Endoscopic Ultrasound (EUS)-Based Multimodal Diagnosis of a Rare Intramural Esophageal Squamous Cell Carcinoma: Case Report and Literature Review
Abstract
1. Introduction
2. Materials and Methods
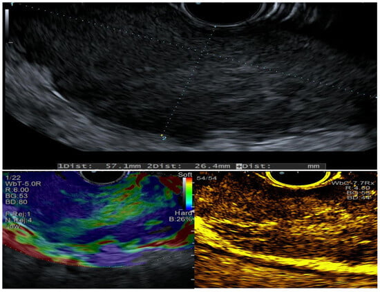
3. Clinical Case
4. Results of the Literature Review
5. Discussion
6. Conclusions
7. Limitations & Future Directions
Author Contributions
Funding
Institutional Review Board Statement
Informed Consent Statement
Data Availability Statement
Conflicts of Interest
References
- Bray, F.; Laversanne, M.; Sung, H.; Ferlay, J.; Siegel, R.L.; Soerjomataram, I.; Jemal, A. Global Cancer Statistics 2022: GLOBOCAN Estimates of Incidence and Mortality Worldwide for 36 Cancers in 185 Countries. CA Cancer J. Clin. 2024, 74, 229–263. [Google Scholar] [CrossRef]
- Coleman, H.G.; Xie, S.-H.; Lagergren, J. The Epidemiology of Esophageal Adenocarcinoma. Gastroenterology 2018, 154, 390–405. [Google Scholar] [CrossRef] [PubMed]
- Barchi, A.; Dell’Anna, G.; Massimino, L.; Mandarino, F.V.; Vespa, E.; Viale, E.; Passaretti, S.; Annese, V.; Malesci, A.; Danese, S.; et al. Unraveling the Pathogenesis of Barrett’s Esophagus and Esophageal Adenocarcinoma: The “Omics” Era. Front. Oncol. 2024, 14, 1458138. [Google Scholar] [CrossRef] [PubMed]
- Abnet, C.C.; Arnold, M.; Wei, W.-Q. Epidemiology of Esophageal Squamous Cell Carcinoma. Gastroenterology 2018, 154, 360–373. [Google Scholar] [CrossRef] [PubMed]
- Yang, H.; Wang, F.; Hallemeier, C.L.; Lerut, T.; Fu, J. Oesophageal Cancer. Lancet 2024, 404, 1991–2005. [Google Scholar] [CrossRef]
- Roshandel, G.; Nourouzi, A.; Pourshams, A.; Semnani, S.; Merat, S.; Khoshnia, M. Endoscopic Screening for Esophageal Squamous Cell Carcinoma. Arch. Iran. Med. 2013, 16, 351–357. [Google Scholar]
- Zhu, X. Esophageal Mesenchymal Tumors: Endoscopy, Pathology and Immunohistochemistry. WJG 2007, 13, 768. [Google Scholar] [CrossRef]
- Choi, J.; Chung, H.; Lee, A.; Kim, J.L.; Cho, S.-J.; Kim, S.G. Role of Endoscopic Ultrasound in Selecting Superficial Esophageal Cancers for Endoscopic Resection. Ann. Thorac. Surg. 2021, 111, 1689–1695. [Google Scholar] [CrossRef]
- Thakkar, S.; Kaul, V. Endoscopic Ultrasound Staging of Esophageal Cancer. Gastroenterol. Hepatol. 2020, 16, 14–20. [Google Scholar]
- Dell’Anna, G.; Fanti, L.; Fanizza, J.; Barà, R.; Barchi, A.; Fasulo, E.; Elmore, U.; Rosati, R.; Annese, V.; Laterza, L.; et al. VAC-Stent in the Treatment of Post-Esophagectomy Anastomotic Leaks: A New “Kid on the Block” Who Marries the Best of Old Techniques-A Review. J. Clin. Med. 2024, 13, 3805. [Google Scholar] [CrossRef]
- Dell’Anna, G.; Mandarino, F.V.; Fanizza, J.; Fasulo, E.; Barchi, A.; Barà, R.; Vespa, E.; Viale, E.; Azzolini, F.; Fanti, L.; et al. Endoscopic Management of Post-Esophagectomy Delayed Gastric Conduit Emptying (DGCE): Results from a Cohort Study in a Tertiary Referral Center with Comparison between Procedures. Cancers 2024, 16, 3457. [Google Scholar] [CrossRef]
- McGregor, D.H.; Mills, G.; Boudet, R.A. Intramural Squamous Cell Carcinoma of the Esophagus. Cancer 1976, 37, 1556–1561. [Google Scholar] [CrossRef]
- Kishino, T.; Yamaguchi, Y.; Yamagishi, T.; Hashimoto, T.; Kyomasu, Y.; Mori, H.; Sugiyama, M.; Atomi, Y.; Saito, S.; Ishida, H.; et al. Submucosal Tumor (SMT)-like Esophageal Squamous Cell Carcinoma with Gastric Metastasis. Hepatogastroenterology 2000, 47, 1581–1584. [Google Scholar]
- Von Rahden, B.H.A.; Brücher, B.L.D.M.; Sarbia, M. Esophageal Squamous Cell Carcinoma with Entirely Intramural Growth Pattern. Virchows Arch. 2006, 448, 862–866. [Google Scholar] [CrossRef]
- Sonthalia, N.; Jain, S.S.; Surude, R.G.; Pawar, V.B.; Udgirkar, S.; Rathi, P.M. Primary Esophageal Intramural Squamous Cell Carcinoma Masquerading as a Submucosal Tumor: A Rare Presentation of a Common Disease. Clin. Med. Insights Gastroenterol. 2016, 9, 63–66. [Google Scholar] [CrossRef]
- Choudhary, N.S.; Bansal, R.K.; Puri, R.; Guleria, M.; Sud, R. Esophageal Squamous Cell Carcinoma Presenting as Submucosal Lesion with Repeatedly Negative Endoscopic Biopsies. J. Dig. Endosc. 2016, 7, 153–154. [Google Scholar] [CrossRef]
- Shanmugam, R.M.; Shanmugam, C.; Murugesan, M.; Kalyansundaram, M.; Gopalsamy, S.; Ranjan, A. Oesophageal Carcinoma Mimicking a Submucosal Lesion: A Case Report. World J. Gastrointest. Endosc. 2019, 11, 541–547. [Google Scholar] [CrossRef] [PubMed]
- Zhu, H.; Shi, B.; Li, F.; Xu, H. Esophageal Intramural Squamous Cell Carcinomas Presenting as Subepithelial Lesions Removed by Endoscopic Submucosal Dissection: Two Case Reports. Medicine 2020, 99, e21850. [Google Scholar] [CrossRef] [PubMed]
- Pan, H.; Zhou, X.; Zhao, F.; Lou, G. The Diagnosis of Intramural Esophageal Squamous Cell Carcinoma without Mucosal Invasion Using Endoscopic Ultrasound-Guided Fine Needle Aspiration Biopsy: A Case Report. Medicine 2020, 99, e21099. [Google Scholar] [CrossRef] [PubMed]
- Wang, W.; Li, D.; Zheng, L.; Zhan, H. Oesophageal Squamous Cell Carcinoma Mimicking Submucosal Tumour. BMC Gastroenterol. 2021, 21, 150. [Google Scholar] [CrossRef]
- Jia, Y.; Zhang, Q.; Li, E.; Zhang, Z.; Chen, X. Submucosal Oesophageal Squamous Cell Carcinoma with Lymph Node Metastasis: A Case Report and Literature Review. BMC Gastroenterol. 2022, 22, 97. [Google Scholar] [CrossRef]
- Yang, L.; Zuo, Z.; Zhang, H.; Chen, L. Esophageal Squamous Cell Carcinoma Presenting as a Submucosal Tumor. Asian J. Surg. 2023, 46, 3075–3076. [Google Scholar] [CrossRef] [PubMed]
- Qiu, J.; Tu, Y.; Yu, C.; Shu, X.; Pan, X.; Zhang, Y. Entirely Intramural Growth Pattern: A Rare Presentation of Esophageal Squamous Cell Carcinoma and Review of the Literature. Z. Gastroenterol. 2025, 63, 145–154. [Google Scholar] [CrossRef] [PubMed]
- Foley, K.; Findlay, J.; Goh, V. Novel Imaging Techniques in Staging Oesophageal Cancer. Best. Pract. Res. Clin. Gastroenterol. 2018, 36–37, 17–25. [Google Scholar] [CrossRef] [PubMed]
- Lightdale, C.J.; Kulkarni, K.G. Role of Endoscopic Ultrasonography in the Staging and Follow-up of Esophageal Cancer. J. Clin. Oncol. 2005, 23, 4483–4489. [Google Scholar] [CrossRef]
- Puli, S.-R.; Reddy, J.-B.; Bechtold, M.-L.; Antillon, D.; Ibdah, J.-A.; Antillon, M.-R. Staging Accuracy of Esophageal Cancer by Endoscopic Ultrasound: A Meta-Analysis and Systematic Review. World J. Gastroenterol. 2008, 14, 1479–1490. [Google Scholar] [CrossRef]
- Hasegawa, N.; Niwa, Y.; Arisawa, T.; Hase, S.; Goto, H.; Hayakawa, T. Preoperative Staging of Superficial Esophageal Carcinoma: Comparison of an Ultrasound Probe and Standard Endoscopic Ultrasonography. Gastrointest. Endosc. 1996, 44, 388–393. [Google Scholar] [CrossRef]
- Pimentel-Nunes, P.; Libânio, D.; Bastiaansen, B.A.J.; Bhandari, P.; Bisschops, R.; Bourke, M.J.; Esposito, G.; Lemmers, A.; Maselli, R.; Messmann, H.; et al. Endoscopic Submucosal Dissection for Superficial Gastrointestinal Lesions: European Society of Gastrointestinal Endoscopy (ESGE) Guideline—Update 2022. Endoscopy 2022, 54, 591–622. [Google Scholar] [CrossRef]
- Cho, J.W.; Korean ESD Study Group. Current Guidelines in the Management of Upper Gastrointestinal Subepithelial Tumors. Clin. Endosc. 2016, 49, 235–240. [Google Scholar] [CrossRef]
- Varanese, M.; Spadaccini, M.; Facciorusso, A.; Franchellucci, G.; Colombo, M.; Andreozzi, M.; Ramai, D.; Massimi, D.; De Sire, R.; Alfarone, L.; et al. Endoscopic Ultrasound and Gastric Sub-Epithelial Lesions: Ultrasonographic Features, Tissue Acquisition Strategies, and Therapeutic Management. Medicina 2024, 60, 1695. [Google Scholar] [CrossRef]
- Xu, W.; Shi, J.; Zeng, X.; Li, X.; Xie, W.-F.; Guo, J.; Lin, Y. EUS Elastography for the Differentiation of Benign and Malignant Lymph Nodes: A Meta-Analysis. Gastrointest. Endosc. 2011, 74, 1001–1009. [Google Scholar] [CrossRef]
- Pesenti, C.; Bories, E.; Caillol, F.; Ratone, J.P.; Godat, S.; Monges, G.; Poizat, F.; Raoul, J.L.; Ries, P.; Giovannini, M. Characterization of Subepithelial Lesions of the Stomach and Esophagus by Contrast-Enhanced EUS: A Retrospective Study. Endosc. Ultrasound 2019, 8, 43–49. [Google Scholar] [CrossRef] [PubMed]
- Deprez, P.H.; Moons, L.M.G.; O’Toole, D.; Gincul, R.; Seicean, A.; Pimentel-Nunes, P.; Fernández-Esparrach, G.; Polkowski, M.; Vieth, M.; Borbath, I.; et al. Endoscopic Management of Subepithelial Lesions Including Neuroendocrine Neoplasms: European Society of Gastrointestinal Endoscopy (ESGE) Guideline. Endoscopy 2022, 54, 412–429. [Google Scholar] [CrossRef] [PubMed]
- Tamura, T.; Kitano, M. Contrast Enhanced Endoscopic Ultrasound Imaging for Gastrointestinal Subepithelial Tumors. Clin. Endosc. 2019, 52, 306–313. [Google Scholar] [CrossRef] [PubMed]
- Lisotti, A.; Ricci, C.; Serrani, M.; Calvanese, C.; Sferrazza, S.; Brighi, N.; Casadei, R.; Fusaroli, P. Contrast-Enhanced Endoscopic Ultrasound for the Differential Diagnosis between Benign and Malignant Lymph Nodes: A Meta-Analysis. Endosc. Int. Open 2019, 7, E504–E513. [Google Scholar] [CrossRef]
- Sharzehi, K.; Sethi, A.; Savides, T. AGA Clinical Practice Update on Management of Subepithelial Lesions Encountered During Routine Endoscopy: Expert Review. Clin. Gastroenterol. Hepatol. 2022, 20, 2435–2443.e4. [Google Scholar] [CrossRef]
- Zhang, A.-M.; Jiang, D.-M.; Wang, S.-P.; Liu, W.; Sun, B.-B.; Wang, Z.; Zhou, G.-Y.; Wu, Y.-F.; Cai, Q.-Y.; Guo, J.-T.; et al. Artificial Intelligence-Assisted Endoscopic Ultrasound Diagnosis of Esophageal Subepithelial Lesions. Surg. Endosc. 2025, 39, 3821–3831. [Google Scholar] [CrossRef]




| Authors & Year | Gender & Age | Symptoms | Tumor Size (mm) | Localization | Metastasis | Initial Treatment | Outcomes |
|---|---|---|---|---|---|---|---|
| D. H. Mc Gregor et al., 1976 [12] | Male, 65 | Dysphagia | - | Proximal esophagus | None | RT | Death |
| T. Kishino et al., 2000 [13] | Male, 60 | Dysphagia | - | Distal esophagus | Gastric and liver | Surgery | Death |
| B. H. A. von Rahden et al., 2006 [14] | Male, 58 | Dysphagia | - | Proximal esophagus | None | Surgery + CRT | No recurrence or metastasis |
| N. Sonthalia et al., 2016 [15] | Female, 45 | Dysphagia | 33 × 25 | Distal esophagus | Bone | CRT | After 2 months, dysphagia partially relieved; no change in size |
| N. S. Choudhary et al., 2016 [16] | Male, 74 | Dysphagia | 18 × 15 | Proximal-middle esophagus | None | Unspecified | Unspecified |
| R. M. Shanmugam et al., 2019 [17] | Male, 50 | Dysphagia | 29 × 29 | Middle esophagus | Lymph nodes, lung | Unspecified | Unspecified |
| H. Zhu et al., 2020 [18] | Male, 63 | Abdominal distension | - | Proximal esophagus | None | ESD + postoperative RT for positive margin | No recurrence or metastasis |
| H. Zhu et al., 2020 [18] | Male, 65 | Dysphagia | 15 × 15 × 10 | Middle esophagus | None | ESD | No recurrence or metastasis |
| Hanghai Pan et al., 2020 [19] | Female, 78 | Dysphagia, nausea, vomiting | - | Middle and distal esophagus | None | Unspecified | Unspecified |
| W. Wang et al., 2021 [20] | Male, 58 | No | 5.7 × 2.2 | Middle esophagus | None | ESD than surgery for positive margin | No recurrence or metastasis |
| Y. Jia et al., 2022 [21] | Female, 63 | No | 15 | Proximal esophagus | Lymph nodes | ESD + CRT | No recurrence; regressing lymph node metastases |
| L. Yang et al., 2023 [22] | Male, 48 | Dysphagia | 17 × 9.4 | Proximal esophagus | No | Enucleation + CT | No recurrence or metastasis |
| J. Qiu et al., 2025 [23] | Female, 51 | Dysphagia | - | NA | No | ESD + CRT | No recurrence or metastasis |
Disclaimer/Publisher’s Note: The statements, opinions and data contained in all publications are solely those of the individual author(s) and contributor(s) and not of MDPI and/or the editor(s). MDPI and/or the editor(s) disclaim responsibility for any injury to people or property resulting from any ideas, methods, instructions or products referred to in the content. |
© 2025 by the authors. Licensee MDPI, Basel, Switzerland. This article is an open access article distributed under the terms and conditions of the Creative Commons Attribution (CC BY) license (https://creativecommons.org/licenses/by/4.0/).
Share and Cite
Fanizza, J.; Mandarino, F.V.; Barchi, A.; Altieri, G.; Rosati, R.; Elmore, U.; Battaglia, S.; Facciorusso, A.; Fuccio, L.; Donatelli, G.; et al. Endoscopic Ultrasound (EUS)-Based Multimodal Diagnosis of a Rare Intramural Esophageal Squamous Cell Carcinoma: Case Report and Literature Review. J. Clin. Med. 2025, 14, 8292. https://doi.org/10.3390/jcm14238292
Fanizza J, Mandarino FV, Barchi A, Altieri G, Rosati R, Elmore U, Battaglia S, Facciorusso A, Fuccio L, Donatelli G, et al. Endoscopic Ultrasound (EUS)-Based Multimodal Diagnosis of a Rare Intramural Esophageal Squamous Cell Carcinoma: Case Report and Literature Review. Journal of Clinical Medicine. 2025; 14(23):8292. https://doi.org/10.3390/jcm14238292
Chicago/Turabian StyleFanizza, Jacopo, Francesco Vito Mandarino, Alberto Barchi, Gabriele Altieri, Riccardo Rosati, Ugo Elmore, Silvia Battaglia, Antonio Facciorusso, Lorenzo Fuccio, Gianfranco Donatelli, and et al. 2025. "Endoscopic Ultrasound (EUS)-Based Multimodal Diagnosis of a Rare Intramural Esophageal Squamous Cell Carcinoma: Case Report and Literature Review" Journal of Clinical Medicine 14, no. 23: 8292. https://doi.org/10.3390/jcm14238292
APA StyleFanizza, J., Mandarino, F. V., Barchi, A., Altieri, G., Rosati, R., Elmore, U., Battaglia, S., Facciorusso, A., Fuccio, L., Donatelli, G., Finocchiaro, D., Ponzoni, M., Danese, S., & Dell’Anna, G. (2025). Endoscopic Ultrasound (EUS)-Based Multimodal Diagnosis of a Rare Intramural Esophageal Squamous Cell Carcinoma: Case Report and Literature Review. Journal of Clinical Medicine, 14(23), 8292. https://doi.org/10.3390/jcm14238292

