CT-Based Evaluation of Volumetric Posterior Pelvic Bone Density with Implications for the Percutaneous Screw Fixation of the Sacroiliac Joint
Abstract
1. Introduction
2. Materials and Methods
2.1. Population
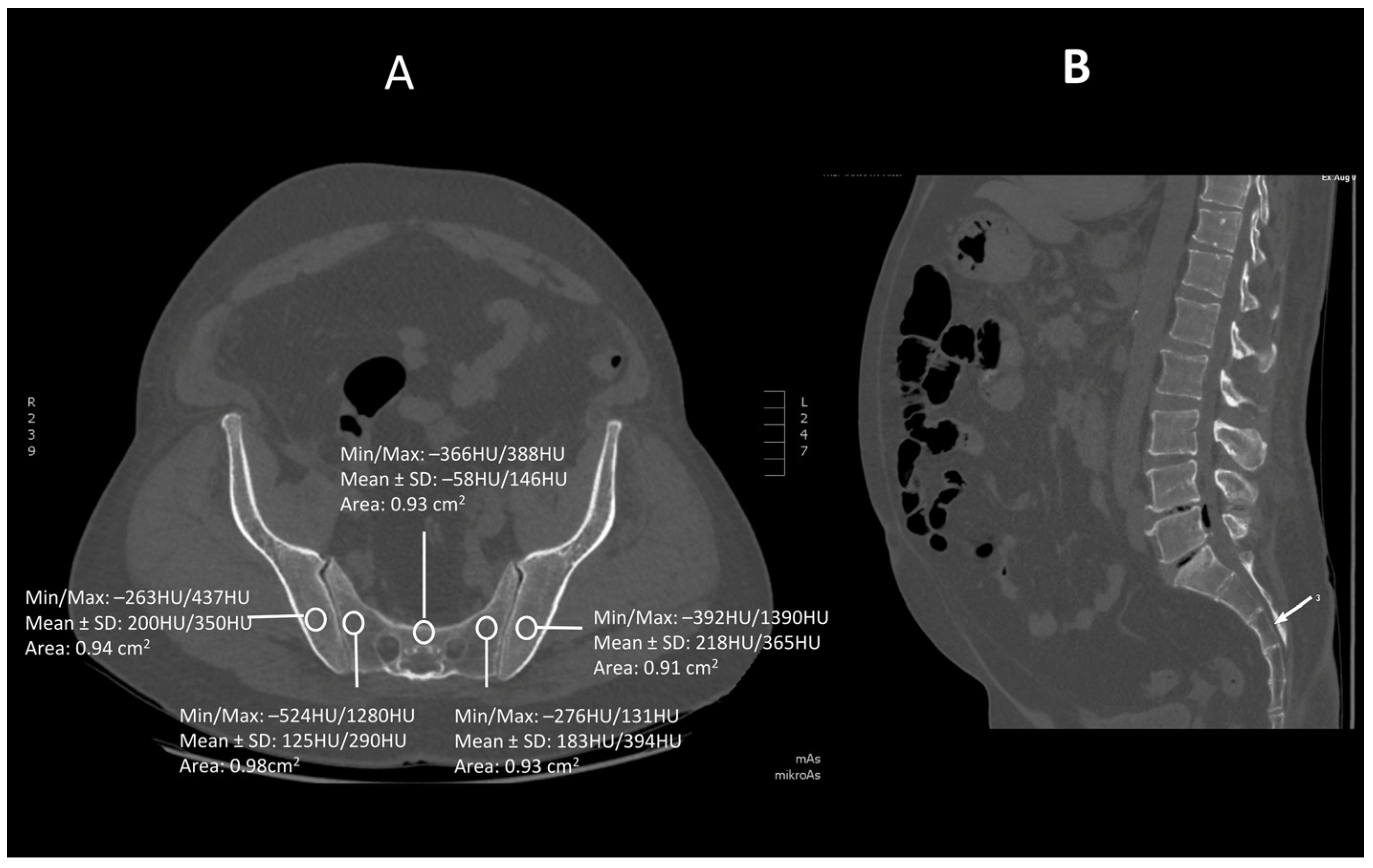
2.2. Technique Procedures
2.3. Statistical Analysis
3. Results
3.1. Bone Density in Group A
3.2. Bone Density in Group B
4. Discussion
5. Conclusions
Author Contributions
Funding
Institutional Review Board Statement
Informed Consent Statement
Data Availability Statement
Conflicts of Interest
References
- Muschitz, C.; Hummer, M.; Grillari, J.; Hlava, A.; Birner, A.H.; Hemetsberger, M.; Dimai, H.P. Epidemiology and economic burden of fragility fractures in Austria. Osteoporos. Int. 2022, 33, 637–647. [Google Scholar] [CrossRef] [PubMed]
- Beaudoin, C.; Jean, S.; Moore, L.; Gamache, P.; Bessette, L.; Ste-Marie, L.G.; Brown, J.P. Prediction of Osteoporotic Fractures in Elderly Individuals: A Derivation and Internal Validation Study Using Healthcare Administrative Data. J. Bone Miner. Res. 2021, 36, 2329–2342. [Google Scholar] [CrossRef] [PubMed]
- Kulakowski, M.; Reichert, P.; Elster, K.; Sleczka, P.; Oleksy, L.; Krolikowska, A. Safety and efficacy of two ilioiliac tension band plates osteosynthesis of fragility fractures of the pelvis. Sci. Rep. 2022, 12, 20436. [Google Scholar] [CrossRef] [PubMed]
- Eastman, J.G.; Shelton, T.J.; Routt, M.L.C., Jr.; Adams, M.R. Posterior pelvic ring bone density with implications for percutaneous screw fixation. Eur. J. Orthop. Surg. Traumatol. 2021, 31, 383–389. [Google Scholar] [CrossRef] [PubMed]
- Kulakowski, M.; Reichert, P.; Elster, K.; Witkowski, J.; Sleczka, P.; Morasiewicz, P.; Oleksy, Ł.; Królikowska, A. Differences in Accuracy and Radiation Dose in Placement of Iliosacral Screws: Comparison between 3D and 2D Fluoroscopy. J. Clin. Med. 2022, 11, 1466. [Google Scholar] [CrossRef] [PubMed]
- Schonenberg, D.; Guggenberger, R.; Frey, D.; Pape, H.C.; Simmen, H.P.; Osterhoff, G. CT-based evaluation of volumetric bone density in fragility fractures of the pelvis-a matched case-control analysis. Osteoporos. Int. 2018, 29, 459–465. [Google Scholar] [CrossRef]
- Berger-Groch, J.; Thiesen, D.M.; Ntalos, D.; Grossterlinden, L.G.; Hesse, E.; Fensky, F.; Hartel, M.J. Determination of bone density in patients with sacral fractures via CT scan. Orthop. Traumatol. Surg. Res. 2018, 104, 1037–1041. [Google Scholar] [CrossRef]
- Wagner, D.; Kamer, L.; Sawaguchi, T.; Richards, R.G.; Noser, H.; Rommens, P.M. Sacral Bone Mass Distribution Assessed by Averaged Three-Dimensional CT Models: Implications for Pathogenesis and Treatment of Fragility Fractures of the Sacrum. J. Bone Jt. Surg. Am. 2016, 98, 584–590. [Google Scholar] [CrossRef]
- Schreiber, J.J.; Gausden, E.B.; Anderson, P.A.; Carlson, M.G.; Weiland, A.J. Opportunistic Osteoporosis Screening—Gleaning Additional Information from Diagnostic Wrist CT Scans. J. Bone Jt. Surg. Am. 2015, 97, 1095–1100. [Google Scholar] [CrossRef]
- Gausden, E.B.; Nwachukwu, B.U.; Schreiber, J.J.; Lorich, D.G.; Lane, J.M. Opportunistic Use of CT Imaging for Osteoporosis Screening and Bone Density Assessment: A Qualitative Systematic Review. J. Bone Jt. Surg. Am. 2017, 99, 1580–1590. [Google Scholar] [CrossRef]
- Pervaiz, K.; Cabezas, A.; Downes, K.; Santoni, B.G.; Frankle, M.A. Osteoporosis and shoulder osteoarthritis: Incidence, risk factors, and surgical implications. J. Shoulder Elbow Surg. 2013, 22, e1–e8. [Google Scholar] [CrossRef] [PubMed]
- Kulakowski, M.; Elster, K.; Reichert, P.; Krolikowska, A.; Jerominko, J.; Ślęczka, P.; Grzonkowska, M.; Szpinda, M.; Baumgart, M. Anatomy of the sacroiliac joint with relation to the lumbosacral trunk: Is there sufficient space for a two-hole plate? PLoS ONE 2023, 18, e0292620. [Google Scholar] [CrossRef]
- Salazar, D.; Lannon, S.; Pasternak, O.; Schiff, A.; Lomasney, L.; Mitchell, E.; Stover, M. Investigation of bone quality of the first and second sacral segments amongst trauma patients: Concerns about iliosacral screw fixation. J. Orthop. Traumatol. 2015, 16, 301–308. [Google Scholar] [CrossRef] [PubMed]
- Routt, M.L., Jr.; Simonian, P.T. Closed reduction and percutaneous skeletal fixation of sacral fractures. Clin. Orthop. Relat. Res. 1996, 329, 121–128. [Google Scholar] [CrossRef] [PubMed]
- Carlson, D.A.; Scheid, D.K.; Maar, D.C.; Baele, J.R.; Kaehr, D.M. Safe placement of S1 and S2 iliosacral screws: The “vestibule” concept. J. Orthop. Trauma 2000, 14, 264–269. [Google Scholar] [CrossRef] [PubMed]
- Gardner, M.J.; Morshed, S.; Nork, S.E.; Ricci, W.M.; Chip Routt, M.L., Jr. Quantification of the upper and second sacral segment safe zones in normal and dysmorphic sacra. J. Orthop. Trauma 2010, 24, 622–629. [Google Scholar] [CrossRef]
- Moed, B.R.; Geer, B.L. S2 iliosacral screw fixation for disruptions of the posterior pelvic ring: A report of 49 cases. J. Orthop. Trauma 2006, 20, 378–383. [Google Scholar] [CrossRef]
- Krappinger, D.; Lindtner, R.A.; Benedikt, S. Preoperative planning and safe intraoperative placement of iliosacral screws under fluoroscopic control. Oper. Orthop. Traumatol. 2019, 31, 465–473. [Google Scholar] [CrossRef]
- Yinger, K.; Scalise, J.; Olson, S.A.; Bay, B.K.; Finkemeier, C.G. Biomechanical comparison of posterior pelvic ring fixation. J. Orthop. Trauma 2003, 17, 481–487. [Google Scholar] [CrossRef]
- Chatain, G.P.; Oldham, A.; Uribe, J.; Duhon, B.; Gardner, M.J.; Witt, J.P.; Yerby, S.; Kelly, P.B. Biomechanics of sacroiliac joint fixation using lag screws: A cadaveric study. J. Orthop. Surg. Res. 2023, 18, 807. [Google Scholar] [CrossRef]
- Zha, Y.; Li, J.; Wang, D.; Liu, Y.; Tan, J.; Zhang, S. Comparison of stability of two kinds of sacro-iliac screws in the fixation of bilateral sacral fractures in a finite element model. Injury 2012, 43, 490–494. [Google Scholar] [CrossRef] [PubMed]
- Griffin, D.R.; Starr, A.J.; Reinert, C.M.; Jones, A.L.; Whitlock, S. Vertically unstable pelvic fractures fixed with percutaneous iliosacral screws: Does posterior injury pattern predict fixation failure? J. Orthop. Trauma 2006, 20, S30–S36, discussion S6. [Google Scholar] [CrossRef]
- Miller, A.N.; Routt, M.L., Jr. Variations in sacral morphology and implications for iliosacral screw fixation. J. Am. Acad. Orthop. Surg. 2012, 20, 8–16. [Google Scholar] [CrossRef]
- Marinova, M.; Edon, B.; Wolter, K.; Katsimbari, B.; Schild, H.H.; Strunk, H.M. Use of routine thoracic and abdominal computed tomography scans for assessing bone mineral density and detecting osteoporosis. Curr. Med. Res. Opin. 2015, 31, 1871–1881. [Google Scholar] [CrossRef]
- Schreiber, J.J.; Anderson, P.A.; Hsu, W.K. Use of computed tomography for assessing bone mineral density. Neurosurg. Focus 2014, 37, E4. [Google Scholar] [CrossRef]
- Nork, S.E.; Jones, C.B.; Harding, S.P.; Mirza, S.K.; Routt, M.L., Jr. Percutaneous stabilization of U-shaped sacral fractures using iliosacral screws: Technique and early results. J. Orthop. Trauma 2001, 15, 238–246. [Google Scholar] [CrossRef] [PubMed]
- Heydemann, J.; Hartline, B.; Gibson, M.E.; Ambrose, C.G.; Munz, J.W.; Galpin, M.; Achor, T.S.; Gary, J.L. Do Transsacral-transiliac Screws Across Uninjured Sacroiliac Joints Affect Pain and Functional Outcomes in Trauma Patients? Clin. Orthop. Relat. Res. 2016, 474, 1417–1421. [Google Scholar] [CrossRef]
- Eastman, J.G.; Adams, M.R.; Frisoli, K.; Chip Routt, M.L., Jr. Is S3 a Viable Osseous Fixation Pathway? J. Orthop. Trauma 2018, 32, 93–99. [Google Scholar] [CrossRef]
- Hwang, J.S.; Reilly, M.C.; Shaath, M.K.; Changoor, S.; Eastman, J.; Routt, M.L.C.; Sirkin, M.S.; Adams, M.R. Safe Zone Quantification of the Third Sacral Segment in Normal and Dysmorphic Sacra. J. Orthop. Trauma 2018, 32, 178–182. [Google Scholar] [CrossRef]
- Inagaki, N.; Tanaka, T.; Udaka, J.; Akiyama, S.; Matsuoka, T.; Saito, M. Distribution of hounsfield unit values in the pelvic bones: A comparison between young men and women with traumatic fractures and older men and women with fragility fractures: A retrospective cohort study. BMC Musculoskelet. Disord. 2022, 23, 305. [Google Scholar] [CrossRef]



| S1 | S2 | S3 | p | |
|---|---|---|---|---|
| Body of sacral vertebra | 194.9 ± 86.4 HU | 134.4 ± 94.3 HU | 99.6 ± 74.18 HU | S1 vs. S2 = 1.4 S2 vs. S3 = 0.03 S1 vs. S3 < 0.001 |
| Wing of sacrum | 388.9 ± 110.05 HU | 376.6 ± 100.29 HU | 365.7 ± 120.5 HU | S1 vs. S2 = 9.7 S2 vs. S3 = 0.15 S1 vs. S3 = 0.04 |
| Ala of ilium | 81.45 ± 64.32 HU | 145.85 ± 97.45 HU | 220.35 ± 93.0 HU | S1 vs. S2 = 4.9 S2 vs. S3 = 3.3 S1 vs. S3 < 0.001 |
| S1 | S2 | S3 | ||
|---|---|---|---|---|
| Body of sacral vertebra | 212.87 ± 78.75 HU | 107.12 ± 75.60 HU | 85.32 ± 68.26 HU | S1 vs. S2 < 0.001 S2 vs. S3 = 0.08 S1 vs. S3 < 0.001 |
| Wing of sacrum | 395.90 ± 138.72 HU | 339.00 ± 110.66 HU | 360.05 ± 108.84 HU | S1 vs. S2 < 0.001 S2 vs. S3 = 0.12 S1 vs. S3 = 0.014 |
| Ala of ilium | 233.55 ± 177.91 HU | 124.96 ± 69.21 HU | 199.91 ± 99.46 HU | S1 vs. S2 < 0.001 S2 vs. S3 < 0.001 S1 vs. S3 = 0.21 |
Disclaimer/Publisher’s Note: The statements, opinions and data contained in all publications are solely those of the individual author(s) and contributor(s) and not of MDPI and/or the editor(s). MDPI and/or the editor(s) disclaim responsibility for any injury to people or property resulting from any ideas, methods, instructions or products referred to in the content. |
© 2024 by the authors. Licensee MDPI, Basel, Switzerland. This article is an open access article distributed under the terms and conditions of the Creative Commons Attribution (CC BY) license (https://creativecommons.org/licenses/by/4.0/).
Share and Cite
Kułakowski, M.; Elster, K.; Janiak, M.; Kułakowska, J.; Żuchowski, P.; Wojciechowski, R.; Dura, M.; Lech, M.; Korolczuk, K.; Grzonkowska, M.; et al. CT-Based Evaluation of Volumetric Posterior Pelvic Bone Density with Implications for the Percutaneous Screw Fixation of the Sacroiliac Joint. J. Clin. Med. 2024, 13, 6063. https://doi.org/10.3390/jcm13206063
Kułakowski M, Elster K, Janiak M, Kułakowska J, Żuchowski P, Wojciechowski R, Dura M, Lech M, Korolczuk K, Grzonkowska M, et al. CT-Based Evaluation of Volumetric Posterior Pelvic Bone Density with Implications for the Percutaneous Screw Fixation of the Sacroiliac Joint. Journal of Clinical Medicine. 2024; 13(20):6063. https://doi.org/10.3390/jcm13206063
Chicago/Turabian StyleKułakowski, Michał, Karol Elster, Michał Janiak, Julia Kułakowska, Paweł Żuchowski, Rafał Wojciechowski, Marta Dura, Marcin Lech, Krzysztof Korolczuk, Magdalena Grzonkowska, and et al. 2024. "CT-Based Evaluation of Volumetric Posterior Pelvic Bone Density with Implications for the Percutaneous Screw Fixation of the Sacroiliac Joint" Journal of Clinical Medicine 13, no. 20: 6063. https://doi.org/10.3390/jcm13206063
APA StyleKułakowski, M., Elster, K., Janiak, M., Kułakowska, J., Żuchowski, P., Wojciechowski, R., Dura, M., Lech, M., Korolczuk, K., Grzonkowska, M., Szpinda, M., & Baumgart, M. (2024). CT-Based Evaluation of Volumetric Posterior Pelvic Bone Density with Implications for the Percutaneous Screw Fixation of the Sacroiliac Joint. Journal of Clinical Medicine, 13(20), 6063. https://doi.org/10.3390/jcm13206063

