Fixation of Iliac Avulsion Fracture Using Additive Manufacturing Titanium Mesh after DCIA Flap Harvesting: Case Report
Abstract
1. Introduction
2. Case Presentation
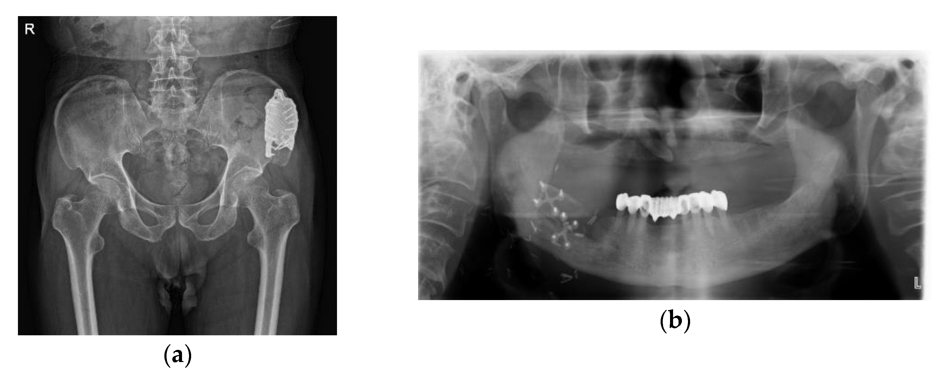
2.1. Case 1: SCC on Right Mandibular Buccal Mucosa
2.1.1. Computer-Assisted Surgical Planning
2.1.2. Surgical Technique
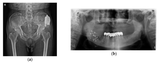
2.2. Case 2: Ameloblastoma on Left Mandibular Body and Angle
2.2.1. Computer-Assisted Surgical Planning
2.2.2. Surgical Technique
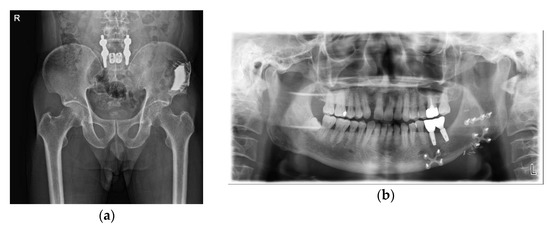
2.3. Case 3: Verrucous Carcinoma on Right Upper Gingiva
Conservative Treatment of Avulsion Fracture
3. Discussion
4. Conclusions
Author Contributions
Funding
Institutional Review Board Statement
Informed Consent Statement
Data Availability Statement
Conflicts of Interest
References
- Urken, M.L.; Vickery, C.; Weinberg, H.; Buchbinder, D.; Lawson, W.; Biller, H.F. The internal oblique-iliac crest osseomyocutaneous free flap in oromandibular reconstruction: Report of 20 cases. Arch. Otolaryngol. Head Neck Surg. 1989, 115, 339–349. [Google Scholar] [CrossRef] [PubMed]
- Nguyen, T.T.H.; Eo, M.Y.; Kuk, T.S.; Myoung, H.; Kim, S.M. Rehabilitation of atrophic jaw using iliac onlay bone graft combined with dental implants. Int. J. Implant Dent. 2019, 5, 11. [Google Scholar] [CrossRef] [PubMed]
- Titsinides, S.; Agrogiannis, G.; Karatzas, T. Bone grafting materials in dentoalveolar reconstruction: A comprehensive review. Jpn. Dent. Sci. Rev. 2019, 55, 26–32. [Google Scholar] [CrossRef] [PubMed]
- Schardt, C.; Schmid, A.; Bodem, J.; Krisam, J.; Hoffmann, J.; Mertens, C. Donor site morbidity and quality of life after microvascular head and neck reconstruction with free fibula and deep-circumflex iliac artery flaps. J. Cranio Maxillofac. Surg. 2017, 45, 304–311. [Google Scholar] [CrossRef] [PubMed]
- Kim, H.J.; Moon, S.Y. The Deep Circumflex Iliac Artery Flap for Mandibular Reconstruction and Donor Site Reconstruction with a Patient-Specific Implant: A Case Report. Appl. Sci. 2020, 10, 1587. [Google Scholar] [CrossRef]
- Politi, M.; Toro, C. Iliac flap versus fibula flap in mandibular reconstruction. J. Craniofacial Surg. 2012, 23, 774–779. [Google Scholar] [CrossRef]
- Moon, S.-Y. Monocortical deep circumflex iliac artery flap in jaw reconstruction. J. Craniofacial Surg. 2015, 26, 1294–1298. [Google Scholar] [CrossRef]
- Kaur, M.; Singh, K. Review on titanium and titanium based alloys as biomaterials for orthopaedic applications. Mater. Sci. Eng. C 2019, 102, 844–862. [Google Scholar] [CrossRef]
- Thelen, S.; Barthelat, F.; Brinson, L.C. Mechanics considerations for microporous titanium as an orthopedic implant material. J. Biomed. Mater. Res. Part A Off. J. Soc. Biomater. Jpn. Soc. Biomater. Aust. Soc. Biomater. Korean Soc. Biomater. 2004, 69, 601–610. [Google Scholar] [CrossRef]
- Albrektsson, T.; Brånemark, P.; Hansson, H.-A.; Kasemo, B.; Larsson, K.; Lundström, I.; McQueen, D.H.; Skalak, R. The interface zone of inorganic implantsIn vivo: Titanium implants in bone. Ann. Biomed. Eng. 1983, 11, 1–27. [Google Scholar] [CrossRef]
- Hayashi, K.; Uenoyama, K.; Matsuguchi, N.; Sugioka, Y. Quantitative analysis of in vivo tissue responses to titanium-oxide-and hydroxyapatite-coated titanium alloy. J. Biomed. Mater. Res. 1991, 25, 515–523. [Google Scholar] [CrossRef] [PubMed]
- Laing, P.G.; Ferguson, A.B., Jr.; Hodge, E.S. Tissue reaction in rabbit muscle exposed to metallic implants. J. Biomed. Mater. Res. 1967, 1, 135–149. [Google Scholar] [CrossRef] [PubMed]
- Long, M.; Rack, H. Titanium alloys in total joint replacement—A materials science perspective. Biomaterials 1998, 19, 1621–1639. [Google Scholar] [CrossRef] [PubMed]
- Chang, Y.-S.; Oka, M.; Kobayashi, M.; Gu, H.-O.; Li, Z.-L.; Nakamura, T.; Ikada, Y. Significance of interstitial bone ingrowth under load-bearing conditions: A comparison between solid and porous implant materials. Biomaterials 1996, 17, 1141–1148. [Google Scholar] [CrossRef] [PubMed]
- Spoerke, E.D.; Murray, N.G.; Li, H.; Brinson, L.C.; Dunand, D.C.; Stupp, S.I. A bioactive titanium foam scaffold for bone repair. Acta Biomater. 2005, 1, 523–533. [Google Scholar] [CrossRef]
- Pagano, S.; Moretti, M.; Marsili, R.; Ricci, A.; Barraco, G.; Cianetti, S. Evaluation of the accuracy of four digital methods by linear and volumetric analysis of dental impressions. Materials 2019, 12, 1958. [Google Scholar] [CrossRef]
- Jing, Z.; Zhang, T.; Xiu, P.; Cai, H.; Wei, Q.; Fan, D.; Lin, X.; Song, C.; Liu, Z. Functionalization of 3D-printed titanium alloy orthopedic implants: A literature review. Biomed. Mater. 2020, 15, 052003. [Google Scholar] [CrossRef]
- İliak, K.G.A.T.A.; Kırığı, K.K. Avulsion fracture of the anterior iliac crest after bone graft harvest: Case report and review of techniques, risk factors and treatment. Turk. Neurosurg. 2011, 21, 423–426. [Google Scholar]
- Al-Sayyad, M. Fracture of the anterior iliac crest following autogenous bone grafting. Saudi Med. J. 2006, 27, 2. [Google Scholar]
- Hu, R.W.; Bohlman, H. Fracture at the iliac bone graft harvest site after fusion of the spine. Clin. Orthop. Relat. Res. 1994, 309, 208–213. [Google Scholar]
- Jo, Y.-J.; Choi, J.-S.; Bang, J.-A.; Kim, J.; Moon, S.-Y. Risk Factors of Avulsion Fracture after Iliac Crestal Flap for Jaw Reconstruction. Appl. Sci. 2021, 11, 8081. [Google Scholar] [CrossRef]
- Disa, J.J.; Cordeiro, P.G. Mandible reconstruction with microvascular surgery. Semin. Surg. Oncol. 2000, 19, 226–234. [Google Scholar] [CrossRef] [PubMed]
- Schusterman, M.A.; Reece, G.P.; Kroll, S.S.; Weldon, M.E. Use of the AO plate for immediate mandibular reconstruction in cancer patients. Plast. Reconstr. Surg. 1991, 88, 588–593. [Google Scholar] [CrossRef] [PubMed]
- Cordeiro, P.G.; Hidalgo, D.A. Soft tissue coverage of mandibular reconstruction plates. Head Neck 1994, 16, 112–115. [Google Scholar] [CrossRef]
- Cordeiro, P.G.; Hidalgo, D.A. Conceptual considerations in mandibular reconstruction. Clin. Plast. Surg. 1995, 22, 61–69. [Google Scholar] [CrossRef]
- Cordeiro, P.G.; Disa, J.J.; Hidalgo, D.A.; Hu, Q.Y. Reconstruction of the mandible with osseous free flaps: A 10-year experience with 150 consecutive patients. Plast. Reconstr. Surg. 1999, 104, 1314–1320. [Google Scholar] [CrossRef]
- Sanders, R.; Mayou, B.J. A new vascularized bone graft transferred by microvascular anastomosis as a free flap. J. Br. Surg. 1979, 66, 787–788. [Google Scholar] [CrossRef]
- Taylor, G.I.; Townsend, P.; Corlett, R. Superiority of the deep circumflex iliac vessels as the supply for free groin flaps. Clinical work. Plast. Reconstr. Surg. 1979, 64, 745–759. [Google Scholar] [CrossRef]
- Urken, M.L.; Vickery, C.; Weinberg, H.; Buchbinder, D.; Biller, H.F. The internal oblique-iliac crest osseomyocutaneous microvascular free flap in head and neck reconstruction. J. Reconstr. Microsurg. 1989, 5, 203–214. [Google Scholar] [CrossRef]
- Boyd, J.B.; Rosen, I.; Rotstein, L.; Freeman, J.; Gullane, P.; Manktelow, R.; Zuker, R. The iliac crest and the radial forearm flap in vascularized oromandibular reconstruction. Am. J. Surg. 1990, 159, 301–308. [Google Scholar] [CrossRef]
- Kim, H.-S.; Kim, J.-Y.; Hur, H.; Nam, W. Herniation after deep circumflex iliac artery flap: Two cases of rare complication. Maxillofac. Plast. Reconstr. Surg. 2016, 38, 10. [Google Scholar] [CrossRef] [PubMed]
- Ling, X.F.; Peng, X.; Samman, N. Donor-site morbidity of free fibula and DCIA flaps. J. Oral Maxillofac. Surg. 2013, 71, 1604–1612. [Google Scholar] [CrossRef] [PubMed]
- Iqbal, M.; Lloyd, C.J.; Paley, M.D.; Penfold, C.N. Repair of the deep circumflex iliac artery free flap donor site with Protack (titanium spiral tacks) and Prolene (polypropylene) mesh. Br. J. Oral Maxillofac. Surg. 2007, 45, 596–597. [Google Scholar] [CrossRef] [PubMed]
- Halsnad, S.; Dhariwal, D.; Bocca, A.; Evans, P.; Hodder, S. Titanium plate reconstruction of the osseous defect after harvest of a composite free flap using the deep circumflex iliac artery. Br. J. Oral Maxillofac. Surg. 2004, 42, 254–256. [Google Scholar] [CrossRef]
- Lee, U.-L.; Kwon, J.-S.; Woo, S.-H.; Choi, Y.-J. Simultaneous bimaxillary surgery and mandibular reconstruction with a 3-dimensional printed titanium implant fabricated by electron beam melting: A preliminary mechanical testing of the printed mandible. J. Oral Maxillofac. Surg. 2016, 74, 1501.e1–1501.e15. [Google Scholar] [CrossRef]











Disclaimer/Publisher’s Note: The statements, opinions and data contained in all publications are solely those of the individual author(s) and contributor(s) and not of MDPI and/or the editor(s). MDPI and/or the editor(s) disclaim responsibility for any injury to people or property resulting from any ideas, methods, instructions or products referred to in the content. |
© 2023 by the authors. Licensee MDPI, Basel, Switzerland. This article is an open access article distributed under the terms and conditions of the Creative Commons Attribution (CC BY) license (https://creativecommons.org/licenses/by/4.0/).
Share and Cite
Jo, Y.-J.; Cho, Y.-J.; Kim, J.-S.; Kim, J.; You, J.-S.; Oh, J.-S.; Moon, S.-Y. Fixation of Iliac Avulsion Fracture Using Additive Manufacturing Titanium Mesh after DCIA Flap Harvesting: Case Report. Appl. Sci. 2023, 13, 2855. https://doi.org/10.3390/app13052855
Jo Y-J, Cho Y-J, Kim J-S, Kim J, You J-S, Oh J-S, Moon S-Y. Fixation of Iliac Avulsion Fracture Using Additive Manufacturing Titanium Mesh after DCIA Flap Harvesting: Case Report. Applied Sciences. 2023; 13(5):2855. https://doi.org/10.3390/app13052855
Chicago/Turabian StyleJo, Ye-Joon, Yong-Jin Cho, Jun-Seong Kim, Jin Kim, Jae-Seak You, Ji-Su Oh, and Seong-Yong Moon. 2023. "Fixation of Iliac Avulsion Fracture Using Additive Manufacturing Titanium Mesh after DCIA Flap Harvesting: Case Report" Applied Sciences 13, no. 5: 2855. https://doi.org/10.3390/app13052855
APA StyleJo, Y.-J., Cho, Y.-J., Kim, J.-S., Kim, J., You, J.-S., Oh, J.-S., & Moon, S.-Y. (2023). Fixation of Iliac Avulsion Fracture Using Additive Manufacturing Titanium Mesh after DCIA Flap Harvesting: Case Report. Applied Sciences, 13(5), 2855. https://doi.org/10.3390/app13052855

