Organic and Conventional Yerba Mate (Ilex paraguariensis A. St. Hil) Improves Metabolic Redox Status of Liver and Serum in Wistar Rats
Abstract
:1. Introduction
2. Experimental Section
2.1. Chemicals
2.2. Yerba Mate Samples
2.3. Animals and Treatment
2.4. Protective Effects of Yerba Mate in Liver and Serum of Rats
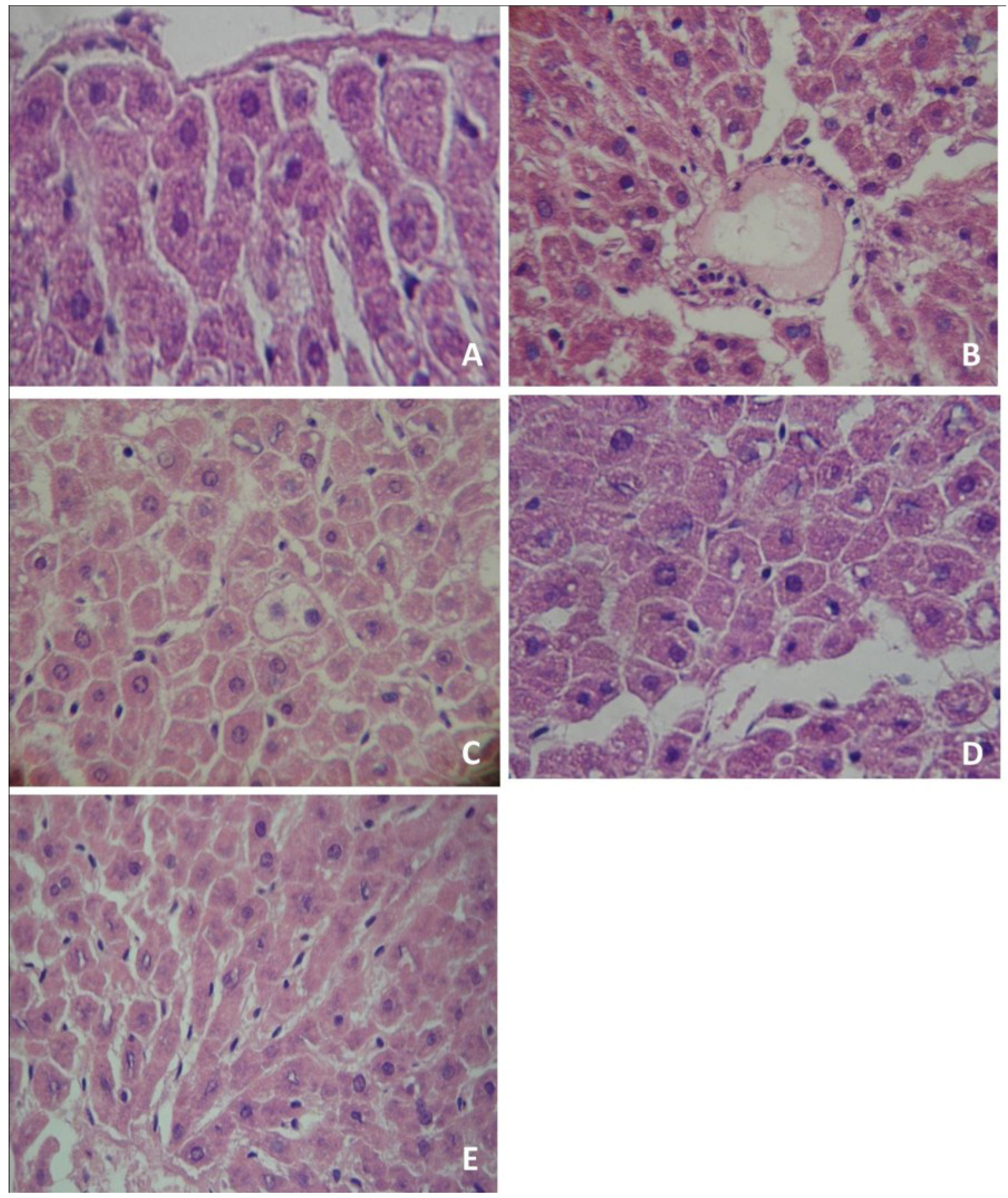
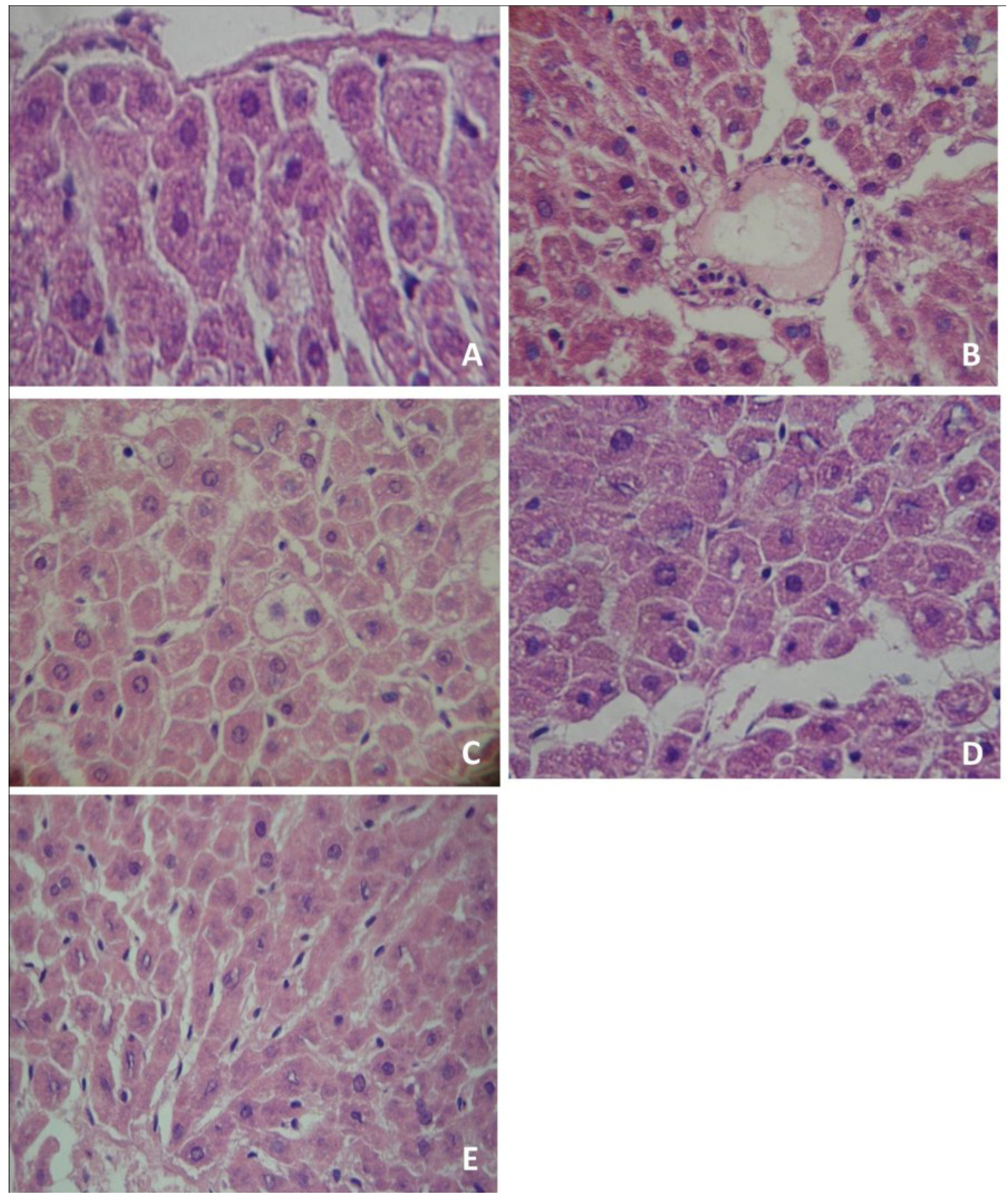
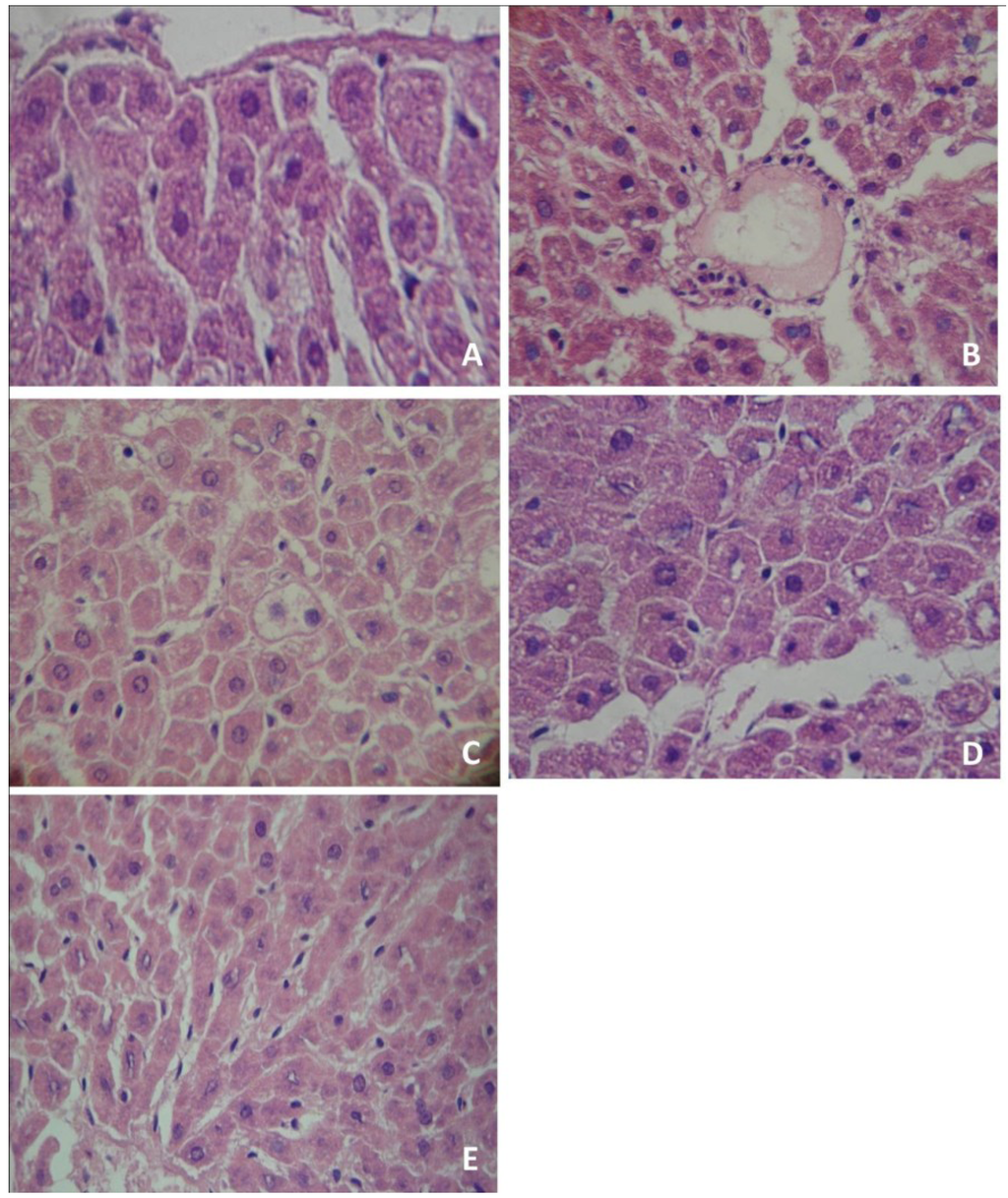
2.5. Histopathological Analysis of the Liver Tissues
2.6. Statistical Analysis
3. Results and Discussion
| Group | TBARS (nmol/mg of protein) | Carbonyl Protein (nmol DNPH/mg of protein) | Nitric Oxide (nmol/mg of protein) | Superoxide Dismutase (U SOD/mg of protein) | Catalase (mmol H2O2/min/mg of protein) | Sulfhydryl Protein (nmol DTNB/mg of protein) |
|---|---|---|---|---|---|---|
| Control | 1.30 ± 0.11 # | 1.62 ± 0.16 # | 1.14 ± 0.22 # | 13.37 ± 1.12 # | 70.10 ± 1.20 # | 0.35 ± 0.01 # |
| Pentylenetetrazol (PTZ) | 3.53 ± 0.02 * | 4.77 ± 0.15 * | 3.43 ± 0.17 * | 1.58 ± 0.11 * | 43.24 ± 0.93 * | 0.11 ± 0.02 * |
| Organic yerba mate | 1.33 ± 0.09 # | 1.49 ± 0.12 # | 1.09 ± 0.06 # | 15.28 ± 0.20 # | 73.82 ± 1.17 # | 0.49 ± 0.01 #* |
| Conventional yerba mate | 1.24 ± 0.05 # | 1.55 ± 0.09 # | 0.94 ± 0.18 # | 16.17 ± 1.14 # | 77.70 ± 1.09 # | 0.47 ± 0.03 #* |
| Organic yerba mate + PTZ | 1.41 ± 0.11 # | 1.73 ± 0.18 # | 1.20 ± 0.08 # | 10.73 ± 0.18 # | 60.39 ± 2.14 #* | 0.40 ± 0.02 # |
| Conventional yerba mate + PTZ | 1.36 ± 0.33 # | 2.12 ± 0.19 # | 1.12 ± 0.07 # | 8.19 ± 0.75 #* | 66.00 ± 1.13 #* | 0.29 ± 0.03 # |
| Group | TBARS (nmol/mg of protein) | Carbonyl Protein (nmol DNPH/mg of protein) | Nitric Oxide (nmol/mg of protein) | Superoxide Dismutase (U SOD/mg of protein) | Catalase (mmol H2O2/min/mg of protein) | Sulfhydryl Protein (nmol DTNB/mg of protein) |
|---|---|---|---|---|---|---|
| Control | 1.74 ± 0.08 # | 1.59 ± 0.24 # | 1.89 ± 0.22 # | 5.30 ± 0.70 # | 13.52 ± 0.57 # | 0.43 ± 0.07 # |
| Pentylenetetrazol (PTZ) | 2.44 ± 0.06 * | 3.78 ± 0.10 * | 5.13 ± 0.06 * | 0.25 ± 0.02 * | 7.20 ± 0.70 * | 0.07 ± 0.01 * |
| Organic yerba mate | 1.79 ± 0.13 # | 1.60 ± 0.15 # | 2.12 ± 0.40 # | 8.06 ± 0.31 # | 15.06 ± 1.02 # | 0.50 ± 0.10 # |
| Conventional yerba mate | 1.76 ± 0.04 # | 1.48 ± 0.17 # | 2.02 ± 0.56 # | 7.19 ± 0.36 # | 14.53 ± 0.70 # | 0.46 ± 0.03 # |
| Organic yerba mate + PTZ | 2.03 ± 0.19 # | 1.93 ± 0.21 # | 2.59 ± 0.23 # | 6.98 ± 0.54 # | 13.58 ± 1.31 # | 0.43 ± 0.02 # |
| Conventional yerba mate +PTZ | 1.90 ± 0.17 # | 2.05 ± 0.18 # | 2.26 ± 0.72 # | 5.13 ± 0.77 # | 11.10 ± 0.90 # | 0.34 ± 0.06 # |

4. Conclusions
Acknowledgments
Conflict of Interest
References
- Heck, C.I.; de Mejia, E.G. Yerba mate tea (Ilex paraguariensis): A comprehensive review on chemistry, health implications, and technological considerations. J. Food Sci. 2007, 9, 138–150. [Google Scholar] [CrossRef]
- Berté, K.A.S.; Beux, M.R.; Spada, P.K.D.S.; Salvador, M.; Hoffmann-Ribani, R. Chemical composition and antioxidant activity of yerba mate (Ilex paraguariensis A. St. Hil., Aquifoliaceae) extract as obtained by spray srying. J. Agric. Food Chem. 2011, 59, 5523–5527. [Google Scholar] [CrossRef]
- Miranda, D.D.C.; Arçari, D.P.; Pedrazzoli, J.J.; Carvalho, P.O.; Cerutti, S.M.; Bastos, D.H.M.; Ribeiro, M.L. Protective effects of mate tea (Ilex paraguariensis) on H2O2-induced DNA damage and DNA repair in mice. Mutagenesis 2008, 4, 261–265. [Google Scholar]
- Silva, R.D.A.; Bueno, A.L.S.; Gallon, C.W.; Gomes, L.F.; Kaiser, S.; Pavei, C.; Ortega, G.G.; Kucharski, L.C.; Jahn, M.P. The effect of aqueous extract of gross and commercial yerba mate (Ilex paraguariensis) on intra-abdominal and epididymal fat and glucose levels in male Wistar rats. Fitoterapia 2011, 82, 818–826. [Google Scholar] [CrossRef]
- Bracesco, N.; Sanchez, A.G.; Contreras, V.; Menini, T.; Gucliucci, A. Recent advances on Ilex paraguariensis research: Minireview. J. Ethnopharmacol. 2011, 136, 378–384. [Google Scholar] [CrossRef]
- Oliveira, D.M.; Freitas, H.S.; Souza, M.F.; Arçari, D.P.; Ribeiro, M.L.; Carvalho, P.O.; Bastos, D.H. Yerba Maté (Ilex paraguariensis) aqueous extract decreases intestinal SGLT1 gene expression but does not affect other biochemical parameters in alloxan-diabetic Wistar rats. J. Agric. Food Chem. 2008, 22, 10527–10532. [Google Scholar]
- Arçari, D.P.; Bartchewsky, S.; dos Santos, T.W.; Oliveira, K.A.; Funk, A.; Pedrazzoli, J.; de Souza, M.F.; Saad, M.J.; Bastos, D.H.; Gambero, A.; et al. Antiobesity effects of yerba maté extract (Ilex paraguariensis) in high-fat diet-induced obese mice. Obesity 2009, 12, 2127–2133. [Google Scholar]
- Martins, F.; Suzan, A.J.; Cerutti, S.M.; Arçari, D.P.; Ribeiro, M.L.; Bastos, D.H.M.; Carvalho, P.O. Consumption of mate tea (Ilex paraguariensis) decreases the oxidation of unsatured fatty acids in mouse liver. Br. J. Nutr. 2009, 101, 527–532. [Google Scholar] [PubMed]
- Mosimann, A.L.; Wilhelm-Filho, D.; da Silva, E.L. Aqueous extract of Ilex paraguariensis attenuates the progression of atherosclerosis in cholesterol-fed rabbits. Biofactors 2006, 1, 59–70. [Google Scholar]
- Wiest, J.M.; Carvalho, H.H.C.; Avancini, C.A.M.; Gonçalves, A.R. In vitro inhibition and inactivation activity of Salmonella spp. by plant extracts with spicy or medicinal ethnographic indicative. Arq. Bras. Med. Vet. Zootec. 2009, 61, 119–127. [Google Scholar] [CrossRef]
- Strassmann, B.B.; Vieira, A.R.; Pedrotti, E.L.; Morais, H.N.; Dias, P.F.; Maraschin, M. Quantitation of methylxanthinic alkaloids and phenolic compounds in mate (Ilex paraguariensis) and their effects on blood vessel formation in chick embryos. J. Agric. Food Chem. 2008, 18, 8348–8353. [Google Scholar]
- Proestos, C.; Lytoudi, K.; Mavromelanidou, O.K.; Zoumpoulakis, P.; Sinanoglou, V.J. Antioxidant capacity of selected plant extracts and their essential oils. Antioxidants 2013, 2, 11–22. [Google Scholar] [CrossRef]
- Michelon, F.; Branco, C.S.; Calloni, C.; Giazzon, I.; Agostini, F.; Spada, P.K.W.; Salvador, M. Araucaria angustifolia: A potential nutraceutical with antioxidant and antimutagenic activities. Curr. Nutr. Food Sci. 2012, 8, 155–159. [Google Scholar] [CrossRef]
- Halliwell, B. Dietary polyphenols: Good, bad, or indifferent for your health? Cardiovasc. Res. 2007, 73, 341–347. [Google Scholar] [CrossRef]
- Forman, J.; Silverstein, J. Organic foods: Health and environmental advantages and disadvantages. Pediatrics 2012, 130, 1406–1415. [Google Scholar] [CrossRef]
- Carbonaro, M.; Mattera, M.; Nicoli, S.; Bergamo, P.; Capelloni, M. Modulation of antioxidant compounds in organic vs. conventional fruit (peach, Prunus persica L., and pear, Pyrus communis L.). Food Chem. 2002, 19, 5458–5462. [Google Scholar]
- Dani, C.; Oliboni, L.S.; Vanderline, R.; Bonatto, D.; Salvador, M.; Henriques, J.A. Phenolic content and antioxidant activities of white and purple juices manufactured with organically- or conventionally-produced grapes. Food Chem. Toxicol. 2007, 45, 2574–2580. [Google Scholar] [CrossRef]
- Branco, C.D.S.; Scola, G.; Rodrigues, A.D.; Cesio, V.; Laprovitera, M.; Heinzen, H.; Santos, M.T.; Fank, B.; Freitas, S.C.V.; Coitinho, A.S.; et al. Anticonvulsant, neuroprotective and behavioral effects of organic and conventional yerba mate (Ilex paraguariensis St. Hil.) on pentylenetetrazol-induced seizures in Wistar rats. Brain Res. Bull. 2013, 92, 60–68. [Google Scholar] [CrossRef]
- Singleton, V.L.; Orthofer, R.; Lamuela-Raventós, R.M. Analysis of total phenols and other oxidation substrates and antioxidants by means of Folin-Ciocalteu reagent. Methods Enzymol. 1999, 299, 152–178. [Google Scholar] [CrossRef]
- Wills, E.D. Mechanism of lipid peroxidation formation in animal tissues. Biochem. J. 1966, 3, 667–676. [Google Scholar]
- Levine, R.L.; Garland, D.; Oliver, C.N.; Amici, A.; Climent, I.; Lenz, A.G.; Ahn, B.W.; Stadtman, E.R. Determination of carbonyl content in oxidatively modified proteins. Methods Enzymol. 1990, 186, 464–478. [Google Scholar] [CrossRef]
- Ilhan, A.; Aladag, M.A.; Kocer, A.; Boluk, A.; Gurel, A.; Armutcu, F. Erdosteine ameliorates PTZ-induced oxidative stress in mice seizure model. Brain Res. Bull. 2005, 65, 495–499. [Google Scholar] [CrossRef]
- Green, L.C.; Tannenbaum, S.R.; Goldman, P. Nitrate synthesis in the germfree and conventional rat. Science 1981, 212, 56–58. [Google Scholar] [CrossRef] [PubMed]
- Bannister, J.V.; Calabrese, L. Assays for Sod. Methods Biochem. Anal. 1987, 32, 279–312. [Google Scholar] [CrossRef]
- Aebi, H. Catalase in vitro. Methods Enzymol. 1984, 105, 121–126. [Google Scholar] [CrossRef]
- Askenov, M.Y.; Markesbery, W.R. Changes in thiol content and expression of glutathione redox system genes in the hippocampus and cerebellum in Alzheimer’s disease. Neurosci. Lett. 2001, 302, 141–145. [Google Scholar] [CrossRef]
- Bradford, M.M. A rapid and sensitive method for the quantitation of microgram quantities of protein utilizing the principle of protein-dye binding. Anal. Biochem. 1976, 72, 248–254. [Google Scholar] [CrossRef]
- Gamble, M. The Hematoxylin and Eosin. In Theory and Practice of Histological Techniques; Bancroft, J.D., Gamble, M., Eds.; Churchill Livingstone Elsevier: Philadelphia, PA, USA, 2008; pp. 121–134. [Google Scholar]
- Bixby, M.; Spieler, L.; Menini, T.; Gugliucci, A. Ilex paraguariensis extracts are potent inhibitors of nitrosative stress: A comparative study with green tea and wines using a protein nitration model and mammalian cell cytotoxicity. Life Sci. 2005, 77, 345–358. [Google Scholar] [CrossRef]
- Radi, R. Nitric oxide, oxidants, and protein tyrosine nitration. Proc. Natl. Acad. Sci. USA 2004, 101, 4003–4008. [Google Scholar] [CrossRef]
- Katzung, B.G. Basic and Clinical Pharmacology, 9th ed.; Lange Medical Books/McGraw-Hill: New York, NY, USA, 2004. [Google Scholar]
- Schinella, G.R.; Troiani, G.; Dávila, V.; Buschiazzo, P.M.; Tournier, H.A. Antioxidant effects of an aqueous extract of Ilex paraguariensis. Biochem. Biophys. Res. Commun. 2000, 269, 257–360. [Google Scholar] [CrossRef]
- Pandey, K.B.; Rizvi, S.I. Markers of oxidative stress in erythrocytes and plasma during aging in humans. Oxid. Med. Cell. Longev. 2010, 3, 1–12. [Google Scholar] [CrossRef]
- Halliwell, B. Free radicals and antioxidants—Quo vadis? Trends Pharmacol. Sci. 2011, 32, 125–130. [Google Scholar] [CrossRef]
- Gao, H.; Liu, Z.; Wan, W.; Qu, X.; Chen, M. Aqueous extract of yerba mate tea lowers atherosclerotic risk factors in a rat hyperlipidemia model. Phytother. Res. 2012. [Google Scholar] [CrossRef]
- Nardini, M.; D’Aquino, M.; Tomassi, G.; Gentili, V.; di Felice, M.; Scaccini, C. Inhibition of human low-density lipoprotein oxidation by caffeic acid and other hydroxycinnamic acid derivatives. Free Radic. Biol. Med. 1995, 5, 541–552. [Google Scholar]
- Sugiura, C.; Nishimatsu, S.; Moriyama, T.; Ozasa, S.; Kawada, T.; Sayama, K. Catechins and caffeine inhibit fat accumulation in mice through the improvement of hepatic lipid metabolism. J. Obes. 2012. [Google Scholar] [CrossRef]
- Bracesco, N.; Dell, M.; Rocha, A.; Behtash, S.; Menini, T.; Gugliucci, A.; Nunes, E. Antioxidant activity of a botanical extract preparation of Ilex paraguariensis: Prevention of DNA double-strand breaks in Saccharomyces cerevisiae and human low-density lipoprotein oxidation. J. Altern. Complement. Med. 2003, 3, 379–387. [Google Scholar]
© 2013 by the authors; licensee MDPI, Basel, Switzerland. This article is an open access article distributed under the terms and conditions of the Creative Commons Attribution license (http://creativecommons.org/licenses/by/3.0/).
Share and Cite
Branco, C.S.; Scola, G.; Rodrigues, A.D.; Cesio, V.; Heinzen, H.; Godoy, A.; Funchal, C.; Coitinho, A.S.; Salvador, M. Organic and Conventional Yerba Mate (Ilex paraguariensis A. St. Hil) Improves Metabolic Redox Status of Liver and Serum in Wistar Rats. Antioxidants 2013, 2, 100-109. https://doi.org/10.3390/antiox2030100
Branco CS, Scola G, Rodrigues AD, Cesio V, Heinzen H, Godoy A, Funchal C, Coitinho AS, Salvador M. Organic and Conventional Yerba Mate (Ilex paraguariensis A. St. Hil) Improves Metabolic Redox Status of Liver and Serum in Wistar Rats. Antioxidants. 2013; 2(3):100-109. https://doi.org/10.3390/antiox2030100
Chicago/Turabian StyleBranco, Cátia S., Gustavo Scola, Adriana D. Rodrigues, Verónica Cesio, Horacio Heinzen, Alessandra Godoy, Cláudia Funchal, Adriana S. Coitinho, and Mirian Salvador. 2013. "Organic and Conventional Yerba Mate (Ilex paraguariensis A. St. Hil) Improves Metabolic Redox Status of Liver and Serum in Wistar Rats" Antioxidants 2, no. 3: 100-109. https://doi.org/10.3390/antiox2030100
APA StyleBranco, C. S., Scola, G., Rodrigues, A. D., Cesio, V., Heinzen, H., Godoy, A., Funchal, C., Coitinho, A. S., & Salvador, M. (2013). Organic and Conventional Yerba Mate (Ilex paraguariensis A. St. Hil) Improves Metabolic Redox Status of Liver and Serum in Wistar Rats. Antioxidants, 2(3), 100-109. https://doi.org/10.3390/antiox2030100

