The Prevalence of Feline Hip Dysplasia, Patellar Luxation and Lumbosacral Transitional Vertebrae in Pedigree Cats in The Czech Republic
Abstract
:Simple Summary
Abstract
1. Introduction
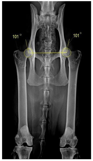
2. Materials and Methods
- Has your cat had any mobility problems, e.g., with jumping or climbing in the past 6 months?
- Have you noticed any decreased or other changes in activity in your cat in the past 6 months?
- Have you noticed any increased vocalization when you touched your cat in the past 6 months?
- Has your cat had any problems or changes in defecation in the past 6 months?
3. Results
4. Discussion
5. Conclusions
Author Contributions
Funding
Institutional Review Board Statement
Informed Consent Statement
Data Availability Statement
Acknowledgments
Conflicts of Interest
References
- Lust, G.; Geary, J.; Sheffy, B. Development of hip dysplasia in dogs. Amer. J. Vet. Res. 1973, 34, 87–91. [Google Scholar] [PubMed]
- Riser, W. Canine hip dysplasia: Cause and control. J. Am. Vet. Med. Assoc. 1974, 165, 360–362. [Google Scholar] [PubMed]
- Lust, G.; Rendano, V.; Summers, B. Canine hip dysplasia: Concepts and diagnosis. J. Am. Vet. Med. Assoc. 1985, 187, 638–640. [Google Scholar] [PubMed]
- Lust, G. Joint laxity and its association with hip dysplasia in Labrador retrievers. Am. J. Vet. Res. 1993, 54, 1990–1999. [Google Scholar] [PubMed]
- Keller, G. Hip dysplasia: A feline population study. Vet. Radiol. Ultrasound 1999, 40, 460–464. [Google Scholar] [CrossRef]
- Langenbach, A. Relationship between degenerative joint disease and hip joint laxity by use of distraction index and Norberg angle measurement in a group of cats. J. Am. Vet. Med. Assoc. 1998, 213, 1439–1443. [Google Scholar]
- Loder, R.T.; Todhunter, R.J. Demographics of hip dysplasia in the Maine Coon cat. J. Feline Med. Surg. 2018, 20, 302–307. [Google Scholar] [CrossRef]
- Low, M. Demography, heritability and genetic correlation of feline hip dysplasia and response to selection in a health screening programme. Sci. Rep. 2019, 9, 1–9. [Google Scholar] [CrossRef]
- Lascelles, B.D.X.; Robertson, S.A. DJD-associated pain in cats: What can we do to promote patient comfort? J. Feline Med. Surg. 2010, 12, 200–212. [Google Scholar] [CrossRef]
- Perry, K.L. The lame cat: Optimising orthopaedic examination and investigation. Companion Anim. 2014, 19, 518–523. [Google Scholar] [CrossRef]
- Kerwin, S. Orthopedic examination in the cat: Clinical tips for ruling in/out common musculoskeletal disease. J. Feline Med. Surg. 2012, 14, 6–12. [Google Scholar] [CrossRef]
- Grierson, J. Hips, elbows and stifles: Common joint diseases in the cat. J. Feline Med. Surg. 2012, 14, 23–30. [Google Scholar] [CrossRef]
- Flecknell, P.A. Congenital luxation of the patellae in the cat. Vet. Rec. 1977, 100, 536–537. [Google Scholar] [CrossRef] [PubMed]
- Prior, J. Luxating patellae in Devon rex cats. Vet. Rec. 1985, 117, 154–155. [Google Scholar] [CrossRef]
- Davies, M.; Gill, I. Congenital patellar luxation in the cat. Vet. Rec. 1987, 121, 474–475. [Google Scholar] [CrossRef] [PubMed]
- Hamish, R.; Butterworth, S. A Guide to Canine and Feline Orthopaedic Surger; Wiley-Blackwell Company: Hoboken, NJ, USA, 2000; pp. 409–424. [Google Scholar]
- Houlton, J.; Meynink, S. Medial patellar luxation in the cat. J. Small Anim. Pract. 1989, 30, 349–352. [Google Scholar] [CrossRef]
- Patsikas, M. Hip dysplasia in the cat: A report of three cases. J. Small Anim. Pract. 1998, 39, 290–294. [Google Scholar] [CrossRef] [PubMed]
- Hayes, H.; Wilson, G.; Burt, J. Feline Hip-Dysplasia. J. Am. Anim. Hosp. Assoc. 1979, 15, 447–448. [Google Scholar]
- Smith, G. Evaluation of the association between medial patellar luxation and hip dysplasia in cats. J. Am. Vet. Med. Assoc. 1999, 215, 40–45. [Google Scholar]
- Loughin, C.A. Clinical signs and results of treatment in cats with patellar luxation: 42 cases (1992–2002). J. Am. Vet. Med. Assoc. 2006, 228, 1370–1375. [Google Scholar] [CrossRef]
- Damur-Djuric, N. Lumbosacral transitional vertebrae in dogs: Classification, prevalence, and association with sacroiliac morphology. Vet. Radiol. Ultrasound 2006, 47, 32–38. [Google Scholar] [CrossRef] [PubMed]
- Flückiger, M.A. A lumbosacral transitional vertebra in the dog predisposes to cauda equina syndrome. Vet. Radiol. Ultrasound 2006, 47, 39–44. [Google Scholar] [CrossRef]
- Flückiger, M.A. Asymmetrical lumbosacral transitional vertebrae in dogs may promote asymmetrical hip joint development. Vet. Comp. Orthop. Traumatol. 2017, 30, 137–142. [Google Scholar] [PubMed] [Green Version]
- Newitt, A.L.; German, A.J.; Barr, F.J. Lumbosacral transitional vertebrae in cats and their effects on morphology of adjacent joints. J. Feline Med. Surg. 2009, 11, 941–947. [Google Scholar] [CrossRef] [PubMed]
- Harris, G.; Ball, J.; De Decker, S. Lumbosacral transitional vertebrae in cats and its relationship to lumbosacral vertebral canal stenosis. J. Feline Med. Surg. 2019, 21, 286–292. [Google Scholar] [CrossRef] [PubMed]
- Morgan, J.; Bailey, C. Cauda equina syndrome in the dog: Radiographic evaluation. J. Small Anim. Pract. 1990, 31, 69–77. [Google Scholar] [CrossRef]
- Komsta, R.; Łojszczyk-Szczepaniak, A.; Dębiak, P. Lumbosacral transitional vertebrae, canine hip dysplasia, and sacroiliac joint degenerative changes on ventrodorsal radiographs of the pelvis in police working German Shepherd dogs. Top. Companion Anim. Med. 2015, 30, 10–15. [Google Scholar] [CrossRef] [PubMed]
- PawPeds. Feline Hip Dysplasia. 2021. Available online: https://pawpeds.com/healthprogrammes/hd.html (accessed on 17 August 2021).
- Animals, O.F.F. 2021. Available online: https://www.ofa.org/diseases/hip-dysplasia#screeningprocedures (accessed on 17 August 2021).
- Olsson, S. Roentgen examination of the hip joints of German Shepherd Dogs. Adv. Small Anim. Pract. 1961, 3, 117–118. [Google Scholar]
- Heyman, S.; Smith, G.; Cofone, M. Biomechanical study of the effect of coxofemoral positioning on passive hip joint laxity in dogs. Am. J. Vet. Res. 1993, 54, 210–215. [Google Scholar]
- Rabin, K.; De Haan, J.; Ackerman, N. Hip dysplasia in a litter of domestic shorthair cats. Feline Pract. 1994, 22, 15–18. [Google Scholar]




| Breed | Right Hip Joint | Left Hip Joint | ||||||
|---|---|---|---|---|---|---|---|---|
| Breed | Grade 0 | Grade 1 | Grade 2 | Grade 3 | Grade 0 | Grade 1 | Grade 2 | Grade 3 |
| BML | 2 | 2 | 1 | 0 | 2 | 2 | 1 | 0 |
| MCO | 50 | 15 | 16 | 4 | 52 | 17 | 9 | 7 |
| NFO | 11 | 2 | 0 | 0 | 11 | 0 | 2 | 0 |
| OSH | 1 | 0 | 0 | 0 | 1 | 0 | 0 | 0 |
| SIB | 1 | 0 | 1 | 1 | 1 | 1 | 0 | 1 |
| Total | 65 | 19 | 18 | 5 | 67 | 20 | 12 | 8 |
| % | 60.7 | 17.8 | 16.8 | 4.7 | 62.6 | 18.7 | 11.2 | 7.5 |
| Norberg Angle | Grade 0 | Grade 1 | Grade 2 | Grade 3 |
|---|---|---|---|---|
| VD extended view | 96.87 (±3.45) | 87.82 (±3.24) | 80.20 (±6.02) | 74.20 (±8.50) |
| VD flexed view | 97.99 (±3.36) | 91.38 (±3.72) | 87.06 (±6.23) | 84.64 (±5.85) |
| Breed | Right Patella | Left Patella | ||||||||
|---|---|---|---|---|---|---|---|---|---|---|
| Gr. 0 | Gr. 1 | Gr. 2 | Gr. 3 | Gr. 4 | Gr. 0 | Gr. 1 | Gr. 2 | Gr. 3 | Gr. 4 | |
| BML | 2 | 1 | 2 | 0 | 0 | 2 | 2 | 1 | 0 | 0 |
| MCO | 59 | 21 | 4 | 1 | 0 | 60 | 21 | 4 | 0 | 0 |
| NFO | 9 | 4 | 0 | 0 | 0 | 11 | 2 | 0 | 0 | 0 |
| OSH | 1 | 0 | 0 | 0 | 0 | 1 | 0 | 0 | 0 | 0 |
| SIB | 1 | 2 | 0 | 0 | 0 | 1 | 2 | 0 | 0 | 0 |
| Total | 72 | 28 | 6 | 1 | 0 | 75 | 27 | 5 | 0 | 0 |
| % | 67.3 | 26.2 | 5.6 | 0.9 | 0.0 | 70.1 | 25.2 | 4.7 | 0.0 | 0.0 |
Publisher’s Note: MDPI stays neutral with regard to jurisdictional claims in published maps and institutional affiliations. |
© 2021 by the authors. Licensee MDPI, Basel, Switzerland. This article is an open access article distributed under the terms and conditions of the Creative Commons Attribution (CC BY) license (https://creativecommons.org/licenses/by/4.0/).
Share and Cite
Černá, P.; Timmermans, J.; Komenda, D.; Nývltová, I.; Proks, P. The Prevalence of Feline Hip Dysplasia, Patellar Luxation and Lumbosacral Transitional Vertebrae in Pedigree Cats in The Czech Republic. Animals 2021, 11, 2482. https://doi.org/10.3390/ani11092482
Černá P, Timmermans J, Komenda D, Nývltová I, Proks P. The Prevalence of Feline Hip Dysplasia, Patellar Luxation and Lumbosacral Transitional Vertebrae in Pedigree Cats in The Czech Republic. Animals. 2021; 11(9):2482. https://doi.org/10.3390/ani11092482
Chicago/Turabian StyleČerná, Petra, Joep Timmermans, Dominik Komenda, Ivana Nývltová, and Pavel Proks. 2021. "The Prevalence of Feline Hip Dysplasia, Patellar Luxation and Lumbosacral Transitional Vertebrae in Pedigree Cats in The Czech Republic" Animals 11, no. 9: 2482. https://doi.org/10.3390/ani11092482
APA StyleČerná, P., Timmermans, J., Komenda, D., Nývltová, I., & Proks, P. (2021). The Prevalence of Feline Hip Dysplasia, Patellar Luxation and Lumbosacral Transitional Vertebrae in Pedigree Cats in The Czech Republic. Animals, 11(9), 2482. https://doi.org/10.3390/ani11092482

