Genetic and Histopathological Heterogeneity of Neuroblastoma and Precision Therapeutic Approaches for Extremely Unfavorable Histology Subgroups
Abstract
1. Introduction
2. Prognostic Factors and Risk Classification
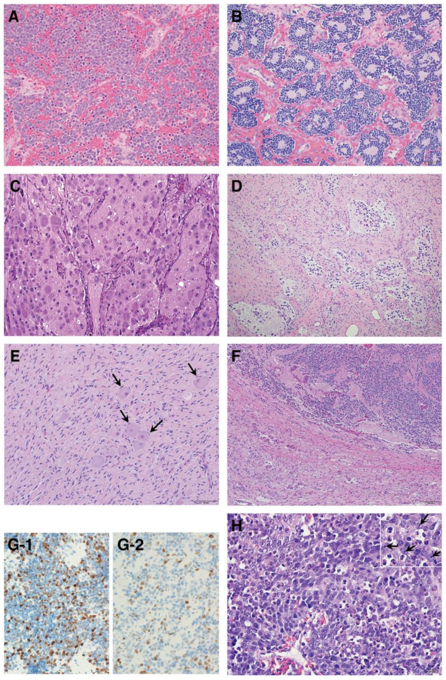
3. Histopathology of the Peripheral Neuroblastic Tumors
3.1. Favorable Histology (FH) Tumors
3.2. Unfavorable Histology (UH) Tumors
4. Molecular Heterogeneity of Unfavorable Histology (UH) Neuroblastomas
4.1. MYC Subgroup
4.2. TERT Subgroup
4.3. ALT Subgroup
4.4. Null Subgroup
5. Therapeutic Targeting of Extremely Unfavorable Histology Neuroblastomas
5.1. Targeting MYC-Family Protein Overexpression
5.1.1. Direct Targeting Approaches
- MYC/MAX dimerization inhibitors: MYC-family proteins heterodimerize with the partner, MAX, and become functional molecular complexes as transcription factors. They bind to E-Box sequences throughout the genome and globally modulate the cellular transcriptional activity. One of the ways that inhibits the function of MYC-family proteins is to interfere in the interaction between MYC-family proteins and MAX protein via small molecules. Berg et al. published the first study on MYC/MAX dimerization inhibitors in 2002 [51] and several others have followed this approach since then [52,53,54,55,56,57]. Although the efficacy of these small molecules has been improving, it appears that further refinements are still needed for MYC/MAX dimerization inhibitors before they are given further consideration for human clinical trials.
- Strategy to develop small molecules targeting the MYC transactivation domain: Historically, the direct targeting of transcription factors (TFs) with small molecules has been difficult. However, limited successes have been reported for the TFs that carry ligand-binding sites [58] or have known protein interaction interfaces, such as SH2 domains [59]. In addition, one exceptional case has been reported for small molecules inhibitors of p53–MDM2 interactions [60]. Here, we use the knowledge gained on the interactions between the transcription factor p53 and its effector molecule MDM2 to explore strategies identifying small molecules directly targeting MYC proteins. The N-terminal domain of p53 is essential for its ability to activate gene transcription; thus, it is called transactivation domain (TAD). The p53 TAD is intrinsically disordered and lacks stable tertiary and/or secondary structures under physiological conditions [61]. MDM2 is among the molecules that interact with p53. Genetic and biochemical approaches map the MDM2–p53 interaction sites to the 106-amino acid-long N terminal domain of MDM2 and the N-terminus of the transactivation domain of p53 [62,63]. High-resolution crystal structures of the N-terminal domain of MDM2, complexed with short peptides derived from the N-terminal transactivation domain of p53 (residues 15–29), demonstrated the precise structural requirements for the MDM2–p53 protein–protein interaction [64]. The interaction between p53 and MDM2 involves four key hydrophobic residues in a short amphipathic helix formed by p53 and a small but deep hydrophobic pocket in MDM2 [65]. The existence of such a well-defined pocket on the MDM2 molecule raised the expectation that compounds with low molecular weights could be found that would block the interaction of MDM2 with p53 [64]. In fact, Vassilev et al. reported potent (IC50 < 1 μM) and selective small-molecule antagonists of the MDM2–p53 interaction (i.e., Nutlins) and confirmed their mode of action through the crystal structures of the complexes [60]. The apparent reason as to why this approach was successful was that the focus of the study was placed on the structure of p53 effector molecules rather than p53 itself. In this case, it was MDM2, whose 3D structure was determined by X-ray crystallography. By analogy, if one could define a short peptide(s), which could form a stable complex with one of the MYC interacting effector molecules, such as GNC5 [66,67], then one might be able to discover small molecules that interfere in the binding of the MYC peptides (therefore, of MYC proteins) with the MYC effector molecule.
5.1.2. Indirect Targeting Approaches
- DNA G-quadruplexstabilizers: Nucleic acid (DNA and RNA) sequences rich in guanine can form four-stranded structures, called G-quadruplexes (G4) that inhibit transcription. Siddiqui-Jain et al., in 2002, first showed that a G4 structure is present in a promoter region of MYC and could be targeted with small G4 stabilizer molecules to repress MYC transcription [79]. Interestingly, the MYCN promoter also possesses G4 sequences [68], suggesting that G4 stabilizers can target both MYC and MYCN. To date, several more potent G4 stabilizers have been reported [80,81,82,83,84], including the synthetic fluoroquinolone, Quarfloxin (CX-3543), which was developed for its ability to interact with the MYC G4 sequences [69]. However, it turns out that CX-3543 is preferentially concentrated in the nucleoli of cancer cells and inhibits rRNA transcription by RNA Pol I, not at the MYC locus [85]. This selective inhibition of Pol I is likely due to the binding of CX-3543 to G4 sequences in the rDNA, as the study identified 14 putative G4-forming sequences on the non-template strand of rDNA [85]. Based on these findings, CX-3543 went into human cancer clinical trials (NCT00955292). Conversely, another fluoroquinolone, CX-5461, which was originally developed as an rRNA synthesis inhibitor (see below), has been shown to exhibit a G4-stabilizing activity [86]. APTO-253 is another small molecule tested in a Phase 1 clinical trial (NCT02267863) and both monomeric APTO-253 and a ferrous complex Fe(253)3 stabilize G4 structures present in telomeres, MYC and KIT promoters [87].
- BET (Bromo- and Extra-Terminal)-inhibitors: BET-family proteins include BRD2, BRD3, BRD4 and BRDT. These proteins bind to acetylated lysine residues of target proteins via their bromodomains. In particular, BRD4 has been shown to accumulate at super-enhancer regions through its binding to acetylated histones [88]. BRD4 co-localizes with an active enhancer marker, histone H3K27Ac, suggesting that BRD4 could directly interacts with H3K27Ac [89]. BRD4 also interacts with the multi-component scaffold protein MEDIATOR and the positive transcription elongation complex P-TEFb [90] to activate gene transcription elongation. Notably, the expression of MYC and MYCN is under the control of super-enhancers [73,89] and the MYC super-enhancers appear to be essential for MYC-dependent tumorigenesis [91]. The involvement of BRD4 in super-enhancer-driven transcriptional overdrive of MYC and MYCN expression suggests that BRD4 inhibition with small molecules can be an effective way to down-regulate MYC and MYCN transcription. Delmore et al. reported, in 2011, the first of its kind, called JQ1; the treatment of MYC-driven cancer cells with JQ1 resulted in rapid down-regulation of MYC protein and its transcriptional network [70]. Subsequently, it has also been shown that JQ1 is effective in down-regulating MYCN [71]. Clinically more relevant BET inhibitors have been tested in several clinical trials of adult cancers (NCT02391480 (Drug: ABBV-075), NCT03068351 (Drug: RO6870810), NCT02158858 (Drug: CPI-0610) and NCT02419417 (Drug: BMS-986158)) and OTX015 (NCT02698189), which has been shown to be effective against mouse and human MYCN-driven tumor models [92].
- Inhibitors of Cyclin-dependent kinases 7: The active involvement of super-enhancers of the over-driven MYCN expression in MYCN-amplified neuroblastoma came to light through the study of a covalent CDK7 inhibitor, THZ1 [73]. CDK7 binds to cyclin H and MAT1 to form a Cdk-activating kinase (CAK). CAK is a component of the transcription factor TFIIH, which is involved in transcription initiation [93]. TFIIH is a component of general transcription factors and recruits RNA Pol II to the promoters of genes to complete the formation of the transcription pre-initiation complex (PIC) [94]. Phosphorylation by CDK7 of the C-terminal domain (CTD) of serine at position 5 (S5) of RNA Pol II initiates gene transcription [94]. Subsequently, Pol II advances to the pause site, where it is stabilized by pausing factors, such as negative elongation factor (NELF) and DRB-sensitivity-inducing factor (DSIF). P-TEFb is the main factor required to release paused Pol II from the promoter-proximal region. P-TEFb is composed of CDK9 and cyclin T. P-TEFb phosphorylates the CTD of serine at position 2 (S2). Phosphorylation of the CTD at the S2 position fully activates transcription elongation [95]. Super-enhancers, together with gene specific transcription factors, BRD4 and the MEDIATOR complex, help assemble PIC more efficiently and initiate transcription via TFIIH/CAK (the CDK7 complex) at the transcriptional start site. Then, super-enhancer-bound BRD4 and the super elongation complex (SEC) recruit P-TEFb to release paused Pol II via phosphorylation of CTD at S5 [95]. Because of the hyper-activated super-enhancer-driven transcription of MYCN, the CDK7 inhibitor, THZ1, preferentially suppresses MYCN transcription. A similar finding was made for MYC in response to THZ1 in MYC-amplified SCLC (small cell lung cancer) cells [72]. Surprisingly, inhibition of CDK9 by a small molecule inhibitor, i-CDK9, enhances MYC expression and only simultaneous inhibition of CDK9 and BRD4 can efficiently induce growth arrest and apoptosis in cancer cells [96]. More clinically suitable CDK7-inhibiting drugs, SY-1365 and CT7001, are tested in Phase I clinical trials for advanced solid tumors (NCT03134638 and NCT03363893, respectively).
- Destabilization of MYCN by Aurora kinase A inhibitors: Otto et al. revealed, in 2009, that Aurora A binds to and stabilizes MYCN by preventing its FBXW7 E3 ubiquitin ligase-mediated proteasomal degradation [97]. This activity is independent of Aurora A’s catalytic activity. Gustafson et al. have further shown that inhibitors disrupting the native conformation of Aurora kinase A cause the degradation of MYCN protein [74]. Alisertib (MNL8237), an investigational inhibitor of Aurora kinase A developed by Takeda Inc., currently being tested in several adult cancer clinical trials, binds to the catalytic domain of Aurora kinase A and causes an allosteric change in the protein structure. This, in turn, releases MYCN from Aurora kinase A and causes proteasome-mediated MYCN degradation [98]. Alisertib had been tested in a Phase I trial by COG [99] and is also tested in combination with Irinotecan and Temozolomide (NCT01601535). However, Takeda terminated an Alisertib Phase 3 trial relapsed or refractory peripheral T-cell lymphoma in adult and its future in pediatric cancer trials is uncertain [100].
- Destabilization of MYC/MYCN by inhibitors of RAS signaling pathways: Two arms of RAS signaling pathways regulate the stability of MYC-family proteins through phosphorylation at T58 and S62 of MYC or equivalent residues of other MYC family members. The phosphorylation at S62 by ERK of the MEK/ERK arm of RAS pathways enhances MYC protein stability; this phosphorylation subsequently allows T58 to be phosphorylated by active (non-phosphorylated) GSK3β, whereas the PI3K/PDK1/AKT arm of RAS pathways inactivates GSK3β by phosphorylation; when MYC proteins are doubly phosphorylated at T58 and S62, the protein is recognized by the protein phosphatase PP2A, which keeps GSK3β active and dephosphorylates S62. T58 monophosphorylated MYC proteins are then recognized by FBWX7 E3 ubiquitin ligase, which polyubiquitinates MYC proteins for proteasomal degradation. Therefore, inhibition of either arm of RAS signaling pathways results in destabilization of MYC-family proteins. Over the years, potent and selective inhibitors of RAS signaling pathways have been developed and tested in human clinical trials [101,102,103]. Some of the RAS pathway inhibitors are tested in The Pediatric MATCH Screening Trial (NCT03155620).
- Translational initiation blockade of MYC mRNA by eIF4F inhibition: One of the components of the eukaryotic translation initiation complex (EIF) is eIF4A, which functions as an ATP-dependent DEAD-box RNA helicase to remove secondary structures from 5′UTR of mRNA. Ribosome-profiling assay experiments have shown that eIF4A regulates mRNA translation of transcripts with 5′UTRs containing G4-forming CGG motifs. Among the most eIF4A-sensitive mRNAs, there are several oncogenes and transcription factors (e.g., MYC, MYB, NOTCH, CDK6 and BCL2) [78]. These RNA G4 sequences may be selectively targeted by RNA G4 specific ligands [104]. These observations suggest that inhibition of eIF4A and/or stabilization of RNA G4 at 5′UTR of mRNA can suppress translation of the eIF4A-sensitive mRNAs. In fact, an inhibitor of eIF4A, Silvestrol, causes marked down-regulation of MYC, MYB, NOTCH, CDK6 and BCL2 proteins [78]. It has also been reported that Silvestrol inhibits MYC expression and suppresses tumor growth in vivo [105]. There are several additional small molecules with the eIF4A inhibiting activity, including Rocaglates, a class of natural products derived from plants of the Aglaia genus [106,107]. Rocaglamide has been shown to downregulate MYC expression [108]. CR-1-31B (CR-31) is a synthetic rocaglate [106]; when treated with CR-1-31-B at low nanomolar doses (≤20 nM), neuroblastoma cell lines exhibit decreased viability and increased apoptosis rates, as well as changes in cell cycle distribution [109]. These could be attributed to down-regulation of MYC and MYCN by CR-1-31-B. Finally, eFT226 is a clinically more relevant small molecule that inhibits translation of specific mRNAs, including MYC. Consequently, it exhibits potent antiproliferative activity and significant in vivo efficacy against a panel of diffuse large B-cell lymphoma (DLBCL) and Burkitt lymphoma mouse models with ≤1 mg/kg/week intravenous administration [110]. Moreover, the results of a Phase 1–2 study of eFT226 in advanced solid tumor malignancies are also encouraging (NCT04092673) [111]. Conversely, other translational initiation inhibitors have been tested in clinical trials, including ribavirin (e.g., NCT02073838) and eFT508 (e.g., NCT02605083). Ribavirin, a broad-spectrum antiviral drug, mimics the m7G cap structure, whereas eFT508 is an inhibitor of mitogen-activated protein kinase interacting kinase 1 and 2. Both drugs target eIF4E to inhibit translation initiation.
- Targeting MYC-driven hypertrophic nucleoli: As stated earlier, MYC-driven neuroblastomas characteristically show prominent nucleolar formation, a sign of increase in ribosome synthesis and translation. Therefore, inhibition of rRNA gene transcription and protein translation by small molecule inhibitors could represent potential therapeutic approaches for MYC-driven neuroblastomas [31]. In fact, we have explored the efficacy of small molecule inhibitors of rRNA synthesis and protein translation, such as CX-5461 and Halofuginone, respectively [31,112] (see below). These small molecules are clinically relevant as they have been tested for their efficacy in various human diseases in clinical trials [113,114].
5.2. Targeting Telomere Maintenance and Elongation
5.2.1. TERT Inhibitors
5.2.2. Inhibitors for ALT Phenotype
5.2.3. Induction of Telomere Erosion
5.3. An Emerging Common Strategy for Therapy-Resistant or -Refractory UH Neuroblastomas
6. Conclusions
Author Contributions
Funding
Acknowledgments
Conflicts of Interest
References
- Willis, R. Neuroblastoma and ganglioneuroma. In Pathology of Tumours; Appleton-Century-Crofts: New York, NY, USA, 1967. [Google Scholar]
- Brodeur, G.M.; Hogarty, M.D.; Moose, Y.P.; Maris, J.M. Neuroblastoma. In Principles and Practice of Pediatric Oncology; Pizzo, P.A., Poplack, D.G., Eds.; Lippincott Williams & Wilkins: Philadelphia, PA, USA, 2011; pp. 886–922. [Google Scholar]
- Bosse, K.R.; Maris, J.M. Advances in the translational genomics of neuroblastoma: From improving risk stratification and revealing novel biology to identifying actionable genomic alterations. Cancer 2016, 122, 20–33. [Google Scholar] [CrossRef] [PubMed]
- Matthay, K.K.; Maris, J.M.; Schleiermacher, G.; Nakagawara, A.; Mackall, C.L.; Diller, L.; Weiss, W.A. Neuroblastoma. Nat. Rev. Dis. Primers 2016, 2, 16078. [Google Scholar] [CrossRef]
- Cohn, S.L.; Pearson, A.D.; London, W.B.; Monclair, T.; Ambros, P.F.; Brodeur, G.M.; Faldum, A.; Hero, B.; Iehara, T.; Machin, D.; et al. The International Neuroblastoma Risk Group (INRG) classification system: An INRG Task Force report. J. Clin. Oncol. 2009, 27, 289–297. [Google Scholar] [CrossRef]
- Weinstein, J.L.; Katzenstein, H.M.; Cohn, S.L. Advances in the diagnosis and treatment of neuroblastoma. Oncologist 2003, 8, 278–292. [Google Scholar] [CrossRef] [PubMed]
- Park, J.R.; Bagatell, R.; London, W.B.; Maris, J.M.; Cohn, S.L.; Mattay, K.K.; Hogarty, M. Children’s Oncology Group’s 2013 blueprint for research: Neuroblastoma. Pediatric Blood Cancer 2013, 60, 985–993. [Google Scholar] [CrossRef]
- Irwin, M.S.; Naranjo, A.; Zhang, F.F.; Cohn, S.L.; London, W.B.; Gastier-Foster, J.M.; Ramirez, N.C.; Pfau, R.; Reshmi, S.; Wagner, E.; et al. Revised Neuroblastoma Risk Classification System: A Report From the Children’s Oncology Group. J. Clin. Oncol. 2021, 39, 3229–3241. [Google Scholar] [CrossRef]
- Shimada, H.; Ambros, I.M.; Dehner, L.P.; Hata, J.; Joshi, V.V.; Roald, B. Terminology and morphologic criteria of neuroblastic tumors: Recommendations by the International Neuroblastoma Pathology Committee. Cancer 1999, 86, 349–363. [Google Scholar] [CrossRef]
- Shimada, H.; Ambros, I.M.; Dehner, L.P.; Hata, J.; Joshi, V.V.; Roald, B.; Stram, D.O.; Gerbing, R.B.; Lukens, J.N.; Matthay, K.K.; et al. The International Neuroblastoma Pathology Classification (the Shimada system). Cancer 1999, 86, 364–372. [Google Scholar] [CrossRef]
- Peuchmaur, M.; d’Amore, E.S.; Joshi, V.V.; Hata, J.; Roald, B.; Dehner, L.P.; Gerbing, R.B.; Stram, D.O.; Lukens, J.N.; Matthay, K.K.; et al. Revision of the International Neuroblastoma Pathology Classification: Confirmation of favorable and unfavorable prognostic subsets in ganglioneuroblastoma, nodular. Cancer 2003, 98, 2274–2281. [Google Scholar] [CrossRef] [PubMed]
- Twist, C.J.; Naranjo, A.; Schmidt, M.L.; Tenney, S.C.; Cohn, S.L.; Meany, H.J.; Mattei, P.; Adkins, E.S.; Shimada, H.; London, W.B.; et al. Defining risk factors for chemotherapeutic intervention in infants with stage 4S neuroblastoma: A report from Children’s Oncology Group Study ANBL0531. J. Clin. Oncol. 2019, 37, 115–124. [Google Scholar] [CrossRef]
- Kawano, A.; Hazard, F.K.; Chiu, B.; Naranjo, A.; LaBarre, B.; London, W.B.; Hogarty, M.D.; Cohn, S.L.; Maris, J.M.; Park, J.R.; et al. Stage 4S Neuroblastoma: Molecular, Histologic, and Immunohistochemical Characteristics and Presence of 2 Distinct Patterns of MYCN Protein Overexpression—A Report From the Children’s Oncology Group. Am. J. Surg. Pathol. 2021, 45, 1075–1081. [Google Scholar] [CrossRef] [PubMed]
- Liu, S.; Tian, Y.; Chlenski, A.; Yang, Q.; Zage, P.; Salwen, H.R.; Crawford, S.E.; Cohn, S.L. Cross-talk between Schwann cells and neuroblasts influences the biology of neuroblastoma xenografts. Am. J. Pathol. 2005, 166, 891–900. [Google Scholar] [CrossRef][Green Version]
- Brodeur, G.M.; Minturn, J.E.; Ho, R.; Simpson, A.M.; Iyer, R.; Varela, C.R.; Light, J.E.; Kolla, V.; Evans, A.E. Trk receptor expression and inhibition in neuroblastomas. Clin. Cancer Res. 2009, 15, 3244–3250. [Google Scholar] [CrossRef]
- Pajtler, K.W.; Mahlow, E.; Odersky, A.; Lindner, S.; Stephan, H.; Bendix, I.; Eggert, A.; Schramm, A.; Schulte, J.H. Neuroblastoma in dialog with its stroma: NTRK1 is a regulator of cellular cross-talk with Schwann cells. Oncotarget 2014, 5, 11180–11192. [Google Scholar] [CrossRef] [PubMed]
- Teshiba, R.; Kawano, S.; Wang, L.L.; He, L.; Naranjo, A.; London, W.B.; Seeger, R.C.; Gastier-Foster, J.M.; Look, A.T.; Hogarty, M.D.; et al. Age-dependent prognostic effect by Mitosis-Karyorrhexis Index in neuroblastoma: A report from the Children’s Oncology Group. Pediatric Dev. Pathol. 2014, 17, 441–449. [Google Scholar] [CrossRef]
- Sawada, T.; Kidowaki, T.; Sakamoto, I.; Hashida, T.; Matsumura, T.; Nakagawa, M.; Kusunoki, T. Neuroblastoma. Mass screening for early detection and its prognosis. Cancer 1984, 53, 2731–2735. [Google Scholar] [CrossRef]
- Woods, W.G. Screening for neuroblastoma: The final chapters. J. Pediatric Hematol. Oncol. 2003, 25, 3–4. [Google Scholar] [CrossRef]
- Brodeur, G.M.; Look, A.T.; Shimada, H.; Hamilton, V.M.; Maris, J.M.; Hann, H.W.; Leclerc, J.M.; Bernstein, M.; Brisson, L.C.; Brossard, J.; et al. Biological aspects of neuroblastomas identified by mass screening in quebec. Med. Pediatric Oncol. 2001, 36, 157–159. [Google Scholar] [CrossRef]
- Kawakami, T.; Monobe, Y.; Monforte, H.; Woods, W.G.; Tuchman, M.; Lemieux, B.; Brisson, L.; Bernstein, M.; Brossard, J.; Leclerc, J.M.; et al. Pathology review of screening negative neuroblastomas. Cancer 1998, 83, 575–581. [Google Scholar] [CrossRef]
- Shimada, H.; Stram, D.O.; Chatten, J.; Joshi, V.V.; Hachitanda, Y.; Brodeur, G.M.; Lukens, J.N.; Matthay, K.K.; Seeger, R.C. Identification of subsets of neuroblastomas by combined histopathologic and N-myc analysis. J. Natl. Cancer Inst. 1995, 87, 1470–1476. [Google Scholar] [CrossRef]
- Angelini, P.; London, W.B.; Cohn, S.L.; Pearson, A.D.J.; Matthay, K.K.; Monclair, T.; Ambros, P.F.; Shimada, H.; Leuschner, I.; Peuchmaur, M.; et al. Characteristics and outcome of patients with ganglioneuroblastoma, nodular subtype: A report from the INRG project. Eur. J. Cancer 2012, 48, 1185–1191. [Google Scholar] [CrossRef] [PubMed]
- Ikegaki, N.; Shimada, H. International Neuroblastoma Pathology Committee Subgrouping of Unfavorable Histology Neuroblastomas with Immunohistochemistry Toward Precision Prognosis and Therapy Stratification. JCO Precis. Oncol. 2019, 3, 1–7. [Google Scholar]
- Wang, L.L.; Teshiba, R.; Ikegaki, N.; Tang, X.X.; Naranjo, A.; London, W.B.; Hogarty, M.D.; Gastier-Foster, J.M.; Look, A.T.; Park, J.R.; et al. Augmented expression of MYC and/or MYCN protein defines highly aggressive MYC-driven neuroblastoma: A Children’s Oncology Group study. Br. J. Cancer 2015, 113, 57–63. [Google Scholar] [CrossRef] [PubMed]
- Valentijn, L.J.; Koster, J.; Zwijnenburg, D.A.; Hasselt, N.E.; van Sluis, P.; Volckmann, R.; van Noesel, M.M.; George, R.E.; Tytgat, G.A.; Molenaar, J.J.; et al. TERT rearrangements are frequent in neuroblastoma and identify aggressive tumors. Nat. Genet. 2015, 47, 1411–1414. [Google Scholar] [CrossRef] [PubMed]
- Koneru, B.; Lopez, G.; Farooqi, A.; Conkrite, K.L.; Nguyen, T.H.; Macha, S.J.; Modi, A.; Rokita, J.L.; Urias, E.; Hindle, A.; et al. Telomere Maintenance Mechanisms Define Clinical Outcome in High-Risk Neuroblastoma. Cancer Res. 2020, 80, 2663–2675. [Google Scholar] [CrossRef]
- Yeager, T.R.; Neumann, A.A.; Englezou, A.; Huschtscha, L.I.; Noble, J.R.; Reddel, R.R. Telomerase-negative Immortalized Human Cells Contain a Novel Type of Promyelocytic Leukemia (PML) Body. Cancer Res. 1999, 59, 4175–4179. [Google Scholar] [PubMed]
- Udugama, M.; Sanij, E.; Voon, H.P.; Son, J.; Hii, L.; Henson, J.D.; Chan, F.L.; Chang, F.T.; Liu, Y.; Pearson, R.B. Ribosomal DNA copy loss and repeat instability in ATRX-mutated cancers. Proc. Natl. Acad. Sci. USA 2018, 115, 4737–4742. [Google Scholar] [CrossRef]
- Koschmann, C.; Calinescu, A.-A.; Nunez, F.J.; Mackay, A.; Fazal-Salom, J.; Thomas, D.; Mendez, F.; Kamran, N.; Dzaman, M.; Mulpuri, L. ATRX loss promotes tumor growth and impairs nonhomologous end joining DNA repair in glioma. Sci. Transl. Med. 2016, 8, 328ra28. [Google Scholar] [CrossRef]
- Niemas-Teshiba, R.; Matsuno, R.; Wang, L.L.; Tang, X.X.; Chiu, B.; Zeki, J.; Coburn, J.; Ornell, K.; Naranjo, A.; Van Ryn, C.; et al. MYC-family protein overexpression and prominent nucleolar formation represent prognostic indicators and potential therapeutic targets for aggressive high-MKI neuroblastomas: A report from the children’s oncology group. Oncotarget 2018, 9, 6416–6432. [Google Scholar] [CrossRef]
- Suganuma, R.; Wang, L.L.; Sano, H.; Naranjo, A.; London, W.B.; Seeger, R.C.; Hogarty, M.D.; Gastier-Foster, J.M.; Look, A.T.; Park, J.R.; et al. Peripheral neuroblastic tumors with genotype-phenotype discordance: A report from the Children’s Oncology Group and the International Neuroblastoma Pathology Committee. Pediatric Blood Cancer 2013, 60, 363–370. [Google Scholar] [CrossRef]
- Matsuno, R.; Gifford, A.J.; Fang, J.; Warren, M.; Lukeis, R.E.; Trahair, T.; Sugimoto, T.; Marachelian, A.; Asgharzadeh, S.; Maris, J.M.; et al. Rare MYC-amplified Neuroblastoma With Large Cell Histology. Pediatric Dev. Pathol. 2018, 21, 461–466. [Google Scholar] [CrossRef]
- Zimmerman, M.W.; Liu, Y.; He, S.; Durbin, A.D.; Abraham, B.J.; Easton, J.; Shao, Y.; Xu, B.; Zhu, S.; Zhang, X.; et al. MYC Drives a Subset of High-Risk Pediatric Neuroblastomas and Is Activated through Mechanisms Including Enhancer Hijacking and Focal Enhancer Amplification. Cancer Discov. 2018, 8, 320–335. [Google Scholar] [CrossRef]
- Wei, S.-J.; Nguyen, T.H.; Yang, I.-H.; Mook, D.G.; Makena, M.R.; Verlekar, D.; Hindle, A.; Martinez, G.M.; Yang, S.; Shimada, H.; et al. MYC transcription activation mediated by OCT4 as a mechanism of resistance to 13-cisRA-mediated differentiation in neuroblastoma. Cell Death Dis. 2020, 11, 368. [Google Scholar] [CrossRef]
- Wang, L.L.; Suganuma, R.; Ikegaki, N.; Tang, X.; Naranjo, A.; McGrady, P.; London, W.B.; Hogarty, M.D.; Gastier-Foster, J.M.; Look, A.T.; et al. Neuroblastoma of undifferentiated subtype, prognostic significance of prominent nucleolar formation, and MYC/MYCN protein expression: A report from the Children’s Oncology Group. Cancer 2013, 119, 3718–3726. [Google Scholar] [CrossRef]
- Tornoczky, T.; Kalman, E.; Kajtar, P.G.; Nyari, T.; Pearson, A.D.; Tweddle, D.A.; Board, J.; Shimada, H. Large cell neuroblastoma: A distinct phenotype of neuroblastoma with aggressive clinical behavior. Cancer 2004, 100, 390–397. [Google Scholar] [CrossRef]
- Tornóczky, T.; Kaszás, B.; Ottóffy, G.; Hosnyánszki, D.; Simon, R.; Hazard, F.K.; Shimada, H. Large cell neuroblastoma—Phenotypical variant of MYC-driven neuroblastoma: Report of 2 cases with different molecular characteristics. Hum. Pathol. Case Rep. 2021, 24, 200493. [Google Scholar] [CrossRef]
- Ikegaki, N.; Shimada, H.; Fox, A.M.; Regan, P.L.; Jacobs, J.R.; Hicks, S.L.; Rappaport, E.F.; Tang, X.X. Transient treatment with epigenetic modifiers yields stable neuroblastoma stem cells resembling aggressive large-cell neuroblastomas. Proc. Natl. Acad. Sci. USA 2013, 110, 6097–6102. [Google Scholar] [CrossRef]
- Lindner, S.; Bachmann, H.S.; Odersky, A.; Schaefers, S.; Klein-Hitpass, L.; Hero, B.; Fischer, M.; Eggert, A.; Schramm, A.; Schulte, J.H. Absence of telomerase reverse transcriptase promoter mutations in neuroblastoma. Biomed. Rep. 2015, 3, 443–446. [Google Scholar] [CrossRef]
- Lindsey, J.C.; Schwalbe, E.C.; Potluri, S.; Bailey, S.; Williamson, D.; Clifford, S.C. TERT promoter mutation and aberrant hypermethylation are associated with elevated expression in medulloblastoma and characterise the majority of non-infant SHH subgroup tumours. Acta Neuropathol. 2014, 127, 307–309. [Google Scholar] [CrossRef]
- Lee, S.; Borah, S.; Bahrami, A. Detection of Aberrant TERT Promoter Methylation by Combined Bisulfite Restriction Enzyme Analysis for Cancer Diagnosis. J. Mol. Diagn. 2017, 19, 378–386. [Google Scholar] [CrossRef]
- Cheung, N.K.; Zhang, J.; Lu, C.; Parker, M.; Bahrami, A.; Tickoo, S.K.; Heguy, A.; Pappo, A.S.; Federico, S.; Dalton, J.; et al. St Jude Children’s Research Hospital-Washington University Pediatric Cancer Genome, P Association of age at diagnosis and genetic mutations in patients with neuroblastoma. JAMA 2012, 307, 1062–1071. [Google Scholar] [CrossRef]
- Salomoni, P. The PML-Interacting Protein DAXX: Histone Loading Gets into the Picture. Front. Oncol. 2013, 3, 152. [Google Scholar] [CrossRef]
- Levy, M.A.; Kernohan, K.D.; Jiang, Y.; Bérubé, N.G. ATRX promotes gene expression by facilitating transcriptional elongation through guanine-rich coding regions. Hum. Mol. Genet. 2014, 24, 1824–1835. [Google Scholar] [CrossRef]
- Law, M.J.; Lower, K.M.; Voon, H.P.; Hughes, J.R.; Garrick, D.; Viprakasit, V.; Mitson, M.; De Gobbi, M.; Marra, M.; Morris, A.; et al. ATR-X syndrome protein targets tandem repeats and influences allele-specific expression in a size-dependent manner. Cell 2010, 143, 367–378. [Google Scholar] [CrossRef]
- Heaphy, C.M.; De Wilde, R.F.; Jiao, Y.; Klein, A.P.; Edil, B.H.; Shi, C.; Bettegowda, C.; Rodriguez, F.J.; Eberhart, C.G.; Hebbar, S. Altered telomeres in tumors with ATRX and DAXX mutations. Science 2011, 333, 425. [Google Scholar] [CrossRef]
- Chami, R.; Marrano, P.; Teerapakpinyo, C.; Arnoldo, A.; Shago, M.; Shuangshoti, S.; Thorner, P.S. Immunohistochemistry for ATRX Can Miss ATRX Mutations. Am. J. Surg. Pathol. 2019, 43, 1203–1211. [Google Scholar] [CrossRef]
- Dagg, R.A.; Pickett, H.A.; Neumann, A.A.; Napier, C.E.; Henson, J.D.; Teber, E.T.; Arthur, J.W.; Reynolds, C.P.; Murray, J.; Haber, M.; et al. Extensive Proliferation of Human Cancer Cells with Ever-Shorter Telomeres. Cell Rep. 2017, 19, 2544–2556. [Google Scholar] [CrossRef]
- Darnell, J.E., Jr. Transcription factors as targets for cancer therapy. Nat. Rev. Cancer 2002, 2, 740–749. [Google Scholar] [CrossRef]
- Berg, T.; Cohen, S.B.; Desharnais, J.; Sonderegger, C.; Maslyar, D.J.; Goldberg, J.; Boger, D.L.; Vogt, P.K. Small-molecule antagonists of Myc/Max dimerization inhibit Myc-induced transformation of chicken embryo fibroblasts. Proc. Natl. Acad. Sci. USA 2002, 99, 3830–3835. [Google Scholar] [CrossRef]
- Muller, I.; Larsson, K.; Frenzel, A.; Oliynyk, G.; Zirath, H.; Prochownik, E.V.; Westwood, N.J.; Henriksson, M.A. Targeting of the MYCN protein with small molecule c-MYC inhibitors. PLoS ONE 2014, 9, e97285. [Google Scholar] [CrossRef]
- Chauhan, J.; Wang, H.; Yap, J.L.; Sabato, P.E.; Hu, A.; Prochownik, E.V.; Fletcher, S. Discovery of Methyl 4′-Methyl-5-(7-nitrobenzo [c][1,2,5] oxadiazol-4-yl)-[1, 1′-biphenyl]-3-carboxylate, an Improved Small-Molecule Inhibitor of c-Myc–Max Dimerization. ChemMedChem 2014, 9, 2274–2285. [Google Scholar] [CrossRef]
- Wang, H.; Hammoudeh, D.I.; Follis, A.V.; Reese, B.E.; Lazo, J.S.; Metallo, S.J.; Prochownik, E.V. Improved low molecular weight Myc-Max inhibitors. Mol. Cancer Ther. 2007, 6, 2399–2408. [Google Scholar] [CrossRef]
- Perini, G.; Diolaiti, D.; Porro, A.; Della Valle, G. In vivo transcriptional regulation of N-Myc target genes is controlled by E-box methylation. Proc. Natl. Acad. Sci. USA 2005, 102, 12117–12122. [Google Scholar] [CrossRef]
- Castell, A.; Yan, Q.; Fawkner, K.; Hydbring, P.; Zhang, F.; Verschut, V.; Franco, M.; Zakaria, S.M.; Bazzar, W.; Goodwin, J.; et al. A selective high affinity MYC-binding compound inhibits MYC:MAX interaction and MYC-dependent tumor cell proliferation. Sci. Rep. 2018, 8, 10064. [Google Scholar] [CrossRef]
- Madden, S.K.; de Araujo, A.D.; Gerhardt, M.; Fairlie, D.P.; Mason, J.M. Taking the Myc out of cancer: Toward therapeutic strategies to directly inhibit c-Myc. Mol. Cancer 2021, 20, 3. [Google Scholar] [CrossRef]
- Shiau, A.K.; Barstad, D.; Loria, P.M.; Cheng, L.; Kushner, P.J.; Agard, D.A.; Greene, G.L. The structural basis of estrogen receptor/coactivator recognition and the antagonism of this interaction by tamoxifen. Cell 1998, 95, 927–937. [Google Scholar] [CrossRef]
- Zhang, X.; Yue, P.; Page, B.D.; Li, T.; Zhao, W.; Namanja, A.T.; Paladino, D.; Zhao, J.; Chen, Y.; Gunning, P.T.; et al. Orally bioavailable small-molecule inhibitor of transcription factor Stat3 regresses human breast and lung cancer xenografts. Proc. Natl. Acad. Sci. USA 2012, 109, 9623–9628. [Google Scholar] [CrossRef]
- Vassilev, L.T.; Vu, B.T.; Graves, B.; Carvajal, D.; Podlaski, F.; Filipovic, Z.; Kong, N.; Kammlott, U.; Lukacs, C.; Klein, C.; et al. In vivo activation of the p53 pathway by small-molecule antagonists of MDM2. Science 2004, 303, 844–848. [Google Scholar] [CrossRef]
- Lane, D.P.; Hupp, T.R. Drug discovery and p53. Drug Discov. Today 2003, 8, 347–355. [Google Scholar] [CrossRef]
- Chen, J.; Marechal, V.; Levine, A.J. Mapping of the p53 and mdm-2 interaction domains. Mol. Cell Biol. 1993, 13, 4107–4114. [Google Scholar]
- Picksley, S.M.; Vojtesek, B.; Sparks, A.; Lane, D.P. Immunochemical analysis of the interaction of p53 with MDM2;--fine mapping of the MDM2 binding site on p53 using synthetic peptides. Oncogene 1994, 9, 2523–2529. [Google Scholar]
- Kussie, P.H.; Gorina, S.; Marechal, V.; Elenbaas, B.; Moreau, J.; Levine, A.J.; Pavletich, N.P. Structure of the MDM2 oncoprotein bound to the p53 tumor suppressor transactivation domain. Science 1996, 274, 948–953. [Google Scholar] [CrossRef]
- Shangary, S.; Wang, S. Small-molecule inhibitors of the MDM2-p53 protein-protein interaction to reactivate p53 function: A novel approach for cancer therapy. Annu. Rev. Pharmacol. Toxicol. 2009, 49, 223–241. [Google Scholar] [CrossRef]
- Zhang, N.; Ichikawa, W.; Faiola, F.; Lo, S.Y.; Liu, X.; Martinez, E. MYC interacts with the human STAGA coactivator complex via multivalent contacts with the GCN5 and TRRAP subunits. Biochim. Biophys. Acta 2014, 1839, 395–405. [Google Scholar] [CrossRef]
- Toma-Fukai, S.; Hibi, R.; Naganuma, T.; Sakai, M.; Saijo, S.; Shimizu, N.; Matsumoto, M.; Shimizu, T. Crystal structure of GCN5 PCAF N-terminal domain reveals atypical ubiquitin ligase structure. J. Biol. Chem. 2020, 295, 14630–14639. [Google Scholar] [CrossRef]
- Benabou, S.; Ferreira, R.; Avino, A.; Gonzalez, C.; Lyonnais, S.; Sola, M.; Eritja, R.; Jaumot, J.; Gargallo, R. Solution equilibria of cytosine- and guanine-rich sequences near the promoter region of the n-myc gene that contain stable hairpins within lateral loops. Biochim. Biophys. Acta 2014, 1840, 41–52. [Google Scholar] [CrossRef]
- Brooks, T.A.; Hurley, L.H. Targeting MYC Expression through G-Quadruplexes. Genes Cancer 2010, 1, 641–649. [Google Scholar] [CrossRef]
- Delmore, J.E.; Issa, G.C.; Lemieux, M.E.; Rahl, P.B.; Shi, J.; Jacobs, H.M.; Kastritis, E.; Gilpatrick, T.; Paranal, R.M.; Qi, J.; et al. BET bromodomain inhibition as a therapeutic strategy to target c-Myc. Cell 2011, 146, 904–917. [Google Scholar] [CrossRef]
- Puissant, A.; Frumm, S.M.; Alexe, G.; Bassil, C.F.; Qi, J.; Chanthery, Y.H.; Nekritz, E.A.; Zeid, R.; Gustafson, W.C.; Greninger, P.; et al. Targeting MYCN in neuroblastoma by BET bromodomain inhibition. Cancer Discov. 2013, 3, 308–323. [Google Scholar] [CrossRef]
- Christensen, C.L.; Kwiatkowski, N.; Abraham, B.J.; Carretero, J.; Al-Shahrour, F.; Zhang, T.; Chipumuro, E.; Herter-Sprie, G.S.; Akbay, E.A.; Altabef, A.; et al. Targeting transcriptional addictions in small cell lung cancer with a covalent CDK7 inhibitor. Cancer Cell 2014, 26, 909–922. [Google Scholar] [CrossRef]
- Chipumuro, E.; Marco, E.; Christensen, C.L.; Kwiatkowski, N.; Zhang, T.; Hatheway, C.M.; Abraham, B.J.; Sharma, B.; Yeung, C.; Altabef, A.; et al. CDK7 inhibition suppresses super-enhancer-linked oncogenic transcription in MYCN-driven cancer. Cell 2014, 159, 1126–1139. [Google Scholar] [CrossRef]
- Gustafson, W.C.; Meyerowitz, J.G.; Nekritz, E.A.; Chen, J.; Benes, C.; Charron, E.; Simonds, E.F.; Seeger, R.; Matthay, K.K.; Hertz, N.T.; et al. Drugging MYCN through an allosteric transition in Aurora kinase A. Cancer Cell 2014, 26, 414–427. [Google Scholar] [CrossRef]
- Burotto, M.; Chiou, V.L.; Lee, J.M.; Kohn, E.C. The MAPK pathway across different malignancies: A new perspective. Cancer 2014, 120, 3446–3456. [Google Scholar] [CrossRef]
- Manning, B.D.; Toker, A. AKT/PKB Signaling: Navigating the Network. Cell 2017, 169, 381–405. [Google Scholar] [CrossRef]
- Cammas, A.; Millevoi, S. RNA G-quadruplexes: Emerging mechanisms in disease. Nucleic Acids Res. 2017, 45, 1584–1595. [Google Scholar] [CrossRef]
- Wolfe, A.L.; Singh, K.; Zhong, Y.; Drewe, P.; Rajasekhar, V.K.; Sanghvi, V.R.; Mavrakis, K.J.; Jiang, M.; Roderick, J.E.; Van der Meulen, J. RNA G-quadruplexes cause eIF4A-dependent oncogene translation in cancer. Nature 2014, 513, 65. [Google Scholar] [CrossRef]
- Siddiqui-Jain, A.; Grand, C.L.; Bearss, D.J.; Hurley, L.H. Direct evidence for a G-quadruplex in a promoter region and its targeting with a small molecule to repress c-MYC transcription. Proc. Natl. Acad. Sci. USA 2002, 99, 11593–11598. [Google Scholar] [CrossRef]
- Sun, D.; Liu, W.J.; Guo, K.; Rusche, J.J.; Ebbinghaus, S.; Gokhale, V.; Hurley, L.H. The proximal promoter region of the human vascular endothelial growth factor gene has a G-quadruplex structure that can be targeted by G-quadruplex-interactive agents. Mol. Cancer Ther. 2008, 7, 880–889. [Google Scholar] [CrossRef]
- Ruggiero, E.; Richter, S.N. G-quadruplexes and G-quadruplex ligands: Targets and tools in antiviral therapy. Nucleic Acids Res. 2018, 46, 3270–3283. [Google Scholar] [CrossRef]
- Pagano, B.; Amato, J.; Iaccarino, N.; Cingolani, C.; Zizza, P.; Biroccio, A.; Novellino, E.; Randazzo, A. Looking for efficient G-quadruplex ligands: Evidence for selective stabilizing properties and telomere damage by drug-like molecules. ChemMedChem 2015, 10, 640–649. [Google Scholar] [CrossRef]
- Li, Q.; Xiang, J.-F.; Yang, Q.-F.; Sun, H.-X.; Guan, A.-J.; Tang, Y.-L. G4LDB: A database for discovering and studying G-quadruplex ligands. Nucleic. Acids Res. 2012, 41, D1115–D1123. [Google Scholar]
- Wang, Y.-H.; Yang, Q.-F.; Lin, X.; Chen, D.; Wang, Z.-Y.; Chen, B.; Han, H.-Y.; Chen, H.-D.; Cai, K.-C.; Li, Q.; et al. G4LDB 2.2: A database for discovering and studying G-quadruplex and i-Motif ligands. Nucleic. Acids Res. 2021, 50, D150–D160. [Google Scholar] [CrossRef]
- Drygin, D.; Siddiqui-Jain, A.; O’Brien, S.; Schwaebe, M.; Lin, A.; Bliesath, J.; Ho, C.B.; Proffitt, C.; Trent, K.; Whitten, J.P.; et al. Anticancer activity of CX-3543: A direct inhibitor of rRNA biogenesis. Cancer Res. 2009, 69, 7653–7661. [Google Scholar] [CrossRef] [PubMed]
- Xu, H.; Di Antonio, M.; McKinney, S.; Mathew, V.; Ho, B.; O’Neil, N.J.; Santos, N.D.; Silvester, J.; Wei, V.; Garcia, J.; et al. CX-5461 is a DNA G-quadruplex stabilizer with selective lethality in BRCA1/2 deficient tumours. Nat. Commun. 2017, 8, 14432. [Google Scholar] [CrossRef]
- Local, A.; Zhang, H.; Benbatoul, K.D.; Folger, P.; Sheng, X.; Tsai, C.-Y.; Howell, S.B.; Rice, W.G. APTO-253 stabilizes G-quadruplex DNA, inhibits MYC expression and induces DNA damage in acute myeloid leukemia cells. Mol. Cancer Ther. Molcanther 2018, 17, 1177–1186. [Google Scholar] [CrossRef] [PubMed]
- Zippo, A.; Serafini, R.; Rocchigiani, M.; Pennacchini, S.; Krepelova, A.; Oliviero, S. Histone crosstalk between H3S10ph and H4K16ac generates a histone code that mediates transcription elongation. Cell 2009, 138, 1122–1136. [Google Scholar] [CrossRef]
- Chapuy, B.; McKeown, M.R.; Lin, C.Y.; Monti, S.; Roemer, M.G.; Qi, J.; Rahl, P.B.; Sun, H.H.; Yeda, K.T.; Doench, J.G. Discovery and characterization of super-enhancer-associated dependencies in diffuse large B cell lymphoma. Cancer Cell 2013, 24, 777–790. [Google Scholar] [CrossRef] [PubMed]
- Yang, Z.; Yik, J.H.; Chen, R.; He, N.; Jang, M.K.; Ozato, K.; Zhou, Q. Recruitment of P-TEFb for stimulation of transcriptional elongation by the bromodomain protein Brd4. Mol. Cell 2005, 19, 535–545. [Google Scholar] [CrossRef] [PubMed]
- Dave, K.; Sur, I.; Yan, J.; Zhang, J.; Kaasinen, E.; Zhong, F.; Blaas, L.; Li, X.; Kharazi, S.; Gustafsson, C. Mice deficient of Myc super-enhancer region reveal differential control mechanism between normal and pathological growth. Elife 2017, 6, e23382. [Google Scholar] [CrossRef]
- Henssen, A.; Althoff, K.; Odersky, A.; Beckers, A.; Koche, R.; Speleman, F.; Schäfers, S.; Bell, E.; Nortmeyer, M.; Westermann, F. Targeting MYCN-driven transcription by BET-bromodomain inhibition. Clin. Cancer Res. 2015, 22, 2470–2481. [Google Scholar] [CrossRef] [PubMed]
- Larochelle, S.; Chen, J.; Knights, R.; Pandur, J.; Morcillo, P.; Erdjument-Bromage, H.; Tempst, P.; Suter, B.; Fisher, R.P. T-loop phosphorylation stabilizes the CDK7–cyclin H–MAT1 complex in vivo and regulates its CTD kinase activity. EMBO J. 2001, 20, 3749–3759. [Google Scholar] [CrossRef]
- Compe, E.; Egly, J.-M. TFIIH: When transcription met DNA repair. Nat. Rev. Mol. Cell Biol. 2012, 13, 343. [Google Scholar] [CrossRef]
- Jonkers, I.; Lis, J.T. Getting up to speed with transcription elongation by RNA polymerase II. Nat. Rev. Mol. Cell Biol. 2015, 16, 167. [Google Scholar] [CrossRef]
- Lu, H.; Xue, Y.; Yu, G.K.; Arias, C.; Lin, J.; Fong, S.; Faure, M.; Weisburd, B.; Ji, X.; Mercier, A.; et al. Compensatory induction of MYC expression by sustained CDK9 inhibition via a BRD4-dependent mechanism. Elife 2015, 4, e06535. [Google Scholar] [CrossRef] [PubMed]
- Otto, T.; Horn, S.; Brockmann, M.; Eilers, U.; Schuttrumpf, L.; Popov, N.; Kenney, A.M.; Schulte, J.H.; Beijersbergen, R.; Christiansen, H.; et al. Stabilization of N-Myc is a critical function of Aurora A in human neuroblastoma. Cancer Cell 2009, 15, 67–78. [Google Scholar] [CrossRef]
- Richards, M.W.; Burgess, S.G.; Poon, E.; Carstensen, A.; Eilers, M.; Chesler, L.; Bayliss, R. Structural basis of N-Myc binding by Aurora-A and its destabilization by kinase inhibitors. Proc. Natl. Acad. Sci. USA 2016, 113, 13726–13731. [Google Scholar] [CrossRef]
- Mossé, Y.P.; Lipsitz, E.; Fox, E.; Teachey, D.T.; Maris, J.M.; Weigel, B.; Adamson, P.C.; Ingle, M.A.; Ahern, C.H.; Blaney, S.M. Pediatric phase I trial and pharmacokinetic study of MLN8237, an investigational oral selective small-molecule inhibitor of Aurora kinase A: A Children’s Oncology Group Phase I Consortium study. Clin. Cancer Res. 2012, 18, 6058–6064. [Google Scholar] [CrossRef] [PubMed]
- Takeda. Takeda Announces Termination of Alisertib Phase 3 Trial in Relapsed or Refractory Peripheral T-cell Lymphoma. News Releases. 2015. Available online: https://www.takeda.com/newsroom/newsreleases/2015/takeda-announces-termination-of-alisertib-phase-3-trial-in-relapsed-or-refractory-peripheral-t-cell-lymphoma/ (accessed on 8 November 2021).
- Nissan, M.H.; Rosen, N.; Solit, D.B. ERK pathway inhibitors: How low should we go? Cancer Discov. 2013, 3, 719–721. [Google Scholar] [CrossRef] [PubMed]
- Janku, F.; Yap, T.A.; Meric-Bernstam, F. Targeting the PI3K pathway in cancer: Are we making headway? Nat. Rev. Clin. Oncol. 2018, 15, 273–291. [Google Scholar] [CrossRef] [PubMed]
- Tasian, S.K.; Teachey, D.T.; Rheingold, S.R. Targeting the PI3K/mTOR pathway in pediatric hematologic malignancies. Front. Oncol. 2014, 4, 108. [Google Scholar] [CrossRef]
- Biffi, G.; Di Antonio, M.; Tannahill, D.; Balasubramanian, S. Visualization and selective chemical targeting of RNA G-quadruplex structures in the cytoplasm of human cells. Nat. Chem. 2014, 6, 75–80. [Google Scholar] [CrossRef]
- Wiegering, A.; Uthe, F.W.; Jamieson, T.; Ruoss, Y.; Hüttenrauch, M.; Küspert, M.; Pfann, C.; Nixon, C.; Herold, S.; Walz, S.; et al. Targeting Translation Initiation Bypasses Signaling Crosstalk Mechanisms That Maintain High MYC Levels in Colorectal Cancer. Cancer Discov. 2015, 5, 768–781. [Google Scholar] [CrossRef]
- Langlais, D.; Cencic, R.; Moradin, N.; Kennedy, J.M.; Ayi, K.; Brown, L.E.; Crandall, I.; Tarry, M.J.; Schmeing, M.; Kain, K.C.; et al. Rocaglates as dual-targeting agents for experimental cerebral malaria. Proc. Natl. Acad. Sci. USA 2018, 115, E2366–E2375. [Google Scholar] [CrossRef]
- Chu, J.; Zhang, W.; Cencic, R.; O’Connor, P.B.F.; Robert, F.; Devine, W.G.; Selznick, A.; Henkel, T.; Merrick, W.C.; Brown, L.E.; et al. Rocaglates Induce Gain-of-Function Alterations to eIF4A and eIF4F. Cell Rep. 2020, 30, 2481–2488.e5. [Google Scholar] [CrossRef] [PubMed]
- Zhao, Y.; Li, T.; Tian, S.; Meng, W.; Sui, Y.; Yang, J.; Wang, B.; Liang, Z.; Zhao, H.; Han, Y.; et al. Effective Inhibition of MYC-Amplified Group 3 Medulloblastoma Through Targeting EIF4A1. Cancer Manag. Res. 2020, 12, 12473–12485. [Google Scholar] [CrossRef] [PubMed]
- Skofler, C.; Kleinegger, F.; Krassnig, S.; Birkl-Toeglhofer, A.M.; Singer, G.; Till, H.; Benesch, M.; Cencic, R.; Porco, J.A.; Pelletier, J.; et al. Eukaryotic Translation Initiation Factor 4AI: A Potential Novel Target in Neuroblastoma. Cells 2021, 10, 301. [Google Scholar] [CrossRef] [PubMed]
- Thompson, P.A.; Eam, B.; Young, N.P.; Fish, S.; Chen, J.; Barrera, M.; Howard, H.; Sung, E.; Parra, A.; Staunton, J.; et al. Targeting Oncogene mRNA Translation in B-Cell Malignancies with eFT226, a Potent and Selective Inhibitor of eIF4A. Mol. Cancer Ther. 2021, 20, 26–36. [Google Scholar] [CrossRef]
- Wang, C.; Zhang, J.; Yin, J.; Gan, Y.; Xu, S.; Gu, Y.; Huang, W. Alternative approaches to target Myc for cancer treatment. Signal Transduct. Target. Ther. 2021, 6, 117. [Google Scholar] [CrossRef] [PubMed]
- Taylor, J.S.; Zeki, J.; Ornell, K.; Coburn, J.; Shimada, H.; Ikegaki, N.; Chiu, B. Down-regulation of MYCN protein by CX-5461 leads to neuroblastoma tumor growth suppression. J. Pediatric Surg. 2019, 54, 1192–1197. [Google Scholar] [CrossRef]
- Hein, N.; Hannan, K.M.; George, A.J.; Sanij, E.; Hannan, R.D. The nucleolus: An emerging target for cancer therapy. Trends Mol. Med. 2013, 19, 643–654. [Google Scholar] [CrossRef]
- de Jonge, M.J.; Dumez, H.; Verweij, J.; Yarkoni, S.; Snyder, D.; Lacombe, D.; Marreaud, S.; Yamaguchi, T.; Punt, C.J.; van Oosterom, A.; et al. Phase I and pharmacokinetic study of halofuginone, an oral quinazolinone derivative in patients with advanced solid tumours. Eur. J. Cancer 2006, 42, 1768–1774. [Google Scholar] [CrossRef] [PubMed]
- Drygin, D.; Lin, A.; Bliesath, J.; Ho, C.B.; O’Brien, S.E.; Proffitt, C.; Omori, M.; Haddach, M.; Schwaebe, M.K.; Siddiqui-Jain, A.; et al. Targeting RNA polymerase I with an oral small molecule CX-5461 inhibits ribosomal RNA synthesis and solid tumor growth. Cancer Res. 2011, 71, 1418–1430. [Google Scholar] [CrossRef] [PubMed]
- Dai, M.S.; Arnold, H.; Sun, X.X.; Sears, R.; Lu, H. Inhibition of c-Myc activity by ribosomal protein L11. EMBO J. 2007, 26, 3332–3345. [Google Scholar] [CrossRef]
- Liao, J.M.; Zhou, X.; Gatignol, A.; Lu, H. Ribosomal proteins L5 and L11 co-operatively inactivate c-Myc via RNA-induced silencing complex. Oncogene 2014, 33, 4916–4923. [Google Scholar] [CrossRef]
- Keller, T.L.; Zocco, D.; Sundrud, M.S.; Hendrick, M.; Edenius, M.; Yum, J.; Kim, Y.J.; Lee, H.K.; Cortese, J.F.; Wirth, D.F.; et al. Halofuginone and other febrifugine derivatives inhibit prolyl-tRNA synthetase. Nat. Chem. Biol. 2012, 8, 311–317. [Google Scholar] [CrossRef]
- Sundrud, M.S.; Koralov, S.B.; Feuerer, M.; Calado, D.P.; Kozhaya, A.E.; Rhule-Smith, A.; Lefebvre, R.E.; Unutmaz, D.; Mazitschek, R.; Waldner, H.; et al. Halofuginone inhibits TH17 cell differentiation by activating the amino acid starvation response. Science 2009, 324, 1334–1338. [Google Scholar] [CrossRef] [PubMed]
- Kim, D.G.; Lee, J.Y.; Lee, J.H.; Cho, H.Y.; Kang, B.S.; Jang, S.Y.; Kim, M.H.; Guo, M.; Han, J.M.; Kim, S.J.; et al. Oncogenic Mutation of AIMP2/p38 Inhibits Its Tumor-Suppressive Interaction with Smurf2. Cancer Res. 2016, 76, 3422–3436. [Google Scholar] [CrossRef]
- Zhou, W.; Chung, Y.J.; Castellar, E.R.P.; Zheng, Y.; Chung, H.J.; Bandle, R.; Liu, J.; Tessarollo, L.; Batchelor, E.; Aplan, P.D.; et al. Far Upstream Element Binding Protein Plays a Crucial Role in Embryonic Development, Hematopoiesis, and Stabilizing Myc Expression Levels. Am. J. Pathol. 2016, 186, 701–715. [Google Scholar] [CrossRef]
- Hollstein, U. Actinomycin. Chemistry and mechanism of action. Chem. Rev. 1974, 74, 625–652. [Google Scholar] [CrossRef]
- Malogolowkin, M.; Cotton, C.A.; Green, D.M.; Breslow, N.E.; Perlman, E.; Miser, J.; Ritchey, M.L.; Thomas, P.R.; Grundy, P.E.; D’Angio, G.J.; et al. Treatment of Wilms tumor relapsing after initial treatment with vincristine, actinomycin D., and doxorubicin. A report from the National Wilms Tumor Study Group. Pediatric Blood Cancer 2008, 50, 236–241. [Google Scholar] [CrossRef] [PubMed]
- Jaffe, N.; Paed, D.; Traggis, D.; Salian, S.; Cassady, J.R. Improved outlook for Ewing’s sarcoma with combination chemotherapy (vincristine, actinomycin D and cyclophosphamide and radiation therapy. Cancer 1976, 38, 1925–1930. [Google Scholar] [CrossRef]
- Perry, R.P.; Kelley, D.E. Inhibition of RNA synthesis by actinomycin D: Characteristic dose-response of different RNA species. J. Cell. Physiol. 1970, 76, 127–139. [Google Scholar] [CrossRef]
- Vispé, S.; DeVries, L.; Créancier, L.; Besse, J.; Bréand, S.; Hobson, D.J.; Svejstrup, J.Q.; Annereau, J.-P.; Cussac, D.; Dumontet, C.; et al. Triptolide is an inhibitor of RNA polymerase I and II–dependent transcription leading predominantly to down-regulation of short-lived mRNA. Mol. Cancer Ther. 2009, 8, 2780–2790. [Google Scholar] [CrossRef]
- Geron. About Imetelstat. Available online: https://www.geron.com/r-d/imetelstat/ (accessed on 8 November 2021).
- Guterres, A.N.; Villanueva, J. Targeting telomerase for cancer therapy. Oncogene 2020, 39, 5811–5824. [Google Scholar] [CrossRef]
- Tefferi, A.; Lasho, T.L.; Begna, K.H.; Patnaik, M.M.; Zblewski, D.L.; Finke, C.M.; Laborde, R.R.; Wassie, E.; Schimek, L.; Hanson, C.A.; et al. A Pilot Study of the Telomerase Inhibitor Imetelstat for Myelofibrosis. N. Engl. J. Med. 2015, 373, 908–919. [Google Scholar] [CrossRef]
- Baerlocher, G.M.; Leibundgut, E.O.; Ottmann, O.G.; Spitzer, G.; Odenike, O.; McDevitt, M.A.; Röth, A.; Daskalakis, M.; Burington, B.; Stuart, M.; et al. Telomerase Inhibitor Imetelstat in Patients with Essential Thrombocythemia. N. Engl. J. Med. 2015, 373, 920–928. [Google Scholar] [CrossRef]
- Armanios, M.; Greider, C.W. Treating Myeloproliferation—On Target or Off? N. Engl. J. Med. 2015, 373, 965–966. [Google Scholar] [CrossRef] [PubMed]
- Wilhelm, S.; Carter, C.; Lynch, M.; Lowinger, T.; Dumas, J.; Smith, R.A.; Schwartz, B.; Simantov, R.; Kelley, S. Discovery and development of sorafenib: A multikinase inhibitor for treating cancer. Nat. Rev. Drug Discov. 2006, 5, 835–844. [Google Scholar] [CrossRef]
- Inoue, H.; Hwang, S.H.; Wecksler, A.T.; Hammock, B.D.; Weiss, R.H. Sorafenib attenuates p21 in kidney cancer cells and augments cell death in combination with DNA-damaging chemotherapy. Cancer Biol. Ther. 2011, 12, 827–836. [Google Scholar] [CrossRef] [PubMed]
- Gupta, R.; Dong, Y.; Solomon, P.D.; Wettersten, H.I.; Cheng, C.J.; Min, J.N.; Henson, J.; Dogra, S.K.; Hwang, S.H.; Hammock, B.D.; et al. Synergistic tumor suppression by combined inhibition of telomerase and CDKN1A. Proc. Natl. Acad. Sci. USA 2014, 111, E3062-71. [Google Scholar] [CrossRef]
- Chen, J.; Nelson, C.; Wong, M.; Tee, A.E.; Liu, P.Y.; La, T.; Fletcher, J.I.; Kamili, A.; Mayoh, C.; Bartenhagen, C.; et al. Targeted Therapy of TERT-Rearranged Neuroblastoma with BET Bromodomain Inhibitor and Proteasome Inhibitor Combination Therapy. Clin. Cancer Res. 2021, 27, 1438–1451. [Google Scholar] [CrossRef]
- Damm, K.; Hemmann, U.; Garin-Chesa, P.; Hauel, N.; Kauffmann, I.; Priepke, H.; Niestroj, C.; Daiber, C.; Enenkel, B.; Guilliard, B. A highly selective telomerase inhibitor limiting human cancer cell proliferation. EMBO J. 2001, 20, 6958–6968. [Google Scholar] [CrossRef]
- Altamura, G.; degli Uberti, B.; Galiero, G.; De Luca, G.; Power, K.; Licenziato, L.; Maiolino, P.; Borzacchiello, G. The Small Molecule BIBR1532 Exerts Potential Anti-cancer Activities in Preclinical Models of Feline Oral Squamous Cell Carcinoma Through Inhibition of Telomerase Activity and Down-Regulation of TERT. Front. Vet. Sci. 2021, 7, 620776. [Google Scholar] [CrossRef] [PubMed]
- Cheung, N.K.; Dyer, M.A. Neuroblastoma: Developmental biology, cancer genomics and immunotherapy. Nat. Rev. Cancer 2013, 13, 397–411. [Google Scholar] [CrossRef]
- Szenker, E.; Ray-Gallet, D.; Almouzni, G. The double face of the histone variant H3.3. Cell Res. 2011, 21, 421–434. [Google Scholar] [CrossRef]
- Cusanelli, E.; Chartrand, P. Telomeric repeat-containing RNA TERRA: A noncoding RNA connecting telomere biology to genome integrity. Front. Genet. 2015, 6, 143. [Google Scholar] [CrossRef] [PubMed]
- Li, F.; Deng, Z.; Zhang, L.; Wu, C.; Jin, Y.; Hwang, I.; Vladimirova, O.; Xu, L.; Yang, L.; Lu, B.; et al. ATRX loss induces telomere dysfunction and necessitates induction of alternative lengthening of telomeres during human cell immortalization. EMBO J. 2019, 38, e96659. [Google Scholar] [CrossRef]
- Flynn, R.L.; Cox, K.E.; Jeitany, M.; Wakimoto, H.; Bryll, A.R.; Ganem, N.J.; Bersani, F.; Pineda, J.R.; Suva, M.L.; Benes, C.H.; et al. Alternative lengthening of telomeres renders cancer cells hypersensitive to ATR inhibitors. Science 2015, 347, 273–277. [Google Scholar] [CrossRef] [PubMed]
- Yap, T.A.; Tan, D.S.P.; Terbuch, A.; Caldwell, R.; Guo, C.; Goh, B.C.; Heong, V.; Haris, N.R.M.; Bashir, S.; Drew, Y.; et al. First-in-Human Trial of the Oral Ataxia Telangiectasia and RAD3-Related (ATR) Inhibitor BAY 1895344 in Patients with Advanced Solid Tumors. Cancer Discov. 2021, 11, 80–91. [Google Scholar] [CrossRef]
- AstraZeneca. AZD6738. Available online: https://openinnovation.astrazeneca.com/preclinical-research/preclinical-molecules/azd6738.html (accessed on 8 November 2021).
- Guzi, T.J.; Paruch, K.; Dwyer, M.P.; Labroli, M.; Shanahan, F.; Davis, N.; Taricani, L.; Wiswell, D.; Seghezzi, W.; Penaflor, E.; et al. Targeting the replication checkpoint using SCH 900776, a potent and functionally selective CHK1 inhibitor identified via high content screening. Mol. Cancer Ther. 2011, 10, 591–602. [Google Scholar] [CrossRef]
- Deeg, K.I.; Chung, I.; Bauer, C.; Rippe, K. Cancer Cells with Alternative Lengthening of Telomeres Do Not Display a General Hypersensitivity to ATR Inhibition. Front. Oncol. 2016, 6, 186. [Google Scholar] [CrossRef]
- George, S.L.; Parmar, V.; Lorenzi, F.; Marshall, L.V.; Jamin, Y.; Poon, E.; Angelini, P.; Chesler, L. Novel therapeutic strategies targeting telomere maintenance mechanisms in high-risk neuroblastoma. J. Exp. Clin. Cancer Res. CR 2020, 39, 78. [Google Scholar] [CrossRef] [PubMed]
- Koneru, B.; Farooqi, A.; Nguyen, T.H.; Chen, W.H.; Hindle, A.; Eslinger, C.; Makena, M.R.; Burrow, T.A.; Wilson, J.; Smith, A.; et al. ALT neuroblastoma chemoresistance due to telomere dysfunction-induced ATM activation is reversible with ATM inhibitor AZD0156. Sci. Transl. Med. 2021, 13, eabd5750. [Google Scholar] [CrossRef] [PubMed]
- Negi, S.S.; Brown, P. rRNA synthesis inhibitor, CX-5461, activates ATM/ATR pathway in acute lymphoblastic leukemia, arrests cells in G2 phase and induces apoptosis. Oncotarget 2015, 6, 18094–18104. [Google Scholar] [CrossRef]
- Shimada, H.; Chatten, J.; Newton, W.A.; Sachs, N.; Hamoudi, A.B.; Chiba, T.; Marsden, H.B.; Misugi, K. Histopathologic Prognostic Factors in Neuroblastic Tumors: Definition of Subtypes of Ganglioneuroblastoma and an Age-Linked Classification of Neuroblastomas. JNCI J. Natl. Cancer Inst. 1984, 73, 405–416. [Google Scholar] [CrossRef] [PubMed]





| Age at Diagnosis | |||||
|---|---|---|---|---|---|
| Neuroblastoma (Schwannian stroma-poor) | <548 days | 548 days–5 years | ≥5 years | ||
| Undifferentiated subtype | |||||
| With | Any MKI | ||||
| Poorly differentiated subtype | |||||
| With | Low MKI | ||||
| Intermediate MKI | |||||
| High MKI | |||||
| Differentiated subtype | |||||
| With | Low MKI | ||||
| Intermediate MKI | |||||
| High MKI | |||||
| Ganglioneuroblastoma, Intermixed | ![]() | ||||
| (Schwannian stroma-rich) | |||||
| Ganglioneuroma | |||||
| (Schwannian stroma-dominant) | |||||
| Maturing subtype | |||||
| Mature subtype | |||||
| Ganglioneuroblastoma, Nodular | ![]() | ||||
| (Composite, Schwannian stroma-rich/ | |||||
| stroma-dominant and stroma-poor) | |||||
| Subgroups | Immunohistochemistry (IHC) Markers * | Histologic Markers | Predicted Survival on the Current Therapy † | ||
|---|---|---|---|---|---|
| Pan-MYC or (MYCN/MYC) | TERT | ATRX | |||
| MYC-driven | |||||
| MYC | Overexpression | Overexpression or No overexpression | Retention | Nucleolar hypertrophy (Including Large Cell Neuroblastoma) | Dismal |
| Non MYC-driven | |||||
| TERT | No overexpression | Overexpression | Retention | Salt-and pepper nuclei; Conventional neuroblastoma | Dismal |
| ALT | No overexpression | No overexpression | Loss ‡ | Salt-and pepper nuclei; Conventional neuroblastoma | Dismal |
| Null | No overexpression | No overexpression | Retention | Salt-and pepper nuclei; Conventional neuroblastoma | Better Response |
Publisher’s Note: MDPI stays neutral with regard to jurisdictional claims in published maps and institutional affiliations. |
© 2022 by the authors. Licensee MDPI, Basel, Switzerland. This article is an open access article distributed under the terms and conditions of the Creative Commons Attribution (CC BY) license (https://creativecommons.org/licenses/by/4.0/).
Share and Cite
Shimada, H.; Ikegaki, N. Genetic and Histopathological Heterogeneity of Neuroblastoma and Precision Therapeutic Approaches for Extremely Unfavorable Histology Subgroups. Biomolecules 2022, 12, 79. https://doi.org/10.3390/biom12010079
Shimada H, Ikegaki N. Genetic and Histopathological Heterogeneity of Neuroblastoma and Precision Therapeutic Approaches for Extremely Unfavorable Histology Subgroups. Biomolecules. 2022; 12(1):79. https://doi.org/10.3390/biom12010079
Chicago/Turabian StyleShimada, Hiroyuki, and Naohiko Ikegaki. 2022. "Genetic and Histopathological Heterogeneity of Neuroblastoma and Precision Therapeutic Approaches for Extremely Unfavorable Histology Subgroups" Biomolecules 12, no. 1: 79. https://doi.org/10.3390/biom12010079
APA StyleShimada, H., & Ikegaki, N. (2022). Genetic and Histopathological Heterogeneity of Neuroblastoma and Precision Therapeutic Approaches for Extremely Unfavorable Histology Subgroups. Biomolecules, 12(1), 79. https://doi.org/10.3390/biom12010079


