Equine Stomach Development in the Foetal Period of Prenatal Life—A Histological and Histometric Study
Abstract
Simple Summary
Abstract
1. Introduction
2. Material and Methods
- the first age group—4th–5th month of gestation,
- the second age group—7th–8th month of gestation,
- the third age group—10th–11th month of gestation.
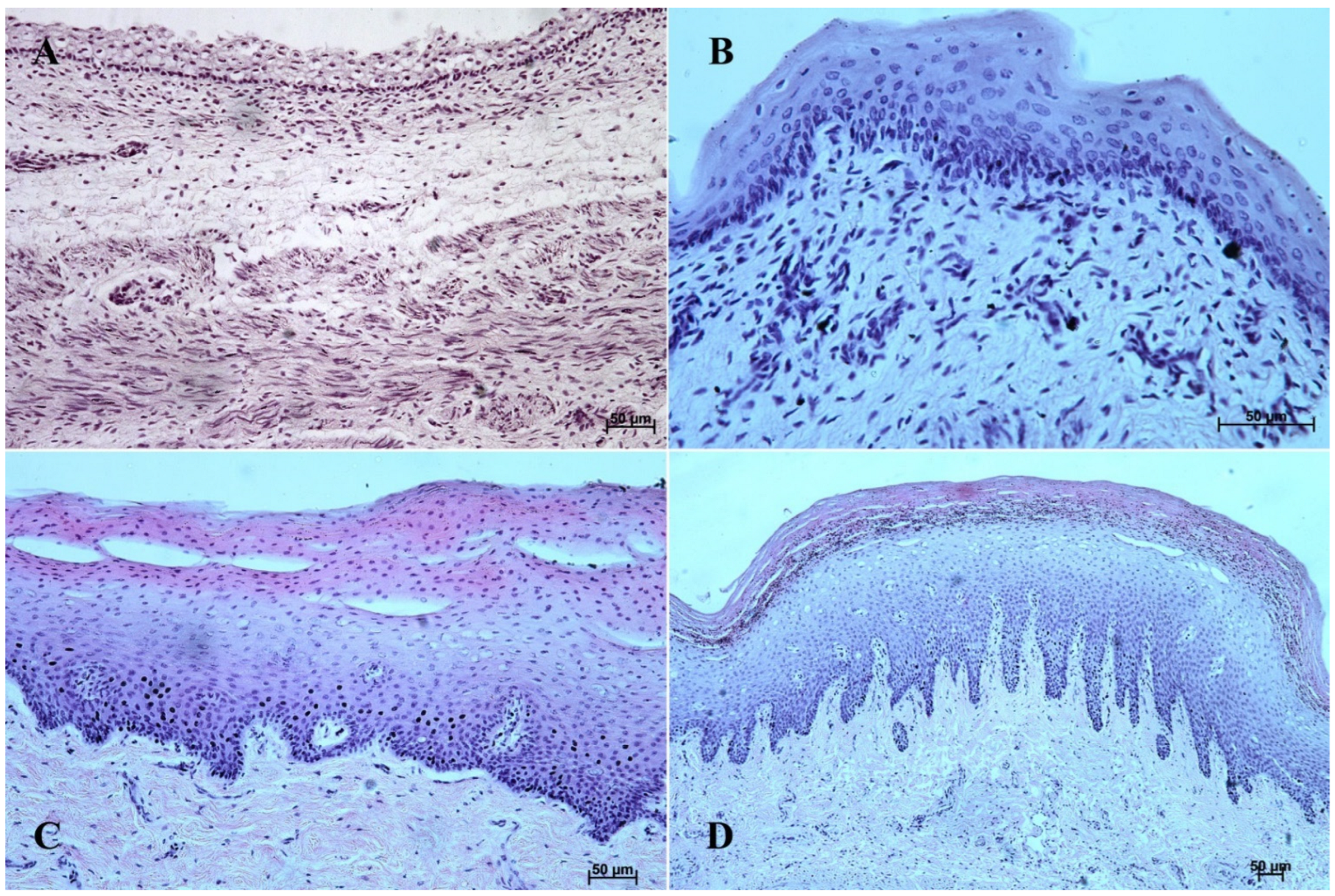
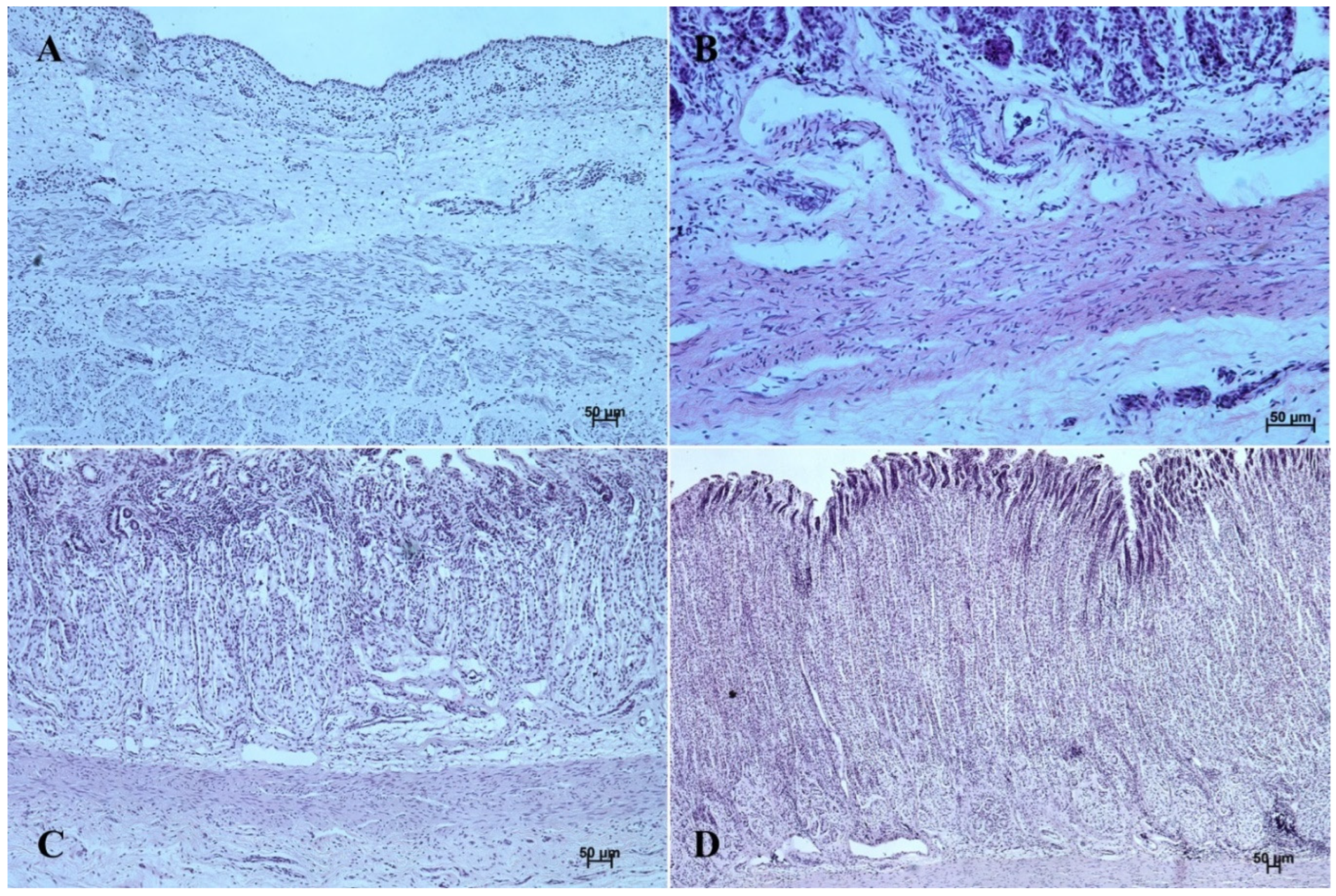
3. Results
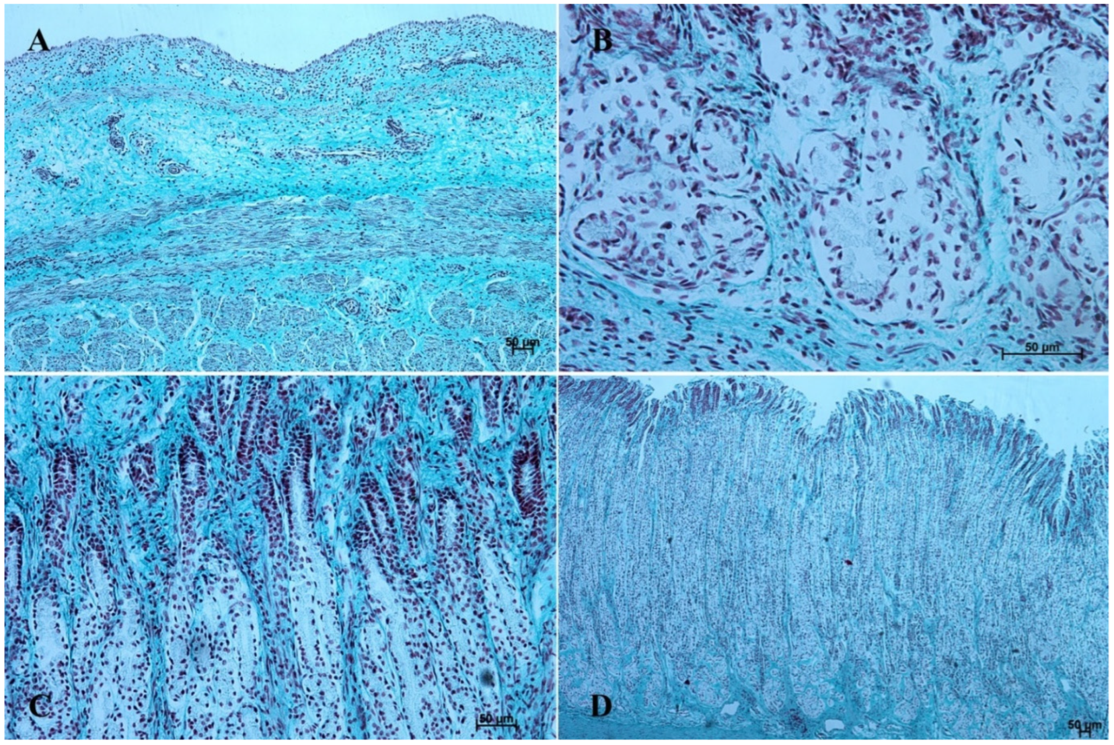
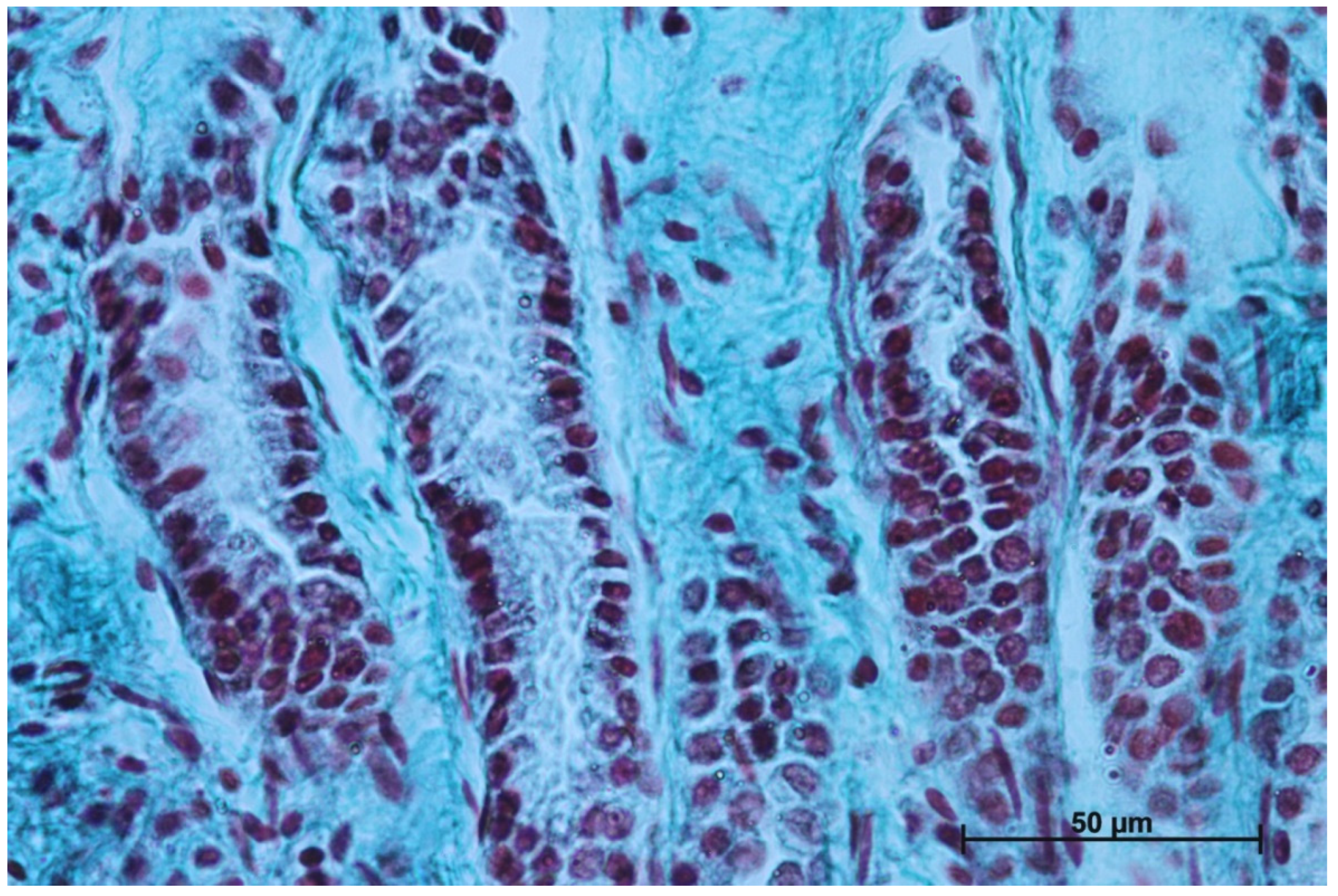
3.1. Microanatomy of the Stomach
3.2. Histometry of the Stomach Wall
3.3. Blind Ventricular Sac
3.4. Plicated Edge Margin/Cardiac Part
3.5. Body of the Stomach
3.6. The Pyloric Part
4. Discussion
5. Conclusions
Author Contributions
Funding
Institutional Review Board Statement
Informed Consent Statement
Data Availability Statement
Conflicts of Interest
References
- Werner, E.D. The organogenesis and early histogenesis of the bovine stomach. Am. J. Anat. 1958, 102, 33–53. [Google Scholar] [CrossRef] [PubMed]
- McGeady, T.A.; Sack, W.O. The development of vagal nerve innervation of the bovine stomach. Am. J. Anat. 1967, 121, 121–130. [Google Scholar] [CrossRef] [PubMed]
- Georgieva, R.; Gerov, K. The morphological and functional differentiation of the alimentary canal of pig during ontogeny. I—Development and differentiation of the fundic portion of stomach. Anat. Anz. 1975, 137, 12–15. [Google Scholar]
- Georgieva, R.; Gerov, K. The morphological and functional differentiation of the alimentary canal of the pig during ontogeny. II development and differentiation of the jejunum. Anat. Anz. 1975, 137, 16–20. [Google Scholar] [PubMed]
- Pospieszny, N. Distribution of the vegal nerve of the stomach and certain lymph nodes of the sheep in the prenatal period. Anat. Anz. 1979, 146, 47–59. [Google Scholar] [PubMed]
- Cai, W.-Q.; Gabella, G. Structure and innervation of the musculature at the gastroduodenal junction of the guinea pig. J. Anat. 1984, 139, 93–104. [Google Scholar]
- Ginneken, C.V.; Weyns, A.; Meir, F.V.; Ooms, L.; Verhofstad, A. Intrinsic innervation of the stomach of the foetal pig: An immunohistochemical study of VIP-immunoreactive nerve fibres and cell bodies. Anat. Histol. Embryol. 1996, 25, 269–275. [Google Scholar] [CrossRef]
- Knospe, C. Die Entwickling der Magendrüssen der Katze (felis silvestris catus). Anat. Histol. Embryol. 1996, 25, 75–94. [Google Scholar] [CrossRef]
- Schnorr, B.; Kressin, M. Embriologie der Haustiere, 6th ed.; Enke Verlag: Stuttgart, Germany, 2011. [Google Scholar]
- Rüsse, I.; Sinowatz, F. Lehrbuch der Embriologie der Haustiere; Verlag Paul Parey: Berlin und Hamburg, Germany, 1991. [Google Scholar]
- Bielańska-Osuchowska, Z. Zarys Organogenezy, 1st ed.; PWN: Warszawa, Poland, 2004. [Google Scholar]
- Chrószcz, A. The innervation and arterial blood supply of pig’s stomach in the foetal period. Electron. J. Pol. Agric. Univ. 2008, 11. [Google Scholar]
- Chrószcz, A. The morphometric and topographic study of pig’s stomach development between the 35th and 114th day of gestation. Electron. J. Pol. Agric. Univ. 2008, 11. [Google Scholar]
- Chrószcz, A. Morphology, development and histometry of swine gastric wall in the foetal period. Electron. J. Pol. Agric. Univ. 2008, 11. [Google Scholar]
- Poradowski, D.; Chrószcz, A. Equine stomach development in the fetal period—An anatomical, topographical, and morphometric study. Animals 2022, 12, 2966. [Google Scholar] [CrossRef]
- Deren, J.S. Development of structure and function in the fetal and newborn stomach. Am. J. Clin. Nutr. 1971, 24, 144–159. [Google Scholar] [CrossRef] [PubMed]
- Yeomans, D.N.; Trier, J.S. Epithelial cell proliferation and migration in the developing rat gastric mucosa. Dev. Biol. 1976, 53, 206–216. [Google Scholar] [CrossRef]
- Karam, S.M.; Leblond, C.P. Dynamics of epithelial cells in the corpus of the mouse. I—Identification of proliferative cell types and pin pointing of the stem cells. Anat. Rec. 1993, 236, 259–279. [Google Scholar] [CrossRef]
- Karam, S.M.; Leblond, C.P. Dynamics of epithelial cells in the corpus of the mouse. II—Outward migration of pit cells. Anat. Rec. 1993, 236, 280–296. [Google Scholar] [CrossRef]
- Karam, S.M.; Leblond, C.P. Dynamics of epithelial cells in the corpus of the mouse. III—Inward migration of neck cells followed by progressive transformation into zymogenic cells. Anat. Rec. 1993, 236, 297–313. [Google Scholar] [CrossRef]
- Karam, S.M.; Leblond, C.P. Dynamics of epithelial cells in the corpus of the mouse. IV—Bidirectional migration of parietal cells ending in their degeneration and loss. Anat. Rec. 1993, 236, 314–322. [Google Scholar] [CrossRef]
- Karam, S.M.; Leblond, C.P. Dynamics of epithelial cells in the corpus of the mouse. V—Behaviour of entero-endocrine and caveolated cells: General conclusions on cell kinetics in the oxyntic epithelium. Anat. Rec. 1993, 236, 333–340. [Google Scholar] [CrossRef]
- Karam, S.M.; Leblond, C.P. Origin and migratory pathways of the eleven epithelial cell types present in the body of mouse stomach. Microsc. Res. Tech. 1995, 31, 193–214. [Google Scholar] [CrossRef]
- Kablar, B. Structural study on the appearance of innervation in the stomach of mouse and rat embryos. Tissue Cell. 1995, 27, 309–315. [Google Scholar] [CrossRef]
- Asar, M.; Bayram, Z.; Korgun, E.T.; Tertemiz, F.; Akkoyunlu, G.; Demir, R. Immunocytochemical Detection of Synaptophysin in Enteric Neurones during Prenatal Development in the Rat Stomach. Anat. Histol. Embryol. 2004, 33, 135–140. [Google Scholar] [CrossRef] [PubMed]
- Çetin, A.; Eşrefoğlu, M. Prenatal and Postnatal Development of the Stomach in Wistar Albino Rats. J. Turgut Ozal Med. Cent. 2014, 21, 4–11. [Google Scholar]
- Marrable, A.W. The Embryonic Pig a Chronological Account, 1st ed.; Pitman Medical: London, UK, 1971. [Google Scholar]
- Franciolli, A.L.R.; Cordeiro, B.M.; Fonseca, E.T.; Rodrigues, M.N.; Sarmento, C.A.P.; Ambrosio, C.E.; Carvalho, A.F.; Miglino, M.A.; Silva, L.A. Characteristics of equine embryo and fetus from days 15 to 107 of pregnancy. Theriogenology 2011, 76, 819–832. [Google Scholar] [CrossRef]
- Rodrigues, M.N.; Carvalho, R.C.; Franciolli, A.L.R.; Rodrigues, R.F.; Rigoglio, N.N.; Jacob, J.C.F.; Gastal, E.L.; Miclino, M.A. Prenatal development of the digestive system in the horse. Anat. Rec. 2014, 297, 1218–1227. [Google Scholar] [CrossRef]
- Nickel, R.; Schummer, A.; Seiferle, E. Lehrbuch der Anatomie der Haustiere, 1st ed.; Parey Verlag: Stuttgart, Germany, 2004. [Google Scholar]
- Bergin, W.C. Developmental Horizons and Measurement Useful for Age Determination of Equine Embryos and Fetuses. Master’s Thesis, Kansas State University, Manhattan, KS, USA, 1969. [Google Scholar]
- Platt, H. Growth and maturity in the equine fetus. J. R. Soc. Med. 1978, 71, 658–661. [Google Scholar] [CrossRef]
- Bożiłow, W.; Sawicki, K. Metody Badań Zmienności Cech Anatomicznych Człowieka Podczas Rozwoju Prenatalnego i Okołoporodowego, 1st ed.; Akademia Medyczna: Wrocław, Poland, 1980. [Google Scholar]
- Liebich, H.G.; König, H.E. Veterinary Anatomy of Domesitc Mammals, Colour Atlas and Textbook; Schattauer: Stuttgart, Germany; New York, NY, USA, 2006. [Google Scholar]
- Jackowiak, H.; Godynicki, S. LM and SEM study on the structure of the mucosa of the stomach in the horse. In Proceedings of the Morphological Days in Česke Budejovice, Česke Budejovice, Czech Republic, 31 January–1 February 2002. [Google Scholar]
- Menard, D.; Arsenault, P. Cell proliferation in developing human stomach. Anat. Embryol. 1990, 182, 509–516. [Google Scholar] [CrossRef]
- Hayward, A.F. The ultrastructure of developing gastric parietal cells in the foetal rabbit. J. Anat. 1967, 101, 69–81. [Google Scholar]
- Ragins, H.; Wincze, F.; Liu, S.M.; Dittbrenner, M. The origin and survival of gastric parietal cells in the mouse. Anat. Rec. 1968, 162, 99–110. [Google Scholar] [CrossRef]
- Bal, H.S.; Ghoshal, N.G. Histomorphology of the torus pyloricus id the domestic pig (Sus scrofa domestica). Anat. Histol. Embryol. 1972, 1, 289–298. [Google Scholar] [CrossRef]
- Trautmann, L. Die embrionale und postembrionale Entwicklung der Kardiadrüssenzone in Magen von Sus scrofa sowie die Ausbildung ind physiologish bedeutung des lymphatishen (zytoblastischen) Gewebes in derselben. Anat. Anz. 1925, 60, 321–346. [Google Scholar]
- Asari, M.; Oshige, H.; Wakui, S.; Fukaya, K.; Kano, Y. Histological development of bovine abomasus. Anat. Anz. 1985, 159, 1–11. [Google Scholar] [PubMed]
- Kammeraad, A. The development of the gastro-intestinal tract of the rat. J. Morphol. 1942, 70, 323–351. [Google Scholar] [CrossRef]
- Xu, R.-J.; Tungthanathanich, P.; Birles, M.J.; Mellor, D.J.; Reynolds, G.W.; Simpson, H.V. Growth and morphological changes in the stomach of newborn pigs during the first three days after birth. J. Dev. Physiol. 1992, 17, 7–14. [Google Scholar] [PubMed]
- Simmens, F.A.; Cera, K.R.; Mahan, D.C. Stimulation by colostrum or mature milk of gastrointestinal tissue development in newborn pig. J. Amin. Sci. 1990, 68, 3596–3603. [Google Scholar] [CrossRef]
- Zhang, H.; Malo, C.; Buddington, R.K. Sulking induces rapid intestinal growth and changes in brush border digestive function of newborn pigs. J. Nutr. 1997, 127, 418–426. [Google Scholar] [CrossRef]
- Zhand, H.; Malo, C.; Boyle, C.R.; Buddington, R.K. Diet influences development of the pig (Sus scrofa) intestine during the first 6 hours after birth. J. Nutr. 1998, 128, 1302–1310. [Google Scholar]
- Steuer, M. Experimentell—Morphologische Untersuchungen an der Tunica Mucosa des Antrium Pylori beim Hund. Ph.D. Thesis, Uitgever Niet Vastgesteld, München, Germany, 1985. [Google Scholar]
- Von Engelhardt, W. Fizjologia Zwierząt Domowych, 1st ed.; Galaktyka: Łódź, Poland, 2013. [Google Scholar]

















| Age [Months] | 4–5 | ||||||||||
| Stomach Wall Layer [µm] | mean/sd | ||||||||||
| Epithelium/glandulae | 110.31 | 174.73 | 177.38 | 145.35 | 183.28 | 109.34 | 146.23 | 142.48 | 179.3 | 138.23 | 150.66 ± 27.45 |
| Tunica mucosa | - | - | - | - | - | - | - | - | - | - | - - |
| Tunica submucosa | - | - | - | - | - | - | - | - | - | - | - - |
| Tunica mucosa/submucosa | 375.75 | 331.89 | 484.57 | 421.34 | 389.78 | 402.37 | 388.67 | 456.85 | 402.1 | 378.28 | 403.2 ± 43.05 |
| Tunica muscularis | 744.64 | 825.25 | 663.22 | 734.23 | 893.21 | 804.4 | 793.78 | 699.3 | 837.12 | 909.53 | 790.47 ± 80.34 |
| Stratum internum | - | - | - | - | - | - | - | - | - | - | - - |
| Stratum externum | - | - | - | - | - | - | - | - | - | - | - - |
| Age [Months] | 7–8 | ||||||||||
| Stomach Wall Layer [µm] | mean/sd | ||||||||||
| Epithelium/glandulae | 466.09 | 597.74 | 409.68 | 688.56 | 629.34 | 503.7 | 640.72 | 601.97 | 429.32 | 408.45 | 537.56 ± 105.74 |
| Tunica mucosa | 616.03 | 651.47 | 536.87 | 492.56 | 695.87 | 679.44 | 473.32 | 451.52 | 661.91 | 497.64 | 575.66 ± 94.53 |
| Tunica submucosa | 313.72 | 289.36 | 188.07 | 366.55 | 298.85 | 182.7 | 177.41 | 387.64 | 229.27 | 199.86 | 263.34 ± 78.4 |
| Tunica mucosa/submucosa | 929.8 | 940.8 | 724.9 | 859.1 | 994.7 | 862.1 | 650.7 | 839.2 | 891.2 | 697.5 | 839 ± 113.04 |
| Tunica muscularis | 1183.48 | 931.23 | 150.67 | 803.45 | 687.32 | 847.87 | 407.35 | 412.98 | 790.42 | 1024.84 | 723.96 ± 315.82 |
| Stratum internum | 1056.36 | 1219.87 | 111.83 | 906.78 | 614.03 | 1267.56 | 749.84 | 1167.22 | 897.13 | 982.57 | 897.31 ± 344.09 |
| Stratum externum | 2239.84 | 2151.1 | 262.5 | 1710.23 | 1301.35 | 2115.43 | 1157.19 | 1580.2 | 1687.55 | 2007.41 | 1621.28 ± 599.5 |
| Age [Months] | 10–11 | ||||||||||
| Stomach Wall Layer [µm] | mean/sd | ||||||||||
| Epithelium/glandulae | 555.69 | 988.7 | 634.45 | 748.42 | 856.24 | 589.67 | 767.34 | 958.9 | 753.56 | 699.3 | 755.23 ± 145.8 |
| Tunica mucosa | 652.94 | 1067.23 | 855.48 | 1013.56 | 1104.8 | 953.34 | 863.21 | 879.47 | 1103.85 | 977.99 | 947.18 ± 139.77 |
| Tunica submucosa | 676.69 | 1614.4 | 559.38 | 824.78 | 757.2 | 948.78 | 1045.98 | 1106.34 | 867.93 | 945.2 | 934.66 ± 290.52 |
| Tunica mucosa/submucosa | 1329.63 | 2681.63 | 1414.86 | 1838.34 | 1862 | 1902.12 | 1909.19 | 1985.81 | 1971.78 | 1923.19 | 1881.9 ± 363.12 |
| Tunica muscularis | 1130.89 | 1023.32 | 1586.46 | 1568.34 | 1636.86 | 1467.24 | 1382.61 | 1089.33 | 1169.47 | 1353.76 | 1340.83 ± 224.88 |
| Stratum internum | 2283.9 | 1676.78 | 2272.15 | 2368.21 | 1987.04 | 1842.56 | 1992.1 | 2297.79 | 2005.32 | 1985.81 | 2071.16 ± 225.58 |
| Stratum externum | 3414.79 | 2700.1 | 3858.61 | 3936.55 | 3623.9 | 3309.8 | 3374.71 | 3387.12 | 3174.79 | 3339.57 | 3411.99 ± 349.65 |
| Age [Months] | Adult | ||||||||||
| Stomach Wall Layer [µm] | mean/sd | ||||||||||
| Epithelium/glandulae | 480.01 | 501.4 | 529.96 | 595.67 | 565.32 | 530.02 | 546.34 | 583.78 | 466.11 | 513.97 | 531.26 ± 42.63 |
| Tunica mucosa | 655.62 | 651.23 | 706.21 | 663.57 | 765.31 | 771.83 | 700.26 | 613.1 | 657.83 | 789.82 | 697.47 ± 60.07 |
| Tunica submucosa | 1158.12 | 1089.49 | 1388.15 | 1435.73 | 1286.48 | 1389.65 | 1462.57 | 1173.78 | 1282.63 | 1271.74 | 1293.83 ± 125.58 |
| Tunica mucosa/submucosa | 1813.74 | 1740.72 | 2094.36 | 2099.3 | 2051.79 | 2161.48 | 2162.83 | 1786.88 | 1940.46 | 2061.56 | 1991.31 ± 159.15 |
| Tunica muscularis | 1060.29 | 1030.17 | 1012.31 | 997.46 | 1183.83 | 1098.34 | 1163.27 | 945.28 | 899.43 | 1267.45 | 1065.78 ± 113.62 |
| Stratum internum | 222.89 | 240.14 | 230.1 | 158.52 | 215.33 | 182.93 | 292.42 | 228.9 | 229.37 | 235.28 | 223.58 ± 35.29 |
| Stratum externum | 1283.18 | 1270.31 | 1242.41 | 1155.98 | 1399.16 | 1281.27 | 1455.69 | 1174.18 | 1128.8 | 1502.73 | 1289.37 ± 126.82 |
| Age [Months] | 4–5 | ||||||||||
| Stomach Wall Layer [µm] | mean/sd | ||||||||||
| Epithelium/glandulae | 70.13 | 133.95 | 89.18 | 122.45 | 48.23 | 181.17 | 45.67 | 154.89 | 98.38 | 43.48 | 98.75 ± 48.4 |
| Tunica mucosa | 118.84 | 174.04 | 214.27 | 263.28 | 107.94 | 127.67 | 205.43 | 199.36 | 175.16 | 193.58 | 177.96 ± 48.31 |
| Tunica submucosa | 180.38 | 373.18 | 203.64 | 241.78 | 275.23 | 395.07 | 188.38 | 360.54 | 358.18 | 318.71 | 289.51 ± 82.16 |
| Tunica mucosa/submucosa | 299.22 | 547.22 | 417.91 | 505.06 | 383.17 | 522.74 | 393.81 | 559.9 | 533.34 | 512.29 | 467.47 ± 87.57 |
| Tunica muscularis | 203.55 | 222.2 | 189.61 | 181.1 | 198.82 | 230.85 | 177.68 | 178.31 | 221.43 | 216.37 | 201.99 ± 19.94 |
| Stratum internum | 268.59 | 240.05 | 275.75 | 261.34 | 219.73 | 259.71 | 297.84 | 285.74 | 284.05 | 262.28 | 265.51 ± 22.9 |
| Stratum externum | 472.14 | 462.25 | 465.36 | 442.44 | 418.55 | 490.56 | 475.52 | 464.05 | 505.48 | 478.65 | 467.5 ± 24.16 |
| Age [Months] | 7–8 | ||||||||||
| Stomach Wall Layer [µm] | mean/sd | ||||||||||
| Epithelium/glandulae | 286.43 | 266.53 | 291.82 | 207.34 | 277.23 | 281.74 | 293.66 | 278.38 | 291.19 | 279.27 | 275.36 ± 25.28 |
| Tunica mucosa | 385.81 | 370.08 | 340.06 | 326.87 | 376.37 | 333.38 | 330.02 | 391.38 | 373.88 | 319.48 | 354.73 ± 27.24 |
| Tunica submucosa | 367.09 | 262.01 | 393.99 | 280.11 | 303.17 | 391.86 | 390.84 | 395.15 | 313.43 | 287.65 | 338.53 ± 54.18 |
| Tunica mucosa/submucosa | 752.9 | 632.09 | 734.05 | 606.98 | 679.54 | 725.24 | 720.86 | 786.53 | 687.31 | 607.13 | 693.26 ± 61.94 |
| Tunica muscularis | 306.94 | 320.74 | 350.31 | 316.49 | 304.6 | 350.65 | 318.89 | 321.6 | 323.82 | 390.91 | 330.5 ± 26.3 |
| Stratum internum | 422.22 | 337.23 | 433.47 | 482.23 | 348.73 | 495.34 | 477.95 | 387.21 | 321.88 | 380.48 | 408.67 ± 63.25 |
| Stratum externum | 729.16 | 657.97 | 783.78 | 798.72 | 653.33 | 845.99 | 796.84 | 708.81 | 645.7 | 771.39 | 739.169 ± 70.74 |
| Age [Months] | 10–11 | ||||||||||
| Stomach Wall Layer [µm] | mean/sd | ||||||||||
| Epithelium/glandulae | 179.01 | 411.27 | 178.65 | 307.8 | 270.17 | 413.96 | 351.79 | 158.97 | 297.5 | 365.86 | 293.5 ± 95.55 |
| Tunica mucosa | 294.85 | 502.38 | 259.66 | 460.99 | 238.75 | 209.93 | 263.88 | 395.62 | 569.84 | 275.69 | 347.16 ± 125.61 |
| Tunica submucosa | 370.46 | 287.24 | 313.19 | 421.99 | 372.21 | 252.54 | 335.6 | 413.17 | 441.85 | 365.25 | 357.35 ± 60.75 |
| Tunica mucosa/submucosa | 665.31 | 789.62 | 572.85 | 882.98 | 610.96 | 462.47 | 599.48 | 808.79 | 1011.69 | 640.94 | 704.51 ± 165.2 |
| Tunica muscularis | 295.66 | 364.89 | 380.04 | 388.74 | 434.28 | 236.26 | 204.67 | 259.96 | 457.2 | 270.76 | 329.25 ± 87.12 |
| Stratum internum | 232.46 | 156.19 | 161.16 | 174.2 | 236.5 | 137.42 | 164.74 | 189.67 | 230.5 | 252.86 | 193.57 ± 40.9 |
| Stratum externum | 528.12 | 521.08 | 541.2 | 562.94 | 670.78 | 373.68 | 369.41 | 449.63 | 687.7 | 523.62 | 522.82 ± 106.56 |
| Age [Months] | Adult | ||||||||||
| Stomach Wall Layer [µm] | mean/sd | ||||||||||
| Epithelium/glandulae | 1605.7 | 1529.65 | 1543.6 | 1689.37 | 1639.63 | 1611.64 | 1533.99 | 1606.52 | 1535.66 | 1496.09 | 1579.19 ± 60.42 |
| Tunica mucosa | 1777.4 | 1655.65 | 1673.96 | 1731.22 | 1699.6 | 1682.05 | 1735.84 | 1697.85 | 1771.52 | 1746.38 | 1717.15 ± 41.56 |
| Tunica submucosa | 2650.59 | 2496.4 | 1481.03 | 2065.56 | 2523.31 | 1436.85 | 2297.71 | 2425.52 | 1907.09 | 1415.29 | 2069.94 ± 483.69 |
| Tunica mucosa/submucosa | 4427.99 | 4152.05 | 3154.99 | 3796.78 | 4222.91 | 3118.9 | 4033.55 | 4123.37 | 3678.61 | 3161.67 | 3787.08 ± 489.53 |
| Tunica muscularis | 1181.19 | 1174.25 | 1143.01 | 954.74 | 995.36 | 1169.6 | 1014.76 | 1104.73 | 1153.04 | 1008.87 | 1089.96 ± 87.08 |
| Stratum internum | 579.29 | 613.72 | 558.95 | 599.13 | 532.83 | 689.1 | 539.54 | 568.61 | 671.15 | 545.25 | 589.76 ± 54.17 |
| Stratum externum | 1760.48 | 1787.97 | 1701.96 | 1553.87 | 1528.19 | 1858.7 | 1554.3 | 1673.34 | 1824.19 | 1554.12 | 1679.71 ± 125.6 |
| Age [Months] | 4–5 | ||||||||||
| Stomach Wall Layer [µm] | mean/sd | ||||||||||
| Epithelium/glandulae | 225.12 | 242.85 | 322.62 | 304.53 | 375.8 | 374.44 | 214.17 | 274.64 | 369.61 | 217.66 | 292.14 ± 66.42 |
| Tunica mucosa | 371.47 | 312.32 | 411.78 | 330.01 | 378.77 | 390.9 | 378.98 | 277.16 | 305.22 | 331.42 | 348.8 ± 43.56 |
| Tunica submucosa | 350.07 | 304.08 | 444.45 | 354.98 | 444.51 | 361.59 | 491.23 | 315.97 | 312.69 | 332.56 | 371.21 ± 65.34 |
| Tunica mucosa/submucosa | 721.54 | 616.4 | 856.23 | 684.99 | 823.28 | 752.49 | 870.21 | 593.13 | 617.91 | 663.98 | 720.02 ± 102.45 |
| Tunica muscularis | 356.24 | 351.24 | 276.23 | 205.61 | 120.44 | 393.72 | 235.58 | 251.1 | 348.27 | 241.83 | 278.03 ± 84.14 |
| Stratum internum | 210.37 | 106.52 | 190.48 | 204.21 | 211.44 | 362.74 | 112.56 | 178.11 | 185.84 | 203.28 | 196.56 ± 69.75 |
| Stratum externum | 566.61 | 457.76 | 466.71 | 409.82 | 331.88 | 756.46 | 348.14 | 429.21 | 534.11 | 445.11 | 474.58 ± 122.6 |
| Age [Months] | 7–8 | ||||||||||
| Stomach Wall Layer [µm] | mean/sd | ||||||||||
| Epithelium/glandulae | 461.74 | 306.29 | 297.58 | 254.43 | 422.24 | 471.66 | 443.89 | 411.18 | 330.4 | 348.73 | 374.81 ± 76.8 |
| Tunica mucosa | 703.65 | 394.3 | 452.31 | 525.68 | 771.92 | 273.12 | 534.51 | 774.72 | 437.33 | 515.16 | 538.27 ± 165.72 |
| Tunica submucosa | 296.02 | 276.95 | 239.84 | 275.57 | 298.18 | 248.15 | 229.91 | 211.16 | 200.75 | 204.96 | 248.15 ± 36.91 |
| Tunica mucosa/submucosa | 999.67 | 671.25 | 692.15 | 801.25 | 1070.1 | 521.27 | 764.42 | 985.88 | 638.08 | 720.12 | 786.42 ± 178.04 |
| Tunica muscularis | 466.81 | 377.27 | 498.47 | 441.52 | 303.43 | 303.5 | 321.63 | 422.28 | 446.89 | 419.34 | 400.11 ± 70.12 |
| Stratum internum | 1973.09 | 1786.13 | 1843.43 | 1845.35 | 1761.84 | 1779.26 | 1732.9 | 1663.32 | 1871.7 | 1967.04 | 1822.41 ± 98.43 |
| Stratum externum | 2439.9 | 2163.4 | 2341.9 | 2286.87 | 2065.27 | 2082.76 | 2054.53 | 2085.6 | 2318.59 | 2386.38 | 2222.52 ± 147.74 |
| Age [Months] | 10–11 | ||||||||||
| Stomach Wall Layer [µm] | mean/sd | ||||||||||
| Epithelium/glandulae | 1345.29 | 1435.26 | 1060.12 | 1305.17 | 1045.34 | 1283.62 | 1377.95 | 1246.98 | 1178.15 | 1212.11 | 1249 ± 128.45 |
| Tunica mucosa | 1617.27 | 1175.5 | 1532.5 | 1045.7 | 1156.45 | 1369.56 | 1030.08 | 1144.94 | 1338.05 | 1537.34 | 1294.74 ± 214.67 |
| Tunica submucosa | 1790.8 | 1258.61 | 1705.89 | 1504.97 | 1333.89 | 1551.13 | 1274.1 | 1256.57 | 1408.58 | 1143.4 | 1422.79 ± 211.26 |
| Tunica mucosa/submucosa | 3408.07 | 2434.11 | 3238.39 | 2550.67 | 2490.34 | 2920.69 | 2304.18 | 2401.51 | 2746.63 | 2680.74 | 2717.53 ± 368.5 |
| Tunica muscularis | 1750.21 | 1496.11 | 1378.26 | 1495.03 | 1631.72 | 1630.32 | 1510.38 | 1619.36 | 1618.43 | 1642.6 | 1577.24 ± 105.86 |
| Stratum internum | 1173.18 | 1000.99 | 1334.79 | 1101.11 | 1556.3 | 1179.72 | 1402.83 | 1489.64 | 1446.6 | 1440.42 | 1312.56 ± 186.36 |
| Stratum externum | 2923.39 | 2497.1 | 2713.05 | 2596.14 | 3188.02 | 2810.04 | 2913.21 | 3109 | 3065.03 | 3083.02 | 2889.8 ± 232.08 |
| Age [Months] | Adult | ||||||||||
| Stomach Wall Layer [µm] | mean/sd | ||||||||||
| Epithelium/glandulae | 1726.66 | 1666.22 | 1542.4 | 1752.04 | 1802.92 | 1749.96 | 1608.64 | 1992.14 | 1882.11 | 1776.88 | 1750 ± 129.21 |
| Tunica mucosa | 2014.68 | 1895.1 | 2017.98 | 1763.89 | 1810.17 | 1837.01 | 2014.45 | 1887.08 | 1891.09 | 1743.99 | 1887.54 ± 102.08 |
| Tunica submucosa | 1311.57 | 975.75 | 756.89 | 1379.58 | 1369.51 | 1328.52 | 1223.66 | 890.86 | 945.8 | 1028.19 | 1121.03 ± 227.18 |
| Tunica mucosa/submucosa | 3326.25 | 2870.85 | 2774.87 | 3143.47 | 3179.68 | 3165.53 | 3238.11 | 2777.94 | 2836.89 | 2772.18 | 3008.58 ± 220.57 |
| Tunica muscularis | 1679.78 | 1915.45 | 1361.49 | 1642.53 | 1573.2 | 1343.06 | 1334.12 | 1979.59 | 1321.86 | 1480.6 | 1563.17 ± 241.32 |
| Stratum internum | 1764.28 | 1518.51 | 1794.35 | 1727.68 | 1792.16 | 1906.24 | 1932.83 | 1937.22 | 1915.37 | 1939.63 | 1822.83 ± 133.83 |
| Stratum externum | 3444.06 | 3433.96 | 3155.84 | 3370.21 | 3365.36 | 3249.3 | 3266.95 | 3916.81 | 3237.23 | 3420.23 | 3386 ± 210.09 |
| Age [Months] | 4–5 | ||||||||||
| Stomach Wall Layer [µm] | mean/sd | ||||||||||
| Epithelium/glandulae | 17.25 | 21.61 | 14.07 | 19.01 | 16.53 | 18.55 | 12.35 | 19.98 | 15.7 | 20.48 | 17.55 ± 2.94 |
| Tunica mucosa | - | - | - | - | - | - | - | - | - | - | - |
| Tunica submucosa | - | - | - | - | - | - | - | - | - | - | - |
| Tunica mucosa/submucosa | 201.09 | 222.47 | 340.48 | 237.17 | 294.45 | 256.72 | 274.2 | 254.48 | 193.33 | 210.99 | 248.54 ± 45.75 |
| Tunica muscularis | 98.64 | 107.86 | 66.86 | 109.97 | 52.91 | 128.8 | 55.8 | 146.18 | 97.9 | 58.52 | 92.34 ± 32.55 |
| Stratum internum | 199.78 | 225.84 | 196.7 | 170.43 | 239.79 | 283.91 | 187.53 | 205.88 | 156.51 | 202.76 | 206.91 ± 36.19 |
| Stratum externum | 298.42 | 333.7 | 263.56 | 280.4 | 292.7 | 412.71 | 243.33 | 352.06 | 254.41 | 261.28 | 299.26 ± 52.81 |
| Age [Months] | 7–8 | ||||||||||
| Stomach Wall Layer [µm] | mean/sd | ||||||||||
| Epithelium/glandulae | 116.78 | 69.99 | 83.33 | 101.29 | 135.22 | 51.76 | 55.75 | 74.59 | 59.58 | 102.02 | 85.03 ± 27.95 |
| Tunica mucosa | 397.13 | 349.29 | 247.78 | 271.66 | 364.84 | 321.77 | 297.59 | 225.58 | 324.12 | 377.32 | 317.71 ± 56.8 |
| Tunica submucosa | 168.12 | 529.42 | 326.39 | 533.49 | 558.5 | 449.06 | 334.59 | 578.53 | 592.78 | 205.49 | 427.64 ± 158.04 |
| Tunica mucosa/submucosa | 565.25 | 878.71 | 574.17 | 805.15 | 923.34 | 770.83 | 632.18 | 804.11 | 916.9 | 582.81 | 745.35 ± 144.35 |
| Tunica muscularis | 419.93 | 632.39 | 357.29 | 494.88 | 352.68 | 321.95 | 361.98 | 577.11 | 609.6 | 558.73 | 468.65 ± 119.43 |
| Stratum internum | 1647.28 | 1731.18 | 1769.77 | 1572.05 | 1622.31 | 1658.39 | 1541.54 | 1792.95 | 1751.19 | 1522.66 | 1660.93 ± 97.36 |
| Stratum externum | 2067.21 | 2363.57 | 2127.06 | 2066.93 | 1974.99 | 1980.34 | 1903.52 | 2370.06 | 2360.79 | 2081.39 | 2129.59 ± 174.31 |
| Age [Months] | 10–11 | ||||||||||
| Stomach Wall Layer [µm] | mean/sd | ||||||||||
| Epithelium/glandulae | 418.58 | 474.76 | 360.21 | 413.53 | 327.73 | 392.07 | 327.09 | 478.67 | 410.05 | 347.53 | 395.02 ± 54.87 |
| Tunica mucosa | 757.52 | 1990.46 | 1226.98 | 1385.41 | 1490.39 | 1491.76 | 1591.57 | 1954.74 | 1934.84 | 840.34 | 1466.4 ± 435.61 |
| Tunica submucosa | 1198.29 | 1344.96 | 854.34 | 1014.76 | 1104.74 | 1153.04 | 1008.88 | 1132.06 | 1165.94 | 1018.04 | 1099.51 ± 133.55 |
| Tunica mucosa/submucosa | 1955.81 | 3335.42 | 2081.32 | 2400.17 | 2595.13 | 2644.8 | 2600.45 | 3086.8 | 3100.78 | 1858.38 | 2565.91 ± 504.75 |
| Tunica muscularis | 1122.89 | 757.59 | 956.01 | 955.33 | 1315.15 | 933.49 | 807.09 | 1127.16 | 1129.93 | 1143.43 | 1024.81 ± 171.99 |
| Stratum internum | 864.84 | 1161.71 | 1472.97 | 1202.92 | 765.28 | 1177.12 | 1069.51 | 1136.64 | 1472.97 | 1331.96 | 1165.59 ± 230.69 |
| Stratum externum | 1987.73 | 1919.3 | 2428.98 | 2158.25 | 2080.43 | 2110.61 | 1876.6 | 2263.8 | 2602.9 | 2475.39 | 2190.4 ± 246.36 |
| Age [Months] | Adult | ||||||||||
| Stomach Wall Layer [µm] | mean/sd | ||||||||||
| Epithelium/glandulae | 406.5 | 451.77 | 337.14 | 403.74 | 457.91 | 372.28 | 302.4 | 381.87 | 574.69 | 485.03 | 417.33 ± 78.46 |
| Tunica mucosa | 904.87 | 956.45 | 1028.55 | 876.43 | 936.8 | 931.82 | 1016.79 | 947.85 | 903.25 | 1061.68 | 956.45 ± 60.44 |
| Tunica submucosa | 1013.43 | 1025.1 | 1173.33 | 1169.69 | 1183.48 | 994.03 | 1089.7 | 1137.79 | 1167.55 | 1084.03 | 1103.8 ± 72.83 |
| Tunica mucosa/submucosa | 1918.3 | 1981.55 | 2201.88 | 2046.12 | 2120.28 | 1925.85 | 2106.49 | 2085.64 | 2070.8 | 2145.71 | 2060.2 ± 93.37 |
| Tunica muscularis | 797.14 | 900.33 | 533.93 | 839.81 | 686.73 | 931.39 | 883.56 | 952.69 | 679.78 | 980.59 | 818.6 ± 143.93 |
| Stratum internum | 386.41 | 563.42 | 554.66 | 420.06 | 415.89 | 319.63 | 470.54 | 466.76 | 557.03 | 412.97 | 456.74 ± 81.65 |
| Stratum externum | 1183.55 | 1463.75 | 1088.59 | 1259.87 | 1102.62 | 1251.02 | 1354.1 | 1419.45 | 1236.81 | 1393.56 | 1275.3 ± 129.91 |
| Age [Months] | 4–5 | 4–5 | 4–5 | 4–5 | 4–5 | 7–8 | 7–8 | 7–8 | 7–8 | 7–8 | 10–11 | 10–11 | 10–11 | 10–11 | 10–11 |
|---|---|---|---|---|---|---|---|---|---|---|---|---|---|---|---|
| CRL [cm] | 31.5 | 34.5 | 42.1 | 40.5 | 52.5 | 57.1 | 65.7 | 64.3 | 58.9 | 54 | 76.1 | 77.1 | 75.7 | 80.1 | 70 |
Publisher’s Note: MDPI stays neutral with regard to jurisdictional claims in published maps and institutional affiliations. |
© 2022 by the authors. Licensee MDPI, Basel, Switzerland. This article is an open access article distributed under the terms and conditions of the Creative Commons Attribution (CC BY) license (https://creativecommons.org/licenses/by/4.0/).
Share and Cite
Poradowski, D.; Chrószcz, A. Equine Stomach Development in the Foetal Period of Prenatal Life—A Histological and Histometric Study. Animals 2022, 12, 3047. https://doi.org/10.3390/ani12213047
Poradowski D, Chrószcz A. Equine Stomach Development in the Foetal Period of Prenatal Life—A Histological and Histometric Study. Animals. 2022; 12(21):3047. https://doi.org/10.3390/ani12213047
Chicago/Turabian StylePoradowski, Dominik, and Aleksander Chrószcz. 2022. "Equine Stomach Development in the Foetal Period of Prenatal Life—A Histological and Histometric Study" Animals 12, no. 21: 3047. https://doi.org/10.3390/ani12213047
APA StylePoradowski, D., & Chrószcz, A. (2022). Equine Stomach Development in the Foetal Period of Prenatal Life—A Histological and Histometric Study. Animals, 12(21), 3047. https://doi.org/10.3390/ani12213047

