Loss of Surfactant Protein A Alters Perinatal Lung Morphology and Susceptibility to Hyperoxia-Induced Bronchopulmonary Dysplasia
Abstract
1. Introduction
2. Materials and Methods
2.1. Mice
2.2. Exposure to Hyperoxia or Normoxia
2.3. Histology and Morphometry
2.4. Spatial Proteomic Profiling by GeoMx® Nanostring
2.5. Immunohistochemistry
2.6. Statistical Analysis
3. Results
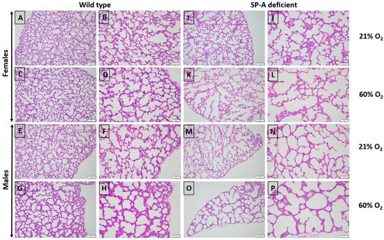
3.1. Lack of SP-A Enhances Hyperoxia-Induced Arrest in Alveolar Formation
3.2. Lack of SP-A Enhances the DNA Damage Response to Hyperoxia in Lung Macrophages
4. Discussion
Supplementary Materials
Author Contributions
Funding
Institutional Review Board Statement
Informed Consent Statement
Data Availability Statement
Acknowledgments
Conflicts of Interest
References
- Jobe, A.H. The new BPD. NeoReviews 2006, 7, e531–e545. [Google Scholar] [CrossRef]
 - Schmidt, B.; Roberts, R.S.; Davis, P.G.; Doyle, L.W.; Asztalos, E.V.; Opie, G.; Bairam, A.; Solimano, A.; Arnon, S.; Sauve, R.S.; et al. Prediction of late death or disability at age 5 years using a count of 3 neonatal morbidities in very low birth weight infants. J. Pediatr. 2015, 167, 982–986.e2. [Google Scholar] [CrossRef] [PubMed]
 - Higgins, R.D.; Jobe, A.H.; Koso-Thomas, M.; Bancalari, E.; Viscardi, R.M.; Hartert, T.V.; Ryan, R.M.; Kallapur, S.G.; Steinhorn, R.H.; Konduri, G.G.; et al. Bronchopulmonary dysplasia: Executive summary of a workshop. J. Pediatr. 2018, 197, 300–308. [Google Scholar] [CrossRef]
 - Wright, J.R. Immunoregulatory functions of surfactant proteins. Nat. Rev. Immunol. 2005, 5, 58–68. [Google Scholar] [CrossRef] [PubMed]
 - Silveyra, P.; Floros, J. Genetic variant associations of human SP-A and SP-D with acute and chronic lung injury. Front. Biosci. J. Virtual Libr. 2012, 17, 407. [Google Scholar] [CrossRef]
 - Liu, D.Y.; Wu, J.; Zhang, X.Y.; Feng, Z.C. Expression of IL-8, SP-A and TGF-beta1 in bronchoalveolar lavage fluid of neonates with bronchopulmonary dysplasia. Zhongguo Dang Dai Er Ke Za Zhi = Chin. J. Contemp. Pediatr. 2010, 12, 444–446. [Google Scholar]
 - Montalbano, A.P.; Hawgood, S.; Mendelson, C.R. Mice deficient in surfactant protein A (SP-A) and SP-D or in TLR2 manifest delayed parturition and decreased expression of inflammatory and contractile genes. Endocrinology 2013, 154, 483–498. [Google Scholar] [CrossRef]
 - Yadav, A.K.; Madan, T.; Bernal, A.L. Surfactant proteins A and D in pregnancy and parturition. Front. Biosci. (Elite Ed.) 2011, 3, 291–300. [Google Scholar]
 - Condon, J.C.; Jeyasuria, P.; Faust, J.M.; Mendelson, C.R. Surfactant protein secreted by the maturing mouse fetal lung acts as a hormone that signals the initiation of parturition. Proc. Natl. Acad. Sci. USA 2004, 101, 4978–4983. [Google Scholar] [CrossRef]
 - Mikerov, A.N.; Umstead, T.M.; Huang, W.; Liu, W.; Phelps, D.S.; Floros, J. SP-A1 and SP-A2 variants differentially enhance association of Pseudomonas aeruginosa with rat alveolar macrophages. Am. J. Physiol. Lung Cell. Mol. Physiol. 2005, 288, L150–L158. [Google Scholar] [CrossRef][Green Version]
 - Wang, G.; Umstead, T.M.; Phelps, D.S.; Al-Mondhiry, H.; Floros, J. The effect of ozone exposure on the ability of human surfactant protein a variants to stimulate cytokine production. Environ. Health Perspect. 2002, 110, 79–84. [Google Scholar] [CrossRef] [PubMed]
 - Xu, H.N.; Lin, Z.; Gandhi, C.K.; Amatya, S.; Wang, Y.; Li, L.Z.; Floros, J. Sex and SP-A2 dependent NAD (H) redox alterations in mouse alveolar macrophages in response to ozone exposure: Potential implications for COVID-19. Antioxidants 2020, 9, 915. [Google Scholar] [CrossRef] [PubMed]
 - Korfhagen, T.R.; Bruno, M.D.; Ross, G.F.; Huelsman, K.M.; Ikegami, M.; Jobe, A.H.; Wert, S.E.; Stripp, B.R.; Morris, R.E.; Glasser, S.W.; et al. Altered surfactant function and structure in SP-A gene targeted mice. Proc. Natl. Acad. Sci. USA 1996, 93, 9594–9599. [Google Scholar] [CrossRef] [PubMed]
 - Goto, H.; Ledford, J.G.; Mukherjee, S.; Noble, P.W.; Williams, K.L.; Wright, J.R. The role of surfactant protein A in bleomycin-induced acute lung injury. Am. J. Respir. Crit. Care Med. 2010, 181, 1336–1344. [Google Scholar] [CrossRef] [PubMed]
 - Sodhi, C.P.; Salazar, A.J.G.; Kovler, M.L.; Fulton, W.B.; Yamaguchi, Y.; Ishiyama, A.; Wang, S.; Prindle, T.; Vurma, M.; Das, T.; et al. The administration of a pre-digested fat-enriched formula prevents necrotising enterocolitis-induced lung injury in mice. Br. J. Nutr. 2022, 128, 1050–1063. [Google Scholar] [CrossRef]
 - Berger, J.; Bhandari, V. Animal models of bronchopulmonary dysplasia. The term mouse models. Am. J. Physiol. Lung Cell. Mol. Physiol. 2014, 307, L936–L947. [Google Scholar] [CrossRef]
 - Nardiello, C.; Mižíková, I.; Silva, D.M.; Ruiz-Camp, J.; Mayer, K.; Vadász, I.; Herold, S.; Seeger, W.; Morty, R.E. Standardisation of oxygen exposure in the development of mouse models for bronchopulmonary dysplasia. Dis. Models Mech. 2017, 10, 185–196. [Google Scholar]
 - Cooney, T.P.; Thurlbeck, W.M. The radial alveolar count method of Emery and Mithal: A reappraisal 1—Postnatal lung growth. Thorax 1982, 37, 572–579. [Google Scholar] [CrossRef]
 - Hsia, C.C.; Hyde, D.M.; Ochs, M.; Weibel, E.R. An official research policy statement of the American Thoracic Society/European Respiratory Society: Standards for quantitative assessment of lung structure. Am. J. Respir. Crit. Care Med. 2010, 181, 394–418. [Google Scholar] [CrossRef]
 - Kuzmenko, A.I.; Wu, H.; Wan, S.; McCormack, F.X. Surfactant Protein A Is a Principal and Oxidation-sensitive MicrobialPermeabilizing Factor in the Alveolar LiningFluid. J. Biol. Chem. 2005, 280, 25913–25919. [Google Scholar] [CrossRef]
 - Crowther, J.E.; Kutala, V.K.; Kuppusamy, P.; Ferguson, J.S.; Beharka, A.A.; Zweier, J.L.; McCormack, F.X.; Schlesinger, L.S. Pulmonary surfactant protein a inhibits macrophage reactive oxygen intermediate production in response to stimuli by reducing NADPH oxidase activity. J. Immunol. 2004, 172, 6866–6874. [Google Scholar] [CrossRef] [PubMed]
 - Nogee, L.M.; Wispé, J.R.; Clark, J.C.; Whitsett, J.A. Increased synthesis and mRNA of surfactant protein A in oxygen-exposed rats. Am. J. Respir. Cell Mol. Biol. 1989, 1, 119–125. [Google Scholar] [CrossRef] [PubMed]
 - ter Horst, S.A.; Fijlstra, M.; Sengupta, S.; Walther, F.J.; Wagenaar, G.T. Spatial and temporal expression of surfactant proteins in hyperoxia-induced neonatal rat lung injury. BMC Pulm. Med. 2006, 6, 8. [Google Scholar] [CrossRef][Green Version]
 - Guan, Z.; Worth, B.; Umstead, T.M.; Amatya, S.; Booth, J.; Chroneos, Z.C. Disruption of the SP-A/SP-R210L (MYO18Aα) pathway prolongs gestation and reduces fetal survival during lipopolysaccharide-induced parturition in late gestation. Am. J. Physiol. Lung Cell. Mol. Physiol. 2024, 326, L508–L513. [Google Scholar] [CrossRef]
 - Lingappan, K.; Jiang, W.; Wang, L.; Moorthy, B. Sex-specific differences in neonatal hyperoxic lung injury. Am. J. Physiol. Lung Cell. Mol. Physiol. 2016, 311, L481–L493. [Google Scholar] [CrossRef] [PubMed]
 - Mikerov, A.N.; Haque, R.; Gan, X.; Guo, X.; Phelps, D.S.; Floros, J. Ablation of SP-A has a negative impact on the susceptibility of mice to Klebsiella pneumoniae infection after ozone exposure: Sex differences. Respir. Res. 2008, 9, 77. [Google Scholar] [CrossRef]
 - Kalymbetova, T.V.; Selvakumar, B.; Rodríguez-Castillo, J.A.; Gunjak, M.; Malainou, C.; Heindl, M.R.; Moiseenko, A.; Chao, C.M.; Vadász, I.; Mayer, K.; et al. Resident alveolar macrophages are master regulators of arrested alveolarization in experimental bronchopulmonary dysplasia. J. Pathol. 2018, 245, 153–159. [Google Scholar] [CrossRef]
 - Bonfield, T.L.; Raychaudhuri, B.; Malur, A.; Abraham, S.; Trapnell, B.C.; Kavuru, M.S.; Thomassen, M.J. PU. 1 regulation of human alveolar macrophage differentiation requires granulocyte-macrophage colony-stimulating factor. Am. J. Physiol. Lung Cell. Mol. Physiol. 2003, 285, L1132–L1136. [Google Scholar] [CrossRef]
 - Guilliams, M.; De Kleer, I.; Henri, S.; Post, S.; Vanhoutte, L.; De Prijck, S.; Deswarte, K.; Malissen, B.; Hammad, H.; Lambrecht, B.N. Alveolar macrophages develop from fetal monocytes that differentiate into long-lived cells in the first week of life via GM-CSF. J. Exp. Med. 2013, 210, 1977–1992. [Google Scholar] [CrossRef]
 - Schneider, C.; Nobs, S.P.; Heer, A.K.; Kurrer, M.; Klinke, G.; Van Rooijen, N.; Vogel, J.; Kopf, M. Alveolar macrophages are essential for protection from respiratory failure and associated morbidity following influenza virus infection. PLoS Pathog. 2014, 10, e1004053. [Google Scholar] [CrossRef]
 - Tan, S.Y.; Krasnow, M.A. Developmental origin of lung macrophage diversity. Development 2016, 143, 1318–1327. [Google Scholar] [CrossRef] [PubMed]
 - Gschwend, J.; Sherman, S.P.; Ridder, F.; Feng, X.; Liang, H.E.; Locksley, R.M.; Becher, B.; Schneider, C. Alveolar macrophages rely on GM-CSF from alveolar epithelial type 2 cells before and after birth. J. Exp. Med. 2021, 218, e20210745. [Google Scholar] [CrossRef] [PubMed]
 - Henneke, P.; Kierdorf, K.; Hall, L.J.; Sperandio, M.; Hornef, M. Perinatal development of innate immune topology. eLife 2021, 10, e67793. [Google Scholar] [CrossRef] [PubMed]
 - Martin, F.P.; Jacqueline, C.; Poschmann, J.; Roquilly, A. Alveolar macrophages: Adaptation to their anatomic niche during and after inflammation. Cells 2021, 10, 2720. [Google Scholar] [CrossRef]
 - Yang, Y.; Wang, Y. Autocrine, Paracrine, and Endocrine Signals That Can Alter Alveolar Macrophages Function. In Reviews of Physiology, Biochemistry and Pharmacology; Springer: Cham, Switzerland, 2022; pp. 177–198. [Google Scholar]
 - Hallman, M. The surfactant system protects both fetus and newborn. Neonatology 2013, 103, 320–326. [Google Scholar] [CrossRef]
 - Twisselmann, N.; Pagel, J.; Künstner, A.; Weckmann, M.; Hartz, A.; Glaser, K.; Hilgendorff, A.; Göpel, W.; Busch, H.; Herting, E.; et al. Hyperoxia/Hypoxia exposure primes a sustained pro-inflammatory profile of preterm infant macrophages upon LPS stimulation. Front. Immunol. 2021, 12, 762789. [Google Scholar] [CrossRef]
 - Willis, G.R.; Reis, M.; Gheinani, A.H.; Fernandez-Gonzalez, A.; Taglauer, E.S.; Yeung, V.; Liu, X.; Ericsson, M.; Haas, E.; Mitsialis, S.A.; et al. Extracellular vesicles protect the neonatal lung from hyperoxic injury through the epigenetic and transcriptomic reprogramming of myeloid cells. Am. J. Respir. Crit. Care Med. 2021, 204, 1418–1432. [Google Scholar] [CrossRef]
 - Caramori, G.; Adcock, I.M.; Casolari, P.; Ito, K.; Jazrawi, E.; Tsaprouni, L.; Villetti, G.; Civelli, M.; Carnini, C.; Chung, K.F.; et al. Unbalanced oxidant-induced DNA damage and repair in COPD: A link towards lung cancer. Thorax 2011, 66, 521–527. [Google Scholar] [CrossRef]
 - Pastukh, V.M.; Zhang, L.; Ruchko, M.V.; Gorodnya, O.; Bardwell, G.C.; Tuder, R.M.; Gillespie, M.N. Oxidative DNA damage in lung tissue from patients with COPD is clustered in functionally significant sequences. Int. J. Chronic Obstr. Pulm. Dis. 2011, 6, 209–217. [Google Scholar]
 - Van Houten, B. Pulmonary arterial hypertension is associated with oxidative stress–induced genome instability. Am. J. Respir. Crit. Care Med. 2015, 192, 129–130. [Google Scholar] [CrossRef]
 




Disclaimer/Publisher’s Note: The statements, opinions and data contained in all publications are solely those of the individual author(s) and contributor(s) and not of MDPI and/or the editor(s). MDPI and/or the editor(s) disclaim responsibility for any injury to people or property resulting from any ideas, methods, instructions or products referred to in the content.  | 
© 2024 by the authors. Licensee MDPI, Basel, Switzerland. This article is an open access article distributed under the terms and conditions of the Creative Commons Attribution (CC BY) license (https://creativecommons.org/licenses/by/4.0/).
Share and Cite
Amatya, S.; Lanza, M.; Umstead, T.M.; Chroneos, Z.C. Loss of Surfactant Protein A Alters Perinatal Lung Morphology and Susceptibility to Hyperoxia-Induced Bronchopulmonary Dysplasia. Antioxidants 2024, 13, 1309. https://doi.org/10.3390/antiox13111309
Amatya S, Lanza M, Umstead TM, Chroneos ZC. Loss of Surfactant Protein A Alters Perinatal Lung Morphology and Susceptibility to Hyperoxia-Induced Bronchopulmonary Dysplasia. Antioxidants. 2024; 13(11):1309. https://doi.org/10.3390/antiox13111309
Chicago/Turabian StyleAmatya, Shaili, Matthew Lanza, Todd M. Umstead, and Zissis C. Chroneos. 2024. "Loss of Surfactant Protein A Alters Perinatal Lung Morphology and Susceptibility to Hyperoxia-Induced Bronchopulmonary Dysplasia" Antioxidants 13, no. 11: 1309. https://doi.org/10.3390/antiox13111309
APA StyleAmatya, S., Lanza, M., Umstead, T. M., & Chroneos, Z. C. (2024). Loss of Surfactant Protein A Alters Perinatal Lung Morphology and Susceptibility to Hyperoxia-Induced Bronchopulmonary Dysplasia. Antioxidants, 13(11), 1309. https://doi.org/10.3390/antiox13111309
        
