Toward Highly Efficient Cancer Imaging and Therapy Using the Environment-Friendly Chitosan Nanoparticles and NIR Laser
Abstract
1. Introduction
2. Material and Methods
2.1. Material
2.2. Chitosan Nanoparticles Preparation
2.3. Physicochemical Characterization of the C-TPP NPs
2.3.1. Fourier Transform Infrared (FT-IR) Spectroscopy
2.3.2. Particle Size and Zeta Potential Measurements
2.3.3. Transmission Electron Microscope (TEM)
2.4. Cytotoxicity Analysis by MTT Assay and Cancerous Cells Screening
2.5. The Statistical Analysis
3. Result and Discussion
3.1. FT-IR Spectroscopy
3.2. Particle Size and Zeta Potential Measurements
3.3. Transmission Electron Microscope Characterization
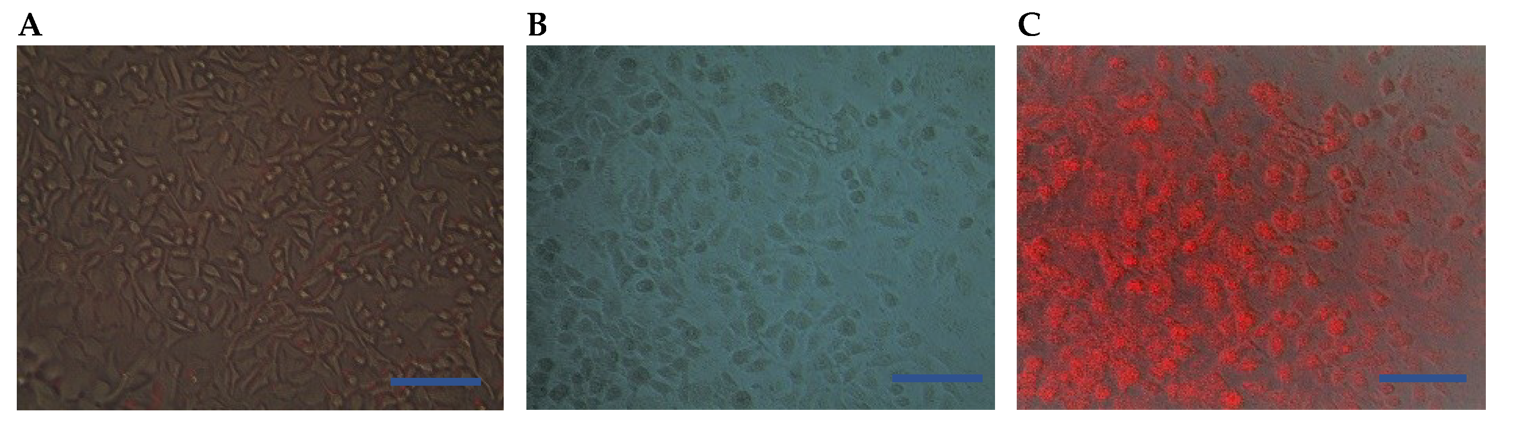
3.4. Viability Analysis and Cells Screening
4. Conclusions
Author Contributions
Funding
Acknowledgments
Conflicts of Interest
References
- American Cancer Society. Available online: https://www.cancer.org/cancer/colon-rectal-cancer/about/key-statistics.html (accessed on 12 April 2018).
- Cong, W.; Intes, X.; Wang, G. Optical tomographic imaging for breast cancer detection. J. Biomed. Opt. 2017, 22, 096011. [Google Scholar] [CrossRef] [PubMed]
- Hadjipanayis, C.G.; Jiang, H.; Roberts, D.W.; Yang, L. Current and future clinical applications for optical imaging of cancer: From intraoperative surgical guidance to cancer screening. Semin. Oncol. 2011, 38, 109–118. [Google Scholar] [CrossRef] [PubMed]
- Altınoğlu, E.İ.; Adair, J.H. Near infrared imaging with nanoparticles. WIREs Nanomed. Nanobiotechnol. 2010, 2, 461–477. [Google Scholar] [CrossRef] [PubMed]
- Ash, C.; Dubec, M.; Donne, K.; Bashford, T. Effect of wavelength and beam width on penetration in light-tissue interaction using computational methods. Lasers Med. Sci. 2017, 32, 1909–1918. [Google Scholar] [CrossRef] [PubMed]
- Aruna, U.; Rajalakshmi, R.; Indira, M.Y.; Vinesha, V.; Sushma, M.; Vandana, K.R.; Vijay, K.N. Role of Chitosan Nanoparticles in Cancer Therapy. Int. J. Innov. Pharm. Sci. Res. 2013, 4, 318–324. [Google Scholar]
- Marpu, S.B.; Benton, E.N. Shining Light on Chitosan: A Review on the Usage of Chitosan for Photonics and Nanomaterials Research. Int. J. Mol. Sci. 2018, 19, 1795. [Google Scholar] [CrossRef] [PubMed]
- Agrawal, P.; Strijkers, G.J.; Nicolay, K. Chitosan-Based Systems for Molecular Imaging. Adv. Drug Deliv. Rev. 2010, 62, 42–58. [Google Scholar] [CrossRef]
- Nagaonkar, D.; Gaikwad, S.; Rai, M. Catharnthus roseus leaf extract -Synethis chitosan nanoparticles for controlled in vitro release of chloramphenicol and ketoconzole. Colloid Polym. Sci. 2015, 293, 1465–1473. [Google Scholar] [CrossRef]
- Loutfy, A.S.; El-Din, M.H.; Elberry, M.G.; Allam, N. Synthesis, characterization and cytotoxic evaluation of chitosan nanoparticles: in vitro liver cancer model. Adv. Nat. Sci. Nanosci. Nanotechnol. 2016, 7, 1–7. [Google Scholar]
- Yang, S.J.; Lin, F.H.; Tsai, H.M.; Lin, C.F.; Chin, H.C.; Wong, J.M. Alginate-folic acid-modified chitosan nanoparticles for photodynamic detection of intestinal neoplasms. Biomaterials 2011, 32, 2174–2182. [Google Scholar] [CrossRef]
- Chen, L.N.; Peng, Y.S.; Li, J.G. Chitosan combined with molecular beacon for Mir-155 detection and imaging in lung cancer. Molecules 2014, 19, 14710–14722. [Google Scholar]
- Huang, M.; Khor, E.; Lim, L.Y. Uptake and Cytotoxicity of Chitosan Molecules and Nanoparticles: Effects of Molecular Weight and Degree of Deacetylation. Pharm. Res. 2004, 21, 344–353. [Google Scholar] [CrossRef]
- Ibitoye, E.B.; Lokman, I.H.; Hezmee, M.N.M.; Goh, Y.M.; Zuki1, A.B.Z.; Jimoh, A.A. Extraction and physicochemical characterization of chitin and chitosan isolated from house cricket. Biomed. Mater. 2018, 13, 025009. [Google Scholar] [CrossRef]
- Karimi, M.; Avci, P.; Ahi, M.; Gazori, T.; Hamblin, M.R.; Naderi-Manesh, H. Evaluation of Chitosan-Tripolyphosphate Nanoparticles as a pshRNA Delivery Vector: Formulation, Optimization and Cellular Uptake Study. Nanopharm. Drug Deliv. 2013, 1, 266–278. [Google Scholar]
- Wang, Y.; Puwang, L.; Zhang, J.; Kong, L. Manufacturing Techniques and Surface Engineering of Polymer Based Nanoparticles for Targeted Drug Delivery to Cancer. Nanomaterials 2016, 6, 26. [Google Scholar] [CrossRef] [PubMed]
- Gan, Q.; Wang, T.; Cochrane, C.; McCarron, P. Modulation of surface charge, particle size and morphological properties of chitosan-TPP nanoparticles intended for gene delivery. Colloids Surf. B 2005, 44, 65–73. [Google Scholar] [CrossRef] [PubMed]
- Honary, S.; Zahir, F. Effect of Zeta Potential on the Properties of Nano-Drug Delivery Systems—A Review (Part 2). Trop. J. Pharm. Res. 2013, 12, 255–264. [Google Scholar]
- Servat-Medina, L.; González-Gómez, A.; Reyes-Ortega, F.; Sousa, I.M.O.; Queiroz, N.D.C.A.; Zago, P.M.W.; Jorge, M.P.; Monteiro, K.M.; de Carvalho, J.E.; Foglio, M.A.; et al. Chitosan–tripolyphosphate nanoparticles as Arrabidaea chica standardized extract carrier: Synthesis, characterization, biocompatibility, and antiulcerogenic activity. Int. J. Nanomed. 2015, 10, 3897–3909. [Google Scholar] [CrossRef]
- Souza, T.G.F.; Ciminelli, V.S.T.; Mohallem, N.D.S. A comparison of TEM and DLS methods to characterize size distribution of ceramic nanoparticles. J. Phys. Conf. Ser. 2016, 733, 012039. [Google Scholar] [CrossRef]
- Wang, J.J.; Zeng, Z.; Xiao, R.Z.; Xie, T.; Zhou, G.L.; Zhan, X.R.; Wang, S.L. Recent advances of chitosan nanoparticles as drug carriers. Int. J. Nanomed. 2011, 6, 765–774. [Google Scholar]
- Lai, B.; Chen, D. LaB6 nanoparticles with carbon-doped silica coating for fluorescence imaging and near-IR photothermal therapy of cancer cells. Acta Biomater. 2013, 9, 7556–7563. [Google Scholar] [CrossRef] [PubMed]
- Yi, X.; Wang, F.; Qin, W.; Yang, X.; Yuan, J. Near-infrared fluorescent probes in cancer imaging and therapy: An emerging field. Int. J. Nanomed. 2014, 9, 1347–1365. [Google Scholar] [CrossRef] [PubMed]








© 2019 by the authors. Licensee MDPI, Basel, Switzerland. This article is an open access article distributed under the terms and conditions of the Creative Commons Attribution (CC BY) license (http://creativecommons.org/licenses/by/4.0/).
Share and Cite
Abuelmakarem, H.S.; Sliem, M.A.; El-Azab, J.; Farghaly, M.M.A.; Ahmed, W.A. Toward Highly Efficient Cancer Imaging and Therapy Using the Environment-Friendly Chitosan Nanoparticles and NIR Laser. Biosensors 2019, 9, 28. https://doi.org/10.3390/bios9010028
Abuelmakarem HS, Sliem MA, El-Azab J, Farghaly MMA, Ahmed WA. Toward Highly Efficient Cancer Imaging and Therapy Using the Environment-Friendly Chitosan Nanoparticles and NIR Laser. Biosensors. 2019; 9(1):28. https://doi.org/10.3390/bios9010028
Chicago/Turabian StyleAbuelmakarem, Hala S., Mahmoud A. Sliem, Jala El-Azab, Moustafa M. A. Farghaly, and Wafaa A. Ahmed. 2019. "Toward Highly Efficient Cancer Imaging and Therapy Using the Environment-Friendly Chitosan Nanoparticles and NIR Laser" Biosensors 9, no. 1: 28. https://doi.org/10.3390/bios9010028
APA StyleAbuelmakarem, H. S., Sliem, M. A., El-Azab, J., Farghaly, M. M. A., & Ahmed, W. A. (2019). Toward Highly Efficient Cancer Imaging and Therapy Using the Environment-Friendly Chitosan Nanoparticles and NIR Laser. Biosensors, 9(1), 28. https://doi.org/10.3390/bios9010028

