Abstract
Jaw defects can have a variety of causes, including tumors, trauma, and osteomyelitis. The reconstruction of jaw defects has been improved with the free flap technique and sophisticated microvascular techniques. A deep circumflex iliac artery (DCIA) flap provides a large amount of bone for the reconstruction of the mandible. However, various complications and side effects, such as abnormal hip contour, hernia, severe bleeding tendency, gait disturbance, and hypoesthesia, can occur. Iliac bone fracture is not a common complication after DCIA flap harvesting, because the anterior superior iliac spine (ASIS) can include the harvested flap. If an iliac avulsion fracture occurs, various treatment options exist. If severe dislocation of the bone fragment exists, open reduction and internal fixation are required. At this time, orthopedic implants composed of various materials can be used. Among these, when using a 3D-fabricated implant using a Ti6Al4V alloy, the accuracy of the size and shape is excellent, and it can have mechanical–biocompatible advantages. In this study, we report cases of iliac bone fracture after reconstruction of the jaw with a DCIA flap and the treatment modality using a 3D-printed, patient-specific titanium implant.
1. Introduction
Jaw defects can be caused by tumors, trauma, or infectious diseases. Oral squamous cell carcinoma (SCC) of the mandibular gingiva and ameloblastoma are included for the purpose of resection of the mandible. Generally, when these destructive lesions occur, we can perform a marginal mandibulectomy or segmental mandibulectomy. The mandible is resected segmentally or marginally and then reconstructed with complex reconstruction using various free flaps. In the case of segmental mandibulectomy, reconstruction of the mandible also requires rehabilitation of dentition for occlusion and linguistic ability. Therefore, the reconstruction of bone and soft tissue through free flap transfer is regarded as the best treatment to restore function [1].
In the case of a patient with a severely atrophic mandible or who has undergone a marginal mandibulectomy and requires implant treatment, the inadequacy of the bony height and volume of soft tissue may be a challenge [2]. Vascularized or non-vascularized bone grafts, distraction osteogenesis, and guided bone regeneration have been used to install implants for rehabilitation [3].
Jaw defects can be reconstructed using microvascular composite free flaps with the scapula, radial forearm, fibula, and deep circumflex iliac artery(DCIA) flap [4]. The surgeon chooses the donor site considering various factors, such as the size, location, and condition [5]. A DCIA flap has been used for the reconstruction of the jaw defect due to the natural shape of the arch, sufficient width and height, and the possibility of obtaining bicortical bone with good-quality cancellous bone [5]. In particular, it is useful for the reconstruction of severe bone defects such as segmental mandibulectomy and hemi-mandibulectomy [6]. Donor-site morbidity is another important factor to consider when choosing donor sites [5]. However, DCIA is known to have various minor complications, including gait disturbance, hernia, and fracture. In particular, large bony defects at the ilium area cause weakening of the supporting tissue, leading to complications such as gait disturbance, iliac fracture, and hernia [6]. The use of a bicortical DCIA flap when large amounts of bone segments must be harvested can sometimes cause abnormal hip contour, hernia, a tendency to exhibit severe bleeding, and gait disturbances [7]. Monocortical DCIA flaps can reduce donor-site morbidity for the harvesting of large amounts of bone segments [7]. In addition, the monocortical DCIA flap has the advantage of minimizing gait disturbances, preserving the contour of the hip, and speeding up the patient’s postoperative recovery [7]. Iliac bone fracture is not a common complication after DCIA flap harvesting, because the ASIS (anterior superior iliac spine) can include the harvested flap. However, when including the ASIS, the patient may lose the hip contour and suffer from gait disturbance.
Generally, iliac bone fractures can be treated by open reduction and internal fixation. Orthopedic implants need to possess important properties, such as biocompatibility, relevant mechanical properties, high corrosion and wear resistance, and osseointegration, to ensure safe and effective use [8]. A variety of implant materials have been used according to requirements in various fields of medicine, such as metals, alloys, ceramics, and polymers [8]. Among them, titanium and titanium alloys are widely used as orthopedic implant materials due to their mechanical and biological properties [9,10,11,12,13]. Moreover, a porous titanium structure allows bone ingrowth into the pores to gain stable osseointegration between the implant and surrounding bone [14,15]. Recently, computer-aided and 3D-printed guided surgery has become popular. Thus, iliac bone fractures can be treated with this modality. The introduction of computer-aided design (CAD) and computer-aided manufacturing (CAM) systems has led to several advantages for both clinicians and patients, and commercial software offers reliable methods to simulate and perform the procedure [16]. Ti6Al4V alloy orthopedic implants produced by 3D printing have the advantage of being able to manufacture complex structures that cannot be manufactured by traditional techniques and maintaining the excellent physicochemical properties of titanium and its alloys [17]. Using these techniques, surgeons can manufacture implants with excellent mechanical and biological properties in the exact shape and size that they desire.
The purpose of this study is to introduce cases of reconstruction of an iliac avulsion fracture using a patient-specific, 3D-fabricated implant.
2. Case Presentation
We followed the Helsinki Declaration throughout this study. We obtained approval from the Chosun University Institutional Review Board (2-1041055-AB-N-01-2019-08).
All 27 patients underwent reconstruction using the iliac bone at Chosun Dental Hospital from February 2013 to July 2019, of which 3 patients had iliac avulsion fractures. The complication rate was 13.64%. Old age, obesity, osteoporosis, comorbidities, and an improper harvesting technique are risk factors for the fracture of the iliac crest after bone grafting [18,19,20,21]. However, no correlation was observed between the fracture patients in this study and the above factors.
2.1. Case 1: SCC on Right Mandibular Buccal Mucosa
A 70-year-old male presented at the department of oral and maxillofacial surgery with the complaint that the right lower gingiva was not healed (Figure 1).
Figure 1.
Initial examinations: (a) intraoral photograph showed the granulomatous lesion on right lower gingiva; (b) no bone invasive lesion was seen in the panoramic view.
Incisional biopsy results were diagnosed as SCC. CT and PET-CT were taken. The lesion was confined to soft tissue and lymph nodes in the right submandibular node, with intense fluorodeoxyglucose (FDG) uptake observed on the radiological images. Therefore, marginal mandibulectomy and selective neck dissection (I–Ⅲ) were planned for the management of the SCC, and a DCIA-based iliac crest flap was planned to reconstruct the resected mandibular site.
Marginal mandibulectomy was performed. Monocortical DCIA flaps were harvested with the left iliac crest bone and internal oblique muscle. Micro-anastomosis with the facial artery and external jugular vein was performed, and fixation was conducted for the reconstruction of the mandible. Two weeks after the operation, the patient was able to walk without assistance. From 35 days postoperatively, the patient was complaining of pain in the donor site while walking downhill. An anterior superior iliac spine (ASIS) avulsion fracture was seen in the X-ray of the pelvis. An open reduction using a titanium implant fabricated based on pre-surgical CT data was planned.
2.1.1. Computer-Assisted Surgical Planning
For computer-assisted surgery, CT data of the patient’s pre-surgical ilium and fractured ilium were collected. The collected CT data were saved as a DICOM file and superimposed onto an ilium using Mimics software 18.0 (Materialize, Leuven, Belgium). After setting the threshold value based on the bone HU value, we performed 2D masking. Segment separation in the ROI area and artifact removal were performed, and 2D masking was laminated to produce a 3D shape. We created a natural bone shape through smoothing work. We reconstructed the defect area using the CT data of the patient before the fracture, and applied the porous structure of the interior and designed the fixation part. Using the electron beam melting (EBM) technique, a high-energy electron beam was exposed inside the vacuum chamber to melt metal powder (Ti6Al4V alloy powder) and print the final implant (Q10 Plus, GE Additive). Sanding was performed to remove the powder of the final printed implant, and removal of the support of the printed implant was carried out. The Ti6Al4V alloy implant reproduced the shape of the natural ilium, while the interior was porous so as to improve cell proliferation and mesenchymal stem cell differentiation. On the outer surface, a plate shape with a hole for fixation with iliac bone was added (Figure 2).
Figure 2.
(a) Fractured iliac bone; (b,c) computer-based planning and designed titanium implant.
2.1.2. Surgical Technique
Open reduction of the fractured iliac crest bone was performed by applying a 3D-printed titanium implant to the external surface. A preformed 3D-printed porous titanium implant was inserted into the bone defect of the fractured iliac bone. The titanium implant was fixed to the iliac bone with 2.4 mm diameter screws through the pre-designed hole (Figure 3).
Figure 3.
(a) Intraoperative photograph; open reduction using customized titanium implant. (b) Postoperative iliac AP X-ray.
From 2 weeks postoperatively, the patient was able to stand and walk and was able to live without any discomfort for up to 1 year postoperatively. There was no recurrence of the primary tumor and no other complications were observed (Figure 4).
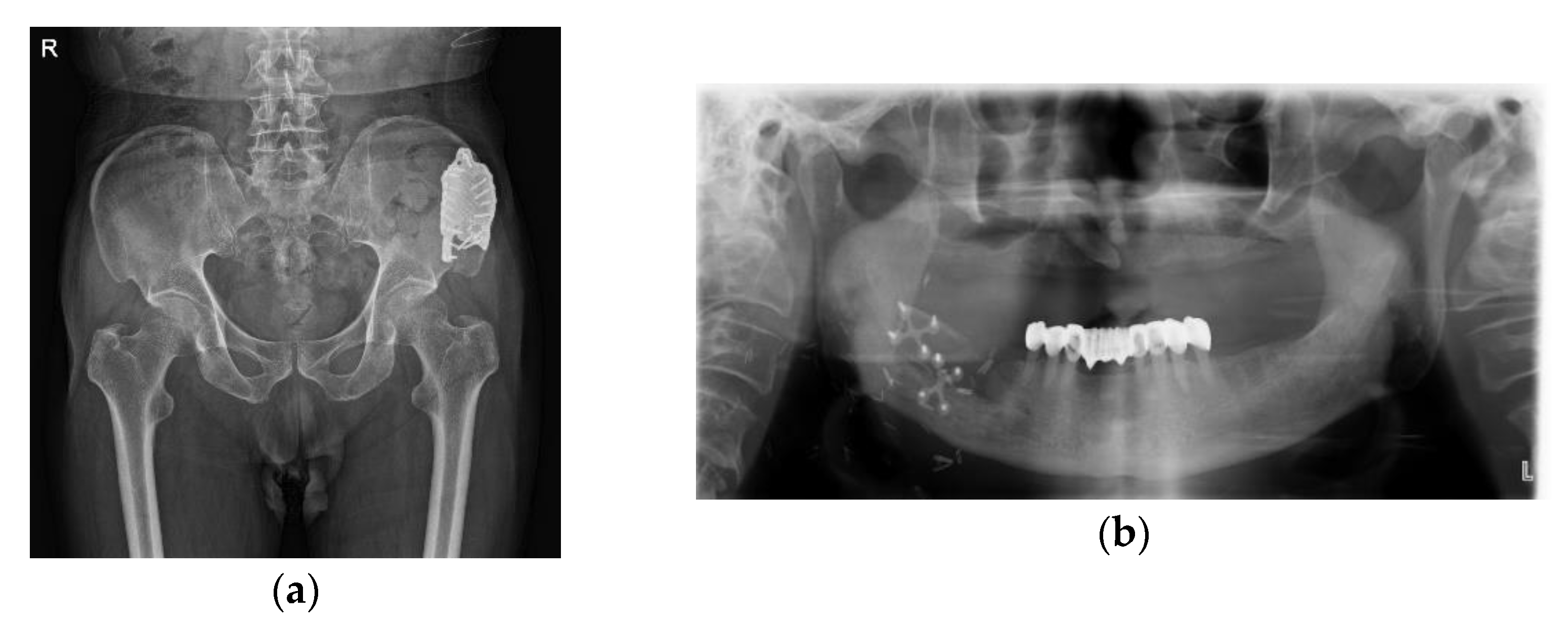
Figure 4.
Postoperative radiograph: (a) patient-specific implant shown on left iliac bone after 3 months; (b) well-reconstructed mandible after 4 months.
2.2. Case 2: Ameloblastoma on Left Mandibular Body and Angle
A 58-year-old male presented at the department of oral and maxillofacial surgery with an infection of the retromolar trigone area (Figure 5).
Figure 5.
Initial examinations: (a) intraoral photograph showed the granulomatous lesion on the left retromolar triangle; (b) panoramic view showed the impacted tooth and multilocular radiolucency lesion.
Incisional biopsy results diagnosed a plexiform type of ameloblastoma. Segmental mandibulectomy was planned for the management of the lesion, and a DCIA flap was planned to reconstruct the resected site.
Osteotomy was performed at the planned location using a pre-designed 3D-printed surgical guide. Bicortical DCIA flaps were harvested by applying a 3D-printed surgical guide to the external surface, and an internal oblique muscle was also harvested (Figure 6).
Figure 6.
Intraoperative photograph: (a) a resection guide was applied on the mandible; (b) iliac crest bone and internal oblique muscle flap were harvested using resection guide.
Micro-anastomosis with the facial artery and the facial vein was performed, and fixation was conducted with a titanium miniplate for the reconstruction of the mandible.
From 2 weeks postoperatively, the patient was complaining of pain in the donor site while walking. A radiograph of the pelvis was taken and the patient was diagnosed with an ASIS avulsion fracture.
2.2.1. Computer-Assisted Surgical Planning
CT data of the patient’s pre-surgical and fractured pelvis were taken and saved as a raw DICOM file. Using Mimics software 18.0, superimposition into one image was performed. The patient-specific titanium implant was designed to reconstruct the original shape of the ilium (Figure 7).
Figure 7.
(a) Fractured donor site; (b) the 3D-fabricated titanium implant; (c) computer-based planning and designed titanium implant.
2.2.2. Surgical Technique
The fractured iliac bone was reconstructed to its original shape by inserting a customized 3D-printed titanium implant based on the preoperative CT. The titanium implant was fixed to the iliac bone with 2.4 mm screws (Figure 8).
Figure 8.
Applied 3D-printed titanium implant for iliac crest reconstruction.
From 1 month postoperatively, the patient was able to stand and walk and was able to live without any discomfort for up to 1 year postoperatively. There was no recurrence of the ameloblastoma and no other complications were observed, so implants were placed 1 year after the operation (Figure 9).
Figure 9.
Postoperative radiograph after 1 year: (a) patient-specific implant shown on right iliac bone after 1 year; (b) well-reconstructed mandible and implants were installed 1 year after the operation.
2.3. Case 3: Verrucous Carcinoma on Right Upper Gingiva
A 78-year-old female presented at the department of oral and maxillofacial surgery with a growing mass on the right upper gingiva (Figure 10).
Figure 10.
Initial examinations: (a) intraoral photograph showed the proliferative lesion with indistinct borders on the right upper gingiva; (b) panoramic view.
An incisional biopsy diagnosed a verrucous carcinoma. CT and PET-CT were taken. A palatal lesion with intense fluorodeoxyglucose (FDG) uptake was observed on the radiological images. Therefore, a partial maxillectomy and DCIA flap reconstruction were planned.
A monocortical DCIA flap was harvested with internal oblique muscle. Micro-anastomosis was performed on the right facial artery and vein. Harvested iliac bone was fixed with a miniplate and screws.
The patient complained of pain in the donor site on the 16th postoperative day when moving out of bed. A fracture line on the iliac donor site was seen on the radiograph of the iliac bone (Figure 11).
Figure 11.
Radiograph of left ilium; fracture line on iliac donor site was seen.
Conservative Treatment of Avulsion Fracture
Considering the patient’s old age and condition, the patient was managed by conservative treatment. The patient was placed on absolute bed rest for four weeks, and received symptomatic treatment and physical therapy in the department of rehabilitation medicine. One month after the fracture, callus formation was seen on a radiograph. After 4 weeks, she could walk and experienced no pain during walking practice.
3. Discussion
As microvascular anastomosis techniques become more sophisticated and microsurgical instruments are developed, reconstruction using free flaps for oral and maxillofacial defects is the best option [22]. There is a disadvantage in that the plate is fractured and exposed when using a reconstruction plate, and soft tissue for reconstruction in a long-term prognosis [23,24]. In addition, reconstruction using plates has some limitations. It cannot be used for complex defects, such as defects involving soft tissue and hard tissue [5]. In these cases, the hard tissue and additional soft tissue must be treated simultaneously. The oral cavity has a variety of masticatory muscles and facial expression muscles, and it moves to perform various functions, such as emotional expression, mastication, or pronunciation. For this reason, when oral defects are directly reconstructed with a plate, various complications may occur, such as plate exposure, infection, and loosening of the fixing screw [5]. Moreover, it is challenging to recover masticatory function when reconstruction uses a reconstruction plate [5]. On the other hand, the osseous-free flap achieves long-term survival through normal bone remodeling by osseointegration with the existing bone tissue within 2~3 months [25]. Reconstruction using free vascularized flaps provides an environment similar to normal oral tissue, which changes naturally with the surrounding bone tissue, enabling the remodeling of the occlusion using implant placement, bone grafting, removal, and replanting [5]. Therefore, vascularized free flaps using hard and soft tissues are mainly used, and the use of reconstruction plates is becoming a secondary option [5].
Donor sites used mainly for jaw reconstruction include the fibula, iliac crest, and scapula [21]. Each donor site differs in the amount and quality of bone and soft tissue available, as well as the volume of the vascular pedicle, and the availability of the two-team approach. The surgeon should consider several factors and choose the best treatment option for the patient and surgical outcome [26].
Taylor and Sanders first introduced the DCIA flap in 1979 [27,28]. In 1989, Urken first used a combination of iliac crest bone and internal oblique muscle to reconstruct an oral and maxillofacial defect. The iliac crest flap has been used to reconstruct oral and maxillofacial defects due to good bone quality and sufficient soft tissue [29]. However, DCIA flaps have also reported various donor-site morbidities. Boyd and HS Kim reported a hernia on a DCIA donor site [30,31]. Ling and Peng reported on DCIA flaps considering the possibility of gait disturbance and hip contour defects when harvesting a large amount of the iliac bone [32].
Research on how to prevent donor-site morbidity that can occur in DCIA flaps has also been conducted in various ways. Using a monocortical DCIA flap while preserving the ASIS minimized tissue defects in support of the donor site, thereby minimizing complications caused by bone weakness [7]. Iqbal et al. used Protack (titanium tacks) and Prolene (polypropylene mesh) to prevent a hernia due to the reconstruction of bone defects in the donor site [33]. Halsnad proposed a method of repairing bone defects using a 0.4 mm thick titanium sheet [34].
In this report, we proposed an open-reduction method using a patient-specific, 3D-printed titanium implant. This method restored the ilium as closely to the original shape of the patient’s iliac bone as possible using the pre-harvested CT data. The patient-specific titanium implant presented in our study can be manufactured in a size as similar as possible to the size of the fracture site and the peripheral bone defect site. This can reduce the possibility of additional surgery for soft tissue cover or the possibility of infection due to exposure. In particular, it is possible to prevent various disorders such as hip contour loss, gait disturbance, limitation of mobility, and recurrence of the ASIS avulsion fracture. In addition, it can shorten the operation time, and the porous structure improves cell proliferation and mesenchymal stem cell differentiation, promoting anchorage with the surrounding bone [35]. Even in the event of an infection, implant removal, bone grafts, and replanting are possible and safe.
4. Conclusions
In conclusion, by using a patient-specific titanium implant it is possible to restore the shape of the patient’s normal iliac bone and the bone is reduced to its original shape; no additional force is applied to the surrounding soft tissue in jaw reconstruction patients. When using the preoperative CT data to manage the postoperative fracture and reconstruct the defect, the patient-specific titanium implant can be a useful tool to reduce the fracture and reconstruct the defect accurately at the same time. In addition, when using this method in conventional fracture surgery, preoperative CT could be used to perform a reduction through a computer-aided simulation, and we could fabricate a suitable plate of the reduced bone by additive manufacturing, and then the plates and guides could be used during the surgery.
Author Contributions
Conceptualization, S.-Y.M. and Y.-J.J.; methodology, S.-Y.M.; software, Y.-J.J.; validation, Y.-J.J., J.-S.K., J.-S.Y. and J.-S.O.; formal analysis, Y.-J.J.; investigation, J.K., Y.-J.J., J.-S.K., J.-S.Y. and J.-S.O.; resources, S.-Y.M. and Y.-J.C.; data curation, S.-Y.M. and Y.-J.J.; writing—original draft preparation, S.-Y.M. and Y.-J.J.; writing—review and editing, S.-Y.M. and Y.-J.J.; visualization, S.-Y.M. and Y.-J.J.; supervision, S.-Y.M., Y.-J.C., J.-S.K., J.-S.Y. and J.-S.O.; project administration, S.-Y.M.; funding acquisition, S.-Y.M. All authors have read and agreed to the published version of the manuscript.
Funding
This research was funded by Chosun University Dental Hospital, 2022.
Institutional Review Board Statement
The study was conducted in accordance with the Declaration of Helsinki, and approved by the Institutional Review Board of Chosun university dental hospital (CUDHIRB 1902008).
Informed Consent Statement
Informed consent was obtained from all subjects involved in the study.
Data Availability Statement
Where data is unavailable due to privacy or ethical restrictions.
Conflicts of Interest
The authors declare no conflict of interest.
References
- Urken, M.L.; Vickery, C.; Weinberg, H.; Buchbinder, D.; Lawson, W.; Biller, H.F. The internal oblique-iliac crest osseomyocutaneous free flap in oromandibular reconstruction: Report of 20 cases. Arch. Otolaryngol. Head Neck Surg. 1989, 115, 339–349. [Google Scholar] [CrossRef] [PubMed]
- Nguyen, T.T.H.; Eo, M.Y.; Kuk, T.S.; Myoung, H.; Kim, S.M. Rehabilitation of atrophic jaw using iliac onlay bone graft combined with dental implants. Int. J. Implant Dent. 2019, 5, 11. [Google Scholar] [CrossRef] [PubMed]
- Titsinides, S.; Agrogiannis, G.; Karatzas, T. Bone grafting materials in dentoalveolar reconstruction: A comprehensive review. Jpn. Dent. Sci. Rev. 2019, 55, 26–32. [Google Scholar] [CrossRef] [PubMed]
- Schardt, C.; Schmid, A.; Bodem, J.; Krisam, J.; Hoffmann, J.; Mertens, C. Donor site morbidity and quality of life after microvascular head and neck reconstruction with free fibula and deep-circumflex iliac artery flaps. J. Cranio Maxillofac. Surg. 2017, 45, 304–311. [Google Scholar] [CrossRef] [PubMed]
- Kim, H.J.; Moon, S.Y. The Deep Circumflex Iliac Artery Flap for Mandibular Reconstruction and Donor Site Reconstruction with a Patient-Specific Implant: A Case Report. Appl. Sci. 2020, 10, 1587. [Google Scholar] [CrossRef]
- Politi, M.; Toro, C. Iliac flap versus fibula flap in mandibular reconstruction. J. Craniofacial Surg. 2012, 23, 774–779. [Google Scholar] [CrossRef]
- Moon, S.-Y. Monocortical deep circumflex iliac artery flap in jaw reconstruction. J. Craniofacial Surg. 2015, 26, 1294–1298. [Google Scholar] [CrossRef]
- Kaur, M.; Singh, K. Review on titanium and titanium based alloys as biomaterials for orthopaedic applications. Mater. Sci. Eng. C 2019, 102, 844–862. [Google Scholar] [CrossRef]
- Thelen, S.; Barthelat, F.; Brinson, L.C. Mechanics considerations for microporous titanium as an orthopedic implant material. J. Biomed. Mater. Res. Part A Off. J. Soc. Biomater. Jpn. Soc. Biomater. Aust. Soc. Biomater. Korean Soc. Biomater. 2004, 69, 601–610. [Google Scholar] [CrossRef]
- Albrektsson, T.; Brånemark, P.; Hansson, H.-A.; Kasemo, B.; Larsson, K.; Lundström, I.; McQueen, D.H.; Skalak, R. The interface zone of inorganic implantsIn vivo: Titanium implants in bone. Ann. Biomed. Eng. 1983, 11, 1–27. [Google Scholar] [CrossRef]
- Hayashi, K.; Uenoyama, K.; Matsuguchi, N.; Sugioka, Y. Quantitative analysis of in vivo tissue responses to titanium-oxide-and hydroxyapatite-coated titanium alloy. J. Biomed. Mater. Res. 1991, 25, 515–523. [Google Scholar] [CrossRef] [PubMed]
- Laing, P.G.; Ferguson, A.B., Jr.; Hodge, E.S. Tissue reaction in rabbit muscle exposed to metallic implants. J. Biomed. Mater. Res. 1967, 1, 135–149. [Google Scholar] [CrossRef] [PubMed]
- Long, M.; Rack, H. Titanium alloys in total joint replacement—A materials science perspective. Biomaterials 1998, 19, 1621–1639. [Google Scholar] [CrossRef] [PubMed]
- Chang, Y.-S.; Oka, M.; Kobayashi, M.; Gu, H.-O.; Li, Z.-L.; Nakamura, T.; Ikada, Y. Significance of interstitial bone ingrowth under load-bearing conditions: A comparison between solid and porous implant materials. Biomaterials 1996, 17, 1141–1148. [Google Scholar] [CrossRef] [PubMed]
- Spoerke, E.D.; Murray, N.G.; Li, H.; Brinson, L.C.; Dunand, D.C.; Stupp, S.I. A bioactive titanium foam scaffold for bone repair. Acta Biomater. 2005, 1, 523–533. [Google Scholar] [CrossRef]
- Pagano, S.; Moretti, M.; Marsili, R.; Ricci, A.; Barraco, G.; Cianetti, S. Evaluation of the accuracy of four digital methods by linear and volumetric analysis of dental impressions. Materials 2019, 12, 1958. [Google Scholar] [CrossRef]
- Jing, Z.; Zhang, T.; Xiu, P.; Cai, H.; Wei, Q.; Fan, D.; Lin, X.; Song, C.; Liu, Z. Functionalization of 3D-printed titanium alloy orthopedic implants: A literature review. Biomed. Mater. 2020, 15, 052003. [Google Scholar] [CrossRef]
- İliak, K.G.A.T.A.; Kırığı, K.K. Avulsion fracture of the anterior iliac crest after bone graft harvest: Case report and review of techniques, risk factors and treatment. Turk. Neurosurg. 2011, 21, 423–426. [Google Scholar]
- Al-Sayyad, M. Fracture of the anterior iliac crest following autogenous bone grafting. Saudi Med. J. 2006, 27, 2. [Google Scholar]
- Hu, R.W.; Bohlman, H. Fracture at the iliac bone graft harvest site after fusion of the spine. Clin. Orthop. Relat. Res. 1994, 309, 208–213. [Google Scholar]
- Jo, Y.-J.; Choi, J.-S.; Bang, J.-A.; Kim, J.; Moon, S.-Y. Risk Factors of Avulsion Fracture after Iliac Crestal Flap for Jaw Reconstruction. Appl. Sci. 2021, 11, 8081. [Google Scholar] [CrossRef]
- Disa, J.J.; Cordeiro, P.G. Mandible reconstruction with microvascular surgery. Semin. Surg. Oncol. 2000, 19, 226–234. [Google Scholar] [CrossRef] [PubMed]
- Schusterman, M.A.; Reece, G.P.; Kroll, S.S.; Weldon, M.E. Use of the AO plate for immediate mandibular reconstruction in cancer patients. Plast. Reconstr. Surg. 1991, 88, 588–593. [Google Scholar] [CrossRef] [PubMed]
- Cordeiro, P.G.; Hidalgo, D.A. Soft tissue coverage of mandibular reconstruction plates. Head Neck 1994, 16, 112–115. [Google Scholar] [CrossRef]
- Cordeiro, P.G.; Hidalgo, D.A. Conceptual considerations in mandibular reconstruction. Clin. Plast. Surg. 1995, 22, 61–69. [Google Scholar] [CrossRef]
- Cordeiro, P.G.; Disa, J.J.; Hidalgo, D.A.; Hu, Q.Y. Reconstruction of the mandible with osseous free flaps: A 10-year experience with 150 consecutive patients. Plast. Reconstr. Surg. 1999, 104, 1314–1320. [Google Scholar] [CrossRef]
- Sanders, R.; Mayou, B.J. A new vascularized bone graft transferred by microvascular anastomosis as a free flap. J. Br. Surg. 1979, 66, 787–788. [Google Scholar] [CrossRef]
- Taylor, G.I.; Townsend, P.; Corlett, R. Superiority of the deep circumflex iliac vessels as the supply for free groin flaps. Clinical work. Plast. Reconstr. Surg. 1979, 64, 745–759. [Google Scholar] [CrossRef]
- Urken, M.L.; Vickery, C.; Weinberg, H.; Buchbinder, D.; Biller, H.F. The internal oblique-iliac crest osseomyocutaneous microvascular free flap in head and neck reconstruction. J. Reconstr. Microsurg. 1989, 5, 203–214. [Google Scholar] [CrossRef]
- Boyd, J.B.; Rosen, I.; Rotstein, L.; Freeman, J.; Gullane, P.; Manktelow, R.; Zuker, R. The iliac crest and the radial forearm flap in vascularized oromandibular reconstruction. Am. J. Surg. 1990, 159, 301–308. [Google Scholar] [CrossRef]
- Kim, H.-S.; Kim, J.-Y.; Hur, H.; Nam, W. Herniation after deep circumflex iliac artery flap: Two cases of rare complication. Maxillofac. Plast. Reconstr. Surg. 2016, 38, 10. [Google Scholar] [CrossRef] [PubMed]
- Ling, X.F.; Peng, X.; Samman, N. Donor-site morbidity of free fibula and DCIA flaps. J. Oral Maxillofac. Surg. 2013, 71, 1604–1612. [Google Scholar] [CrossRef] [PubMed]
- Iqbal, M.; Lloyd, C.J.; Paley, M.D.; Penfold, C.N. Repair of the deep circumflex iliac artery free flap donor site with Protack (titanium spiral tacks) and Prolene (polypropylene) mesh. Br. J. Oral Maxillofac. Surg. 2007, 45, 596–597. [Google Scholar] [CrossRef] [PubMed]
- Halsnad, S.; Dhariwal, D.; Bocca, A.; Evans, P.; Hodder, S. Titanium plate reconstruction of the osseous defect after harvest of a composite free flap using the deep circumflex iliac artery. Br. J. Oral Maxillofac. Surg. 2004, 42, 254–256. [Google Scholar] [CrossRef]
- Lee, U.-L.; Kwon, J.-S.; Woo, S.-H.; Choi, Y.-J. Simultaneous bimaxillary surgery and mandibular reconstruction with a 3-dimensional printed titanium implant fabricated by electron beam melting: A preliminary mechanical testing of the printed mandible. J. Oral Maxillofac. Surg. 2016, 74, 1501.e1–1501.e15. [Google Scholar] [CrossRef]
Disclaimer/Publisher’s Note: The statements, opinions and data contained in all publications are solely those of the individual author(s) and contributor(s) and not of MDPI and/or the editor(s). MDPI and/or the editor(s) disclaim responsibility for any injury to people or property resulting from any ideas, methods, instructions or products referred to in the content. |
© 2023 by the authors. Licensee MDPI, Basel, Switzerland. This article is an open access article distributed under the terms and conditions of the Creative Commons Attribution (CC BY) license (https://creativecommons.org/licenses/by/4.0/).










