Occurrence of Bovine Cysticercosis in Two Regions of the State of Tocantins-Brazil and the Importance of Pathogen Identification
Abstract
1. Introduction
2. Results
3. Discussion
4. Materials and Methods
4.1. Collection of Cysts
4.2. DNA Extraction and PCR
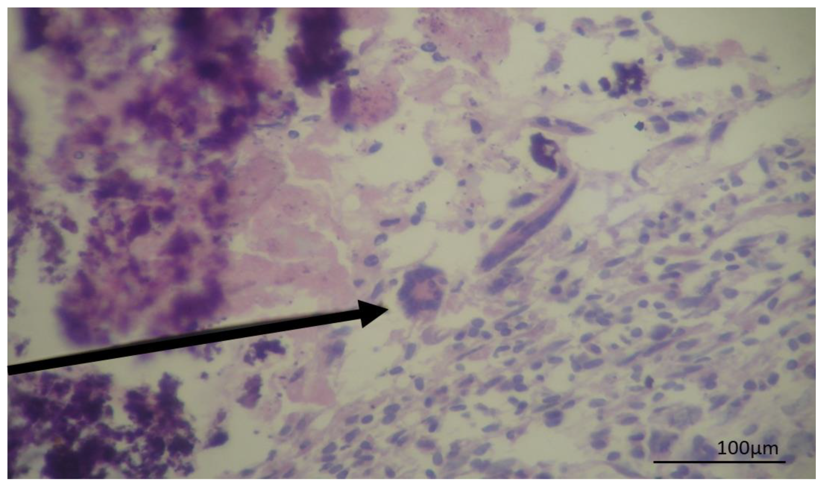
4.3. Histopathological Evaluation
Author Contributions
Funding
Conflicts of Interest
References
- Associação Brasileira das Indústrias Exportadoras de Carnes (ABIEC). São Paulo. Available online: http://www.abiec.com.br/3_rebanho.asp (accessed on 5 February 2014).
- Instituto Brasileiro de Geografia e Estatística (IBGE). Censo Agropecuario 2017. Available online: https://www.ibge.gov.br/estatisticas-novoportal/economicas/agricultura-e-pecuaria/21814-2017-censo-agropecuario.html (accessed on 5 November 2018).
- Secretaria da Agricultura, da Pecuária e do Desenvolvimento Agrário—Tocantins; SEAGRO-TO: Palmas, Brazil, 2018; Available online: https://seagro.to.gov.br/pecuaria (accessed on 5 November 2018).
- Dorny, P.; Praet, N. Taenia saginata in Europe. Vet. Parasitol. 2007, 149, 22–24. [Google Scholar] [CrossRef]
- de Aragão, S.C.; Biondi, G.F.; Lima, L.G.F.; Nunes, C.M. Animal cysticercosis in indigenous Brazilian villages. Rev. Bras. Parasitol. Vet. 2010, 19, 132–134. [Google Scholar] [CrossRef]
- Ferreira, M.M.; Revoredo, T.B.; Ragazzi, J.P.; Soares, V.E.; Ferraldo, A.S.; Mendonça, R.F.; Lopes, W.D.Z. Prevalência, distribuição espacial e fatores de risco para cisticercose bovina no estado de São Paulo. Pesq. Vet. Bras. 2014, 34, 1181–1185. [Google Scholar] [CrossRef]
- Sato, M.O.; Nunes, C.M.; Sato, M. Waikagul JTaenia. In Biology of Foodborne Parasites; Xiao, L., Ryan, U., Feng, Y., Eds.; EUA. CRC Press Taylor & Francis Group: New York, NY, USA, 2015; pp. 463–480. [Google Scholar]
- Geysen, D.; Kanobana, K.; Victor, B.; Rodriguez-Hidalgo, R.; De Borchgrave, J.; Brandt, J.; Dorny, P. Validation of Meat Inspection Results for Taenia saginata Cysticercosis by PCR–Restriction Fragment Length Polymorphism. J. Food Prot. 2007, 70, 236–240. [Google Scholar] [CrossRef] [PubMed]
- Abuseir, S.; Epe, C.; Schnieder, T.; Klein, G.; Kühne, M. Visual diagnosis of Taenia saginata cysticercosis during meat inspection: Is it unequivocal? Parasitol. Res. 2006, 99, 405–409. [Google Scholar] [CrossRef] [PubMed]
- González, L.M.; Estrella, M.; Morakote, N.; Puente, S.; De Tuesta, J.L.D.; Serra, T.; Lopez-Velez, R.; McManus, D.P.; Harrison, L.J.S.; Parkhouse, R.M.E.; et al. Differential diagnosis of Taenia saginata and Taenia saginata asiatica taeniasis through PCR. Diagn. Microbiol. Infect. Dis. 2004, 49, 183–188. [Google Scholar] [CrossRef] [PubMed]
- Yamasaki, H.; Allan, J.C.; Sato, M.O.; Nakao, M.; Sako, Y.; Nakaya, K.; Qiu, D.; Mamuti, W.; Craig, P.S.; Ito, A. DNA differential diagnosis of taeniasis and cysticercosis by multiplex PCR. J. Clin. Microbiol. 2004, 42, 548–553. [Google Scholar] [CrossRef] [PubMed]
- Sato, M.O.; Sato, M.; Yanagida, T.; Waikagul, J.; Pongvongsa, T.; Sako, Y.; Sanguankiat, S.; Yoonuan, T.; Kounnavang, S.; Kawai, S.; et al. Taenia solium, Taenia saginata, Taenia asiatica, their hybrids and other helminthic infections occurring in a neglected tropical diseases’ highly endemic area in Lao PDR. PLoS Negl. Trop. Dis. 2018, 12, 1–14. [Google Scholar] [CrossRef] [PubMed]
- Marques, G.M.; Buzi, K.A.; Galindo, L.A.; Baldini, E.D.; Biondi, G.F. Avaliação dos Registros de condenação por cisticercose em bovinos abatidos em frigoríficos da região centro oeste do estado de São Paulo—1996–2000. Vet. Zootec. 2008, 15, 114–120. [Google Scholar]
- SIGSIF/SISA/DDA/SFA/TO/MAPA. Sistema de Informações Gerenciais do Serviço de Inspeção Federal/Serviço de Inspeção e Saúde Animal/Departamento de Defesa Animal/Superintendência Federal de Agricultura do Estado do Tocantins/Ministério da Agricultura, Pecuária e Abastecimento; MAPA: Brasília, Brazil, 2011. Available online: http://sigsif.agricultura.gov.br/primeira_pagina/extranet/SIGSIF.html (accessed on 5 February 2014).
- Instituto Brasileiro de Geografia e Estatística (IBGE). Sinopse do Censo Demográfico 2010; Instituto Brasileiro de Geografia e Estatística: Rio de Janeiro, Brazil, 2011; p. 261.
- Almeida, D.O.; Igreja, H.P.; Alves, F.M.X.; Santos, I.F.; Tortelly, R. Cisticercose bovina em matadouro-frigorífico sob inspeção sanitária no município de Teixeira de Freitas-BA: Prevalência da enfermidade e análise anatomopatológica de diagnósticos sugestivos de cisticercose. Revtst. Bras. Cienc. Vet. 2006, 13, 178–182. [Google Scholar] [CrossRef]
- Costa, R.F.R.; Santos, I.F.; Nascimento, E.R.; Tortelly, R. Caracterização das reações inflamatórias em corações de bovinos comercializados em açougues na cidade de Nova Friburgo/RJ. Revtst. Bras. Cienc. Vet. 2006, 13, 76–79. [Google Scholar]
- Costa, R.F.R.; Santos, I.F.; Santana, A.P.; Tortelly, R.; Nascimento, E.R.; Fukuda, R.T.; Carvalho, E.C.Q.; Menezes, R.C. Caracterização das lesões por Cysticercus bovis, na inspeção post mortem de bovinos, pelos exames macroscópico, histopatológico e pela reação em cadeia da polimerase (PCR). Pesq. Vet. Bras. 2012, 32, 477–484. [Google Scholar] [CrossRef]
- Yamasaki, H.; Nagase, T.; Kiyoshige, Y.; Suzuki, M.; Nakaya, K.; Itoh, Y.; Sako, Y.; Nakao, M.; Ito, A. A case of intramuscular cysticercosis diagnosed definitively by mitochondrial DNA analysis of extremely calcified cysts. Parasitol. Int. 2006, 55, 127–130. [Google Scholar] [CrossRef] [PubMed]
- Schneider, R.; Gollackner, B.; Edel, B.; Schmid, K.; Wrba, F.; Tucek, G.; Walochnik, J.; Auer, H. Development of a new PCR protocol for the detection of species and genotypes (strains) of Echinococcus in formalin-fixed, paraffin-embedded tissues. Int. J. Parasitol. 2008, 38, 1065–1071. [Google Scholar] [CrossRef] [PubMed]
- Ibrahim, S.E.A.; Gameel, A.A. (Eds.) Pathological, Histochemical and Immunohistochemical Studies of Lungs and Livers of Cattle and Sheep Infected with Hydatid Disease. In Proceedings of the 5th Annual Conference—Agricultural and Veterinary Research, Khartoum, Sudan, 24–27 February 2014. [Google Scholar]
- Wangoo, A.; Johnson, L.; Gough, J.; Ackbar, R.; Inglut, S.; Hicks, D.; Spencer, Y.; Hewinson, G.; Vordermeier, M. Advanced Granulomatous Lesions in Mycobacterium bovis-infected Cattle are Associated with Increased Expression of Type I Procollagen, gd (WC1C) T Cells and CD 68C Cells. J. Comp. Pathol. 2005, 133, 223–234. [Google Scholar] [CrossRef] [PubMed]
- Kumar, S.N.; Prasad, T.S.; Narayan, P.A.; Muruganandhan, J. Granuloma with langhans giant cells: An overview. J. Oral. Maxillofac. Pathol. 2013, 17, 420–423. [Google Scholar] [CrossRef] [PubMed]
- Garcia-Garcia, M.L.; Torres, M.A.; Correa, D.O.; Flisser, A.; Sosa-Lechuga, A.L.; Velasco, O.S.; Meza-Lucas, A.N.; Plancarte, A.G.; Avila, G.U.; Tapia, R.A.; et al. Prevalence and risk of cysticercosis and taeniasis in an urban population of soldiers and their relatives. Am. J. Trop. Med. Hyg. 1999, 61, 386–389. [Google Scholar] [CrossRef] [PubMed][Green Version]
- Rossi, G.A.M.; Hoppe, E.G.L.; Mathias, L.A.; Martins, A.N.C.V.; Mussi, L.A.; Prata, L.F. Bovine cysticercosis in slaughtered cattle as an indicator of Good Agricultural Practices (GAP) and epidemiological risk factors. Prev. Vet. Med. 2015, 118, 504–508. [Google Scholar] [CrossRef] [PubMed]
- Flisser, A.; Sarti, E.; Lightowlers, M.; Schantz, P. Neurocysticercosis: Regional status, epidemiology, impact and control measures in the Americas. Acta Trop. 2003, 87, 43–51. [Google Scholar] [CrossRef]
- Brasil 1971. Padronização de Técnicas, Instalações e Equipamentos. Volume 1. Bovinos. Serviço de Inspeção de produtos de Origem Animal (DIPOA); Ministério da Agricultura Pecuária e Abastecimento (MAPA): Brasília, Brazil, 1971; pp. 78–95. [Google Scholar]
- Sambrook, J.; Fritsch, E.F.; Maniatis, T. Molecular Cloning: A Laboratory Manual, 9th ed.; Cold Spring Harbor Laboratory Press: New York, NY, USA, 1989; p. 545. [Google Scholar]
- Drury, R.A.B.; Willington, E.A. Carleton’s Histological Technique, 5th ed.; Oxford University Press: London, UK, 1980. [Google Scholar]




| Month | Alvorada | VI | CA | Araguaina | VI | CA | 
|---|---|---|---|---|---|---|
| March | 8564 | 01 | 01 | 15,788 | 03 | 01 | 
| April | 8811 | 01 | 02 | 14,863 | - | 04 | 
| May | 8772 | 02 | - | 13,379 | - | 01 | 
| June | 9270 | 01 | 01 | 16,050 | - | 06 | 
| July | 7731 | 02 | 04 | 18,428 | 02 | 07 | 
| August | 7998 | 01 | 03 | 13,754 | 01 | 03 | 
| September | 7445 | 01 | 02 | 13,238 | 01 | 02 | 
| Total | 58,591 | 09 | 13 | 105,500 | 07 | 24 | 
| Sample ID | Classification | Slaughterhouse | Collection Date | Local | PCR | 
|---|---|---|---|---|---|
| C1 | CA | B | March | Heart | P | 
| C2 | CA | B | April | Heart | N | 
| C3 | CA | B | April | Heart | N | 
| C4 | VI | A | April | Masseter | P | 
| C5a | VI | A | July | Masseter | P | 
| C5b | VI | A | July | Masseter | P | 
| 1a | CA | B | June | Masseter | N | 
| 1b | CA | B | June | Masseter | N | 
| 1c | CA | B | June | Masseter | N | 
| 2 | VI | B | August | Heart | N | 
| 3 | CA | A | August | Heart | N | 
| 4 | CA | A | August | Masseter | N | 
| 5 | CA | A | August | Masseter | N | 
| 6 | CA | A | September | Liver | N | 
© 2019 by the authors. Licensee MDPI, Basel, Switzerland. This article is an open access article distributed under the terms and conditions of the Creative Commons Attribution (CC BY) license (http://creativecommons.org/licenses/by/4.0/).
Share and Cite
FIGUEIREDO, B.N.S.; LIBóRIO, R.A.; SATO, M.; da SILVA, C.F.; PEREIRA-JUNIOR, R.A.; CHIGUSA, Y.; KAWAI, S.; SATO, M.O. Occurrence of Bovine Cysticercosis in Two Regions of the State of Tocantins-Brazil and the Importance of Pathogen Identification. Pathogens 2019, 8, 66. https://doi.org/10.3390/pathogens8020066
FIGUEIREDO BNS, LIBóRIO RA, SATO M, da SILVA CF, PEREIRA-JUNIOR RA, CHIGUSA Y, KAWAI S, SATO MO. Occurrence of Bovine Cysticercosis in Two Regions of the State of Tocantins-Brazil and the Importance of Pathogen Identification. Pathogens. 2019; 8(2):66. https://doi.org/10.3390/pathogens8020066
Chicago/Turabian StyleFIGUEIREDO, Benta Natânia Silva, Ricardo Alencar LIBóRIO, Megumi SATO, Camila Figueira da SILVA, Ronaldo Alves PEREIRA-JUNIOR, Yuichi CHIGUSA, Satoru KAWAI, and Marcello Otake SATO. 2019. "Occurrence of Bovine Cysticercosis in Two Regions of the State of Tocantins-Brazil and the Importance of Pathogen Identification" Pathogens 8, no. 2: 66. https://doi.org/10.3390/pathogens8020066
APA StyleFIGUEIREDO, B. N. S., LIBóRIO, R. A., SATO, M., da SILVA, C. F., PEREIRA-JUNIOR, R. A., CHIGUSA, Y., KAWAI, S., & SATO, M. O. (2019). Occurrence of Bovine Cysticercosis in Two Regions of the State of Tocantins-Brazil and the Importance of Pathogen Identification. Pathogens, 8(2), 66. https://doi.org/10.3390/pathogens8020066
 
        


 
       