Acetabular Coverage Area Occupied by the Femoral Head as an Indicator of Hip Congruency
Abstract
:Simple Summary
Abstract
1. Introduction
2. Materials and Methods
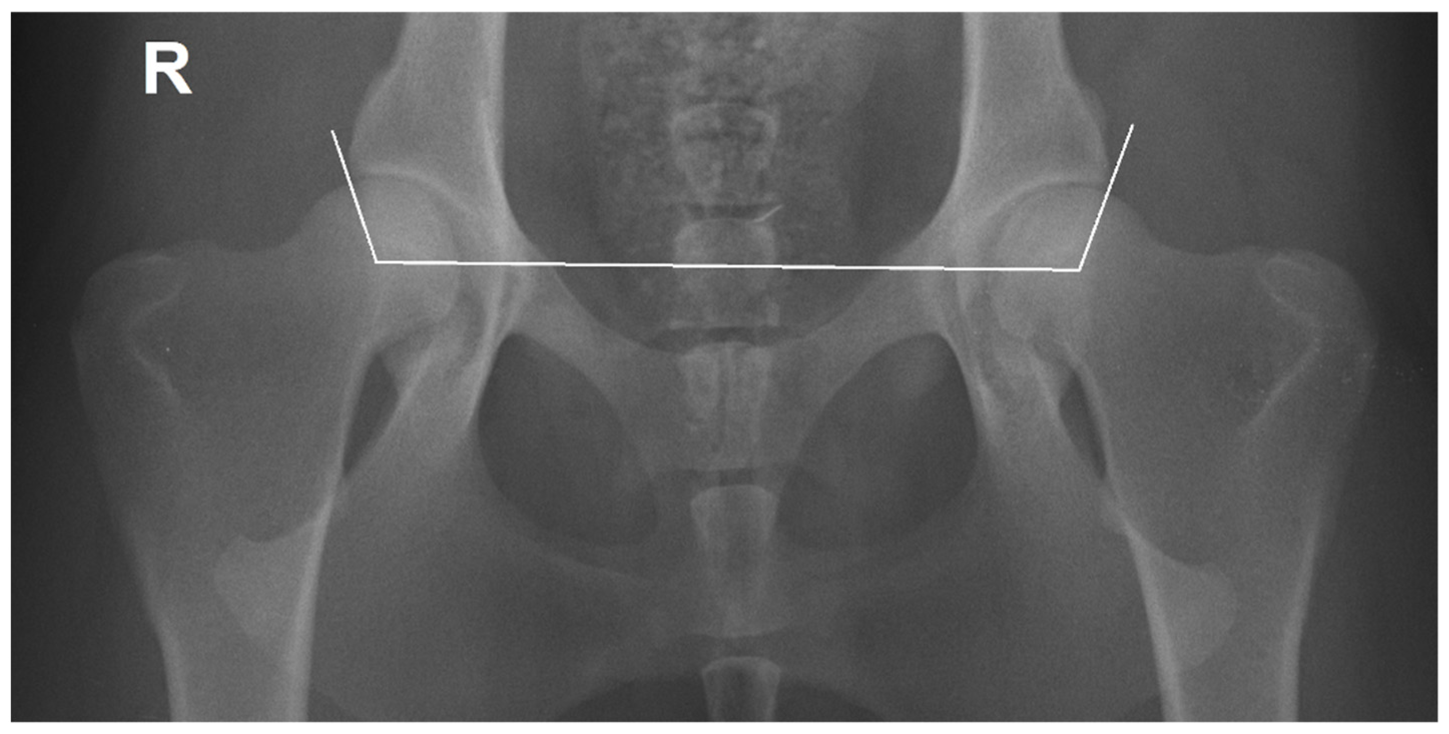
2.1. Radiographic Measurements
2.2. Statistical Analysis
3. Results
4. Discussion
5. Conclusions
Author Contributions
Funding
Institutional Review Board Statement
Informed Consent Statement
Data Availability Statement
Acknowledgments
Conflicts of Interest
References
- Congruência. Dicionário Infopédia da Língua Portuguesa; Porto Editora: Porto, Portugal, 2022; Available online: https://www.infopedia.pt/dicionarios/lingua-portuguesa/congru%C3%AAncia (accessed on 21 April 2022).
- Tellhelm, B.; Genevois, J.P.; Hazewinkel, H. Film Reading Session 3: Congruency/Inconcruency, Craniolateral Rim, Subchondral Bone. In Proceedings of the FCI Hip Dysplasia Conference, Copenhagen, Denmark, 24–25 May 2022. [Google Scholar]
- Lopez, M.; Schachner, E. Diagnosis, Prevention, and Management of Canine Hip Dysplasia: A Review. Vet. Med. Res. Rep. 2015, 2015, 181–192. [Google Scholar] [CrossRef] [PubMed]
- Ginja, M.M.D.; Silvestre, A.M.; Gonzalo-Orden, J.M.; Ferreira, A.J.A. Diagnosis, Genetic Control and Preventive Management of Canine Hip Dysplasia: A Review. Vet. J. 2010, 184, 269–276. [Google Scholar] [CrossRef] [PubMed]
- Smith, G.K. New Paradigms for Hip Dysplasia Prevention and Control, Performance and Ethics of CHD Screening. In Proceedings of the 12th ESVOT Congress Proceedings, Munich, Germany, 10–12 September 2004; Vezzoni, A., Schramme, M., Eds.; European Society of Veterinary Orthopaedics and Traumatology: Cremona, Italy, 2004; pp. 125–131. [Google Scholar]
- Cardinet, G.H., 3rd; Kass, P.H.; Wallace, L.J.; Guffy, M.M. Association between pelvic muscle mass and canine hip dysplasia. J. Am. Vet. Med. Assoc. 1997, 210, 466–473. [Google Scholar]
- Willemsen, K.; Möring, M.M.; Harlianto, N.I.; Tryfonidou, M.A.; van der Wal, B.C.H.; Weinans, H.; Meij, B.P.; Sakkers, R.J.B. Comparing Hip Dysplasia in Dogs and Humans: A Review. Front. Vet. Sci. 2021, 8, 791434, eCollection 2021. [Google Scholar] [CrossRef] [PubMed]
- Flückiger, M. Scoring Radiographs for Canine Hip Dysplasia—The Big Three Organizations in the World. Eur. J. Companion Anim. Pr. 2007, 17, 135–140. [Google Scholar]
- Verhoeven, G.; Fortrie, R.; Van Ryssen, B.; Coopman, F. Worldwide Screening for Canine Hip Dysplasia: Where Are We Now? Vet. Surg. 2012, 41, 10–19. [Google Scholar] [CrossRef] [PubMed]
- Verhoeven, G.; Coopman, F.; Duchateau, L.; Saunders, J.H.; Van Rijssen, B.; Van Bree, H. Interobserver Agreement in the Diagnosis of Canine Hip Dysplasia Using the Standard Ventrodorsal Hip-Extended Radiographic Method: Paper. J. Small Anim. Pract. 2007, 48, 387–393. [Google Scholar] [CrossRef]
- Geissbühler, U.; Drazovic, S.; Lang, J.; Howard, J. Inter-Rater Agreement in Radiographic Canine Hip Dysplasia Evaluation. Vet. Rec. 2017, 180, 357. [Google Scholar] [CrossRef]
- Coopman, F.; Verhoeven, G.; Paepe, D.; Van Bree, H.; Duchateau, L.; Saunders, J.H. Inter-Observer Agreement on the Radiographic Assessment of Canine Hip Dysplasia. Vlaams Diergeneeskd. Tijdschr. 2007, 76, 417–422. [Google Scholar]
- Appleby, R. Applications of Artificial Intelligence in Veterinary Radiology. In Proceedings of the 46th World Small Animal Veterinary Association Congress, Virtual, 13–15 November 2021; Volume 49, pp. 90–92. [Google Scholar]
- McEvoy, F.J.; Amigo, J.M. Using Machine Learning to Classify Image Features from Canine Pelvic Radiographs: Evaluation of Partial Least Squares Discriminant Analysis and Artificial Neural Network Models. Vet. Radiol. Ultrasound 2013, 54, 122–126. [Google Scholar] [CrossRef]
- McEvoy, F.J.; Proschowsky, H.F.; Müller, A.V.; Moorman, L.; Bender-Koch, J.; Svalastoga, E.L.; Frellsen, J.; Nielsen, D.H. Deep Transfer Learning Can Be Used for the Detection of Hip Joints in Pelvis Radiographs and the Classification of Their Hip Dysplasia Status. Vet. Radiol. Ultrasound 2021, 62, 387–393. [Google Scholar] [CrossRef] [PubMed]
- Da Silva, D.M.; Filipe, F.; Franco-Gonçalo, P.; Colaço, B.; Alves-Pimenta, S.; Ginja, M.; Gonçalves, L. Semantic Segmentation of Dog’s Femur and Acetabulum Bones with Deep Transfer Learning in X-ray Images. In Proceedings of the 21st International Conference on Intelligent Systems Design and Applications (ISDA) 2021, Online, 13–15 December 2021; Lecture Notes in Networks and Systems. Springer: Cham, Switzerland, 2021; Volume 418, pp. 461–475. [Google Scholar] [CrossRef]
- Gaspar, A.R.; Hayes, G.; Ginja, C.; Ginja, M.M.; Todhunter, R.J. The Norberg Angle Is Not an Accurate Predictor of Canine Hip Conformation Based on the Distraction Index and the Dorsolateral Subluxation Score. Prev. Vet. Med. 2016, 135, 47–52. [Google Scholar] [CrossRef] [PubMed]
- Kwak, S.G.; Kim, J.H. Cornerstone of Modern Statistics. Korean J. Anesthesiol. 2017, 70, 144–156. [Google Scholar] [CrossRef] [PubMed]
- Watson, P.F.; Petrie, A. Method Agreement Analysis: A Review of Correct Methodology. Theriogenology 2010, 73, 1167–1179. [Google Scholar] [CrossRef]
- Bland, J.M.; Altman, D.G. Measuring Agreement in Method Comparison Studies. Stat. Methods Med. Res. 1999, 8, 135–160. [Google Scholar] [CrossRef]
- Ludbrook, J. Confidence in Altman-Bland Plots: A Critical Review of the Method of Differences. Clin. Exp. Pharmacol. Physiol. 2010, 37, 143–149. [Google Scholar] [CrossRef]
- Koo, T.K.; Li, M.Y. A Guideline of Selecting and Reporting Intraclass Correlation Coefficients for Reliability Research. J. Chiropr. Med. 2016, 15, 155–163. [Google Scholar] [CrossRef]
- Lee, J.; Koh, D.; Ong, C.N. Statistical Evaluation of Agreement between Two Methods for Measuring a Quantitative Variable. Comput. Biol. Med. 1989, 19, 61–70. [Google Scholar] [CrossRef]
- Marôco, J. Análise Estatística Com o SPSS Statistics, 7th ed.; ReportNumber, Lda.; Gráfica Manuel Barbosa & Filhos: Pêro Pinheiro, Portugal, 2018. [Google Scholar]
- Siddique, N.; Paheding, S.; Elkin, C.P.; Devabhaktuni, V. U-Net and Its Variants for Medical Image Segmentation: A Review of Theory and Applications. IEEE Access 2021, 9, 82031–82057. [Google Scholar] [CrossRef]
- Comhaire, F.H.; Schoonjans, F.A. Canine Hip Dyslasia: The Significance of the Norberg Angle for Healthy Breeding. J. Small Anim. Pract. 2011, 52, 536–542. [Google Scholar] [CrossRef]
- Klever, J.; Brühschwein, A.; Wagner, S.; Reese, S.; Meyer-Lindenberg, A. Comparison of Reliability of Norberg Angle and Distraction Index as Measurements for Hip Laxity in Dogs. Vet. Comp. Orthop. Traumatol. 2020, 33, 274–278. [Google Scholar] [CrossRef] [PubMed]
- Bertal, M.; Vezzoni, A.; Houdellier, B.; Bogaerts, E.; Stock, E.; Polis, I.; Deforce, D.; Saunders, J.H.; Broeckx, B.J.G. Intra- and Inter-Observer Variability of Measurements of the Laxity Index on Stress Radiographs Performed with the Vezzoni-Modified Badertscher Hip Distension Device. Vet. Comp. Orthop. Traumatol. 2018, 31, 246–251. [Google Scholar] [CrossRef] [PubMed]
- Tomlinson, J.L.; Johnson, J.C. Quantification of Measurement of Femoral Head Coverage and Norberg Angle within and among Four Breeds of Dogs. Am. J. Vet. Res. 2000, 61, 1492–1500. [Google Scholar] [CrossRef] [PubMed]
- Dennis, R. Interpretation and Use of BVA/KC Hip Scores in Dogs. Pract. 2012, 34, 178–194. [Google Scholar] [CrossRef]
- Genevois, J.-P.; Cachon, T.; Fau, D.; Carozzo, C.; Viguier, E.; Collard, F.; Remy, D. Canine Hip Dysplasia Radiographic Screening. Prevalence of Rotation of the Pelvis along Its Length Axis in 7012 Conventional Hip Extended Radiographs. Vet. Comp. Orthop. Traumatol. 2007, 20, 296–298. [Google Scholar] [PubMed]
- Martins, J.; Colaço, B.; Alves-Pimenta, S.; Gonzalo Orden, J.M.; Ferreira, A.J.; Ginja, M.M. Effect of the Dog positioning on X-ray Table on Hip Dysplasia Parameter Evaluation. Vet. Comp. Orthop. Traumatol. 2019, 32, 376–382. [Google Scholar] [CrossRef] [PubMed]
- Fazzalari, N.L.; Moore, R.J.; Manthey, B.A.; Vernon-Roberts, B. Comparative Study of Iliac Crest and Subchondral Femoral Bone in Osteoarthritic Patients. Bone 1992, 13, 331–335. [Google Scholar] [CrossRef]
- Edinger, D.T.; Hayashi, K.; Hongyu, Y.; Markel, M.D.; Manley, P.A. Histomorphometric Analysis of the Proximal Portion of the Femur in Dogs with Moderate Osteoarthritis. Am. J. Vet. Res. 2005, 66, 150–155. [Google Scholar] [CrossRef]






| FCI Categories | n | Mean * | SD | Mean 95% CI | Min | Max | |
|---|---|---|---|---|---|---|---|
| Lower Bound | Upper Bound | ||||||
| A | 120 | 0.739 a | 0.044 | 0.731 | 0.747 | 0.622 | 0.846 |
| B | 157 | 0.666 b | 0.052 | 0.658 | 0.675 | 0.533 | 0.785 |
| C | 68 | 0.605 c | 0.055 | 0.591 | 0.618 | 0.484 | 0.772 |
| D | 38 | 0.494 d | 0.070 | 0.471 | 0.517 | 0.327 | 0.686 |
| E | 17 | 0.374 e | 0.122 | 0.311 | 0.437 | 0.084 | 0.586 |
Publisher’s Note: MDPI stays neutral with regard to jurisdictional claims in published maps and institutional affiliations. |
© 2022 by the authors. Licensee MDPI, Basel, Switzerland. This article is an open access article distributed under the terms and conditions of the Creative Commons Attribution (CC BY) license (https://creativecommons.org/licenses/by/4.0/).
Share and Cite
Franco-Gonçalo, P.; Moreira da Silva, D.; Leite, P.; Alves-Pimenta, S.; Colaço, B.; Ferreira, M.; Gonçalves, L.; Filipe, V.; McEvoy, F.; Ginja, M. Acetabular Coverage Area Occupied by the Femoral Head as an Indicator of Hip Congruency. Animals 2022, 12, 2201. https://doi.org/10.3390/ani12172201
Franco-Gonçalo P, Moreira da Silva D, Leite P, Alves-Pimenta S, Colaço B, Ferreira M, Gonçalves L, Filipe V, McEvoy F, Ginja M. Acetabular Coverage Area Occupied by the Femoral Head as an Indicator of Hip Congruency. Animals. 2022; 12(17):2201. https://doi.org/10.3390/ani12172201
Chicago/Turabian StyleFranco-Gonçalo, Pedro, Diogo Moreira da Silva, Pedro Leite, Sofia Alves-Pimenta, Bruno Colaço, Manuel Ferreira, Lio Gonçalves, Vítor Filipe, Fintan McEvoy, and Mário Ginja. 2022. "Acetabular Coverage Area Occupied by the Femoral Head as an Indicator of Hip Congruency" Animals 12, no. 17: 2201. https://doi.org/10.3390/ani12172201
APA StyleFranco-Gonçalo, P., Moreira da Silva, D., Leite, P., Alves-Pimenta, S., Colaço, B., Ferreira, M., Gonçalves, L., Filipe, V., McEvoy, F., & Ginja, M. (2022). Acetabular Coverage Area Occupied by the Femoral Head as an Indicator of Hip Congruency. Animals, 12(17), 2201. https://doi.org/10.3390/ani12172201

