Next Article in Journal
The Application of Intelligent Data Models for Dementia Classification
Previous Article in Journal
Atmospheric Density Inversion Based on Swarm-C Satellite Accelerometer
 
 
Font Type:
Arial Georgia Verdana
Font Size:
Aa Aa Aa
Line Spacing:
Column Width:
Background:
Case Report

Prophylactic Coronoidectomy Approach during Stable Bone Osteosynthesis after Major Cranio-Facial Injury in the Temporal Region with Muscle Contusion—Should It Be Used?

by
Kamil Nelke
1,*,
Krzysztof Bujak
1,
Wojciech Szczepański
1,
Marceli Łukaszewski
2,
Maciej Janeczek
3,
Edyta Pasicka
3,*,
Tomasz Blicharski
4,
Monika Morawska-Kochman
5 and
Maciej Dobrzyński
6
1
Maxillo-Facial Surgery Ward, Sokołowski Hospital, Sokołowskiego 4, 58-309 Wałbrzych, Poland
2
Department of Anaesthesiology and Intensive Care, Sokołowski Hospital, Sokołowskiego 4, 58-309 Wałbrzych, Poland
3
Department of Biostructure and Animal Physiology, Wrocław University of Environmental and Life Sciences, Kożuchowska 1, 51-631 Wrocław, Poland
4
Department of Rehabilitation and Orthopedics, Medical University of Lublin, Jaczewskiego 8, 20-954 Lublin, Poland
5
Department of Head and Neck Surgery, Otolaryngology Medical University, Wrocław Borowska 213, 50-556 Wrocław, Poland
6
Department of Pediatric Dentistry and Preclinical Dentistry, Wrocław Medical University, Krakowska 26, 50-425 Wrocław, Poland
*
Authors to whom correspondence should be addressed.
Appl. Sci. 2023, 13(6), 3611; https://doi.org/10.3390/app13063611
Submission received: 27 November 2022 / Revised: 10 December 2022 / Accepted: 9 March 2023 / Published: 11 March 2023
(This article belongs to the Section Materials Science and Engineering)

Abstract

The coronoidectomy approach is a known but still quite underestimated procedure focused on the removal of the coronoid process of the mandible. Most cases related to outer-joint-related factors causing limited mouth opening (LMO) might be related to a great variety of factors. Quite often, patients suffer a lot from the inability to fully open their mouths. During this time, they are scheduled for limitless conservative, pharmacological, and diagnostic steps to estimate the cause of LMO and increase patients’ mouth opening. In those cases, a diagnostic coronoidectomy might be useful to estimate the potential cause of such a problem. On the other hand, a prophylactic coronoidectomy is still quite randomly described in the world literature and mostly selected for a limited number of special cases. Herein, we would like to present a special issue of the major trauma in the temporal bone, middle cranial fossa, and zygomatico-malar area that resulted in temporal muscle contusion, scarring, and later contraction. A hemicoronal approach was performed to stabilize the fractures of the left zygomatico-orbital area with titanium osteosynthesis plates and screws. Over time, the LMO increased. All temporomandibular joint (TMJ)-related pathologies have been excluded. In the second week, the post-op patient was only able to open his mouth at 12 mm. Temporal muscle injury over time caused major contractions, greatly influencing LMO. The following paper describes the influence of temporal muscle trauma on limited mouth opening and indications for simultaneously performing coronoidectomy during stable bone osteosynthesis.

1. Introduction

Most fractures in the facial skeleton that are displaced often qualify for stable osteosynthesis in order to restore their anatomical position. The proper bone adjacency with the rest of the facial bones ensures their accurate function and morphology and improves both the esthetical and anatomical proportions of the face. In some cases of fractures without displacement and no esthetical, morphological, or functional loss, a conservative treatment can be used. Sometimes, when a fracture of the zygomatico-malar complex is misplaced, a potential conflict with the coronoid process of the mandible might cause a blockage and decreased mouth opening. Reducing this fracture, sometimes followed by the removal of the coronoid process when it is also fractured, displaced, or blocked by the zygomatic bone, helps improve the mouth opening. In other cases related to decreased mouth opening, various etiological factors, such as the removal of the coronoid process of the mandible, namely a coronoidectomy, are helpful in improving mouth opening [1,2,3].
Coronoidectomy is a procedure where the bone attachment of the coronoid process of the mandible is cut and removed along with part of the inferior temporal muscle tendon [1]. Coronoidotomy, on the other hand, is a procedure where the base attachment to the muscle is cut along with the bone piece and then is left in place intact. Those cut fragments might tend to reattach in time or cause some obstructions, especially when the cut part of the coronoid process attaches closely to the zygomatic arch [2]. Both procedures are performed under general anesthesia via a transoral approach and have a great overall success rate [3,4].
A small number of cases describing the prophylactic coronoidectomy approach are known [1,2,3,4,5]. Secondly, most authors focus basically on the stable bone osteosynthesis in the fractured areas and do not perform a simultaneous coronoidectomy, simply because there is no need for such an approach. The authors would like to point out that in the presented case, the secondary surgery was only scheduled because of the increasing LMO due to the temporal bone and muscle injury (Figure 1 and Figure 2). The necessity for secondary surgery could be easily avoided when, during the first surgical approach, a prophylactic coronoidectomy had been used during the primary stable bone osteosynthesis (Figure 1 and Figure 2).
The inability to fully open the mouth might be troublesome. Cases of pseudo-ankylosis without any direct temporomandibular joint (TMJ)-related factors might suggest some outer-joint etiology for this important matter. A true coronoid process characterized by hyperplasia and/or elongation is the main indication for both diagnostic and curative approaches in a coronoidectomy procedure. This hyperplasia and/or elongation is also understood by some authors as a false(pseudo)-ankylosis [3]. Cases of decreased mouth opening greatly influence chewing, eating, swallowing, breathing, and speaking and are dangerous for patients because of difficult airway problems and intubation difficulties, especially in emergency surgeries [1,2,3]. The problem of LMO might arise in time. Especially if the inability to fully open the mouth increases, in some cases even endoscopically assisted intubation, a bronchoscope, or other resources are not suitable to ensure good patient intubation and might end in a tracheostomy.
The mandible itself has two pairs of coronoid and condylar processes, along with the alveolar arch. The coronoid process is the main attachment to the temporal muscle. Its tendon is inserted into a narrow site of the coronoid process, and furthermore, it might even have a few fibers that might insert in different parts of the coronoid process, as reported by Yu et al. [4]. The condylar process with its condyle head is responsible for the TMJ anatomy and mandibular movements [4,5].
Temporal muscle consists of the superficial and deep layers, which are divided by a fat layer. It feels like the temporal fossa has fan-shaped diameters. It is superiorly placed from the zygomatic arch and passes medially to the arch and forms a tendon that attaches to the coronoid process of the mandible, then follows down almost until the retromolar fossa in the mandible, straight deep and close to the wisdom teeth area in the distal part of the alveolar arch in the mandible. The fibers of the muscle can be divided into an anterior part with vertical fibers responsible for muscle elevation and mouth closure. The second part is the posterior compartment with horizontal fibers, which is responsible for mandible retrusion. Part of the middle portion runs obliquely towards the inferior and anterior parts of the mandible and promotes both elevation and retraction of the mandible [6,7]. Possible scarring and contractures of the temporal muscle are troublesome, and when mechanotherapy and local approaches are not sufficient, then surgical intervention should be considered.
The normal range of a proper mouth opening varies from about 35–45 mm. A lot of factors influence proper mouth opening. LMO (limited mouth opening) is different than trismus and is caused mostly by inflammatory factors (odontogenic, abscess formation, or others). Trauma in the TMJ area or their close proximity also increases possible joint- or extra-joint-related pathologies that influence LMO (Figure 1 and Figure 2). Computed tomography remains the most efficient and adequate diagnostic method to estimate the bone position, potential bone fragmentation, or zygomatic-mandibular conflict (Table 1). In some cases, fractures of the condylar process and/or the head can also contribute to limited mouth opening. The elongated coronoid process in Jacobs syndrome is the most common cause of extra-joint-related LMO when the enlarged and elongated coronoid process is blocked by the zygomatic bone [1,2,3,4,5,6,7,8,9,10,11,12,13,14].
The aim of this study is to present a case of a massive temporal bone with zygomatic-orbital area fractures and temporal muscle injury and contusion, which progressed in time towards muscle contracture and decreased patients’ ability to fully open their mouths. Because of that, a proposal for an early prophylactic-based coronoidectomy in trauma cases with simultaneous open reduction and stable osteosynthesis will be presented.

2. Case Report Presentation

A 36 year-old male suffered from a blunt craniofacial trauma on the left temporal region caused by a baseball bat beating. The patient was admitted to the emergency department and then to the Ward of Maxillo-Facial Surgery. Because of the excessive fractures of the temporal bone along with the skull base and middle cranial fossa, the patient required intense monitoring (Figure 1, Figure 2, Figure 3, Figure 4, Figure 5 and Figure 6). Neurological status was fine; no CSF leak was present. No neurosurgical intervention to lift the displaced bone was used because of the close proximity of the meningeal artery in the fractured temporal bone region, which might cause serious, life-threatening bleeding. Secondly, the displacement was slightly less than 5 mm in total and symptomless. Detailed trauma-CT scans and 3D visualization revealed a fracture of the cranial base, along with the middle cranial fossa vault, cranial displacement of some part of the left frontal bone, and a fracture of the left zygomatic-orbital complex (Figure 7, Figure 8, Figure 9 and Figure 10).
After regression of periorbital and temporal swelling, the patient was scheduled for an open reduction and stable osteosynthesis of the fractured bones via a hemicoronal approach under general anesthesia and orotracheal intubation. The patient’s head was shaved. Surgical field preparation included skin scrubbing with alcohol–ethanol 96% solution-AHD 1000 solution (MediLab, Lysoform, Wuerzburg, Germany). Sterile draping covers the area from the base of the nose, inferiorly to the inferior border of both eye sockets, behind both ear lobes, and then towards the external occipital eminence to ensure good visibility in the operating area.
The main surgical aspect was focused on the massive fracture of the left zygomatic-orbital complex. Before the reduction of the complex fracture, the mouth opening was 40 mm. Local injection of a mixed 0.25% solution consisting of lignocaine with norepinephrine 2% (ampoule, 2 mL, Polfa-Warszawa, Poland) with a mixture of Natrium Chlorate 0.9% (Natrium Chloratum 0.9% Fresenius KabiClear, Bad Homburg vor der Höhe, Germany) was used. Under general anesthesia, a hemicoronal approach (the modified Sutar approach [14]) was used with the No. 10 Blade (Swann Morton, WR Swann, Owlerton Grn, Hillsborough, Sheffield, UK). The incision was 2 cm posterior from the hair line and was placed through the skin, subcutaneous tissue, and underlying layer to the loose aponeurotic layer. Electrocautery was avoided for the initial incision to avoid damaging the hair follicles. After raising galeal flaps, Raney clips were used to control bleeding on the flap margins (B Braun, Aesculap AG, Am Aesculap-Platz, Tuttlingen, Germany [15]). Careful anatomical preparation, layer by layer, enabled the division of the superficial fascia of the temporal muscle, identified the temporal branch of the facial nerve, and then continued the dissection under the nerve branch in the deeper fascia. The temporoparietal fascia was retracted inferiorly, and the zygomatic arch was exposed. After releasing the periosteum flap, the superior orbital margin, along with the entire zygomatic body and arch, was exposed; however, the exploration was directed more inferiorly based on the lateral surface of the lateral left orbital wall of the eye socket. Further subperiosteal elevation helped in exploring the eye socket, especially the fractured lateral wall. Anatomical repositioning was secured by lifting and co-traction of the bones. Stable bone osteosynthesis was ensured by the usage of the Titanium Mini plates system by Medartis 1.5 Midface/Cranium Titanium plates and screws (Medartis, Basel, Switzerland). Two plates were bent and curved to the shape of the superior-lateral border of the eye socket and from the zygomatic body to the arch to slightly elevate displaced fragments. A single X-plate ensured the integrity of the zygomatic bone body. After ensuring proper alignment of bone fragments, a secondary evaluation of the eye socket was performed in order to avoid any bone malposition (Figure 11, Figure 12 and Figure 13). The traction test was correct, and the position of zygomatic-malar complex was symmetrical to the opposite, right healthy side. There was no necessity for an intraoral approach for the zygomatic-alveolar buttress. Furthermore, there is no bone conflict between the mandibular coronoid process and the zygomatic bone. The malar area was present. The usage of a “magic-plate” in the socket was not necessary [16]. A large pericranial suction Redon drain was placed, and the wound closed in two layers. The surgical layers were sutured with 4-0 Vicryl single sutures (Ethicon, Johnson & Johnson Medical N.V., Machelen, Belgium), and the skin was sutured with 3-0 interrupted vertical mattress sutures (Dafilon, B. Braun, Aesculap AG, Am Aesculap-Platz, Tuttlingen, Germany). An external pressure dressing was given, which helps to prevent hematoma, and was sutured with 1-0 Silc sutures (B Braun, Aesculap AG, Am Aesculap-Platz, Tuttlingen, Germany). The surgery was uneventful, and standard antibiotics and anti-inflammatory drugs, along with increased mechanotherapy, were administered. Mechanotherapy consisted of manual treatment by the patients 3–5× times a day for 15 min and the use of medical spatulas. Control CT evaluation revealed good final surgical outcomes and proper bone alignment (Figure 13, Figure 14 and Figure 15).
Despite early mechanotherapy (5/day–15 min), starting from the first day after surgery and continuing for more than 2 weeks, patients’ ability to open their mouths more widely was decreasing over time. The LMO etiology was supposedly related to the scarring and contraction of the injured temporal muscle. Despite the patient’s intense efforts on mechanotherapy, LMO increased over time. Before the decision for secondary surgery, a control CT evaluated proper bone fragment alignment after its repositioning and anatomical stabilization with plates; however, mouth opening was evaluated only at approximately 12–15 mm (Figure 16, Figure 17 and Figure 18). An MRI (magnetic resonance imaging) was not scheduled since no TMJ detailed injury, condyle head, or condylar process fracture was present, no disc luxation was present during the examination, and the patient was symptomless. MRI studies might indicate swelling, scarring, or structural anomalies within the temporalis muscle, which might further confirm the necessity for a coronoidectomy. A diagnostic one-sided intraoral coronoidectomy was scheduled on the left coronoid process. Due to LMO, orotracheal intubation was performed with an endoscope. The next step consisted of the first injection of 10 mL of local injection of a mixed 0.25% solution consisting of lignocaine with norepinephrine 2% (ampoule, 2 mL, Polfa-Warszawa, Poland) with a mixture of Natrium Chlorate 0.9% (Natrium Chloratum 0.9% Fresenius KabiClear, Bad Homburg vor der Höhe, Germany) infiltrated into the submucosa anteriorly in the buccal vestibule and along the left ascending ramus of the mandible. With the usage of blade 15c (Swann Morton, WR Swann, Owlerton Grn, Hillsborough, Sheffield, UK), an incision was placed beyond the lateral aspect of the mucosa in the left ascending ramus of the mandible, with a 5 mm margin of tissues towards the mental foramen. After the elevation of mucosal flaps, the external oblique ridge was exposed along with adjacent mucosa overlying the anterior border of the ramus. With Obwegeser periosteal elevators (Obwegeser 38-630-06-07-38-630-11-07, 17.5 cm/6 7/8″, KLS Martin, Tuttlingen, Germany) and Obwegeser soft tissue retractors (Obwegeser 38-603-40-07, KLS Martin, Tuttlingen, Germany), visibility is improved on the lower attachment of the lower tendon of the temporalis muscle. The muscle was cut, divided, and elevated superiorly to gain more visibility towards the base of the coronoid process. After gaining good visualization, Obwegeser raspators were situated posteriorly from the coronoid base in the mandibular notch, and the process was cut with the Lindemann Bone Burr (165RF.HP.023, Jota AG, Rüth, Switzerland). Bone-holding forceps (Jeter-Van Sickels 38-718-01-07, KLS Martin, Tuttlingen, Germany) ensured that the cut-off coronoid process was not pulled upwards by the muscle tendon but was completely removed, which enabled a good final result. Surgical layers were sutured with 4-0 Vicryl single sutures (Ethicon, Johnson & Johnson Medical N.V., Machelen, Belgium). After the procedure, the patient’s mouth opening improved. After further examination and additional mechanotherapy, LMO is not reoccurring (Figure 19).
According to the authors in the following case, the contusion and contracture of the temporal muscle after craniofacial trauma resulted in severely limited mouth opening in time and should be combined with prophylactic coronoidectomy if this scope of injury occurs. Thanks to one surgical approach which focused on stable osteosynthesis and a prophylactic approach to avoid LMO, the patient is not scheduled for unnecessary secondary surgery, namely a coronoidectomy. If a similar case occurs in the future, the authors strongly advise considering a prophylactic coronoidectomy on the affected side. Furthermore, if the LMO case is severe in time, the intubation might be challenging and potentially dangerous for patients or even end in a temporary performed tracheostomy to ensure the airway’s safety.
Clinical consideration for prophylactic coronoidectomy should include the following: (1) major trauma in the temporal region; (2) high risk of temporal muscle injury, contusion, and scarring; (3) patient scheduled for a primary procedure under general anesthesia to perform stable bone osteosynthesis; (4) occurrence of zygomatico-malar fractures with/or without the involvement of the coronoid process of the mandible; (5) patients with decreased neurological status who might be unconscious for some period of time and when early patient-based mechanotherapy is impossible; (6) patients who are uncooperative or not complying to establish early mechanotherapy; (7) patients after neurosurgical interventions, hematoma evacuations, or after emergency craniotomies; (8) co-existence of frontal bone/sinus fractures or direct trauma to the TMJ area; and (9) simultaneously performed neurosurgical intervention with facial bone stabilization osteosynthesis performed by maxillofacial surgeons.
Additionally, some serious questions arise about possible rapid forced jaw opening under general anesthesia to overcome the forces of possible muscle scarring and contraction. When CT does not reveal any zygomatico-malar complex collision with the coronoid process of the mandible, this forced opening test is necessary for further evaluation of LMO. This might be helpful when the bones after the fracture are properly aligned and stable, to further evaluate that even after major forced mechanotherapy the result of mouth opening cannot be better. Despite the additional force, the LMO does not seem to ease, which is an indication of a coronoidectomy.

3. Discussion

The temporal muscle is placed in the temporal fossa, and its inferior border is attached to the coronoid process of the mandible. In case of any inflammation, trauma, oncological treatment/radiotherapy, or other factors resulting in the temporal muscle, LMO can occur. Some studies indicate that this strong muscle is highly affected by any trauma, near-proximity surgery, or other factors relating to swelling or scarring of muscle tissue. LMO occurring at the time of trauma or present after some time from injury is always troublesome in management. Mostly intensive mechanotherapy with physiotherapy is enough. In cases without any progress, an intraorally performed coronoidectomy is a procedure of choice to help with muscle contracture [4,5,6,7,8,15].
The indications for coronoidectomy are cases related to LMO. There are a lot of cases and indications, some of which remain discussable but most of which include: (1) oral submucous fibrosis—ORMF (stages III–IV) [1]; (2) TMJ ankylosis treatment; (3) mandibular hypomobility cases; (4) temporalis muscle spasms [1,2]; (5) hyperplastic ipsilateral or contralateral coronoid process hyperplasia or elongated coronoid process syndrome (or its hyperplasia)—Jacobs disease, Langenbeck syndrome (6) post-radiation therapy, RTH; (7) zygomatic bone/coronoid process fractures with bone blockage of the fractured parts; (8) infections and inflammations with progression in time with LMO; (9) coronoid process along with muscle attachment is used for reconstruction purposes of surrounding tissues; (10) temporal muscle trauma and contraction; (11) no accurate mechanotherapy in time during mandibular/temporal bone trauma; (12) abnormal zygomatico-mandibular anatomy conflict; (13) muscle tendon stiffness, ex Isaacs’ syndrome; (14) tendon-muscle syndrome conflict of the temporal muscle; (15) iatrogenic scarring of the temporal muscle due to neurosurgical craniotomy (coronal approach/pterional neurosurgical approach), tumor resection, or other surgical interventions in the temporal fossa; (16) Hecht syndrome—autosomal dominant bilateral hyperplasia of coronoid process in infants; and (17) mandibular coronoid process hyperplasia (MCPH), a congenital or developmental temporo-mandibular joint disorder; and others [1,2,3,4,5,6,7,8,9,10,11,12].
In cases of TMJ surgery, a coronoidectomy should be performed to increase mouth opening. Some authors try to save the coronoid process and temporal muscle attachment during TMJ total joint replacement in order to stabilize the joint and minimize anterior mandibular rotation movements; however, this approach is surgeon- and case-related [12,13].
LMO, when not treated properly in time, might lead to decreased mouth opening, which might be troublesome in time for the patient. If in time patient LMO cases are considered for a coronoidectomy approach, intubation of such patients can be troublesome. The way of handling the difficult airways depends on the scope of LMO and the patients’ anatomy of the oral cavity, especially co-existing factors like skeletal malocclusion, narrowing of the midways, and its detailed anatomy [8,9,10,11,12,15,16].
Trauma and inflammatory cases are quite common; however, only a limited amount of them require a surgical approach since most of them are successfully treated with improved mechanotherapy and anti-inflammatory drugs [8,9]. Some authors also advise, especially in oncological cases, to put a nasogastric tube for better dietary purposes; however, a great variety of LMO patients are suitable enough to chew and bite, albeit in a decreased amount [4,5,6,7,8,9,10]. Based on the following, the scope of coronoidectomies should not only include problems with mouth opening but also biting and chewing, which are also quite important [17,18,19,20,21,22]. A special concern is found in oncological patients with stable oncological status when post-radiotherapy (PORTH) might cause LMO. In those special groups of patients, when their oncological status remains clear and prognostic enough (if R0 (radical surgical margins after surgery) and/or after a blind biopsy), the aim of surgically assisted wider mouth opening will not only enable a good diet but also improve good oral hygiene, local oncological screening, full dental treatment of the remaining dentition, and restore a safe way for intubation if such was necessary in the future [17,18,19,20,21,22].
Iatrogenic causes of LMO are strictly related to neurosurgical interventions and rarely otologic surgery. According to Porter et al., LMO is related to a fibrous contracture in the temporalis muscle; however, immediate instigation of prophylactic jaw exercises and forced opening are quite enough to ensure adequate mouth opening [22]. On the other hand, Hollins et al. suggest that mandibular hypomobility after intracranial procedures is more frequent after temporal bone-attached craniotomy, which results in muscle fibrosis and pseudoankylosis of the temporomandibular joint [23]. Those cases should be differentiated from two other more common and characteristic cases of LMO, namely coronoid hyperplasia or muscle tendon-aponeurosis hyperplasia [24,25]. The same topic concerns injuries in the temporal region. This should not only concern the TMJ structures, bone alignment, or temporal muscle, but also of great importance are: (1) the status of the middle ear and tympanic membrane (no perforation, ossicular injury); (2) proper hearing (lack of injury to the labyrinth, internal auditory canal, brainstem/nerve root entry zone injury, pneumolabyrinth); (3) the occurrence of vertigo; (4) the perilymphatic fistula described as unexpected middle ear fluid related with the fractures; (5) otorrhea (CFS leak); and (6) facial nerve weakness related with the fracture line in the facial nerve bone canal [21,22,23,24,25].
The conflict between the mandibular coronoid process and zygomatic bone does not seem to have a clear etiology so far; however, a lot of possible factors are taken into consideration, such as trauma, temporalis muscle hyperactivity, hormonal stimulus, genetic inheritance, iatrogenic factors, endocrine pathology, habitual/para-dysfunctional status, or others. The coronoid process might manifest as its excessive growth or its elongation, which the situation might cause to impinge on the zygomatic processes. It is worth remembering that the temporal muscles can also have hyperplasia or atrophy. Nevertheless, muscle tendon-aponeurosis hyperplasia is a new disease related to contracture of the masticatory muscles, resulting from hyperplasia of tendons and aponeuroses, whose etiology is also under further evaluation [3,6,17,18,19,20]. All intra- and extra-joint factor differential diagnostics and detailed diagnostics, including head and face CT, followed by neurological and neurosurgical consultation, should be made. When confirming LMO after temporal trauma, a few steps can be taken. Intensive mechanotherapy and physiotherapy. When none is sufficient, a one-sided coronoidectomy procedure should be performed to improve mouth opening [1,2,3,4,5,23].
Since no adequate studies are known, the authors hypothesize that after each severe trauma in the temporal region, including contusion of the temporal muscle, an additional prophylactic coronoidectomy should be performed simultaneously with anatomical stabilization of the fractured facial bones. Similar factors should include deep open injury in the temporal region, which might increase muscle fiber scarring and later contracture [5,6,7,8,9]. In trauma cases, it is worth remembering that when performing a simultaneous coronoidectomy from the intraoral approach, it is also quite useful to lift the zygomatic bone or arch to the proper position and stabilize them from the intraoral approach if necessary [7,11,12,13]. This double zygomatic bone/arch technique is limited to some special cases and mostly to surgeon preferences. Nevertheless, when performing stable bone osteosynthesis, the plate should be passively situated onto the bone, with correspondence to the bone tension and compression lines. Secondly, each plate should be carefully placed on the corresponding side to ensure its stable bone adjacency, namely its alignment to cortical layers. In some studies, like the Lascano et al. study on porosity, it is important to establish which plating system—titanium plating systems—ensures the best porous titanium with stiffness values similar to those exhibited by cortical bone [26]. On the other hand, Liang et al.’s studies correspond with the author’s knowledge of bone biomechanics and used plating systems and their mechanical resistance related to the Ti (titanium) alloy used for better bone stabilization [27].
Because of fractures in the temporal bone, a contusion and scarring that led to a contracture in the left temporal muscle can be identified as the main reason for LMO. MRI studies might be an additional approach to estimating the shape, structure, and function of the temporalis muscle. The literature on prophylactic coronoidectomy with or without simultaneously performing fracture stabilization is limited. Therefore, the authors emphasize that a severe temporal bone fracture should be associated with a simultaneously performed prophylactic coronoidectomy procedure during stable bone osteosynthesis. Another possibility includes a wait-and-see approach to estimate if there is any indication for this approach or if LMO will self-improve in time during mechanotherapy. As for now, it is hard to describe any indications for a combined approach; therefore, it should be individually chosen for one special trauma case.

4. Conclusions

The main aim of coronoidectomy and LMO treatment is to achieve increased mouth opening without any blockade. Severe trauma to the temporal muscle with its scarring and contracture might result in decreased mouth opening over time. Indications for early coronoidectomy are discussed because of cases of sufficient mechanotherapy which is enough to achieve proper mouth opening. Each case of massive temporal region fractures with temporal muscle contusions should be individually evaluated. Major trauma in the temporal area should be an indication for a prophylactic coronoidectomy during simultaneously performed open reduction and internal fixation of the rest of the scope of craniofacial fractures. When the fractures do not require stable bone osteosynthesis, then careful patient monitoring and screening for any cases of LMO should immediately increase the use of prophylactic coronoidectomy.

Author Contributions

Conceptualization, K.N. and M.Ł.; methodology, K.N. and E.P.; software, M.J.; validation, K.N., E.P. and M.Ł.; formal analysis, K.N., M.M.-K., K.B. and W.S.; investigation, K.N.; resources, M.D., W.S. and K.B.; data curation, M.J. and M.D.; writing—original draft preparation, K.N. and W.S.; writing—review and editing, W.S., K.B. and M.M.-K., visualization, K.N. and W.S., supervision, M.D. and M.Ł.; project administration, M.J., M.D., E.P. and T.B.; funding acquisition, M.J., M.D., M.Ł. and T.B. All authors have read and agreed to the published version of the manuscript.

Funding

This work was financed by a subsidy from Wroclaw Medical University, number SUBZ.B180.23.054.

Institutional Review Board Statement

The study was conducted in accordance with the Declaration of Helsinki and the approval for study No. 5/BNR/2022.

Informed Consent Statement

This manuscript is a case report in which the patient cannot be identified, and therefore the requirement for obtaining informed consent from the patient was waived. Both patients’ approval for surgery and consent for any other educational purposes were granted. All other necessary approvals and acceptances were granted.

Data Availability Statement

Availability of supporting data—the datasets used and/or analyzed during the current study are available from the corresponding author on reasonable request.

Conflicts of Interest

The authors declare no conflict of interest.

References

  1. Gupta, H.; Tandon, P.; Kumar, D.; Sinha, V.P.; Gupta, S.; Mehra, H.; Singh, J. Role of coronoidectomy in increasing mouth opening. Natl. J. Maxillofac. Surg. 2014, 5, 23–30. [Google Scholar] [CrossRef] [PubMed]
  2. Mohanty, S.; Kohli, S.; Dabas, J.; Kumar, R.D.; Bodh, R.; Yadav, S. Fate of the coronoid process after coronoidotomy and its effect on the interincisal opening: A clinical and radiologic assessment. J. Oral Maxillofac. Surg. 2017, 75, 1263–1273. [Google Scholar] [CrossRef]
  3. Tavassol, F.; Spalthoff, S.; Essig, H.; Bredt, M.; Gellrich, N.C.; Kokemüller, H. Elongated coronoid process: CT-based quantitative analysis of the coronoid process and review of literature. Int. J. Oral Maxillofac. Surg. 2012, 41, 331–338. [Google Scholar] [CrossRef]
  4. Yu, S.K.; Kim, T.H.; Yang, K.Y.; Bae, C.J.; Kim, H.J. Morphology of the temporalis muscle focusing on the tendinous attachment onto the coronoid process. Anat. Cell Biol. 2021, 54, 308–314. [Google Scholar] [CrossRef]
  5. d’Apuzzo, F.; Minervini, G.; Grassia, V.; Rotolo, R.P.; Perillo, L.; Nucci, L. Mandibular coronoid process hypertrophy: Diagnosis and 20-year follow-up with CBCT, MRI and EMG evaluations. Appl. Sci. 2021, 11, 4504. [Google Scholar] [CrossRef]
  6. Sedlmayr, J.C.; Kirsch, C.F.; Wisco, J.J. The human temporalis muscle: Superficial, deep, and zygomatic parts comprise one structural unit. Clin. Anat. 2009, 22, 655–664. [Google Scholar] [CrossRef]
  7. van Eijden, T.M.; Koolstra, J.H.; Brugman, P. Three-dimensional structure of the human temporalis muscle. Anat. Rec. 1996, 246, 565–572. [Google Scholar] [CrossRef]
  8. Gupta, S.K.; Rana, A.S.; Gupta, D.; Jain, G.; Kalra, P. Unusual causes of reduced mouth opening and it’s suitable surgical management: Our experience. Natl. J. Maxillofac. Surg. 2010, 1, 86–90. [Google Scholar] [CrossRef] [PubMed]
  9. Liu, Y.W.; Regmi, K.P.; Ding, M.C.; Li, Y.; Tian, L.; Cai, B.L. Mandibular coronoidectomy could significantly accelerate the healing process of infratemporal fossa abscess. J. Oral Maxillofac. Surg. 2018, 76, 534–544. [Google Scholar] [CrossRef]
  10. Capote, A.; Rodríguez, F.J.; Blasco, A.; Muñoz, M.F. Jacob’s disease associated with temporomandibular joint dysfunction: A case report. Med. Oral Patol. Oral Cir. Bucal. 2005, 10, 210–214. [Google Scholar] [PubMed]
  11. Costa, Y.M.; Porporatti, A.L.; Stuginski-Barbosa, J.; Cassano, D.S.; Bonjardim, L.R.; Conti, P.C. Coronoid process hyperplasia: An unusual cause of mandibular hypomobility. Braz. Dent. J. 2012, 23, 252–255. [Google Scholar] [CrossRef] [PubMed]
  12. Gagé, J.; Gallucci, A.; Stroumsa, R.; Foletti, J.M.; Guyot, L.; Chossegros, C. Coronoïdectomie intra-orale: Note technique [Transoral coronoidectomy: Technical note]. Rev. Stomatol. Chir. Maxillofac. Chir. Orale 2015, 116, 368–371. [Google Scholar] [PubMed]
  13. Guruprasad, Y.; Chauhan, D.S.; Cariappa, K.M. A retrospective study of temporalis muscle and fascia flap in treatment of TMJ ankylosis. J. Maxillofac. Oral Surg. 2010, 9, 363–368. [Google Scholar] [CrossRef] [PubMed]
  14. Kumar, V.S.; Rao, N.K.; Mohan, K.R.; Krishna, L.; Prasad, B.S.; Ranganadh, N.; Lakshmi, V. Minimizing complications associated with coronal approach by application of various modifications in surgical technique for treating facial trauma: A prospective study. Natl. J. Maxillofac. Surg. 2016, 7, 21–28. [Google Scholar] [CrossRef] [PubMed]
  15. Waknis, P.P.; Prasad, G.S.; Wadje, S. A simple method to control bleeding by stationary paper clips as an alternate to raney clips during coronal incisions. J. Maxillofac. Oral Surg. 2013, 12, 117–119. [Google Scholar] [CrossRef]
  16. Neff, A.; Jürgens, P. IBRA meeting-(international bone research association)-cadaver course and symposium. In Proceedings of the Craniomaxillofacial Fracture Treatment–Update and Hands-On, Mülheim an der Ruhr, Germany, 15–16 October 2021. [Google Scholar]
  17. Miyamoto, S.; Takushima, A.; Momosawa, A.; Ozaki, M.; Harii, K. Transzygomatic coronoidectomy as a treatment for pseudoankylosis of the mandible after transtemporal surgery. Scand. J. Plast. Reconstr. Surg. Hand Surg. 2008, 42, 267–270. [Google Scholar] [CrossRef] [PubMed]
  18. Chen, P.K.; Chang, S.C.; Huang, F.; Chen, Y.R.; Yeow, V.K.; Williams, W.G. Transzygomatic coronoidectomy through an extended coronal incision for treatment of trismus due to an osteochondroma of the coronoid process of the mandible. Ann. Plast. Surg. 1998, 41, 425–429. [Google Scholar] [CrossRef]
  19. Fariña, R.; Canto, L.; Gunckel, R.; Alister, J.P.; Uribe, F. Temporomandibular Joint Ankylosis: Algorithm of Treatment. J. Craniofacal Surg. 2018, 29, 427–431. [Google Scholar] [CrossRef]
  20. Baek, R.M.; Heo, C.Y.; Lee, S.W. Temporal dissection technique that prevents temporal hollowing in coronal approach. J. Craniofacial Surg. 2009, 20, 748–751. [Google Scholar] [CrossRef]
  21. Yoshii, T.; Hamamoto, Y.; Muraoka, S.; Teranobu, O.; Kuwamura, K.; Komori, T. Pseudoankylosis of the mandible as a result of methyl methacrylate-induced inflammatory cicatricial contracture of the temporal muscle after cranioplasty. Br. J. Oral Maxillofac. Surg. 2001, 39, 374–375. [Google Scholar] [CrossRef]
  22. Porter, M.J.; Brookes, G.B. False ankylosis of the temporomandibular joint after otologic and neurotologic surgery. Am. J. Otol. 1991, 12, 139–141. [Google Scholar]
  23. Hollins, R.R.; Moyer, D.J.; Tu, H.K. Pseudoankylosis of the mandible after temporal bone attached craniotomy. Neurosurgery 1988, 22 Pt 1, 137–139. [Google Scholar] [CrossRef]
  24. Bayar, G.R.; Akcam, T.; Gulses, A.; Sencimen, M.; Gunhan, O. An excessive coronoid hyperplasia with suspected traumatic etiology resulting in mandibular hypomobility. Cranio® 2012, 30, 144–149. [Google Scholar] [CrossRef] [PubMed]
  25. Yoda, T.; Sato, T.; Abe, T.; Sakamoto, I.; Tomaru, Y.; Omura, K.; Hatano, N.; Takato, T.; Ishii, Y. Long-term results of surgical therapy for masticatory muscle tendon-aponeurosis hyperplasia accompanied by limited mouth opening. Int. J. Oral Maxillofac. Surg. 2009, 38, 1143–1147. [Google Scholar] [CrossRef]
  26. Lascano, S.; Arévalo, C.; Montealegre-Melendez, I.; Muñoz, S.; Rodriguez-Ortiz, J.A.; Trueba, P.; Torres, Y. Porous Titanium for Biomedical Applications: Evaluation of the Conventional Powder Metallurgy Frontier and Space-Holder Technique. Appl. Sci. 2019, 9, 982. [Google Scholar] [CrossRef]
  27. Liang, H.; Mirinejad, M.S.; Asefnejad, A.; Baharifar, H.; Li, X.; Saber-Samandari, S.; Khandan, A. Fabrication of tragacanthin gum-carboxymethyl chitosan bio-nanocomposite wound dressing with silver-titanium nanoparticles using freeze-drying method. Mater. Chem. Phys. 2022, 279, 125770. [Google Scholar] [CrossRef]
Figure 1. Authors proposed protocol on prophylactic coronoidectomy. The diagrams represent different clinical situations related to limited mouth opening (LMO). A major aspect should be with regard to the major injury in the temporal bone and muscle area. In some cases, displaced and fragmented bones might be a secondary cause of LMO, and despite their removal, a prophylactic coronoidectomy should be considered individually. Abbreviations: (+) present; (−) absent; (+/−) situation not clearly defined; NSAIDs—Non-Steroidal Anti-Inflammatory Drugs; app—approach; ORIF—open reduction and internal fixation (stable bone osteosynthesis).
Figure 1. Authors proposed protocol on prophylactic coronoidectomy. The diagrams represent different clinical situations related to limited mouth opening (LMO). A major aspect should be with regard to the major injury in the temporal bone and muscle area. In some cases, displaced and fragmented bones might be a secondary cause of LMO, and despite their removal, a prophylactic coronoidectomy should be considered individually. Abbreviations: (+) present; (−) absent; (+/−) situation not clearly defined; NSAIDs—Non-Steroidal Anti-Inflammatory Drugs; app—approach; ORIF—open reduction and internal fixation (stable bone osteosynthesis).
Applsci 13 03611 g001
Figure 2. The diagram of events leading to a second surgery, including a coronoidectomy. This situation could be easily avoided if a prophylactic coronoidectomy was used during stable bone osteosynthesis; however, the indications for such are greatly case-related. Abbreviations: ORIF—open reduction and internal fixation (stable bone osteosynthesis); LMO—limited mouth opening; MM—millimeters (1 mm = 10 cm); (+) present; (−) absent.
Figure 2. The diagram of events leading to a second surgery, including a coronoidectomy. This situation could be easily avoided if a prophylactic coronoidectomy was used during stable bone osteosynthesis; however, the indications for such are greatly case-related. Abbreviations: ORIF—open reduction and internal fixation (stable bone osteosynthesis); LMO—limited mouth opening; MM—millimeters (1 mm = 10 cm); (+) present; (−) absent.
Applsci 13 03611 g002
Figure 3. Reconstruction from a 3D-CT trauma scan of the major cranio-facial fractures.
Figure 3. Reconstruction from a 3D-CT trauma scan of the major cranio-facial fractures.
Applsci 13 03611 g003
Figure 4. A frontal view on reconstruction from a 3D-CT trauma scan of the major cranio-facial fractures on the left orbital and zygomatico-malar complex area.
Figure 4. A frontal view on reconstruction from a 3D-CT trauma scan of the major cranio-facial fractures on the left orbital and zygomatico-malar complex area.
Applsci 13 03611 g004
Figure 5. Three-dimensional reconstruction of the fractured area. The red arrow marks the entirely preserved frontal area. The major impact force was focused on the left orbit, zygomatic, and temporal bone areas. Green arrows indicate the fracture lines at the zygomatico-temporal suture, zygomatic bone, prominence with arch, anterior part of the maxillary sinus wall, lateral wall of the left eye socket, inferior border of the left orbit, and the temporal bone. No zygomatic bone-coronoid process of the mandible conflict was present.
Figure 5. Three-dimensional reconstruction of the fractured area. The red arrow marks the entirely preserved frontal area. The major impact force was focused on the left orbit, zygomatic, and temporal bone areas. Green arrows indicate the fracture lines at the zygomatico-temporal suture, zygomatic bone, prominence with arch, anterior part of the maxillary sinus wall, lateral wall of the left eye socket, inferior border of the left orbit, and the temporal bone. No zygomatic bone-coronoid process of the mandible conflict was present.
Applsci 13 03611 g005
Figure 6. The major scope of 3D-reconstruction is focused on the decreased volume of the left orbital socket because of the degree of bone displacement towards the eye socket (red arrow). No zygomatic bone-coronoid process of the mandible conflict was present.
Figure 6. The major scope of 3D-reconstruction is focused on the decreased volume of the left orbital socket because of the degree of bone displacement towards the eye socket (red arrow). No zygomatic bone-coronoid process of the mandible conflict was present.
Applsci 13 03611 g006
Figure 7. Middle cranial vault and skull base fracture.
Figure 7. Middle cranial vault and skull base fracture.
Applsci 13 03611 g007
Figure 8. Trauma CT in axial view with visible orbital, zygomatico-malar fractures and displaced zygomatic arch.
Figure 8. Trauma CT in axial view with visible orbital, zygomatico-malar fractures and displaced zygomatic arch.
Applsci 13 03611 g008
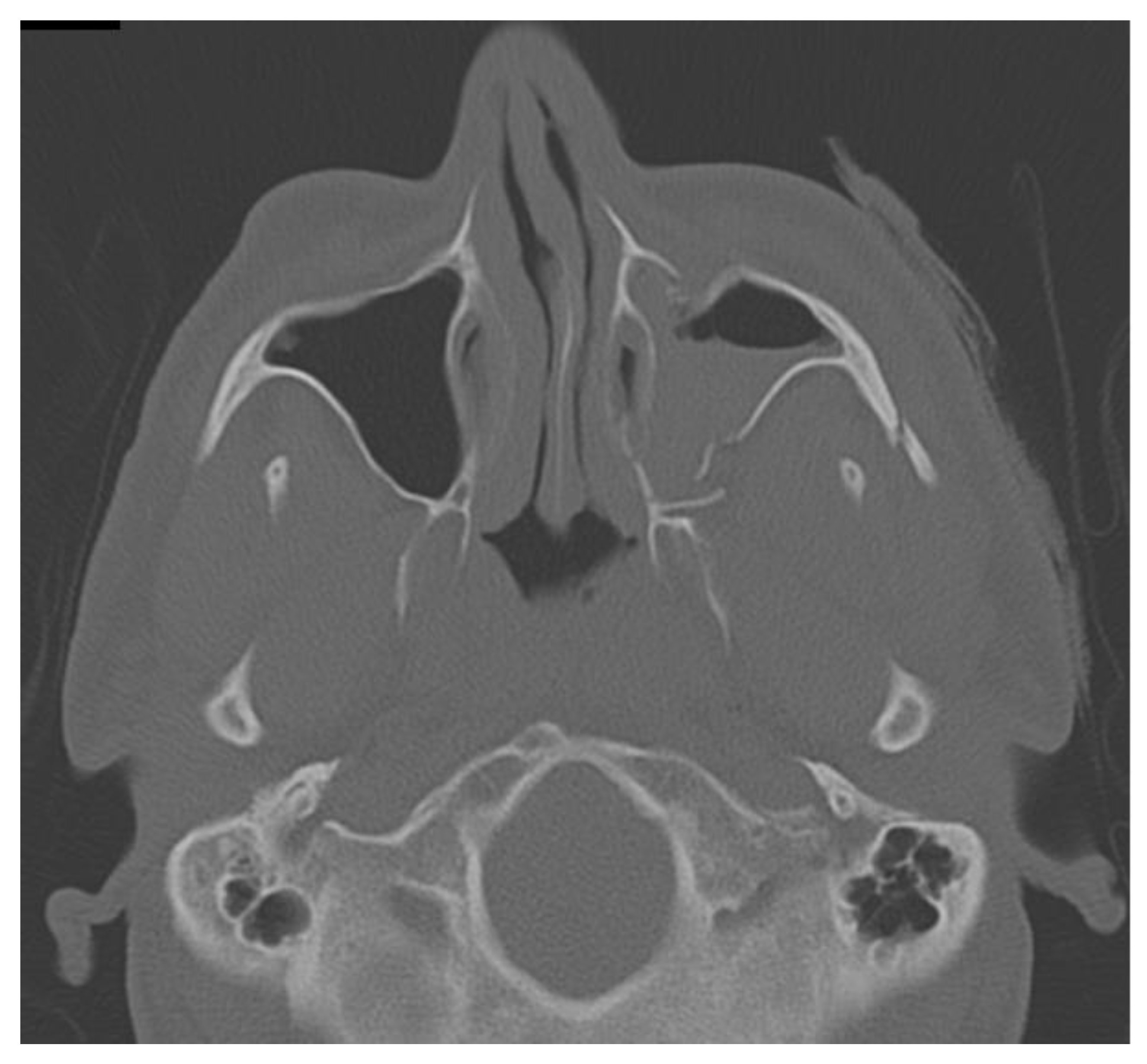
Figure 9. Trauma CT in an axial scan with visible temporal bone fractures.
Figure 9. Trauma CT in an axial scan with visible temporal bone fractures.
Applsci 13 03611 g009
Figure 10. Trauma CT in frontal view with visible medially displaced entire lateral orbital wall of the left eye socket and massive swelling of soft tissues. Displaced lateral walls cause a slight decrease in orbital socket volume; however, the globe remains in the same position without any exophthalmos.
Figure 10. Trauma CT in frontal view with visible medially displaced entire lateral orbital wall of the left eye socket and massive swelling of soft tissues. Displaced lateral walls cause a slight decrease in orbital socket volume; however, the globe remains in the same position without any exophthalmos.
Applsci 13 03611 g010
Figure 11. Intraoral view of the displaced zygomatic bone, arch, and lateral eye wall sockets.
Figure 11. Intraoral view of the displaced zygomatic bone, arch, and lateral eye wall sockets.
Applsci 13 03611 g011
Figure 12. Intraoperative view after stable bone osteosynthesis via a hemicoronal approach.
Figure 12. Intraoperative view after stable bone osteosynthesis via a hemicoronal approach.
Applsci 13 03611 g012
Figure 13. Postoperative 3D-CT reconstruction after stable bone osteosynthesis. After fracture reduction and stable osteosynthesis, no zygomatic bone-coronoid process of the mandible conflict was present.
Figure 13. Postoperative 3D-CT reconstruction after stable bone osteosynthesis. After fracture reduction and stable osteosynthesis, no zygomatic bone-coronoid process of the mandible conflict was present.
Applsci 13 03611 g013
Figure 14. Postoperative frontal view 3D-CT evaluation indicated good position of the orbital walls and acceptable final results from stable bone osteosynthesis. Red arrow points on proper bone alignement.
Figure 14. Postoperative frontal view 3D-CT evaluation indicated good position of the orbital walls and acceptable final results from stable bone osteosynthesis. Red arrow points on proper bone alignement.
Applsci 13 03611 g014
Figure 15. Postoperative fronto-lateral view on 3D-CT evaluation.
Figure 15. Postoperative fronto-lateral view on 3D-CT evaluation.
Applsci 13 03611 g015
Figure 16. Limited mouth opening due to temporal muscle scarring and contraction.
Figure 16. Limited mouth opening due to temporal muscle scarring and contraction.
Applsci 13 03611 g016
Figure 17. Difficult airway safety was achieved with endoscopically assisted intraoral intubation and proper anesthesia to release muscular tensions.
Figure 17. Difficult airway safety was achieved with endoscopically assisted intraoral intubation and proper anesthesia to release muscular tensions.
Applsci 13 03611 g017
Figure 18. Intraoral approach for coronoidectomy. (Intraoral photographs for visualization purposes, from another case). A blue arrow marks the cutting direction for cutting the coronoid process of the mandible.
Figure 18. Intraoral approach for coronoidectomy. (Intraoral photographs for visualization purposes, from another case). A blue arrow marks the cutting direction for cutting the coronoid process of the mandible.
Applsci 13 03611 g018
Figure 19. Postoperative proper, increased mouth opening after a coronoidectomy.
Figure 19. Postoperative proper, increased mouth opening after a coronoidectomy.
Applsci 13 03611 g019
Table 1. The scope of diagnostic procedures suggested by the authors. Abbreviations: CT—computed tomography; MRI—magnetic resonance, Panx—panoramic radiograph.
Table 1. The scope of diagnostic procedures suggested by the authors. Abbreviations: CT—computed tomography; MRI—magnetic resonance, Panx—panoramic radiograph.
Diagnostic ApproachesAim for Usage
CT preoperativelyEstimate bone fractures and displacement;
Indicate a potential conflict between the zygomatic bone and the coronoid process of the mandible;
Evaluate the scope of fractures;
Estimate any blood accumulation in the maxillary sinus, frontal sinus, and eye socket;
Indicate if the skull base fracture is present with/or without fractures of the anterior and posterior frontal sinus walls;
Zygomatic bone/arch fractures in 1, 2, 3 or more pieces;
Evaluate the zygomatico-maxillary buttress, inferior, and superior orbital rims;
Estimate if the globe position is symmetrical in both eye sockets and if the volume of the orbital socket has not decreased/increased;
Possible blow-out or blow-in of the orbital floor/roof presence;
Scope of a temporal bone fracture: displacement more or less than 5 mm;
The anatomy of the external auditory canal and any disruption in the temporal bone pyramid;
Temporo-mandibular joint (TMJ) injury: condylar head, condylar process, and rupture of the glenoid fossa;
Coronoid process: fracture, displacement, defragmentation, or malposition after trauma
Co-existing mandibular fractures;
Other case-related (…).
CT postoperatively Evaluate proper bone alignment;
Establish if superior, inferior, lateral, and medial orbital rims/walls are symmetrical;
Proper eye socket floor/roof repositioning;
Adequate stable osteosynthesis on the zygomatico-maxillary suture, fronto-zygomatic suture, and zygomatic arch position after reduction;
Exclude any potential conflict between the coronoid process of the mandible and the zygomatic bone;
If frontal sinus walls are fractured, estimate wall continuity and fronto-nasal duct adequate drainage;
Establish proper maxillary sinus wall position and non-disrupted flow towards the osteomeatal complex/OMC/;
Other case-related (…).
CT late follow-upEvaluate good healing and proper bone alignment;
Exclude any pathological fluid accumulation in the maxillary or frontal sinuses;
Estimate if using stable titanium osteosynthesis plates/screws/mesh does not have any indications of inflammation or others.
MRI preoperativelyTMJ disc position and its capsule;
No fluid accumulation in the TMJ area;
Possible scarring, contusions, and contractions in the temporalis muscle;
Proper condylar head position in the glenoid fossa and adequate lateral pterygoid muscle function;
Other secondary findings (..).
MRI postoperativelyAs stated above, a/s.
RTG PanxEvaluate any dento-alveolar trauma and possible sources of dental infections (cysts, periapical inflammations, deep periodontal sockets, and other possible inflammatory findings);
Estimate if any teeth are not situated in the fracture lines.
Disclaimer/Publisher’s Note: The statements, opinions and data contained in all publications are solely those of the individual author(s) and contributor(s) and not of MDPI and/or the editor(s). MDPI and/or the editor(s) disclaim responsibility for any injury to people or property resulting from any ideas, methods, instructions or products referred to in the content.

Share and Cite

MDPI and ACS Style

Nelke, K.; Bujak, K.; Szczepański, W.; Łukaszewski, M.; Janeczek, M.; Pasicka, E.; Blicharski, T.; Morawska-Kochman, M.; Dobrzyński, M. Prophylactic Coronoidectomy Approach during Stable Bone Osteosynthesis after Major Cranio-Facial Injury in the Temporal Region with Muscle Contusion—Should It Be Used? Appl. Sci. 2023, 13, 3611. https://doi.org/10.3390/app13063611

AMA Style

Nelke K, Bujak K, Szczepański W, Łukaszewski M, Janeczek M, Pasicka E, Blicharski T, Morawska-Kochman M, Dobrzyński M. Prophylactic Coronoidectomy Approach during Stable Bone Osteosynthesis after Major Cranio-Facial Injury in the Temporal Region with Muscle Contusion—Should It Be Used? Applied Sciences. 2023; 13(6):3611. https://doi.org/10.3390/app13063611

Chicago/Turabian Style

Nelke, Kamil, Krzysztof Bujak, Wojciech Szczepański, Marceli Łukaszewski, Maciej Janeczek, Edyta Pasicka, Tomasz Blicharski, Monika Morawska-Kochman, and Maciej Dobrzyński. 2023. "Prophylactic Coronoidectomy Approach during Stable Bone Osteosynthesis after Major Cranio-Facial Injury in the Temporal Region with Muscle Contusion—Should It Be Used?" Applied Sciences 13, no. 6: 3611. https://doi.org/10.3390/app13063611

APA Style

Nelke, K., Bujak, K., Szczepański, W., Łukaszewski, M., Janeczek, M., Pasicka, E., Blicharski, T., Morawska-Kochman, M., & Dobrzyński, M. (2023). Prophylactic Coronoidectomy Approach during Stable Bone Osteosynthesis after Major Cranio-Facial Injury in the Temporal Region with Muscle Contusion—Should It Be Used? Applied Sciences, 13(6), 3611. https://doi.org/10.3390/app13063611

Note that from the first issue of 2016, this journal uses article numbers instead of page numbers. See further details here.

Article Metrics

Back to TopTop