Canine and Feline Testicular Preservation
Abstract
:Simple Summary
Abstract
1. Introduction
2. Canine Species
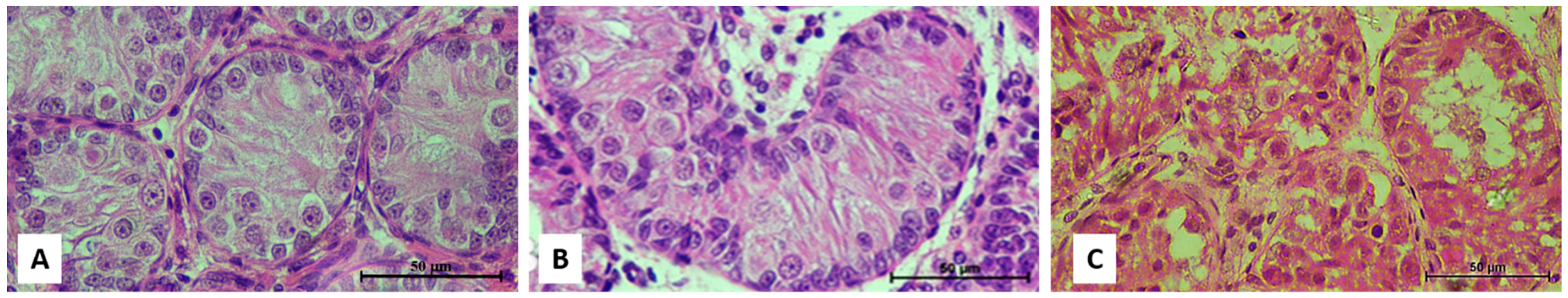
2.1. Cryopreservation Method
2.2. Fragment Size
2.3. Cryoprotectants
2.4. Thawing/Warming
2.5. Post-Xenotransplantation Spermatogenesis or In Vitro Culture
3. Feline Species
3.1. Cryopreservation Method
3.2. Fragment Size
3.3. Cryoprotectants
3.4. Thawing/Warming
3.5. Cryopreserved Testis Xenograft
4. New Approaches
5. Final Considerations
Funding
Institutional Review Board Statement
Informed Consent Statement
Data Availability Statement
Conflicts of Interest
References
- Oliveira, E.C.S. Criopreservação de tecido testicular. Rev. Bras. Reprod. Anim. 2015, 39, 109–110. [Google Scholar]
- Lima, D.B.C.; Silva, L.D.M. Cryopreservation of testicular tissue: An alternative to maintain the reproductive capacity in different animal species. Ciênc. Rural 2017, 47, 1–8. [Google Scholar] [CrossRef] [Green Version]
- Lima, D.B.C.; Silva, L.D.M. Obtenção e conservação do material genético do gato doméstico macho. Rev. Bras. Reprod. Anim. 2017, 41, 278–282. [Google Scholar]
- Lima, D.B.C.; Silva, L.D.M. Vitrificação testicular de felinos pré-púberes. Rev. Bras. Reprod. Anim. 2018, 42, 125–128. [Google Scholar]
- Silva, A.R.; Souza, A.L.P.; Santos, E.A.A.D.; Lima, G.L.; Peixoto, G.C.X.; Souza, P.C.; Castelo, T.S. Formação de bancos de germoplasma e sua contribuição para a conservação de espécies silvestres no Brasil. Ciênc. Anim. 2012, 22, 219–234. [Google Scholar]
- Pukazhenthi, B.S.; Nagashima, J.; Travis, A.J.; Costa, G.M.; Escobar, E.M.; França, L.R.; Wildt, D.E. Slow freezing, but not vitrification supports complete spermatogenesis in cryopreserved, neonatal sheep testicular xenografts. PLoS ONE 2015, 10, 1–15. [Google Scholar]
- Lima, D.B.C.; Silva, L.D.M.; Comizzoli, P. Influence of warming and reanimation conditions on seminiferous tubule morphology, mitochondrial activity, and cell composition of vitrified testicular tissues in the domestic cat model. PLoS ONE 2018, 13, e0207317. [Google Scholar] [CrossRef] [PubMed]
- Carvalho, M.D.C. Criopreservação de Tecido Testicular de Cães Avaliação Histológica e Ultraestrutural. Master’s Thesis, Universidade Federal Rural de Pernambuco, Recife, Pernambuco, Brazil, 2016. [Google Scholar]
- Santos, J.F.P.; Siqueira, A.K.M.; Silva, A.V.; Morte, R.F.B.; Medeiros, H.R.R.; Souza, W.J.S.; Silva, J.S.; Lins Neto, J.M.S.; Cardoso, R.C.S. Comparison between two cryoprotectant agents for cryopreservation of domestic dog testicles: Partial results. Rev. Bras. Reprod. Anim. 2017, 41, 546. [Google Scholar]
- Silva, A.V.; Santos, J.F.P.; Siqueira, A.K.M.; Souza, W.J.S.; Morte, R.F.B.; Silva Neto, J.M.L.; Cardoso, R.C.S. Evaluation of sperm membrane integrity before and after cryopreservation of domestic dogs’ testis. Rev. Bras. Reprod. Anim. 2017, 41, 536. [Google Scholar]
- Santos, J.F.P. Criopreservação de Tecido Testicular de Cães (Canis lupus familiaris). Master’s Thesis, Universidade Federal Rural de Pernambuco, Garanhuns, Pernambuco, Brazil, 2018. [Google Scholar]
- Lee, K.H.; Lee, W.Y.; Kim, D.H.; Lee, S.H.; Do, J.T.; Park, C.; Kim, J.H.; Choi, Y.S.; Song, H. Vitrified canine testicular cells allow the formation of spermatogonial stem cells and seminiferous tubules following their xenotransplantation into nude mice. Sci. Rep. 2016, 6, 1–11. [Google Scholar]
- Andrae, C.S.; Oliveira, E.C.S.; Ferraz, M.A.M.M.; Nagashima, J.B. Cryopreservation of grey wolf (Canis lupus) testicular tissue. Cryobiology 2021, 100, 173–179. [Google Scholar] [CrossRef]
- Abrishami, M.; Abbasi, S.; Honaramooz, A. The effect of donor age on progression of spermatogenesis in canine testicular tissue after xenografting into immunodeficient mice. Theriogenology 2010, 73, 512–522. [Google Scholar] [CrossRef] [PubMed]
- Poels, J.; Van Langendonckt, A.; Dehoux, J.P.; Donnez, J.; Wyns, C. Vitrification of non-human primate immature testicular tissue allows maintenance of proliferating spermatogonial cells after xenografting to recipient mice. Theriogenology 2012, 77, 1008–1013. [Google Scholar] [CrossRef] [PubMed]
- Hovatta, O. Cryobiology of ovarian and testicular tissue. Best Pract. Res. Clin. Obstet. Ginaecol. 2003, 17, 331–342. [Google Scholar] [CrossRef]
- Milazzo, J.P.; Vaudreuil, L.; Cauliez, B.; Gruel, E.; Massé, L.; Mousset-Siméon, N.; Macé, B.; Rives, N. Comparison of conditions for cryopreservation of testicular tissue from immature mice. Hum. Reprod. 2008, 23, 17–29. [Google Scholar] [CrossRef] [Green Version]
- Honaramooz, A. Cryopreservation of testicular tissue. Curr. Front. Cryobiol. 2012, 2, 209–228. [Google Scholar]
- Teixeira, D.O.; Oliveira, E.S.; Fernandes, J.S.; Palomino, G.J.Q.; Tabosa, B.E.A.; Barbosa, H.T.S.; Pinheiro, B.Q.; Silva, L.D.M. Histological evaluation of testicles from prepubertal dogs submitted to vitrification with different cryoprotectant associations. Res. Soc. Dev. 2021, 10, 348101623864. [Google Scholar] [CrossRef]
- Rodriguez-Sosa, J.R.; Dobrinski, I. Recent developments in testis tissue xenografting. Reproduction 2009, 138, 187–194. [Google Scholar] [CrossRef] [Green Version]
- Mota, P.C.; Ehmcke, J.; Westernströer, B.; Gassei, K.; Ramalho-Santos, J.; Schlatt, S. Effects of different storage protocols on cat testis tissue potential for xenografting and recovery of spermatogenesis. Theriogenology 2012, 77, 299–310. [Google Scholar] [CrossRef]
- Buarpung, S.; Tharasanit, T.; Comizzoli, P.; Techakumphu, M. Feline spermatozoa from fresh and cryopreserved testicular tissues have comparable ability to fertilize matured oocytes and sustain the embryo development after intracytoplasmic sperm injection. Theriogenology 2013, 79, 149–158. [Google Scholar] [CrossRef] [PubMed]
- Macente, B.I.; Toniollo, G.H.; Apparicio, M.; Mansano, C.F.M.; Thomé, H.E.; Canella, C.L.; Tozato, M.; Gutierrez, R.R. Evaluation of different fragment sizes and cryoprotectants for cryopreservation of feline testicular tissues. Reprod. Domest. Anim. 2017, 52 (Suppl. 2), 242–247. [Google Scholar] [CrossRef] [PubMed] [Green Version]
- Lima, D.B.C.; Silva, T.F.P.; Morais, G.B.; Aquino-Cortez, A.; Evangelista, J.S.A.M.; Xavier Júnior, F.A.F.; Viana, D.A.; Silva, L.D.M. Different associations of cryoprotectants for testicular tissue of prepubertal cats submitted to vitrification. Reprod. Domest. Anim. 2017, 52 (Suppl. 2), 235–241. [Google Scholar] [CrossRef] [PubMed]
- Lima, D.B.C.; Silva, T.F.P.; Aquino-Cortez, A.; Leiva-Revilla, J.; Silva, L.D.M. Vitrification of testicular tissue from prepubertal cats in cryotubes using different cryoprotectant associations. Theriogenology 2018, 110, 110–115. [Google Scholar] [CrossRef] [PubMed]
- Macente, B.I.; Apparicio, M.; Mansano, C.F.M.; Tavares, M.R.; Fonseca-Alves, C.E.; Sousa, B.P.; Bertolo, P.H.L.; Vasconcelos, R.O.; Teixeira, E.S.; Toniollo, G.H. Effect of cryopreservation on sperm DNA fragmentation and apoptosis rates in the testicular tissue of domestic cats. Anim. Reprod. Sci. 2019, 211, 106224. [Google Scholar] [CrossRef]
- Fernandes, J.S.; Tabosa, B.E.A.; Brito, B.F.; Silva, H.V.R.; Lima, D.B.C.; Silva, L.D.M. Influence of different warming temperatures on the vitrified testicular fragments from pre-pubertal cat. Reprod. Domest. Anim. 2021, 56, 1342–1348. [Google Scholar] [CrossRef]
- Silva, H.V.R.; Silva, A.M.; Lee, P.C.; Brito, B.F.; Silva, A.R.; Silva, L.D.M.; Comizzoli, P. Influence of microwave-assisted drying on structural integrity and viability of testicular tissues from adult and prepubertal domestic cats. Biopreserv. Biobank. 2020, 18, 415–424. [Google Scholar] [CrossRef]
- Bashawat, M.; Braun, B.C.; Müller, K. Cell survival after cryopreservation of dissociated testicular cells from feline species. Cryobiology 2020, 97, 191–197. [Google Scholar] [CrossRef]
- Lima, S.L.G.; Soares, A.R.B.; Stalker, L.; Santos, R.R.; Domingues, S.F.S. Epididymal tail solid-surface vitrification as an effective method for domestic cat sperm cryobanking. Zygote 2021, 29, 452–458. [Google Scholar] [CrossRef]


| Objectives | Technical Approach | Main Outcomes | Reference |
|---|---|---|---|
| Compare different cryoprotectants and compare conventional freezing with testicular vitrification. | Slow freezing and solid surface vitrification using DMSO, GLY, EG and trehalose. | Solid surface vitrification in association with DMSO and trehalose generated better results. | [8] |
| Evaluate the efficiency of DMSO and EG regarding the sperm membrane integrity after cryopreservation. | Slow freezing using DMSO or EG. | Both cryoprotectants were similarly efficient. | [9] |
| Compare two times of immersion in freezing medium and evaluate the effect on sperm membrane integrity. | Slow freezing using 15 or 30 min of immersion times. | Both the immersion times and the freezing technique used were efficient. | [10] |
| Compare different cryoprotectants and compare conventional freezing with testicular vitrification. | Slow freezing and solid surface vitrification using DMSO and EG isolated or in association. | Slow freezing using DMSO/EG trehalose generated better results. | [11] |
| Identify the optimal conditions for freezing canine testicular cells for GDCs culture, and to determine the spermatogonial stem cells capacity of these GDCs. | Slow freezing and in vivo or in vitro culture | StemPro-34 SFM as culture medium and DMSO as cryoprotectant were adequate for testis freezing, providing cells viable to develop during both in vivo and in vitro culture. | [12] |
| Histologically evaluate the testicles of prepubertal dogs vitrified with different associations of cryoprotectants | Solid surface vitrification using DMSO/GLY or DMSO/EG or GLY/EG | DMSO/EG and EG/GLY association were the ones that best preserved testicular integrity | [13] |
| Objectives | Technical Approach | Main Outcomes | Reference |
|---|---|---|---|
| Focus on testis collection, cryopreservation and storage on ice-cold medium of testis fragment in an attempt to optimize conditions for posterior application to endangered felids. | Refrigeration at 4 °C or slow freezing using DMSO | Testicular cryopreservation with DMSO failed to produce grafts with germ cells. In contrast, testis from prepubertal animals may be preserved in ice cold medium for 2 to 5 days while pubertal testis showed signs of greater susceptibility to hypoxia/culture medium storage. Testis weight may be used to predict xenograft success, help decide the number of mice to use. | [21] |
| Determine the effects of CPAs and freezing protocols on testicular sperm plasma membrane and DNA integrity, and the fertilizing ability after ICSI | Two-step freezing vs. controlled slow freezing GLY, EG, PRO or DMSO | Testes were successfully cryopreserved. Types of CPAs and freezing techniques play a central role in determining the post-thaw quality of feline testicular spermatozoa. Frozen-thawed testicular spermatozoa retain fertilizing ability, although the development capability of embryos derived from ICSI with frozen-thawed testicular sperm is poor. | [22] |
| Evaluate testicular cryopreservation comparing two fragment sizes (0.3 and 0.5 cm3) and two cryoprotectants (GLY 3% and PRO 3%). | Conventional freezing | GLY was more efficient than PRO for cryopreservation and 0.5 cm3 fragments showed better results than 0.3 cm3 fragments. | [23] |
| Evaluate the effect of different associations of cryoprotectants on testicular integrity and the potential of spermatogonial proliferation after prepubertal testicular vitrification. | Vitrification using DMSO/GLY or DMSO/EG or GLY/EG | The association DMSO/GLY showed best testicular preservation and of the potential for cell proliferation after the vitrification. | [24] |
| Study structural and functional properties of testicular fragments from prepubertal cats after vitrification followed by two warming protocols (directly at 37 °C or with a 5-s pre-exposure to 50 °C) and three reanimation time points (immediately, 24 h and 5 days post-warming) | Vitrification | Preservation of seminiferous tubule structure was better using warming at 50 °C/5 s, and survival of somatic as well as germinal cells was higher compared to direct warming at 37 °C/1 min. Short term in vitro culture also proved that cellular composition and functionality were better preserved when warmed for a short time at 50 °C. Short warming at 50 °C led to better quality of seminiferous tubule structure and cell composition after vitrification and short-term culture. | [7] |
| Evaluate the effect of different associations of cryoprotectants on the testicular integrity, the potential for cell proliferation, and the viability of germ cells after in cryotubes | Vitrification using cryotubes | Vitrification in cryotubes can be successfully used for the testicular cryopreservation, and the DMSO/GLY association contributed the most to the maintenance of testicular histomorphological characteristics after vitrification. | [25] |
| Evaluate the damage to DNA and estimate the apoptosis rates in testicular fragments. Values for these variables were compared between type of cryoprotectant used (3% GLY and 3% PRO) and the size of the testicular fragment (0.3 and 0.5 cm3). | Conventional freezing | Both GLY and PRO at a concentration of 3% provided protection against damage caused by cryopreservation for both sizes of fragments. However, there were differences in the efficacy of the cryoprotectants regarding protection capacity depending on the type of the cell within the tissue. | [26] |
| Evaluate the influence of different warming temperatures (50, 55 and 60 °C) on the structure, metabolic activity, composition, and cellular functions of the vitrified testicular fragments of pre-pubertal cats. | Vitrification using DMSO/GLY | Vitrified testicular fragments from prepubertal cats have better preserved morphology, morphometry and viability when warmed at 50 °C. | [27] |
Publisher’s Note: MDPI stays neutral with regard to jurisdictional claims in published maps and institutional affiliations. |
© 2022 by the author. Licensee MDPI, Basel, Switzerland. This article is an open access article distributed under the terms and conditions of the Creative Commons Attribution (CC BY) license (https://creativecommons.org/licenses/by/4.0/).
Share and Cite
Silva, L.D.M.d. Canine and Feline Testicular Preservation. Animals 2022, 12, 124. https://doi.org/10.3390/ani12010124
Silva LDMd. Canine and Feline Testicular Preservation. Animals. 2022; 12(1):124. https://doi.org/10.3390/ani12010124
Chicago/Turabian StyleSilva, Lúcia Daniel Machado da. 2022. "Canine and Feline Testicular Preservation" Animals 12, no. 1: 124. https://doi.org/10.3390/ani12010124
APA StyleSilva, L. D. M. d. (2022). Canine and Feline Testicular Preservation. Animals, 12(1), 124. https://doi.org/10.3390/ani12010124
