Edible Bird’s Nest (EBN) Ameliorates the Effects of Indomethacin (IMC)-Induced Embryo Implantation Dysfunction in Rats
Simple Summary
Abstract
1. Introduction
2. Materials and Methods
2.1. Animal and Experimental Design
2.2. Ethical Approval
2.3. EBN Preparation
2.4. Estrus Synchronization and Cycle Phases
2.5. Macroscopic and Microscopic Inspections of the Uterus
2.6. Scoring Method of H&E
2.7. Sample Preparation for SEM
2.8. Expressions of EGF, EGFR, PCNA, VEGF, E2R, and P4R in Uterine Tissues by Immunohistochemistry
2.9. Statistical Analysis
3. Results
3.1. Effect of EBN on Body Weight Gain (BWG)
3.2. Effect of EBN on Uterine Body Weight Ratio (UBWR) and Thickness of Luminal Epithelium (LE)
3.3. Fertility Index and Embryo Implantation Rate
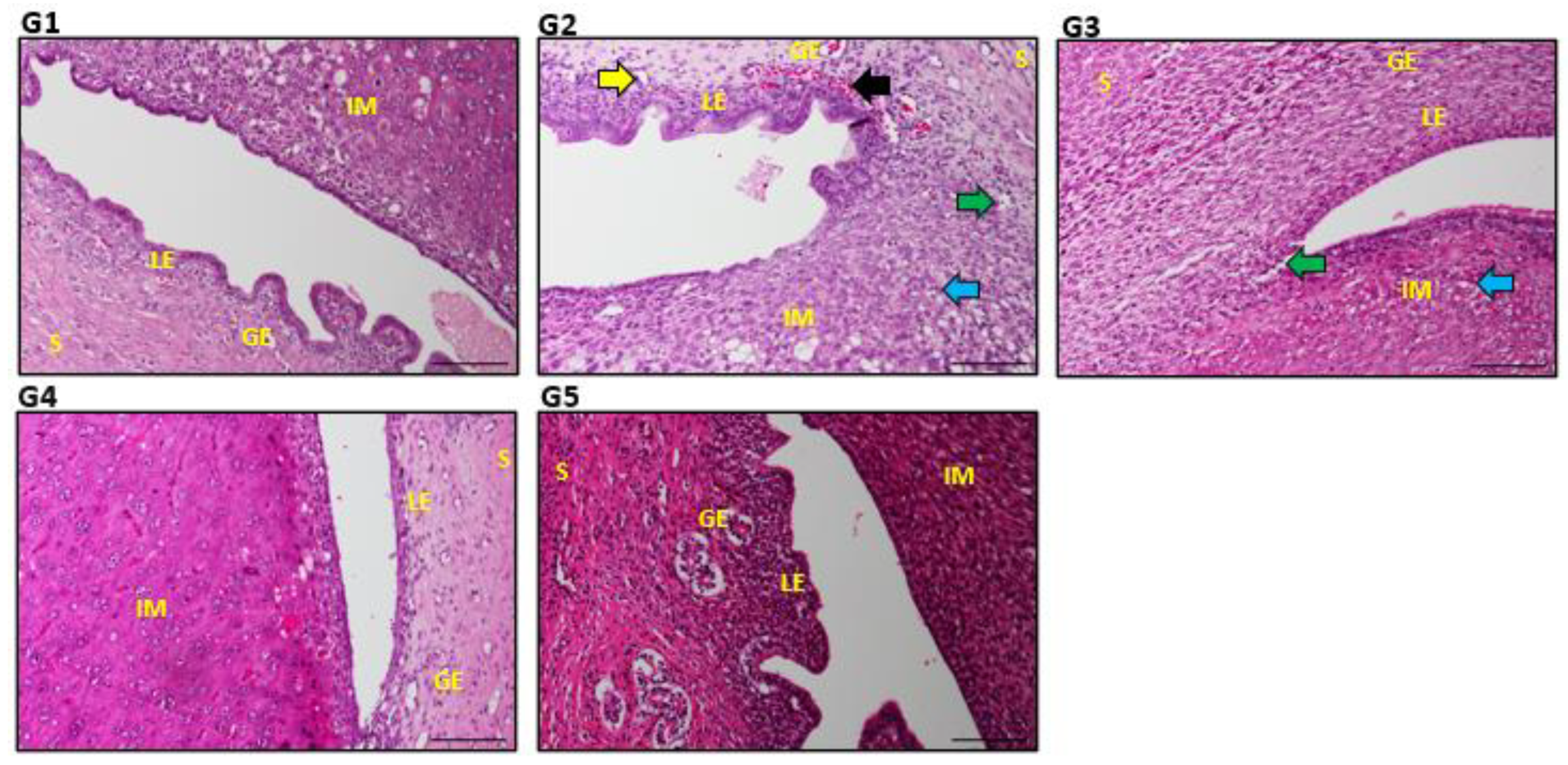
3.4. Histopathological Examination of Uterine Tissue
3.5. Uterine Examinations Using SEM
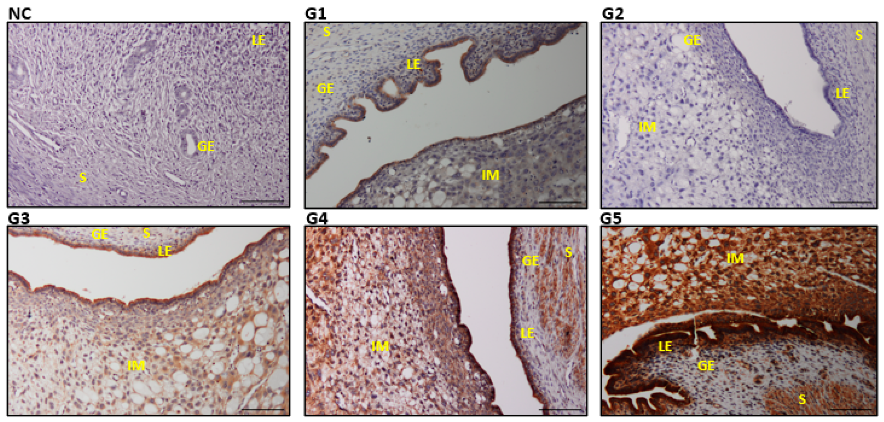
3.6. Expressions and Scoring of EGF, EGFR, PCNA, and VEGF in the Uterine Tissues
3.7. Expression of Steroid Hormone Receptors (E2R and P4R) in Uterine Tissues
4. Discussion
5. Conclusions
Supplementary Materials
Author Contributions
Funding
Institutional Review Board Statement
Informed Consent Statement
Data Availability Statement
Acknowledgments
Conflicts of Interest
References
- Deng, W.; Wang, H. Efficient cell chatting between embryo and uterus ensures embryo implantation. Biol. Reprod. 2022, 107, 339–348. [Google Scholar] [CrossRef] [PubMed]
 - Cheng, J.; Sha, Z.; Li, J.; Li, B.; Luo, X.; Zhang, Z.; Zhou, Y.; Chen, S.; Wang, Y. Progress on the role of estrogen and progesterone signaling in mouse embryo implantation and decidualization. Reprod. Sci. 2023, 30, 1746–1757. [Google Scholar] [CrossRef]
 - Lucas, S. The pharmacology of indomethacin. Headache J. Head Face Pain 2016, 56, 436–446. [Google Scholar] [CrossRef]
 - Banks, W.A.; Gray, A.M.; Erickson, M.A.; Salameh, T.S.; Damodarasamy, M.; Sheibani, N.; Meabon, J.S.; Wing, E.E.; Morofuji, Y.; Cook, D.G. Lipopolysaccharide-induced blood-brain barrier disruption: Roles of cyclooxygenase, oxidative stress, neuroinflammation, and elements of the neurovascular unit. J. Neuroinflammation 2015, 12, 223. [Google Scholar] [CrossRef]
 - Dandić, A.; Rajkovača, K.; Jozanović, M.; Pukleš, I.; Széchenyi, A.; Budetić, M.; Samardžić, M. Review of characteristics and analytical methods for determination of indomethacin. Rev. Anal. Chem. 2022, 41, 34–62. [Google Scholar] [CrossRef]
 - Rzymski, P.; Tomczyk, K.; Poniedzialek, B.; Opala, T.; Wilczak, M. Impact of heavy metals on the female reproductive system. Ann. Agric. Environ. Med. 2015, 22, 259–264. [Google Scholar] [CrossRef] [PubMed]
 - Vernunft, A.; Lapp, R.; Viergutz, T.; Weitzel, J.M. Effects of different cyclooxygenase inhibitors on prostaglandin E2 production, steroidogenesis and ovulation of bovine preovulatory follicles. J. Reprod. Dev. 2022, 68, 246–253. [Google Scholar] [CrossRef]
 - Lee, C.H.; Lee, T.H.; Wong, S.L.; Nyakuma, B.B.; Hamdan, N.; Khoo, S.C.; Ramachandran, H.; Jamaluddin, H. Characteristics and trends in global Edible Bird’s Nest (EBN) research (2002–2021): A review and bibliometric study. J. Food Meas. Charact. 2023, 17, 4905–4926. [Google Scholar] [CrossRef]
 - Chua, K.H.; Mohamed, I.N.; Mohd Yunus, M.H.; Shafinaz Md Nor, N.; Kamil, K.; Ugusman, A.; Kumar, J. The anti-viral and anti-inflammatory properties of edible bird’s nest in influenza and coronavirus infections: From pre-clinical to potential clinical application. Front. Pharmacol. 2021, 12, 633292. [Google Scholar] [CrossRef]
 - Wang, J.; Patel, P.; Mineroff, J.; Jagdeo, J. The potential cutaneous benefits of edible bird’s nest. Arch. Dermatol. Res. 2024, 316, 1–8. [Google Scholar] [CrossRef] [PubMed]
 - Ismail, M.; Hou, Z.; Stanslas, J.; Iman, M.; Zhang, Y.; Ideris, A.; Mahmud, R. Edible Bird’s Nest Pretreatment Prevents Ovariectomy Induced Cognitive Aging in Morris Water Maze. In Proceedings of the Edible Bird Nest Industry Conference (EBNIC 2014), Putrajaya, Malaysia, 25–28 November 2014; pp. 25–26. [Google Scholar]
 - Urbano, G.; Porres, J.M.; Frías, J.; Vidal-Valverde, C. Nutritional value. In Lentil: An Ancient Crop for Modern Times; Springer: Berlin/Heidelberg, Germany, 2007; pp. 47–93. [Google Scholar]
 - Albishtue, A.A.; Yimer, N.; Zakaria, M.Z.A.; Abubakar, A.A.; Almhanawi, B.H. Effects of EBN on embryo implantation, plasma concentrations of reproductive hormones, and uterine expressions of genes of PCNA, steroids, growth factors and their receptors in rats. Theriogenology 2019, 126, 310–319. [Google Scholar] [CrossRef] [PubMed]
 - Governini, L.; Luongo, F.P.; Haxhiu, A.; Piomboni, P.; Luddi, A. Main actors behind the endometrial receptivity and successful implantation. Tissue Cell 2021, 73, 101656. [Google Scholar] [CrossRef]
 - Albishtue, A.A.; Yimer, N.; Zakaria, M.Z.A.; Yusoff, R.; Assi, M.A.; Almhanawi, B.H. Edible bird’s nest impact on rats’ uterine histomorphology, expressions of genes of growth factors and proliferating cell nuclear antigen, and oxidative stress level. Vet. World 2018, 11, 71. [Google Scholar] [CrossRef] [PubMed]
 - Hubscher, C.; Brooks, D.; Johnson, J. A quantitative method for assessing stages of the rat estrous cycle. Biotech. Histochem. 2005, 80, 79–87. [Google Scholar] [CrossRef]
 - Byers, S.L.; Wiles, M.V.; Dunn, S.L.; Taft, R.A. Mouse estrous cycle identification tool and images. PLoS ONE 2012, 7, e35538. [Google Scholar] [CrossRef] [PubMed]
 - Sari, G.P.; Hilario, P.L.L.; Yuri, S.; Honda, A.; Isotani, A. Scheduled simple production method of pseudopregnant female mice for embryo transfer using the luteinizing hormone-releasing hormone agonist. Sci. Rep. 2022, 12, 21985. [Google Scholar] [CrossRef] [PubMed]
 - Ajayi, A.F.; Akhigbe, R.E. Staging of the estrous cycle and induction of estrus in experimental rodents: An update. Fertil. Res. Pract. 2020, 6, 1–15. [Google Scholar] [CrossRef] [PubMed]
 - Mardanshahi, Z.; Malekshah, A.K.; Amiri, F.T.; Valadan, R. Effects of Benzo (a) pyrene on the endometrial receptivity and embryo implantation in mice: An experimental study. Int. J. Reprod. Biomed. 2018, 16, ijrm-v16i12. [Google Scholar] [CrossRef]
 - Albishtue, A.A.; Yimer, N.; Zakaria, M.Z.A.; Abubakar, A.A.; Baiee, F.H.; Almhanna, H.K.; Almhanawi, B.H. The role of edible bird’s nest and mechanism of averting lead acetate toxicity effect on rat uterus. Vet. World 2019, 12, 1013. [Google Scholar] [CrossRef] [PubMed]
 - Schindelin, J.; Arganda-Carreras, I.; Frise, E.; Kaynig, V.; Longair, M.; Pietzsch, T.; Preibisch, S.; Rueden, C.; Saalfeld, S.; Schmid, B. Fiji: An open-source platform for biological-image analysis. Nat. Methods 2012, 9, 676–682. [Google Scholar] [CrossRef] [PubMed]
 - D’Ippolito, S.; Di Nicuolo, F.; Papi, M.; Castellani, R.; Palmieri, V.; Masciullo, V.; Arena, V.; Tersigni, C.; Bernabei, M.; Pontecorvi, A. Expression of pinopodes in the endometrium from recurrent pregnancy loss women. Role of thrombomodulin and ezrin. J. Clin. Med. 2020, 9, 2634. [Google Scholar] [CrossRef]
 - Panzan, M.Q.; Mattar, R.; Maganhin, C.C.; dos Santos Simões, R.; Rossi, A.G.Z.; da Motta, E.L.A.; Baracat, E.C.; Soares-Jr, J.M. Evaluation of FAS and caspase-3 in the endometrial tissue of patients with idiopathic infertility and recurrent pregnancy loss. Eur. J. Obstet. Gynecol. Reprod. Biol. 2013, 167, 47–52. [Google Scholar] [CrossRef] [PubMed]
 - Lopata, A.; Bentin-Ley, U.; Enders, A. “ Pinopodes” and implantation. Rev. Endocr. Metab. Disord. 2002, 3, 77. [Google Scholar] [CrossRef]
 - Balamurugan, J.; Lakshmanan, M. Non-steroidal anti-inflammatory medicines. In Introduction to Basics of Pharmacology and Toxicology: Volume 2: Essentials of Systemic Pharmacology: From Principles to Practice; Springer: Singapore, 2021; pp. 335–352. [Google Scholar]
 - Bhunyakarnjanarat, T.; Udompornpitak, K.; Saisorn, W.; Chantraprapawat, B.; Visitchanakun, P.; Dang, C.P.; Issara-Amphorn, J.; Leelahavanichkul, A. Prominent indomethacin-induced enteropathy in FcgRIIb defi-cient lupus mice: An impact of macrophage responses and immune deposition in gut. Int. J. Mol. Sci. 2021, 22, 1377. [Google Scholar] [CrossRef] [PubMed]
 - Dannhardt, G.; Kiefer, W. Cyclooxygenase inhibitors–current status and future prospects. Eur. J. Med. Chem. 2001, 36, 109–126. [Google Scholar] [CrossRef]
 - Sabeeh, S.; Al-Naimi, R.; Yousuf, E. Histopathological changes of male reproductive organs treated with oral administration of indomethacin in male rat. Al-Anbar J. Vet. Sci. 2014, 7, 2. [Google Scholar]
 - Bagoji, I.B.; Hadimani, G.A.; Yendigeri, S.M.; Das, K.K. Sub-chronic indomethacin treatment and its effect on the male reproductive system of albino rats: Possible protective role of black tea extract. J. Basic Clin. Physiol. Pharmacol. 2017, 28, 201–207. [Google Scholar] [CrossRef]
 - Ekanem, A.; Garba, S.; Jankada, A. Toxicology. Histomorphological Assessments of the Female Reproductive Organs of Rats under Indomethacin and Aspirin Treatments. J. Pharmacol. Toxicol. 2008, 3, 203–212. [Google Scholar] [CrossRef]
 - Strauss, J.F., III; Williams, C.J. Ovarian life cycle. In Yen and Jaffe’s Reproductive Endocrinology; Elsevier: Amsterdam, The Netherlands, 2019; pp. 167–205.e169. [Google Scholar]
 - Abramovich, D.; Parborell, F.; Tesone, M. Effect of a vascular endothelial growth factor (VEGF) inhibitory treatment on the folliculogenesis and ovarian apoptosis in gonadotropin-treated prepubertal rats. J. Front. Pharmacol. 2006, 75, 434–441. [Google Scholar] [CrossRef] [PubMed]
 - Esencan, E.; Beroukhim, G.; Seifer, D.B. Age-related changes in Folliculogenesis and potential modifiers to improve fertility outcomes-A narrative review. Reprod. Biol. Endocrinol. 2022, 20, 156. [Google Scholar] [CrossRef]
 - Runge, M.S.; Patterson, C.; McKusick, V. Principles of Molecular Medicine; Springer: Berlin/Heidelberg, Germany, 2006. [Google Scholar]
 - Khurana, T.S.; Davies, K.E. Pharmacological strategies for muscular dystrophy. Nat. Rev. Drug Discov. 2003, 2, 379–390. [Google Scholar] [CrossRef] [PubMed]
 - Breshears, M.A.; Confer, A.W. The urinary system. Pathol. Basis Vet. Dis. 2017, 6, 617–681.e1. [Google Scholar]
 - Annandale, A.; Stroehle, R.; Schulman, M.; Sibeko-Matjila, K.P.; Fosgate, G.T.; Handler, J.; Vemming, D.C.; Clift, S.J. Influence of cycle stage, age and endometrial biopsy score on oxytocin receptor distribution and gene expression in the cervix and uterus of non-pregnant mares. Theriogenology 2018, 120, 1–9. [Google Scholar] [CrossRef] [PubMed]
 - Kossaï, M.; Penault-Llorca, F. Role of hormones in common benign uterine lesions: Endometrial polyps, leiomyomas, and adenomyosis. Horm. Pathol. Uterus 2020, 1242, 37–58. [Google Scholar]
 - Quddus, A.; Yimer, N.; Jesse, F.F.A.; Basit, M.A.; Amir, M.; Islam, M.S. Edible bird’s nest protects histomorphology of rat’s uterus against cadmium (Cd) toxicity through a reduction of Cd deposition and enhanced antioxidant activity. Saudi J. Biol. Sci. 2021, 28, 7068–7076. [Google Scholar] [CrossRef]
 - Ismail, M.; Alsalahi, A.; Aljaberi, M.A.; Ibrahim, R.M.; Bakar, F.A.; Ideris, A. Efficacy of Edible bird’s nest on cognitive functions in experimental animal models: A systematic review. Nutrients 2021, 13, 1028. [Google Scholar] [CrossRef] [PubMed]
 - Imran, S.; Taha, M.; Hadiani Ismail, N. A review of bisindolylmethane as an important scaffold for drug discovery. Curr. Med. Chem. 2015, 22, 4412–4433. [Google Scholar] [CrossRef] [PubMed]
 - Ismail, O.I.; El-Meligy, M.M.S. Curcumin ameliorated low dose-Bisphenol A induced gastric toxicity in adult albino rats. Sci. Rep. 2022, 12, 10201. [Google Scholar] [CrossRef] [PubMed]
 - Abd ElFattah, L.I. Pinopodes. Egypt. J. Histol. 2012, 35, 633–639. [Google Scholar] [CrossRef]
 - Maruo, T.; Matsuo, H.; Otani, T.; Mochizuki, M. Role of epidermal growth factor (EGF) and its receptor in the development of the human placenta. Reprod. Fertil. Dev. 1995, 7, 1465–1470. [Google Scholar] [CrossRef]
 - Roh, K.-B.; Lee, J.; Kim, Y.-S.; Park, J.; Kim, J.-H.; Lee, J.; Park, D. Mechanisms of edible bird’s nest extract-induced proliferation of human adipose-derived stem cells. Evid.-Based Complement. Altern. Med. 2012, 2012, 797520. [Google Scholar] [CrossRef]
 - Elshama, S.S.; El-Kenawy, A.; Osman, H.-E.H.; Youseef, H.M. Amelioration of indomethacin systemic toxicity by gum arabic administration in adult albino rats. Int. J. Med. Plant Alter. Med. 2014, 2, 032–046. [Google Scholar]
 - Anderson, R.; Theron, A.J.; Rapoport, B.L. Immunopathogenesis of immune checkpoint inhibitor-related adverse events: Roles of the intestinal microbiome and Th17 cells. Front. Immunol. 2019, 10, 2254. [Google Scholar] [CrossRef] [PubMed]
 - Thompson, R.P.; Nilsson, E.; Skinner, M.K. Environmental epigenetics and epigenetic inheritance in domestic farm animals. Anim. Reprod. Sci. 2020, 220, 106316. [Google Scholar] [CrossRef]
 - Sato, J.; Nasu, M.; Tsuchitani, M. Comparative histopathology of the estrous or menstrual cycle in laboratory animals. J. Toxicol. Pathol. 2016, 29, 155–162. [Google Scholar] [CrossRef]
 - Conley, A. Review of the reproductive endocrinology of the pregnant and parturient mare. Theriogenology 2016, 86, 355–365. [Google Scholar] [CrossRef]
 - Cen, Y.; Yang, J.; Su, L.; Wang, F.; Zhu, D.; Zhao, L.; Li, Y. Manganese induces neuronal apoptosis by activating mTOR signaling pathway in vitro and in vivo. Food Chem. Toxicol. 2024, 185, 114508. [Google Scholar] [CrossRef] [PubMed]
 - Dai, Y.; Cao, J.; Wang, Y.; Chen, Y.; Jiang, L. A comprehensive review of edible bird’s nest. Food Res. Int. 2021, 140, 109875. [Google Scholar] [CrossRef] [PubMed]
 - Yew, M.Y.; Koh, R.Y.; Chye, S.M.; Abidin, S.A.Z.; Othman, I.; Ng, K.Y. Neurotrophic properties and the de novo peptide sequencing of edible bird’s nest extracts. Food Biosci. 2019, 32, 100466. [Google Scholar] [CrossRef]
 












| Group | Assignment Rats/Group) | (Type of Treatment (Dose)/8 Weeks | 
|---|---|---|
| Control | G1 (Control) | Normal diet + Normal saline | 
| Treated Groups | G2 (Positive control) | IMC only (4.33 mg/kg) | 
| G3 (Low dose) | IMC + EBN (4.33 mg/kg + 60 mg/kg bwt.) | |
| G4 (Medium dose) | IMC + EBN (4.33 mg/kg + 90 mg/kg bwt.) | |
| G5 (High dose) | IMC + EBN (4.33 mg/kg +120 mg/kg bwt.) | 
| Parameters | Groups | ||||
|---|---|---|---|---|---|
| G1 | G2 | G3 | G4 | G5 | |
| Vacuolation | 0 ± 0 a | 2.8 ± 0.1 c | 1.6 ± 0.3 b | 0.5 ± 0.2 a | 0 ± 0 a | 
| Atrophy | 0 ± 0 a | 2.3 ± 0.3 c | 2 ± 0 c | 0.6 ± 0.3 a | 0 ± 0 a | 
| Infiltration of inflammatory cells | 0 ± 0 a | 2.5 ± 0.2 c | 2 ± 0 c | 0.8 ± 0.1 a | 0.5 ± 0 a | 
| Congestion | 0 ± 0 a | 3 ± 0 c | 2.3 ± 0.3 c | 0 ± 0 a | 0 ± 0 a | 
| Parameters | Groups | ||||
|---|---|---|---|---|---|
| G1 | G2 | G3 | G4 | G5 | |
| EGF in LE | 1 ± 0 c | 0.5 ± 0 c | 0.5 ± 0 c | 1.5 ± 0 b | 3 ± 0 a | 
| EGF in GE | 1 ± 0 c | 0.5 ± 0 c | 0.5 ± 0 c | 1.5 ± 0 b | 3 ± 0 a | 
| EGF in S | 0 ± 0 c | 0 ± 0 c | 0 ± 0 c | 1 ± 0 c | 2.5 ± 0 a | 
| VEGF in LE | 2 ± 0 b | 0 ± 0 c | 1.16 ± 0.16 b | 2.5 ± 0 b | 2.5 ± 0 a | 
| VEGF in GE | 1 ± 0 c | 0 ± 0 c | 2 ± 0 b | 2.5 ± 0 b | 2.5 ± 0 a | 
| VEGF in S | 1.3 ± 1.6 b | 1 ± 0 c | 2.5 ± 0 b | 2.5 ± 0 b | 2.5 ± 0 a | 
| EGFR in LE | 1.5 ± 0 b | 1 ± 0 c | 1 ± 0 c | 2.5 ± 0 b | 3 ± 0 a | 
| EGFR in GE | 1 ± 0 c | 0.6 ± 0.3 c | 1 ± 0 c | 1.5 ± 0 b | 3 ± 0 a | 
| EGFR in S | 1.3 ± 0.3 b | 0.3 ± 0.16 c | 1.5 ± 0 b | 1.5 ± 0 b | 3 ± 0 a | 
| PCNA in LE | 1.5 ± 0 b | 1 ± 0 c | 1.5 ± 0 b | 3 ± 0 a | 3 ± 0 a | 
| PCNA in GE | 0 ± 0 c | 1 ± 0 c | 2 ± 0 b | 2.3 ± 0.6 b | 2.5 ± 0 a | 
| PCNA in S | 0 ± 0 c | 0.5 ± 0 c | 1 ± 0 c | 1 ± 0 c | 3 ± 0 a | 
| Parameters | Groups | ||||
|---|---|---|---|---|---|
| G1 | G2 | G3 | G4 | G5 | |
| E2R in LE | 0 ± 0 c | 1.5 ± 0 c | 1.6 ± 0.3 b | 3 ± 0 a | 3 ± 0 a | 
| E2R in GE | 1 ± 0 c | 1 ± 0 c | 2 ± 0 a | 3 ± 0 a | 3 ± 0 a | 
| E2R in S | 0.5 ± 0 c | 0.5 ± 0 c | 2 ± 0 a | 2 ± 0 a | 2.5 ± 0 a | 
| P4R in LE | 0.3 ± 0.16 b | 0 ± 0 c | 0 ± 0 c | 2.5 ± 0 b | 3 ± 0 a | 
| P4R in GE | 0 ± 0 c | 0 ± 0 c | 2 ± 0 a | 1 ± 0 c | 2.8 ± 0.16 a | 
| P4R in S | 1.6 ± 0.16 b | 2 ± 0 a | 0.3 ± 0.3 c | 2.5 ± 0 a | 3 ± 0 a | 
Disclaimer/Publisher’s Note: The statements, opinions and data contained in all publications are solely those of the individual author(s) and contributor(s) and not of MDPI and/or the editor(s). MDPI and/or the editor(s) disclaim responsibility for any injury to people or property resulting from any ideas, methods, instructions or products referred to in the content.  | 
© 2025 by the authors. Licensee MDPI, Basel, Switzerland. This article is an open access article distributed under the terms and conditions of the Creative Commons Attribution (CC BY) license (https://creativecommons.org/licenses/by/4.0/).
Share and Cite
Amir, M.; Yimer, N.; Hiew, M.; Yusoff, M.S.M.; Babatunde, S.M.; Quddus, A. Edible Bird’s Nest (EBN) Ameliorates the Effects of Indomethacin (IMC)-Induced Embryo Implantation Dysfunction in Rats. Biology 2025, 14, 159. https://doi.org/10.3390/biology14020159
Amir M, Yimer N, Hiew M, Yusoff MSM, Babatunde SM, Quddus A. Edible Bird’s Nest (EBN) Ameliorates the Effects of Indomethacin (IMC)-Induced Embryo Implantation Dysfunction in Rats. Biology. 2025; 14(2):159. https://doi.org/10.3390/biology14020159
Chicago/Turabian StyleAmir, Maria, Nurhusien Yimer, Mark Hiew, Md Sabri Mohd Yusoff, Sadiq Mohammed Babatunde, and Abdul Quddus. 2025. "Edible Bird’s Nest (EBN) Ameliorates the Effects of Indomethacin (IMC)-Induced Embryo Implantation Dysfunction in Rats" Biology 14, no. 2: 159. https://doi.org/10.3390/biology14020159
APA StyleAmir, M., Yimer, N., Hiew, M., Yusoff, M. S. M., Babatunde, S. M., & Quddus, A. (2025). Edible Bird’s Nest (EBN) Ameliorates the Effects of Indomethacin (IMC)-Induced Embryo Implantation Dysfunction in Rats. Biology, 14(2), 159. https://doi.org/10.3390/biology14020159
        
