Abstract
Ranidhan is a popular late-maturing rice variety of Odisha state, India. The farmers of the state suffer heavy loss in years with flash floods as the variety is sensitive to submergence. Bacterial blight (BB) disease is a major yield-limiting factor, and the variety is susceptible to the disease. BB resistance genes Xa21, xa13, and xa5, along with the Sub1 QTL, for submergence stress tolerance were transferred into the variety using marker-assisted backcross breeding approach. Foreground selection using direct and closely linked markers detected the progenies carrying all four target genes in the BC1F1, BC2F1, and BC3F1 generations, and the positive progenies carrying these genes with maximum similarity to the recipient parent, Ranidhan, were backcrossed into each segregating generation. Foreground selection in the BC1F1 generation progenies detected all target genes in 11 progenies. The progeny carrying all target genes and similar to the recipient parent in terms of phenotype was backcrossed, and a total of 321 BC2F1 seeds were produced. Ten progenies carried all target genes/QTL in the BC2F1 generation. Screening of the BC3F1 progenies using markers detected 12 plants carrying the target genes. A total of 1270 BC3F2 seeds were obtained from the best BC3F1 progeny. Foreground selection in the BC3F2 progenies detected four plants carrying the target genes in the homozygous condition. The bioassay of the pyramided lines conferred very high levels of resistance to the predominant isolates of bacterial blight pathogen. These BB pyramided lines were submergence-tolerant and similar to Ranidhan in 13 agro-morphologic and grain quality traits; hence, they are likely to be adopted by farmers.
1. Introduction
Rice, the queen of cereals, is the livelihood of millions of the world’s population. It is a staple food crop for more than two billion people around the world. The global population is rising at a very rapid pace. India is the largest rice-growing nation in the world. By 2035, we will need about 2–3 million tons of additional milled rice/annum. The per capita agricultural land holdings are decreasing day-by-day due to the population increase. The production increase must be met using less land, labor, chemicals, and water. In addition, we have to produce more under a climate change scenario. Therefore, in the future, it will be an extremely challenging task to fulfill the gap between demand and supply [1]. Rice can be grown in various agro-climatic and demographic situations. The crop covers about 163 Mha, of which nearly 45% of the crop areas are under rainfed conditions with low productivity due to many biotic and abiotic stresses [2,3].
Among the abiotic stresses, drought, submergence, and water logging are the major constraints for higher productivity in the eastern region of the country, where >80% of the rice areas are of a rainfed ecology. The problem of frequent flash floods in this region is a common problem, which covers about 16 Mha [4]. Under submergence, rice plants face many problems for optimum growth and survival. Stress reduces the diffusion of gas, particularly inhibiting the uptake of oxygen, and restricts anaerobic respiration. Furthermore, muddy water reduces photosynthesis due to lower light visibility. For a longer submergence period of 2 weeks, rice plants face shortages of nutrients and energy. The affected plants start decaying and finally perish. Therefore, a complete crop failure may occur in the case of flash floods and submergence for more than 1 week if susceptible varieties are impacted. A major QTL Sub 1A is useful under such submergence stress and shows tolerance up to 14 days. Many popular high-yielding submergence-susceptible varieties have gained tolerance to this stress through incorporation of the Sub1 QTL using marker-assisted backcross breeding [2,3,5]. High-yielding varieties carrying multiple stress tolerance genes are needed for farmers to face the frequent and unpredictable adverse effects due to climate change [5,6].
In addition to submergence stress, a main factor limiting yield is the BB disease caused by Xanthomonas oryzae pv. oryzae (Xoo) which is a destructive disease of lowland rice. The disease typically reduces rice yield by 30% but upto 80% depending on location, season, and variety [7]. The fodder quality is also reduced due to this disease. The leaves are covered by bacterial blight lesions, which reduce photosynthesis and, hence, drastically reduce the yield due to partial grain filling. Globally, >45 BB resistance genes have been reported from different sources [8]. Tightly linked molecular markers have been reported for most resistance genes. Meeting the projected demand for staple food grains beyond 2030 is a challenging task. The increased demand needs to be met without any adverse effects on the environment. Therefore, host plant resistance has gained enormous importance in recent times. A combination of three resistance genes (xa5+xa13+Xa21) was observed to be durable and very effective in controlling the disease [1,9].
Many popular rice varieties that were susceptible to many stresses have successfully been converted into multiple stress-tolerant versions with respect to submergence, drought, BB, etc. [2,3,6,10]. Ranidhan is a popular variety of Odisha but is highly susceptible to flash floods and bacterial blight disease. Therefore, the transfer of a suitable combination of BB resistance genes (Xa21+xa13+xa5) along with the flood tolerance QTL (Sub1) into this popular variety is a priority for development. This new version of Ranidhan pyramided lines featuring both abiotic (submergence) and biotic (bacterial blight) stress tolerance will be highly useful to the farmers of eastern India, where a large acreage of rainfed lowland exists. Hence, the present investigation is an attempt to introgress three BB resistance genes (Xa21, xa13, and xa5) and the Sub1A QTL into the rice variety Ranidhan through a marker-assisted breeding approach.
2. Materials and Methods
2.1. Plant Materials and Hybridization
Two donor parents, namely, Swarna-Sub1 and CR Dhan 800 (Swarna MAS), were used in this breeding program. The variety Swarna-Sub1 was used as the submergence-tolerant donor parent, while the other donor parent, CR Dhan 800, a Swarna-derived variety, was the carrier of three BB resistance genes (xa5, xa13, and Xa21). The recurrent variety used in this breeding program was Ranidhan, which is a popular variety of the late duration group but highly susceptible to BB disease and submergence stress.
Ranidhan was hybridized with CR Dhan 800 during the wet season of 2016 to produce the F1 seeds. The true F1 plant of Ranidhan × CR Dhan 800 was crossed with Swarna-Sub1, and F1′ seeds were produced during the dry season of 2017. In the next wet season of 2017, the true F1′ plant was backcrossed with Ranidhan, and BC1F1 seeds were produced. Foreground selection was performed to detect the progenies carrying all four target genes in heterozygous condition in the BC1F1, BC2F1, and BC3F1 generations, and the positive progenies carrying these genes and showing maximum similarity to the recipient parent, Ranidhan, were backcrossed into each segregating generation. The target gene carrying BC1F1 plant similar to the recipient parent was backcrossed with the recipient parent, Ranidhan, during the dry season of 2018 for BC2F1 seed production. In the wet season of 2018, BC2F1 plants were backcrossed with the recipient parent, Ranidhan, and BC3F1 seeds were produced. During the wet season of 2019, BC3F2 plants were grown in the field; homozygotes for the target traits were identified through genotyping, and BC3F3 seeds were produced. The progenies carrying all target genes and the QTL in homozygous condition were advanced for seed increase during the dry season of 2020. The pyramided lines and parents were evaluated for submergence tolerance, BB resistance, and yield, including 10 traits related to yield and grain quality during the wet seasons of 2020 and 2021 (Figure 1). Data analysis for various agro-morphologic traits was performed by following the standard procedure described in previous publications [11,12,13].
Figure 1.
Marker-assisted breeding flowchart for transfer of submergence tolerance and bacterial blight resistance into the high-yielding popular variety “Ranidhan”.
2.2. DNA Isolation and Polymerase Chain Reaction
The genomic DNA of the parental line and the progenies was isolated in each backcross generation following the CTAB method [14]. The reaction mixture for PCR had 30 ng of template DNA, 200 µM dNTPs, 5 pmol of each primer, 1× PCR buffer (10 mM Tris-HCL, pH 8.3, 1.5 mM MgCl2, 50 mM KCl, and 0.01 mg/mL gelatin), and one unit of Taq DNA polymerase. The volume of the mixture was 20 µL, and amplification of the target sequences was performed. For resolution of the amplified fragments of the PCR products, samples were loaded on 2.5% agarose gel in 1× Tris–borate ethylene diamine tetra acetic acid buffer, and the gel was run at 120 V for about 4 h. A photograph of the bands was taken using a Gel Doc System (Syn Gene, Bangalore, India). The protocols followed in this experiment for polymerase chain reaction, electrophoresis, and gel documentation followed those reported in earlier publications [15,16,17].
2.3. Marker Analysis
For tracking of the present target genes, seven gene-specific and linked markers available publicly were used for selection of the backcross progenies (Table 1). The markers were first validated in the donor parents for the presence of the target genes. Forward selection was performed in the progenies up to BC3F2 generations for tracking of the target genes and QTL. The marker data analysis, construction of the matrix from the binary data, dendrogram construction, and principal component analysis were performed as reported in previous publications [18,19,20].
Table 1.
Markers used for the selection of submergence tolerance QTL Sub1 and three BB resistance genes in the backcross progenies.
2.4. Evaluation for Submergence Tolerance
The evaluation for submergence tolerance of the seven BC3F4 pyramided lines and parental lines were performed during the wet season of 2020, while that of the BC3F5 generation lines was performed during 2021. The evaluation was performed in the control screening tank of ICAR-NRRI, Cuttack. The 10 genotypes, including susceptible and resistant checks, were planted with 20 plants/row providing spacing of 20 cm × 15 cm following a complete randomized block design with three replications. The genotypes were submerged after 21 days of transplanting in the tank. Borewell water flow was maintained to submerge the plants completely in the screening tank in the shortest time. The water level of the tank was checked daily, and irrigation water was supplied to submerge the plants. The test materials were exposed to complete submergence stress for 14 days, and the water depth was maintained daily up to 1.0 m. The water from the tank was reduced to end submergence after 14 days. The draining of the tank water was performed carefully to avoid lodging of the seedlings. The regeneration percentage was calculated after 7 days of de-submergence. Recording of the observations and scoring of the genotypes were performed as described in earlier publications [1,27].
2.5. Bioassay for Resistance against BB Pathogen
The virulent strains of bacterial blight disease were artificially inoculated for studying the disease reactions against the pyramided and parental lines. The standard clipping method was followed for inoculation of the pathogen strains into the pyramided lines to create the epiphytotic condition. Eight highly virulent BB strains maintained at NRRI, Cuttack were inoculated into the plant seedlings at about 45 days old. The bacterial mass of bacterial blight pathogen isolates was suspended in sterile water at a concentration of approximately 109 cells/mL. BB inoculation was performed in five leaves per plant for five different plants for each test genotype and from each replication during the wet seasons of 2020 and 2021. The disease lesion lengths (LLs) were measured after 15 days of inoculation. The recorded mean lesion lengths were used to classify the disease response of the parental and pyramided lines as resistant (R), moderately resistant (MR), moderately susceptible (MS), and susceptible (S) to the disease. The BB disease scoring and response of the pyramided and parental lines were grouped following the standard evaluation system (SES), IRRI [28], and the procedure was as described in earlier publications [29,30,31].
2.6. Evaluation of Pyramided Lines for Yield, Agro-Morphology, and Quality Traits
The 25 day old seedlings of the test genotypes along with parents were transplanted into the main field during the wet seasons of 2020 and 2021. Standard agronomic practices recommended for shallow lowland ecology including need-based plant protection measures were followed. The experiment was performed following an RBD (randomized complete block design) with three replications. Each test entry accommodated 35 plants per row, and five rows were taken per entry. A plot size of 5.25 m2 was established for each test genotype, and transplantation occurred with 20 cm × 15 cm spacing. Data were recorded from 10 plants of each entry and replication for yield and 13 agro-morphologic and quality traits, namely, panicle length, plant height, spikelet fertility, panicle weight, 1000-seed weight, number of seeds per panicle, grain length, grain breadth, head rice recovery (%), and amylase content (%), while the data for plot yield (t/ha) and days to 50% flowering were recorded on a whole-plot basis. Recording of observations was performed at the flowering, crop maturity, and post-harvest stages of the crop following the standard evaluation system (SES), IRRI [28]. The average length and breadth of 10 kernels were measured. The method of Tan et al. [32] was adopted for estimation of the head rice recovery. The standard method of Juliano [33] was used for estimation of the amylose content of the test genotypes. Principle component analysis (PCA) was used to estimate the Euclidean distance between genotypes and the correlation between the variables using the PAST statistical program [34]. Analysis of the variance for the traits plant height, panicle length, panicle weight, spikelet fertility, number of seeds per panicle, 1000-seed weight, grain length, grain breadth, head rice recovery (%), amylase content (%), days to 50% flowering, and plot yield (t/ha) was performed using Cropstat software 7.0 [35]. All other analyses including the figures were prepared using standard software as described in earlier publications [36,37,38].
3. Results
3.1. Molecular Marker Analysis of the Parental Lines for Submergence Tolerance and Bacterial Blight Resistance
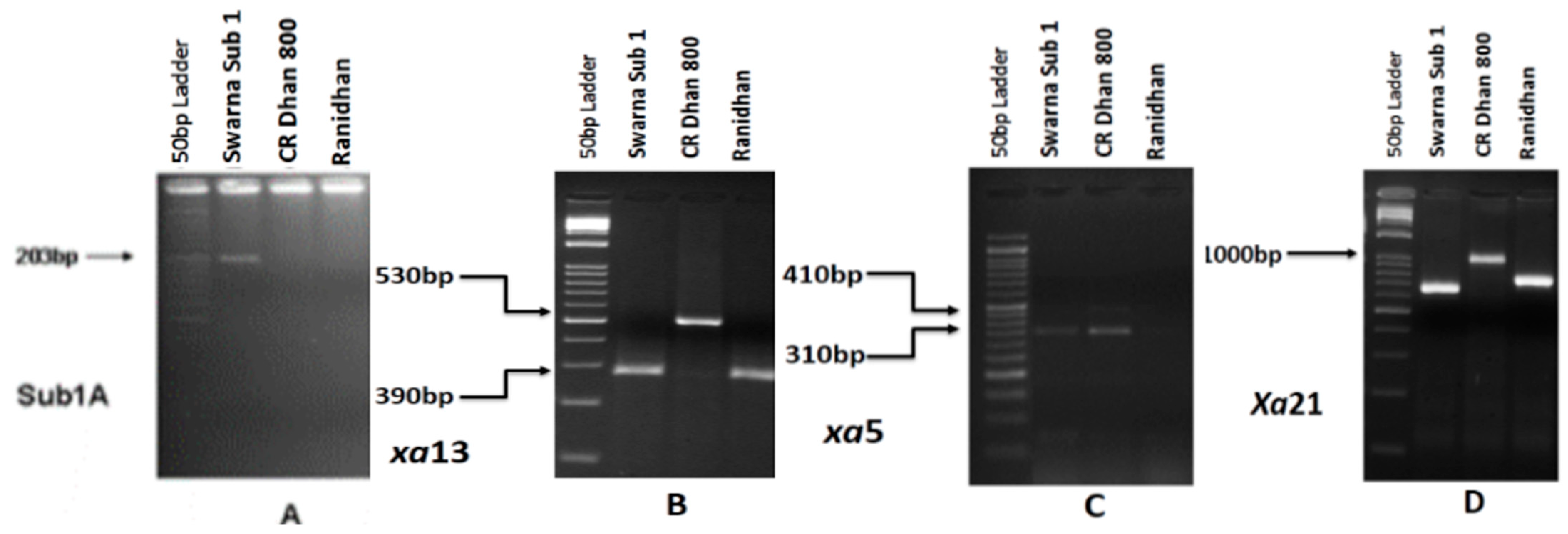
The PCR amplification was performed using the genomic DNA of Swarna-Sub1, CR Dhan 800 (Swarna MAS), and the recipient parent, Ranidhan, with molecular markers of Sub1A, xa5, xa13, and Xa21. The parental lines showed the presence of specific resistance genes and the QTL as expected, reflected by the presence of bands for Sub1A, xa5, xa13, and Xa21 (Figure 2). The donor line Swarna-Sub1 showed the presence of a specific band size of 203 bp using the marker Sub1A203, confirming the presence of the Sub1A allele. CR Dhan 800 showed the presence of bands of 530 bp, 490 bp, and 1000 bp, indicating the presence of BB resistance genes xa5, xa13, and Xa21, respectively (Figure 2).
Figure 2.
Agarose gel electrophoresis profile of parents (A) The presence of specific band size of 203 bp expected for Sub1A tolerance QTL in Swarna-Sub1 variety. Lane 1: 50 bp DNA ladder; Lane 2: Swarna-Sub1; Lane 3: CR Dhan 800; Lane 4: Ranidhan, showing the presence of xa13 (B), xa5 (C) and Xa21 (D) with their respective sizes.
3.2. Foreground Selection in Backcross-Derived Progenies
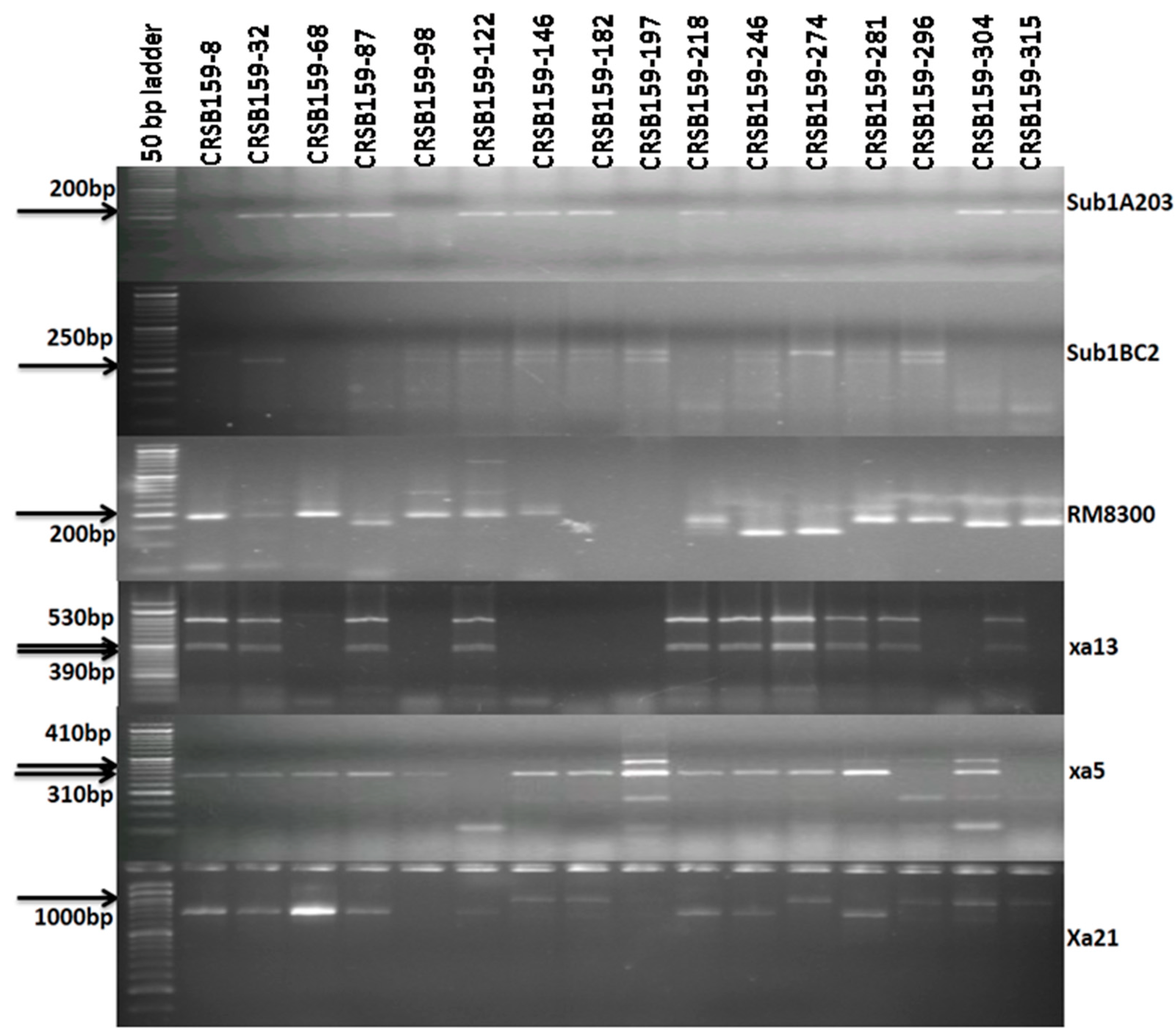
The tightly linked molecular markers for the BB resistance genes (Xa21, xa13, and xa5) and Sub 1A were used for the selection of the plants carrying the four target genes. True multiple F1′ plants were identified using submergence and the BB markers. A true multiple target gene carrying the F1 plant was hybridized with the recipient parent “Ranidhan” for generating BC1F1 seeds. A total of 396 seeds for the BC1F1 generation were generated and raised in the next season. Foreground selection was performed in progenies to select the desirable progenies carrying all target resistance genes and the QTL. Two markers for the submergence tolerance trait, Sub1A203 and Sub1BC2, were used as they showed better resolution than a single marker for confirming the presence of the target QTL. Among the 396 progenies, 142 were positive for Sub1A203 and 168 were positive for Sub1BC2 markers. It was observed in this study that 142 plants showed amplification for Sub1A203 and Sub1BC2. Therefore, 142 BC1F1 generation plants potentially contained the target QTL for submergence tolerance (Figure 3).
Figure 3.
Representative electropherogram of BC1F1-derived lines of Ranidhan using submergence tolerance markers (Sub1BC2 and Sub1A203) and markers for bacterial blight resistance genes Xa21, xa13, and xa5. The numbers at the top indicate the BC1F1generation of Ranidhan-derived lines. A 50 bp DNA ladder was used.
In the current investigation, 142 plants positive for the Sub1 allele were screened for the xa5 gene, and 68 progenies generated a positive result. A total of 25 BC1F1 derivatives tested positive for the xa13 resistance gene out of total of 68 positive plants for the xa5 gene. Lastly, 11 plants were found to be positive for the Xa21 gene among these 25 plants. We screened progenies carrying desirable genes in various combinations; however, following analysis for the desirable combination of the four target genes and QTL, we identified 11 out of 396 plants. Among those 11 progenies, the best plant was selected, according to the similarity to the important phenotypic traits of Ranidhan, for the subsequent backcross with the recipient parent to generate seeds for the BC2F1 generation. A total of 321 seeds were produced for the BC2F1 generation for further screening and evaluation. All 321 seeds collected from the second backcross generation were grown. The marker-assisted backcross breeding approach was adopted, and foreground selection was performed to select the progenies containing all four target genes. The amplification of the genomic DNA of 312 progenies was performed using the markers for submergence tolerance and bacterial blight resistance. For effective screening of submergence tolerance, a positive reaction for both Sub1A203 and Sub1BC2 with another RM marker (RM 8300) was used to confirm the presence of submergence tolerance. In the genotyping for the Sub1 QTL, 156 plants were observed to be positive for submergence tolerance by Sub1A203 marker. These 156 progenies were checked for Xa21, and 71 plants were found to be positive for the gene. These 71 progenies were screened for xa13, and 28 were found to be positive (Figure 4). Finally, these 28 plants were genotyped, and 10 were observed to be positive for the Xa21 gene. Among these 10 plants, the plant most similar to Ranidhan was selected for a further backcross with Ranidhan.
Figure 4.
Representative electropherogram of BC2 F1-derived lines of Ranidhan using submergence tolerance markers (Sub1BC2 and Sub1A203) and markers for bacterial blight resistance genes Xa21, xa13, and xa5. The numbers at the top indicate the BC1F1 generation of Ranidhan-derived lines. A 50 bp DNA ladder was used.
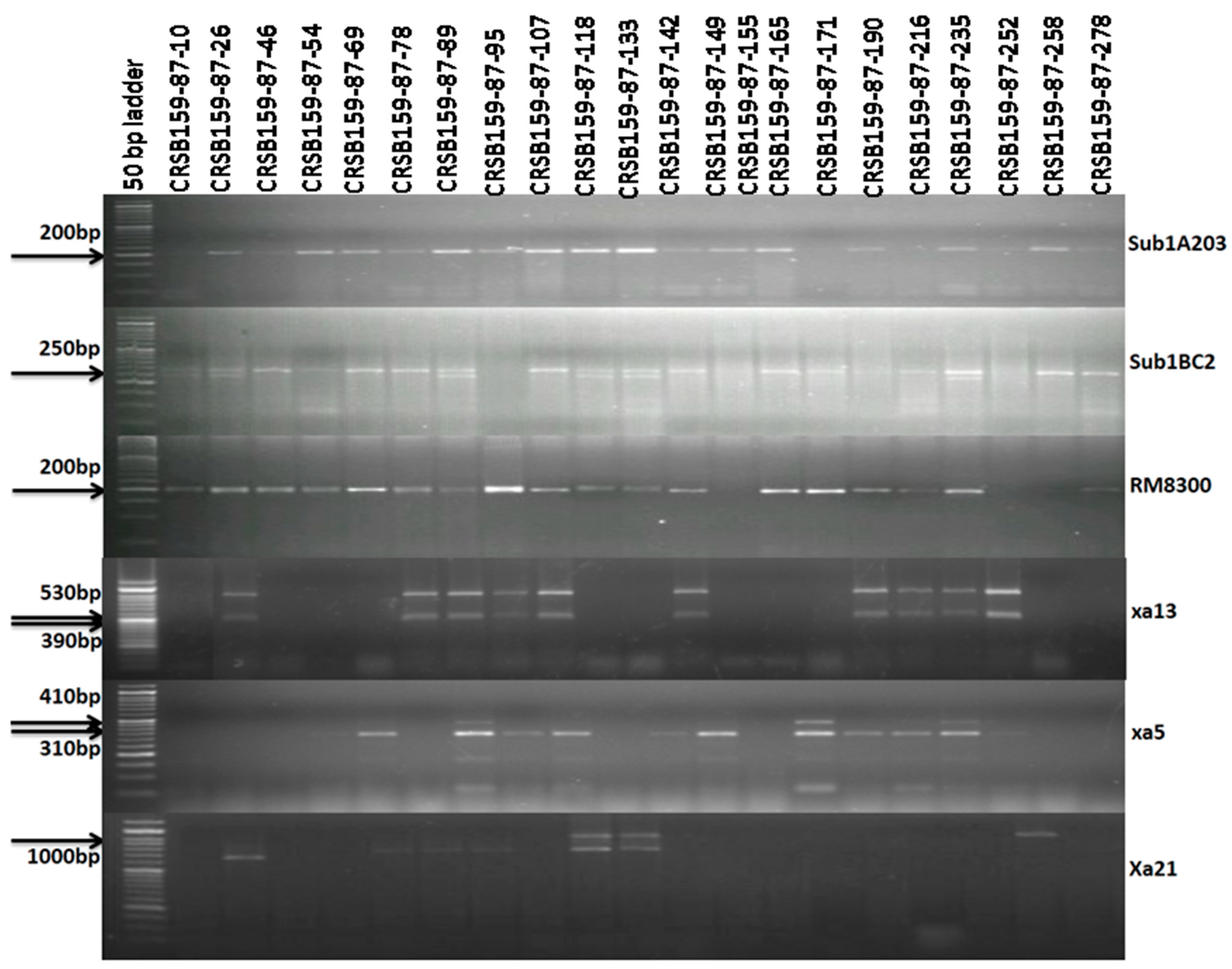
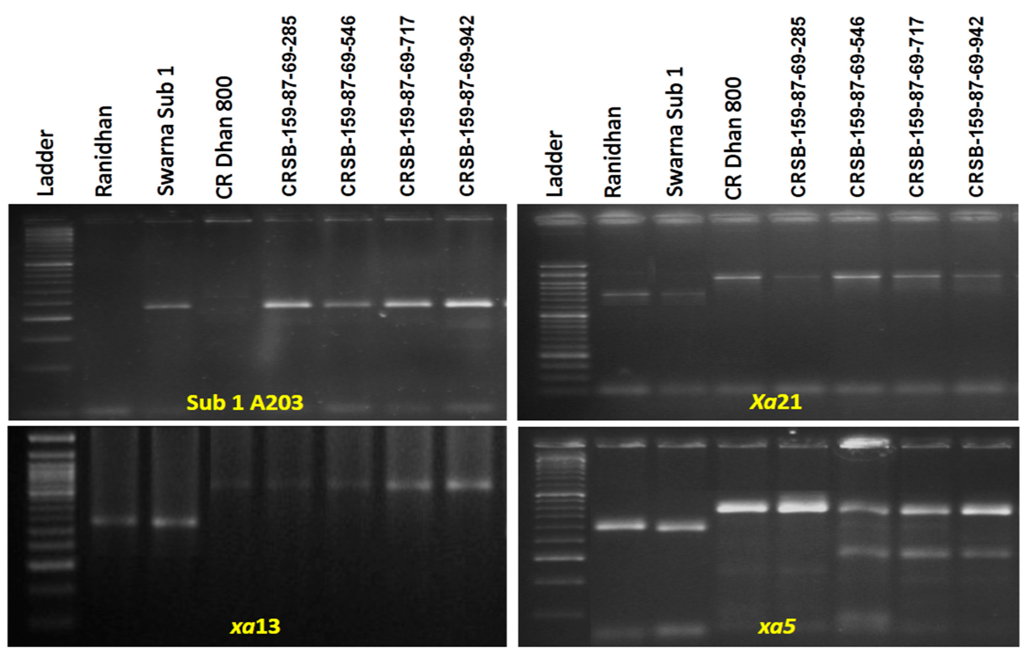
A total of 286 BC3F1 seeds were produced for further evaluation. Of these 286 progenies, 148 were Sub1A-positive plants, of which 62 were positive for the xa5 gene. From these 62 progenies, 27 plants were positive for xa13. Screening of these 27 plants yielded 12 plants positive for the Xa21 gene (Figure 5; Supplementary Figure S1). From these 12 plants, the plant with the maximum similarity to Ranidhan was selected and self-bred. A total of 1270 seeds from the best plant carrying all four genes and QTL were produced and planted. The genomic DNA of these 1270 BC3F2 plants was amplified. For the selection of plants with all four desirable genes, we screened all 1270 plants with Sub1A20, Sub1BC2, and RM8300 markers, and 215 plants were found to be homozygous. In the next step, we screened these 215 positive plants for xa5, and 47 plants were found to be homozygous. For further screening, we checked these 47 progenies for the xa13 marker, which yielded 10 homozygous plants. A final screening was performed for the Xa21 gene, and we obtained four plants carrying all genes for submergence tolerance and the QTL for bacterial leaf blight disease resistance (Sub1A+xa5+xa13+Xa21) (Figure 6). The seeds from the seven pyramided lines including the four desirable plants were self-bred and used for further evaluation.
Figure 5.
Representative electropherogram of BC3F1-derived lines of Ranidhan using submergence tolerance markers (Sub1BC2 and Sub1A203) and markers for bacterial blight resistance genes Xa21, xa13, and xa5. The numbers at the top indicate the BC1F1 generation of Ranidhan-derived lines. A 50 bp DNA ladder was used.
Figure 6.
Representative electropherogram of BC3F2-derived lines of Ranidhan using submergence tolerance markers (Sub1BC2 and Sub1A203) and markers for bacterial blight resistance genes Xa21, xa13, and xa5. A 50 bp DNA ladder was used.
3.3. Evaluation of the Pyramided and Parental Lines for Submergence Tolerance
A total of 10 genotypes were selected, comprising seven homozygous for the target gene-carrying pyramided lines and the parental lines. The pyramided lines included four lines carrying all desirable target genes/QTL (Sub1A, xa5, xa13, and Xa21), as well as three in different gene combinations. They were evaluated along with the three parents in a submergence screening tank under controlled conditions during the wet seasons of 2020 and 2021. The test genotypes were exposed to a complete submergence stress of 14 days. The regeneration ability varied from 70.6% to 94.5% in all seven pyramided lines carrying the Sub1A QTL, while the donor parent, Swarna-Sub1, showed a regeneration ability of 87.0% after 1 week of screening tank de-submergence (Figure 7). However, the donor parent, CR Dhan 800, and recipient parent, Ranidhan, did not show any regeneration. The Sub1A and BB pyramided lines were almost similar to the submergence tolerance donor parent, Swarna-Sub1, in terms of regeneration ability, while the susceptible variety, CR Dhan 800, and Ranidhan did not show regeneration and died as a result of the 14 days of submergence stress (Table 2).
Figure 7.
Regenerated plants (%) carrying the Sub1 QTL in the pyramided and parental lines evaluated under the control screening conditions 1 week after 14 days of submergence stress.
Table 2.
Mean percentage survival of pyramided and parental lines submerged for 14 days, and then de-submerged and regenerated after 7 days in the BC3F4 and BC3F5 generations.
3.4. Bioassay of the Pyramided and Parental Lines for BB Disease Resistance
Seven pyramided lines including four homozygous plants carrying three BB resistance genes, along with two donor parents (Swarna-Sub1 and CR Dhan 800) and recipient parent Ranidhan, were evaluated during the wet seasons of 2020 and 2021. The BB disease lesion length was measured after 2 weeks of Xoo strain inoculation. The lesion lengths were shorter in the donor parent, CR Dhan 800, and could resist the bacterial blight pathogen attack, which showed a mean lesion length of 1.93 cm (1.83–2.13 cm). However, the recipient parent, Ranidhan, exhibited a longer mean lesion length of 9.81 cm (9.50–10.08 cm). The mean lesion lengths observed in the derived lines varied from 2.14 to 2.25 cm (Table 3). The results clearly indicated that the pyramided lines with BB resistance genes exhibited higher resistance compared to the recurrent parent, Ranidhan.
Table 3.
Bacterial blight disease score and reaction of the pyramided and parental lines to different Xoo inoculated strains during the wet seasons of 2020 and 2021.
3.5. Agro-Morphology, Grain Yield, and Quality Traits of the Developed Pyramided and Parental Lines
Seven developed pyramided lines, including four homozygous lines carrying all four target genes and QTL in the background of Ranidhan, were evaluated during the wet seasons of 2020 and 2021. The pyramided lines were included along with the donor and recipient parents in the evaluation conducted at NRRI, Cuttack. Thirteen traits comprising yield, agro-morphology, and quality attributes were recorded. According to the 2 years evaluation data, the recipient parent showed a mean grain yield of 5.89 t/ha. However, all test entries carrying the four target genes/QTLs showed a higher grain yield than the popular variety, Ranidhan, used as a recipient parent (Table 4).
Table 4.
Evaluation of pyramided lines for various yield and agro-morphologic traits in BC3F4 and BC3F5 generations.
The pyramided line CRSB 159-87-69-942 showed the highest grain yield of 7.17 t/ha, followed by CRSB 159-87-69-717 (6.99 t/ha), CRSB 159-87-69-546 (6.845 t/ha), and CRSB 159-87-69-285 (6.765 t/ha) (Table 4). All pyramided lines exhibited higher yields than the recurrent parent, Ranidhan. The best pyramided line, CRSB 159-87-69-942, showed a yield advantage of 21.73% and 9.22% over the recurrent and BB donor parents, respectively (Table 4; Figure 8). No penalty in yield was observed in the pyramided lines upon the incorporation of submergence tolerance and bacterial blight resistance into the recipient parent. Principal component 1 explained 49.46% of the variation, while PC2 explained 16.89%. Among the traits, the highest variation was observed for panicle length, followed by the number of grains/panicle (Figure 8). The highest-yielding pyramided line showed higher spikelet fertility than the recipient parent. The pyramided lines were also similar to the recipient parent in terms of many of the agro-morphologic traits. The comparative diagrammatic representation of the agro-morphologic traits of the pyramided lines and recipient lines for plant height, number of panicles/plant, days to 50% flowering, panicle length, number of grains/panicle, seed weight, spikelet fertility, grain length and breadth, head rice recovery, and amylose content clearly showed similarity to the popular variety (Figure 9A–H, Figure 10A–D and Figure 11; Table 4).
Figure 8.
Genotype-trait biplot generated for the pyramided and parental lines using different traits: PH, plant height; NGP, number of grains/panicle; DFF, days to 50% flowering; NPP, number of panicles/plant; PL, panicle length; PW, panicle weight; SF, spikelet fertility; SW, 1000-seed weight; GL, grain length; GB, grain breadth; PY, plot yield.
Figure 9.
Diagrammatic representation of similarity of the pyramided and parental lines for (A)plant height, (B) days to 50% flowering, (C) panicle length, (D) panicle weight (g) (E) number of panicles/plant, (F) number of grains/panicle, (G) spikelet fertility, and (H) 1000-seed weight.
Figure 10.
Diagrammatic representation of similarity of the pyramided and parental lines for quality traits (A) grain length, (B) head rice recovery, (C) amylose content, and (D) grain breadth.
Figure 11.
Diagrammatic representation of similarity of the pyramided and parental lines for grain yield/plot.
4. Discussion
Rice is mostly cultivated in eastern India as a rainfed crop, representing about 80% of the total area. This region faces adverse climatic effects such as frequent flash floods, drought stress, and high wind speed. The intensities of these adverse effects have increased in recent years and are likely to further increase in future. Ranidhan is a popular late-maturing group rice variety of Odisha state. The state is located in the eastern region of the country. This variety produces high yield in normal weather. However, the variety is highly sensitive to submergence and flash flood situations. Moreover, the variety is highly susceptible to BB disease. The Ranidhan cultivators in the state suffer heavy losses in years with flash floods. Furthermore, the loss due to BB disease is very high each year. The maturity duration of this variety is in line with the major rice areas of the state. In addition, this variety produces grain types which are preferred by the people in the state. Therefore, the development of high-yielding varieties with tolerance to submergence is important for the state. The pyramided version of the Ranidhan variety carrying the Sub1 QTL and broad-spectrum BB resistance genes will be in demand as the recipient parent is already an adopted variety of the state.
The marker-based breeding approach is more precise and less time-consuming compared to the classical breeding approach. Incorporation of four target genes into the variety Ranidhan using conventional breeding will take more time. In addition, the cost of chemicals needed for controlling the disease will be saved by the growers. Furthermore, this will be an environment friendly approach as it eliminates the use of chemicals to control the BB pathogens. Pyramiding of the Xa21+xa13+xa5 BB resistance gene combination will provide a broad spectrum of resistance to the attack of BB pathogens [1,7]. The development of host plant resistance through marker-assisted breeding has been published by many previous researchers in rice [2,10,28,30,31,39]. Many high-yielding BB-susceptible rice cultivars such as Samba Mahsuri [30], the stacking of Sub1 and Sub4 BB-resistant genes in Swarna [1], and the combination of the BB resistance gene + Sub1 QTL+ yield QTL [2] have been developed through marker-assisted breeding. However, in this gene pyramiding study, we stacked three different BB resistance genes with Sub1 QTL in the popular variety Ranidhan.
High-yielding modern varieties are not suitable for rainfed rice ecosystems located in eastern India. There is a need to introduce various abiotic stress tolerance traits, particularly submergence and drought tolerance, into the high-yielding varieties. In this breeding program, submergence tolerance was transferred into the Ranidhan variety without altering other traits. The pyramided lines showed a high regeneration ability similar to the submergence-tolerant donor parent under stress conditions (Table 2; Figure 7). A complete failure of crop is observed in flooded conditions when using the sensitive Ranidhan variety under prolonged submergence. The proposed pyramided lines can be good substitutes for Ranidhan so as to stabilize production in flood-prone rainfed areas. Many high-yielding and submergence-tolerant varieties have been developed in rice using a molecular breeding approach [1,5,6,40,41,42]. The grain filling percentage in Ranidhan is relatively low under artificial inoculation and under severe bacterial blight disease. However, the BB pyramided lines showed a higher grain filling percentage compared to the recipient parent, Ranidhan (Table 4). Similar results for higher grain chaffiness under severe bacterial blight disease were reported in earlier studies [2,43,44]. No penalty in yield was observed in the pyramided lines upon the incorporation of submergence tolerance and bacterial blight resistance into the recipient parent (Table 4). Similar results were previously reported in rice following the incorporation of multiple genes [2,3,7]. The precise transfer of deficient traits into popular rice varieties by adopting molecular breeding using molecular markers has been accomplished in earlier studies [3,8,19,29,45,46,47,48]. Ranidhan is a popular variety but is susceptible to submergence caused by flooding, as well as to BB disease. In this molecular breeding program, the developed pyramided lines were submergence-tolerant and BB-resistant. The pyramided lines carried four target genes which were transferred from two donor parents. The pyramided lines showed tolerance to submergence for 14 days, as well as expected broad-spectrum resistance to the pathogens due to the incorporation of three BB resistance genes into the popular variety. Ina previous gene stacking study on submergence tolerance and BB resistance by Das and Rao [48], the rice varieties Tapaswini and Lalat were reported. However, those two varieties are mid-maturing varieties suitable for irrigated ecology. The product developed here in using a marker-assisted breeding approach in a popular variety of the late-maturing group is best suited to eastern India. However, in other studies, marker-assisted breeding was employed for the pyramiding of target resistance genes for insect pests and diseases in rice [9,10,19,30,49,50,51,52]. Only a few reports of gene pyramiding involving the combination of multiple biotic and abiotic stress tolerance traits in rice are available.
The four elite pyramided lines carrying the submergence-tolerant QTL, CRSB 159-87-69-942, CRSB 159-87-69-717, CRSB 159-87-69-546, and CRSB 159-87-69-285 identified from the BC3F2 generation, showed better regeneration ability. The pyramided lines also showed smaller mean lesion lengths (2.14 cm to 2.25 cm) than Ranidhan (9.81 cm). Additionally, these pyramided lines were similar to the popular variety Ranidhan in terms of the main agro-morphologic features, namely, plant height, number of panicles/plant, days to 50% flowering, panicle length, number of grains/panicle, seed weight, spikelet fertility, grain length, grain breadth, head rice recovery, and amylose content (Figure 9A–H; Table 4). These similar pyramided lines were achieved following three backcrosses. This was possible due to the use of two donor varieties developed in the same variety, Swarna, through marker–assisted breeding. In addition, one of the parents of the recipient parent, Ranidhan, was also of the Swarna variety. Hence, the best pyramided line carrying the target genes for bacterial leaf blight resistance and submergence tolerance was almost identical to the recurrent parent Ranidhan and, hence, will be preferred.
5. Conclusions
Ranidhan is a popular variety of Odisha state but is highly sensitive to flash floods and bacterial blight disease. The developed pyramided lines carrying the Sub1 QTL and BB resistance genes were similar to the recipient parent in terms of 10 agro-morphologic and grain quality traits. The pyramided lines will be highly suitable for the flash flood-affected areas of eastern India. The regeneration ability of the pyramided lines was on par with that of the donor parent, Swarna-Sub1. The chance of resistance breakdown by BB pathogen strains is high in the case of a single resistance gene in a breeding program. In contrast, the pyramiding of three BB resistance genes into the Ranidhan variety shows more robust resistance to BB pathogens. This resistance is both broad-spectrum and durable. The developed version of Ranidhan will be adopted easily by farmers of the region as the lines are similar to the recipient parent in terms of important morphologic and grain quality traits, and it is well suited to the rainfed rice ecology of eastern India. These pyramided lines also represent an example of combining biotic and abiotic stress resistance without any antagonistic interaction.
Supplementary Materials
The following supporting information can be downloaded at: https://www.mdpi.com/article/10.3390/biom13020198/s1, Figure S1. Hyridization and generation of cross seeds of recipient and donor parents for transfer of submergence tolerance and bacterial blight resistance in variety, Ranidhan. Figure S2. Clip inoculation of bacterial blight strains into the pyramided and parental lines. Figure S3. Screening for the submergence tolerance of the pyramided and parental lines in the screening tank. Figure S4. Molecular screening of BC1F1 progenies for submergence tolerance and bacterial blight resistance in rice variety, Ranidhan background. Figure S5. Molecular screening of BC2F1 progenies in rice variety, Ranidhan background for submergence tolerance and bacterial blight resistance. Figure S6. Molecular screening of BC3F1 progenies in rice variety, Ranidhan background for submergence tolerance and bacterial blight resistance. Figure S7. Molecular screening of BC3F2 progenies in rice variety, Ranidhan background for submergence tolerance and bacterial blight resistance.
Author Contributions
S.K.P. contributed to the planning, designing, screening, evaluation, and writing of the article; S.M., K.C.P., S.R.B., S.P.M., C.R.S., A.S., R.R.K.R. and L.B. performed the genotyping; A.K.M., J.M., B.K.J., M.R.M., D.P., B.K.J., S.K.D., J.M., A.K.M. and D.L. recorded the phenotypic data; P.K.D., L.D. and A.K.P. analyzed the data. All authors have read and agreed to the published version of the manuscript.
Funding
No funding was received from any external funding sources for this research. The institute’s internal funding (Project 1.6) was used for completion of the study.
Institutional Review Board Statement
This article does not contain any studies with human participants or animals performed by any of the authors.
Informed Consent Statement
Not applicable.
Data Availability Statement
All data generated in this study are included in the article.
Acknowledgments
The authors thank the director of the ICAR-National Rice Research Institute, Cuttack, Odisha for extending full support in providing the facilities for this research.
Conflicts of Interest
The authors declare no conflict of interest.
References
- Pradhan, S.K.; Pandit, E.; Pawar, S.; Baksh, S.Y.; Mukherjee, A.K.; Mohanty, S.P. Development of flash-flood tolerant and durable bacterial blight resistant versions of mega rice variety ‘Swarna’ through marker-assisted backcross breeding. Sci. Rep. 2019, 9, 12810. [Google Scholar] [CrossRef]
- Mohapatra, S.; Panda, A.K.; Bastia, A.K.; Mukherjee, A.K.; Sanghamitra, P.; Meher, J.; Mohanty, S.P.; Pradhan, S.K. Development of Submergence-Tolerant, Bacterial Blight-Resistant, and High-Yielding Near Isogenic Lines of Popular Variety, ‘Swarna’ through Marker-Assisted Breeding Approach. Front. Plant Sci. 2021, 12, 672618. [Google Scholar] [CrossRef]
- Pandit, E.; Pawar, S.; Barik, S.R.; Mohanty, S.P.; Meher, J.; Pradhan, S.K. Marker-Assisted Backcross Breeding for Improvement of Submergence Tolerance and Grain Yield in the Popular Rice Variety ‘Maudamani’. Agronomy 2021, 11, 1263. [Google Scholar] [CrossRef]
- Ismail, A.M.; Singh, U.S.; Singh, S.; Dar, M.H.; Mackill, D.J. Contribution of submergence-tolerant (Sub1) rice varieties to food security in food prone rainfed lowland areas in Asia. Field Crops Res. 2013, 152, 83–93. [Google Scholar] [CrossRef]
- Pradhan, S.K.; Chakraborti, M.; Chakraborty, K.; Behera, L.; Meher, J.; Subudhi, H.N. Genetic Improvement of Rainfed Shallow lowland Rice for Higher Yield and Climate Resilience. In Rice Research for Productivity, Profitability and Climate Resilience; ICAR-NRRI: Cuttack, India, 2018; pp. 107–121. [Google Scholar]
- Pradhan, S.K.; Pandit, E.; Barik, S.R.; Mohanty, S.P.; Nayak, D.K.; Sah, R.P.; Behera, L.; Sanghamitra, P.; Bose, L.K.; Das, S.R. Climate-Smart Rice Breeding: Progress and Challenges for the Rain-fed ecologies in India. In Advances in Rice Breeding: Stress Tolerance, Climate Resilience, Quality and High Yield; ICAR-NRRI: Cuttack, India, 2021; pp. 144–162. [Google Scholar]
- Pradhan, S.K.; Nayak, D.K.; Mohanty, S.; Behera, L.; Barik, S.R.; Pandit, E.; Lenka, S.; Anandan, A. Pyramiding of three bacterial blight resistance genes for broad-spectrum resistance in deep water rice variety, Jalmagna. Rice 2015, 8, 19. [Google Scholar] [CrossRef]
- Pradhan, S.K.; Barik, S.; Nayak, D.; Pradhan, A.; Pandit, E.; Nayak, P.; Das, S.; Pathak, H. Genetics, Molecular Mechanisms and Deployment of Bacterial Blight Resistance Genes in Rice. Crit. Rev. Plant Sci. 2020, 39, 360–385. [Google Scholar] [CrossRef]
- Pradhan, S.K.; Nayak, D.K.; Pandit, E.; Barik, S.R.; Mohanty, S.P.; Anandan, A.; Reddy, J.N. Characterization of morpho-quality traits and validation of bacterial blight resistance in pyramided rice genotypes under various hot spots of India. Aust. J. Crop Sci. 2015, 9, 127–134. [Google Scholar]
- Mishra, A.; Barik, S.R.; Pandit, E.; Yadav, S.S.; Das, S.R.; Pradhan, S.K. Genetics, Mechanisms and Deployment of Brown Planthopper Resistance Genes in Rice. Crit. Rev. Plant Sci. 2022, 41, 91–127. [Google Scholar] [CrossRef]
- Singh, S.; Pradhan, S.K.; Singh, A.K.; Singh, O.N. Marker validation in recombinant in bred lines and random varieties of rice for drought tolerance. Aust. J. Crop Sci. 2012, 6, 606–612. [Google Scholar]
- Pradhan, S.K.; Pandit, E.; Pawar, S.; Naveenkumar, R.; Barik, S.R.; Mohanty, S.P.; Nayak, D.K.; Ghritlahre, S.K.; Sanjiba, R.D.; Reddy, J.N.; et al. Linkage disequilibrium mapping for grain Fe and Zn enhancing QTLs useful for nutrient dense rice breeding. BMC Plant Biol. 2020, 20, 57. [Google Scholar] [CrossRef]
- Barik, S.R.; Pandit, E.; Pradhan, S.K.; Singh, S.; Swain, P.; Mohapatra, T. QTL mapping for relative water content trait at reproductive stage drought stress in rice. Indian J Genet. 2018, 78, 401–408. [Google Scholar]
- Dellaporta, S.L.; Wood, J.; Hicks, J.B. A plant DNA minipreparation: Version II. Plant Mol. Biol. Rep. 1983, 1, 19–21. [Google Scholar] [CrossRef]
- Pandit, E.; Sahoo, A.; Panda, R.K.; Mohanty, D.P.; Pani, D.R.; Anandan, A.; Pradhan, S.K. Survey of rice cultivars and landraces of upland ecology for phosphorous uptake 1(pup1) QTL using linked and gene specific molecular markers. Oryza 2016, 53, 1–9. [Google Scholar]
- Pandit, E.; Panda, R.K.; Pani, D.R.; Chandra, R.; Singh, S.; Pradhan, S.K. Molecular marker and phenotypic analyses for low phosphorus stress tolerance in cultivars and landraces of upland rice under irrigated and drought situations. Indian J. Genet. Plant Breed. 2018, 78, 59–68. [Google Scholar] [CrossRef]
- Pradhan, S.K.; Pandit, E.; Pawar, S.; Bharati, B.; Chatopadhyay, K.; Singh, S.; Dash, P.; Reddy, J.N. Association mapping reveals multiple QTLs for grain protein content in rice useful for biofortification. Mol. Genet. Genom. 2019, 294, 963–983. [Google Scholar] [CrossRef]
- Barik, S.R.; Pandit, E.; Sanghamitra, P.; Mohanty, S.P.; Behera, A.; Mishra, J.; Nayak, D.K.; Bastia, R.; Moharana, A.; Sahoo, A. Unraveling the genomic regions controlling the seed vigour index, root growth parameters and germination per cent in rice. PLoS ONE 2022, 17, e0267303. [Google Scholar] [CrossRef]
- Pradhan, K.C.; Pandit, E.; Mohanty, S.P.; Moharana, A.; Sanghamitra, P.; Meher, J.; Jena, B.K.; Dash, P.K.; Behera, L.; Mohapatra, P.M.; et al. Development of Broad Spectrum and Durable Bacterial Blight Resistant Variety through Pyramiding of Four Resistance Genes in Rice. Agronomy 2022, 12, 1903. [Google Scholar] [CrossRef]
- Sanghamitra, P.; Barik, S.R.; Bastia, R.; Mohanty, S.P.; Pandit, E.; Behera, A.; Mishra, J.; Kumar, G.; Pradhan, S.K. Detection of Genomic Regions Controlling the Antioxidant Enzymes, Phenolic Content, and Antioxidant Activities in Rice Grain through Association Mapping. Plants 2022, 11, 1463. [Google Scholar] [CrossRef]
- Wu, K.S.; Tanksley, S.D. Abundance, polymorphism and genetic mapping of micro satellites in rice. Mol. Gen. Genet. 1993, 241, 225–235. [Google Scholar] [CrossRef]
- Chen, X.; Temnykh, S.; Xu, Y.; Cho, Y.G.; McCouch, S.R. Development of a microsatellite framework map providing genome-wide coverage in rice (Oryza sativa L.). Teor. Appl. Genet. 1997, 95, 553–567. [Google Scholar] [CrossRef]
- Chu, Z.; Fu, B.; Yang, H.; Xu, C.; Li, Z.; Sanchez, A.; Park, Y.J.; Bennetzen, J.L.; Zhang, Q.; Wang, S. Targeting xa13, a recessive gene for bacterial blight resistance in rice. Teor. Appl. Genet. 2006, 112, 455–461. [Google Scholar] [CrossRef]
- Hajira, S. Development durable bacterial blight resistant lines of Samba Mahsuri possessing Xa33, Xa21, Xa13 & Xa5. Prog. Res. 2014, 9, 1224–1227. [Google Scholar]
- Huang, N.; Angeles, E.; Domingo, J.; Magpantay, G.; Singh, S.; Zhang, G.; Kumaravadivel, N.; Bennett, J.; Khush, G. Pyramiding of bacterial blight resistance genes in rice: Marker assisted selection using RFLP and PCR. Teor. Appl. Genet. 1997, 95, 313–320. [Google Scholar] [CrossRef]
- Pradhan, S.K.; Barik, S.R.; Sahoo, J.; Pandit, E.; Nayak, D.K.; Pani, D.R.; Anandan, A. Comparison of Sub1 markers and their combinations for submergence tolerance and analysis of adaptation strategies of rice in rainfed lowland ecology. Comptes. Rendus. Biol. 2015, 338, 650–659. [Google Scholar] [CrossRef]
- IRRI. Standard evaluation system for rice. In International Network for Genetic Evaluation of Rice, 5th ed.; International Rice Research Institute: Los Banos, CA, USA, 2014. [Google Scholar]
- Nayak, D.K.; Pandit, E.; Mohanty, S.; Barik, D.P.; Pradhan, S.K. Marker-assisted selection in back cross progenies for transfer of bacterial leaf blight resistance genes into a popular lowland rice cultivar. Oryza 2015, 52, 163–172. [Google Scholar]
- Pradhan, S.K.; Nayak, D.K.; Pandit, E.; Behera, L.; Anandan, A.; Mukherjee, A.K.; Lenka, S.; Barik, D.P. Incorporation of bacterial blight resistance genes into lowland rice cultivar through marker-assisted backcross breeding. Phytopathology 2016, 106, 710–718. [Google Scholar] [CrossRef]
- Pradhan, K.C.; Barik, S.R.; Mohapatra, S.; Nayak, D.K.; Pandit, E.; Jena, B.K.; Sangeeta, S.; Pradhan, A.; Samal, A.; Meher, J.; et al. Incorporation of Two Bacterial Blight Resistance Genes into the Popular Rice Variety, Ranidhan through Marker-Assisted Breeding. Agriculture 2022, 12, 1287. [Google Scholar] [CrossRef]
- Tan, Y.F.; Li, J.X.; Yu, S.B.; Xing, Y.Z.; Xu, C.G.; Zhang, Q.F. The three important traits for cooking and eating quality of rice grains are controlled by a single locus in an elite rice hybrid, Shanyou 63. Theor. Appl. Genet. 1999, 99, 642–648. [Google Scholar] [CrossRef]
- Juliano, B.O. Rice Quality Screening with the Rapid Visco Analyser; Walker, C.E., Hazelton, J.L., Eds.; Newport Scientific: Sydney, Australia, 1996; pp. 19–24. [Google Scholar]
- Hammer, Ø.; Harper, D.A.T.; Ryan, P.D. PAST: Paleontological Statistics Software Package for Education and Data Analysis. Palaeontol. Electron. 2001, 4, 9. [Google Scholar]
- International Rice Research Institute (IRRI). CropStat for Windows 7.2; IRRI: Manila, Philippines, 2007. [Google Scholar]
- Barik, S.R.; Pandit, E.; Pradhan, S.K.; Mohanty, S.P.; Mohapatra, T. Genetic mapping of morpho-physiological traits involved during reproductive stage drought tolerance in rice. PLoS ONE 2019, 14, e0214979. [Google Scholar] [CrossRef]
- Pandit, E.; Panda, R.K.; Sahoo, A.; Pani, D.R.; Pradhan, S.K. Genetic Relationship and Structure Analysis of Root Growth Angle for Improvement of Drought Avoidance in Early and Mid-Early Maturing Rice Genotypes. Rice Sci. 2020, 27, 124–132. [Google Scholar] [CrossRef]
- Pawar, S.; Pandit, E.; Mohanty, I.; Saha, D.; Pradhan, S.K. Population genetic structure and association mapping for iron toxicity tolerance in rice. PLoS ONE 2021, 16, e0246232. [Google Scholar] [CrossRef]
- Nayak, D.K.; Sahoo, S.; Barik, S.R.; Sanghamitra, P.; Sangeeta, S.; Pandit, E.; Reshmi Raj, K.R.; Basak, N.; Pradhan, S.K. Association mapping for protein, total soluble sugars, starch, amylose and chlorophyll content in rice. BMC Plant Biol. 2022, 22, 620. [Google Scholar] [CrossRef]
- Dokku, P.; Das, K.; Rao, G. Pyramiding of four resistance genes of bacterial blight in Tapaswini, an elite rice cultivar, through marker-assisted selection. Euphytica 2013, 192, 87–96. [Google Scholar] [CrossRef]
- Arunakumari, K.; Durgarani, C.V.; Satturu, V.; Sarikonda, K.R.; Chittoor, P.D.R.; Vutukuri, B.; Laha, G.S.; Nelli, A.P.K.; Gattu, S.; Jamal, M.; et al. Marker-Assisted Pyramiding of Genes Conferring Resistance Against Bacterial Blight and Blast Diseases into Indian Rice Variety MTU1010. Rice Sci. 2016, 23, 306–316. [Google Scholar] [CrossRef]
- Neeraja, C.N.; Maghirang-Rodriguez, R.; Pamplona, A.; Heuer, S.; Collard, B. A marker-assisted backcross approach for developing submergence tolerant rice cultivars. Theor. Appl. Genet. 2007, 115, 767–776. [Google Scholar] [CrossRef]
- Ifekharuddaula, K.M. Rapid and high-precision marker assisted backcrossing to introgress the SUB1 QTL into BR11, the rainfed lowland rice mega variety of Bangladesh. Euphytica 2012, 178, 83–97. [Google Scholar] [CrossRef]
- Echeverri-Rico, J.; Petro, E.; Fory, P.A.; Mosquera, G.M.; Lang, J.M.; Leach, J.E.; Lobaton, J.D.; Garcés, G.; Perafán, R.; Amezquita, N.; et al. Understanding the complexity of disease-climate interactions for rice bacterial panicle blight under tropical conditions. PLoS ONE 2021, 16, e0252061. [Google Scholar] [CrossRef]
- Niones, J.T.; Sharp, R.T.; Donayre, D.K.M. Dynamics of bacterial blight disease in resistant and susceptible rice varieties. Eur. J. Plant Pathol. 2022, 163, 1–17. [Google Scholar] [CrossRef]
- Azharudheen, T.P.; Sah, R.P.; Moharana, D.; Behera, S.; Pradhan, S.K. Genetic Improvement of Rice for Lowlands; ICAR-National Rice Research Institute: Cuttack, India, 2021; pp. 63–85. [Google Scholar]
- Sundaram, R.; Vishnupriya, M.; Biradar, S.; Laha, G.S.; Reddy, G.; Rani, N.; Sarma, N.; Sonti, R. Marker assisted introgression of bacterial blight resistance in Samba Mahsuri, an elite indica rice variety. Euphytica 2007, 160, 411–422. [Google Scholar] [CrossRef]
- Suh, J.P.; Jeung, J.U.; Noh, T.H.; Cho, Y.C.; Park, S.H.; Park, H.S.; Shin, M.S.; Kim, C.K.; Jena, K.K. Development of breeding lines with three pyramided resistance genes that confer broad-spectrum bacterial blight resistance and their molecular analysis in rice. Rice 2013, 6, 5. [Google Scholar] [CrossRef]
- Das, G.; Rao, G. Molecular marker assisted gene stacking for biotic and abiotic stress resistance genes in an elite rice cultivar. Front. Plant Sci. 2015, 6, 698. [Google Scholar] [CrossRef]
- Rajpurohit, D.; Kumar, R.; Kumar, M.; Paul, P.; Awasthi, A.; Basha, P.O.; Puri, A.; Jhang, T.; Singh, K.; Dhaliwal, H.S. Pyramiding of two bacterial blight resistance and a semi dwarfing gene in Type 3 Basmati using marker-assisted selection. Euphytica 2011, 178, 111–126. [Google Scholar] [CrossRef]
- Bhasin, H.; Bhatia, D.; Raghuvanshi, S.; Lore, J.S.; Sahi, G.K.; Kaur, B.; Vikal, Y.; Singh, K. New PCR-based sequence-tagged site marker for bacterial blight resistance gene Xa38 of rice. Mol. Breed. 2012, 30, 607–611. [Google Scholar] [CrossRef]
- Pradhan, S.K.; Das, S.R.; Patra, B.C. Advances in Rice Breeding: Stress Tolerance, Climate Resilience, Quality & High Yield; ICAR-National Rice Research Institute: Cuttack, India, 2021; pp. 1–426. [Google Scholar]
- Mohapatra, S.; Bastia, A.K.; Panda, A.K.; Pradhan, S.K. Marker-assisted selection for transfer of submergence tolerance, bacterial blight resistance and yield enhancement in the rice backcross derivatives. Aust. J. Crop Sci. 2020, 14, 1288–1294. [Google Scholar] [CrossRef]
Disclaimer/Publisher’s Note: The statements, opinions and data contained in all publications are solely those of the individual author(s) and contributor(s) and not of MDPI and/or the editor(s). MDPI and/or the editor(s) disclaim responsibility for any injury to people or property resulting from any ideas, methods, instructions or products referred to in the content. |
© 2023 by the authors. Licensee MDPI, Basel, Switzerland. This article is an open access article distributed under the terms and conditions of the Creative Commons Attribution (CC BY) license (https://creativecommons.org/licenses/by/4.0/).










