Efficacy of Feed Additives on Immune Modulation and Disease Resistance in Tilapia in Coinfection Model with Tilapia Lake Virus and Aeromonas hydrophila
Simple Summary
Abstract
1. Introduction
2. Materials and Methods
2.1. Experimental Fish
2.2. Preparation of Virus and Bacteria for the Challenge Study
2.3. Diet, Feed Additives and Experimental Design
2.4. Detection of A. hydrophila in Infected Fish
2.5. Total RNA Extraction and cDNA Synthesis
2.6. Quantitative PCR
2.7. Histopathology
2.8. Statistical Analysis
3. Results
3.1. Influence of Additive Supplementation on Clinical Signs, Cumulative Mortality and Pathological Changes
3.2. Effects of Feed Additives on the Replication of TiLV and A. hydrophila
3.3. Impact of Feed Additives on the Expression of Immune-Related Genes
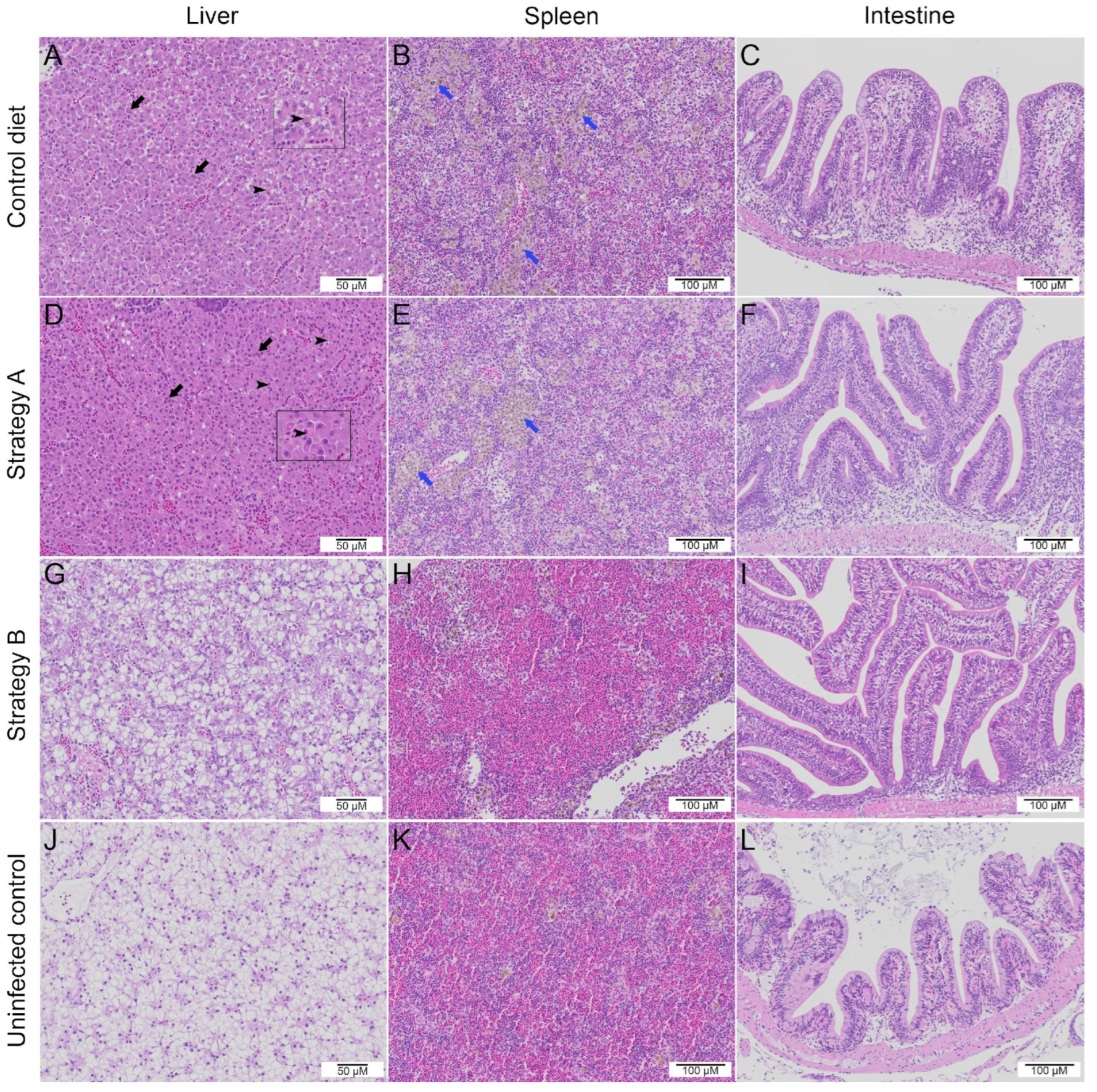
3.4. Histopathological Changes
4. Discussion
5. Conclusions
Supplementary Materials
Author Contributions
Funding
Institutional Review Board Statement
Informed Consent Statement
Data Availability Statement
Conflicts of Interest
References
- Kotob, M.H.; Menanteau-Ledouble, S.; Kumar, G.; Abdelzaher, M.; El-Matbouli, M. The impact of co-infections on fish: A review. Vet. Res. 2016, 47, 98. [Google Scholar] [CrossRef] [PubMed]
 - García-Rosado, E.; Cano, I.; Martín-Antonio, B.; Labella, A.; Manchado, M.; Alonso, M.C.; Castro, D.; Borrego, J.J. Co-occurrence of viral and bacterial pathogens in disease outbreaks affecting newly cultured sparid fish. Int. Microbiol. 2007, 10, 193–199. [Google Scholar] [CrossRef] [PubMed]
 - Lukman, B.; Roslindawani, M.N.; Azzam-Sayuti, M.; Norfarrah, M.A.; Annas, S.; Ina-Salwany, M.Y.; Zamri-Saad, M.; Nor-Yasmin, A.R.; Amin-Nordin, S.; Barkham, T.; et al. Disease development in red hybrid tilapia following single and co-infection with tilapia lake virus and Streptococcus Agalactiae. Aquaculture 2023, 567, 739251. [Google Scholar] [CrossRef]
 - Abdel-Latif, H.M.R.; Dawood, M.A.O.; Menanteau-Ledouble, S.; El-Matbouli, M. The nature and consequences of co-infections in tilapia: A review. J. Fish Dis. 2020, 43, 651–664. [Google Scholar] [CrossRef] [PubMed]
 - Basri, L.; Nor, R.M.; Salleh, A.; Md. Yasin, I.S.; Saad, M.Z.; Abd. Rahaman, N.Y.; Barkham, T.; Amal, M.N.A. Co-infections of Tilapia lake virus, Aeromonas hydrophila and Streptococcus agalactiae in farmed red hybrid tilapia. Animals 2020, 10, 2141. [Google Scholar] [CrossRef]
 - Ramírez-Paredes, J.G.; Paley, R.K.; Hunt, W.; Feist, S.W.; Stone, D.M.; Field, T.R.; Haydon, D.J.; Ziddah, P.A.; Nkansa, M.; Guilder, J.; et al. First detection of infectious spleen and kidney necrosis virus (ISKNV) associated with massive mortalities in farmed tilapia in Africa. Transbound. Emerg. Dis. 2021, 68, 1550–1563. [Google Scholar] [CrossRef]
 - Amal, M.N.A.; Koh, C.B.; Nurliyana, M.; Suhaiba, M.; Nor-Amalina, Z.; Santha, S.; Diyana-Nadhirah, K.P.; Yusof, T.; Ina-Salwany, M.Y.; Zamri-Saad, M. A case of natural co-infection of Tilapia Lake Virus and Aeromonas veronii in a Malaysian red hybrid tilapia (Oreochromis niloticus×O. mossambicus) farm experiencing high mortality. Aquaculture 2018, 485, 12–16. [Google Scholar] [CrossRef]
 - Kembou-Ringert, J.E.; Steinhagen, D.; Readman, J.; Daly, J.M.; Adamek, M. Tilapia lake virus vaccine development: A review on the recent advances. Vaccines 2023, 11, 251. [Google Scholar] [CrossRef]
 - Pereira, W.A.; Mendonça, C.M.N.; Urquiza, A.V.; Marteinsson, V.; LeBlanc, J.G.; Cotter, P.D.; Villalobos, E.F.; Romero, J.; Oliveira, R.P.S. Use of probiotic bacteria and bacteriocins as an alternative to antibiotics in aquaculture. Microorganisms 2022, 10, 1705. [Google Scholar] [CrossRef]
 - El-Habashi, N.; Fadl, S.E.; Farag, H.F.; Gad, D.M.; Elsadany, A.Y.; El Gohary, M.S. Effect of using Spirulina and Chlorella as feed additives for elevating immunity status of Nile tilapia experimentally infected with Aeromonas hydrophila. Aquac. Res. 2019, 50, 2769–2781. [Google Scholar] [CrossRef]
 - Waiyamitra, P.; Zoral, M.A.; Saengtienchai, A.; Luengnaruemitchai, A.; Decamp, O.; Gorgoglione, B.; Surachetpong, W. Probiotics modulate tilapia resistance and immune response against tilapia lake virus infection. Pathogens 2020, 9, 919. [Google Scholar] [CrossRef] [PubMed]
 - Tattiyapong, P.; Dechavichitlead, W.; Waltzek, T.B.; Surachetpong, W. Tilapia develop protective immunity including a humoral response following exposure to tilapia lake virus. Fish Shellfish Immunol. 2020, 106, 666–674. [Google Scholar] [CrossRef] [PubMed]
 - Wohlsen, T.; Bates, J.; Vesey, G.; Robinson, W.A.; Katouli, M. Evaluation of the methods for enumerating coliform bacteria from water samples using precise reference standards. Lett. Appl. Microbiol. 2006, 42, 350–356. [Google Scholar] [CrossRef] [PubMed]
 - Khan, I.U.; Loughborough, A.; Edge, T.A. DNA-based real-time detection and quantification of aeromonads from fresh water beaches on Lake Ontario. J. Water Health 2009, 7, 312–323. [Google Scholar] [CrossRef] [PubMed]
 - Tattiyapong, P.; Sirikanchana, K.; Surachetpong, W. Development and validation of a reverse transcription quantitative polymerase chain reaction for tilapia lake virus detection in clinical samples and experimentally challenged fish. J. Fish Dis. 2018, 41, 255–261. [Google Scholar] [CrossRef]
 - Livak, K.J.; Schmittgen, T.D. Analysis of relative gene expression data using real-time quantitative PCR and the 2(-Delta Delta C(T)) Method. Methods 2001, 25, 402–408. [Google Scholar] [CrossRef]
 - Mugimba, K.K.; Lamkhannat, M.; Dubey, S.; Mutoloki, S.; Munang’andu, H.M.; Evensen, Ø. Tilapia lake virus downplays innate immune responses during early stage of infection in Nile tilapia (Oreochromis niloticus). Sci. Rep. 2020, 10, 20364. [Google Scholar] [CrossRef]
 - Velázquez, J.; Acosta, J.; Herrera, N.; Morales, A.; González, O.; Herrera, F.; Estrada, M.P.; Carpio, Y. Novel IFNγ homologue identified in Nile tilapia (Oreochromis niloticus) links with immune response in gills under different stimuli. Fish Shellfish Immunol. 2017, 71, 275–285. [Google Scholar] [CrossRef]
 - Abdullah, A.; Ramly, R.; Mohammad Ridzwan, M.S.; Sudirwan, F.; Abas, A.; Ahmad, K.; Murni, M.; Kua, B.C. First detection of tilapia lake virus (TiLV) in wild river carp (Barbonymus schwanenfeldii) at Timah Tasoh Lake, Malaysia. J. Fish Dis. 2018, 41, 1459–1462. [Google Scholar] [CrossRef]
 - Nicholson, P.; Fathi, M.A.; Fischer, A.; Mohan, C.; Schieck, E.; Mishra, N.; Heinimann, A.; Frey, J.; Wieland, B.; Jores, J. Detection of tilapia lake virus in Egyptian fish farms experiencing high mortalities in 2015. J. Fish Dis. 2017, 40, 1925–1928. [Google Scholar] [CrossRef]
 - Waiyamitra, P.; Piewbang, C.; Techangamsuwan, S.; Liew, W.C.; Surachetpong, W. Infection of Tilapia tilapinevirus in Mozambique tilapia (Oreochromis mossambicus), a globally vulnerable fish species. Viruses 2021, 13, 1104. [Google Scholar] [CrossRef] [PubMed]
 - Mugimba, K.K.; Tal, S.; Dubey, S.; Mutoloki, S.; Dishon, A.; Evensen, Ø.; Munang’andu, H.M. Gray (Oreochromis niloticus × O. aureus) and Red (Oreochromis spp.) Tilapia Show Equal Susceptibility and Proinflammatory Cytokine Responses to Experimental Tilapia Lake Virus Infection. Viruses 2019, 11, 893. [Google Scholar] [CrossRef] [PubMed]
 - Tattiyapong, P.; Kitiyodom, S.; Yata, T.; Jantharadej, K.; Adamek, M.; Surachetpong, W. Chitosan nanoparticle immersion vaccine offers protection against tilapia lake virus in laboratory and field studies. Fish Shellfish Immunol. 2022, 131, 972–979. [Google Scholar] [CrossRef] [PubMed]
 - da Silva, V.G.; Favero, L.M.; Mainardi, R.M.; Ferrari, N.A.; Chideroli, R.T.; Di Santis, G.W.; de Souza, F.P.; da Costa, A.R.; Gonçalves, D.D.; Nuez-Ortin, W.G.; et al. Effect of an organic acid blend in Nile tilapia growth performance, immunity, gut microbiota, and resistance to challenge against francisellosis. Res. Vet. Sci. 2023, 159, 214–224. [Google Scholar] [CrossRef] [PubMed]
 - Libanori, M.C.M.; Santos, G.G.; Pereira, S.A.; Lopes, G.R.; Owatari, M.S.; Soligo, T.A.; Yamashita, E.; Pereira, U.P.; Martins, M.L.; Mouriño, J.L.P. Dietary supplementation with benzoic organic acid improves the growth performance and survival of Nile tilapia (Oreochromis niloticus) after challenge with Streptococcus agalactiae (Group B). Aquaculture 2021, 545, 737204. [Google Scholar] [CrossRef]
 - Ruiz, P.; Sepulveda, D.; Vidal, J.M.; Romero, R.; Contreras, D.; Barros, J.; Carrasco, C.; Ruiz-Tagle, N.; Romero, A.; Urrutia, H.; et al. Piscirickettsia salmonis Produces a N-Acetyl-L-Homoserine Lactone as a Bacterial Quorum Sensing System-Related Molecule. Front. Cell Infect. Microbiol. 2021, 11, 755496. [Google Scholar] [CrossRef]
 - Martinez-Rubio, L.; Evensen, Ø.; Krasnov, A.; Jørgensen, S.M.; Wadsworth, S.; Ruohonen, K.; Vecino, J.L.; Tocher, D.R. Effects of functional feeds on the lipid composition, transcriptomic responses and pathology in heart of Atlantic salmon (Salmo salar L.) before and after experimental challenge with Piscine Myocarditis Virus (PMCV). BMC Genom. 2014, 15, 462. [Google Scholar] [CrossRef]
 - Martinez-Rubio, L.; Morais, S.; Evensen, Ø.; Wadsworth, S.; Ruohonen, K.; Vecino, J.L.; Bell, J.G.; Tocher, D.R. Functional feeds reduce heart inflammation and pathology in Atlantic Salmon (Salmo salar L.) following experimental challenge with Atlantic salmon reovirus (ASRV). PLoS ONE 2012, 7, e40266. [Google Scholar] [CrossRef]
 - Ekelemu, J.K.; Irabor, A.E.; Anderson, R.E. Performance and gut microbiota of catfish (Clarias gariepinus) fed powdered Moringa oleifera leave as additive (Probiotics). Aquac. Fish. 2023; in press. [Google Scholar] [CrossRef]
 - Yi, W.; Zhang, X.; Zeng, K.; Xie, D.; Song, C.; Tam, K.; Liu, Z.; Zhou, T.; Li, W. Construction of a DNA vaccine and its protective effect on largemouth bass (Micropterus salmoides) challenged with largemouth bass virus (LMBV). Fish Shellfish Immunol. 2020, 106, 103–109. [Google Scholar] [CrossRef]
 - Liu, G.Y.; Wang, E.L.; Qu, X.Y.; Yang, K.C.; Zhang, Z.Y.; Liu, J.Y.; Zhang, C.; Zhu, B.; Wang, G.X. Single-walled carbon nanotubes enhance the immune protective effect of a bath subunit vaccine for pearl gentian grouper against Iridovirus of Taiwan. Fish Shellfish Immunol. 2020, 106, 510–517. [Google Scholar] [CrossRef] [PubMed]
 - Ortega-Villaizan, M.D.M.; Chico, V.; Perez, L. Fish innate immune response to viral infection-an overview of five major antiviral genes. Viruses 2022, 14, 1546. [Google Scholar] [CrossRef] [PubMed]
 - Lertwanakarn, T.; Khemthong, M.; Tattiyapong, P.; Surachetpong, W. The modulation of immune responses in Tilapinevirus tilapiae-infected fish cells through MAPK/ERK signalling. Viruses 2023, 15, 900. [Google Scholar] [CrossRef] [PubMed]
 - Pierezan, F.; Yun, S.; Surachetpong, W.; Soto, E. Intragastric and intracoelomic injection challenge models of tilapia lake virus infection in Nile tilapia (Oreochromis niloticus L.) fingerlings. J. Fish Dis. 2019, 42, 1301–1307. [Google Scholar] [CrossRef] [PubMed]
 - Piewbang, C.; Tattiyapong, P.; Techangamsuwan, S.; Surachetpong, W. Tilapia lake virus immunoglobulin G (TiLV IgG) antibody: Immunohistochemistry application reveals cellular tropism of TiLV infection. Fish Shellfish Immunol. 2021, 116, 115–123. [Google Scholar] [CrossRef]
 - Ofek, T.; Izhaki, I.; Halpern, M. Aeromonas hydrophila infection in tilapia triggers changes in the microbiota composition of fish internal organs. FEMS Microbiol. Ecol. 2023, 99, fiad137. [Google Scholar] [CrossRef]
 - Paimeeka, S.; Tangsongcharoen, C.; Lertwanakarn, T.; Setthawong, P.; Bunkhean, A.; Tangwattanachuleeporn, M.; Surachetpong, W. Tilapia lake virus infection disrupts the gut microbiota of red hybrid tilapia (Oreochromis spp.). Aquaculture 2024, 586, 740752. [Google Scholar] [CrossRef]
 - Busti, S.; Rossi, B.; Volpe, E.; Ciulli, S.; Piva, A.; D’Amico, F.; Soverini, M.; Candela, M.; Gatta, P.P.; Bonaldo, A.; et al. Effects of dietary organic acids and nature identical compounds on growth, immune parameters and gut microbiota of European sea bass. Sci. Rep. 2020, 10, 21321. [Google Scholar] [CrossRef]
 - Nuez-Ortín, W.G.; Martin Guérin, M.M.I.S. Organic acids—Synergy at work to prevent vibriosis and promote growth in shrimp. Aquac. Asia Pac. 2020, 16, 45–47. [Google Scholar]
 - El-Sayed, A.F.M.; Tammam, M.S.; Makled, S.O. Lecithin-containing bioemulsifier boosts growth performance, feed digestion and absorption and immune response of adult Nile tilapia (Oreochromis niloticus). Aquac. Nutr. 2021, 27, 757–770. [Google Scholar] [CrossRef]
 - Ibarz, A.; Sanahuja, I.; Nuez-Ortín, W.G.; Martínez-Rubio, L.; Fernández-Alacid, L. Physiological benefits of dietary lysophospholipid supplementation in a marine fish model: Deep analyses of modes of action. Animals 2023, 13, 1381. [Google Scholar] [CrossRef] [PubMed]
 






| Gene Name | Accession Number | Primer Sequence 5′ → 3′ | Length (bp) | References | 
|---|---|---|---|---|
| TiLV | KU751816 | F: CTGAGCTAAAGAGGCAATATGGATT | 112 | [15] | 
| R: CGTGCGTACTCGTTCAGTATAAGTTCT | ||||
| β-actin | XM003443127 | F: GTGGGTATGGGTCAGAAAGAC | 111 | [17] | 
| R: GTCATCCCAGTTGGTCACAATA | ||||
| il-8 | NM001279704 | F: TCGCCACCTGTGAAGGCA | 116 | [11] | 
| R: GCAGTGGGAGTTGGGAAGAAT | ||||
| ifn-γ | NM001287402 | F: GAAACTTCTGCAGGGATTGG | 132 | [18] | 
| R: CTCTGGATCTTGATTTCGGG | ||||
| mx | XM003442686 | F: ACCCTTGAGCTGGTGAATCA | 174 | [18] | 
| R: ATCCTGAGTGAATGCGGTCA | ||||
| rsad2 | XM003453237 | F: ATCAACTTCTCTGGCGGA | 161 | [11] | 
| R: AGATAGACACCATATTTCTGGAAC | 
| dpi † | Positive Samples/Total Samples | |||||
| Groups | 0 | 3 | 5 | 7 | 14 | |
| Sham | 0/3 | 0/3 | 0/3 | 0/3 | 0/3 | |
| Control diet | 0/3 | 0/3 | 3/3 | 3/3 | 0/3 | |
| Strategy A | 0/3 | 0/3 | 3/3 | 3/3 | 0/3 | |
| Strategy B | 0/3 | 0/3 | 3/3 | 3/3 | 0/3 | |
Disclaimer/Publisher’s Note: The statements, opinions and data contained in all publications are solely those of the individual author(s) and contributor(s) and not of MDPI and/or the editor(s). MDPI and/or the editor(s) disclaim responsibility for any injury to people or property resulting from any ideas, methods, instructions or products referred to in the content.  | 
© 2024 by the authors. Licensee MDPI, Basel, Switzerland. This article is an open access article distributed under the terms and conditions of the Creative Commons Attribution (CC BY) license (https://creativecommons.org/licenses/by/4.0/).
Share and Cite
Mohamad, A.; Yamkasem, J.; Paimeeka, S.; Khemthong, M.; Lertwanakarn, T.; Setthawong, P.; Nuez-Ortin, W.G.; Isern Subich, M.M.; Surachetpong, W. Efficacy of Feed Additives on Immune Modulation and Disease Resistance in Tilapia in Coinfection Model with Tilapia Lake Virus and Aeromonas hydrophila. Biology 2024, 13, 938. https://doi.org/10.3390/biology13110938
Mohamad A, Yamkasem J, Paimeeka S, Khemthong M, Lertwanakarn T, Setthawong P, Nuez-Ortin WG, Isern Subich MM, Surachetpong W. Efficacy of Feed Additives on Immune Modulation and Disease Resistance in Tilapia in Coinfection Model with Tilapia Lake Virus and Aeromonas hydrophila. Biology. 2024; 13(11):938. https://doi.org/10.3390/biology13110938
Chicago/Turabian StyleMohamad, Aslah, Jidapa Yamkasem, Suwimon Paimeeka, Matepiya Khemthong, Tuchakorn Lertwanakarn, Piyathip Setthawong, Waldo G. Nuez-Ortin, Maria Mercè Isern Subich, and Win Surachetpong. 2024. "Efficacy of Feed Additives on Immune Modulation and Disease Resistance in Tilapia in Coinfection Model with Tilapia Lake Virus and Aeromonas hydrophila" Biology 13, no. 11: 938. https://doi.org/10.3390/biology13110938
APA StyleMohamad, A., Yamkasem, J., Paimeeka, S., Khemthong, M., Lertwanakarn, T., Setthawong, P., Nuez-Ortin, W. G., Isern Subich, M. M., & Surachetpong, W. (2024). Efficacy of Feed Additives on Immune Modulation and Disease Resistance in Tilapia in Coinfection Model with Tilapia Lake Virus and Aeromonas hydrophila. Biology, 13(11), 938. https://doi.org/10.3390/biology13110938
        
