Phyto-Assisted Synthesis and Investigation of Zinc Oxide Nanoparticles for Their Anti-Aging, Sun Protection and Antibacterial Activity
Abstract
1. Introduction
2. Material & Method
2.1. Material
2.2. Procurement and Processing of Pomegranate Peel Extract
2.2.1. Conventional Maceration
2.2.2. Ultrasound-Assisted Extraction (UAE):
2.3. Evaluation of Aqueous Extract
2.3.1. Total Phenols
2.3.2. TLC
2.4. Preparation of Nanoparticles:
- 1.
- Preparation of precursor and extract
- Zinc precursor: ZnSO4·7H2O was prepared at 5.75% w/v (≈0.20 M; 5.75 g in 100 mL deionized water).
- Plant extract: PPE (aqueous) obtained as described in Section 2.2.1, Section 2.2.2 and Section 2.3 was clarified by centrifugation and used fresh (room temperature).
- 2.
- Reaction setup
- Volume ratio: 20 mL PPE was added dropwise (~1 mL/min) into 100 mL of the ZnSO4·7H2O solution under constant stirring (600 rpm) at 60 °C on a temperature-controlled hotplate.
- pH control: pH was adjusted and maintained using 0.8% w/v NaOH (≈0.20 M) added dropwise to reach an alkaline medium (screened range pH 8–12 during optimization). A visible yellowish-white precipitate indicated ZnO NP formation.
- 3.
- Aging, collection, and washing: The reaction mixture was aged for 1 h off-heat while stirring (room temperature), then centrifuged at 3000 rpm for 20 min. The pellet was washed 3× with deionized water (and once with ethanol, optional) to remove unreacted ions and loosely bound organics.
- Drying and storage: The washed pellet was dried at 60 °C (hot-air oven) to constant weight, gently powdered in an agate mortar, and stored in amber vials in a desiccator until use.
- 4.
- Process notes and controls: A chemical-route ZnO (no PPE) batch was prepared in parallel for comparative UV–Vis/optical characterization as a method control (see Section 3.3.1). All glassware was pre-washed with dilute HNO3 and rinsed with deionized water to minimize adventitious ions.
- 5.
- Final synthesis conditions used for the main batches: Guided by the BBD study (Section Box–Behnken Design (BBD) Optimization), the optimized condition employed for preparative batches was pH 10, 60 °C, and 5.75% w/v ZnSO4·7H2O (≈0.20 M), yielding nanoparticles with ~194 nm hydrodynamic size, PDI 0.33, and ζ = −18.2 mV (see Section 2.5.7 and Section 3.2) [21,26,27,28,29].
Box–Behnken Design (BBD) Optimization
2.5. Characterization
2.5.1. UV–Visible Spectroscopy
2.5.2. FTIR
2.5.3. PXRD Analysis
2.5.4. DSC
2.5.5. SEM & EDX
2.5.6. Size and Surface Charge Analysis
2.5.7. DPPH Radical Scavenging
2.5.8. Antibacterial Activity
2.5.9. Sun Protection
- PPE–ZnO NPs (test),
- ZnO (no-PPE control) synthesized by the same chemical route but without plant extract (process control prepared in Section 2.4), and
- Bulk ZnO (commercial micronized powder).
2.6. In Vitro Anti-Aging Activity of Extract and Extract Loaded Nanoparticles
Anti-Tyrosinase Activity
2.7. In–Vivo Anti-Aging and Sun Protection Study
3. Results & Discussion
3.1. Evaluation of Aqueous Extract
3.1.1. Extraction Yield
3.1.2. Determination of Total Phenols
3.1.3. Thin Layer Chromatography
3.2. Optimization of Prepared ZnO NPs
3.3. Characterization
3.3.1. UV-Vis Spectral Analysis
3.3.2. FTIR
3.3.3. XRD Analysis
3.3.4. Differential Scanning Colorimetry
3.3.5. SEM and EDX
3.3.6. Size and Surface Charge Analysis
3.3.7. Antibacterial Activity of ZnO Nanoparticles
3.3.8. Antioxidant Activity- DPPH Radical Scavenging Activity
3.3.9. Optical Properties and Sun Protection Factor Performance of ZnO NPs
3.3.10. In Vitro Anti-Aging Activity
Anti-Tyrosinase Activity
3.3.11. In Vivo Study
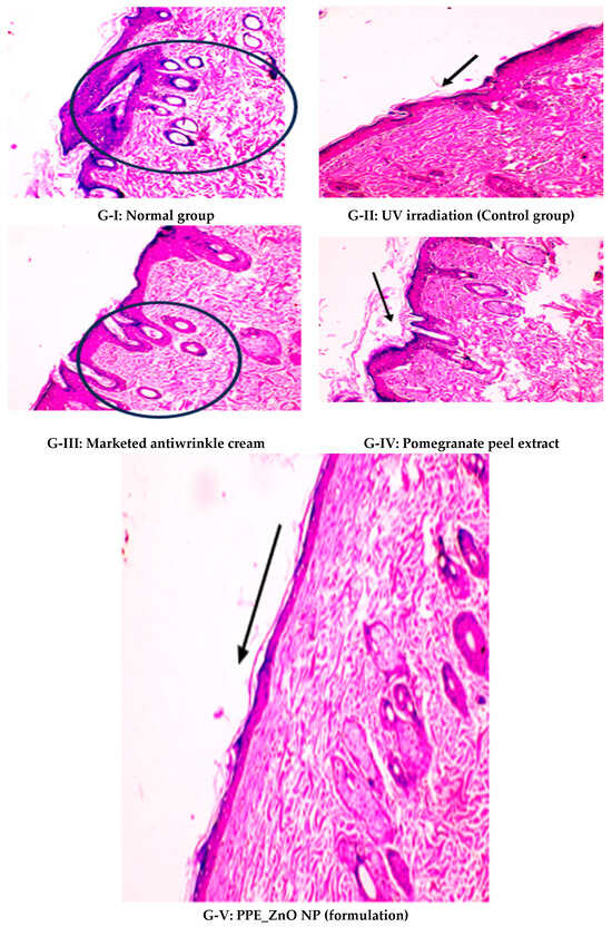
Evaluation of UV Induced Photodamage
Histopathology
4. Conclusions
Author Contributions
Funding
Institutional Review Board Statement
Informed Consent Statement
Data Availability Statement
Conflicts of Interest
Abbreviations
| ZnO NPs | Zinc Oxide Nanoparticles |
| PPE | Pomegranate Peel Extract |
| UV | Ultraviolet |
| UV–Vis | Ultraviolet–Visible Spectroscopy |
| FTIR | Fourier-Transform Infrared Spectroscopy |
| PXRD/XRD | Powder X-ray Diffraction/X-ray Diffraction |
| DSC | Differential Scanning Calorimetry |
| SEM | Scanning Electron Microscopy |
| EDX/EDS | Energy-Dispersive X-ray Spectroscopy |
| DLS | Dynamic Light Scattering |
| SPF | Sun Protection Factor |
| DPPH | 2,2-Diphenyl-1-picrylhydrazyl |
| TPC | Total Phenolic Content |
| GAE | Gallic Acid Equivalent |
| UAE | Ultrasound-Assisted Extraction |
| BBD | Box–Behnken Design |
| PDI | Polydispersity Index |
| ROS | Reactive Oxygen Species |
| ANOVA | Analysis of Variance |
| H&E | Hematoxylin and Eosin |
| IC50 | Half Maximal Inhibitory Concentration |
| FDA | Food and Drug Administration |
| BHA | Butylated Hydroxyanisole |
| BHT | Butylated Hydroxytoluene |
References
- Chambers, E.S.; Vukmanovic-Stejic, M. Skin barrier immunity and ageing. Immunology 2020, 160, 116–125. [Google Scholar] [CrossRef] [PubMed]
- Haydont, V.; Bernard, B.A.; Fortunel, N.O. Age-related evolutions of the dermis: Clinical signs, fibroblast and extracellular matrix dynamics. Mech. Ageing Dev. 2019, 177, 150–156. [Google Scholar] [CrossRef] [PubMed]
- Zhang, S.; Duan, E. Fighting against Skin Aging: The Way from Bench to Bedside. Cell Transplant. 2018, 27, 729–738. [Google Scholar] [CrossRef] [PubMed]
- Bernerd, F.; Passeron, T.; Castiel, I.; Marionnet, C. The Damaging Effects of Long UVA (UVA1) Rays: A Major Challenge to Preserve Skin Health and Integrity. Int. J. Mol. Sci. 2022, 23, 8243. [Google Scholar] [CrossRef]
- Shanbhag, S.; Nayak, A.; Narayan, R.; Nayak, U.Y. Anti-aging and Sunscreens: Paradigm Shift in Cosmetics. Adv. Pharm. Bull. 2019, 9, 348–359. [Google Scholar] [CrossRef]
- Charoenchon, N.; Rhodes, L.E.; Nicolaou, A.; Williamson, G.; Watson, R.E.B.; Farrar, M.D. Ultraviolet radiation-induced degradation of dermal extracellular matrix and protection by green tea catechins: A randomized controlled trial. Clin. Exp. Dermatol. 2022, 47, 1314–1323. [Google Scholar] [CrossRef]
- Chaudhary, M.; Khan, A.; Gupta, M. Skin Ageing: Pathophysiology and Current Market Treatment Approaches. Curr. Aging Sci. 2020, 13, 22–30. [Google Scholar] [CrossRef]
- Karimi, N. Approaches in Line with Human Physiology to Prevent Skin Aging. Front. Physiol. 2023, 14, 1279371. [Google Scholar] [CrossRef]
- Quiles, J.; Cabrera, M.; Jones, J.; Tsapekos, M.; Caturla, N. In Vitro Determination of the Skin Anti-Aging Potential of Four-Component Plant-Based Ingredient. Molecules 2022, 27, 8101. [Google Scholar] [CrossRef]
- Lupatov, A.Y.; Yarygin, K.N. Telomeres and Telomerase in the Control of Stem Cells. Biomedicines 2022, 10, 2335. [Google Scholar] [CrossRef]
- Kshirsagar, K.R.; Pathak, S.S.; Patil, S.M. Pomegranate (Punica granatum L): A Fruitful Fountain of Remedial Potential. Cureus 2023, 15, e45677. [Google Scholar] [CrossRef] [PubMed]
- Mo, Y.; Ma, J.; Gao, W.; Zhang, L.; Li, J.; Li, J.; Zang, J. Pomegranate Peel as a Source of Bioactive Compounds: A Mini Review on Their Physiological Functions. Front. Nutr. 2022, 9, 887113. [Google Scholar] [CrossRef] [PubMed]
- Singh, J.; Kaur, H.P.; Verma, A.; Chahal, A.S.; Jajoria, K.; Rasane, P.; Kaur, S.; Kaur, J.; Gunjal, M.; Ercisli, S.; et al. Pomegranate Peel Phytochemistry, Pharmacological Properties, Methods of Extraction, and Its Application: A Comprehensive Review. ACS Omega 2023, 8, 35452–35469. [Google Scholar] [CrossRef] [PubMed]
- Kandylis, P.; Kokkinomagoulos, E. Food Applications and Potential Health Benefits of Pomegranate and its Derivatives. Foods 2020, 9, 122. [Google Scholar] [CrossRef]
- Jiang, J.; Pi, J.; Cai, J. The Advancing of Zinc Oxide Nanoparticles for Biomedical Applications. Bioinorg. Chem. Appl. 2018, 2018, 1062562. [Google Scholar] [CrossRef]
- Smijs, T.G.; Pavel, S. Titanium dioxide and zinc oxide nanoparticles in sunscreens: Focus on their safety and effectiveness. Nanotechnol. Sci. Appl. 2011, 4, 95–112. [Google Scholar] [CrossRef]
- Bhardwaj, B.; Singh, P.; Kumar, A.; Kumar, S.; Budhwar, V. Eco-Friendly Greener Synthesis of Nanoparticles. Adv. Pharm. Bull. 2020, 10, 566–576. [Google Scholar] [CrossRef]
- Hoang, H.T.; Moon, J.-Y.; Lee, Y.-C. Natural Antioxidants from Plant Extracts in Skincare Cosmetics: Recent Applications, Challenges and Perspectives. Cosmetics 2021, 8, 106. [Google Scholar] [CrossRef]
- Singh, M.; Lee, K.E.; Vinayagam, R.; Kang, S.G. Antioxidant and Antibacterial Profiling of Pomegranate-pericarp Extract Functionalized-zinc Oxide Nanocomposite. Biotechnol. Bioprocess Eng. 2021, 26, 728–737. [Google Scholar] [CrossRef]
- Sirelkhatim, A.; Mahmud, S.; Seeni, A.; Kaus, N.H.M.; Ann, L.C.; Bakhori, S.K.M.; Hasan, H.; Mohamad, D. Review on Zinc Oxide Nanoparticles: Antibacterial Activity and Toxicity Mechanism. Nano-Micro Lett. 2015, 7, 219–242. [Google Scholar] [CrossRef]
- Thi, T.U.D.; Nguyen, T.T.; Thi, Y.D.; Thi, K.H.T.; Phan, B.T.; Pham, K.N. Green synthesis of ZnO nanoparticles using orange fruit peel extract for antibacterial activities. RSC Adv. 2020, 10, 23899–23907. [Google Scholar] [CrossRef]
- Malviya, S.; Arvind; Jha, A.; Hettiarachchy, N. Antioxidant and antibacterial potential of pomegranate peel extracts. J. Food Sci. Technol. 2014, 51, 4132–4137. [Google Scholar] [CrossRef] [PubMed]
- Feng, Y.; Lin, J.; He, G.; Liang, L.; Liu, Q.; Yan, J.; Yao, Q. Compositions and Biological Activities of Pomegranate Peel Polyphenols Extracted by Different Solvents. Molecules 2022, 27, 4796. [Google Scholar] [CrossRef] [PubMed]
- Hadree, J.; Shahidi, F.; Mohebbi, M.; Abbaspour, M. Evaluation of Effects of Spray Drying Conditions on Physicochemical Properties of Pomegranate Juice Powder Enriched with Pomegranate Peel Phenolic Compounds: Modeling and Optimization by RSM. Foods 2022, 12, 2066. [Google Scholar] [CrossRef] [PubMed]
- Skrt, M.; Albreht, A.; Vovk, I.; Constantin, O.E.; Râpeanu, G.; Sežun, M.; Črnivec, I.G.O.; Zalar, U.; Ulrih, N.P. Extraction of Polyphenols and Valorization of Fibers from Istrian-Grown Pomegranate (Punica granatum L.). Foods 2022, 11, 2740. [Google Scholar] [CrossRef]
- Abdelmigid, H.M.; Hussien, N.A.; Alyamani, A.A.; Morsi, M.M.; AlSufyani, N.M.; Kadi, H.A. Green Synthesis of Zinc Oxide Nanoparticles Using Pomegranate Fruit Peel and Solid Coffee Grounds vs. Chemical Method of Synthesis, with Their Biocompatibility and Antibacterial Properties Investigation. Molecules 2022, 27, 1236. [Google Scholar] [CrossRef]
- Verbič, A.; Šala, M.; Jerman, I.; Gorjanc, M. Novel Green in Situ Synthesis of ZnO Nanoparticles on Cotton Using Pomegranate Peel Extract. Materials 2021, 14, 4472. [Google Scholar] [CrossRef]
- Krupa, N.D.; Grace, A.N.; Raghavan, V. Process optimisation for green synthesis of ZnO nanoparticles and evaluation of its antimacrofouling activity. IET Nanobiotechnol. 2019, 13, 510–514. [Google Scholar] [CrossRef]
- Ifeanyichukwu, U.L.; Fayemi, O.E.; Ateba, C.N. Green Synthesis of Zinc Oxide Nanoparticles from Pomegranate (Punica granatum) Extracts and Characterization of Their Antibacterial Activity. Molecules 2020, 25, 4521. [Google Scholar] [CrossRef]
- Shaban, A.S.; Owda, M.E.; Basuoni, M.M.; Mousa, M.A.; Radwan, A.A.; Saleh, A.K. Punica granatum peel extract mediated green synthesis of zinc oxide nanoparticles: Structure and evaluation of their biological applications. Biomass-Convers. Biorefinery 2022, 14, 12265–12281. [Google Scholar] [CrossRef]
- Alnehia, A.; Al-Odayni, A.-B.; Al-Sharabi, A.; Al-Hammadi, A.H.; Saeed, W.S. Pomegranate Peel Extract-Mediated Green Synthesis of ZnO-NPs: Extract Concentration-Dependent Structure, Optical, and Antibacterial Activity. J. Chem. 2021, 2022, 9647793. [Google Scholar] [CrossRef]
- Djearamane, S.; Loh, Z.C.; Lee, J.J.; Wong, L.S.; Rajamani, R.; Luque, P.A.; Gupta, P.K.; Liang, S.X.T. Remedial Aspect of Zinc Oxide Nanoparticles Against Serratia Marcescens and Enterococcus Faecalis. Front. Pharmacol. 2022, 13, 891304. [Google Scholar] [CrossRef] [PubMed]
- Yassin, M.T.; Mostafa, A.A.-F.; Al-Askar, A.A.; Al-Otibi, F.O. Facile Green Synthesis of Zinc Oxide Nanoparticles with Potential Synergistic Activity with Common Antifungal Agents against Multidrug-Resistant Candidal Strains. Crystals 2022, 12, 774. [Google Scholar] [CrossRef]
- Chamkouri, N.; Jomehzadeh, N.; Naserzadeh, N. Rapid biosynthesis and antibacterial activity of zinc oxide nanoparticles using fruit peel of Punica granatum L. as cellulose. Curr. Res. Green Sustain. Chem. 2022, 6, 100366. [Google Scholar] [CrossRef]
- Elbrolesy, A.; Abdou, Y.; Elhussiny, F.A.; Morsy, R. Novel Green Synthesis of UV-Sunscreen ZnO Nanoparticles Using Solanum Lycopersicum Fruit Extract and Evaluation of Their Antibacterial and Anticancer Activity. J. Inorg. Organomet. Polym. Mater. 2023, 33, 3750–3759. [Google Scholar] [CrossRef]
- Da Silva, A.P.; Silva, N.D.F.; Andrade, E.H.A.; Gratieri, T.; Setzer, W.N.; Maia, J.G.S.; Da Silva, J.K.R. Tyrosinase inhibitory activity, molecular docking studies and antioxidant potential of chemotypes of Lippia origanoides (Verbenaceae) essential oils. PLoS ONE 2017, 12, e0175598. [Google Scholar] [CrossRef]
- Upata, M.; Siriwoharn, T.; Makkhun, S.; Yarnpakdee, S.; Regenstein, J.M.; Wangtueai, S. Tyrosinase Inhibitory and Antioxidant Activity of Enzymatic Protein Hydrolysate from Jellyfish (Lobonema smithii). Foods 2021, 11, 615. [Google Scholar] [CrossRef]
- Kim, H.K. Garlic Supplementation Ameliorates UV-Induced Photoaging in Hairless Mice by Regulating Antioxidative Activity and MMPs Expression. Molecules 2016, 21, 70. [Google Scholar] [CrossRef]
















| Run | Variable Coded and Actual Values | ||||
|---|---|---|---|---|---|
| X1 pH | X 2 Temperature (°C) | X3 ZnSO4·7H2O (% w/v) | Y1 Yield (g) | Y2 Size (nm) | |
| 1 | −1 (8) | 1 (90) | 0 (5.75) | 2.2 | 335.2 |
| 2 | 1 (12) | −1 (30) | 0 (5.75) | 2.38 | 321.8 |
| 3 | 1(12) | 0 (60) | −1 (4.75) | 2 | 117.3 |
| 4 | 0 (10) | 0 (60) | 0 (5.75) | 1.2 | 194.1 |
| 5 | −1 (8) | 0 (60) | −1 (4.75) | 1.321 | 321 |
| 6 | 0 (10) | −1(30) | 1 (6.75) | 2.36 | 264.8 |
| 7 | −1 (8) | −1(30) | 0 (5.75) | 2.358 | 321.8 |
| 8 | 0 (10) | 1 (90) | −1 (4.75) | 0.8 | 301.6 |
| 9 | 1(12) | 1 (90) | 0 (5.75) | 0.5 | 300.4 |
| 10 | 0 (10) | 1 (90) | 1 (6.75) | 1.856 | 616.3 |
| 11 | 0 (10) | −1 (30) | −1 (4.75) | 0.97 | 569.9 |
| 12 | −1 (8) | 0 (60) | 1 (6.75) | 2.56 | 446.1 |
| 13 | 1(12) | 0 (60) | 1 (6.75) | 2 | 279 |
| Sr No. | Group (n = 6) | Treatment | Dose & Route | No. of Animals |
|---|---|---|---|---|
| 1 | Group-I | Normal group | 0.25–0.5 gm/inch, topical | 6 |
| 2 | Group-II | UV irradiation (Control group) | 0.25–0.5 gm/inch, topical | 6 |
| 3 | Group-III | 1–2 gm Himalaya anti-wrinkle cream applied topically on 1× inch area +UV Irradiation and Heat Exposure | 0.25–0.5 gm/inch, topical | 6 |
| 4 | Group-IV | 1–2 gm Punica granatum peel extract applied topically on 1×1 inch area + UV Irradiation and Heat Exposure | 0.25–0.5 gm/inch, topical | 6 |
| 5 | Group-V | 1–2 gm Punica granatum peel extract based nano formulation applied topically on 1 × 1 inch area + UV Irradiation and Heat Exposure | 0.25–-0.5 gm/inch, topical | 6 |
| Total animals | 30 | |||
| Concentration (μg/mL) | Scavenging Ability (%) | ||
|---|---|---|---|
| PPE | ZnO_PPE NPs | Ascorbic Acid | |
| 20 | 25 | 30 | 37.6 |
| 40 | 34 | 45 | 51.4 |
| 60 | 55.8 | 60.1 | 68 |
| 80 | 70 | 75 | 82 |
| 100 | 75.8 | 83.8 | 89.3 |
| IC50 value (μg/mL) | 56.2 ± 0.18 | 52.91 ± 0.30 | 35.1 ± 0.14 |
| Wavelength (nm) | EE(λ) × I(λ) |
|---|---|
| 290 | 0.0150 |
| 310 | 0.1864 |
| 315 | 0.0839 |
| 320 | 0.0180 |
| Days | 0 Days | After 15 Days | After 30 Days | After 42 Days |
|---|---|---|---|---|
| Group I | ![]() | ![]() | ![]() | ![]() |
| Group II | ![]() | ![]() | ![]() | ![]() |
| Group III | ![]() | ![]() | ![]() | ![]() |
| Group IV | ![]() | ![]() | ![]() | ![]() |
| Group V | ![]() | ![]() | ![]() | ![]() |
Disclaimer/Publisher’s Note: The statements, opinions and data contained in all publications are solely those of the individual author(s) and contributor(s) and not of MDPI and/or the editor(s). MDPI and/or the editor(s) disclaim responsibility for any injury to people or property resulting from any ideas, methods, instructions or products referred to in the content. |
© 2025 by the authors. Licensee MDPI, Basel, Switzerland. This article is an open access article distributed under the terms and conditions of the Creative Commons Attribution (CC BY) license (https://creativecommons.org/licenses/by/4.0/).
Share and Cite
Kapare, H.S.; Bhosale, M.; Karwa, P.; Kulkarni, D.; Bhole, R.; Labhade, S. Phyto-Assisted Synthesis and Investigation of Zinc Oxide Nanoparticles for Their Anti-Aging, Sun Protection and Antibacterial Activity. Cosmetics 2025, 12, 238. https://doi.org/10.3390/cosmetics12060238
Kapare HS, Bhosale M, Karwa P, Kulkarni D, Bhole R, Labhade S. Phyto-Assisted Synthesis and Investigation of Zinc Oxide Nanoparticles for Their Anti-Aging, Sun Protection and Antibacterial Activity. Cosmetics. 2025; 12(6):238. https://doi.org/10.3390/cosmetics12060238
Chicago/Turabian StyleKapare, Harshad S., Mayuri Bhosale, Pawan Karwa, Deepak Kulkarni, Ritesh Bhole, and Sonali Labhade. 2025. "Phyto-Assisted Synthesis and Investigation of Zinc Oxide Nanoparticles for Their Anti-Aging, Sun Protection and Antibacterial Activity" Cosmetics 12, no. 6: 238. https://doi.org/10.3390/cosmetics12060238
APA StyleKapare, H. S., Bhosale, M., Karwa, P., Kulkarni, D., Bhole, R., & Labhade, S. (2025). Phyto-Assisted Synthesis and Investigation of Zinc Oxide Nanoparticles for Their Anti-Aging, Sun Protection and Antibacterial Activity. Cosmetics, 12(6), 238. https://doi.org/10.3390/cosmetics12060238





















