Are Preoperative CT Findings Useful in Predicting the Duration of Laparoscopic Appendectomy in Pediatric Patients? A Single Center Study
Abstract
1. Introduction
2. Materials and Methods
2.1. Participants
2.2. Data Collection
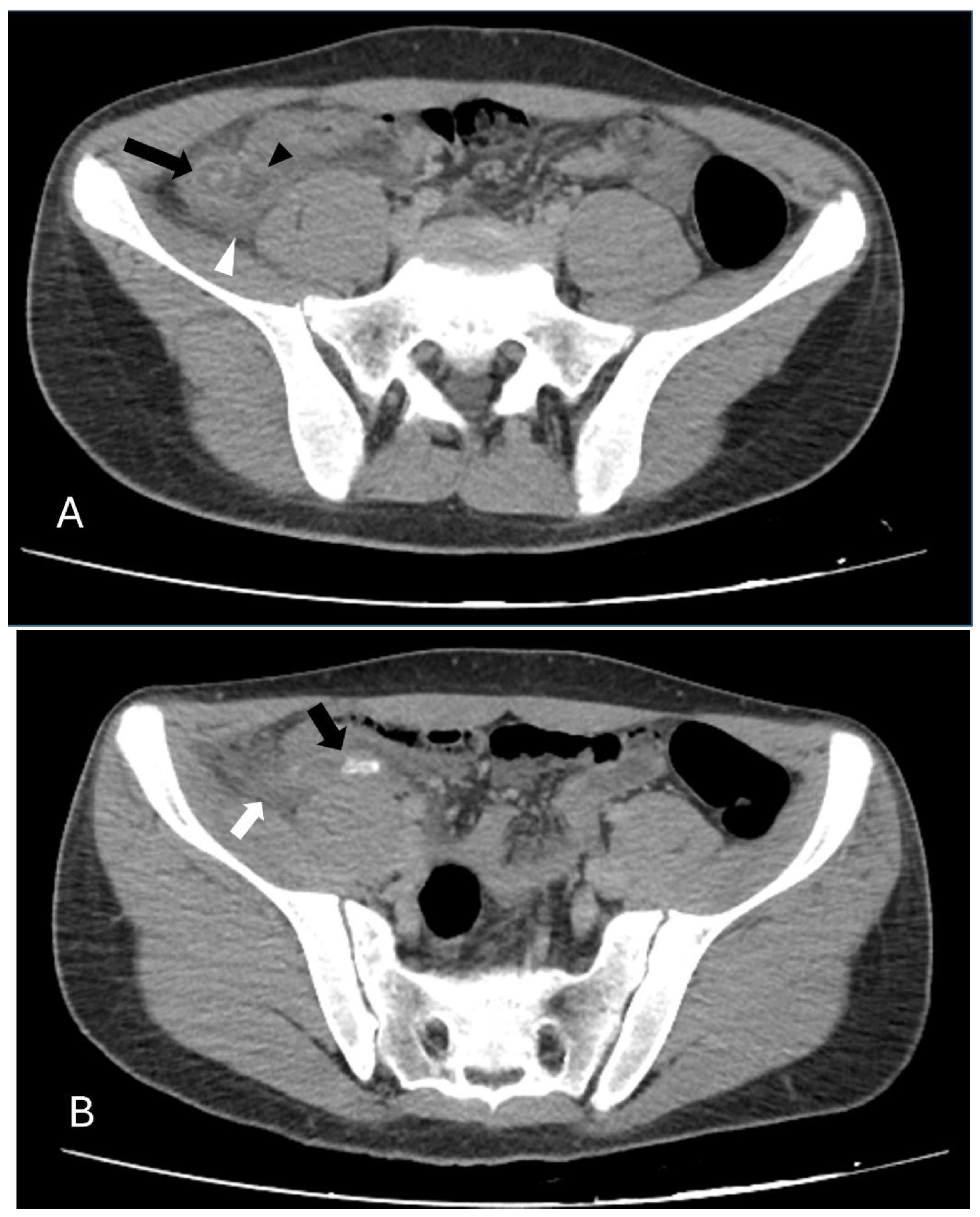
2.3. Abdominal CT Assessment
2.4. Surgical Procedure
2.5. Statistical Analysis
3. Results
4. Discussion
5. Conclusions
Author Contributions
Funding
Institutional Review Board Statement
Informed Consent Statement
Data Availability Statement
Conflicts of Interest
References
- Birnbaum, B.A.; Wilson, S.R. Appendicitis at the millennium. Radiology 2000, 215, 337–348. [Google Scholar] [CrossRef] [PubMed]
- Siewert, B.; Raptopoulos, V.; Liu, S.I.; Hodin, R.A.; Davis, R.B.; Rosen, M.P. CT predictors of failed laparoscopic appendectomy. Radiology 2003, 229, 415–420. [Google Scholar] [CrossRef] [PubMed]
- Gwynn, L.K. The diagnosis of acute appendicitis: Clinical assessment versus computed tomography evaluation. J. Emerg. Med. 2001, 21, 119–123. [Google Scholar] [CrossRef] [PubMed]
- Hansen, A.J.; Young, S.W.; De Petris, G.; Tessier, D.J.; Hernandez, J.L.; Johnson, D.J. Histologic severity of appendicitis can be predicted by computed tomography. Arch. Surg. 2004, 139, 1304–1308. [Google Scholar] [CrossRef] [PubMed]
- Katkhouda, N.; Mason, R.J.; Towfigh, S.; Gevorgyan, A.; Essani, R. Laparoscopic versus open appendectomy: A prospective randomized double-blind study. Ann. Surg. 2005, 242, 439–448. [Google Scholar] [CrossRef]
- Guller, U.; Hervey, S.; Purves, H.; Muhlbaier, L.H.; Peterson, E.D.; Eubanks, S.; Pietrobon, R. Laparoscopic versus open appendectomy: Outcomes comparison based on a large administrative database. Ann. Surg. 2004, 239, 43–52. [Google Scholar] [CrossRef]
- Wei, H.B.; Huang, J.L.; Zheng, Z.H.; Wei, B.; Zheng, F.; Qiu, W.S.; Guo, W.P.; Chen, T.F.; Wang, T.B. Laparoscopic versus open appendectomy: A prospective randomized comparison. Surg. Endosc. 2010, 24, 266–269. [Google Scholar] [CrossRef]
- Wang, X.; Li, Y. Comparison of perioperative outcomes of single-port laparoscopy, three-port laparoscopy and conventional laparotomy in removing giant ovarian cysts larger than 15 cm. BMC Surg. 2021, 21, 205. [Google Scholar] [CrossRef]
- Wang, D.; Dong, T.; Shao, Y.; Gu, T.; Xu, Y.; Jiang, Y. Laparoscopy versus open appendectomy for elderly patients, a meta-analysis and systematic review. BMC Surg. 2019, 19, 54. [Google Scholar] [CrossRef]
- Sauerland, S.; Lefering, R.; Neugebauer, E.A. Laparoscopic versus open surgery for suspected appendicitis. Cochrane Database Syst. Rev. 2004, Cd001546. [Google Scholar] [CrossRef]
- Enjoji, M.; Enomoto, N.; Kikuchi, A.; Ueda, Y.; Kato, S.; Ohno, R. Influence of CT-measured appendiceal diameter on operation time of laparoscopic appendectomy. Surg. Laparosc. Endosc. Percutan Tech. 2011, 21, 20–23. [Google Scholar] [CrossRef] [PubMed]
- Jeon, B.G.; Kim, H.J.; Jung, K.H.; Kim, S.W.; Park, J.S.; Kim, K.H.; Kim, I.D.; Lee, S.J. Prolonged operative time in laparoscopic appendectomy: Predictive factors and outcomes. Int. J. Surg. 2016, 36, 225–232. [Google Scholar] [CrossRef] [PubMed]
- Jackson, T.D.; Wannares, J.J.; Lancaster, R.T.; Rattner, D.W.; Hutter, M.M. Does speed matter? The impact of operative time on outcome in laparoscopic surgery. Surg. Endosc. 2011, 25, 2288–2295. [Google Scholar] [CrossRef] [PubMed]
- Jeon, B.G.; Kim, H.J.; Heo, S.C. CT scan findings can predict the safety of delayed appendectomy for acute appendicitis. J. Gastrointest. Surg. 2019, 23, 1856–1866. [Google Scholar] [CrossRef] [PubMed]
- Kim, M.S.; Kim, M.S.; Kim, D.H.; Park, H.W.; Park, H.J.; Hong, H.P.; Kwon, H.J. Pre-operative CT predictors associated with 30-day adverse events in patients with appendiceal inflammatory masses who underwent immediate appendectomies. Abdom. Imaging 2015, 40, 2263–2271. [Google Scholar] [CrossRef]
- Castro, B.A.; Novillo, I.C.; Vázquez, A.G.; Garcia, P.Y.; Herrero, E.F.; Fraile, A.G. Impact of the appendiceal position on the diagnosis and treatment of pediatric appendicitis. Rev. Paul. Pediatr. 2019, 37, 161–165. [Google Scholar] [CrossRef]
- Raptopoulos, V.; Katsou, G.; Rosen, M.P.; Siewert, B.; Goldberg, S.N.; Kruskal, J.B. Acute appendicitis: Effect of increased use of CT on selecting patients earlier. Radiology 2003, 226, 521–526. [Google Scholar] [CrossRef]
- Hosokawa, T.; Tanami, Y.; Sato, Y.; Ishimaru, T.; Kawashima, H.; Oguma, E. Association between the computed tomography findings and operative time for interval appendectomy in children. Afr. J. Paediatr. Surg. 2021, 18, 73. [Google Scholar] [CrossRef]
- Kohga, A.; Yajima, K.; Okumura, T.; Yamashita, K.; Isogaki, J.; Suzuki, K.; Muramatsu, K.; Komiyama, A.; Kawabe, A. Are Preoperative CT Findings Useful for Predicting Postoperative Intraabdominal Abscess in the Patients with Acute Appendicitis? Medicina 2019, 55, 6. [Google Scholar] [CrossRef]
- Byun, J.; Park, S.; Hwang, S.M. Diagnostic Algorithm Based on Machine Learning to Predict Complicated Appendicitis in Children Using CT, Laboratory, and Clinical Features. Diagnostics 2023, 13, 923. [Google Scholar] [CrossRef]
- Schlottmann, F.; Reino, R.; Sadava, E.E.; Campos Arbulú, A.; Rotholtz, N.A. Could an abdominal drainage be avoided in complicated acute appendicitis? Lessons learned after 1300 laparoscopic appendectomies. Int. J. Surg. 2016, 36, 40–43. [Google Scholar] [CrossRef] [PubMed]
- Cho, J.; Park, I.; Lee, D.; Sung, K.; Baek, J.; Lee, J. Risk Factors for Postoperative Intra-Abdominal Abscess after Laparoscopic Appendectomy: Analysis for Consecutive 1,817 Experiences. Dig. Surg. 2015, 32, 375–381. [Google Scholar] [CrossRef] [PubMed]
- Hosokawa, T.; Yamada, Y.; Tanami, Y.; Sato, Y.; Ishimaru, T.; Kawashima, H.; Oguma, E. Associations between sonographic findings and operative time of transumbilical laparoscopic-assisted appendectomy for acute appendicitis in children. Am. J. Roentgenol. 2019, 213, 191–199. [Google Scholar] [CrossRef] [PubMed]



| Variables | Value |
|---|---|
| Number of patients, n | 104 |
| Sex, n, (M/F) | 59/45 |
| Age (month) | 140.9 ± 49.3 |
| BMI (kg/m2) | 20.7 ± 4.4 |
| WBC (per µL) | 15.2 ± 5.3 |
| NEU (per µL) | 12.2 ± 5.3 |
| CRP (mg/L) | 68.3 ± 78.3 |
| Symptom–operation time (h) | 32.8 ± 33.0 |
| CT–operation time (h) | 9.4 ± 10.3 |
| Operation time (min) | 51.1 ± 21.6 |
| Appendix diameter (mm) | 11.0 ± 3.0 |
| BPM | 90.4 ± 9.7 |
| Temperature (°C) | 37.6 ± 0.5 |
| LOS (days) | 3.75 ± 1.00 |
| Readmission, n (%) | 3 (2.9) |
| Postop wound infection, n (%) | 7 (6.7) |
| Postop abscess, n (%) | 1 (1) |
| Variables | Female (Mean ± SD) | Male (Mean ± SD) | p-Value |
|---|---|---|---|
| Age (month) | 144.6 ± 48.4 | 138.1 ± 50.2 | 0.508 |
| BMI (kg/m2) | 19.7 ± 4.3 | 21.4 ± 4.4 | 0.054 |
| WBC (per µL) | 15.6 ± 5.8 | 14.9 ± 5.0 | 0.511 |
| NEU (per µL) | 12.2 ± 5.5 | 12.2 ± 5.2 | 0.970 |
| CRP (mg/L) | 77.8 ± 93.2 | 61.1 ± 64.7 | 0.283 |
| Symptom—operation time (h) | 36.8 ± 37.1 | 29.8 ± 29.5 | 0.293 |
| CT–operation time (h) | 9.9 ± 12.9 | 9.2 ± 7.9 | 0.740 |
| Operation time (min) | 50.8 ± 26.7 | 51.2 ± 16.9 | 0.929 |
| Appendix diameter (mm) | 10.3 ± 2.9 | 11.5 ± 3.2 | 0.066 |
| BPM | 89.6 ± 8.1 | 91.0 ± 10.8 | 0.466 |
| Temperature (°C) | 37.60 ± 0.46 | 37.61 ± 0.48 | 0.942 |
| LOS (days) | 3.88 ± 1.07 | 3.66 ± 0.92 | 0.247 |
| Variables | Correlation Coefficient (r) | p Value |
|---|---|---|
| Age | −0.095 | 0.336 |
| Height | −0.121 | 0.222 |
| Weight | −0.034 | 0.731 |
| BMI | 0.007 | 0.945 |
| WBC | 0.106 | 0.284 |
| NEU | 0.240 | 0.014 |
| CRP | 0.295 | 0.002 |
| Symptom–operation time | 0.282 | 0.004 |
| CT–operation time | 0.135 | 0.173 |
| Appendix diameter | 0.234 | 0.017 |
| BPM | 0.031 | 0.758 |
| Temperature | 0.041 | 0.681 |
| LOS | 0.125 | 0.207 |
| Total score | 0.415 | <0.001 |
| Component Removal | R2 | Adj. R2 | SEE | F-Value | p-Value |
|---|---|---|---|---|---|
| All components included | 0.359 | 0.327 | 17.739 | 11.001 | <0.001 |
| Abscess removed | 0.271 | 0.241 | 18.883 | 9.186 | <0.001 |
| Extraluminal air removed | 0.224 | 0.200 | 19.334 | 9.601 | <0.001 |
| Periappendicular fluid removed | 0.083 | 0.065 | 20.907 | 4.575 | 0.013 |
| Periappendicular fat-stranding removed | 0.029 | 0.019 | 21.413 | 3.012 | 0.086 |
| Variables | Operation Time (min) (Mean ± SD) | Univariate Analysis p-Value | Multivariable Analysis Coefficient (95% CI) | p-Value |
|---|---|---|---|---|
| Appendicolith | ||||
| Absent (n = 49) | 47.2 ± 18.5 | 0.165 | 7.30 (−1.04 to 15.64) | 0.086 |
| Present (n = 55) | 54.5 ± 23.7 | |||
| Periappendiceal fat standing | ||||
| Absent (n = 18) | 38.9 ± 13.3 | 0.007 | 14.77 (3.98–25.56) | 0.008 |
| Present (n = 86) | 53.7 ± 22.2 | |||
| Periappendiceal fluid | ||||
| Absent (n = 62) | 43.2 ± 10.1 | <0.001 | 19.71 (12.01–27.40) | <0.001 |
| Present (n = 42) | 62.9 ± 28.0 | |||
| Extraluminal air | ||||
| Absent (n = 83) | 46.3 ± 14.2 | <0.001 | 23.97 (14.55–33.38) | <0.001 |
| Present (n = 21) | 70.2 ± 33.2 | |||
| Abscess | < 0.001 | |||
| Absent (n = 89) | 46.2 ± 13.7 | 33.76 (23.72–43.79) | <0.001 | |
| Present (n = 15) | 80.0 ± 34.9 | |||
| Appendix localization | ||||
| Location 1 (n = 39) | 48.1 ± 16.7 | |||
| Location 2 (n = 26) | 48.7 ± 22.0 | 0.235 | 0.57 (−10.23 to 11.38) | 0.916 |
| Location 3 (n = 39) | 55.8 ± 25.2 |
| Variables | Value (Mean ± SD) | Univariate Analysis p-Value | Multivariable Analysis Coefficient (95% CI) | p-Value |
|---|---|---|---|---|
| Age (month) | 140.9 ± 49.3 | 0.211 | −0.02 (−0.117 to 0.065) | 0.574 |
| BMI (kg/m2) | 20.7 ± 4.4 | 0.945 | 0.31 (−0.66 to 1.28) | 0.524 |
| WBC (per µL) | 15.2 ± 5.4 | 0.317 | 0.12 (−0.59 to 0.83) | 0.736 |
| NEU (per µL) | 12.2 ± 5.3 | 0.029 | 0.51 (−0.21 to 1.24) | 0.162 |
| CRP (mg/L) | 68.3 ± 78.4 | <0.001 | 0.05 (0.00–0.11) | 0.034 |
| Symptom–operation time (h) | 32.8 ± 33.0 | <0.001 | 0.25 (0.10–0.40) | 0.001 |
| CT–operation time (h) | 9.5 ± 10.3 | 0.946 | −0.46 (−0.90 to −0.02) | 0.039 |
| Appendix diameter (mm) | 11.0 ± 3.0 | 0.090 | 1.42 (0.12–2.72) | 0.032 |
| Variables | Coefficient | SD | t-Value | CI [0.025–0.975] | p-Value |
|---|---|---|---|---|---|
| Age | 0.03 | 0.04 | 0.704 | [−0.05 to 0.12] | 0.483 |
| Appendix diameter | 0.08 | 0.77 | 0.108 | [−1.45 to 1.62] | 0.915 |
| BMI | 0.28 | 0.45 | 0.623 | [−0.61 to 1.18] | 0.535 |
| CRP | −0.10 | 0.02 | −0.369 | [−0.06 to 0.04] | 0.713 |
| NEU/WBC | 3.64 | 20.94 | 0.174 | [−37.95 to 45.24] | 0.862 |
| Symptom duration (<2/>2 days) | 10.74 | 0.001 | 2.351 | [0.00 to 0.005] | 0.047 |
| CT–operation time | −0.007 | 0.003 | −2.093 | [−0.01 to −0.001] | 0.039 |
| Appendicolith | 0.82 | 4.16 | 0.199 | [−7.43 to 9.09] | 0.843 |
| Periappendiceal fat stranding | 6.67 | 5.20 | 1.284 | [−2.10 to 18.63] | 0.203 |
| Periappendiceal fluid | 8.54 | 5.00 | 1.707 | [−1.40 to 18.48] | 0.091 |
| Extraluminal air | 0.54 | 7.82 | −0.070 | [−15.00 to 16.10] | 0.944 |
| Abscess | 25.31 | 8.74 | 2.896 | [7.95 to 42.68] | 0.005 |
| Localization | 3.43 | 2.11 | 1.623 | [−0.76 to 7.64] | 0.108 |
| Variable | Total (n = 104) (Mean ± SD/%) | Short Operation Time Group (n = 75) | Long Operation Time Group (n = 29) | p-Value |
|---|---|---|---|---|
| Operation time (min) | 51.11 ± 21.62 | 41.53 ± 8.65 | 75.86 ± 25.32 | NA |
| Sex (F/M) | 45/59 | 32/43 | 13/16 | 0.842 |
| Age (month) | 140.9 ± 49.3 | 142.2 ± 50.0 | 137.7 ± 48.2 | 0.599 |
| Appendix diameter (mm) | 11.1 ± 3.0 | 10.7 ± 3.2 | 11.9 ± 2.4 | 0.106 |
| BMI (kg/m2) | 20.7 ± 4.4 | 20.6 ± 4.4 | 21.0 ± 4.6 | 0.704 |
| CRP (mg/L) | 68.4 ± 78.4 | 54.1 ± 63.9 | 105.3 ± 99.2 | 0.002 |
| NEU/WBC | 0.73 ± 0.10 | 0.72 ± 0.10 | 0.76 ± 0.08 | 0.118 |
| Symptom–operation time (h) | 32.8 ± 33.0 | 26.9 ± 30.0 | 48.2 ± 35.0 | <0.001 |
| Symptom duration < 2 days | 81 (77.9%) | 63 (84.0%) | 18 (62.1%) | 0.016 |
| Symptom duration > 2 days | 23 (22.1%) | 12 (16.0%) | 11 (37.9%) | |
| CT–operation time (h) | 9.5 ± 10.0 | 9.0 ± 10.0 | 10.6 ± 9.0 | 0.059 |
| Appendicolith | 55 (52.9%) | 37 (49.3%) | 18 (62.1%) | 0.243 |
| Periappendiceal fat stranding | 86 (82.7%) | 59 (78.7%) | 27 (93.1%) | 0.081 |
| Periappendiceal fluid | 42 (40.4%) | 21 (28.0%) | 21 (72.4%) | <0.001 |
| Extraluminal air | 21 (20.2%) | 8 (10.7%) | 13 (44.8%) | <0.001 |
| Abscess | 15 (14.4%) | 3 (4.0%) | 12 (41.4%) | <0.001 |
| Wound infection | 7 (6.7%) | 3 (4.0%) | 4 (13.8%) | 0.074 |
| Postop abscess | 1 (1%) | 0 (0%) | 1 (3.4%) | 0.106 |
| BPM | 90.4 ± 9.7 | 90.8 ± 9.1 | 89.4 ± 11.4 | 0.442 |
| Temperature (°C) | 37.61 ± 0.5 | 37.62 ± 0.5 | 37.56 ± 0.5 | 0.497 |
| LOS (days) | 3.75 ± 1.0 | 3.68 ± 0.9 | 3.96 ± 1.0 | 0.773 |
| Readmission | 3 (2.9%) | 2 (2.7%) | 1 (3.4%) | 0.831 |
| Variable | Total (n = 82) | Short Operation Time (n = 67) | Long Operation Time (n = 15) | p-Value | |
|---|---|---|---|---|---|
| Age (month) | 150.9 ± 44.2 | 149.2 ± 46.7 | 158.9 ± 30.5 | 0.444 | |
| Sex | Female | 36 (43.9%) | 30 (44.8%) | 6 (40%) | 0.736 |
| Male | 46 (56.1%) | 37 (55.2%) | 9 (60%) | ||
| BMI (kg/m2) | 21.1 ± 4.2 | 20.8 ± 4.3 | 22.6 ± 3.3 | 0.143 | |
| CRP (mg/L) | 50.2 ± 58.6 | 48.4 ± 61.2 | 58.0 ± 46.3 | 0.570 | |
| NEU/WBC | 0.72 ± 0.10 | 0.71 ± 0.10 | 0.75 ± 0.08 | 0.217 | |
| BPM | 90.9 ± 10.0 | 91.2 ± 9.2 | 89.9 ± 13.4 | 0.663 | |
| Temperature (°C) | 37.6 ± 0.5 | 37.6 ± 0.5 | 37.5 ± 0.5 | 0.730 | |
| Symptom–operation time (h) | 27.8 ± 27.8 | 25.9 ± 28.7 | 36.4 ± 22.4 | 0.185 | |
| Symptom duration | <2 days | 68 (82.9%) | 57 (85.1%) | 11 (73.3%) | 0.275 |
| >2 days | 14(17.1%) | 10 (14.9%) | 4 (26.7%) | ||
| CT–operation time (h) | 9.0 ± 10.2 | 9.0 ± 11.1 | 9.1 ± 4.6 | 0.974 | |
| LOS (days) | 3.75 ± 1.00 | 3.68 ± 0.95 | 4.06 ± 1.16 | 0.185 | |
| Appendix diameter (mm) | 10.9 ± 3.2 | 10.7 ± 3.3 | 11.8 ± 2.6 | 0.195 | |
| Apendicolith | Absent | 43 (52.4%) | 35 (52.2%) | 8 (53.3%) | 0.939 |
| Present | 39 (47.6%) | 32 (47.8%) | 7 (46.7%) | ||
| Periappendiceal fat standing | Absent | 17 (20.7%) | 15 (22.4%) | 2 (13.3%) | 0.434 |
| Present | 65 (79.3%) | 52 (77.6%) | 13 (86.7%) | ||
| Periappendiceal fluid | Absent | 62 (75.6%) | 54 (80.6%) | 8 (53.3%) | 0.026 |
| Present | 20 (24.4%) | 13 (19.4%) | 7 (46.7%) | ||
| Abscess | Absent | 82 (100%) | 67 (100%) | 15 (100%) | NA |
| Present | 0 (0%) | 0 (0%) | 0 (0%) | ||
| Variable | Total (n = 22) | Short Operation Time (n = 8) | Long Operation Time (n = 14) | p-Value | |
|---|---|---|---|---|---|
| Age (month) | 103.5 ± 50.2 | 83.4 ± 37.4 | 115.0 ± 54.1 | 0.161 | |
| Sex | Female | 9 | 2 (25%) | 7 (50%) | 0.251 |
| Male | 13 | 6 (75%) | 7 (50%) | ||
| BMI (kg/m2) | 19.2 ± 5.0 | 18.8 ± 4.7 | 19.4 ± 5.4 | 0.809 | |
| CRP (mg/L) | 136.1 ± 103.8 | 101.2 ± 70.8 | 156.0 ± 116.3 | 0.243 | |
| NEU/WBC | 0.78 ± 0.07 | 0.79 ± 0.06 | 0.77 ± 0.08 | 0.600 | |
| BPM | 88.4 ± 8.4 | 87.7 ± 7.7 | 88.8 ± 9.1 | 0.789 | |
| Temperature (°C) | 35.6 ± 0.42 | 37.6 ± 0.5 | 37.54 ± 0.4 | 0.631 | |
| Symptom–operation time (h) | 51.6 ± 43.6 | 35.5 ± 41.4 | 60.8 ± 43.6 | 0.198 | |
| Symptom duration | <2 days | 13 (59.1%) | 6 (75%) | 7 (50%) | 0.251 |
| >2 days | 9 (40.9%) | 2 (25%) | 7 (50%) | ||
| CT–operation time (h) | 11.1 ± 11 | 9.30 ± 9.50 | 12.25 ± 11.98 | 0.559 | |
| LOS (days) | 3.77 ± 0.97 | 3.62 ± 1.06 | 3.85 ± 0.94 | 0.602 | |
| Appendix diameter (mm) | 11.7 ± 2.2 | 11.4 ± 2.0 | 11.9 ± 2.4 | 0.661 | |
| Apendicolith | Absent | 6 (27.3%) | 3 (37.5%) | 3 (21.4%) | 0.416 |
| Present | 16 (72.7%) | 5 (62.5%) | 11 (78.6%) | ||
| Periappendiceal fat standing | Absent | 1 (4.5%) | 1 (12.5%) | 0 (0%) | 0.176 |
| Present | 21 (95.5%) | 7 (87.5%) | 14 (100%) | ||
| Periappendiceal fluid | Absent | 0 (0%) | 0 (0%) | 0 (0%) | NA |
| Present | 22 (100%) | 8 (100%) | 14 (100%) | ||
| Abscess | Absent | 7 (31.8%) | 5 (62.5%) | 2 (14.3%) | 0.020 |
| Present | 15 (68.2%) | 3 (37.5%) | 12 (85.7%) | ||
Disclaimer/Publisher’s Note: The statements, opinions and data contained in all publications are solely those of the individual author(s) and contributor(s) and not of MDPI and/or the editor(s). MDPI and/or the editor(s) disclaim responsibility for any injury to people or property resulting from any ideas, methods, instructions or products referred to in the content. |
© 2024 by the authors. Licensee MDPI, Basel, Switzerland. This article is an open access article distributed under the terms and conditions of the Creative Commons Attribution (CC BY) license (https://creativecommons.org/licenses/by/4.0/).
Share and Cite
Taskent, I.; Ece, B.; Narsat, M.A. Are Preoperative CT Findings Useful in Predicting the Duration of Laparoscopic Appendectomy in Pediatric Patients? A Single Center Study. J. Clin. Med. 2024, 13, 5504. https://doi.org/10.3390/jcm13185504
Taskent I, Ece B, Narsat MA. Are Preoperative CT Findings Useful in Predicting the Duration of Laparoscopic Appendectomy in Pediatric Patients? A Single Center Study. Journal of Clinical Medicine. 2024; 13(18):5504. https://doi.org/10.3390/jcm13185504
Chicago/Turabian StyleTaskent, Ismail, Bunyamin Ece, and Mehmet Ali Narsat. 2024. "Are Preoperative CT Findings Useful in Predicting the Duration of Laparoscopic Appendectomy in Pediatric Patients? A Single Center Study" Journal of Clinical Medicine 13, no. 18: 5504. https://doi.org/10.3390/jcm13185504
APA StyleTaskent, I., Ece, B., & Narsat, M. A. (2024). Are Preoperative CT Findings Useful in Predicting the Duration of Laparoscopic Appendectomy in Pediatric Patients? A Single Center Study. Journal of Clinical Medicine, 13(18), 5504. https://doi.org/10.3390/jcm13185504

