Hypervirulent Klebsiella pneumoniae Strains Modulate Human Dendritic Cell Functions and Affect TH1/TH17 Response
Abstract
1. Introduction
2. Materials and Methods
2.1. Bacterial Strains
| Source | Mucoid Phenotype (String Test) | Capsular Type (O Locus) | Sequence Type (ST) | Antibiotic Resistance | Virulence in Animal Model | Aerobactin (iucABCD) | Allantoin (allABCDRS) | Colibactin (clbA-QS) | Enterobactin (entABCDEF-fepABCDG) | Yiersiniabactin (ybtAEPQSTUX-irp1/2-fyuA) | Salmochelin (iroBCDEN) | Reg. Mucoid Phenotype (rmpADC-rmpA2) | manBC | shiF | fecI-fecA | peg-344 | luxR | pK2044-like Plasmid | Genome Accession Number | Ref. | |
|---|---|---|---|---|---|---|---|---|---|---|---|---|---|---|---|---|---|---|---|---|---|
| CIP 52.145 | Human | Positive | K2 (O2v2) | 66 | Multi-susceptible | ++ | # | ¤ | * | GCA_000968155.1 | [21,22] | ||||||||||
| RM1628 | Human, BSI | Positive | K1 (O1v2) | 1861 | Multi-susceptible | ++ | JAALJC000000000.1 | [23] | |||||||||||||
| HMV-1 | Human, BSI | Positive | K2 (O1v1) | 86 | Multi-susceptible | ++ | ¤ | JAALCW000000000 | [24] | ||||||||||||
| HMV-2 | Human, BSI | Positive | K2 (O1v2) | 65 | Multi-susceptible | ++ | JAALCV000000000 | [24] | |||||||||||||
| KP04C62 | Human, BSI | Positive | KL107 (O2v2) | 512 | Carbapenem-resistant | +/− | § | MIFX00000000.1 | [17] | ||||||||||||
| KPC157 | Human, RS | Negative | KL107 (O2v2) | 512 | Carbapenem-resistant | +/− | § | JAALCU000000000.1 | [24] |
2.2. Ethical Approval
2.3. Cell Isolation Procedures
2.4. TH1 and TH17 Differentiation
2.5. Cell Culture Conditions
2.6. Western Blot Analysis
2.7. Cytofluorimetric Analysis
2.8. Real-Time PCR
2.9. Cytokine Production
2.10. Statistical Analysis
3. Results
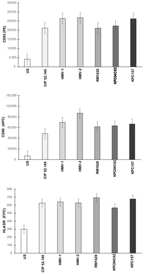
3.1. Expression of Maturation Markers
3.2. Cytokine Gene Expression by DCs Infected with Kp Strains
3.3. TH1 and TH17 Differentiation Induced by Kp-Conditioned Media of DCs Cultures
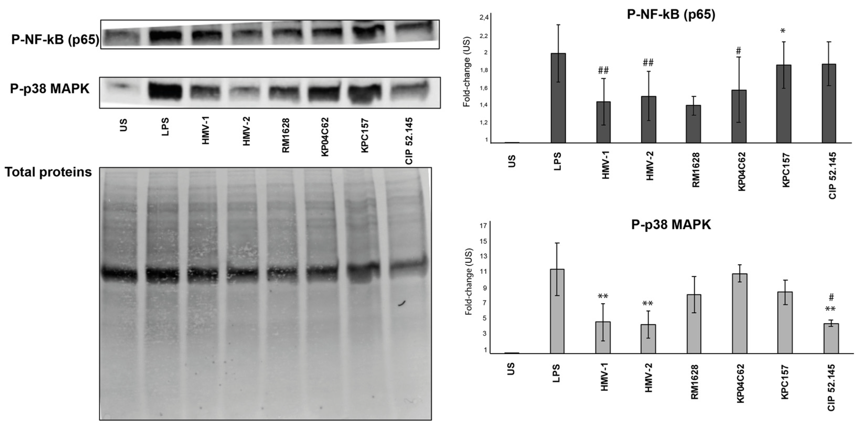
3.4. Molecular Mechanisms of Inhibition of Cytokine Gene Expression
4. Discussion
5. Conclusions
Supplementary Materials
Author Contributions
Funding
Institutional Review Board Statement
Informed Consent Statement
Data Availability Statement
Acknowledgments
Conflicts of Interest
References
- Podschun, R.; Ullmann, U. Klebsiella spp. as nosocomial pathogens: Epidemiology, taxonomy, typing methods, and pathogenicity factors. Clin. Microbiol. Rev. 1998, 11, 589–603. [Google Scholar] [CrossRef] [PubMed]
- Chung, P.Y. The emerging problems of Klebsiella pneumoniae infections: Carbapenem resistance and biofilm formation. FEMS Microbiol. Lett. 2016, 363, fnw219. [Google Scholar] [CrossRef] [PubMed]
- Peña, C.; Pujol, M.; Ardanuy, C.; Ricart, A.; Pallares, R.; Liñares, J.; Ariza, J.; Gudiol, F. Epidemiology and successful control of a large outbreak due to Klebsiella pneumoniae producing extended-spectrum beta-lactamases. Antimicrob. Agents Chemother. 1998, 42, 53–58. [Google Scholar] [CrossRef]
- Jung, H.-J.; Littmann, E.R.; Seok, R.; Leiner, I.M.; Taur, Y.; Peled, J.; van den Brink, M.; Ling, L.; Chen, L.; Kreiswirth, B.N.; et al. Genome-Wide screening for enteric colonization factors in carbapenem-resistant ST258 Klebsiella pneumoniae. MBio 2019, 10, e02663-18. [Google Scholar] [CrossRef]
- Ghenea, A.E.; Cioboată, R.; Drocaş, A.I.; Țieranu, E.N.; Vasile, C.M.; Moroşanu, A.; Țieranu, C.G.; Salan, A.-I.; Popescu, M.; Turculeanu, A.; et al. Prevalence and antimicrobial resistance of Klebsiella strains isolated from a county hospital in Romania. Antibiotics 2021, 10, 868. [Google Scholar] [CrossRef]
- Shon, A.S.; Bajwa, R.P.S.; Russo, T.A. Hypervirulent (hypermucoviscous) Klebsiella pneumoniae: A new and dangerous breed. Virulence 2013, 4, 107–118. [Google Scholar] [CrossRef]
- Alsaif, H.S.; Venkatesh, S.K.; Chan, D.S.G.; Archuleta, S. CT appearance of pyogenic liver abscesses caused by Klebsiella pneumoniae. Radiology 2011, 260, 129–138. [Google Scholar] [CrossRef] [PubMed]
- Bilal, S.; Volz, M.S.; Fiedler, T.; Podschun, R.; Schneider, T. Klebsiella pneumoniae-induced liver abscesses, Germany. Emerg. Infect. Dis. 2014, 20, 1939–1940. [Google Scholar] [CrossRef]
- Walker, K.A.; Treat, L.P.; Sepúlveda, V.E.; Miller, V.L. The small protein RmpD drives hypermucoviscosity in Klebsiella pneumoniae. MBio 2020, 11, e01750-20. [Google Scholar] [CrossRef]
- Wyres, K.L.; Lam, M.M.C.; Holt, K.E. Population genomics of Klebsiella pneumoniae. Nat. Rev. Microbiol. 2020, 18, 344–359. [Google Scholar] [CrossRef]
- Ye, M.; Tu, J.; Jiang, J.; Bi, Y.; You, W.; Zhang, Y.; Ren, J.; Zhu, T.; Cao, Z.; Yu, Z.; et al. Clinical and genomic analysis of liver abscess-causing Klebsiella pneumoniae identifies new liver abscess-associated virulence genes. Front. Cell. Infect. Microbiol. 2016, 6, 165. [Google Scholar] [CrossRef] [PubMed]
- Russo, T.A.; Olson, R.; Fang, C.T.; Stoesser, N.; Miller, M.; MacDonald, U.; Hutson, A.; Barker, J.H.; La Hoz, R.M.; Johnson, J.R.; et al. Identification of biomarkers for differentiation of hypervirulent Klebsiella pneumoniae from classical K. pneumoniae. J. Clin. Microbiol. 2018, 56, e00776-18. [Google Scholar] [CrossRef] [PubMed]
- Luo, Y.; Wang, Y.; Ye, L.; Yang, J. Molecular epidemiology and virulence factors of pyogenic liver abscess causing Klebsiella pneumoniae in China. Eur. Soc. Clin. Infect. Dis. 2014, 20, O818–O824. [Google Scholar] [CrossRef]
- Carlos Catal An-N Ajera, J.; Garza-Ramos, U.; Barrios-Camacho, H. Hypervirulence and hypermucoviscosity: Two different but complementary Klebsiella spp. phenotypes? Virulence 2017, 8, 1111–1123. [Google Scholar] [CrossRef]
- Fung, C.-P.; Lin, Y.-T.; Lin, J.-C.; Chen, T.-L.; Yeh, K.-M.; Chang, F.-Y.; Chuang, H.-C.; Wu, H.-S.; Tseng, C.-P.; Siu, L.K. Klebsiella pneumoniae in gastrointestinal tract and pyogenic liver abscess. Emerg. Infect. Dis. 2012, 18, 1322–1325. [Google Scholar] [CrossRef]
- Taur, Y.; Xavier, J.B.; Lipuma, L.; Ubeda, C.; Goldberg, J.; Gobourne, A.; Lee, Y.J.; Dubin, K.A.; Socci, N.D.; Viale, A.; et al. Intestinal domination and the risk of bacteremia in patients undergoing allogeneic hematopoietic stem cell transplantation. Clin. Infect. Dis. Off. Publ. Infect. Dis. Soc. Am. 2012, 55, 905–914. [Google Scholar] [CrossRef] [PubMed]
- Arena, F.; Henrici De Angelis, L.; D’Andrea, M.M.; Cannatelli, A.; Fossati, L.; Di Pilato, V.; Giani, T.; Cavallo, R.; Rossolini, G.M. Infections caused by carbapenem-resistant Klebsiella pneumoniae with hypermucoviscous phenotype: A case report and literature review. Virulence 2017, 8, 1900–1908. [Google Scholar] [CrossRef] [PubMed][Green Version]
- Tan, Y.H.; Chen, Y.; Chu, W.H.W.; Sham, L.-T.; Gan, Y.-H. Cell envelope defects of different capsule-null mutants in K1 hypervirulent Klebsiella pneumoniae can affect bacterial pathogenesis. Mol. Microbiol. 2020, 113, 889–905. [Google Scholar] [CrossRef]
- Bengoechea, J.A.; Pessoa, J.S. Klebsiella pneumoniae infection biology: Living to counteract host defences. FEMS Microbiol. Rev. 2018, 1, 123–144. [Google Scholar] [CrossRef]
- Happel, K.I.; Dubin, P.J.; Zheng, M.; Ghilardi, N.; Lockhart, C.; Quinton, L.J.; Odden, A.R.; Shellito, J.E.; Bagby, G.J.; Nelson, S.; et al. Divergent roles of IL-23 and IL-12 in host defense against Klebsiella pneumoniae. J. Exp. Med. 2005, 202, 761–769. [Google Scholar] [CrossRef]
- Nassif, X.; Fournier, J.M.; Arondel, J.; Sansonetti, P.J. Mucoid phenotype of Klebsiella pneumoniae is a plasmid-encoded virulence factor. Infect. Immun. 1989, 57, 546–552. [Google Scholar] [CrossRef]
- Bialek-Davenet, S.; Criscuolo, A.; Ailloud, F.; Passet, V.; Jones, L.; Delannoy-Vieillard, A.-S.; Garin, B.; Le Hello, S.; Arlet, G.; Nicolas-Chanoine, M.-H.; et al. Genomic definition of hypervirulent and multidrug-resistant Klebsiella pneumoniae clonal groups. Emerg. Infect. Dis. 2014, 20, 1812–1820. [Google Scholar] [CrossRef] [PubMed]
- Arena, F.; Spanu, T.; De Angelis, L.H.; Liotti, F.M.; D’Andrea, M.M.; Menchinelli, G.; De Maio, F.; Rossolini, G.M. First case of bacteremic liver abscess caused by an ST260-related (ST1861), hypervirulent Klebsiella pneumoniae. J. Infect. 2016, 73, 88–91. [Google Scholar] [CrossRef]
- Wanford, J.J.; Hames, R.G.; Carreno, D.; Jasiunaite, Z.; Chung, W.Y.; Arena, F.; Di Pilato, V.; Straatman, K.; West, K.; Farzand, R.; et al. Interaction of Klebsiella pneumoniae with tissue macrophages in a mouse infection model and ex-vivo pig organ perfusions: An exploratory investigation. Lancet Microbe 2021, 2, e695–e703. [Google Scholar] [CrossRef]
- Chen, L.; Zheng, D.; Liu, B.; Yang, J.; Jin, Q. VFDB 2016: Hierarchical and refined dataset for big data analysis—10 years on. Nucleic Acids Res. 2016, 44, D694–D697. [Google Scholar] [CrossRef] [PubMed]
- Zakrzewska, K.; Arvia, R.; Torcia, M.G.; Clemente, A.M.; Tanturli, M.; Castronovo, G.; Sighinolfi, G.; Giuggioli, D.; Ferri, C. Effects of parvovirus B19 in vitro infection on monocytes from patients with systemic sclerosis: Enhanced inflammatory pathways by Caspase-1 activation and cytokine production. J. Investig. Dermatol. 2019, 139, 2125–2133.e1. [Google Scholar] [CrossRef] [PubMed]
- Paccosi, S.; Musilli, C.; Caporale, R.; Gelli, A.M.G.; Guasti, D.; Clemente, A.M.; Torcia, M.G.; Filippelli, A.; Romagnoli, P.; Parenti, A. Stimulatory interactions between human coronary smooth muscle cells and dendritic cells. PLoS ONE 2014, 9, 9–11. [Google Scholar] [CrossRef][Green Version]
- Santini, S.M.; Lapenta, C.; Donati, S.; Spadaro, F.; Belardelli, F.; Ferrantini, M. Interferon-α-conditioned human monocytes combine a TH1-orienting attitude with the induction of autologous TH17 responses: Role of IL-23 and IL-12. PLoS ONE 2011, 6, e17364. [Google Scholar] [CrossRef]
- Rivero-Gutiérrez, B.; Anzola, A.; Martínez-Augustin, O.; de Medina, F.S. Stain-free detection as loading control alternative to Ponceau and housekeeping protein immunodetection in Western blotting. Anal. Biochem. 2014, 467, 1–3. [Google Scholar] [CrossRef]
- R Core Team R: A Language and Environment for Statistical Computing. 2020. Available online: https://www.R-project.org/ (accessed on 14 December 2021).
- Lu, Y.-C.; Yeh, W.-C.; Ohashi, P.S. LPS/TLR4 signal transduction pathway. Cytokine 2008, 42, 145–151. [Google Scholar] [CrossRef]
- Paczosa, M.K.; Mecsas, J. Klebsiella pneumoniae: Going on the offense with a strong defense. Microbiol. Mol. Biol. Rev. 2016, 80, 629–661. [Google Scholar] [CrossRef]
- Zheng, Y.; Ding, Y.; Xu, M.; Chen, H.; Zhang, H.; Liu, Y.; Shen, W.; Li, J. Gut microbiota contributes to host defense against Klebsiella pneumoniae-induced liver abscess. J. Inflamm. Res. 2021, 14, 5215–5225. [Google Scholar] [CrossRef] [PubMed]
- Dalod, M.; Chelbi, R.; Malissen, B.; Lawrence, T. Dendritic cell maturation: Functional specialization through signaling specificity and transcriptional programming. EMBO J. 2014, 33, 1104–1116. [Google Scholar] [CrossRef] [PubMed]
- Van Den Eeckhout, B.; Tavernier, J.; Gerlo, S. Interleukin-1 as innate mediator of T cell immunity. Front. Immunol. 2021, 11, 3605. [Google Scholar] [CrossRef] [PubMed]
- Cai, S.; Batra, S.; Shen, L.; Wakamatsu, N.; Jeyaseelan, S. Both TRIF- and MyD88-dependent signaling contribute to host defense against pulmonary Klebsiella infection. J. Immunol. 2009, 183, 6629–6638. [Google Scholar] [CrossRef] [PubMed]
- Castronovo, G.; Clemente, A.M.; Antonelli, A.; D’Andrea, M.M.; Tanturli, M.; Perissi, E.; Paccosi, S.; Parenti, A.; Cozzolino, F.; Rossolini, G.M.; et al. Differences in inflammatory response induced by two representatives of clades of the pandemic ST258 Klebsiella pneumoniae clonal lineage producing KPC-type carbapenemases. PLoS ONE 2017, 12, e0170125. [Google Scholar] [CrossRef]
- Hua, K.-F.; Yang, F.-L.; Chiu, H.-W.; Chou, J.-C.; Dong, W.-C.; Lin, C.-N.; Lin, C.-Y.; Wang, J.-T.; Li, L.-H.; Chiu, H.-W.; et al. Capsular polysaccharide is involved in NLRP3 inflammasome activation by Klebsiella pneumoniae serotype K1. Infect. Immun. 2015, 83, 3396–3409. [Google Scholar] [CrossRef]
- Deng, J.; Yu, X.-Q.; Wang, P.-H. Inflammasome activation and TH17 responses. Mol. Immunol. 2019, 107, 142–164. [Google Scholar] [CrossRef]
- Hoffmann, J.P.; Kolls, J.K.; McCombs, J.E. Regulation and function of ILC3s in pulmonary infections. Front. Immunol. 2021, 12, 672523. [Google Scholar] [CrossRef]
- Regueiro, V.; Moranta, D.; Frank, C.G.; Larrarte, E.; Margareto, J.; March, C.; Garmendia, J.; Bengoechea, J.A. Klebsiella pneumoniae subverts the activation of inflammatory responses in a NOD1-dependent manner. Cell. Microbiol. 2011, 13, 135–153. [Google Scholar] [CrossRef]
- Frank, C.G.; Reguerio, V.; Rother, M.; Moranta, D.; Maeurer, A.P.; Garmendia, J.; Meyer, T.F.; Bengoechea, J.A. Klebsiella pneumoniae targets an EGF receptor-dependent pathway to subvert inflammation. Cell. Microbiol. 2013, 15, 1212–1233. [Google Scholar] [CrossRef] [PubMed]
- Tomás, A.; Lery, L.; Regueiro, V.; Pérez-Gutiérrez, C.; Martínez, V.; Moranta, D.; Llobet, E.; González-Nicolau, M.; Insua, J.L.; Tomas, J.M.; et al. Functional genomic screen identifies Klebsiella pneumoniae factors implicated in blocking nuclear factor κB (NF-κB) signaling. J. Biol. Chem. 2015, 290, 16678–16697. [Google Scholar] [CrossRef] [PubMed]




| Gene | Forward 5′-3′ | Reverse 5′-3′ |
|---|---|---|
| B-actin | GAAACTACCTTCAACTCCATCATG | AGGAGGAGCAATGATCTTGATC |
| IL-23a | CTCAGGGACAACAGTCAGTTC | ACAGGGCTATCAGGGAGCA |
| IL-12a | CCTTGCACTTCTGAAGAGATTGA | ACAGGGCCATCATAAAAGAGGT |
| IL-1β | AGCTACGAATCTCCGACCAC | CGTTATCCCATGTGTCGAAGAA |
| TNF-α | CCTCTCTCTAATCAGCCCTCTG | GAGGACCTGGGAGTAGATGAG |
| IL-6 | ACTCACCTCTTCAGAACGAATTG | CCATCTTTGGAAGGTTCAGGTTG |
| IL-10 | TCAAGGCGCATGTGAACTCC | GATGTCAAACTCACTCATGGCT |
| IL-17 | AGATTACTACAACCGATCCACCT | GGGGACAGAGTTCATGTGGTA |
| IFN-γ | TCGGTAACTGACTTGAATGTCCA | TCGCTTCCCTGTTTTAGCTGC |
Publisher’s Note: MDPI stays neutral with regard to jurisdictional claims in published maps and institutional affiliations. |
© 2022 by the authors. Licensee MDPI, Basel, Switzerland. This article is an open access article distributed under the terms and conditions of the Creative Commons Attribution (CC BY) license (https://creativecommons.org/licenses/by/4.0/).
Share and Cite
Nicolò, S.; Mattiuz, G.; Antonelli, A.; Arena, F.; Di Pilato, V.; Giani, T.; Baccani, I.; Clemente, A.M.; Castronovo, G.; Tanturli, M.; et al. Hypervirulent Klebsiella pneumoniae Strains Modulate Human Dendritic Cell Functions and Affect TH1/TH17 Response. Microorganisms 2022, 10, 384. https://doi.org/10.3390/microorganisms10020384
Nicolò S, Mattiuz G, Antonelli A, Arena F, Di Pilato V, Giani T, Baccani I, Clemente AM, Castronovo G, Tanturli M, et al. Hypervirulent Klebsiella pneumoniae Strains Modulate Human Dendritic Cell Functions and Affect TH1/TH17 Response. Microorganisms. 2022; 10(2):384. https://doi.org/10.3390/microorganisms10020384
Chicago/Turabian StyleNicolò, Sabrina, Giorgio Mattiuz, Alberto Antonelli, Fabio Arena, Vincenzo Di Pilato, Tommaso Giani, Ilaria Baccani, Ann Maria Clemente, Giuseppe Castronovo, Michele Tanturli, and et al. 2022. "Hypervirulent Klebsiella pneumoniae Strains Modulate Human Dendritic Cell Functions and Affect TH1/TH17 Response" Microorganisms 10, no. 2: 384. https://doi.org/10.3390/microorganisms10020384
APA StyleNicolò, S., Mattiuz, G., Antonelli, A., Arena, F., Di Pilato, V., Giani, T., Baccani, I., Clemente, A. M., Castronovo, G., Tanturli, M., Cozzolino, F., Rossolini, G. M., & Torcia, M. G. (2022). Hypervirulent Klebsiella pneumoniae Strains Modulate Human Dendritic Cell Functions and Affect TH1/TH17 Response. Microorganisms, 10(2), 384. https://doi.org/10.3390/microorganisms10020384

