extracted with 50% methanol.
HPTLC fingerprint analysis of V. sphaerocephala extracts was, for the first time, performed in the present work. As observed in Table 1, the highest content of rutin was found in the extract P2-L-80M, extracted from leaves of Population 2 with 80% methanol (13.97 ± 4.09 mg/g DT), which was about 11 times higher than the extract with the lowest content (P1-L-100M, 1.21 ± 0.22 mg/g). Overall, extracts from Population 2 showed a rutin content superior to the rest (p < 0.05). The concentrations of rutin of the 100%, 80%, and 50% methanolic extracts from V. sphaerocephala leaves and flowers are presented in Table 1. The rutin content in the extracts from V. sphaerocephala showed a tendency, since the highest rutin contents were observed in samples that obtained the highest total phenolic and flavonoid contents. According to the analysis, a positive correlation was observed between the total phenolic and flavonoid contents and the rutin content (R = 0.689, p < 0.01 and R = 0.563, p < 0.01, respectively) of the V. sphaerocephala extracts.
To the best of our knowledge, the presence of rutin has not been previously reported for the V. sphaerocephala species analyzed in this work. Previous chemical investigations of V. sphaerocephala species have shown the presence of phenolic compounds such as bornyl ferulate, bornyl p-coumarate, tyrosol, icariside D2, and hyperin [18]. Identification of rutin in extracts should be helpful for further analysis.
According to Figure 2, bands of various colors (pinks, violets, blues, and grays) were observed in all extracts, suggesting the presence of different classes of natural products in the V. sphaerocephala extracts; thus, the authors recommend carrying out a phytochemical screening of the plant for future research.
The antioxidative potential of the V. sphaerocephala extracts was preliminary investigated by the HPTLC-DPPH• method. This technique allows rapid, on-the-spot evaluation of the capacity of plant extracts to produce a biological effect [19]. The DPPH• free radical molecule is stable at room temperature and need not be generated. This strongly colored free radical is reduced (scavenged) in the presence of an antioxidant molecule from purple to a colorless/yellow reduced form [20]. Therefore, after derivatization with the DPPH• radical, inhibition areas (bright yellow bands) were observed in the bands where rutin was identified (Figure 3). The intensity of inhibition was higher in leaf samples from Population 2 extracted with 100% methanol. The results of the HPTLC–DPPH• test indicate that the rutin bands in V. sphaerocephala extracts had a significant effect on the scavenging activity of radical DPPH•.
Figure 3.
HPTLC chromatogram of methanolic extracts from Verbesina sphaerocephala under visible light in the transmittance mode after derivatization with DPPH• radical solution. (A) Leaf tissue from Populations 1 and 2 extracted with 100% methanol. (B) Flower tissue from Populations 1 and 2 extracted with 100% methanol. (C) Leaf tissue from Populations 1 and 2 extracted with 80% methanol. (D) Flower tissue from Populations 1 and 2 extracted with 80% methanol. (E) Leaf tissue from Populations 1 and 2 extracted with 50% methanol. (F) Flower tissue from Populations 1 and 2 extracted with 50% methanol.
3.3. Antioxidant Activity
To the authors’ best knowledge, there are no previous reports on the antioxidant activity of V. sphaerocephala extracts. In this work, V. sphaerocephala extracts showed in vitro scavenging activity of DPPH• and ABTS•+ radicals, as well as relevant antioxidant capacity. As can be seen in Table 1, a different antioxidant behavior of the extracts was observed.
According to Table 1, the extract P2-L-100M, extracted from leaves of Population 2 with 100% methanol, exhibited the strongest DPPH• radical scavenging activity with an IC50 value of 5.83 ± 0.50 mg/mL. Interestingly, the P2-L-100M extract showed the highest phenolic and flavonoid contents and a high rutin concentration (Figure 1 and Table 1). On the other hand, the leaf extracts from Population 1 (P1-L-100M, P1-L-80M, and P1-L-50M) failed to even reduce by 50% the initial DPPH• concentration; therefore, they were considered as those with the lowest scavenging activity of radical DPPH•. In accordance with the above, these extracts showed the lowest total phenolic content (P1-L-100M) and the lowest flavonoid content (P1-L-50M), as well as low rutin contents. Previous studies reported an IC50 of 432.56 ± 15.72 μg/mL in methanolic extracts from aerial parts of Verbesina crocata [21].
Regarding the scavenging activity of the ABTS•+ radical, the most effective scavenging against ABTS•+ was obtained by the extract P2-L-50M, with an IC50 value of 0.93 ± 0.01 mg/mL. As mentioned earlier, the extract P2-L-50M showed high phenolic and flavonoid contents, as well as moderate concentrations of rutin (Table 1). The concentration required to inhibit the ABTS•+ radical shown by the extracts of V. sphaerocephala was similar (and in some cases lower) to that reported for V. croata [21]. While the methanolic extracts of V. sphaerocephala inhibited the absorbance of DPPH• and ABTS•+ radicals depending on the extract concentration and showed a dose-dependent tendency, the correlation analysis revealed lower associations between the scavenging activities and the phenolic, flavonoid, and rutin contents in the extracts (R = −0.421, p < 0.05 between total phenolic content and ABTS•+ > R = −0.497, p < 0.01 between total flavonoid content and ABTS•+ > R = −0.498, p < 0.01 between rutin content and ABTS•+).
The total antioxidant capacity analysis of the extracts from leaves and flowers of two populations of V. sphaerocephala ranged from 23.57 ± 0.14 to 51.05 ± 0.36 mg AAE/g DT (Table 1). Similarly, as with the ABTS•+ radical, the leaf extract from Population 2, extracted with 50% methanol (P2-L-50M), exhibited the highest antioxidant capacity, while the extracts of flowers from Population 2, extracted with 80% and 100% methanol (P2-F-80M and P2-F-100M), exhibited the lowest antioxidant capacity, with 14.67 ± 0.30 and 15.00 ± 0.29 mg AAE/g DT, respectively. The correlation analysis indicates a significant positive correlation between total antioxidant capacity and the total flavonoid content (R = 0.709, p < 0.01), which indicates that by increasing the content of flavonoids in the extracts, the total antioxidant capacity increased. There are no previous studies of total antioxidant capacity in Verbesina genus extracts with which to compare the antioxidant capacity obtained by extracts of V. sphaerocephala analyzed in this study.
3.4. Antibacterial Activity
The antibacterial activity of methanolic extracts from V. sphaerocephala leaves and flowers was screened against E. coli and S. aureus, and the results obtained are summarized in Figure 4 and Figure 5.
Figure 4.
Antibacterial activity of methanolic extracts from Verbesina sphaerocephala leaves and flowers against Escherichia coli. Values are expressed as mean ± standard deviation of three repetitions. Abbreviations: P1, Population 1; P2, Population 2; L, leaves; F, flowers; 100M, extracted with 100% methanol; 80M, extracted with 80% methanol; 50M, extracted with 50% methanol; Control (+), ampicillin 10 mg/mL; Control (-), methanol/DMSO. (*) Indicates no significant statistical difference from the control according to Dunnett’s test (p < 0.05).
Figure 5.
Antibacterial activity of methanolic extracts from Verbesina sphaerocephala leaves and flowers against Staphylococcus aureus. Values are expressed as mean ± standard deviation of three repetitions. Abbreviations: P1, Population 1; P2, Population 2; L, leaves; F, flowers; 100M, extracted with 100% methanol; 80M, extracted with 80% methanol; 50M, extracted with 50% methanol; Control (+), ampicillin 10 mg/mL; Control (-), methanol/DMSO. (*) Indicates no significant statistical difference from the control according to Dunnett’s test (p < 0.05).
All extracts showed growth inhibition against E. coli, ranging from 51.67 to 95.00%. As can be observed in Figure 4, the best results of bacterial growth inhibition against E. coli were obtained by the leaf extract from Population 1 extracted with 80% methanol (P1-L-80M), reaching 95.00 ± 5.00% (19 mm) > the flower extract from Population 2 extracted with 100% methanol (P2-F-100M), with 91.67 ± 7.64% (18 mm) > the flower extract from Population 2 extracted with 80% methanol (P2-F-80M), with 88.33 ± 11.50% (17.6 mm) > the leaf extract from Population 1 extracted with 100% methanol (P1-L-100M), with 86.67 ± 2.89% (17 mm). According to Dunnett’s test, no significant difference was found in the bacterial growth inhibition of the extracts mentioned above and the control used (ampicillin, 10 mg/mL).
On the other hand, the best results against S. aureus were observed by the methanolic extract from Population 1 (P1-L-100M), with 90.00 ± 5.00% (18 mm), which was not statistically different from the control according to Dunnett’s test (p < 0.01). Leaf extracts from Population 2 (P2-L-100M, P2-L-80M, and P2-L-50M), as well as extracts from flowers extracted with 50% methanol (P2-F-50M), were inactive against the S. aureus strain at the concentration assayed (Figure 5). Other species of the genus Verbesina with reported antibacterial activity are V. encelioides and V. macrophylla [22,23].
Despite the above, it was not possible to attribute the antibacterial effect shown by the V. sphaerocephala extracts to the phenolic compounds determined, since the correlation analysis showed negative correlations between the antimicrobial activity and the total phenolic content (R = 0.704, p < 0.01), total flavonoid content (R = 0.738, p < 0.01), and rutin content (R = 0.631, p < 0.01), which means that, as the content of these compounds decreased, the antibacterial activity increased. Based on the above reason, it can be inferred that the antibacterial activity observed in bioassays could be due to a possible synergistic effect between the phenolic compounds present in the V. sphaerocephala extracts.
According to the literature research conducted, there are no reports on the antibacterial activity of V. sphaerocephala; thus, the authors recommend broadening the spectrum of bacteria for future investigations.
4. Conclusions
To the best of our knowledge, this is the first report of the phenolic composition, separation and simultaneous quantification of rutin, and in vitro antioxidant and antibacterial activities of the different aerial parts of V. sphaerocephala extracts. The results of the present study revealed that V. sphaerocephala was rich in phenolic compounds. From the results of HPTLC analysis, the presence of rutin was observed in all the methanolic extracts from V. sphaerocephala leaves and flowers. Furthermore, experimental results showed that V. sphaerocephala methanolic extracts possessed a notable antioxidant power and a strong activity toward the test bacteria. They also indicate that V. sphaerocephala may be considered as a potential source of natural antioxidants from the point of ethnopharmacological usage of this plant.
Author Contributions
Conceptualization, J.R.M.-M.; methodology, K.Y.R.-V.; software, J.R.M.-M. and K.Y.R.-V.; validation, M.V.-S. and E.O.-Z.; formal analysis, R.S.-G. and E.O.-Z.; investigation, L.F.C.-T.; resources, D.Á.-B.; data curation, K.Y.R.-V. and J.R.M.-M.; writing—original draft preparation, K.Y.R.-V.; writing—review and editing, J.R.M.-M.; visualization, L.F.C.-T.; supervision, M.V.-S. and R.S.-G.; project administration, D.Á.-B.; funding acquisition, D.Á.-B. and J.R.M.-M. All authors have read and agreed to the published version of the manuscript.
Funding
This research was funded by the program “Chairs for Young Researchers” (Cátedras para Jóvenes Investigadores), grant number 1747, Consejo Nacional de Ciencia y Tecnología (CONACYT), México.
Institutional Review Board Statement
Not applicable.
Informed Consent Statement
Not applicable.
Data Availability Statement
The authors declare that the data supporting the findings of this study are available within the article.
Acknowledgments
K.Y.R.-V. thanks the Consejo Nacional de Ciencia y Tecnología (CONACYT) for the scholarship awarded (no. 863608). J.R.M.-M. gratefully acknowledges CIIDIR-IPN Unidad Michoacán.
Conflicts of Interest
The authors declare no conflict of interest.
References
- Xu, C.C.; Wang, B.; Pu, Y.Q.; Tao, J.S.; Zhang, T. Advances in extraction and analysis of phenolic compounds from plant materials. Chin. J. Nat. Med. 2017, 15, 721–731. [Google Scholar] [CrossRef]
- Nabavi, S.M.; Šamec, D.; Tomczyk, M.; Milella, L.; Russo, D.; Habtemariam, S.; Suntar, I.; Rastrelli, L.; Daglia, M.; Xiao, J.; et al. Flavonoid biosynthetic pathways in plants: Versatile targets for metabolic engineering. Biotechnol. Adv. 2020, 38, 107316. [Google Scholar] [CrossRef] [PubMed]
- Yang, J.; Guo, J.; Yuan, J. In vitro antioxidant properties of rutin. LWT Food Sci. Technol. 2008, 41, 1060–1066. [Google Scholar] [CrossRef]
- Gunathilake, K.D.P.P.; Ranaweera, K.K.D.S.; Rupasinghe, H.P.V. Analysis of rutin, β-carotene, and lutein content and evaluation of antioxidant activities of six edible leaves on free radicals and reactive oxygen species. J. Food Biochem. 2018, 42, e12579. [Google Scholar] [CrossRef]
- Frutos, M.J.; Rincón-Frutos, L.; Valero-Cases, E. Rutin. In Nonvitamin and Nonmineral Nutritional Supplements; Seyed Mohammad Nabavi, A.S.S., Ed.; Elsevier: London, UK, 2019; pp. 111–117. ISBN 9780128124918. [Google Scholar]
- Gullón, B.; Lú-Chau, T.A.; Moreira, M.T.; Lema, J.M.; Eibes, G. Rutin: A review on extraction, identification and purification methods, biological activities and approaches to enhance its bioavailability. Trends Food Sci. Technol. 2017, 67, 220–235. [Google Scholar] [CrossRef]
- Funk, V.A.; Susanna, A.; Stuessy, T.F.; Robinson, H. Classification of Compositae. In Systematics, Evolution, and Biogeography of Compositae; International Association for Plant Taxonomy: Vienna, Austria, 2009; pp. 171–189. [Google Scholar]
- Panero, J.L.; Jansen, R.K. Chloroplast DNA restriction site study of Verbesina (Asteraceae: Heliantheae). Am. J. Bot. 1997, 84, 382–392. [Google Scholar] [CrossRef] [PubMed]
- Villaseñor, J.L. Los géneros de plantas vasculares de la flora de México. Bol. Soc. Bot. Mex. 2004, 75, 105–135. [Google Scholar] [CrossRef]
- Rzedowski, J.; Calderón de Rzedowski, G. Compositae: Tribu Heliantheae II. Flora Bajío Reg. Adyac. 2011, 172, 1–409. [Google Scholar]
- Velasco-Ramírez, A.; Velasco-Ramírez, S.; Velasco-Ramírez, A. Uso en medicina tradicional de Verbesina sphaerocephala A. Gray (Asteraceae) en la comunidad de San Martin de las Flores, Jalisco, México. Boletín Latinoam. Caribe Plantas Med. Aromáticas 2019, 18, 144–154. [Google Scholar]
- Singleton, V.L.; Orthofer, R.; Lamuela-Raventós, R.M. Analysis of total phenols and other oxidation substrates and antioxidants by means of folin-ciocalteu reagent. Methods Enzymol. 1999, 299, 152–178. [Google Scholar] [CrossRef]
- Lamaison, J.L.; Carnart, A. Teneurs en principaux flavonoides des fleurs et des feuilles de Crataegus monogyna Jacq. et de Crataegus laevigata (poiret) dc. en fonction de la periode de vegetation. Plantes Med. Phyther. 1991, 25, 12–16. [Google Scholar]
- Barriada-Bernal, L.G.; Almaraz-Abarca, N.; Delgado-Alvarado, E.A.; Gallardo-Velázquez, T.; Ávila-Reyes, J.A.; Torres-Morán, M.I.; González-Elizondo, M.D.S.; Herrera-Arrieta, Y. Flavonoid composition and antioxidant capacity of the edible flowers of Agave durangensis (Agavaceae). CYTA J. Food 2014, 12, 105–114. [Google Scholar] [CrossRef]
- Lee, K.J.; Oh, Y.C.; Cho, W.K.; Ma, J.Y. Antioxidant and anti-inflammatory activity determination of one hundred kinds of pure chemical compounds using offline and online screening HPLC assay. Evid. Based Complement. Altern. Med. 2015, 1, 1–13. [Google Scholar] [CrossRef] [PubMed]
- Prieto, P.; Pineda, M.; Aguilar, M. Spectrophotometric quantitation of antioxidant capacity through the formation of a phosphomolybdenum complex: Specific application to the determination of vitamin E. Anal. Biochem. 1999, 269, 337–341. [Google Scholar] [CrossRef]
- Vázquez-Sánchez, M.; Medina-Medrano, J.R.; Cortez-Madrigal, H.; Angoa-Pérez, M.V.; Muñoz-Ruíz, C.V.; Villar-Luna, E. Nematicidal activity of wild plant extracts against second-stage juveniles of Nacobbus aberrans. Nematropica 2018, 48, 136–144. [Google Scholar]
- Arciniegas, A.; Pérez-Castorena, A.L.; Villaseñor, J.L.; Romo de Vivar, A. Cadinenes and other metabolites from Verbesina sphaerocephala A. Gray. Biochem. Syst. Ecol. 2020, 93. [Google Scholar] [CrossRef]
- Dib, A.; Kasprzak, K.; Wójtowicz, A.; Benatallah, L.; Waksmundzka-Hajnos, M.; Zidoune, M.N.; Oniszczuk, T.; Karakuła-Juchnowicz, H.; Oniszczuk, A. The effect of pomegranate seed powder addition on radical scavenging activity determined by TLC–DPPH test and selected properties of gluten-free pasta. J. Liq. Chromatogr. Relat. Technol. 2018, 41, 364–372. [Google Scholar] [CrossRef]
- Agatonovic-Kustrin, S.; Doyle, E.; Gegechkori, V.; Morton, D.W. High-performance thin-layer chromatography linked with (bio) assays and FTIR-ATR spectroscopy as a method for discovery and quantification of bioactive components in native Australian plants. J. Pharm. Biomed. Anal. 2020, 184, 113208. [Google Scholar] [CrossRef]
- García-Bores, A.M.; Álvarez-Santos, N.; López-Villafranco, M.E.; Jácquez-Ríos, M.P.; Aguilar-Rodríguez, S.; Grego-Valencia, D.; Espinosa-González, A.M.; Estrella-Parra, E.A.; Hernández-Delgado, C.T.; Serrano-Parrales, R.; et al. Verbesina crocata: A pharmacognostic study for the treatment of wound healing. Saudi J. Biol. Sci. 2020, 27, 3113–3124. [Google Scholar] [CrossRef] [PubMed]
- Divya Ramakrishnan, C.K.; Doss, D.; Vijayabharathi, A. Biochemical and Antimicrobial Characterization of an Underexploited Medicinal Plant—Verbesina encelioides. Int. J. Curr. Microbiol. Appl. Sci. 2017, 6, 3407–3416. [Google Scholar] [CrossRef]
- de Veras, B.O.; de Oliveira, J.R.S.; de Menezes Lima, V.L.; do Amaral Ferraz Navarro, D.M.; de Oliveira Farias de Aguiar, J.C.R.; de Medeiros Moura, G.M.; da Silva, J.W.; de Assis, C.R.D.; Gorlach-Lira, K.; de Assis, P.A.C.; et al. The essential oil of the leaves of Verbesina macrophylla (Cass.) S.F.Blake has antimicrobial, anti-inflammatory and antipyretic activities and is toxicologically safe. J. Ethnopharmacol. 2021, 265, 113248. [Google Scholar] [CrossRef] [PubMed]
Publisher’s Note: MDPI stays neutral with regard to jurisdictional claims in published maps and institutional affiliations. |
© 2021 by the authors. Licensee MDPI, Basel, Switzerland. This article is an open access article distributed under the terms and conditions of the Creative Commons Attribution (CC BY) license (http://creativecommons.org/licenses/by/4.0/).




