fMRI-Based Alzheimer’s Disease Detection Using the SAS Method with Multi-Layer Perceptron Network
Abstract
1. Introduction
- Implemented a normalization technique for improving the quality of raw resting state fMRI image by adjusting its contrast. The resultant image superiorly differentiates both bright and dark regions;
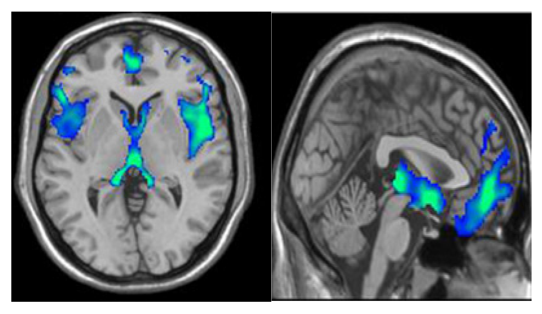
- Developed SAS methods for tissue segmentation such as AD, NC, MCI, EMCI, LMCI, and SMC. The SAS method partitions the denoised resting state fMRI image into multiple segments (a set of image pixels called super-pixels). The primary objective of the SAS method is to alter the image representation into perceptual meaning;
- Performed hybrid feature extraction (combination of Gabor and GLCM features) in order to extract vectors. Introduced HBOA for optimizing the dimensions of the extracted vectors. The feature extraction and optimization significantly reduce the number of redundant vectors that decreases the model’s effort and increases the generalization steps and learning speed;
- Used MLP classifier to classify the tissues like AD, NC, MCI, EMCI, LMCI, and SMC. The MLP classifier has two main benefits in medical image classification; (i) effectively manage enormous amounts of data and (ii) resolves complex non-linear concerns. As depicted in the resulting segment, the efficacy of the presented model is zanalyzed in light of precision, HD, f1-measure, JC, accuracy, DSC, and recall.
2. Literature Review
3. Methods
3.1. Database Description and Denoising
3.2. Segmentation
- Input: is the normalized image and is the number of segments.
- Output: is the segmented image using -way segmentation.
- From the image , super-pixels are collected in the bag;
- The bipartite graph is constructed;
- Groups are derived from the bipartite graph to apply the T-cut methodology;
- The pixels are treated as the segment taken from the same group.
3.3. Feature Extraction
3.4. Feature Optimization
3.5. Classification
4. Results
4.1. Performance Measures
4.2. Quantitative Study Related to Segmentation
4.3. Quantitative Study Related to Classification
4.4. Comparative Study
5. Discussion
6. Conclusions
Author Contributions
Funding
Institutional Review Board Statement
Informed Consent Statement
Data Availability Statement
Conflicts of Interest
References
- Zhao, J.; Ding, X.; Du, Y.; Wang, X.; Men, G. Functional connectivity between white matter and gray matter based on fMRI for Alzheimer’s disease classification. Brain Behav. 2019, 9, e01407. [Google Scholar] [CrossRef]
- Sarraf, S.; Sarraf, A.; DeSouza, D.D.; Anderson, J.A.E.; Kabia, M.; Alzheimer’s Disease Neuroimaging Initiative. OViTAD: Optimized vision transformer to predict various stages of Alzheimer’s disease using resting-state fMRI and structural MRI data. Brain Sci. 2023, 13, 260. [Google Scholar] [CrossRef]
- Li, W.; Wen, W.; Chen, X.; Ni, B.; Lin, X.; Fan, W.; Alzheimer’s Disease Neuroimaging Initiative. Functional evolving patterns of cortical networks in progression of alzheimer’s disease: A graph-based resting-state fmri study. Neural Plast. 2020, 2020, 7839536. [Google Scholar] [CrossRef]
- Raczek, M.; Cercignani, M.; Banerjee, S. Voxel-based morphometry and resting state fMRI as predictors of neuropsychiatric symptoms in Alzheimer’s disease: Neuropsychiatry and behavioral neurology/Neuropsychiatry. Alzheimer’s Dement. 2020, 16, e037776. [Google Scholar] [CrossRef]
- Li, Y.T.; Chang, C.Y.; Hsu, Y.C.; Fuh, J.L.; Kuo, W.J.; Yeh, J.N.T.; Lin, F.H. Impact of physiological noise in characterizing the functional MRI default-mode network in Alzheimer’s disease. J. Cereb. Blood Flow Metab. 2021, 41, 166–181. [Google Scholar] [CrossRef]
- Wolters, A.F.; van de Weijer, S.C.F.; Leentjens, A.F.G.; Duits, A.A.; Jacobs, H.I.L.; Kuijf, M.L. Resting-state fMRI in Parkinson’s disease patients with cognitive impairment: A meta-analysis. Park. Relat. Disord. 2019, 62, 16–27. [Google Scholar] [CrossRef]
- Hsieh, W.T.; Lefort-Besnard, J.; Yang, H.C.; Kuo, L.W.; Lee, C.C. Behavior score-embedded brain encoder network for improved classification of Alzheimer disease using resting state fMRI. In Proceedings of the 2020 42nd Annual International Conference of the IEEE Engineering in Medicine & Biology Society (EMBC), Montreal, QC, Canada, 20–24 July 2020; pp. 5486–5489. [Google Scholar]
- Wang, J.; Wu, X.; Li, M.; Wu, H.; Hancock, E.R. Microcanonical and canonical ensembles for fMRI brain networks in Alzheimer’s disease. Entropy 2021, 23, 216. [Google Scholar] [CrossRef]
- Thushara, A.; Amma, C.U.; John, A.; Saju, R. Multimodal MRI based classification and prediction of Alzheimer’s disease using random forest ensemble. In Proceedings of the 2020 Advanced Computing and Communication Technologies for High Performance Applications (ACCTHPA), Cochin, India, 2–4 July 2020; pp. 249–256. [Google Scholar]
- Lee, M.H.; Smyser, C.D.; Shimony, J.S. Resting-state fMRI: A review of methods and clinical applications. Am. J. Neuroradiol. 2013, 34, 1866–1872. [Google Scholar] [CrossRef]
- Mao, Z.; Su, Y.; Xu, G.; Wang, X.; Huang, Y.; Yue, W.; Sun, L.; Xiong, N. Spatio-temporal deep learning method for adhd fmri classification. Inf. Sci. 2019, 499, 1–11. [Google Scholar] [CrossRef]
- Kim, B.; Kim, H.; Kim, S.; Hwang, Y.R. A brief review of non-invasive brain imaging technologies and the near-infrared optical bioimaging. Appl. Microsc. 2021, 51, 9. [Google Scholar] [CrossRef]
- Ahmadi, H.; Fatemizadeh, E.; Motie-Nasrabadi, A. fMRI functional connectivity analysis via kernel graph in Alzheimer’s disease. Signal Image Video Process. 2021, 15, 715–723. [Google Scholar] [CrossRef]
- Sethi, M.; Ahuja, S.; Rani, S.; Koundal, D.; Zaguia, A.; Enbeyle, W. An exploration: Alzheimer’s disease classification based on convolutional neural network. BioMed Res. Int. 2022, 2022, 8739960. [Google Scholar] [CrossRef]
- Fang, Z.; Han, J.Y.; Simon, N.; Zhou, X.H. Modified sparse functional principal component analysis for fMRI data process. Biostat. Epidemiol. 2019, 3, 80–89. [Google Scholar] [CrossRef]
- Guo, H.; Zhang, Y. Resting state fMRI and improved deep learning algorithm for earlier detection of Alzheimer’s disease. IEEE Access 2020, 8, 115383–115392. [Google Scholar] [CrossRef]
- Li, W.; Lin, X.; Chen, X. Detecting Alzheimer’s disease Based on 4D fMRI: An exploration under deep learning framework. Neurocomputing 2020, 388, 280–287. [Google Scholar] [CrossRef]
- Alorf, A.; Khan, M.U.G. Multi-label classification of Alzheimer’s disease stages from resting-state fMRI-based correlation connectivity data and deep learning. Comput. Biol. Med. 2022, 151A, 106240. [Google Scholar] [CrossRef]
- Ramzan, F.; Khan, M.U.G.; Rehmat, A.; Iqbal, S.; Saba, T.; Rehman, A.; Mehmood, Z. A deep learning approach for automated diagnosis and multi-class classification of Alzheimer’s disease stages using resting-state fMRI and residual neural networks. J. Med. Syst. 2020, 44, 37. [Google Scholar] [CrossRef]
- Duc, N.T.; Ryu, S.; Qureshi, M.N.I.; Choi, M.; Lee, K.H.; Lee, B. 3D-deep learning based automatic diagnosis of Alzheimer’s disease with joint MMSE prediction using resting-state fMRI. Neuroinformatics 2020, 18, 71–86. [Google Scholar] [CrossRef]
- Sethuraman, S.K.; Malaiyappan, N.; Ramalingam, R.; Basheer, S.; Rashid, M.; Ahmad, N. Predicting Alzheimer’s Disease Using Deep Neuro-Functional Networks with Resting-State fMRI. Electronics 2023, 12, 1031. [Google Scholar] [CrossRef]
- Amini, M.; Pedram, M.M.; Moradi, A.; Ouchani, M. Diagnosis of Alzheimer’s disease severity with fMRI images using robust multitask feature extraction method and convolutional neural network (CNN). Comput. Math. Methods Med. 2021, 2021, 5514839. [Google Scholar] [CrossRef]
- Hojjati, S.H.; Ebrahimzadeh, A.; Babajani-Feremi, A. Identification of the early stage of Alzheimer’s disease using structural MRI and resting-state fMRI. Front. Neurol. 2019, 10, 904. [Google Scholar] [CrossRef] [PubMed]
- Sun, H.; Wang, A.; He, S. Temporal and Spatial Analysis of Alzheimer’s Disease Based on an Improved Convolutional Neural Network and a Resting-State FMRI Brain Functional Network. Int. J. Environ. Res. Public Health 2022, 19, 4508. [Google Scholar] [CrossRef] [PubMed]
- Sarraf, S.; Desouza, D.D.; Anderson, J.A.E.; Saverino, C. MCADNNet: Recognizing stages of cognitive impairment through efficient convolutional fMRI and MRI neural network topology models. IEEE Access 2019, 7, 155584–155600. [Google Scholar] [CrossRef] [PubMed]
- Janghel, R.R.; Rathore, Y.K. Deep convolution neural network based system for early diagnosis of Alzheimer’s disease. IRBM 2021, 42, 258–267. [Google Scholar] [CrossRef]
- Zhang, T.; Liao, Q.; Zhang, D.; Zhang, C.; Yan, J.; Ngetich, R.; Zhang, J.; Jin, Z.; Li, L. Predicting MCI to AD conversation using integrated sMRI and rs-fMRI: Machine learning and graph theory approach. Front. Aging Neurosci. 2021, 13, 688926. [Google Scholar] [CrossRef]
- Odusami, M.; Maskeliūnas, R.; Damaševičius, R.; Krilavičius, T. Analysis of features of alzheimer’s disease: Detection of early stage from functional brain changes in magnetic resonance images using a finetuned ResNet18 network. Diagnostics 2021, 11, 1071. [Google Scholar] [CrossRef]
- Shi, J.; Liu, B. Stage detection of mild cognitive impairment via fMRI using Hilbert Huang transform based classification framework. Med. Phys. 2020, 47, 2902–2915. [Google Scholar] [CrossRef]
- Anter, A.M.; Yichen, W.; Jiahui, S.; Yueming, Y.; Beiying, L.; Gaoxiong, D.; Wei, M.; Xiucheng, N.; Bihan, Y.; Chong, L.; et al. A robust swarm intelligence-based feature selection model for neuro-fuzzy recognition of mild cognitive impairment from resting-state fMRI. Inf. Sci. 2019, 503, 670–687. [Google Scholar] [CrossRef]
- Shamrat, F.M.J.M.; Akter, S.; Azam, S.; Karim, A.; Ghosh, P.; Tasnim, Z.; Hasib, K.M.; De Boer, F.; Ahmed, K. AlzheimerNet: An Effective Deep Learning Based Proposition for Alzheimer’s Disease Stages Classification From Functional Brain Changes in Magnetic Resonance Images. IEEE Access 2023, 11, 16376–16395. [Google Scholar] [CrossRef]
- Zhang, T.; Nie, B.; Liu, H.; Shan, B.; Alzheimer’s Disease Neuroimaging Initiative. Unified spatial normalization method of brain PET images using adaptive probabilistic brain atlas. Eur. J. Nucl. Med. Mol. Imaging 2022, 49, 3073–3085. [Google Scholar] [CrossRef]
- Tellez, D.; Litjens, G.; Bándi, P.; Bulten, W.; Bokhorst, J.M.; Ciompi, F.; van der Laak, J. Quantifying the effects of data augmentation and stain color normalization in convolutional neural networks for computational pathology. Med. Image Anal. 2019, 58, 101544. [Google Scholar] [CrossRef] [PubMed]
- Ng, T.C.; Choy, S.K.; Lam, S.Y.; Yu, K.W. Fuzzy Superpixel-based Image Segmentation. Pattern Recognit. 2023, 134, 109045. [Google Scholar] [CrossRef]
- Yadav, N.K.; Saraswat, M. A novel fuzzy clustering based method for image segmentation in RGB-D images. Eng. Appl. Artif. Intell. 2022, 111, 104709. [Google Scholar] [CrossRef]
- Li, F.; Xu, K. Optimal Gabor Kernel’s Scale and orientation selection for face classification. Opt. Laser Technol. 2007, 39, 852–857. [Google Scholar] [CrossRef]
- Deotale, N.T.; Sarode, T.K. Fabric defect detection adopting combined GLCM, Gabor wavelet features and random decision forest. 3D Res. 2019, 10, 5. [Google Scholar] [CrossRef]
- Hashim, F.A.; Houssein, E.H.; Hussain, K.; Mabrouk, M.S.; Al-Atabany, W. Honey Badger Algorithm: New metaheuristic algorithm for solving optimization problems. Math. Comput. Simul. 2022, 192, 84–110. [Google Scholar] [CrossRef]
- Almodfer, R.; Mudhsh, M.; Alshathri, S.; Abualigah, L.; Elaziz, M.A.; Shahzad, K.; Issa, M. Improving Parameter Estimation of Fuel Cell Using Honey Badger Optimization Algorithm. Front. Energy Res. 2022, 10, 875332. [Google Scholar] [CrossRef]
- Desai, M.; Shah, M. An anatomization on breast cancer detection and diagnosis employing multi-layer perceptron neural network (MLP) and Convolutional neural network (CNN). Clin. eHealth 2021, 4, 1–11. [Google Scholar] [CrossRef]
- Car, Z.; Šegota, S.B.; Anđelić, N.; Lorencin, I.; Mrzljak, V. Modeling the spread of COVID-19 infection using a multilayer perceptron. Comput. Math. Methods Med. 2020, 2020, 5714714. [Google Scholar] [CrossRef]








| Properties | Description |
|---|---|
| Format | Digital imaging and communications in medicine |
| Slice thickness | 3.31 |
| Pixel spacing | 3.31 |
| Slices | 6720 |
| Height, width | 64, 64 |
| Flip angle | 80° |
| Field strength | 3.0 |
| Acquisition scanner | Philips medical systems |
| Echo-planar imaging | 140 images per volume |
| Classes | Subjects | Mean Age |
|---|---|---|
| AD | 25 | 74.69 |
| NC | 25 | 75.09 |
| MCI | 13 | 75 |
| EMCI | 25 | 71.87 |
| LMCI | 25 | 72.27 |
| SMC | 25 | 72.51 |
| Total | 138 | - |
| Segmentation Methods | DSC (%) | JC (%) | HD (%) |
|---|---|---|---|
| Otsu thresholding | 67.80 | 74.55 | 70.90 |
| Watershed | 72.33 | 80.90 | 72.39 |
| Super-pixel clustering | 80.12 | 86.53 | 78.90 |
| SAS | 88.90 | 90.82 | 88.43 |
| Without Performing Optimization | ||||
|---|---|---|---|---|
| Classifiers | F1-Measure (%) | Precision (%) | Recall (%) | Accuracy (%) |
| Random forest | 81.23 | 79.28 | 81.18 | 77.90 |
| XGBoost | 83.39 | 81.26 | 84.30 | 79.45 |
| Decision tree | 87.59 | 83.86 | 87.28 | 81.28 |
| SVM | 88.99 | 88.33 | 89.26 | 84.38 |
| MLP | 90.16 | 90.20 | 91.90 | 86.50 |
| With HBOA | ||||
| Classifiers | F1-Measure (%) | Precision (%) | Recall (%) | Accuracy (%) |
| Random forest | 90.40 | 88.34 | 90.38 | 92.20 |
| XGBoost | 93.30 | 90.98 | 91.42 | 93.82 |
| Decision tree | 95.58 | 93.26 | 93.24 | 94.20 |
| SVM | 98.68 | 98.70 | 95.78 | 96.78 |
| MLP | 99.55 | 99.28 | 99.55 | 99.44 |
| Optimization Algorithm | F1-Measure (%) | Precision (%) | Recall (%) | Accuracy (%) |
|---|---|---|---|---|
| GA | 92.38 | 93.36 | 90.93 | 90.59 |
| DA | 94.26 | 94.56 | 92.36 | 94.43 |
| WOA | 95.45 | 94.94 | 94.87 | 95.95 |
| SSA | 96.67 | 95.65 | 96.38 | 98.45 |
| HBOA | 99.55 | 99.28 | 99.55 | 99.44 |
| Models | Mean Classification Accuracy (%) |
|---|---|
| HBOA-MLP | 97.84 |
| DRNN [19] | 99.44 |
Disclaimer/Publisher’s Note: The statements, opinions and data contained in all publications are solely those of the individual author(s) and contributor(s) and not of MDPI and/or the editor(s). MDPI and/or the editor(s) disclaim responsibility for any injury to people or property resulting from any ideas, methods, instructions or products referred to in the content. |
© 2023 by the authors. Licensee MDPI, Basel, Switzerland. This article is an open access article distributed under the terms and conditions of the Creative Commons Attribution (CC BY) license (https://creativecommons.org/licenses/by/4.0/).
Share and Cite
Chelladurai, A.; Narayan, D.L.; Divakarachari, P.B.; Loganathan, U. fMRI-Based Alzheimer’s Disease Detection Using the SAS Method with Multi-Layer Perceptron Network. Brain Sci. 2023, 13, 893. https://doi.org/10.3390/brainsci13060893
Chelladurai A, Narayan DL, Divakarachari PB, Loganathan U. fMRI-Based Alzheimer’s Disease Detection Using the SAS Method with Multi-Layer Perceptron Network. Brain Sciences. 2023; 13(6):893. https://doi.org/10.3390/brainsci13060893
Chicago/Turabian StyleChelladurai, Aarthi, Dayanand Lal Narayan, Parameshachari Bidare Divakarachari, and Umasankar Loganathan. 2023. "fMRI-Based Alzheimer’s Disease Detection Using the SAS Method with Multi-Layer Perceptron Network" Brain Sciences 13, no. 6: 893. https://doi.org/10.3390/brainsci13060893
APA StyleChelladurai, A., Narayan, D. L., Divakarachari, P. B., & Loganathan, U. (2023). fMRI-Based Alzheimer’s Disease Detection Using the SAS Method with Multi-Layer Perceptron Network. Brain Sciences, 13(6), 893. https://doi.org/10.3390/brainsci13060893

