Next Article in Journal
Identification of α-Glucosidase Inhibitors and Assessment of Human Safety from 491 Native Plant Species of Jeju Island
Previous Article in Journal
Clinical Trial to Evaluate the Effect of Grape Seed Extract-Loaded Hyalurosomes on Skin Wellness
 
 
Font Type:
Arial Georgia Verdana
Font Size:
Aa Aa Aa
Line Spacing:
Column Width:
Background:
Article

Application of Thulium Fiber Laser in Plastic Surgery

by
Anastasiya S. Borisenko
1,*,
Valentin I. Sharobaro
1,
Alexey E. Avdeev
1,
Yousif M. Ahmed Alsheikh
1,
Anna S. Bairamova
1,
Olga A. Gafurova
2 and
Vera A. Smolyannikova
2
1
Department of Plastic Surgery, I.M. Sechenov First Moscow State Medical University (Sechenov University), Ministry of Health of the Russian Federation, Moscow 119435, Russia
2
Institute of Clinical Morphology and Digital Pathology, Sechenov University, Trubetskaya Str., 8, Bld. 2, Moscow 119048, Russia
*
Author to whom correspondence should be addressed.
Cosmetics 2025, 12(2), 39; https://doi.org/10.3390/cosmetics12020039
Submission received: 27 December 2024 / Revised: 12 February 2025 / Accepted: 25 February 2025 / Published: 28 February 2025
(This article belongs to the Section Cosmetic Technology)

Abstract

We present our experience of using the UROLASE+ surgical system, based on thulium laser technology, in the context of plastic surgery. Our work with the thulium fiber laser for soft tissue dissection in vitro, ex vivo, and in vivo is described, and the positive outcomes of using the thulium fiber laser, which has not previously been employed in aesthetic surgery of the face and body, are demonstrated in this study. Integration of the thulium fiber laser may enhance safety and facilitate tissue dissection through more precise interventions, reduced blood loss, and improved clinical outcomes. This is particularly relevant for patients who have undergone cosmetic procedures leading to fibrotic changes in soft tissues, which complicate inter-tissue dissection when using traditional methods.

1. Introduction

Innovative technologies, including robotic systems and advanced surgical methods, are increasingly being implemented in the field of plastic surgery, enhancing the safety of operations and achieving optimal aesthetic and functional outcomes.
Lasers have always been a topic of interest in medicine. Many lasers have been tested and used in different fields such as general surgery, urology, gastroenterology, and cosmetic dermatology.
Multiple types of lasers were used and most of them have proved their efficiency; however, the new thulium fiber laser proved its effectiveness with improved hemostatic abilities, easier dissection, and fewer complications compared to traditional methods such as scalpels and electrocautery based on the histological samples and visual comparisons.
At present, many patients undergo a series of cosmetic procedures, including device-based treatments, before seeking facial rejuvenation from a plastic surgeon. These prior interventions often complicate surgery due to pronounced scar-adhesive processes, with the dissection of the cutaneous–subcutaneous flap from the underlying muscle–aponeurotic layer posing technical challenges for the surgeon. There is a higher incidence of SMAS damage, leading to a risk of tearing, and the subsequent healing may result in irregular contours, depressions, and indurations on the skin surface of the face and neck. The pronounced fibrotic process forces surgeons to expand the area of tissue dissection to smooth the contours between disproportionately altered zones of the face after numerous cosmetic procedures. Consequently, there is a need for innovative solutions to reduce surgical trauma and improve outcomes.
Laser tissue dissection enables precise dissection and yields satisfactory aesthetic results with minimal recovery time. Thulium fiber laser works by precisely delivering thermal energy at high temperatures locally, ensuring minimal tissue damage. According to the literature, thulium fiber lasers offer simultaneous hemostatic effects, reducing the risk of hematomas in the early post-operative period. Additionally, mechanical trauma to the skin flap is minimized, decreasing the risk of ischemia and necrosis of the overlying tissues.
Currently, we have two accepted patents for the use of thulium fiber laser for the dissection of soft tissues of the face and body (Patents № 2024128779/14 dated 27 September 2024 and 2024128781/14 dated 27 September 2024).
In this paper, we conducted preliminary in vitro, ex vivo, and in vivo studies, as well as compared the dissection methods using traditional methods with lasers, and the use of thulium fiber laser demonstrated successful and effective outcomes, as expected. This confirmed and solidified our confidence in the feasibility of using thulium fiber lasers in plastic surgery.

2. Materials and Methods

2.1. Phase One: In Vitro

The initial tests were conducted in vitro, using the laser to establish and optimize dissection modes on a chicken carcass. Key parameters, such as laser power and frequency, were tested across various settings for optimization. Different dissection methods were performed, including “dry” dissection, “wet” dissection with tissue infiltration using a 0.9% NaCl solution, and a dissection process that combined laser application with the continuous delivery of 0.9% NaCl solution onto the laser fiber.
The most promising result was achieved with the latter approach, which involved tissue infiltration and the external application of 0.9% NaCl solution. This method produced the cleanest dissection and minimized tissue carbonization.

2.2. Phase Two: Animal Model

Three rats, weighing 350–450 g, underwent intramuscular sedation via pre-medication with Xyla solution at a dosage of 0.1 mL. Fifteen minutes later, Zoletil 100 was administered at a dosage of 0.07 mL. Each rat was positioned supine on a table, secured by its limbs, and the surgical area (3 cm × 3 cm) was shaved and sterilized three times with Betadine solution.
The hydrodissection of the skin and subcutaneous tissue was performed using 10–12 mL of physiological saline. A 2 cm incision was made with a scalpel, followed by soft tissue dissection using the UROLASE+ premium laser (IRE-POLUS, Russia) at different power settings: (1) 10 W, (2) 15 W, and (3) 20 W. Histological samples were collected from the wound edges and base. The incision was sutured with Prolene 4–0 thread, treated with Betadine, and covered with a sterile dressing. Post-surgery, all the rats were brought out of sedation using Antisedan at a dosage of 0.07 mL.

2.3. Histological Analysis

The histological examination was performed using a standard technique. The collected samples were embedded in paraffin blocks and stained with hematoxylin and eosin (H&E). The material was analyzed under a Carl Zeiss AXIO LAB A1 microscope, with images captured using a digital camera with a tube factor of 1×.

2.4. Phase Three: Ex Vivo

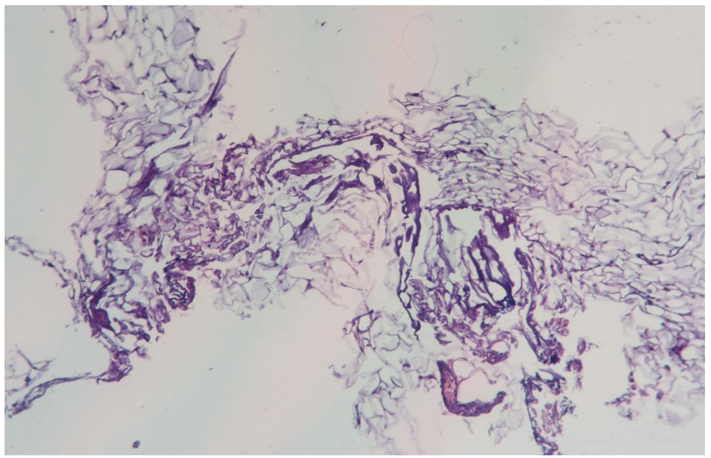
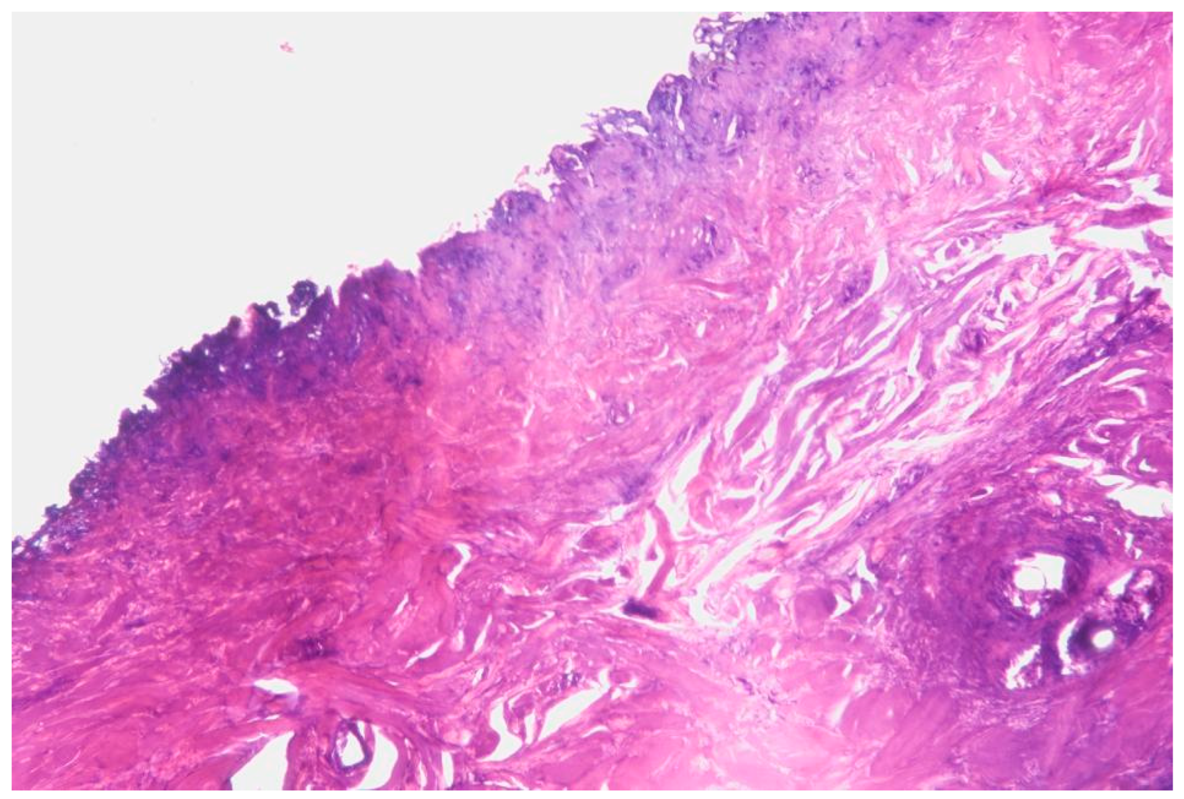
After optimizing the power and frequency parameters on rats, the laser was tested on a human cutaneous–subcutaneous flap excised during an abdominoplasty procedure. Biopsy samples of the skin and subcutaneous tissue were taken from this flap using different power settings: 15 W, 20 W, and 25 W. For comparison, an edge of the skin where an incision was made with a scalpel was also collected (Figure 1).

2.5. Phase Four: Clinical Application

The laser was used for soft tissue dissection in various plastic surgery procedures, including SMAS lifting, mammoplasty, brow lifting, blepharoplasty, and cheiloplasty, in patients at the plastic surgery clinic of Sechenov University.
A 49-year-old female patient presented to the Department of Plastic Surgery at I.M. Sechenov First Moscow State Medical University with complaints about signs of facial aging. She expressed dissatisfaction with facial sagging, drooping of the eyebrows, excess skin on the upper and lower eyelids, and reduced lip volume, as well as an unsatisfactory volume of the breasts.
She had a history of facial aesthetic treatments, including multiple photothermolysis procedures and the use of facial fillers. A decision was made to use the thulium fiber laser for soft tissue dissection.

3. Results

3.1. Results of Clinical Trials

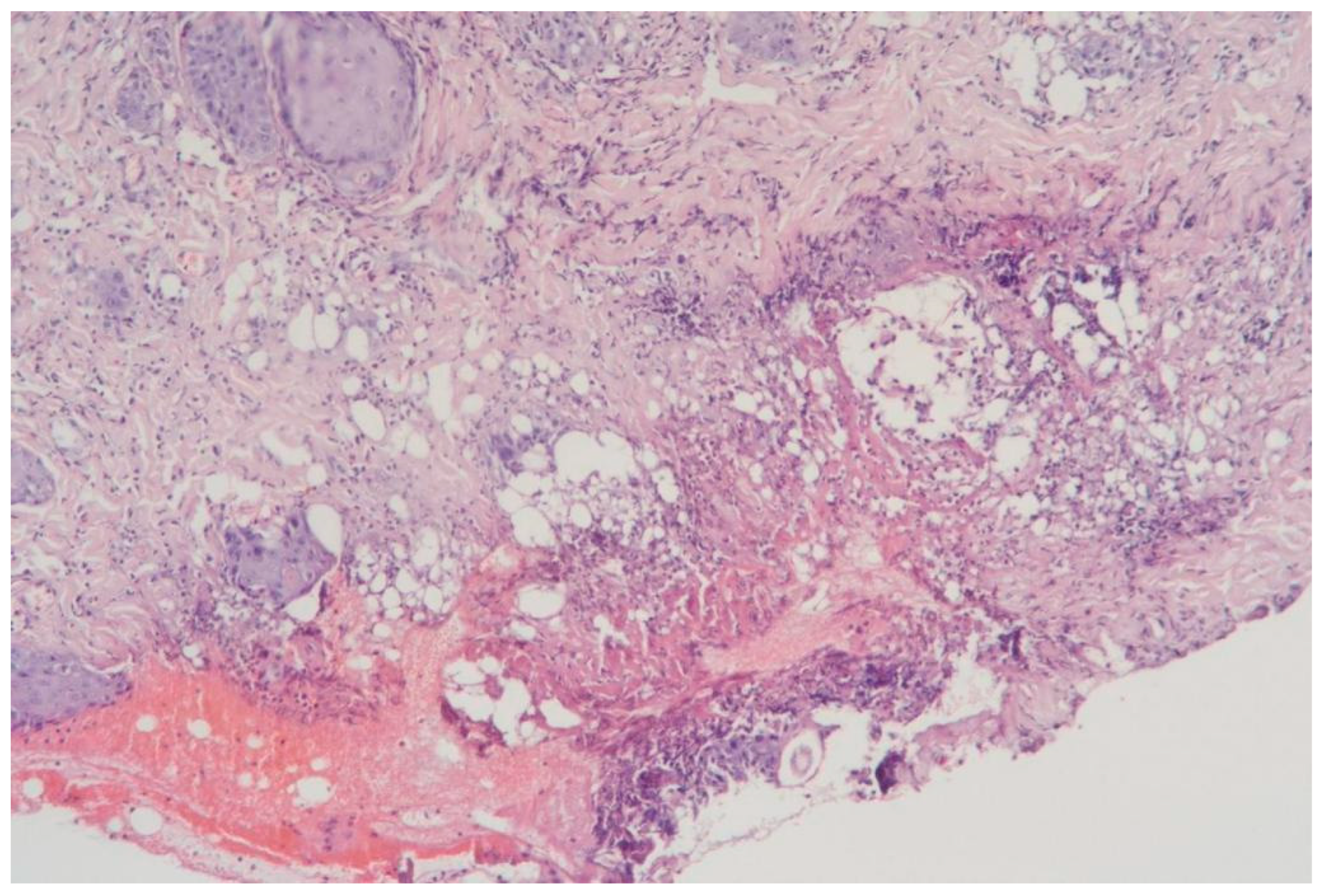
3.1.1. Clinical Case 1: Soft Tissues in the Dissection Area, Scar 10 W (See Figure 2)

Description: The histological examination revealed total necrosis of the epidermis and dermis, with the formation of a demarcation zone heavily infiltrated by polymorphonuclear leukocytes. The infiltrate extended into the subcutaneous adipose tissue. The vessels within the necrotic zone were coagulated, while those in the underlying tissues were markedly dilated. Small diapedesis hemorrhages were noted. The skin appendages in the underlying tissues remained intact, and the collagen fibers were preserved.
Figure 2. Skin changes in Rat 1 on the 7th day after exposure to the thulium laser at 10 W, 65 Hz. H&E staining, 10× objective magnification.
Figure 2. Skin changes in Rat 1 on the 7th day after exposure to the thulium laser at 10 W, 65 Hz. H&E staining, 10× objective magnification.
Cosmetics 12 00039 g002

3.1.2. Clinical Case 2: Soft Tissues in the Dissection Area, 15 W (See Figure 3)

Description: During the histological examination, the epidermis and dermis were found to be in a state of subtotal necrosis, with the formation of a demarcation zone infiltrated abundantly with polymorphonuclear leukocytes. The infiltrate extended into the subcutaneous adipose tissue. The vessels in the necrotic area were coagulated, while those in the underlying tissues were markedly dilated. There were no signs of hemorrhage. The appendages of the underlying skin tissues remained intact, and the collagen fibers were preserved.
Figure 3. Skin changes in Rat 1 on the 7th day after exposure to the thulium laser at 15 W, 75 Hz. H&E staining, 10× objective magnification.
Figure 3. Skin changes in Rat 1 on the 7th day after exposure to the thulium laser at 15 W, 75 Hz. H&E staining, 10× objective magnification.
Cosmetics 12 00039 g003

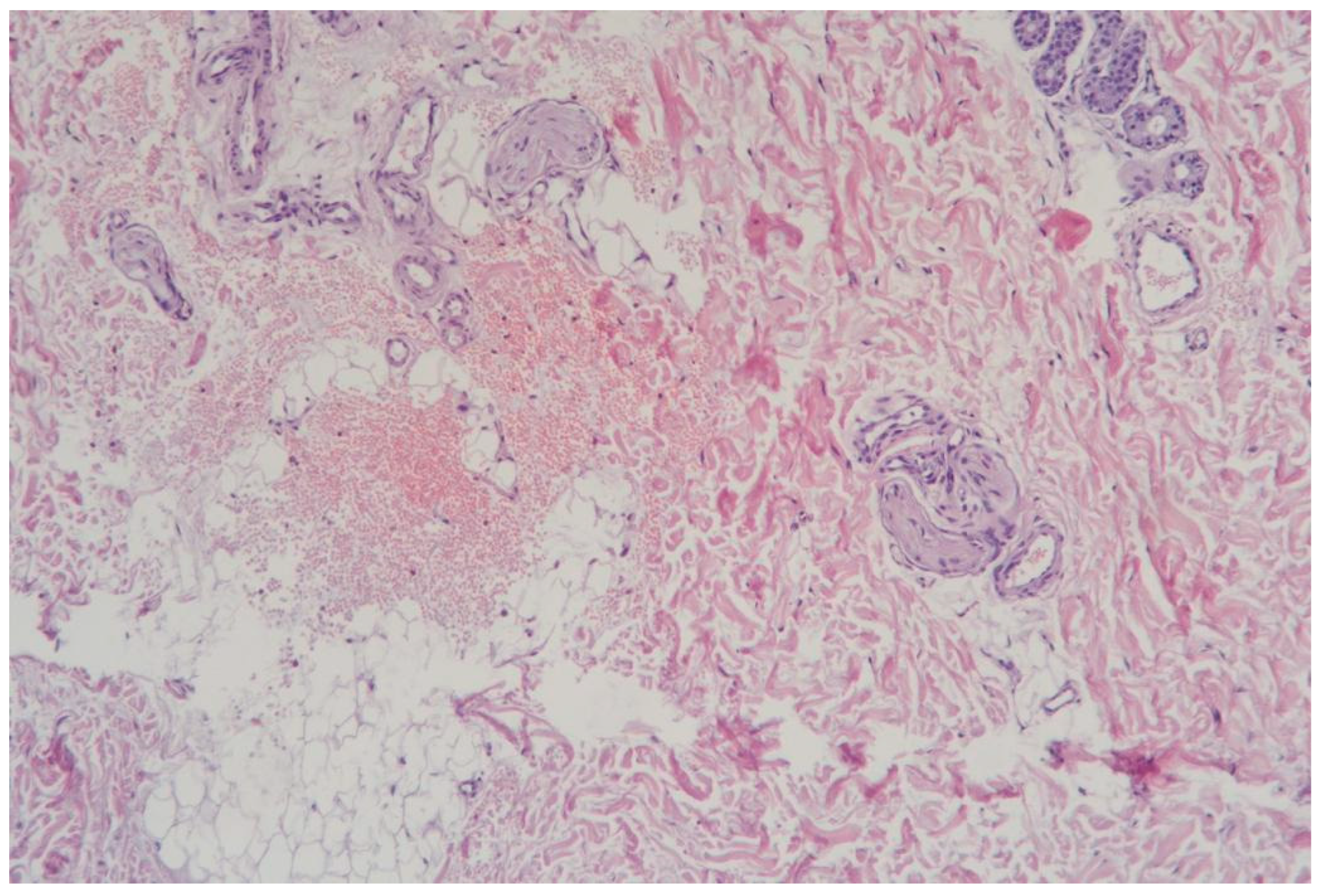
3.1.3. Clinical Case 3: Soft Tissues in the Dissection Area, Scar 20 W (See Figure 4)

Description: The histological examination showed preserved epidermis and underlying dermis. The vessels of the superficial vascular plexus were dilated, while those of the deep plexus collapsed. There was noted collagen fiber densification at the biopsy edge. No inflammatory changes were observed, and the skin appendages remained intact.
Figure 4. Skin changes in Rat 1 on the 7th day after exposure to the thulium laser at 20 W, 100 Hz. H&E staining, 10× objective magnification.
Figure 4. Skin changes in Rat 1 on the 7th day after exposure to the thulium laser at 20 W, 100 Hz. H&E staining, 10× objective magnification.
Cosmetics 12 00039 g004
On the 7th day after exposure to the thulium laser at 20 W, the tissues were almost completely restored, with scar tissue formation characterized by slightly densified collagen fibers.
When the preliminary hydrodissection with physiological saline was performed, soft tissue dissection using the thulium laser was less traumatic. Comparing the laser performance at the three different power settings (10 W, 15 W, and 20 W), the most effective dissection was observed at 20 W. There was no carbonization of soft tissues, and the underlying vessels remained undamaged during dissection. Histological analysis was conducted on samples collected from the edges and bases of the wounds created at the three different power settings.
The histological results showed no critical damage to the skin when the specified thulium laser parameters were used in an aqueous environment on human tissues.
When comparing histological outcomes between scalpel incisions and thulium laser use at 15 W and 20 W, the following observations were made:

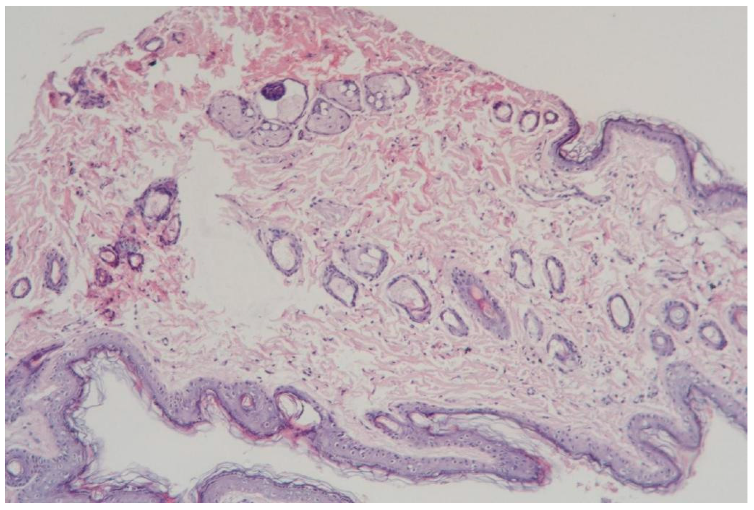
3.1.4. Clinical Case 4: Skin Dissection Area, Scalpel Incision (See Figure 5)

Description: No necrotic changes were noted, the vessels were dilated and congested, and there were extensive hemorrhages at the resection margins.
Figure 5. Skin changes following scalpel incision. H&E staining, 10× objective magnification.
Figure 5. Skin changes following scalpel incision. H&E staining, 10× objective magnification.
Cosmetics 12 00039 g005

3.1.5. Clinical Case 5: Skin Dissection Area, Scar 15 W (See Figure 6)

Description: There was extensive coagulative necrosis of the tissues, the vessels were coagulated, and hemorrhages were absent.
Figure 6. Skin changes following exposure to the thulium laser at 15 W, 75 Hz. H&E staining, 10× objective magnification.
Figure 6. Skin changes following exposure to the thulium laser at 15 W, 75 Hz. H&E staining, 10× objective magnification.
Cosmetics 12 00039 g006

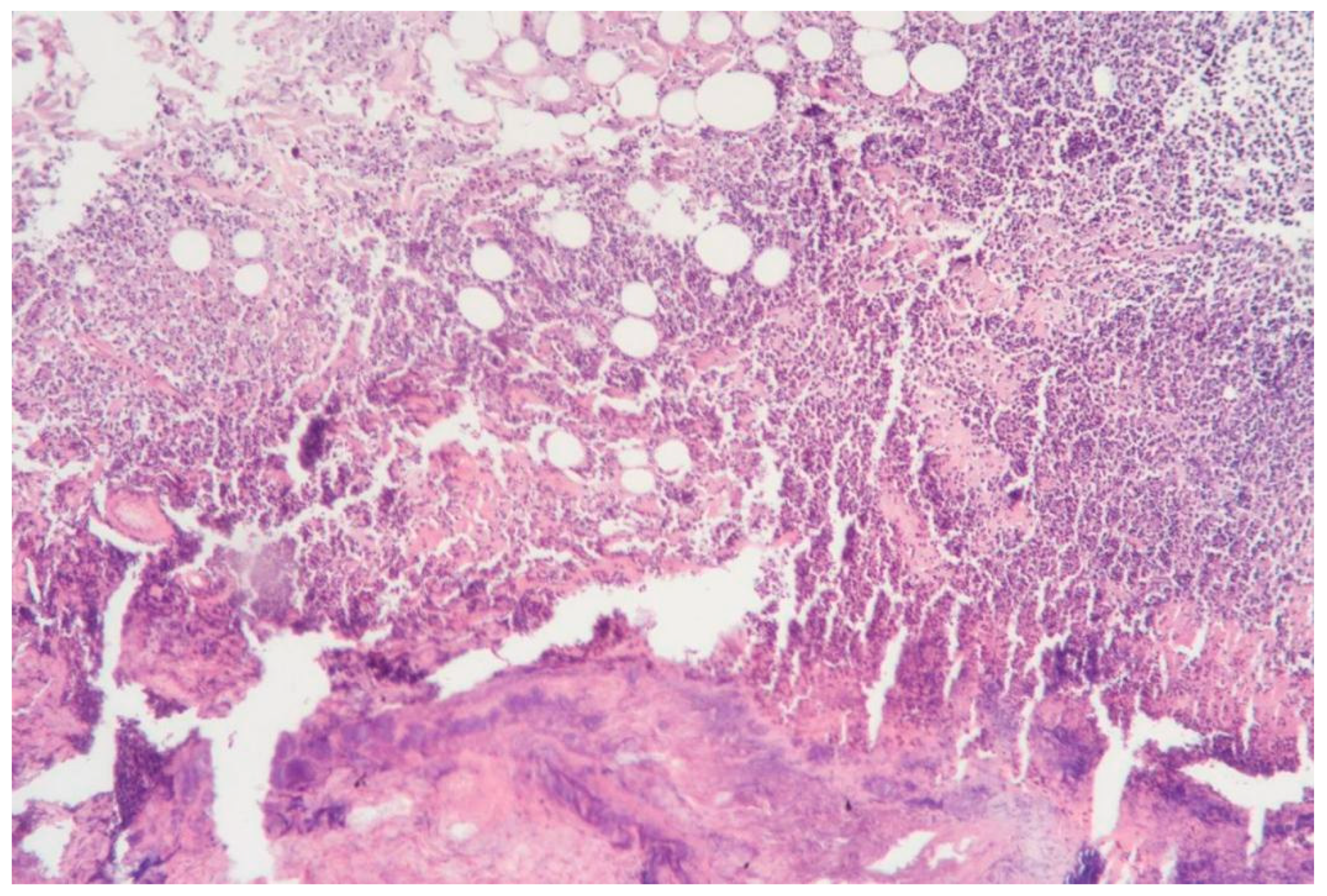
3.1.6. Clinical Case 6: Skin Dissection Area, Scar 20 W (See Figure 7)

Description: The coagulative necrosis zone was less deep, with no inflammatory changes observed. The vessels in the treated area were coagulated. In the surrounding tissues, collagen fibers and skin appendages were preserved. A slight polarization of the nuclei of skin appendage cells was noted at the boundary between the coagulative necrosis zone and the intact tissues. The vessels in this area were dilated, with no signs of hemorrhage, and the subcutaneous adipose tissue remained intact.
Figure 7. Skin changes following exposure to the thulium laser at 20 W, 100 Hz. H&E staining, 10× objective magnification.
Figure 7. Skin changes following exposure to the thulium laser at 20 W, 100 Hz. H&E staining, 10× objective magnification.
Cosmetics 12 00039 g007
Thus, when exposed to the thulium laser at 20 W, the surrounding tissues exhibited the least pronounced necrotic changes, with no hemorrhages or inflammatory alterations.
When comparing the histological results of the subcutaneous adipose tissue exposed to a scalpel and the thulium laser at 15, 20, and 25 W, the following changes were observed:

3.1.7. Clinical Case 7: Adipose Tissue Dissection Area, Scalpel Incision (See Figure 8)

Description: The structure of the subcutaneous adipose tissue was preserved, with the vessels being dilated and congested.
Figure 8. Changes in subcutaneous adipose tissue following scalpel incision. H&E staining, 10× objective magnification.
Figure 8. Changes in subcutaneous adipose tissue following scalpel incision. H&E staining, 10× objective magnification.
Cosmetics 12 00039 g008

3.1.8. Clinical Case 8: Adipose Tissue Dissection Area, 15 W (See Figure 9)

Description: The coagulative necrosis of the adipose tissue was primarily along the septa. The vessels in the subcutaneous adipose tissue were congested; small-caliber vessels were coagulated, while larger vessels showed necrosis of the perivascular space, polarization, and sloughing of endothelial cells. Inflammatory changes were absent.
Figure 9. Changes in subcutaneous adipose tissue following exposure to the thulium laser at 15 W 75 Hz. H&E staining, 10× objective magnification.
Figure 9. Changes in subcutaneous adipose tissue following exposure to the thulium laser at 15 W 75 Hz. H&E staining, 10× objective magnification.
Cosmetics 12 00039 g009

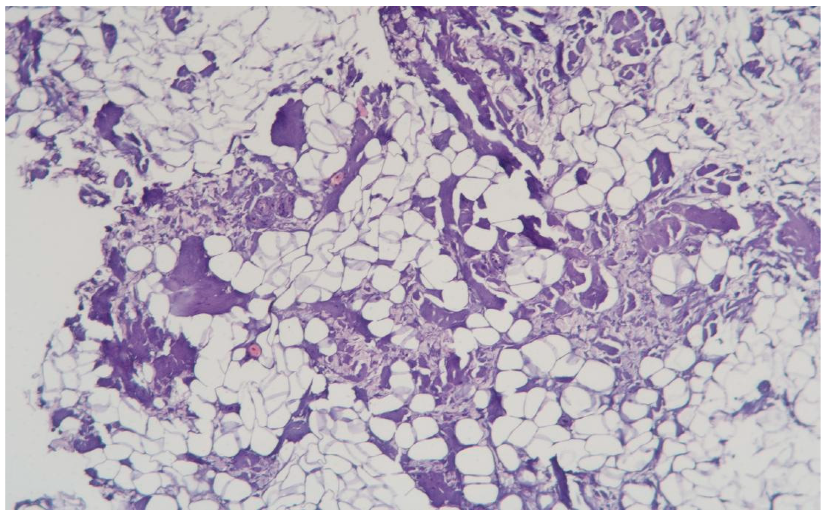
3.1.9. Clinical Case 9: Adipose Tissue Dissection Area, 20 W (See Figure 10)

Description: Compared to 15 W, the zone of coagulative necrosis was less pronounced.
Figure 10. Changes in subcutaneous adipose tissue following exposure to the thulium laser at 20 W, 100 Hz. H&E staining, 10× objective magnification.
Figure 10. Changes in subcutaneous adipose tissue following exposure to the thulium laser at 20 W, 100 Hz. H&E staining, 10× objective magnification.
Cosmetics 12 00039 g010

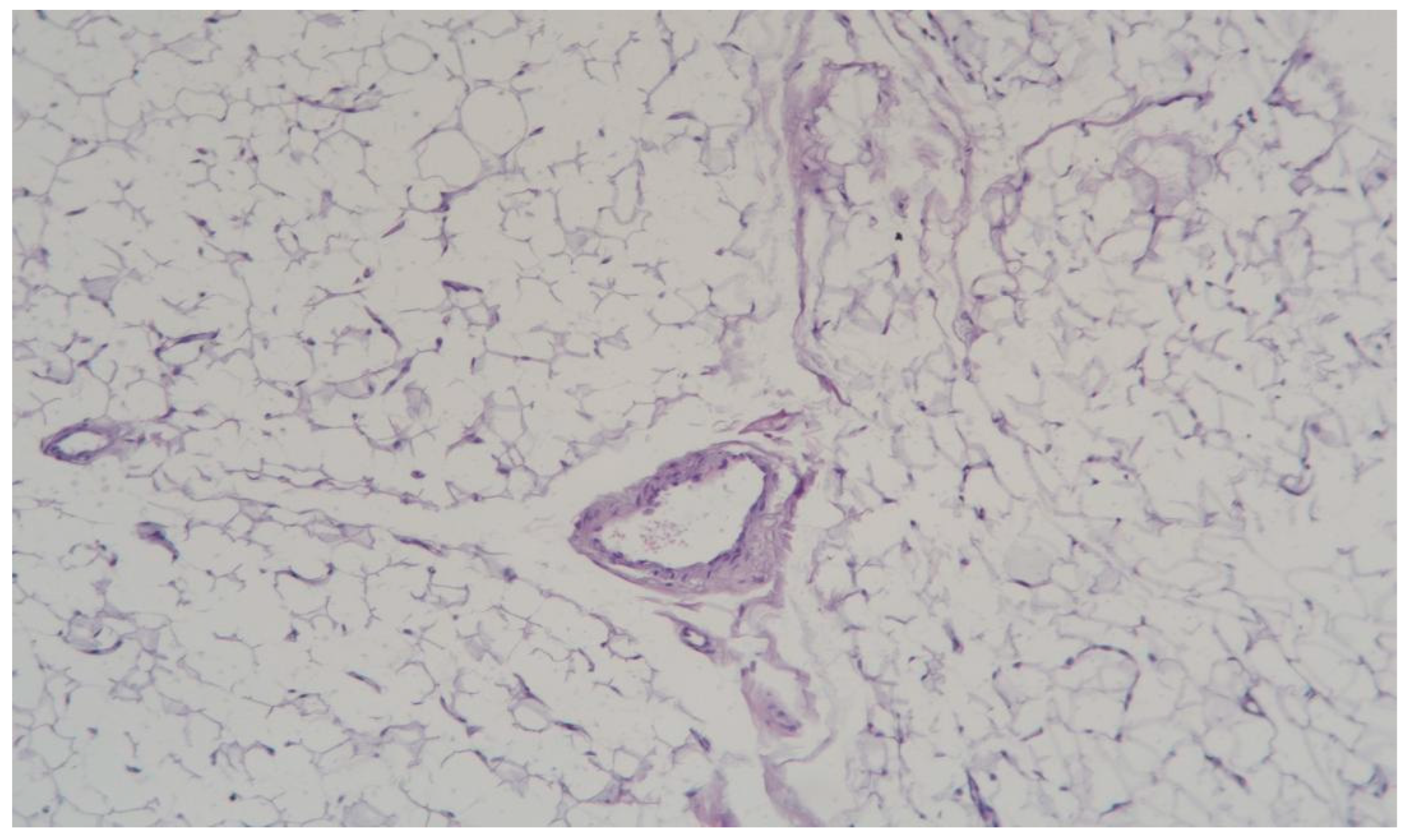
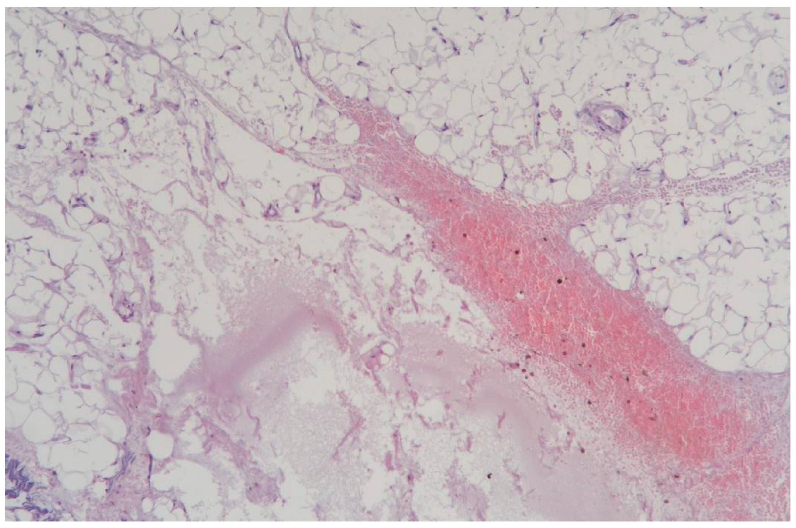
3.1.10. Clinical Case 10: Adipose Tissue Dissection Area, 25 W (See Figure 11)

Description: Coagulative necrosis mainly spread along the septa. The adipose tissue was preserved, but extensive hemorrhages were observed in the interlobular spaces. Inflammatory changes were absent. The vessels were dilated and markedly congested, with thickened and edematous walls.
Figure 11. Changes in subcutaneous adipose tissue following exposure to the thulium laser at 25 W. H&E staining, 10× objective magnification.
Figure 11. Changes in subcutaneous adipose tissue following exposure to the thulium laser at 25 W. H&E staining, 10× objective magnification.
Cosmetics 12 00039 g011
Thus, when exposed to the thulium laser at 20 W, the surrounding tissues exhibited the least pronounced necrotic changes, with no hemorrhages or inflammatory alterations.

3.2. Results of Thulium Fiber Laser During the Operation

The power and frequency settings were adjusted based on the experimental and laboratory findings. The surgical sites were infiltrated using a tumescent solution. Successful laser tissue dissection was achieved across all the specified body areas, demonstrating favorable results in terms of the ease of dissection and hemostatic ability. Bleeding was minimal when compared to traditional methods. We minimized the thermal impact of the thulium laser on tissues during cutting and dissection through the use of optimized power and frequency settings in a moist environment employing an infusion pump to deliver a 0.9% sodium chloride solution to the laser fiber at the tissue contact site.
The histological examination of the tissues confirmed the anticipated benefits of using the thulium laser, further reinforcing its suitability for plastic surgery, where safety, minimal trauma, and reduced recovery time are important considerations. Working with the thulium laser in a moist environment during tissue dissection yielded excellent results (Figure 12, Figure 13, Figure 14 and Figure 15), offering a comfortable dissection experience for the surgeon (Table 1, Supplementary Material Video S1). This has practical significance, as it enhances the quality of outcomes and patient satisfaction for procedures performed under both general and local anesthesia.
The dissection settings for the laser device were established as follows:
  • Mammoplasty, SMAS lifting, and brow lifting: Pulsed mode, average power 20 W, energy 0.2 J, frequency 100 Hz.
  • Blepharoplasty: Pulsed mode, average power 10 W, energy 0.1 J, frequency 65 Hz.
  • Cheiloplasty: Pulsed mode, average power 10 W, energy 0.1 J, frequency 80 Hz.
Infusion Pump Settings:
  • A total of 0.8 mL/min for mammoplasty, SMAS lifting, and brow lifting.
  • A total of 0.3 mL/min for blepharoplasty and cheiloplasty.
Intra-operatively, it was observed that during SMAS lifting procedures, particularly when dissecting beneath the infraorbital region via an approach through the temporal or preauricular areas, the use of a straight laser nozzle proved ergonomically challenging. This limitation was especially notable when accessing and lifting the SMAS in the suborbicularis oculi region, as well as when addressing subplatysmal structures. To address this issue, we have been developing and patenting a new, slightly angled laser nozzle (Figure 16), approximately thirty degrees, with a length of 10 cm and a diameter of 2 mm with an optical fiber of 550 microns. The nozzle significantly enhances maneuverability and makes work in these regions more comfortable for surgeons.

4. Discussion

Thulium fiber lasers (TFLs) are a type of fiber laser in which a thulium-doped fiber serves as the active medium, unlike solid-state lasers that use a YAG crystal doped with ions. The laser delivers energy through the fiber, exciting thulium electrons and generating photons, which are then directed to the surgical site via the laser fiber. The emission spectrum of the diode laser can be matched to the absorption range of thulium, making the laser pumping mechanism more efficient and resulting in less heat generation compared to lamp-pumped Ho:YAG or Tm:YAG devices. Consequently, high power can be achieved without the need for a bulky water-cooling system [1].
Thulium fiber lasers have several potential advantages over holmium lasers, including smaller size, greater efficiency, more precise tissue dissection, and the ability to operate in both pulsed and continuous modes [2]. It also has a shallower penetration depth and reduced carbonization (due to better water absorption) [3,4]. The thulium fiber laser’s 1940 nm wavelength precisely aligns with the peak water absorption in the near-infrared range, resulting in an absorption coefficient four times higher than that of the holmium laser [5] and reducing the operation time by 20% (13 min) [6]. Studies have described the device as a precise cutting tool with well-defined thermal effects that facilitate hemostasis [7]. Tuning the fiber laser’s parameters improves its tissue interaction, thus enhancing its clinical utility [8].
The introduction of the thulium fiber laser has yielded promising results in the field of urogenital surgery. Clinical data have demonstrated its effective impact on soft tissues, such as in benign prostatic hyperplasia [9], bladder tumors, and lithotripsy. Additionally, laparoscopic procedures highlight its potential use in kidney cancer treatment. Some authors have emphasized the high efficacy and safety of the thulium laser in liver cancer surgery, particularly when preserving healthy tissue and performing small atypical resections is crucial [10].
This type of laser has also found applications in otorhinolaryngology, resulting in fewer intra-operative pharyngotomies and less post-operative pain compared to traditional methods due to reduced collateral thermal damage, improved visualization, and more precise cutting [11]. Laser techniques have long been widely used in cosmetic dermatology for their ability to precisely target correction zones and minimize damage to surrounding tissues, having been utilized for the removal of pigmented spots, spider veins, and early signs of facial aging [12,13]. However, for tissue dissection and excision, the only widely used laser is the CO2 laser, which has become prevalent in the fields of dermatology [14] and dentistry, reducing complications through photothermal effects and eliminating the need for suturing [14,15].
The application of lasers in plastic surgery was first demonstrated by Italian surgeons in 2014, who published excellent results using the DEKA SmartXide2 fractional CO2 laser for blepharoplasty and skin dissection around the eyelids. This technique showed satisfactory and long-lasting results. This laser system allows for precise, controlled, and minimally invasive interactions with soft tissues [16].
Using laser technology in blepharoplasty reduces the operating time, minimizes the risk of hematoma formation, and leads to less tissue swelling when compared to traditional hemostasis methods [17]. As highlighted by Enikeev D. in 2022: “If you are looking for a versatile tool that has already proven to be an effective solid-state device, with superior physical properties, greater economic efficiency, and excellent adaptability, choose the thulium fiber laser” [18].
Given the novel nature of this method, the use of the laser is approved by the Local Ethics Committee of I.M. Sechenov First Moscow State Medical University, protocol no. 02-23, 26 January 2023. The current sample size is limited, and a longer follow-up period is necessary. However, the patented technology not only enhances surgical outcomes, reduces complications, and streamlines procedures, but also holds potential for broader applications in other medical fields. This could significantly increase its commercial potential and accessibility in the future.

5. Conclusions

The potential for integrating laser devices for soft tissue dissection into practical healthcare is promising, with the number of operations performed annually in plastic surgery departments reaching hundreds of millions. In the future, this method may contribute to the modeling and programming of robotic surgeries, taking into account the depth of dissection.
In recent years, many patients have undergone multiple bouts of cosmetological procedures, fillers, and surgeries that result in fibrotic tissues; for this category of patients, traditional methods of soft tissue dissection, such as sharp mechanical and electrocautery, can be increasingly challenging and more traumatic. In this context, thulium laser dissection appears as a promising and viable alternative.
Thulium fiber laser dissection in aesthetic plastic surgery has demonstrated viability when used correctly, offering advantages over traditional dissection methods (e.g., scalpels or electrocautery) by potentially reducing post-operative complications and minimizing trauma to the skin flap (Figure 17 and Figure 18).
We hope that our initial steps in using the thulium laser in plastic surgery will encourage further adoption of this innovative method among plastic surgeons and pave the way for further research on laser-assisted soft tissue dissection.
Our experiences gained with thulium fiber laser use suggest that this method holds significant potential for improving surgical treatment outcomes, including reduced trauma, precision, and shorter recovery periods. It also addresses the primary goal of our work, which is achieving aesthetic satisfaction for both patients and surgeons.

Supplementary Materials

The following supporting information can be downloaded at: https://www.mdpi.com/article/10.3390/cosmetics12020039/s1. Video S1: Thulium Fiber Laser Dissection.

Author Contributions

Conceptualization: A.S.B. (Anastasiya S. Borisenko) and V.I.S.; methodology: A.S.B. (Anastasiya S. Borisenko) and A.E.A.; investigation: A.S.B. (Anastasiya S. Borisenko)., V.I.S., Y.M.A.A. and A.S.B. (Anna S. Bairamova); writing: A.S.B. (Anastasiya S. Borisenko), A.E.A. and Y.M.A.A.; original draft preparation: A.S.B. (Anastasiya S. Borisenko), A.E.A., Y.M.A.A. and A.S.B. (Anna S. Bairamova); resources: A.S.B. (Anastasiya S. Borisenko), V.I.S. and A.E.A.; review and editing: A.S.B. (Anastasiya S. Borisenko), V.I.S., A.E.A., Y.M.A.A. and A.S.B. (Anna S. Bairamova); supervision: A.S.B. (Anastasiya S. Borisenko), V.I.S. and A.E.A.; visualization: O.A.G. and V.A.S.; software: O.A.G. and V.A.S. All authors have read and agreed to the published version of the manuscript.

Funding

This research received no external funding.

Institutional Review Board Statement

The study was approved by Local Ethics Committee of I.M. Sechenov First Moscow State Medical University, protocol no. 02-23, 26 January 2023.

Informed Consent Statement

Written informed consent has been obtained from the patients to publish this paper.

Data Availability Statement

The data presented in this study are available upon request from the corresponding author. The data are not publicly available due ethical considerations, patient confidentiality and institutional restrictions.

Conflicts of Interest

The authors declare no conflicts of interest.

References

  1. Jackson, S.D.; Lauto, A. Diode-pumped fiber lasers: A new clinical tool? Lasers Surg. Med. 2002, 30, 184–190. [Google Scholar] [CrossRef] [PubMed]
  2. Fried, N.M.; Murray, K.E. High-power thulium fiber laser ablation of urinary tissues at 1.94 microm. J. Endourol. 2005, 19, 25–31. [Google Scholar] [CrossRef] [PubMed]
  3. Rice, P.; Somani, B.K. A systematic review of thulium fiber laser: Applications and advantages of laser technology in the field of urology. Res. Rep. Urol. 2021, 13, 519–527. [Google Scholar] [CrossRef] [PubMed]
  4. Uzan, A.; Chiron, P.; Panthier, F.; Haddad, M.; Berthe, L.; Traxer, O.; Doizi, S. Comparison of Holmium:YAG and Thulium Fiber Lasers on the Risk of Laser Fiber Fracture. J. Clin. Med. 2021, 10, 2960. [Google Scholar] [CrossRef] [PubMed]
  5. Haas, C.R.; Knoedler, M.A.; Li, S.; Gralnek, D.R.; Best, S.L.; Penniston, K.L.; Nakada, S.Y. Pulse-modulated holmium: YAG laser vs. the thulium fiber laser for renal and ureteral stones: A single-center prospective randomized clinical trial. J. Urol. 2023, 209, 374–383. [Google Scholar] [CrossRef] [PubMed]
  6. Ryan, J.R.; Nguyen, M.H.; Linscott, J.A.; Nowicki, S.W.; Jumper, B.M.; Ingimarsson, J.P. PD54-07 Thulium fiber laser results in shorter operating times during ureteroscopy and laser lithotripsy. J. Urol. 2021, 206, e925. [Google Scholar] [CrossRef]
  7. Gesierich, W.; Reichenberger, F.; Fertl, A.; Haeussinger, K.; Sroka, R. Endobronchial therapy with a thulium fiber laser (1940 nm). J. Thorac. Cardiovasc. Surg. 2014, 147, 1827–1832. [Google Scholar] [CrossRef] [PubMed]
  8. Taratkin, M.; Azilgareeva, C.; Cacciamani, G.E.; Enikeev, D. Thulium Fiber Laser in Urology: Physics Made Simple. Curr. Opin. Urol. 2021, 32, 166–172. [Google Scholar] [CrossRef] [PubMed]
  9. Bhojani, N. Thulium fiber laser enucleation of the prostate. Urol. Video J. 2022, 13, 100112. [Google Scholar] [CrossRef]
  10. Janeczek, M.; Świderski, J.; Czerski, A.; Żywicka, B.; Bujok, J.; Szymonowicz, M.; Bilewicz, E.; Dobrzyński, M.; Korczyński, M.; Chrószcz, A.; et al. Preliminary Evaluation of Thulium Doped Fiber Laser in Pig Model of Liver Surgery. BioMed Res. Int. 2018, 2018, 3275284. [Google Scholar] [CrossRef] [PubMed]
  11. Van Abel, K.M.; Moore, E.J.; Carlson, M.L.; Davidson, J.A.; Garcia, J.J.; Olsen, S.M.; Olsen, K.D. Transoral Robotic Surgery Using the Thulium:YAG LaserA Prospective Study. Arch. Otolaryngol. Head Neck Surg. 2012, 138, 158–166. [Google Scholar] [CrossRef] [PubMed]
  12. Goldberg, D.J. Laser removal of pigmented vascular lesions. J. Cosmet. Dermatol. 2006, 5, 204–209. [Google Scholar] [CrossRef] [PubMed]
  13. Rogazhinskas, P.V.; Dobryakov, B.B.; Ermakovich, N.V.; Sidorov, S.V. Application of Nd:YAG laser in SMAS lifting of the mid and lower thirds of the face. Quest. Reconstr. Plast. Surg. 2022, 25, 52–59. [Google Scholar] [CrossRef]
  14. Chinnadurai, S.; Sathe, N.A.; Surawicz, T. Laser treatment of infantile hemangioma: A systematic review. Lasers Surg. Med. 2015, 48, 221–233. [Google Scholar] [CrossRef] [PubMed]
  15. Michael, M.B.; Valérie, G.S.; Edouard, S.; Daniel, B. The CO2 laser in stomatology. Part 1. Schweiz. Monatsschr. Zahnmed. 2003, 113, 559–570. [Google Scholar]
  16. Cannarozzo, G.; Sannino, M.; Tamburi, F.; Chiricozzi, A.; Saraceno, R.; Morini, C.; Nisticò, S. Deep pulse fractional CO2-laser combined with a radiofrequency system: Results of a case series. Photomed. Laser. Surg. 2014, 32, 409–412. [Google Scholar] [CrossRef] [PubMed]
  17. Putterman, A.M. Scalpel Neodymium: YAG Laser in Oculoplastic Surgery. Am. J. Ophthalmol. 1990, 109, 581–584. [Google Scholar] [CrossRef] [PubMed]
  18. Enikeev, D.; Taratkin, M. Thulium Fiber Laser: Bringing Lasers to a Whole New Level. Eur. Urol. Open Sci. 2023, 48, 31–33. [Google Scholar] [CrossRef] [PubMed]
Figure 1. Clear dissection of the cutaneous–subcutaneous flap in abdominoplasty in the ex vivo phase.
Figure 1. Clear dissection of the cutaneous–subcutaneous flap in abdominoplasty in the ex vivo phase.
Cosmetics 12 00039 g001
Figure 12. Before and after the operation, antero-posterior view.
Figure 12. Before and after the operation, antero-posterior view.
Cosmetics 12 00039 g012
Figure 13. Before and after, lateral view.
Figure 13. Before and after, lateral view.
Cosmetics 12 00039 g013
Figure 14. Before and after blepharoplasty.
Figure 14. Before and after blepharoplasty.
Cosmetics 12 00039 g014
Figure 15. Before and after SMAS lifting.
Figure 15. Before and after SMAS lifting.
Cosmetics 12 00039 g015
Figure 16. On the left is the standard laser nozzle, and on the right is a 10 cm long, 2 mm in diameter, 550-micron optical fiber laser nozzle.
Figure 16. On the left is the standard laser nozzle, and on the right is a 10 cm long, 2 mm in diameter, 550-micron optical fiber laser nozzle.
Cosmetics 12 00039 g016
Figure 17. A visual comparison showing the hemostatic properties of the thulium fiber laser compared to scalpels in blepharoplasty.
Figure 17. A visual comparison showing the hemostatic properties of the thulium fiber laser compared to scalpels in blepharoplasty.
Cosmetics 12 00039 g017
Figure 18. A visual comparison showing the hemostatic properties of the thulium fiber laser compared to scalpels in face lift dissection.
Figure 18. A visual comparison showing the hemostatic properties of the thulium fiber laser compared to scalpels in face lift dissection.
Cosmetics 12 00039 g018
Table 1. Comparison between thulium fiber lasers, scalpel, and electrocautery.
Table 1. Comparison between thulium fiber lasers, scalpel, and electrocautery.
ComparisonThulium LaserScalpelElectrocautery
Tissue dissectionRapid dissection in fibrotic and non-fibrotic tissuesRapid in non-fibrotic tissuesRapid dissection in non-fibrotic tissue
PrecisionExtremely precise dissectionLower precision of dissection than laserLess precision of dissection than a scalpel
Coagulative propertiesHighly coagulativeNo coagulative propertiesHigher likelihood of tissue charring
Thermal damageExtremely low when used under the right settingsNoneHigher likelihood of thermal damage
ComplicationsVery low complications due to high coagulative properties and less tissue damageModerate likelihood of causing complications due to the absence of coagulative propertiesModerate likelihood of causing complications due to thermal damage to the tissues
EdemaNoneModerateLow
Surgeon comfort according to a questionnaireVery comfortableModerately comfortableModerately comfortable
Disclaimer/Publisher’s Note: The statements, opinions and data contained in all publications are solely those of the individual author(s) and contributor(s) and not of MDPI and/or the editor(s). MDPI and/or the editor(s) disclaim responsibility for any injury to people or property resulting from any ideas, methods, instructions or products referred to in the content.

Share and Cite

MDPI and ACS Style

Borisenko, A.S.; Sharobaro, V.I.; Avdeev, A.E.; Ahmed Alsheikh, Y.M.; Bairamova, A.S.; Gafurova, O.A.; Smolyannikova, V.A. Application of Thulium Fiber Laser in Plastic Surgery. Cosmetics 2025, 12, 39. https://doi.org/10.3390/cosmetics12020039

AMA Style

Borisenko AS, Sharobaro VI, Avdeev AE, Ahmed Alsheikh YM, Bairamova AS, Gafurova OA, Smolyannikova VA. Application of Thulium Fiber Laser in Plastic Surgery. Cosmetics. 2025; 12(2):39. https://doi.org/10.3390/cosmetics12020039

Chicago/Turabian Style

Borisenko, Anastasiya S., Valentin I. Sharobaro, Alexey E. Avdeev, Yousif M. Ahmed Alsheikh, Anna S. Bairamova, Olga A. Gafurova, and Vera A. Smolyannikova. 2025. "Application of Thulium Fiber Laser in Plastic Surgery" Cosmetics 12, no. 2: 39. https://doi.org/10.3390/cosmetics12020039

APA Style

Borisenko, A. S., Sharobaro, V. I., Avdeev, A. E., Ahmed Alsheikh, Y. M., Bairamova, A. S., Gafurova, O. A., & Smolyannikova, V. A. (2025). Application of Thulium Fiber Laser in Plastic Surgery. Cosmetics, 12(2), 39. https://doi.org/10.3390/cosmetics12020039

Note that from the first issue of 2016, this journal uses article numbers instead of page numbers. See further details here.

Article Metrics

Back to TopTop