Evaluation of the Efficacy of Probiotics Domiciliary Protocols for the Management of Periodontal Disease, in Adjunction of Non-Surgical Periodontal Therapy (NSPT): A Systematic Literature Review
Abstract
1. Introduction
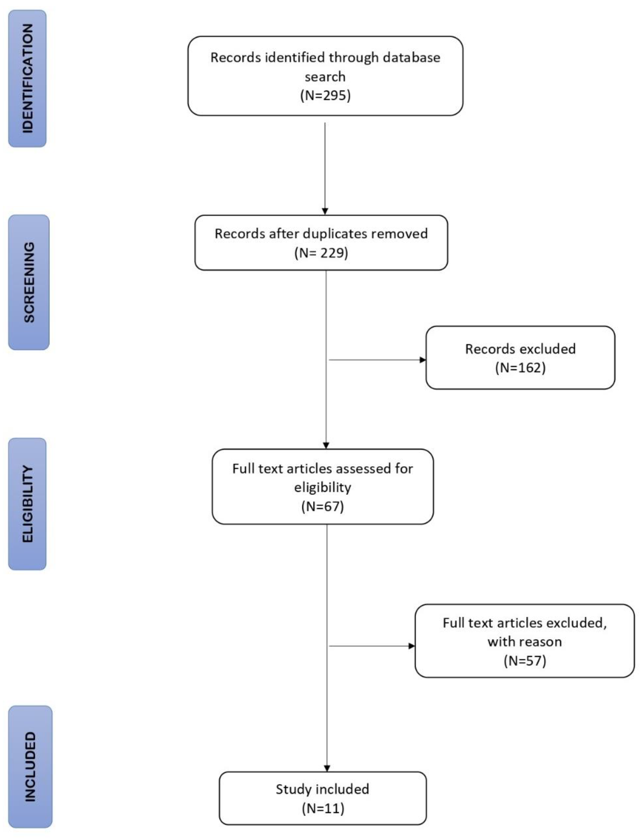
2. Materials and Methods
- -
- Do probiotics provide additional therapeutic effects on clinical, microbiological and immunological outcomes when used in addition to periodontal therapy?
- -
- Do the additional effects of probiotics in addition to the NSPT persist during long-term follow-up?
2.1. Search Strategy
2.2. Study Design
- Posted in English;
- Published between November 2016 and February 2022;
- Follow-up period of at least 3 months;
- Clinical parameters including BOP and CAL;
- Control group containing patients who have been treated, at least, with NSPT.
- The titles and abstracts were examined to verify their admissibility, and only the studies that fulfilled the criteria aforementioned were included.
2.3. Screening and Study Selection
- Study design;
- Probing pocket depth at baseline (PPD measured in mm);
- Clinical attachment level at baseline (CAL measured in mm);
- Sample size;
- Follow-up period;
- Strain of probiotics;
- Duration of probiotic therapy;
- Clinical, microbiological and immunological parameters.
2.4. Quality Assestment (Risk of Bias)
- Random sequence generation;
- Allocation concealment;
- Blinding of participants and personnel;
- Blinding of outcome assessment;
- Incomplete outcome data;
- Selective reporting;
- Other sources of bias.
3. Results
3.1. Characteristics of the Included Studies
3.2. Risk of Bias (ROB) in Individual Studies (Study Level)
3.3. Outcomes of the Studies Included
3.3.1. PPD—Periodontal Probing Depth
3.3.2. CAL—Clinical Attachment Level
3.3.3. BoP—Bleeding on Probing
3.3.4. PI—Plaque Index
3.3.5. Gingival Recession
3.3.6. GI—Gingival Index
4. Discussion
5. Conclusions
Author Contributions
Funding
Institutional Review Board Statement
Informed Consent Statement
Data Availability Statement
Conflicts of Interest
References
- Hajishengallis, G.; Liang, S.; Payne, M.A.; Hashim, A.; Jotwani, R.; Eskan, M.A.; McIntosh, M.L.; Alsam, A.; Kirkwood, K.L.; Curtis, M.A.; et al. Low-abundance biofilm species orchestrates inflammatory periodontal disease through the commensal microbiota and complement. Cell Host Microbe 2011, 10, 497–506. [Google Scholar] [CrossRef] [PubMed]
- Jin, L.; Lamster, I.; Greenspan, J.; Pitts, N.; Scully, C.; Warnakulasuriya, S. Global burden of oral diseases: Emerging concepts, management and interplay with systemic health. Oral Dis. 2016, 22, 609–619. [Google Scholar] [CrossRef] [PubMed]
- Jiang, Y.; Song, B.; Brandt, B.W.; Cheng, L.; Zhou, X.; Exterkate, R.A.M.; Crielaard, W.; Deng, D.M. Comparison of Red-Complex Bacteria Between Saliva and Subgingival Plaque of Periodontitis Patients: A Systematic Review and Meta-Analysis. Front. Cell Infect. Microbiol. 2021, 11, 727732. [Google Scholar] [CrossRef] [PubMed]
- Huang, N.; Gibson, F.C., 3rd. Immuno-pathogenesis of periodontal disease: Current and emerging paradigms. Curr. Oral Health Rep. 2014, 1, 124–132. [Google Scholar] [CrossRef] [PubMed]
- Hajishengallis, G.; Lamont, R.J. Beyond the red complex and into more complexity: The polymicrobial synergy and dysbiosis (PSD) model of periodontal disease etiology. Mol. Oral Microbiol. 2012, 27, 409–419. [Google Scholar] [CrossRef] [PubMed]
- Hajishengallis, G. The inflammophilic character of the periodontitis-associated microbiota. Mol. Oral Microbiol. 2014, 29, 248–257. [Google Scholar] [CrossRef] [PubMed]
- Aimettj, M. Nonsurgical periodontal treatment. Int. J. Esthet. Dent. 2014, 9, 251–267. [Google Scholar]
- Cobb, C.M. Clinical significance of non-surgical periodontal therapy: An evidence-based perspective of scaling and root planing. J. Clin. Periodontol. 2002, 29 (Suppl. S2), 22–32. [Google Scholar] [CrossRef]
- VanderWeijden, G.A.; Timmerman, M.F. A systematic review on the clinical efficacy of subgingival debridementinthetreatment of chronic periodontitis. J. Clin. Periodontol. 2002, 29 (Suppl. S3), 55–71. [Google Scholar] [CrossRef]
- Butera, A.; Gallo, S.; Maiorani, C.; Molino, D.; Chiesa, A.; Preda, C.; Esposito, F.; Scribante, A. Probiotic Alternative to Chlorhexidine in Periodontal Therapy: Evaluation of Clinical and Microbiological Parameters. Microorganisms 2021, 9, 69. [Google Scholar] [CrossRef]
- Scribante, A.; Gallo, S.; Pascadopoli, M.; Soleo, R.; Di Fonso, F.; Politi, L.; Venugopal, A.; Marya, A.; Butera, A. Management of Periodontal Disease with Adjunctive Therapy with Ozone and Photobiomodulation (PBM): A Randomized Clinical Trial. Photonics 2022, 9, 138. [Google Scholar] [CrossRef]
- Haffajee, A.D.; Teles, R.P.; Socransky, S.S. The effect of periodontal therapy on the composition of the subgingival microbiota. Periodontology 2000 2006, 42, 219–258. [Google Scholar] [CrossRef] [PubMed]
- Food and Agriculture Organization of the United Nations/World Health Organization. Guidelines for the Evaluation of Probiotics in Food. 2002. Available online: https://www.who.int/foodsafety/fs_management/en/probiotic_guidelines.pdf (accessed on 15 September 2022).
- Allaker, R.P.; Stephen, A.S. Use of probiotics and oral health. Curr. Oral Health Rep. 2017, 4, 309–318. [Google Scholar] [CrossRef] [PubMed]
- Dosseva-Panova, V.T.; Popova, C.L.; Panov, V. Subgingival Microbial Profile and Production of Proinflammatory Cytokines In Chronic Periodontitis. Folia Med. 2014, 56, 152–160. [Google Scholar] [CrossRef] [PubMed]
- Gupta, R.; Srivastava, S. Antifungal effect of antimicrobial peptides (AMPs LR14) derived from Lactobacillus plantarum strain LR/14 and their applications in prevention of grain spoilage. Food Microbiol. 2014, 42, 1–7. [Google Scholar] [CrossRef]
- Gillor, O.; Etzion, A.; Riley, M.A. The dual role of bacteriocins as anti- and probiotics. Appl. Microbiol. Biotechnol. 2008, 81, 591–606. [Google Scholar] [CrossRef]
- Parker, E.A.; Roy, T.; D’Adamo, C.R.; Wieland, L.S. Probiotics and gastrointestinal conditions: An overview of evidence from the Cochrane Collaboration. Nutrition 2017, 45, 125–134.e11. [Google Scholar] [CrossRef]
- Zmora, N.; Zilberman-Schapira, G.; Suez, J.; Mor, U.; Dori-Bachash, M.; Bashiardes, S.; Kotler, E.; Zur, M.; Regev-Lehavi, D.; Elinav, E.; et al. Personalized gut mucosal colonization resistance to empiric probiotics is associated with unique host and microbiome features. Cell 2018, 174, 1388–1405.e21. [Google Scholar] [CrossRef]
- Moher, D.; Liberati, A.; Tetzlaff, J.; Altman, D.G.; PRISMA Group. Preferred reporting items for systematic reviews and meta-analyses: The PRISMA statement. PLoS Med. 2009, 6, e1000097. [Google Scholar] [CrossRef]
- Higgins, J.P.T.; Green, S.; Assessing risk of Bias in Included Studies. Cochrane Handbook for Systematic Reviews of Interventions Version 5.1.0 [Updated March 2011]. Available online: http://handbook-5-1.cochrane.org/chapter_8/8_assessing_risk_of_bias_in_included_studies.htm (accessed on 11 June 2019).
- Invernici, M.M.; Furlaneto, F.A.; Salvador, S.L.; Ouwehand, A.C.; Salminen, S.; Mantziari, A.; Vinderola, G.; Ervolino, E.; Santana, S.I.; Messora, M.R.; et al. Bifidobac- terium animalis subsp lactis HN019 presents antimicrobial po- tential against periodontopathogens and modulates the immunological response of oral mucosa in periodontitis patients. PLoS ONE 2020, 15, e0238425. [Google Scholar] [CrossRef]
- Invernici, M.M.; Salvador, S.L.; Silva, P.H.; Soares, M.S.; Casarin, R.; Palioto, D.B.; Souza, S.L.S.; Taba, M., Jr.; Novaes, A.B., Jr.; Messora, M.R.; et al. Effects of Bi- fidobacterium probiotic on the treatment of chronic pe- riodontitis: A randomized clinical trial. J. Clin. Periodontol. 2018, 45, 1198–1210. [Google Scholar] [CrossRef] [PubMed]
- Grusovin, M.G.; Bossini, S.; Calza, S.; Cappa, V.; Garzetti, G.; Scotti, E.; Gherlone, E.F.; Mensi, M. Clincal Efficacy of Lactobacillus reuteri-containing lozenges in the supportive therapy of generalized periodontitis stage III and IV, grade C: 1-year results of a double-blind randomized placebo-controlled pilot study. Clin. Oral Investig. 2020, 24, 2015–2024. [Google Scholar] [CrossRef] [PubMed]
- Patyna, M.; Ehlers, V.; Bahlmann, B.; Kasaj, A. Effects of adjunctive light-activated disinfection and probiotics on clinical and microbiological parameters in periodontal treatment: A randomized, controlled, clinical pilot study. Clin. Oral Investig. 2021, 25, 3967–3975. [Google Scholar] [CrossRef] [PubMed]
- Pudgar, P.; Povsic, K.; Cuk, K.; Seme, K.; Petelin, M.; Gaspersic, R. Probiotic strains of Lactobacillus brevis and Lactobacillus plan- tarum as adjunct to non-surgical periodontal therapy: 3-month results of a randomized controlled clinical trial. Clin Oral Investig. 2020, 25, 1411–1422. [Google Scholar] [CrossRef]
- Pelekos, G.; Acharya, A.; Eiji, N.; Hong, G.; Leung, W.K.; McGrath, C. Effects of adjunctive probiotic L. reuteri lozenges on S/RSD outcomes at molar sites with deep pockets. J. Clin Periodontol. 2020, 47, 1098–1107. [Google Scholar] [CrossRef]
- Laleman, I.; Pauwels, M.; Quirynen, M.; Teughels, W. A dual-strain Lactobacilli reuteri probiotic improves the treatment of residual pockets: A randomized controlled clinical trial. J. Clin. Periodontol. 2019, 47, 43–53. [Google Scholar] [CrossRef]
- Theodoro, L.; Cláudio, M.; Nuernberg, M.; Miessi, D.; Batista, J.; Duque, C.; Garcia, V. Effects of Lactobacillus reuteri as an adjunct to the treatment of periodontitis in smokers: Randomised clinical trial. Benef. Microbes 2019, 10, 375–384. [Google Scholar] [CrossRef]
- Morales, A.; Gandolfo, A.; Bravo, J.; Carvajal, P.; Silva, N.; Godoy, C.; Garcia-Sesnich, J.; Hoare, A.; Diaz, P.; Gamonal, J. Microbiological and clin- ical effects of probiotics and antibiotics on nonsurgical treat- ment of chronic periodontitis: A randomized placebocon- trolled trial with 9-month follow-up. J Appl. Oral Sci. 2018, 26, 1–9. [Google Scholar] [CrossRef]
- Vohra, F.; Bukhari, I.A.; Sheikh, S.A.; Albaijan, R.; Naseem, M.; Hus-Sain, M. Effectiveness of scaling and root planing with and with- out adjunct probiotic therapy in the treatment of chronic peri- odontitis among shamma users and non-users: A randomized controlled trial. J. Periodontol. 2020, 91, 1177–1185. [Google Scholar] [CrossRef]
- Butera, A.; Gallo, S.; Pascadopoli, M.; Maiorani, C.; Milone, A.; Alovisi, M.; Scribante, A. Paraprobiotics in Non-Surgical Periodontal Therapy: Clinical and Microbiological Aspects in a 6-Month Follow-Up Domiciliary Protocol for Oral Hygiene. Microorganisms 2022, 10, 337. [Google Scholar] [CrossRef]
- Krasse, P.; Carlsson, B.; Dahl, C.; Paulsson, A.; Nilsson, A.; Sinkiewicz, G. Decreased gum bleeding and reduced gingivitis by the probiotic Lactobacillus reuteri. Swed. Dent. J. 2006, 30, 55–60. [Google Scholar] [PubMed]
- Tekce, M.; Ince, G.; Gursoy, H.; Dirikan Ipci, S.; Cakar, G.; Kadir, T.; Yılmaz, S. Clinical and microbiological effects of probiotic lozenges in the treatment of chronic peri- odontitis: A 1-year follow-up study. J. Clin. Periodontol. 2015, 42, 363–372. [Google Scholar] [CrossRef] [PubMed]
- Vivekananda, M.; Vandana, K.; Bhat, K. Effect of the probioticLactobacilli reuteri(Prodentis) in the management of periodontal disease: A preliminary randomized clinical trial. J. Oral Microbiol. 2010, 2, 5344. [Google Scholar] [CrossRef] [PubMed]
- Abate, A.; Gaffuri, F.; Lanteri, V.; Fama, A.; Ugolini, A.; Mannina, L.; Maspero, C. A CBCT based analysis of the correlation between volumetric morphology of the frontal sinuses and the facial growth pattern in caucasian subjects. A Cross-Sect. Study. Head Face Med. 2022, 18, 4. [Google Scholar] [CrossRef] [PubMed]


| Main Characteristics of the Included Studies | |||||||
|---|---|---|---|---|---|---|---|
| Study | Study Design | (T/C) | Intervent | Probiotic | Application | Outcomes | Follow-Up (Months) |
| Invernici et al. 2020 [22] | Double-blind, placebocontrolled RCT | 15/15 | NSPT+ probiotic | Bifidobacteri um animalis subsp. lactis | Tablet | BOP, PI | 1, 3 m |
| Invernici et al. 2018 [23] | Double-blind, placebocontrolled RCT | 20/21 | NSPT+ probiotic | Bifidobacteri um animalis subsp. lactis | Tablet | PPD, CAL, BOP, PI | 1, 3 m |
| Grusovin et al. 2019 [24] | Double-blind, placebocontrolled RCT | 10/10 | NSPT+ probiotic | Lactobacillus reuterii | Tablet | PPD, BOP, PI | 3, 6, 9, 12 m |
| Patyna et al. 2020 [25] | Placebocontrolled RCT | 16/16 | NSPT+ probiotic | Lactobacillus brevis and Lactobacillus Plantarum | Gel+ Tablet | PPD, CAL, BOP, PI, GI | 3, 6 m |
| Pudgar et al. 2020 [26] | Double-blind, placebocontrolled RCT | 20/20 | NSPT+ probiotic | Lactobacillus brevis and Lactobacillus Plantarum | Gel+ Tablet | PPD, CAL, BOP, PI | 3 m |
| Pelekos et al. 2020 [27] | Double-blind, placebocontrolled RCT | 20/20 | NSPT+ probiotic | Lactobacillus reuterii | Tablet | PPD, CAL, BI e PI | 3, 6 m |
| Laleman et al. 2020 [28] | Double-blind, placebocontrolled RCT | 19/20 | NSPT+ probiotic | Lactobacillus reuterii | Drops+ Tablet | PPD, CAL, BOP, PI | 3, 6 m |
| Theodoro et al. 2019 [29] | Placebocontrolled RCT | 14/14 | NSPT+ probiotic | Lactobacillus reuterii | Tablet | PPD, CAL, BOP, REC | 3 m |
| Morales et al. 2018 [30] | Double-blind, placebocontrolled RCT | 16/15 | NSPT+ probiotic | Lactobacillus rrhamnosus | Sachet | PPD, CAL, BOP | 3, 6, 9 m |
| Vohra et al. 2020 [31] | Double-blind, placebocontrolled RCT | 31/33 | NSPT+ probiotic | Lactobacillus reuterii | Tablet | PPD, PI, BOP, CAL | 3, 6 m |
| Butera et al. 2022 [32] | Double-blind, placebocontrolled RCT | 20/20 | NSPT+ probiotic | Lactobacillus acidophilus and Bifidobacterium breve | Toothpaste and chewingum | BOP, PPD, CAL, BS, SBI, API, PI, AG, GR | 1, 3, 6 m |
| Random Sequence Generation | Allocation Concealment | Blinding | Incomplete Outcome Data | Selective Reporting | |
|---|---|---|---|---|---|
| Invernici et al. 2020 [22] | ![]() | ![]() | ![]() | ![]() | ![]() |
| Invernici et al. 2018 [23] | ![]() | ![]() | ![]() | ![]() | ![]() |
| Grusovin et al. 2019 [24] | ![]() | ![]() | ![]() | ![]() | ![]() |
| Patyna et al. 2020 [25] | ![]() | ![]() | ![]() | ![]() | ![]() |
| Pudgar et al. 2020 [26] | ![]() | ![]() | ![]() | ![]() | ![]() |
| Pelekos et al. 2020 [27] | ![]() | ![]() | ![]() | ![]() | ![]() |
| Laleman et al. 2020 [28] | ![]() | ![]() | ![]() | ![]() | ![]() |
| Theodoro et al. 2019 [29] | ![]() | ![]() | ![]() | ![]() | ![]() |
| Morales et al. 2018 [30] | ![]() | ![]() | ![]() | ![]() | ![]() |
| Vohra et al. 2020 [31] | ![]() | ![]() | ![]() | ![]() | ![]() |
| Butera et al. 2022 [32] | ![]() | ![]() | ![]() | ![]() | ![]() |
| Clinical Parameters Outcomes | ||||||
|---|---|---|---|---|---|---|
| Study | PPD | CAL | PI | BOP | GI | Rec |
| Invernici et al. 2020 [22] | NA | NA | Group T Baseline: 18.71 ± 12.14 Follow up: 9.58 ± 5.75 Group C Baseline: 22.50 ± 8.54 Follow up:1 5.33 ± 9.47 | Group T Baseline: 9.17 ± 7.71 Follow up: 4.85 ± 5.2 Group C Baseline: 14.07 ± 7.99 Follow up: 9.38 ± 8.67 | NA | NA |
| Invernici et al. 2018 [23] | Group T Baseline: 3.01 ± 0.27 Follow up: 2.53 ± 0.25 Group C Baseline: 3.01 ± 0.43 Follow up: 2.78 ± 0.37 | Group T Baseline: 3.26 ± 0.39 Follow up: 2.77 ± 0.44 Group C Baseline: 3.42 ± 0.54 Follow up: 3.13 ± 0.50 | Group T Baseline: 23.85 ± 15.33 Follow up: 14.20 ± 12.73 Group C Baseline: 26.71 ± 16.60 Follow up: 20.24 ± 17.53 | Group T Baseline: 0.25 ± 0.35 Follow up: 0.23 ± 0.32 Group C Baseline: 0.32 ± 0.33 Follow up: 0.35 ± 0.33 | NA | NA |
| Grusovin et al. 2019 [24] | Group T Baseline: 2.23 (2.06, 2.40) Follow up: 2.05 (1.88, 2.23) Group C Baseline: 2.23 (2.06, 2.40) Follow up: 2.15 (1.97, 2.32) | NA | Group T Baseline: 22.4 Follow up: NA Group C Baseline: 18.6 Follow up: NA | Group T Baseline: 22.42 (15.72, 31.99) Follow up: 13.23 (8.84, 19.80) Group C Baseline: 22.42 (15.72, 31.99) Follow up: 16.23 (10.76, 24.47) | NA | NA |
| Patyna et al. 2020 [25] | Group T Baseline: 4.71 ± 0.19 Follow up: 4.06 ± 0.23 Group C Baseline: 4.23 ± 0.76 Follow up: 3.43 ± 0.45 | Group T Baseline: 6.81 ± 1.28 Follow up: 6.11 ± 1.53 Group C Baseline: 5.95 ± 1.12 Follow up: 5.09 ± 0.77 | Group T Baseline: 19.85 ± 14.60 Follow up: 10.64 ± 10.50 Group C Baseline: 27.24 ± 26.18 Follow up: 11.09 ± 9.87 | Group T Baseline: 34.00 ± 25.30 Follow up: 12.13 ± 9.14 Group C Baseline: 19.06 ± 13.02 Follow up: 9.88 ± 9.63 * | Group T Baseline: 29.09 ± 25.12 Follow up: 11.50 ± 15.13 Group C Baseline: 19.12 ± 13.03 Follow up: 8.84 ± 6.87 | NA |
| Pudgar et al. 2020 [26] | Group T Baseline: 3.9 (3.7; 4.2) Follow up: 3.0 (2.9; 3.2) Group C Baseline: 4.0 (3.6; 4.3) Follow up: 3.1 (2.8; 3.3) | Group T Baseline: 4.3 (3.8; 4.9) Follow up: 3.6 (3.1; 4.2) Group C Baseline: 4.5 (4.0; 5.9) Follow up: 3.7 (3.3; 4.9) | Group T Baseline: 24.5 (17.5; 38.0) Follow up: 9.0 (6.0; 13.5) Group C Baseline: 23.5 (14.0; 36.5) Follow up: 12.5 (5.5; 23.5) | Group T Baseline: 63.0 (45.0; 77.5) Follow up: 27.0 (18.5; 31.0) Group C Baseline: 63.0 (44.0; 74.5) Follow up: 24.5 (15.5; 30.0) | NA | NA |
| Pelekos et al. 2020 [27] | Group T Baseline: 5.95 ± 1.19 Follow up: 4.71 ± 1.41 Group C Baseline: 6.38 ±1.68 Follow up: 5.30 ± 1.92 | Group T Baseline: 7.61 ± 1.99 Follow up: 7.00 ± 2.20 Group C Baseline: 8.02 ± 2.32 Follow up: 7.59 ± 2.53 | NA | Group T Baseline:184 (87.6%) Follow up:116 (55.2%) Group C Baseline: 221(93.2%) Follow up: 149 (62.9%) | NA | NA |
| Laleman et al. 2020 [28] | Group T Baseline: 3.09 ± 0.32 Follow up: 2.66 ± 0.21 Group C Baseline: 3.28 ± 0.39 Follow up: 2.84 ± 0.40 | Group T Baseline: 3.58 ± 0.69 Follow up: 3.02 ± 0.98 Group C Baseline: 3.67 ± 0.69 Follow up: 3.36 ± 0.88 | Group T Baseline: 36 ± 14 Follow up: 27 ± 10 Group C Baseline: 50 ± 25 Follow up: 31 ± 11 | Group T Baseline: 34 ± 33 Follow up: 20 ± 18 Group C Baseline: 38 ± 14 Follow up: 25 ± 12 | NA | NA |
| Theodoro et al. 2019 [29] | Group T Baseline: 3.23 ± 0.44 Follow up: 2.98 ± 0.54 Group C Baseline: 3.81 ± 0.44 Follow up: 3.66 ± 0.36 | Group T Baseline: 4.39 ± 0.86 Follow up: 3.96 ± 0.89 Group C Baseline: 4.23 ± 0.56 Follow up: 4.17 ± 0.42 | NA | Group T Baseline: 45.74 ± 20.65 Follow up: 23.51 ± 14.1 Group C Baseline: 74.10 ± 22.08 Follow up: 65.13 ± 20.65 | NA | Group T Baseline: 1.16 ± 0.75 Follow up: 1.00 ± 0.66 Group C Baseline: 2.00 ± 0.78 Follow up: 2.02 ± 0.56 |
| Morales et al. 2018 [30] | Group T Baseline: 2.7 ± 0.6 Follow up: 2.1 ± 0.3 Group C Baseline: 3.1 ± 0.9 Follow up: 2.4 ± 0.5 | Group T Baseline: 3.8 ± 0.7 Follow up: 3.4 ± 0.6 Group C Baseline: 4.7 ± 1.5 Follow up: 4.1 ± 1.4 | NA | Group T Baseline: 56.1 ± 9.4 Follow up: 32.4 ± 13.9 Group C Baseline: 54.5 ± 18.8 Follow up: 24.7 ± 11.3 | NA | NA |
| Vohra et al. 2020 [31] | Group T Baseline: 6.2 ± 1.6 Follow up: 4.5 ± 0.3 Group C Baseline: 6.5 ± 0.5 Follow up: 5 ± 0.6 | Group T Baseline: 4.6 ± 0.4 Follow up: 4.4 ± 0.2 Group C Baseline: 4.1 ± 0.3 Follow up: 4.2 ± 0.08 | Group T Baseline: 61.3 ± 10.2% Follow up: 36.3 ± 4.2% Group C Baseline: 64.5 ± 5.1% Follow up: 42.2 ± 6.5% | Group T Baseline: 66.4 ± 11.3% Follow up: 40.1 ± 6.1% Group C Baseline: 71.2 ± 9.3% Follow up: 50.5 ± 10.2% | NA | NA |
| Butera et al. 2022 [32] | Group T Baseline: 6.69 ± 1.15 Follow up: 5.92 ± 0.64 Group C Baseline: 6.88 ± 1.26 Follow up: 6.05 ± 2.07 | Group T Baseline: 6.23 ± 0.62 Follow up: 5.73 ± 0.94 Group C Baseline: 6.83 ± 1.87 Follow up: 6.05 ± 2.07 | Group T Baseline: 93.50 ± 15.65 Follow up: 71.00 ± 31.48 Group C Baseline: 79.75 ± 21.61 Follow up: 78.00 ± 20.03 | Group T Baseline: 66.75 ± 33.41 Follow up: 29.25 ± 20.82 Group C Baseline: 81.85 ± 17.23 Follow up: 69.25 ± 18.16 | NA | Group T Baseline: 3.23 ± 0.78 Follow up: 3.20 ± 0.73 Group C Baseline: 3.48 ± 1.28 Follow up: 3.40 ± 1.18 |
Disclaimer/Publisher’s Note: The statements, opinions and data contained in all publications are solely those of the individual author(s) and contributor(s) and not of MDPI and/or the editor(s). MDPI and/or the editor(s) disclaim responsibility for any injury to people or property resulting from any ideas, methods, instructions or products referred to in the content. |
© 2023 by the authors. Licensee MDPI, Basel, Switzerland. This article is an open access article distributed under the terms and conditions of the Creative Commons Attribution (CC BY) license (https://creativecommons.org/licenses/by/4.0/).
Share and Cite
Butera, A.; Folini, E.; Cosola, S.; Russo, G.; Scribante, A.; Gallo, S.; Stablum, G.; Menchini Fabris, G.B.; Covani, U.; Genovesi, A. Evaluation of the Efficacy of Probiotics Domiciliary Protocols for the Management of Periodontal Disease, in Adjunction of Non-Surgical Periodontal Therapy (NSPT): A Systematic Literature Review. Appl. Sci. 2023, 13, 663. https://doi.org/10.3390/app13010663
Butera A, Folini E, Cosola S, Russo G, Scribante A, Gallo S, Stablum G, Menchini Fabris GB, Covani U, Genovesi A. Evaluation of the Efficacy of Probiotics Domiciliary Protocols for the Management of Periodontal Disease, in Adjunction of Non-Surgical Periodontal Therapy (NSPT): A Systematic Literature Review. Applied Sciences. 2023; 13(1):663. https://doi.org/10.3390/app13010663
Chicago/Turabian StyleButera, Andrea, Elisa Folini, Saverio Cosola, Gianluca Russo, Andrea Scribante, Simone Gallo, Giulia Stablum, Giovanni Battista Menchini Fabris, Ugo Covani, and Annamaria Genovesi. 2023. "Evaluation of the Efficacy of Probiotics Domiciliary Protocols for the Management of Periodontal Disease, in Adjunction of Non-Surgical Periodontal Therapy (NSPT): A Systematic Literature Review" Applied Sciences 13, no. 1: 663. https://doi.org/10.3390/app13010663
APA StyleButera, A., Folini, E., Cosola, S., Russo, G., Scribante, A., Gallo, S., Stablum, G., Menchini Fabris, G. B., Covani, U., & Genovesi, A. (2023). Evaluation of the Efficacy of Probiotics Domiciliary Protocols for the Management of Periodontal Disease, in Adjunction of Non-Surgical Periodontal Therapy (NSPT): A Systematic Literature Review. Applied Sciences, 13(1), 663. https://doi.org/10.3390/app13010663
























































