Inhibition of Accumulation of Neutral Lipids and Their Hydroperoxide Species in Hepatocytes by Bioactive Allium sativum Extract
Abstract
1. Introduction
2. Materials and Methods
2.1. Chemical
2.2. Extraction
2.3. Cell Viability, Lipid Droplet Accumulation Inhibition Assay and Antioxidant Activity Index
2.4. Cell Morphology Alteration: LD Fluorescence Staining Assay and Real-Time LDAI Monitoring
2.5. TG Assay
2.6. Lipidomic Analysis of Neutral Lipids: Analysis of Accumulation of Triacylglycerol Species by LC-MS/MS
2.7. Metabolite Profile of AL1 Extract
3. Results and Discussion
3.1. Cell Viability
3.2. Lipid Droplet Accumulation Inhibition Activity of Selected Allium Extracts
3.3. Antioxidant Activity Index of AL1–9
3.4. Cell Morphology Alteration Induced by Allium Extract AL1
3.5. Level of TG After AL1 Treatment
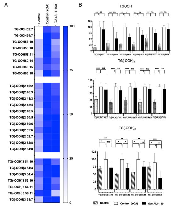
3.6. Quantification of the Effect on Inhibition of TAG and TGOOH Species Accumulation Under LDA and oxLDA Conditions
3.7. Metabolite Fingerprinting and Rapid Dereplication of Key Compounds in Bioactive AL1 Extract
4. Conclusions
Supplementary Materials
Author Contributions
Funding
Institutional Review Board Statement
Informed Consent Statement
Data Availability Statement
Acknowledgments
Conflicts of Interest
Abbreviations
References
- Ayala, A.; Muñoz, M.F.; Argüelles, S. Lipid peroxidation: Production, metabolism, and signaling mechanisms of malondialdehyde and 4-hydroxy-2-nonenal. Oxid. Med. Cell. Longev. 2014, 2014, 360438. [Google Scholar] [CrossRef] [PubMed]
- Valgimigli, L. Lipid Peroxidation and Antioxidant Protection. Biomolecules 2023, 13, 1291. [Google Scholar] [CrossRef] [PubMed]
- Mashek, D.G. Hepatic Lipid Droplets: A Balancing Act Between Energy Storage and Metabolic Dysfunction in NAFLD. Mol. Metab. 2021, 50, 101115. [Google Scholar] [CrossRef] [PubMed]
- Souza, M.R.d.A.; Diniz, M.d.F.F.d.M.; de Medeiros-Filho, J.E.M.; de Araújo, M.S.T. Metabolic Syndrome and Risk Factors for Non-Alcoholic Fatty Liver Disease. Arq. Gastroenterol. 2012, 49, 89–96. [Google Scholar] [CrossRef] [PubMed]
- Panqueva, L.R.d.P. Pathological Aspects of Fatty Liver Disease. Rev. Colomb. Gastroenterol. 2014, 29, 82–88. [Google Scholar]
- Dolgova, N.; Uhlemann, E.-M.E.; Boniecki, M.T.; Vizeacoumar, F.S.; Ralle, M.; Tonelli, M.; Abbas, S.A.; Patry, J.; Elhasasna, H.; Freywald, A.; et al. MEMO1 is a Metal Containing Regulator of Iron Homeostasis in Cancer Cells. bioRxiv 2023. [Google Scholar] [CrossRef]
- Walther, T.C.; Chung, J.; Farese, R.V., Jr. Lipid Droplet Biogenesis. Annu. Rev. Cell. Dev. Biol. 2017, 6, 491–510. [Google Scholar] [CrossRef] [PubMed] [PubMed Central]
- Cruz, A.L.S.; Barreto, E.A.; Fazolini, N.P.B.; Viola, J.P.B.; Bozza, P.T. Lipid droplets: Platforms with multiple functions in cancer hallmarks. Cell. Death Dis. 2020, 11, 105. [Google Scholar] [CrossRef] [PubMed] [PubMed Central]
- Greenberg, A.S.; Coleman, R.A.; Kraemer, F.B.; McManaman, J.L.; Obin, M.S.; Puri, V.; Yan, Q.W.; Miyoshi, H.; Mashek, D.G. The role of lipid droplets in metabolic disease in rodents and humans. J Clin Investig. 2011, 121, 2102–2110. [Google Scholar] [CrossRef]
- Gluchowski, N.L.; Becuwe, M.; Walther, T.C.; Farese, R.V. Lipid Droplets and Liver Disease: From Basic Biology to Clinical Implications. Nat. Rev. Gastroenterol. Hepatol. 2017, 14, 343–355. [Google Scholar] [CrossRef]
- Krahmer, N.; Farese, R.V.; Walther, T.C. Balancing the Fat: Lipid Droplets and8 Human Disease. EMBO Mol. Med. 2013, 5, 973–983. [Google Scholar] [CrossRef] [PubMed]
- Dibwe, D.F.; Oba, S.; Takeishi, N.; Sakurai, T.; Tsukui, T.; Chiba, H.; Hui, S.P. Food-Derived β-Carboline Alkaloids Ameliorate Lipid Droplet Accumulation in Human Hepatocytes. Pharmaceuticals 2022, 15, 578. [Google Scholar] [CrossRef] [PubMed]
- Hauck, A.K.; Bernlohr, D.A. Oxidative stress and lipotoxicity. J. Lipid Res. 2016, 57, 1976–1986. [Google Scholar] [CrossRef] [PubMed]
- Spickett, C.M.; Pitt, A.R. Oxidative lipidomics coming of age: Advances in analysis of oxidized phospholipids in physiology and pathology. Antioxid. Redox Signal. 2015, 22, 1646–1666. [Google Scholar] [CrossRef]
- Boccatonda, A.; Andreetto, L.; D’Ardes, D.; Cocco, G.; Rossi, I.; Vicari, S.; Schiavone, C.; Cipollone, F.; Guagnano, M.T. From NAFLD to MAFLD: Definition, Pathophysiological Basis and Cardiovascular Implications. Biomedicines 2023, 11, 883. [Google Scholar] [CrossRef]
- Fan, H.; Chen, Y.-Y.; Bei, W.-J.; Wang, L.-Y.; Chen, B.-T.; Guo, J. In vitro screening for antihepatic steatosis active components within coptidis rhizoma alkaloids extract using liver cell extraction with HPLC analysis and a free fatty acid-induced hepatic steatosis HepG2 cell assay. Evid.–Based Complement. Altern. Med. 2013, 2013, 459390. [Google Scholar] [CrossRef]
- Yeh, Y.; Cho, Y.-Y.; Hsieh, S.-C.; Chiang, A.-N. Chinese olive extract ameliorates hepatic lipid accumulation in vitro and in vivo by regulating lipid metabolism. Sci. Rep. 2018, 8, 1057. [Google Scholar] [CrossRef]
- Baek, S.C.; Nam, K.H.; Yi, S.A.; Jo, M.S.; Lee, K.H.; Lee, Y.H.; Lee, J.; Kim, K.H. Anti-adipogenic Effect of β-Carboline Alkaloids from Garlic (Allium sativum). Foods 2019, 8, 673. [Google Scholar] [CrossRef]
- Emamat, H.; Farhadnejad, H.; Tangestani, H.; Totmaj, A.S.; Poustchi, H.; Hekmatdoost, A. Association of allium vegetables intake and non-alcoholic fatty liver disease risk: A case-control study. Nutr. Food Sci. 2020, 50, 1075–1083. [Google Scholar] [CrossRef]
- Jin, F.Y.; Xie, D.-F.; Zhou, S.-D.; He, X.-J. Characterization of the complete chloroplast genome of Allium prattii. Mitochondrial DNA Part B Resour. 2018, 3, 153–154. [Google Scholar] [CrossRef]
- Seregin, A.P.; Anačkov, G.T.; Friesen, N. Molecular and morphological revision of the Allium saxatile group (Amaryllidaceae): Geographical isolation as the driving force of underestimated speciation. Bot. J. Linn. Soc. 2015, 178, 67–101. [Google Scholar] [CrossRef]
- Friesen, N.; Fritsch, R.M.; Blattner, F.R. Phylogeny and New Intrageneric Classification of Allium (Alliaceae) Based on Nuclear Ribosomal DNA ITS Sequences. Aliso 2006, 22, 372–395. [Google Scholar] [CrossRef]
- Dibwe, D.F.; Kitayama, E.; Oba, S.; Takeishi, N.; Chiba, H.; Hui, S.P. Inhibition of Lipid Accumulation and Oxidation in Hepatocytes by Bioactive Bean Extracts. Antioxidants 2024, 13, 513. [Google Scholar] [CrossRef] [PubMed]
- Dibwe, D.F.; Takeishi, N.; Oba, S.; Sakurai, A.; Sakurai, T.; Tsukui, T.; Chiba, H.; Hui, S.P. Identification of a b-carboline alkaloid from chemoselectively derived vanilla bean extract and its prevention of lipid droplet accumulation in human hepatocytes (HepG2). Molecules 2023, 15, 8024. [Google Scholar] [CrossRef]
- Tsukui, T.; Chen, Z.; Fuda, H.; Furukawa, T.; Oura, K.; Sakurai, T.; Hui, S.P.; Chiba, H. Novel Fluorescence-Based Method to Characterize the Antioxidative Effects of Food Metabolites on Lipid Droplets in Cultured Hepatocytes. J. Agric. Food Chem. 2019, 67, 9934–9941. [Google Scholar] [CrossRef]
- Teixeira, F.S.; Pimentel, L.L.; Vidigal, S.S.M.P.; Azevedo-Silva, J.; Pintado, M.E.; Rodríguez-Alcalá, L.M. Differential Lipid Accumulation on HepG2 Cells Triggered by Palmitic and Linoleic Fatty Acids Exposure. Molecules 2023, 28, 2367. [Google Scholar] [CrossRef]
- Pei, K.; Gui, T.; Kan, D.; Feng, H.; Jin, Y.; Yang, Y.; Zhang, Q.; Du, Z.; Gai, Z.; Wu, J.; et al. An Overview of Lipid Metabolism and Nonalcoholic Fatty Liver Disease. Biomed. Res. Int. 2020, 2020, 4020249. [Google Scholar] [CrossRef]
- Chen, Z.; Wu, X.; Chiba, H.; Hui, S.P. Investigating oxidized lipids in an omics way: Oxidative lipidomics in biological applications using mass spectrometry. Med. Mass Spectrom. 2022, 6, 72–84. [Google Scholar]
- Sazaki, I.; Sakurai, T.; Yamahata, A.; Mogi, S.; Inoue, N.; Ishida, K.; Kikkai, A.; Takeshita, H.; Sakurai, A.; Takahashi, Y.; et al. Oxidized Low-Density Lipoproteins Trigger Hepatocellular Oxidative Stress with the Formation of Cholesteryl Ester Hydroperoxide-Enriched Lipid Droplets. Int. J. Mol. Sci. 2023, 24, 4281. [Google Scholar] [CrossRef]
- Wu, Y.; Chen, Z.; Fuda, H.; Tsukui, T.; Wu, X.; Shen, N.; Saito, N.; Chiba, H.; Hui, S.P. Oxidative Stress Linked Organ Lipid Hydroperoxidation and Dysregulation in Mouse Model of Nonalcoholic Steatohepatitis: Revealed by Lipidomic Profiling of Liver and Kidney. Antioxidants 2021, 10, 1602. [Google Scholar] [CrossRef]
- Scherer, R.; Godoy, H.T. Antioxidant activity index (AAI) by 2, 2-diphenyl-1-picrylhydrazyl method. Food Chem. 2009, 112, 654–658. [Google Scholar] [CrossRef]
- Aruoma, O.I. Free radicals, oxidative stress, and antioxidants in human health and disease. J. Am. Oil Chem. Soc. 1998, 75, 199–212. [Google Scholar] [CrossRef] [PubMed] [PubMed Central]
- Del Ángel Benítez, E. Liver steatosis and nonalcoholic steatohepatitis: From pathogenesis to therapy. Medwave 2016, 16, e6535. [Google Scholar]
- Sumida, Y.; Okanoue, T.; Nakajima, A. Phase 3 Drug Pipelines in the Treatment of Non-Alcoholic Steatohepatitis. Hepatol. Res. 2019, 49, 1256–1262. [Google Scholar] [CrossRef]
- Bruguière, A.; Derbré, S.; Bréard, D.; Tomi, F.; Nuzillard, J.M.; Richomme, P. 13C NMR Dereplication Using MixONat Software: A Practical Guide to Decipher Natural Products Mixtures. Planta Med. 2021, 87, 1061–1068. [Google Scholar] [CrossRef] [PubMed]
- Bruguière, A.; Derbré, S.; Diestsch, J.; Leguy, J.; Rahier, V.; Pottier, Q.; Bréard, D.; Suor-Cherer, S.; Viault, G.; Le Ray, A.M.; et al. MixONat, a Software for the Dereplication of Mixtures Based on 13C NMR Spectroscopy. Anal. Chem. 2020, 92, 8793–8801. [Google Scholar] [CrossRef] [PubMed]









| Samples | Cell Viability | LDAI/oxLDAI | Antioxidant Activity | |||
|---|---|---|---|---|---|---|
| Cytotoxicity | Lipocytotoxicity | 100 (μg/mL) | 200 (μg/mL) | IC50 (μg/mL) | AAI | |
| AL1 | 604.0 | >800 | 44.0 | 92.5 | 108 | 1.9 |
| AL2 | 404.2 | 652.3 | 0 | 0 | 181 | 1.1 |
| AL3 | 675.2 | 745.6 | 0 | 93.5 | 54.0 | 3.7 |
| AL4 | 475.4 | 835.6 | 0 | 10 | 23.1 | 8.6 |
| AL5 | 814.1 | 895.5 | 0 | 0 | 198 | 1.0 |
| AL6 | 721.4 | 981.7 | 0 | 81.0 | 75.4 | 2.6 |
| AL7 | 939.1 | 940.1 | 0 | 0 | 103 | 1.9 |
| AL8 | 683.3 | 892.5 | 0 | 80.0 | 200 | 1.0 |
| AL9 | >1000 | >1000 | 0 | 0 | 500 | 0.4 |
| KA1 | >250 | >500 | 0 | 40.2 | 20 * | 10 |
| KA2 | >250 | >500 | 0 | 0 | 10 * | 20 |
| OA | Neutral Lipid Species | |||
|---|---|---|---|---|
| TAG | TGOOH | TG(OOH)2 | TG(OOH)3 | |
| Number accumulated | 51 | 8 | 11 | 7 |
| Number inhibited | 9 (13) | 1 | 0 | 2 |
| LA | Neutral Lipid Species | |||
|---|---|---|---|---|
| TAG | TGOOH | TG(OOH)2 | TG(OOH)3 | |
| Number accumulated | 53 | 13 | 10 | 15 |
| Number inhibited | 0 (6) | 6 | 1 | 6 |
| AL1 | AL3 | AL6 | ||||||||||||
|---|---|---|---|---|---|---|---|---|---|---|---|---|---|---|
| RT (min) | MS1 (m/z) | MS2 (m/z) | MS3 (m/z) | RT (min) | MS1 (m/z) | MS2 (m/z) | MS3 (m/z) | RT (min) | MS1 (m/z) | MS2 (m/z) | MS3 (m/z) | |||
| 1 | 0.01 | 435.4147 | 359.3890 | 148.9953 134.9374 | 7 | 2.25 | 104.1058 | 60.0242 | could not detect | 4 | 1.87 | 360.1464 | 325.0564 | 288.9400 |
| 2 | 0.01 | 424.4102 | 407.2867 | 371.3444 | 8 | 10.53 | 330.3329 | 312.3188 | 102.0371 | 15 | 1.94 | 198.0951 | 179.9797 | 162.9164 |
| 3 | 1.80 | 291.0977 | 161.9223 | 144.9228 | 13 | 10.93 | 282.2759 | 265.128 | 247.2555 | 16 | 1.94 | 180.0847 | 162.8774 | 145.0766 |
| 4 | 1.88 | 360.1461 | 324.9067 | 289.0067 | 9 | 10.93 | 356.3483 | 338.3411 | 101.8994 | 17 | 2.08 | 203.0504 | 185.0148 | 166.9430 |
| 5 | 1.93 | 116.0693 | 69.9151 | could not detect | 10 | 12.53 | 391.2800 | 148.8773 | 121.0314 | 18 | 2.14 | 219.0242 | 158.9557 176.7700 | 98.8628 (158.9557) 159.1721 (176.7700) |
| 6 | 1.96 | 258.1073 | 103.9791 | 59.9807 | 14 | 12.9 | 338.3378 | 148.8773 | 121.0314 | 7 | 2.27 | 104.1058 | 59.9128 | could not detect |
| 7 | 2.26 | 104.1058 | 60.0242 | could not detect | 8 | 10.56 | 330.3330 | 312.2895 | 102.0410 | |||||
| 8 | 10.41 | 330.3329 | 312.3188 | 102.0371 | 9 | 10.79 | 356.3484 | 338.3188 | 101.9674 | |||||
| 9 | 10.90 | 356.3483 | 338.3411 | 101.8994 | 13 | 10.93 | 282.2759 | 265.218 4247.2157 | 247.2726 (265.2184) 163.1118 (247.2157) | |||||
| 10 | 12.51 | 391.2800 | 148.8773 | 121.0314 | 10 | 12.48 | 391.2801 | 148.9516 | 121.0154 | |||||
| 11 | 12.96 | 433.3988 | 375.3741 | 357.3410 | ||||||||||
| 12 | 13.12 | 452.4411 | 435.3180 | 399.4792 | ||||||||||
Disclaimer/Publisher’s Note: The statements, opinions and data contained in all publications are solely those of the individual author(s) and contributor(s) and not of MDPI and/or the editor(s). MDPI and/or the editor(s) disclaim responsibility for any injury to people or property resulting from any ideas, methods, instructions or products referred to in the content. |
© 2024 by the authors. Licensee MDPI, Basel, Switzerland. This article is an open access article distributed under the terms and conditions of the Creative Commons Attribution (CC BY) license (https://creativecommons.org/licenses/by/4.0/).
Share and Cite
Dibwe, D.F.; Oba, S.; Monde, S.; Hui, S.-P. Inhibition of Accumulation of Neutral Lipids and Their Hydroperoxide Species in Hepatocytes by Bioactive Allium sativum Extract. Antioxidants 2024, 13, 1310. https://doi.org/10.3390/antiox13111310
Dibwe DF, Oba S, Monde S, Hui S-P. Inhibition of Accumulation of Neutral Lipids and Their Hydroperoxide Species in Hepatocytes by Bioactive Allium sativum Extract. Antioxidants. 2024; 13(11):1310. https://doi.org/10.3390/antiox13111310
Chicago/Turabian StyleDibwe, Dya Fita, Saki Oba, Satomi Monde, and Shu-Ping Hui. 2024. "Inhibition of Accumulation of Neutral Lipids and Their Hydroperoxide Species in Hepatocytes by Bioactive Allium sativum Extract" Antioxidants 13, no. 11: 1310. https://doi.org/10.3390/antiox13111310
APA StyleDibwe, D. F., Oba, S., Monde, S., & Hui, S.-P. (2024). Inhibition of Accumulation of Neutral Lipids and Their Hydroperoxide Species in Hepatocytes by Bioactive Allium sativum Extract. Antioxidants, 13(11), 1310. https://doi.org/10.3390/antiox13111310

