Primary Reconstruction of Total Maxillectomy with Custom-Made Subperiosteal Implant and Temporal Muscle Flap: A Case Report
Abstract
Featured Application
Abstract
1. Introduction
2. Case Report
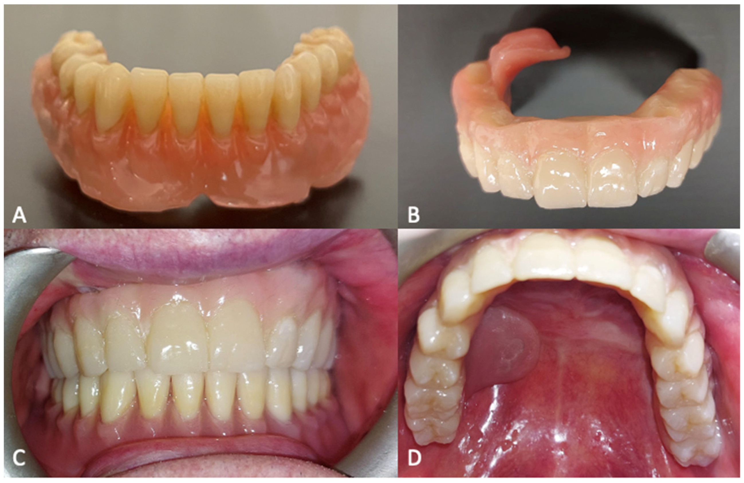
2.1. Subperiosteal Implant Planning and Production
2.2. Surgical Procedure
3. Discussion
4. Conclusions
Author Contributions
Funding
Institutional Review Board Statement
Informed Consent Statement
Data Availability Statement
Conflicts of Interest
References
- Lee, Z.H.; Cripps, C.; Rodriguez, E.D. Current concepts in maxillary reconstruction. Plast. Reconstr. Surg. 2022, 150, 168e–175e. [Google Scholar] [CrossRef] [PubMed]
- Lennox, N.D.; Kim, D.D. Maxillary reconstruction. Oral Maxillofac. Surg. Clin. N. Am. 2013, 25, 215–222. [Google Scholar] [CrossRef] [PubMed]
- Peng, X.; Mao, C.; Yu, G.Y.; Guo, C.B.; Huang, M.X.; Zhang, Y. Maxillary reconstruction with the free fibula flap. Plast. Reconstr. Surg. 2005, 115, 1562–1569. [Google Scholar] [CrossRef]
- Hanasono, M.M.; Silva, A.K.; Yu, P.; Skoracki, R.J. A comprehensive algorithm for oncologic maxillary reconstruction. Plat. Reconstr. Surg. 2013, 131, 47–60. [Google Scholar] [CrossRef] [PubMed]
- Zhang, W.B.; Wang, Y.; Liu, X.J.; Mao, C.; Guo, C.B.; Yu, G.Y.; Peng, X. Reconstruction of maxillary defects with free fibula flap assisted by computer techniques. J. Craniomaxillofac. Surg. 2015, 43, 630–636. [Google Scholar] [CrossRef] [PubMed]
- Ferri, A.; Perlangeli, G.; Bianchi, B.; Zito, F.; Sesenna, E.; Ferrari, S. Maxillary recontruction with scapular tip chimeric free flap. Microsurgery 2021, 41, 207–215. [Google Scholar] [CrossRef]
- Bianchi, B.; Ferri, A.; Ferrari, S.; Copelli, C.; Boni, P.; Sesenna, E. Iliac crest free flap for maxillary recontruction. Microsurgery 2010, 68, 2706–2713. [Google Scholar]
- Patel, S.Y.; Kim, D.D.; Ghali, G.E. Maxillofacial reconstruction using vascularized fibula free flaps and endosseous implants. Oral Maxillofac. Surg. Clin. N. Am. 2019, 31, 259–284. [Google Scholar] [CrossRef] [PubMed]
- Terada, N.; Numata, T.; Kobayashi, N.; Gorai, S.; Tadashi, K.; Ono, K.I.; Konno, A. State of mastication affects quality of life in patients with maxillary sinus cancer. Laryngoscope 2003, 113, 729–736. [Google Scholar] [CrossRef]
- Onoda, S.; Kinioshita, M.; Ariypshi, Y. Investigation of free-flap transfer reconstruction in elderly patients and oral intake function. J. Craniofac. Surg. 2020, 31, e679–e681. [Google Scholar] [CrossRef]
- di Spilimbergo, S.S.; Nordera, P.; Mardini, S.; Castiglione, G.; Chim, H.; Pinna, V.; Brunello, M.; Cusino, C.; Roberto, S.; Baciliero, U. Pedicled temporalis muscle flap for craniofacial reconstruction: A 35-year clinical experience with 366 flaps. Plast. Reconstr. Surg. 2017, 139, 468e–476e. [Google Scholar] [CrossRef] [PubMed]
- Massarelli, O.; Vaira, L.A.; Biglio, A.; Gobbi, R.; Piombino, P.; De Riu, G. Rational and simplified nomenclature for buccinator myomucosal flaps. Oral Maxillofac. Surg. 2017, 21, 453–459. [Google Scholar] [CrossRef]
- Massarelli, O.; Baj, A.; Gobbi, R.; Soma, D.; Marelli, S.; De Riu, G.; Tullio, A.; Giannì, A.B. Cheek mucosa: A versatile donor site of myomucosal flaps. Technical and functional considerations. Head Neck 2013, 35, 109–117. [Google Scholar] [CrossRef] [PubMed]
- Gabrysz-Forget, F.; Tabet, P.; Rahal, A.; Bissada, E.; Christopoulos, A.; Ayad, T. Free versus pedicled flaps for reconstruction of head and neck cancer defects: A systematic review. J. Otolaryngol. Head Neck Surg. 2019, 14, 13. [Google Scholar] [CrossRef] [PubMed]
- Dahl, G. Om mojligheten for inplantation i kaken av metallskelett som bas eller retention for fasta eller avtagbara proteser. Odontol. Tidskr. 1943, 51, 440–449. [Google Scholar]
- Schou, S.; Pallesen, L.; Hjorting-Hansen, E.; Pedersen, C.S.; Fibaek, B. A 41-year history of a mandibular subperiosteal implant. Clin. Oral Impl. Res. 2000, 11, 171–178. [Google Scholar] [CrossRef]
- Buser, D.; Sennerby, L.; De Bruyn, H. Modern implant dentistry based on osseointegration: 50 years of progress, current trends and open questions. Periodontology 2000 2017, 73, 7–21. [Google Scholar] [CrossRef]
- Mommaerts, M.Y. Additively manufactured sub-periosteal jaw implants. Int. J. Oral Maxillofac. Surg. 2017, 46, 938–940. [Google Scholar] [CrossRef]
- Bai, L.; Zheng, L.; Ji, P.; Wan, H.; Zhou, N.; Liu, R.; Wang, C. Additively manufactured lattice-like subperiosteal implants for rehabilitation of the severely atrophic ridge. ACS Biomater. Sci. Eng. 2022, 8, 912–920. [Google Scholar] [CrossRef]
- Van den Borre, C.; Rinaldi, M.; De Neef, B.; Loomans, N.A.J.; Nout, E.; Van Doorne, L.; Naert, I.; Politis, C.; Schouten, H.; Klomp, G.; et al. Patient- and clinician-reported outcomes for the additively manufactured sub-periosteal jaw implant (AMSJI) in the maxilla: A prospective multicentre one-year follow-up study. Int. J. Oral Maxillofac. Surg. 2022, 51, 243–250. [Google Scholar] [CrossRef]
- Mommaerts, M.Y. Evolutionary steps in the design and biofunctionalization of the additively manufactured sub-periosteal jaw implant “AMSJI” for the maxilla. Int. J. Oral Maxillofac. Surg. 2019, 48, 108–114. [Google Scholar] [CrossRef] [PubMed]
- Van den Borre, C.; Rinaldi, M.; De Neef, B.; Loomans, N.A.J.; Nout, E.; Van Doorne, L.; Naert, I.; Politis, C.; Schouten, H.; Klomp, G.; et al. Radiographic evaluation of bone remodeling after additively manufactured subperiosteal jaw implantation (AMSJI) in the maxilla: A one-year follow-up study. J. Clin. Med. 2021, 10, 3542. [Google Scholar] [CrossRef] [PubMed]
- Vosselman, N.; Marema, B.J.; Schepman, K.P.; Raghoebar, G.M. Patient-specific sub-periosteal zygoma implant for prothetic rehabilitation of large maxillary defects after oncological resection. Int. J. Oral Maxillofac. Surg. 2019, 48, 115–117. [Google Scholar] [CrossRef] [PubMed]
- Garrido-Martinez, P.; Quispe-Lopez, N.; Montesdeoca-Garcia, N.; Esparza-Gomez, G.; Cebrian-Carretero, J.L. Maxillary reconstruction with subperiosteal implants in a cancer patient: A one-year follow-up. J. Clin. Exp. Dent. 2022, 14, e293–e297. [Google Scholar] [CrossRef]
- Cebrian-Carretero, J.L.; Del Castillo Pardo de Vera, J.L.; Montesdeoca Garcia, N.; Garrido Martinez, P.; Pampin Martinez, M.M.; Aragon Nino, I.; Navarro Cuéllar, I.; Navarro Cuéllar, C. Virtual surgical planning and customized subperiosteal titanium maxillary implant (CSTMI) for three dimensional recontruction and dental implants of maxillary defects after oncological resection: Case series. J. Clin. Med. 2022, 11, 4594. [Google Scholar] [CrossRef]
- Kondaka, S.; Dal Singh, V.; Vadlamudi, C.; Rao Bathala, L. Prosthetic rehabilitation of untailored defects using patient-specific implants. Dent. Res. J. 2022, 19, 83. [Google Scholar]
- Korn, P.; Gellrich, N.C.; Jehn, P.; Spalthoff, S.; Rahlf, B. A new strategy for patient-specific implant-borne dental rehabilitation in patients with extended maxillary defects. Front. Oncol. 2021, 11, 718872. [Google Scholar] [CrossRef]
- Massarelli, O.; Vaira, L.A.; Gobbi, R.; Biglio, A.; Dell’aversana Orabona, G.; De Riu, G. Soft palate functional reconstruction with buccinator myomucosal island flaps. Int. J. Oral Maxillofac. Surg. 2018, 47, 316–323. [Google Scholar] [CrossRef]
- Dimitroulis, G.; Gupta, B.; Wilson, I.; Hart, C. The atrophic edentulous alveolus. A preliminary study on a new generation of subperiosteal implants. Oral Maxillofac. Surg. 2023, 27, 69–78. [Google Scholar] [CrossRef]
- Mangano, C.; Bianchi, A.; Mangano, F.G.; Dana, J.; Colombo, M.; Solop, I.; Admakin, O. Custom-made 3D printed subperiosteal titanium implants for the prosthetic restoration of the atrophic posterior mandible of elderly patients: A case series. 3D Print Med. 2020, 6, 1. [Google Scholar] [CrossRef]
- Cerea, M.; Dolcini, G.A. Custom-made direct metal laser sintering titanium subperiosteal implants: A retrospective clinical study on 70 patients. Biomed. Res. Int. 2018, 2018, 5420391. [Google Scholar] [CrossRef] [PubMed]
- De Moor, E.; Huys, S.E.F.; van Lenthe, G.H.; Mommaerts, M.Y.; Vander Sloten, J. Mechanical evaluation of a patient-specific additively manufactured subperiosteal jaw implant (AMSJI) using finite-element analysis. Int. J. Oral Maxillofac. Surg. 2022, 51, 405–411. [Google Scholar] [CrossRef] [PubMed]
- Alfaraj, A.; Su, F.Y.; Lin, W.S. CAD-CAM hollow obturator prosthesis: A technical report. J. Prosthodont. 2022, 31, 635–638. [Google Scholar] [CrossRef] [PubMed]
- Schmidt, B.L.; Pogrel, M.A.; Young, C.W.; Sharma, A. Reconstruction of extensive maxillary defects using zygomaticus implants. J. Oral Maxillofac. Surg. 2004, 62, 82–89. [Google Scholar] [CrossRef] [PubMed]
- Rogers, S.N.; Lowe, D.; McNally, D.; Brown, J.S.; Vaughan, E.D. Health-related quality of life after maxillectomy: A comparison between prosthetic obturation and free flap. J. Oral Maxillofac. Surg. 2003, 61, 174–181. [Google Scholar] [CrossRef]
- Kreeft, A.M.; Krap, M.; Wismeiker, D.; Speksnijder, C.M.; Smeele, L.E.; Bosch, S.D.; Muijen, M.S.A.; Balm, A.J.M. Oral function after maxillectomy and reconstruction with an obturator. Int. J. Oral Maxillofac. Surg. 2012, 41, 1387–1392. [Google Scholar] [CrossRef]
- Bujtàr, P.; Simonovics, J.; Varadi, K.; Sandor, G.K.B.; Avery, C.M.E. The biomechanical aspects of reconstruction for segmental defects of the mandible: A finite element study to assess the optimization of plate and screw factors. J. Craniomaxillofac. Surg. 2014, 42, 855–862. [Google Scholar] [CrossRef]
- Cho, M.J.; Hanasono, M.M. Virtual surgical planning in free tissue transfer for orbito-maxillary reconstruction. Semin. Plast. Surg. 2022, 36, 183–191. [Google Scholar] [CrossRef]
- Rosen, E.B.; Allen, R.J., Jr.; Nelson, J.; Matros, E. Inset guide for the osteocutaneous fibula flap with endosseous implants in oncologic jaw reconstruction. Plast. Reconstr. Surg. Glob. Open 2019, 7, e2475. [Google Scholar] [CrossRef]









Disclaimer/Publisher’s Note: The statements, opinions and data contained in all publications are solely those of the individual author(s) and contributor(s) and not of MDPI and/or the editor(s). MDPI and/or the editor(s) disclaim responsibility for any injury to people or property resulting from any ideas, methods, instructions or products referred to in the content. |
© 2023 by the authors. Licensee MDPI, Basel, Switzerland. This article is an open access article distributed under the terms and conditions of the Creative Commons Attribution (CC BY) license (https://creativecommons.org/licenses/by/4.0/).
Share and Cite
De Riu, G.; Soma, D.; Biglio, A.; Raho, M.T.; Mura, D.; Michelon, F.; Salzano, G.; Piombino, P.; Lechien, J.R.; Vaira, L.A. Primary Reconstruction of Total Maxillectomy with Custom-Made Subperiosteal Implant and Temporal Muscle Flap: A Case Report. Appl. Sci. 2023, 13, 6269. https://doi.org/10.3390/app13106269
De Riu G, Soma D, Biglio A, Raho MT, Mura D, Michelon F, Salzano G, Piombino P, Lechien JR, Vaira LA. Primary Reconstruction of Total Maxillectomy with Custom-Made Subperiosteal Implant and Temporal Muscle Flap: A Case Report. Applied Sciences. 2023; 13(10):6269. https://doi.org/10.3390/app13106269
Chicago/Turabian StyleDe Riu, Giacomo, Damiano Soma, Andrea Biglio, Maria Teresa Raho, Danilo Mura, Fabio Michelon, Giovanni Salzano, Pasquale Piombino, Jérome R. Lechien, and Luigi Angelo Vaira. 2023. "Primary Reconstruction of Total Maxillectomy with Custom-Made Subperiosteal Implant and Temporal Muscle Flap: A Case Report" Applied Sciences 13, no. 10: 6269. https://doi.org/10.3390/app13106269
APA StyleDe Riu, G., Soma, D., Biglio, A., Raho, M. T., Mura, D., Michelon, F., Salzano, G., Piombino, P., Lechien, J. R., & Vaira, L. A. (2023). Primary Reconstruction of Total Maxillectomy with Custom-Made Subperiosteal Implant and Temporal Muscle Flap: A Case Report. Applied Sciences, 13(10), 6269. https://doi.org/10.3390/app13106269

