Antioxidant and Anti-Inflammatory Properties of an Extract Rich in Polysaccharides of the Mushroom Polyporus dermoporus
Abstract
:1. Introduction
2. Experimental Section
2.1. Mushroom
2.2. Materials
2.3. Animals
2.4. Extract Preparation
2.5. Chemical Analysis
2.6. 13C nuclear Magnetic Resonance Spectroscopy (NMR)
2.7. In Vitro Antioxidant Tests
2.7.1. Superoxide Radicals
2.7.2. Hydroxyl Radical Assay
2.7.3. Lipid Peroxides Radical Scavenging Capacity
2.8. Assessment Phenolic Compounds
2.9. Croton Oil-Induced Ear Edema Test
2.10. Extract Action in Carrageenan-Induced Pleurisy
Measurement of Nitrite-Nitrate Concentration in Pleural Exudates
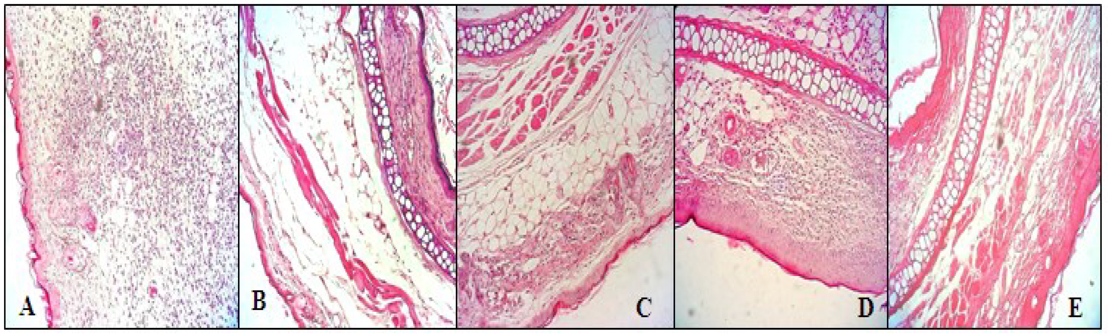
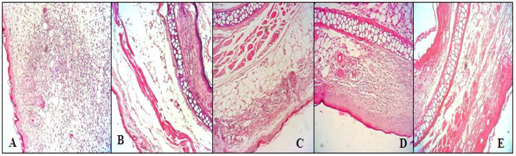
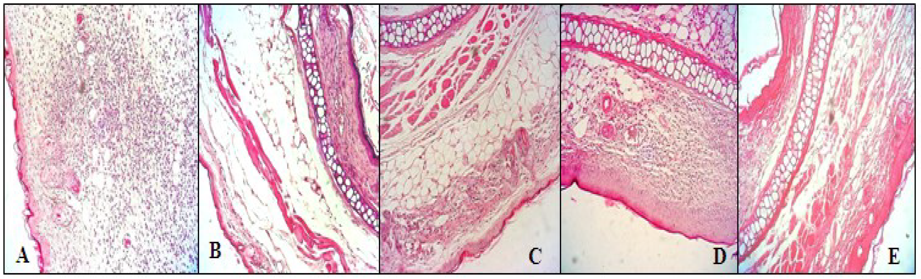
2.11. Histological Examination
2.12. Colorimetric MTT (tetrazolium) Assay
2.13. Statistical Analysis
3. Results and Discussion
3.1. Chemical Analysis
3.2. 1H and 13C NMR Spectroscopies of the Extract from Polyporus Dermoporus
| Components | % |
|---|---|
| Tissue | |
| Carbohydrates | 51.3 ± 1.32 |
| Proteins | 21.4 ± 2.11 |
| Moisture | 10.01 ± 1.03 |
| Lipids | 1.66 ± 0.51 |
| Ashes | 10.80 ± 1.81 |
| Extract | |
| Polysaccharides | 64.8 ± 5.23 |
| Proteins | 10.2 ± 0.30 |
| Phenolic compounds | 0.90 ± 0.02 |


3.3. Superoxide and Hydroxyl Radicals
3.4. Determination of Lipid Peroxidation or Malonaldehyde Formation (LPO)
| Concentration (μg/mL) | Inhibition Superoxide Radical (%) | Inhibition Hydroxyl Radical (%) | Inhibition Microsomal Peroxidation (%) |
|---|---|---|---|
| 67 | 83.3 | 20.0 | 42.9 |
| 113 | 75.1 | 37.0 | 40.3 |
| 200 | 51.5 | 75.0 | 31.0 |
| 267 | 48.5 | 96.0 | 24.3 |
3.5. Action of the Polysaccharides in Carrageenan-Induced Pleurisy

3.6. Effect of Polysaccharide on Nitric Oxide (NO)

3.7. Croton Oil-Induced Ear Edema Test
3.8. Histological Analysis


3.9. Cytotoxic Test
4. Conclusions
Acknowledgments
Author Contributions
Conflicts of Interest
References
- Vaz, J.A.; Barros, L.; Martins, A.; Santos-Buelga, C.; Vasconcelos, M.H.; Ferreira, I.C.F.R. Chemical composition of wild edible mushrooms and antioxidant properties of their water soluble polysaccharidic and ethanolic fractions. Food Chem. 2011, 126, 610–616. [Google Scholar] [CrossRef]
- Chang, S.T. Global impact of edible and medicinal mushrooms on human welfare in the 21st century: Non green evolution. Int. J. Med. Mushrooms 1999, 1, 1–7. [Google Scholar] [CrossRef]
- Wasser, S.P.; Weis, A.L. Medicinal mushrooms as a source of antitumor and immunomodulating polysaccharides. Int. J. Med. Mushrooms 1999, 1, 31–62. [Google Scholar] [CrossRef]
- Barros, L.; Cruz, T.P.; Baptista, E.L.M.; Ferreira, I.C.F.R. Wild and commercial mushrooms as source of nutrients and nutraceutical. Food Chem. Tox. 2008, 46, 2742–2747. [Google Scholar] [CrossRef]
- Shirley, R.; Ord, E.N.J.; Work, L.M. Oxidative stress and the use of antioxidants in stroke. Antioxidants 2014, 3, 472–501. [Google Scholar] [CrossRef]
- Dore, C.M.P.G.; Azevedo, T.C.G.; Souza, M.C.R.; Rego, L.A.; Dantas, J.C.M.; Silva, F.R.F.; Rocha, H.A.O.; Baseia, I.G.; Leite, E.L. Antiinflamatory, antioxidant and cytotoxic actions of beta-glucan-rich extract from Geastrum saccatum mushroom. Int. Immunopharm. 2007, 7, 1160–1169. [Google Scholar] [CrossRef]
- Gonzaga, M.L.C.; Ricardo, N.M.P.S.; Heatley, F.; Soares, S.A. Isolation and characterization of polysaccharides from Agaricus blazei Murril. Carbohydr. Polym. 2005, 60, 43–49. [Google Scholar] [CrossRef]
- Sun, Y.; Liang, H.; Cai, G.; Guan, S.; Tong, H.; Yang, X.; Liu, J. Sulfated modification of the water-soluble polysaccharides from Polyporus albicans mycelia and its potential biological activities. Int. J. Biol. Macromol. 2009, 44, 14–17. [Google Scholar] [CrossRef] [PubMed]
- Ebrahimzadeh, M.A.; Pourmorad, F.; Bekhradnia, A.R. Iron chelating activity screening, phenol and flavonoid content of some medicinal plants from Iran. Afr. J. Biotech. 2008, 7, 3188–3192. [Google Scholar]
- Castro, A.J.G.; Castro, L.S.E.P.; Santos, M.S.N.; Faustino, M.G.; Pinheiro, T.S.; Dore, C.M.P.; Baseia, I.G.; Leite, E.L. Anti-inflamatory, anti-angiogenenic and antioxidant activities of polysaccharide-rich extract from fungi Caripia montagnei. Biomed. Prev. Nutr. 2014, 4, 121–129. [Google Scholar] [CrossRef]
- Association of Official Analytical Chemists (A.O.A.C.). Official Methods Analytical Chemists, 14th ed.; Association of Official Analytical Chemists: Washington, DC, USA, 1984; pp. 988–1141. [Google Scholar]
- Spector, J. Refinement of the Coomassie blue method of protein quantification: A simple and linear spectrophotometric assay of 0.5 to 50 mg of protein. Anal. Biochem. 1978, 86, 142–146. [Google Scholar] [CrossRef] [PubMed]
- Dubois, M.; Gilles, K.A.; Hamilton, J.K.; Rebers, P.A.; Smith, F. Colorimetric method for determination of sugars, and related substances. Anal. Chem. 1956, 28, 350–356. [Google Scholar] [CrossRef]
- Ponti, V.; Dianzani, M.U.; Cheeseman, K.; Slater, T.F. Studies on the reduction of nitroblue tetrazolium chloride mediated through the action of NADH and phenazine methosulphate. Chem. Biol. Interact. 1978, 23, 281–291. [Google Scholar] [CrossRef] [PubMed]
- Smirnoff, N.; Cumbes, Q.J. Hydroxyl radical scavenging activity of compatible solutes. Phytochemistry 1989, 28, 1057–1060. [Google Scholar] [CrossRef]
- Bueg, J.A.; Aust, S.D. Microsomal lipid peroxidation. In Methods in Enzymology; Feischer, S., Packer, L., Eds.; Academic Press: New York, NY, USA, 1978; Volume 52, pp. 302–310. [Google Scholar]
- Velioglu, Y.S.; Mazza, G.; Gao, L.; Oomah, B.D. Antioxidant Activity and Total Phenolics in Selected Fruits, Vegetables, and Grain Products. J. Agric. Food Chem. 1998, 46, 4113–4117. [Google Scholar] [CrossRef]
- Tubaro, A.; Dri, P.; Delbello, G.; Zilli, C.; Della Loggia, R. The Croton oil ear test revisited. Agents Actions 1985, 17, 347–349. [Google Scholar] [CrossRef]
- Cuzzocrea, S.; Costantino, G.; Zingarelli, B.; Caputi, A.P. Beneficial effects of Mn (III) tetrakis (4-benzoic acid) porphyrin (MnTBAP), a superoxide dismutase mimetic, in carrageenan-induced pleurisy. Free Radic. Biol. Med. 1998, 26, 25–33. [Google Scholar] [CrossRef]
- Pacher, P.; Beckman, J.S.; Liaudet, L. Nitric oxide and peroxynitrite in health and disease. Physiol. Rev. 2007, 87, 315–424. [Google Scholar] [CrossRef] [PubMed]
- Mosmann, T. Rapid colorimetric assay for cellular growth and survival: Application to proliferation and cytotoxicity assays. J. Immun. Methods 1983, 65, 55–63. [Google Scholar] [CrossRef]
- Chakraborty, I.; Mondal, S.; Rout, D.; Islam, S.S. A water-insoluble(1→3)-β-d-glucan from the alkaline extract of an edible mushroom Termitomyces eurhizus. Carbohydr. Res. 2006, 341, 2990–2993. [Google Scholar] [CrossRef]
- Chauveau, C.; Talaga, P.; Wieruszeski, J.M.; Strecker, G.; Chavant, L. A water-soluble beta-d-glucan from Boletus erythropus. Phytochemistry 1996, 43, 413–415. [Google Scholar] [CrossRef]
- Yalin, W.; Yavanjiang, P.; Cuirong, S. Isolation, purification and structural investigation of a water-soluble polysaccharide from Solanum lyratum Thunb. Int. J. Biol. Macromol. 2005, 36, 241–245. [Google Scholar] [CrossRef]
- Kozarski, M.; Klaus, A.; Niksic, M.; Jakovljevic, D.; Helsper, J.P.F.G.; van Griensven, L.J.L.D. Antioxidative and immunomodulating activities of polysaccharide extracts of the medicinal mushrooms Agaricus bisporus, Agaricus brasiliensis, Ganoderma lucidum and Phellinus linteus. Food Chem. 2011, 129, 1667–1675. [Google Scholar] [CrossRef]
- Santos, M.S.N.; Magalhães, J.E.M.; Castro, L.S.E.P.W.; Pinheiro, T.S.; Sabry, D.A.; Nobre, L.T.D.B.; Lima, J.P.M.S.; Baseia, I.G.; Leite, E.L. Effect of Glucans from Caripia montagnei Mushroom on TNBS-Induced Colitis. Int. J. Mol. Sci. 2014, 15, 2368–2385. [Google Scholar] [CrossRef]
- Carbonero, E.R.; Gracher, A.H.P.; Smiderle, F.R.; Rosado, F.R.; Sassaki, G.L.; Gorin, P.A.J.; Iacomini, M. A β-glucan from the fruit bodies of an edible mushrooms Pleurotus eryngii and Pleurotus ostreatoroseus. Carbohydr. Polym. 2006, 66, 252–257. [Google Scholar] [CrossRef]
- Synytsya, A.; Novák, M. Structural diversity of fungal glucans. Carbohydr. Polym. 2013, 92, 792–809. [Google Scholar] [CrossRef]
- Zhou, Y.C.; Zheng, R.L. Phenolic compounds and analog as superoxide anion scavengers and antioxidants. Biochem. Pharm. 1991, 42, 1177–1179. [Google Scholar] [CrossRef] [PubMed]
- Wei, Y.; Li, Z.; Hu, Y.; Xu, Z. Inhibition of mouse liver lipid peroxidation by high molecular weight phlorotannins from Sargassum kjellmanianum. J. App. Phycol. 2003, 15, 507–511. [Google Scholar] [CrossRef]
- Fulia, F.; Gitto, E.; Cuzzocrea, S.; Reiter, R.J.; Dugo, L.; Gitto, P.; Barberi, S.; Cordaro, S.; Barberi, I. Increased levels of malondialdehyde and nitrite/nitrate in the blood of asphyxiated newborns: Reduction by melatonin. J. Pin. Res. 2008, 1, 343–349. [Google Scholar]
- Zembron-Lacny, A.; Gajewski, M.; Naczk, M.; Siatkowski, I. Effect of shiitake (Lentinus edodes) extract on antioxidant and inflammatory response to prolonged eccentric exercise. J. Physiol. Pharmacol. 2013, 64, 249–254. [Google Scholar] [PubMed]
© 2014 by the authors; licensee MDPI, Basel, Switzerland. This article is an open access article distributed under the terms and conditions of the Creative Commons Attribution license (http://creativecommons.org/licenses/by/4.0/).
Share and Cite
Dore, C.M.P.G.; Alves, M.G.d.C.F.; Santos, M.D.G.L.; De Souza, L.A.R.; Baseia, I.G.; Leite, E.L. Antioxidant and Anti-Inflammatory Properties of an Extract Rich in Polysaccharides of the Mushroom Polyporus dermoporus. Antioxidants 2014, 3, 730-744. https://doi.org/10.3390/antiox3040730
Dore CMPG, Alves MGdCF, Santos MDGL, De Souza LAR, Baseia IG, Leite EL. Antioxidant and Anti-Inflammatory Properties of an Extract Rich in Polysaccharides of the Mushroom Polyporus dermoporus. Antioxidants. 2014; 3(4):730-744. https://doi.org/10.3390/antiox3040730
Chicago/Turabian StyleDore, Celina Maria P. Guerra, Monique Gabriela das Chagas F. Alves, Maria Da Glória L. Santos, Leonardo Augusto R. De Souza, Iuri Goulart Baseia, and Edda Lisboa Leite. 2014. "Antioxidant and Anti-Inflammatory Properties of an Extract Rich in Polysaccharides of the Mushroom Polyporus dermoporus" Antioxidants 3, no. 4: 730-744. https://doi.org/10.3390/antiox3040730
APA StyleDore, C. M. P. G., Alves, M. G. d. C. F., Santos, M. D. G. L., De Souza, L. A. R., Baseia, I. G., & Leite, E. L. (2014). Antioxidant and Anti-Inflammatory Properties of an Extract Rich in Polysaccharides of the Mushroom Polyporus dermoporus. Antioxidants, 3(4), 730-744. https://doi.org/10.3390/antiox3040730
