Maternal Exposure to T-2 Toxin Induces Changes in Antioxidant System and Testosterone Synthesis in the Testes of Mice Offspring
Simple Summary
Abstract
1. Introduction
2. Materials and Methods
2.1. Chemicals
2.2. Experimental Animals and Ethical Approval
2.3. Experimental Design
2.4. Sampling
2.5. The Measurement of Body Weight and Relative Testicular Weight
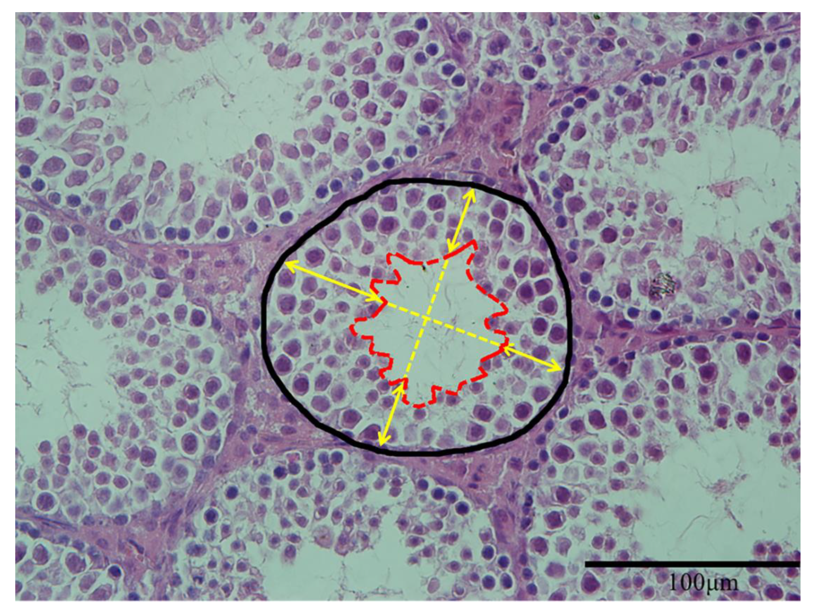
2.6. The Histopathological Examination and Measurement of Seminiferous Tubules Components
2.7. The Measurement of Testosterone in Testes
2.8. The Measurement of Antioxidant Indicators and DNA Damage in Testes
2.9. The RT-PCR Analysis of Genes Related to Testosterone Synthesis and Apoptosis
2.10. Statistical Analysis
3. Results
3.1. Effects of Maternal Exposure to T-2 Toxin on the Body Weight and Testicular Weight of Offspring
3.2. Effects of Maternal Exposure to T-2 Toxin on the Testicular Histology of Offspring
3.3. Effects of Maternal Exposure to T-2 Toxin on Antioxidant Indicators in the Testes of Offspring
3.4. Effects of Maternal Exposure to T-2 Toxin on Testosterone Synthesis in the Testes of Offspring
3.5. Effects of Maternal Exposure of T-2 Toxin on the Expression of Apoptosis-Related Genes in the Testes of Offspring
4. Discussion
4.1. Maternal Exposure to T-2 Toxin Induced Decreases in Body Weight and Testicular Weight
4.2. Maternal Exposure to T-2 Toxin Induced Oxidative Stress in the Testes of Offspring During Pre-Puberty
4.3. Maternal Exposure of T-2 Toxin Inhibited Testosterone Synthesis in the Testes of Offspring During Pre-Puberty
4.4. Maternal Exposure to T-2 Toxin May Disturb Apoptosis in the Testes of Offspring During Pre-Puberty
5. Conclusions
Author Contributions
Funding
Conflicts of Interest
References
- Li, Y.S.; Wang, Z.H.; Beier, R.C.; Shen, J.Z.; De Smet, D.; De Saeger, S.; Zhang, S.X. T-2 toxin, a trichothecene mycotoxin: Review of toxicity, metabolism, and analytical methods. J. Agric. Food Chem. 2011, 59, 3441–3453. [Google Scholar] [CrossRef] [PubMed]
- Gruber-Dorninger, C.; Jenkins, T.; Schatzmayr, G. Global mycotoxin occurrence in feed: A ten-year survey. Toxins 2019, 11, 375. [Google Scholar] [CrossRef] [PubMed]
- Wang, Y.; Liu, S.L.; Zheng, H.; He, C.H.; Zhang, H.B. T-2 toxin, zearalenone and fumonisin B-1 in feedstuffs from China. Food Addit. Contam. Part B-Surveill. 2013, 6, 116–122. [Google Scholar] [CrossRef] [PubMed]
- Milanez, T.V.; Valente-Soares, L.M.; Baptista, G.G. Occurrence of trichothecene mycotoxins in Brazilian corn-based food products. Food Control 2006, 17, 293–298. [Google Scholar] [CrossRef]
- Omurtag, G.Z.; Yazicioglu, D. Occurrence of T-2 toxin in processed cereals and pulses in Turkey determined by HPLC and TLC. Food Addit. Contam. 2001, 18, 844–849. [Google Scholar] [CrossRef] [PubMed]
- Fairhurst, S.; Marrs, T.C.; Parker, H.C.; Scawin, J.W.; Swanston, D.W. Acute toxicity of T2 toxin in rats, mice, guinea pigs, and pigeons. Toxicology 1987, 43, 31–49. [Google Scholar] [CrossRef]
- Rousseaux, C.G.; Nicholson, S.; Schiefer, H.B. Fatal placental hemorrhage in pregnant CD-1 mice following one oral dose of T-2 toxin. Can. J. Comp. Med. 1985, 49, 95–98. [Google Scholar]
- Ahmadi, A.; Poursasan, N.; Amani, J.; Salimian, J. Adverse effect of T-2 toxin and the protective role of selenium and vitamin E on peripheral blood B lymphocytes. Iran. J. Immunol. 2015, 12, 64–69. [Google Scholar]
- Yang, L.; Zhao, G.H.; Wang, X.; Wang, Y.T.; Lin, X.L.; Yu, F.F.; Goldring, M.B.; Guo, X.; Lammi, M.J. Cellular responses to T-2 toxin and/or deoxynivalenol that induce cartilage damage are not specific to chondrocytes. Sci. Rep. 2017, 7, 2231. [Google Scholar]
- Yang, L.; Zhang, J.P.; Zhao, G.H.; Wu, C.Y.; Ning, Y.J.; Wang, X.; Lammi, M.J.; Guo, X. Gene expression profiles and molecular mechanism of cultured human chondrocytes’ exposure to T-2 toxin and deoxynivalenol. Toxicon 2017, 140, 38–44. [Google Scholar] [CrossRef]
- Guo, P.; Liu, A.M.; Huang, D.Y.; Wu, Q.H.; Fatima, Z.; Tao, Y.F.; Cheng, G.Y.; Wang, X.; Yuan, Z.H. Brain damage and neurological symptoms induced by T-2 toxin in rat brain. Toxicol. Lett. 2018, 286, 96–107. [Google Scholar] [CrossRef] [PubMed]
- Escriva, L.; Font, G.; Manyes, L. In vivo toxicity studies of fusarium mycotoxins in the last decade: A review. Food Chem. Toxicol. 2015, 78, 185–206. [Google Scholar] [CrossRef] [PubMed]
- Zhou, Y.; Wang, H.; Wang, C.; Qiu, X.F.; Benson, M.; Yin, X.Q.; Xiang, Z.; Li, D.M.; Han, X.D. Roles of miRNAs in microcystin-LR-induced Sertoli cell toxicity. Toxicol. Appl. Pharmacol. 2015, 287, 1–8. [Google Scholar] [CrossRef] [PubMed]
- Eze, U.A.; Huntriss, J.; Routledge, M.N.; Gong, Y.Y. Toxicological effects of regulated mycotoxins and persistent organochloride pesticides: In vitro cytotoxic assessment of single and defined mixtures on MA-10 murine Leydig cell line. Toxicol. In Vitro 2018, 48, 93–103. [Google Scholar] [CrossRef]
- Cortinovis, C.; Pizzo, F.; Spicer, L.J.; Caloni, F. Fusarium mycotoxins: Effects on reproductive function in domestic animals—A review. Theriogenology 2013, 80, 557–564. [Google Scholar] [CrossRef]
- Yang, X.; Zhang, X.L.; Zhang, J.; Ji, Q.; Huang, W.Y.; Zhang, X.Y.; Li, Y.F. Spermatogenesis disorder caused by T-2 toxin is associated with germ cell apoptosis mediated by oxidative stress. Environ. Pollut. 2019, 251, 372–379. [Google Scholar] [CrossRef]
- Yang, X.; Zhang, X.; Yao, Q.; Song, M.; Han, Y.; Shao, B.; Li, Y. T-2 toxin impairs male fertility by disrupting hypothalamic-pituitary-testis axis and declining testicular function in mice. Chemosphere 2019, 234, 909–916. [Google Scholar] [CrossRef]
- Dimitriadis, F.; Tsiampali, C.; Chaliasos, N.; Tsounapi, P.; Takenaka, A.; Sofikitis, N. The Sertoli cell as the orchestra conductor of spermatogenesis: Spermatogenic cells dance to the tune of testosterone. Horm.-Int. J. Endocrinol. Metab. 2015, 14, 479–503. [Google Scholar] [CrossRef]
- Chainy, G.B.N.; Samantaray, S.; Samanta, L. Testosterone-induced changes in testicular antioxidant system. Andrologia 1997, 29, 343–349. [Google Scholar] [CrossRef]
- Mathur, P.P.; D’Cruz, S.C. The effect of environmental contaminants on testicular function. Asian J. Androl. 2011, 13, 585–591. [Google Scholar] [CrossRef]
- Zang, F.; Diao, Q.Y. The nutritional regulation of gestation to maternal and offspring health. Chin. J. Anim. Sci. 2016, 108–113. [Google Scholar]
- Yiannikouris, A.; Jouany, J.P. Mycotoxins in feeds and their fate in animals: A review. Anim. Res. 2002, 51, 81–99. [Google Scholar] [CrossRef]
- Doi, K.; Ishigami, N.; Sehata, S. T-2 toxin-induced toxicity in pregnant mice and rats. Int. J. Mol. Sci. 2008, 9, 2146–2158. [Google Scholar] [CrossRef] [PubMed]
- Ishigami, N.; Shinozuka, J.; Katayama, K.; Nakayama, H.; Doi, K. Apoptosis in mouse fetuses from dams exposed to T-2 toxin at different days of gestation. Exp. Toxicol. Pathol. 2001, 52, 493–501. [Google Scholar] [CrossRef]
- Ueno, Y. Toxicological features of T-2 toxin and related trichothecenes. Toxicol. Sci. 1984, 4, 124–132. [Google Scholar] [CrossRef]
- Schuhmacher-Wolz, U.; Heine, K.; Schneider, K. Report on toxicity data on trichothecene mycotoxins HT-2 and T-2 toxins. EFSA Supporting Publ. 2010, 7, 65E. [Google Scholar] [CrossRef]
- Khezri, A.; Lindeman, B.; Krogenas, A.K.; Berntsen, H.F.; Zimmer, K.E.; Ropstad, E. Maternal exposure to a mixture of persistent organic pollutants (POPs) affects testis histology, epididymal sperm count and induces sperm DNA fragmentation in mice. Toxicol. Appl. Pharmacol. 2017, 329, 301–308. [Google Scholar] [CrossRef]
- Montoto, L.G.; Arregui, L.; Sanchez, N.M.; Gomendio, M.; Roldan, E.R.S. Postnatal testicular development in mouse species with different levels of sperm competition. Reproduction 2012, 143, 333–346. [Google Scholar] [CrossRef]
- Livak, K.J.; Schmittgen, T.D. Analysis of relative gene expression data using real-time quantitative PCR and the 2(T)(-Delta Delta C) method. Methods 2001, 25, 402–408. [Google Scholar] [CrossRef]
- Chaudhari, M.; Jayaraj, R.; Santhosh, S.R.; Rao, P.V.L. Oxidative damage and gene expression profile of antioxidant enzymes after T-2 toxin exposure in mice. J. Biochem. Mol. Toxicol. 2009, 23, 212–221. [Google Scholar] [CrossRef]
- Turner, T.T.; Lysiak, J.J. Oxidative stress: A common factor in testicular dysfunction. J. Androl. 2008, 29, 488–498. [Google Scholar] [CrossRef]
- Kasai, H. Analysis of a form of oxidative DNA damage, 8-hydroxy-2′-deoxyguanosine, as a marker of cellular oxidative stress during carcinogenesis. Mutat. Res.-Rev. Mutat. Res. 1997, 387, 147–163. [Google Scholar] [CrossRef]
- Boiteux, S.; Radicella, J.P. The human OGG1 gene: Structure, functions, and its implication in the process of carcinogenesis. Arch. Biochem. Biophys. 2000, 377, 1–8. [Google Scholar] [CrossRef]
- Huang, D.Y.; Cui, L.Q.; Liu, X.L.; Guo, P.; Lu, Q.R.; Wang, X.; Yuan, Z.H. Protective mechanisms involving enhanced mitochondrial functions and mitophagy against T-2 toxin-induced toxicities in GH3 cells. Toxicol. Lett. 2018, 295, 41–53. [Google Scholar]
- Liu, H.Z.; Wang, W.; Xia, Y.; Wang, Z.L.; Yang, H.J.; Xue, S.H.; Chen, J.H. Oxidative damage induced by T-2 toxin toxication in articular cartilage of rats under selenium deficiency. Chin. J. Endemiol. 2016, 35, 189–194. [Google Scholar]
- Wang, X.Z.; Sun, Y.; Wu, J.Y.; Luo, Y.; Jia, S.Z.; Hu, H.J.; Zhang, J.H. Changes of the ability of testosterone synthesis in mouse testis of different periods. Chin. J. Agric. Biotechnol. 2007, 207–221. [Google Scholar]
- Habert, R.; Lejeune, H.; Saez, J.M. Origin, differentiation and regulation of fetal and adult Leydig cells. Mol. Cell. Endocrinol. 2001, 179, 47–74. [Google Scholar] [CrossRef]
- Yang, J.Y.; Zhang, Y.F.; Bai, X.F.; Fu, Z.P.; Xin, S.W.; Yan, B. Effects of T-2 toxin on mRNAs expression of related functional genes in primarily cultured mouse Leydig cells. J. Environ. Health 2014, 31, 477–480. [Google Scholar]
- Fenske, M.; Finkgremmels, J. Effects of fungal metabolites on testosterone secretion in vitro. Arch. Toxicol. 1990, 64, 72–75. [Google Scholar] [CrossRef]
- Yang, J.Y.; Zhang, Y.F.; Jing, A.H.; Ma, K.W.; Gong, Q.; Qin, C.L. Effects of T-2 toxin on testosterone biosynthesis in mouse Leydig cells. Toxicol. Ind. Health 2014, 30, 873–877. [Google Scholar] [CrossRef]
- Hikim, A.P.S.; Lue, Y.H.; Yamamoto, C.M.; Vera, Y.; Rodriguez, S.; Yen, P.H.; Soeng, K.; Wang, C.; Swerdloff, R.S. Key apoptotic pathways for heat-induced programmed germ cell death in the testis. Endocrinology 2003, 144, 3167–3175. [Google Scholar] [CrossRef] [PubMed]
- Richburg, J.H.; Nanez, A.; Gao, H. Participation of the Fas-signaling system in the initiation of germ cell apoptosis in young rat testes after exposure to mono-(2-ethylhexyl) phthalate. Toxicol. Appl. Pharmacol. 1999, 160, 271–278. [Google Scholar] [CrossRef] [PubMed]
- Li, G.Y.; Xie, P.; Li, H.Y.; Hao, L.; Xiong, Q.A.; Qiu, T. Involment of p53, Bax, and Bcl-2 pathway in microcystins-induced apoptosis in rat testis. Environ. Toxicol. 2011, 26, 111–117. [Google Scholar] [CrossRef] [PubMed]
- Urbanek-Olejnik, K.; Liszewska, M.; Winczura, A.; Kostka, G. Changes of c-Myc and DNMT1 mRNA and protein levels in the rat livers induced by dibutyl phthalate treatment. Toxicol. Ind. Health 2016, 32, 801–808. [Google Scholar] [CrossRef]
- Kim, J.M.; Ghosh, S.R.; Weil, A.C.P.; Zirkin, B.R. Caspase-3 and caspase-activated deoxyribonuclease are associated with testicular germ cell apoptosis resulting from reduced intratesticular testosterone. Endocrinology 2001, 142, 3809–3816. [Google Scholar] [CrossRef] [PubMed]
- Furuchi, T.; Masuko, K.; Nishimune, Y.; Obinata, M.; Matsui, Y. Inhibition of testicular germ cell apoptosis and differentiation in mice misexpressing Bcl-2 in spermatogonia. Development 1996, 122, 1703–1709. [Google Scholar]
- Porter, A.G.; Janicke, R.U. Emerging roles of caspase-3 in apoptosis. Cell Death Differ. 1999, 6, 99–104. [Google Scholar] [CrossRef]
- Moreno, R.D.; Lizama, C.; Urzua, N.; Vergara, S.P.; Reyes, J.G. Caspase activation throughout the first wave of spermatogenesis in the rat. Cell Tissue Res. 2006, 325, 533–540. [Google Scholar] [CrossRef]
- Song, X.D.; Liu, H.; Li, Q.Y.; Sun, R.J. The relationship between caspase-3 and spermatogenic cell apoptosis. Mod. Prev. Med. 2007, 2, 223–224. [Google Scholar]
- Rodriguez, I.; Ody, C.; Araki, K.; Garcia, I.; Vassalli, P. An early and massive wave of germinal cell apoptosis is required for the development of functional spermatogenesis. EMBO J. 1997, 16, 2262–2270. [Google Scholar] [CrossRef]




| Gene | Sequence (5′→3′) | Product Size (bp) |
|---|---|---|
| β-actin (NM_007393.5) | F: CTGACCGAGCGTGGCTACAG | 112 |
| R: CAGTGGCCATCTCCTGCTCG | ||
| Testosterone synthesis | ||
| StAR (NM_011485) | F: ACCTCGGTGCTTTAAGGTGA | 166 |
| R: AGCCACAGTGTTTGCTGAAG | ||
| CYP11A1 (NM_019779.4) | F: TTCTGTGTGGTTAGCGGAGT | 91 |
| R: AGCAAAGTGGATGCAGCAAA | ||
| 3β-HSD (NM_008293) | F: GATCTGGGCTATGAGCCACT | 113 |
| R: CACTGGCACTTTGTGTCCAA | ||
| CYP17A1 (NM_007809) | F: CCTTGCTCATCCCACACAAG | 127 |
| R: TCTGGCTGGTCCCATTCATT | ||
| 17β-HSD (NM_008291) | F: ACCCTTGACCTCCTGAAAGG | 146 |
| R: GGGTTCTTCCAGCATTTCCC | ||
| Apoptosis | ||
| CASP3 (NM_009810) | F: ACGCGCACAAGCTAGAATTT | 113 |
| R: CGGGATCTGTTTCTTTGCGT | ||
| BAX (NM_007527) | F: AGGATGATTGCTGACGTGGA | 91 |
| R: CCCAGTTGAAGTTGCCATCA | ||
| Bcl-2 (NM_009741) | F: TGTCTGGAGCAGGAGAACTG | 127 |
| R: CGGGCTTCTTCTTCTGTGTG |
| Items | T-2 Toxin (mg/kg Body Weight) | ||
|---|---|---|---|
| 0 | 0.005 | 0.05 | |
| PND 21 | |||
| Body weight (g) | 11.85 ± 0.64 | 10.11 ± 0.53 | 8.52 ± 0.36 ** |
| Testis (mg) | 44.96 ± 2.20 | 37.38 ± 3.75 | 31.54 ± 2.01 ** |
| Relative testis (%) | 0.39 ± 0.03 | 0.37 ± 0.04 | 0.37 ± 0.02 |
| PND 28 | |||
| Body weight (g) | 21.48 ± 0.85 | 16.59 ± 0.87 ** | 12.62 ± 0.87 ** |
| Testis (mg) | 109.84 ± 3.06 | 82.62 ± 4.06 ** | 44.96 ± 2.15 ** |
| Relative testis (%) | 0.51 ± 0.01 | 0.50 ± 0.01 | 0.36 ± 0.02 ** |
| PND 56 | |||
| Body weight (g) | 34.28 ± 0.89 | 33.50 ± 1.19 | 28.10 ± 1.79 * |
| Testis (mg) | 191.14 ± 5.77 | 182.88 ±10.68 | 146.90 ± 5.46 ** |
| Relative testis (%) | 0.56 ± 0.01 | 0.54 ± 0.01 | 0.53 ± 0.03 |
| Dose | CAT (U/mgprot) | MDA (nmol/mgprot) | SOD (U/mgprot) | GSH-Px (U/mgprot) | 8-OHdG (ng/gprot) |
|---|---|---|---|---|---|
| (mg/kg) | |||||
| PND 21 | |||||
| 0 | 29.00 ± 3.72 | 0.45 ± 0.03 | 395.69 ± 55.09 | 14.64 ± 3.47 | 25.24 ± 4.28 |
| 0.005 | 29.04 ± 1.82 | 0.53 ± 0.01 ** | 526.81 ± 27.48 ** | 14.83 ± 4.67 | 49.94 ± 3.16 ** |
| 0.05 | 14.58 ± 2.82 ** | 1.22 ± 0.02 ** | 282.77 ± 14.58 * | 4.13 ± 0.52 * | 26.03 ± 2.88 |
| PND 28 | |||||
| 0 | 14.07 ± 1.11 | 2.06 ± 0.40 | 329.75 ± 22.31 | 9.18 ± 2.20 | 26.04 ± 1.76 |
| 0.005 | 12.60 ± 3.65 | 2.21 ± 0.24 | 292.21 ± 15.83 | 6.66 ± 1.28 | 20.12 ± 0.81 ** |
| 0.05 | 9.62 ± 1.11 | 1.86 ± 0.06 | 215.38 ± 16.05 ** | 5.76 ± 0.31 | 15.39 ± 0.48 ** |
| PND 56 | |||||
| 0 | 23.12 ± 3.65 | 1.42 ± 0.48 | 230.43 ± 12.03 | 6.74 ± 0.48 | 15.14 ± 0.99 |
| 0.005 | 30.29 ± 4.11 | 1.88 ± 0.30 | 263.19 ± 14.59 * | 7.80 ± 0.32 | 17.87 ± 1.39 |
| 0.05 | 22.55 ± 1.22 | 1.85 ± 0.05 | 220.58 ± 3.24 | 6.31 ± 0.60 | 12.34 ± 1.84 |
© 2019 by the authors. Licensee MDPI, Basel, Switzerland. This article is an open access article distributed under the terms and conditions of the Creative Commons Attribution (CC BY) license (http://creativecommons.org/licenses/by/4.0/).
Share and Cite
Shen, J.; Perveen, A.; Kaka, N.; Li, Z.; Dai, P.; Li, C. Maternal Exposure to T-2 Toxin Induces Changes in Antioxidant System and Testosterone Synthesis in the Testes of Mice Offspring. Animals 2020, 10, 74. https://doi.org/10.3390/ani10010074
Shen J, Perveen A, Kaka N, Li Z, Dai P, Li C. Maternal Exposure to T-2 Toxin Induces Changes in Antioxidant System and Testosterone Synthesis in the Testes of Mice Offspring. Animals. 2020; 10(1):74. https://doi.org/10.3390/ani10010074
Chicago/Turabian StyleShen, Jiakun, Aneela Perveen, Niaz Kaka, Zhaojian Li, Pengyuan Dai, and Chunmei Li. 2020. "Maternal Exposure to T-2 Toxin Induces Changes in Antioxidant System and Testosterone Synthesis in the Testes of Mice Offspring" Animals 10, no. 1: 74. https://doi.org/10.3390/ani10010074
APA StyleShen, J., Perveen, A., Kaka, N., Li, Z., Dai, P., & Li, C. (2020). Maternal Exposure to T-2 Toxin Induces Changes in Antioxidant System and Testosterone Synthesis in the Testes of Mice Offspring. Animals, 10(1), 74. https://doi.org/10.3390/ani10010074
