Effect of Antibiotic, Phytobiotic and Probiotic Supplementation on Growth, Blood Indices and Intestine Health in Broiler Chicks Challenged with Clostridium perfringens
Simple Summary
Abstract
1. Introduction
2. Materials and Methods
2.1. Feeding Trial and Regimen
2.2. Challenge Inoculum
2.3. Performance Measurements
2.4. Intestine Morphometric Analysis and Lesions Score
2.5. Blood Biochemical Measurements
2.6. Histopathological Examination
2.7. Statistical Analysis
3. Results
3.1. Growth Performance and Feed Efficiency
3.2. Intestinal Histomorphometric Measurements
3.3. Serum Profile
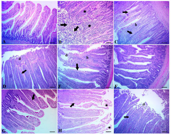
3.4. Histopathological Examination of Intestine and Liver
4. Discussion
4.1. Growth Performance
4.2. Intestinal Histomorphometric Parameters
4.3. Blood Biochemical Parameters
4.4. Liver and Intestinal Histopathological Signs
5. Conclusions
Author Contributions
Funding
Acknowledgments
Conflicts of Interest
References
- Popoff, M.C. Sécurité Sanitaire Des Aliments: Epidémiologie et Lutte Contre Les Contaminants Zoonotiques; Drider, D., Salvat, G., Eds.; Economica: Paris, France, 2013; pp. 165–189. [Google Scholar]
- Van Immerseel, F.; Rood, J.I.; Moore, R.J.; Titball, R.W. Rethinking our understanding of the pathogenesis of necrotic enteritis in chickens. Trends Microbiol. 2009, 17, 32–36. [Google Scholar] [CrossRef] [PubMed]
- Grass, J.E.; Gould, L.H.; Mahon, B.E. Epidemiology of foodborne disease outbreaks caused by Clostridium perfringens, United States, 1998–2010. Foodborne Pathog. Dis. 2013, 10, 131–136. [Google Scholar] [CrossRef] [PubMed]
- Uzal, F.; Vidal, J.; McClane, B.; Gurjar, A. Clostridium perfringens toxins involved in mammalian veterinary diseases. Open Toxinol. J. 2010, 2, 24. [Google Scholar] [CrossRef]
- Timbermont, L.; De Smet, L.; Van Nieuwerburgh, F.; Parreira, V.R.; Van Driessche, G.; Haesebrouck, F.; Ducatelle, R.; Prescott, J.; Deforce, D.; Devreese, B. Perfrin, a novel bacteriocin associated with netB positive Clostridium perfringens strains from broilers with necrotic enteritis. Vet. Res. 2014, 45, 40. [Google Scholar] [CrossRef]
- El-Shall, N.A.; Awad, A.M.; El-Hack, M.E.A.; Naiel, M.A.; Othman, S.I.; Allam, A.A.; Sedeik, M.E. The Simultaneous Administration of a Probiotic or Prebiotic with Live Salmonella Vaccine Improves Growth Performance and Reduces Fecal Shedding of the Bacterium in Salmonella-Challenged Broilers. Animals 2020, 10, 70. [Google Scholar] [CrossRef]
- Lee, K.; Lillehoj, H.; Jeong, W.; Jeoung, H.; An, D. Avian necrotic enteritis: Experimental models, host immunity, pathogenesis, risk factors and vaccine development. Poult. Sci. 2011, 90, 1381–1390. [Google Scholar] [CrossRef]
- McDevitt, R.; Brooker, J.; Acamovic, T.; Sparks, N. Necrotic enteritis; A continuing challenge for the poultry industry. World’s Poult. Sci. J. 2006, 62, 221–247. [Google Scholar] [CrossRef]
- Caly, D.L.; D’Inca, R.; Auclair, E.; Drider, D. Alternatives to antibiotics to prevent necrotic enteritis in broiler chickens: A microbiologist’s perspective. Front. Microbiol. 2015, 6, 1336. [Google Scholar] [CrossRef]
- Kaldhusdal, M.; Schneitz, C.; Hofshagen, M.; Skjerve, E. Reduced incidence of Clostridium perfringens-associated lesions and improved performance in broiler chickens treated with normal intestinal bacteria from adult fowl. Avian Dis. 2001, 45, 149–156. [Google Scholar] [CrossRef]
- Skinner, J.T.; Bauer, S.; Young, V.; Pauling, G.; Wilson, J. An economic analysis of the impact of subclinical (mild) necrotic enteritis in broiler chickens. Avian Dis. 2010, 54, 1237–1240. [Google Scholar] [CrossRef]
- Timbermont, L.; Haesebrouck, F.; Ducatelle, R.; Van Immerseel, F. Necrotic enteritis in broilers: An updated review on the pathogenesis. Avian Pathol. 2011, 40, 341–347. [Google Scholar] [CrossRef] [PubMed]
- Craven, S.; Stern, N.; Bailey, J.; Cox, N. Incidence of Clostridium perfringens in broiler chickens and their environment during production and processing. Avian Dis. 2001, 45, 887–896. [Google Scholar] [CrossRef] [PubMed]
- Williams, R. Intercurrent coccidiosis and necrotic enteritis of chickens: Rational, integrated disease management by maintenance of gut integrity. Avian pathol. 2005, 34, 159–180. [Google Scholar] [CrossRef] [PubMed]
- Annett, C.; Viste, J.; Chirino-Trejo, M.; Classen, H.; Middleton, D.; Simko, E. Necrotic enteritis: Effect of barley, wheat and corn diets on proliferation of Clostridium perfringens type A. Avian Pathol. 2002, 31, 598–601. [Google Scholar] [CrossRef] [PubMed]
- Moran, E.T., Jr. Intestinal events and nutritional dynamics predispose Clostridium perfringens virulence in broilers. Poult. Sci. 2014, 93, 3028–3036. [Google Scholar] [CrossRef] [PubMed]
- Al-Sagheer, A.A.; Abd El-Hack, M.E.; Alagawany, M.; Naiel, M.A.; Mahgoub, S.A.; Badr, M.M.; Hussein, E.O.; Alowaimer, A.N.; Swelum, A.A. Paulownia leaves as a new feed resource: Chemical composition and effects on growth, carcasses, digestibility, blood biochemistry and intestinal bacterial populations of growing rabbits. Animals 2019, 9, 95. [Google Scholar] [CrossRef]
- Sobsey, M.; Khatib, L.; Hill, V.; Alocilja, E.; Pillai, S. Pathogens in Animal Wastes and the Impacts of Waste Management Practices on Their Survival, Transport and Fate; Pp. 609–666 in Ani. Agri. and the Environ.: National Center for Manure and Animal Waste Management White Papers; Rice, J.M., Caldwell, D.F., Humenik, F.J., Eds.; ASABE: St. Joseph, MI, USA, 2006. [Google Scholar]
- Bauer, E.; Williams, B.A.; Smidt, H.; Verstegen, M.W.; Mosenthin, R. Influence of the gastrointestinal microbiota on development of the immune system in young animals. Curr. Issues Intest. Microbiol. 2006, 7, 35–52. [Google Scholar]
- Paiva, D.; McElroy, A. Necrotic enteritis: Applications for the poultry industry. J. Appl. Poult. Res. 2014, 23, 557–566. [Google Scholar] [CrossRef]
- Fenichel, G.M. Clinical Pediatric Neurology: A Signs and Symptoms Approach, 6th ed.; Saunders: Philadelphia, PA, USA, 2009. [Google Scholar]
- Paradis, M.A.; McMillan, E.; Bagg, R.; Vessie, G.; Zocche, A.; Thompson, M. Efficacy of avilamycin for the prevention of necrotic enteritis caused by a pathogenic strain of Clostridium perfringens in broiler chickens. Avian Pathol. 2016, 45, 365–369. [Google Scholar] [CrossRef] [PubMed]
- El-Naby, F.S.A.; Naiel, M.A.; Al-Sagheer, A.A.; Negm, S.S. Dietary chitosan nanoparticles enhance the growth, production performance and immunity in Oreochromis niloticus. Aquaculture 2019, 501, 82–89. [Google Scholar] [CrossRef]
- Brennan, J.; Bagg, R.; Barnum, D.; Wilson, J.; Dick, P. Efficacy of narasin in the prevention of necrotic enteritis in broiler chickens. Avian Dis. 2001, 45, 210–214. [Google Scholar] [CrossRef] [PubMed]
- Butaye, P.; Devriese, L.A.; Haesebrouck, F. Antimicrobial growth promoters used in animal feed: Effects of less well known antibiotics on gram-positive bacteria. Clin. Microbiol. Rev. 2003, 16, 175–188. [Google Scholar] [CrossRef] [PubMed]
- Mwangi, S.; Timmons, J.; Fitz-Coy, S.; Parveen, S. Characterization of Clostridium perfringens recovered from broiler chicken affected by necrotic enteritis. Poult. Sci. 2018, 98, 128–135. [Google Scholar] [CrossRef] [PubMed]
- Fooks, L.J.; Fuller, R.; Gibson, G.R. Prebiotics, probiotics and human gut microbiology. Int. Dairy J. 1999, 9, 53–61. [Google Scholar] [CrossRef]
- Joerger, R. Alternatives to antibiotics: Bacteriocins, antimicrobial peptides and bacteriophages. Poult. Sci. 2003, 82, 640–647. [Google Scholar] [CrossRef]
- Pan, D.; Yu, Z. Intestinal microbiome of poultry and its interaction with host and diet. Gut Microbes 2014, 5, 108–119. [Google Scholar] [CrossRef] [PubMed]
- Sassone-Corsi, M.; Raffatellu, M. No vacancy: How beneficial microbes cooperate with immunity to provide colonization resistance to pathogens. J. Immunol. 2015, 194, 4081–4087. [Google Scholar] [CrossRef]
- Barbosa, T.M.; Serra, C.R.; La Ragione, R.M.; Woodward, M.J.; Henriques, A.O. Screening for Bacillus isolates in the broiler gastrointestinal tract. Appl. Environ. Microbiol. 2005, 71, 968–978. [Google Scholar] [CrossRef]
- Gérard, P.; Brézillon, C.; Quéré, F.; Salmon, A.; Rabot, S. Characterization of cecal microbiota and response to an orally administered lactobacillus probiotic strain in the broiler chicken. J. Mol. Microbiol. Biotechnol. 2008, 14, 115–122. [Google Scholar] [CrossRef]
- Knap, I.; Lund, B.; Kehlet, A.; Hofacre, C.; Mathis, G. Bacillus licheniformis prevents necrotic enteritis in broiler chickens. Avian Dis. 2010, 54, 931–935. [Google Scholar] [CrossRef]
- La Ragione, R.M.; Woodward, M.J. Competitive exclusion by Bacillus subtilis spores of Salmonella enterica serotype Enteritidis and Clostridium perfringens in young chickens. Vet. Microbiol. 2003, 94, 245–256. [Google Scholar] [CrossRef]
- Sokale, A.; Menconi, A.; Mathis, G.; Lumpkins, B.; Sims, M.; Whelan, R.; Doranalli, K. Effect of Bacillus subtilis DSM 32315 on the intestinal structural integrity and growth performance of broiler chickens under necrotic enteritis challenge. Poult. Sci. 2019, 98, 5392–5400. [Google Scholar] [CrossRef] [PubMed]
- Jayaraman, S.; Thangavel, G.; Kurian, H.; Mani, R.; Mukkalil, R.; Chirakkal, H. Bacillus subtilis PB6 improves intestinal health of broiler chickens challenged with Clostridium perfringens-induced necrotic enteritis. Poult. Sci. 2013, 92, 370–374. [Google Scholar] [CrossRef] [PubMed]
- Aviagen. Parent Stock Management Handbook: Ross; Aviagen, Ltd.: Huntsville, AL, USA, 2013. [Google Scholar]
- Ao, Z.; Kocher, A.; Choct, M. Effects of dietary additives and early feeding on performance, gut development and immune status of broiler chickens challenged with Clostridium perfringens. Asian Australas. J. Anim. Sci. 2012, 25, 541. [Google Scholar] [CrossRef] [PubMed]
- Abudabos, A.M.; Alyemni, A.H.; Dafalla, Y.M.; Khan, R.U. The effect of phytogenics on growth traits, blood biochemical and intestinal histology in broiler chickens exposed to Clostridium perfringens challenge. J. Appl. Anim. Res. 2018, 46, 691–695. [Google Scholar] [CrossRef]
- Griffin, R. The response of cage-reared broiler cockerels to dietary supplements of nitrovin, zinc bacitracin or penicillin used singly or in paired combinations. Br. Poult. Sci. 1979, 20, 281–287. [Google Scholar] [CrossRef]
- Jensen, L.; Johnson, J.; Ruff, M. Selenium status and response of broiler chicks to coccidial infection. Proc. Poult. Sci. 2003, 57, 1147–1148. [Google Scholar]
- Arif, M.; Iram, A.; Bhutta, M.A.; Naiel, M.A.; Abd El-Hack, M.E.; Othman, S.I.; Allam, A.A.; Amer, M.S.; Taha, A.E. The Biodegradation Role of Saccharomyces cerevisiae against Harmful Effects of Mycotoxin Contaminated Diets on Broiler Performance, Immunity Status and Carcass characteristics. Animals 2020, 10, 238. [Google Scholar] [CrossRef]
- Long, J.; Barnum, D.; Pettit, J. Necrotic enteritis in broiler chickens II. Pathology and proposed pathogenesis. Can. J. Comp. Med. 1974, 38, 467. [Google Scholar]
- Hofacre, C.; Froyman, R.; Gautrias, B.; George, B.; Goodwin, M.; Brown, J. Use of Aviguard and other intestinal bioproducts in experimental Clostridium perfringens-associated necrotizing enteritis in broiler chickens. Avian Dis. 1998, 42, 579–584. [Google Scholar] [CrossRef]
- Langhout, D.J. The Role of the Intestinal Flora as Affected by Non-Starch Polysaccharides in Broiler Chicks. Ph.D. Thesis, Wageningen University & Research, Wageningen, The Netherlands, 1998. [Google Scholar]
- Teshfam, M.; Nodeh, H.; Hassanzadeh, M. Alterations in the intestinal mucosal structure following oral administration of triiodothyronine (T3) in broiler chickens. J. Appl. Anim. Res. 2005, 27, 105–108. [Google Scholar] [CrossRef]
- Sakamoto, K.; Hirose, H.; Onizuka, A.; Hayashi, M.; Futamura, N.; Kawamura, Y.; Ezaki, T. Quantitative study of changes in intestinal morphology and mucus gel on total parenteral nutrition in rats. J. Surg. Res. 2000, 94, 99–106. [Google Scholar] [CrossRef] [PubMed]
- Reinhold, J. Total protein, albumin and globulin. Stand. Methods Clin. Chem. 1953, 1, 88–94. [Google Scholar]
- Ogunwole, O.; Abu, O.; Adedeji, B.; Jemiseye, F.; Ojelade, A.; Tewe, O. Haematology and Serum Indices of Finisher Broiler Chickens Fed Acidified Blood Meal-based Diets. JABB 2017, 11, 1–7. [Google Scholar] [CrossRef]
- Kim, Y.; Han, I.K.; Choi, Y.; Shin, I.; Chae, B.; Kang, T. Effects of dietary levels of chromium picolinate on growth performance, carcass quality and serum traits in broiler chicks. Asian Australas. J. Anim. Sci. 1996, 9, 341–347. [Google Scholar] [CrossRef]
- Holder, M.; Rej, R. Alanine Transaminase in Methods of Enzymatic Analysis, 3rd ed.; Bergmeyer, H.U., Bergemeyer, J., Grassl, M., Eds.; Weinhein Velagehemie: Hoboken, NJ, USA, 1983; pp. 380–401. [Google Scholar]
- Kornblatf, M.J.; Klugerman, A.; Nagy, F. Characterization and localization of alkaline phosphatase activity in rat testes. Biol. Reprod. 1983, 29, 157–164. [Google Scholar] [CrossRef]
- Naiel, M.A.; Ismael, N.E.; Shehata, S.A. Ameliorative effect of diets supplemented with rosemary (Rosmarinus officinalis) on aflatoxin B1 toxicity in terms of the performance, liver histopathology, immunity and antioxidant activity of Nile Tilapia (Oreochromis niloticus). Aquaculture 2019, 511, 734264. [Google Scholar] [CrossRef]
- Bancroft, J.D.; Gamble, M. Theory and Practice of Histological Techniques, 6th ed.; Churchill Livingstone Elsevier: Philadelphia, PA, USA, 2008. [Google Scholar]
- Duncan, D.B. Multiple range and multiple F tests. Biometrics 1955, 11, 1–42. [Google Scholar] [CrossRef]
- Wang, H.; Ni, X.; Qing, X.; Liu, L.; Lai, J.; Khalique, A.; Li, G.; Pan, K.; Jing, B.; Zeng, D. Probiotic enhanced intestinal immunity in broilers against subclinical necrotic enteritis. Front. Immunol. 2017, 8, 1592. [Google Scholar] [CrossRef]
- Kefali, S.; Kaygisiz, F.; Toker, N. Effect of probiotics on feed consumption, live weight gain and production cost in broilers. Indian Vet. J. 2007, 84, 267–269. [Google Scholar]
- De Jesus, R.; Waitzberg, D.; Campos, F. More Channels Showcase Channel Catalog. Rev. Assoc. Med. Bras 2000, 46. [Google Scholar] [CrossRef]
- El-Naga, M. Effect of dietary yeast supplementation on broiler performance. Egypt. Poult. Sci. J. 2012, 32, 95–106. [Google Scholar]
- Sen, S.; Ingale, S.; Kim, Y.; Kim, J.; Kim, K.; Lohakare, J.; Kim, E.; Kim, H.; Ryu, M.; Kwon, I. Effect of supplementation of Bacillus subtilis LS 1-2 to broiler diets on growth performance, nutrient retention, caecal microbiology and small intestinal morphology. Res. Vet. Sci. 2012, 93, 264–268. [Google Scholar] [CrossRef] [PubMed]
- Patel, S.G.; Raval, A.P.; Bhagwat, S.R.; Sadrasaniya, D.A.; Patel, A.P.; Joshi, S.S. Effects of probiotics supplementation on growth performance, feed conversion ratio and economics of broilers. J. Anim. Res. 2015, 5, 155. [Google Scholar] [CrossRef]
- Lukic, J.; Chen, V.; Strahinic, I.; Begovic, J.; Lev-Tov, H.; Davis, S.C.; Tomic-Canic, M.; Pastar, I. Probiotics or pro-healers: The role of beneficial bacteria in tissue repair. Wound Repair Regen. 2017, 25, 912–922. [Google Scholar] [CrossRef]
- Khaksefidi, A.; Ghoorchi, T. Effect of probiotic on performance and immunocompetence in broiler chicks. J. Poult. Sci. 2006, 43, 296–300. [Google Scholar] [CrossRef]
- Anjum, M.; Khan, A.; Azim, A.; Afzal, M. Effect of dietary supplementation of multi-strain probiotic on broiler growth performance. Pak. Vet. J. 2005, 25, 25–29. [Google Scholar]
- Singh, S.; Niranjan, P.; Singh, U.; Koley, S.; Verma, D. Effects of dietary supplementation of probiotics on broiler chicken. Anim. Nutr. Feed Technol. 2009, 9, 85–90. [Google Scholar]
- Dunne, C. Adaptation of bacteria to the intestinal niche: Probiotics and gut disorder. Inflamm. Bowel Dis. 2001, 7, 136–145. [Google Scholar] [CrossRef]
- Abdel-Hafeez, H.M.; Saleh, E.S.; Tawfeek, S.S.; Youssef, I.M.; Abdel-Daim, A.S. Effects of probiotic, prebiotic and synbiotic with and without feed restriction on performance, hematological indices and carcass characteristics of broiler chickens. Asian Australas. J. Anim. Sci. 2017, 30, 672. [Google Scholar] [CrossRef]
- Riad, S.; Safaa, H.; Mohamed, F. Influence of probiotic, prebiotic and/or yeast supplementation in broiler diets on the productivity, immune response and slaughter traits. J. Anim. Poult. Prod. 2010, 1, 45–60. [Google Scholar]
- Liu, T.; She, R.; Wang, K.; Bao, H.; Zhang, Y.; Luo, D.; Hu, Y.; Ding, Y.; Wang, D.; Peng, K. Effects of rabbit sacculus rotundus antimicrobial peptides on the intestinal mucosal immunity in chickens. Poult. Sci. 2008, 87, 250–254. [Google Scholar] [CrossRef] [PubMed]
- Chichlowski, M.; Croom, W.; Edens, F.; McBride, B.; Qiu, R.; Chiang, C.; Daniel, L.; Havenstein, G.; Koci, M. Microarchitecture and spatial relationship between bacteria and ileal, cecal and colonic epithelium in chicks fed a direct-fed microbial, PrimaLac and salinomycin. Poult. Sci. 2007, 86, 1121–1132. [Google Scholar] [CrossRef] [PubMed]
- Awad, W.; Ghareeb, K.; Abdel-Raheem, S.; Böhm, J. Effects of dietary inclusion of probiotic and synbiotic on growth performance, organ weights and intestinal histomorphology of broiler chickens. Poult. Sci. 2009, 88, 49–56. [Google Scholar] [CrossRef] [PubMed]
- Pluske, J.R.; Thompson, M.J.; Atwood, C.S.; Bird, P.H.; Williams, I.H.; Hartmann, P.E. Maintenance of villus height and crypt depth and enhancement of disaccharide digestion and monosaccharide absorption, in piglets fed on cows’ whole milk after weaning. Br. J. Nutr. 1996, 76, 409–422. [Google Scholar] [CrossRef] [PubMed]
- Shamoto, K.; Yamauchi, K. Recovery responses of chick intestinal villus morphology to different refeeding procedures. Poult. Sci. 2000, 79, 718–723. [Google Scholar] [CrossRef]
- Nahavandinejad, M.; Seidavi, A.; Asadpour, L.; Payan-Carreira, R. Blood biochemical parameters of broilers fed differently thermal processed soybean meal. Rev. MVZ Córdoba 2014, 19, 4301–4315. [Google Scholar] [CrossRef]
- Shareef, A.; Al-Dabbagh, A. Effect of probiotic (Saccharomyces cerevisiae) on performance of broiler chicks. Iraqi J. Vet. Sci. 2009, 23, 23–29. [Google Scholar]
- Alkhalf, A.; Alhaj, M.; Al-Homidan, I. Influence of probiotic supplementation on blood parameters and growth performance in broiler chickens. Saudi J. Biol. Sci. 2010, 17, 219–225. [Google Scholar] [CrossRef]
- Al-Kassie, G.; Al-Jumaa, Y.; Jameel, Y. Effect of probiotic (Aspergillus niger) and prebiotic (Taraxacum officinale) on blood picture and biochemical properties of broiler chicks. Int. J. Poult. Sci. 2008, 7, 1182–1184. [Google Scholar] [CrossRef]
- Ta, A.; Raji, M.; Hassan, B.; Kawu, M.; Kobo, P.; Ayo, J. Effect of Different Levels of Supplemental Yeast on Performance Indices and Serum Biochemistry of Broiler Chickens. Open Conf. Proc. J. 2012, 3, 41–45. [Google Scholar]
- Santoso, U.; Tanaka, K.; Ohtani, S. Effect of dried Bacillus subtilis culture on growth, body composition and hepatic lipogenic enzyme activity in female broiler chicks. Br. J. Nutr. 1995, 74, 523–529. [Google Scholar] [CrossRef] [PubMed]
- Hussein, A. Effect of biological additives on growth indices and physiological responses of weaned Najdi ram lambs. J. Exp. Biol. Agric. Sci. 2014, 2, 6. [Google Scholar]
- Hatab, M.; Elsayed, M.; Ibrahim, N. Effect of some biological supplementation on productive performance, physiological and immunological response of layer chicks. J. Radiat. Res. Appl. Sci. 2016, 9, 185–192. [Google Scholar] [CrossRef]
- Yalçın, S.; Uzunoğlu, K.; Duyum, H.; Eltan, Ö. Effects of dietary yeast autolysate (Saccharomyces cerevisiae) and black cumin seed (Nigella sativa L.) on performance, egg traits, some blood characteristics and antibody production of laying hens. Livest. Sci. 2012, 145, 13–20. [Google Scholar] [CrossRef]
- Hayashi, R.M.; Lourenço, M.C.; Kraieski, A.L.; Araujo, R.B.; Gonzalez-Esquerra, R.; Leonardecz, E.; da Cunha, A.F.; Carazzolle, M.F.; Monzani, P.S.; Santin, E. Effect of Feeding Bacillus subtilis Spores to Broilers Challenged with Salmonella enterica serovar Heidelberg Brazilian Strain UFPR1 on Performance, Immune Response and Gut Health. Front. Vet. Sci. 2018, 5, 13. [Google Scholar] [CrossRef]
- Swaggerty, C.L.; Genovese, K.J.; He, H.; Byrd, J.A.; Kogut, M.H. Mechanisms of persistence, survival and transmission of bacterial foodborne pathogens in production animals. Front. Vet. Sci. 2018, 5, 139. [Google Scholar] [CrossRef]
- Gkretsi, V.; Mars, W.M.; Bowen, W.C.; Barua, L.; Yang, Y.; Guo, L.; St-Arnaud, R.; Dedhar, S.; Wu, C.; Michalopoulos, G.K. Loss of Integrin Linked Kinase from Mouse HepatocytesIn VitroandIn VivoResults in Apoptosis and Hepatitis. Hepatology 2007, 45, 1025–1034. [Google Scholar] [CrossRef]
- Zhang, W.; Wen, K.; Azevedo, M.S.; Gonzalez, A.; Saif, L.J.; Li, G.; Yousef, A.E.; Yuan, L. Lactic acid bacterial colonization and human rotavirus infection influence distribution and frequencies of monocytes/macrophages and dendritic cells in neonatal gnotobiotic pigs. Vet. Immunol. Immunopathol. 2008, 121, 222–231. [Google Scholar] [CrossRef]
- Eeckhaut, V.; Wang, J.; Van Parys, A.; Haesebrouck, F.; Joossens, M.; Falony, G.; Raes, J.; Ducatelle, R.; Van Immerseel, F. The probiotic Butyricicoccus pullicaecorum reduces feed conversion and protects from potentially harmful intestinal microorganisms and necrotic enteritis in broilers. Front. Microbiol. 2016, 7, 1416. [Google Scholar] [CrossRef]
- Liu, Q.; Ni, X.; Wang, Q.; Peng, Z.; Niu, L.; Wang, H.; Zhou, Y.; Sun, H.; Pan, K.; Jing, B. Lactobacillus plantarum BSGP201683 isolated from giant panda feces attenuated inflammation and improved gut microflora in mice challenged with enterotoxigenic Escherichia coli. Front. Microbiol. 2017, 8, 1885. [Google Scholar] [CrossRef] [PubMed]
- Vieira, A.T.; Teixeira, M.M.; Martins, F.D.S. The role of probiotics and prebiotics in inducing gut immunity. Front. Immunol. 2013, 4, 445. [Google Scholar] [CrossRef] [PubMed]
- Olnood, C.G.; Beski, S.S.; Choct, M.; Iji, P.A. Novel probiotics: Their effects on growth performance, gut development, microbial community and activity of broiler chickens. Anim. Nutr. 2015, 1, 184–191. [Google Scholar] [CrossRef] [PubMed]
- Ubeda, C.; Pamer, E.G. Antibiotics, microbiota and immune defense. Trends Immunol. 2012, 33, 459–466. [Google Scholar] [CrossRef]



| Item | Inclusion rate (g/kg) | Product resource |
|---|---|---|
| NC 1 | ‒ | ‒ |
| PC 2 | ‒ | ‒ |
| M 3 | 0.1 | Maxus: 100 g of avilamycin (BIOFERM CZ, spol. sro.) per 1000 g. |
| CL4 | 0.5 | CloStat: Bacillus subtilis (2 × 107 CFU/g) (KEMIN Ind., Valley Center, CA, USA) per 1 g. |
| S 5 | 0.12 | Sangrovit Extra: Photobiotic compound (benzophenanthridine alkaloids, sanguinarine and protopine) (Albitalia s.r.L., Co., Milano, Italy) |
| CL + S 6 | 0.5 CL+ 0.12 S | CloStat + Sangrovit Extra |
| G 7 | 0.2 | Gallipro Tech: A highly-selected strain (DSM17299) of Bacillus subtilis (4 × 109 CFU/g DSM 17299) (Boege Alle Co., Hoersholm, Denmark) |
| Ingredient | Treatment Period (0‒35) days | |
|---|---|---|
| Starter (0–15) | Finisher (15–35) | |
| Yellow corn | 57.39 | 61.33 |
| Soybean meal | 27.00 | 22.80 |
| Palm oil | 2.20 | 2.80 |
| Corn gluten meal | 8.80 | 6.0 |
| Wheat bran | 0.00 | 3.0 |
| DCP | 2.30 | 2.09 |
| Ground limestone | 0.70 | 0.62 |
| Choline chloride | 0.05 | 0.05 |
| DL-methionine | 0.105 | 0.075 |
| L-lysine | 0.39 | 0.36 |
| Salt | 0.40 | 0.20 |
| Threonine | 0.17 | 0.17 |
| V-M premix 1 | 0.50 | 0.50 |
| Total | 100 | 100 |
| Analysis | ||
| ME (kcal/kg) | 3000 | 3050 |
| Crude protein (%) | 23.0 | 20.5 |
| Non-phytate P (%) | 0.48 | 0.44 |
| Calcium (%) | 0.96 | 0.88 |
| Digestible lysine (%) | 1.28 | 1.15 |
| Digestible methionine (%) | 0.60 | 0.54 |
| Digestible sulfur amino acids (%) | 0.95 | 0.86 |
| Digestible threonine (%) | 0.86 | 0.77 |
| Treatments | |||||||||
|---|---|---|---|---|---|---|---|---|---|
| Parameters | NC | PC | M | CL | S | CL + S | G | SEM | Sig. |
| IBW (g) | 36.8 | 36.7 | 36.9 | 36.8 | 36.8 | 36.9 | 36.8 | 0.04 | NS |
| FBW (g) | 1829.3 a | 1593.3 b | 1807.4 a | 1827.0 a | 1824.3 a | 1823.1 a | 1798.9 a | 2.121 | *** |
| FI (g) | 2284.7 | 2325.6 | 2366.7 | 2353.2 | 2382.6 | 2379.9 | 2404.4 | 2.865 | NS |
| BWG (g) | 1424.6 a | 1134.0 b | 1384.3 a | 1379.0 a | 1418.8 a | 1386.5 a | 1350.8 a | 1.961 | *** |
| FCR (g: g) | 1.60 c | 2.05 a | 1.71 b,c | 1.71 b,c | 1.68 b,c | 1.72 b | 1.78 b | 0.03 | *** |
| PEF | 326.2 a | 215.6 c | 301.5 a,b | 305.0 a,b | 310.0 a,b | 307.6 a,b | 288.5 b | 2.76 | *** |
| SR (%) | 100.0 a | 96.3 b | 98.1 a | 98.1 a | 98.1 a | 98.1 a | 98.1 a | 0.30 | *** |
| Treatments | |||||||||
|---|---|---|---|---|---|---|---|---|---|
| Parameters | NC | PC | M | CL | S | CL + S | G | SEM | Sig. |
| Live body weight | 1815.9 a | 1593.3 b | 1807.4 a | 1827.0 a | 1824.3 a | 1823.1 a | 1798.9 a | 1.121 | *** |
| Histomorphometry measurements | |||||||||
| VL (μm) | 629.98 a | 514.14 b | 576.82 a,b | 642.83 a | 632.40 a | 622.70 a | 627.28 a | 2.053 | *** |
| VW (μm) | 71.433 | 60.858 | 71.433 | 69.426 | 72.323 | 73.565 | 73.141 | 3.759 | NS |
| VTA (mm2) | 0.142 a | 0.100 b | 0.135 a,b | 0.141 a | 0.144 a | 0.149 a | 0.150 a | 0.01 | ** |
| Morphological measurements | |||||||||
| SIL (cm) | 211.3 | 191.6 | 202.9 | 206.3 | 194.6 | 201.7 | 205.8 | 2.14 | NS |
| DL (cm) | 15.66 | 18.29 | 17.81 | 17.00 | 17.51 | 16.75 | 15.97 | 0.89 | NS |
| CL (cm) | 19.03 | 17.89 | 17.76 | 17.36 | 23.37 | 17.61 | 17.45 | 2.17 | NS |
| JL (cm) | 42.13 | 39.41 | 39.72 | 41.51 | 41.14 | 41.69 | 41.41 | 0.88 | NS |
| ILL (cm) | 42.20 | 42.29 | 42.47 | 41.48 | 41.35 | 41.56 | 42.62 | 0.68 | NS |
| Relative SIW (%) | 0.63 a | 0.54 b | 0.54 b | 0.61 a,b | 0.56 a,b | 0.59 a,b | 0.54 b | 0.61 | * |
| Relative DW (%) | 0.051 | 0.066 | 0.055 | 0.053 | 0.068 | 0.057 | 0.052 | 0.10 | NS |
| Relative JW (%) | 0.202 | 0.161 | 0.151 | 0.175 | 0.169 | 0.169 | 0.156 | 0.24 | NS |
| Relative ILW (%) | 0.186 a | 0.144 b | 0.116 b | 0.136 b | 0.137 a,b | 0.123 b | 0.121 b | 0.09 | ** |
| Relative CW (%) | 0.056 | 0.042 | 0.040 | 0.085 | 0.035 | 0.043 | 0.037 | 0.35 | NS |
| Lesion score | 0.00b | 2.50 a | 0.67 b | 0.67 b | 0.33 b | 0.50 b | 0.67 b | 0.26 | *** |
| Treatments | |||||||||
|---|---|---|---|---|---|---|---|---|---|
| Parameters | NC | PC | M | CL | S | CL + S | G | SEM | Sig. |
| TP (g/dL) | 2.3 | 2.0 | 2.2 | 2.3 | 2.2 | 2.2 | 2.4 | 0.081 | NS |
| ALB (g/dL) | 1.4 | 1.2 | 1.1 | 1.4 | 1.3 | 1.4 | 1.3 | 0.062 | NS |
| GLB (g/dL) | 0.9 | 0.8 | 1.0 | 0.9 | 0.9 | 0.8 | 1.1 | 0.088 | NS |
| Glu (mg/dL) | 134.5 a | 85.3 b | 124.9 a | 121.8 a,b | 134.8 a | 115.9 a,b | 130.0 a | 2.816 | ** |
| ALT (IU/L) | 19.3 b | 41.8 a | 23.7 a,b | 21.2 b | 21.5 a,b | 27.0 a,b | 17.4 b | 1.433 | * |
| AST (IU/L) | 293.2 | 312.8 | 282.1 | 254.0 | 279.4 | 251.4 | 271.7 | 1.954 | NS |
| CHO | 76.2 | 76.5 | 71.6 | 76.7 | 72.5 | 83.9 | 77.3 | 3.268 | NS |
| TG | 34.9 | 46.4 | 44.4 | 47.2 | 39.9 | 46.9 | 50.9 | 2.043 | NS |
© 2020 by the authors. Licensee MDPI, Basel, Switzerland. This article is an open access article distributed under the terms and conditions of the Creative Commons Attribution (CC BY) license (http://creativecommons.org/licenses/by/4.0/).
Share and Cite
Hussein, E.O.S.; Ahmed, S.H.; Abudabos, A.M.; Aljumaah, M.R.; Alkhlulaifi, M.M.; Nassan, M.A.; Suliman, G.M.; Naiel, M.A.E.; Swelum, A.A. Effect of Antibiotic, Phytobiotic and Probiotic Supplementation on Growth, Blood Indices and Intestine Health in Broiler Chicks Challenged with Clostridium perfringens. Animals 2020, 10, 507. https://doi.org/10.3390/ani10030507
Hussein EOS, Ahmed SH, Abudabos AM, Aljumaah MR, Alkhlulaifi MM, Nassan MA, Suliman GM, Naiel MAE, Swelum AA. Effect of Antibiotic, Phytobiotic and Probiotic Supplementation on Growth, Blood Indices and Intestine Health in Broiler Chicks Challenged with Clostridium perfringens. Animals. 2020; 10(3):507. https://doi.org/10.3390/ani10030507
Chicago/Turabian StyleHussein, Elsayed O. S., Shamseldein H. Ahmed, Alaeldein M. Abudabos, Mashael R. Aljumaah, Manal M. Alkhlulaifi, Mohamed A. Nassan, Gamaleldin M. Suliman, Mohammed A. E. Naiel, and Ayman A. Swelum. 2020. "Effect of Antibiotic, Phytobiotic and Probiotic Supplementation on Growth, Blood Indices and Intestine Health in Broiler Chicks Challenged with Clostridium perfringens" Animals 10, no. 3: 507. https://doi.org/10.3390/ani10030507
APA StyleHussein, E. O. S., Ahmed, S. H., Abudabos, A. M., Aljumaah, M. R., Alkhlulaifi, M. M., Nassan, M. A., Suliman, G. M., Naiel, M. A. E., & Swelum, A. A. (2020). Effect of Antibiotic, Phytobiotic and Probiotic Supplementation on Growth, Blood Indices and Intestine Health in Broiler Chicks Challenged with Clostridium perfringens. Animals, 10(3), 507. https://doi.org/10.3390/ani10030507

