Development of a Double-Antigen Sandwich ELISA for Oz Virus and a Seroepidemiological Survey in Wild Boars in Miyazaki, Japan
Abstract
1. Introduction
2. Materials and Methods
2.1. Animals
2.2. Recombinant Oz Virus NP Production
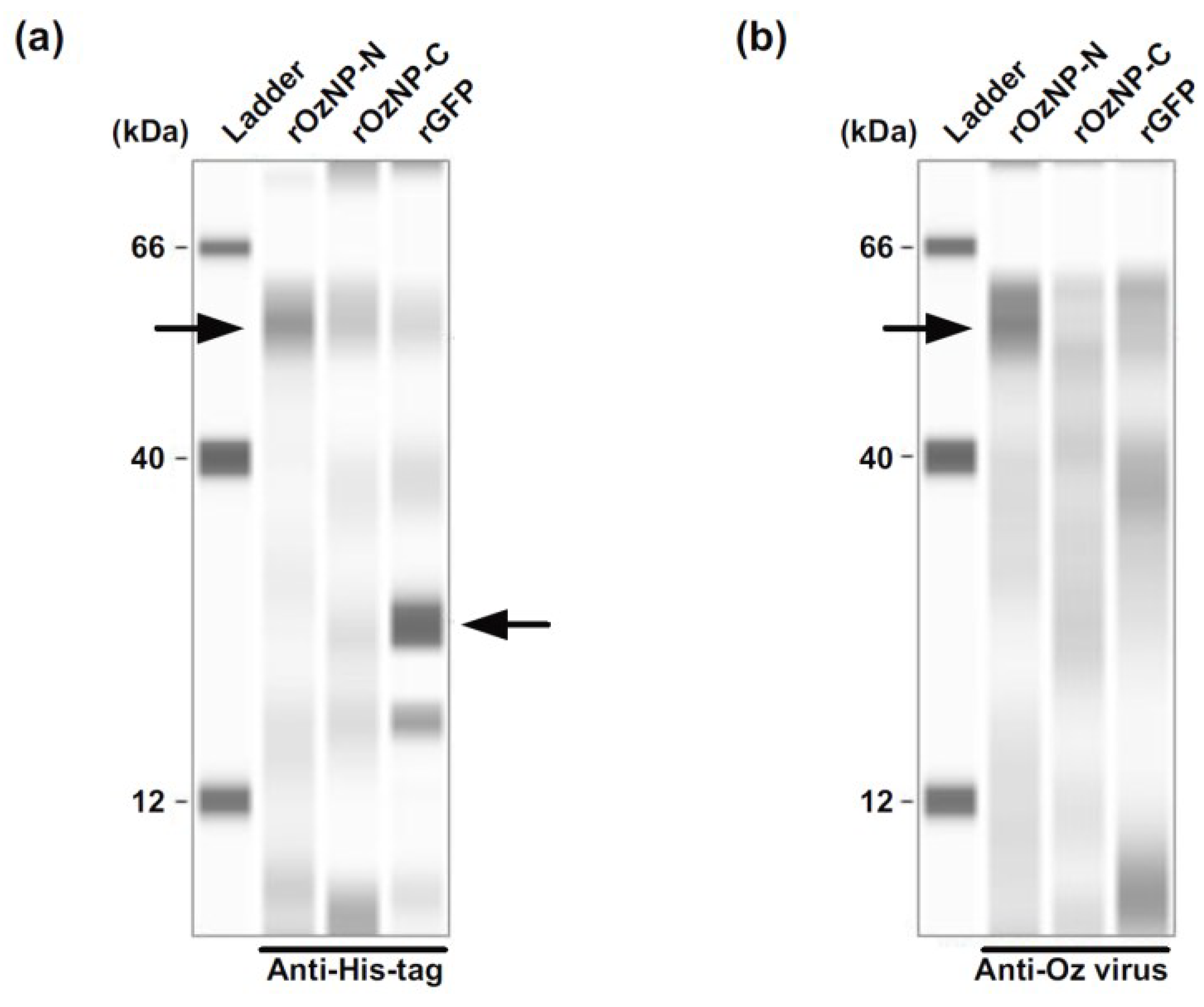
2.3. Western Blotting
2.4. DAgS ELISA
2.5. Neutralization Test
2.6. RNA Extraction and Detection of Oz Viral RNA
2.7. Determination of Partial Nucleotide Sequence of Oz Virus GP Gene
2.8. Phylogenetic Analysis
2.9. Statistical Analyses
3. Results
3.1. Development of DAgS ELISA
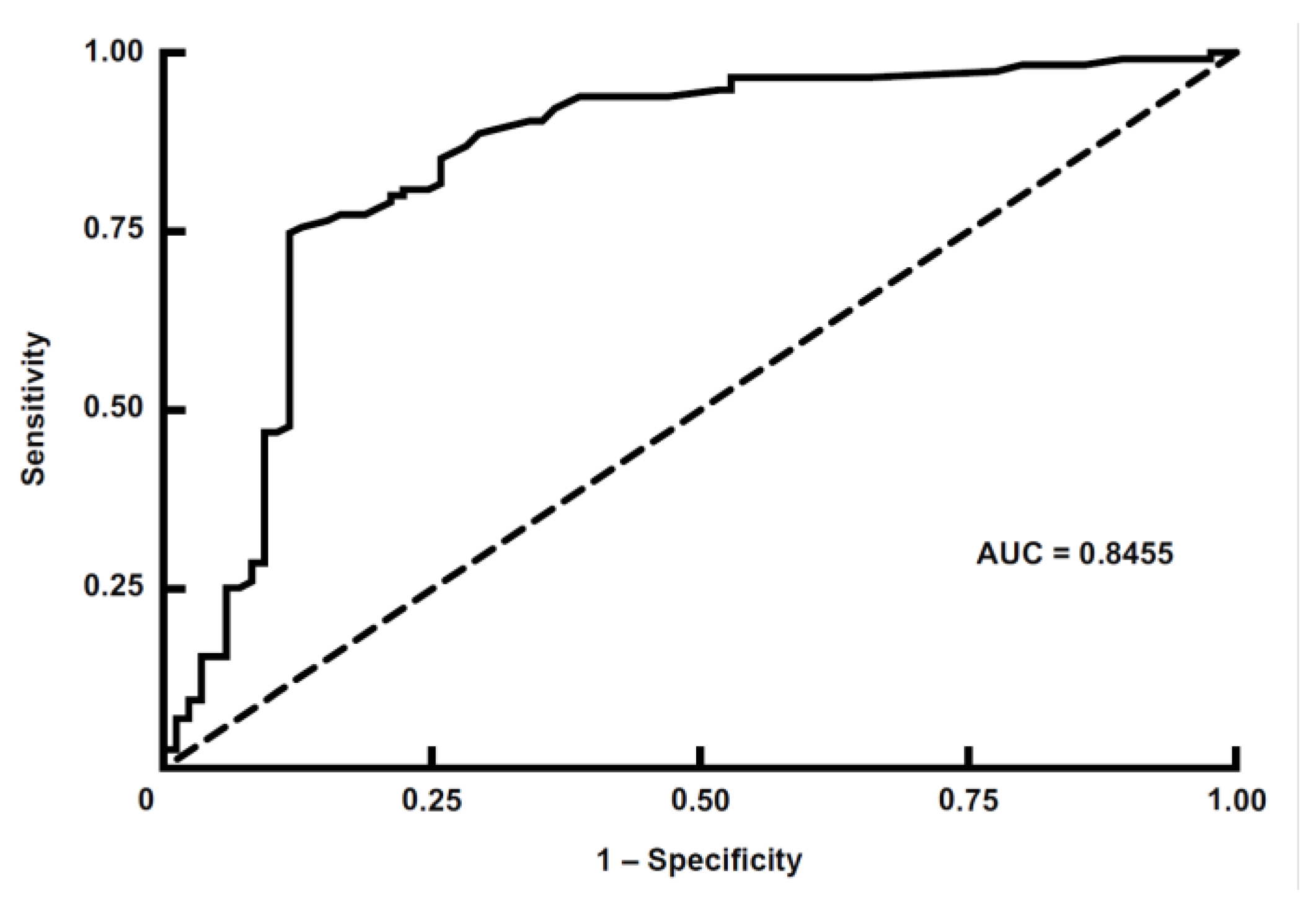
3.2. Verification of DAgS ELISA Sensitivity and Specificity
3.3. Serological Survey of Wild Boars Using the DAgS ELISA
3.4. RT-PCR in Wild Boars and Phylogenetic Analysis of Oz Virus
4. Discussion
5. Conclusions
Author Contributions
Funding
Institutional Review Board Statement
Informed Consent Statement
Data Availability Statement
Acknowledgments
Conflicts of Interest
References
- Kuhn, J.H.; Adkins, S.; Alkhovsky, S.V.; Avšič-Županc, T.; Ayllón, M.A.; Bahl, J.; Balkema-Buschmann, A.; Ballinger, M.J.; Bandte, M.; Beer, M.; et al. 2022 Taxonomic Update of Phylum Negarnaviricota (Riboviria: Orthornavirae), Including the Large Orders Bunyavirales and Mononegavirales. Arch. Virol. 2022, 167, 2857–2906. [Google Scholar] [CrossRef]
- Ejiri, H.; Lim, C.-K.; Isawa, H.; Fujita, R.; Murota, K.; Sato, T.; Kobayashi, D.; Kan, M.; Hattori, M.; Kimura, T.; et al. Characterization of a Novel Thogotovirus Isolated from Amblyomma testudinarium Ticks in Ehime, Japan: A Significant Phylogenetic Relationship to Bourbon Virus. Virus Res. 2018, 249, 57–65. [Google Scholar] [CrossRef] [PubMed]
- Kosoy, O.I.; Lambert, A.J.; Hawkinson, D.J.; Pastula, D.M.; Goldsmith, C.S.; Hunt, D.C.; Staples, J.E. Novel Thogotovirus Associated with Febrile Illness and Death, United States, 2014. Emerg. Infect. Dis. 2015, 21, 760–764. [Google Scholar] [CrossRef]
- Osawa, S.; Miyazaki, K.; Mine, S.; Hirata, Y.; Terada, N.; Ozawa, M.; Kikuchi, K.; Uchida, A.; Hirose, K.; Imakawa, Y.; et al. Fulminant Viral Myocarditis Associated with Thogotovirus. N. Engl. J. Med. 2025, 393, 924–926. [Google Scholar] [CrossRef]
- Nakao, R.; Shinjo, K.; Sakiyama, T.; Ogata, S.; Kusakisako, K.; Kinoshita, G.; Naguib, D.; Chatanga, E.; Mohamed, W.M.A.; Moustafa, M.A.M.; et al. Amblyomma testudinarium Infestation on a Brown Bear (Ursus Arctos Yesoensis) Captured in Hokkaido, a Northern Island of Japan. Parasitol. Int. 2020, 80, 102209. [Google Scholar] [CrossRef]
- Motoi, Y.; Asano, M.; Inokuma, H.; Ando, S.; Kawabata, H.; Takano, A.; Suzuki, M. Detection of Rickettsia tamurae DNA in Ticks and Wild Boar (Sus scrofa leucomystax) Skins in Shimane Prefecture, Japan. J. Vet. Med. Sci. 2013, 75, 263–267. [Google Scholar] [CrossRef]
- Nakamura-Uchiyama, F.; Komuro, Y.; Yoshii, A.; Nawa, Y. Amblyomma testudinarium Tick Bite: One Case of Engorged Adult and a Case of Extraordinary Number of Larval Tick Infestation. J. Dermatol. 2000, 27, 774–777. [Google Scholar] [CrossRef]
- Tran, N.T.B.; Shimoda, H.; Ishijima, K.; Yonemitsu, K.; Minami, S.; Supriyono; Kuroda, Y.; Tatemoto, K.; Mendoza, M.V.; Kuwata, R.; et al. Zoonotic Infection with Oz Virus, a Novel Thogotovirus. Emerg. Infect. Dis. 2022, 28, 436–439. [Google Scholar] [CrossRef] [PubMed]
- Matsuu, A.; Tatemoto, K.; Ishijima, K.; Nishino, A.; Inoue, Y.; Park, E.; Tamatani, H.; Seto, J.; Higashi, H.; Fukui, Y.; et al. Oz Virus Infection in 6 Animal Species, Including Macaques, Bears, and Companion Animals, Japan. Emerg. Infect. Dis. 2025, 31, 720–727. [Google Scholar] [CrossRef] [PubMed]
- Kobayashi, Y.; Kato, H.; Yamagishi, T.; Shimada, T.; Matsui, T.; Yoshikawa, T.; Kurosu, T.; Shimojima, M.; Morikawa, S.; Hasegawa, H.; et al. Severe Fever with Thrombocytopenia Syndrome, Japan, 2013–2017. Emerg. Infect. Dis. 2020, 26, 692–699. [Google Scholar] [CrossRef]
- Kinoshita, H.; Arima, Y.; Shigematsu, M.; Sunagawa, T.; Saijo, M.; Oishi, K.; Ando, S. Descriptive Epidemiology of Rickettsial Infections in Japan: Scrub Typhus and Japanese Spotted Fever, 2007–2016. Int. J. Infect. Dis. 2021, 105, 560–566. [Google Scholar] [CrossRef]
- Trozzi, G.; Adjadj, N.R.; Vervaeke, M.; Matthijs, S.; Sohier, C.; Regge, N.D. Comparison of Serological Methods for Tick-Borne Encephalitis Virus-Specific Antibody Detection in Wild Boar and Sheep: Impact of the Screening Approach on the Estimated Seroprevalence. Viruses 2023, 15, 459. [Google Scholar] [CrossRef]
- Klontz, E.H.; Chowdhury, N.; Branda, J.A. Laboratory Testing for Powassan Virus: Past, Present, and Future. J. Infect. Dis. 2024, 230, S70–S75. [Google Scholar] [CrossRef]
- Hu, W.P.; Lu, Y.; Precioso, N.A.; Chen, H.Y.; Howard, T.; Anderson, D.; Guan, M. Double-Antigen Enzyme-Linked Immunosorbent Assay for Detection of Hepatitis E Virus-Specific Antibodies in Human or Swine Sera. Clin. Vaccine Immunol. 2008, 15, 1151–1157. [Google Scholar] [CrossRef]
- Watcharatanyatip, K.; Boonmoh, S.; Chaichoun, K.; Songserm, T.; Woratanti, M.; Dharakul, T. Multispecies Detection of Antibodies to Influenza A Viruses by a Double-Antigen Sandwich ELISA. J. Virol. Methods 2010, 163, 238–243. [Google Scholar] [CrossRef]
- Mekata, H.; Yamada, K.; Umeki, K.; Yamamoto, M.; Ochi, A.; Umekita, K.; Kobayashi, I.; Hirai, T.; Okabayashi, T. Nine-Year Seroepidemiological Study of Severe Fever with Thrombocytopenia Syndrome Virus Infection in Feral Horses in Cape Toi, Japan. BMC Vet. Res. 2024, 20, 190. [Google Scholar] [CrossRef] [PubMed]
- Mangombi, J.B.; Roqueplo, C.; Sambou, M.; Dahmani, M.; Mediannikov, O.; Comtet, L.; Davoust, B. Seroprevalence of Crimean-Congo Hemorrhagic Fever in Domesticated Animals in Northwestern Senegal. Vector-Borne Zoonotic Dis. 2020, 20, 797–799. [Google Scholar] [CrossRef] [PubMed]
- Yoshii, K.; Okamoto, N.; Nakao, R.; Hofstetter, R.K.; Yabu, T.; Masumoto, H.; Someya, A.; Kariwa, H.; Maeda, A. Isolation of the Thogoto Virus from a Haemaphysalis longicornis in Kyoto City, Japan. J. Gen. Virol. 2015, 96, 2099–2103. [Google Scholar] [CrossRef]
- Tanaka, Y.L.; Shofa, M.; Butlertanaka, E.P.; Niazi, A.M.; Hirai, T.; Mekata, H.; Saito, A. Generation of a Porcine Cell Line Stably Expressing Pig TMPRSS2 for Efficient Isolation of Swine Influenza Virus. Pathogens 2023, 13, 18. [Google Scholar] [CrossRef] [PubMed]
- Kumar, S.; Stecher, G.; Tamura, K. MEGA7: Molecular Evolutionary Genetics Analysis Version 7.0 for Bigger Datasets. Mol. Biol. Evol. 2016, 33, 1870–1874. [Google Scholar] [CrossRef]
- Youden, W.J. Index for Rating Diagnostic Tests. Cancer 1950, 3, 32–35. [Google Scholar] [CrossRef] [PubMed]
- Swets, J.A. Measuring the Accuracy of Diagnostic Systems. Science 1988, 240, 1285–1293. [Google Scholar] [CrossRef]
- Fuchs, J.; Lamkiewicz, K.; Kolesnikova, L.; Hölzer, M.; Marz, M.; Kochs, G. Comparative Study of Ten Thogotovirus Isolates and Their Distinct In Vivo Characteristics. J. Virol. 2022, 96, e01556-21. [Google Scholar] [CrossRef]
- Hu, X.; Zhang, R.; An, T.; Li, Q.; Situ, B.; Ou, Z.; Wu, C.; Yang, B.; Tian, P.; Hu, Y.; et al. Impact of Heat-Inactivation on the Detection of SARS-CoV-2 IgM and IgG Antibody by ELISA. Clin. Chim. Acta 2020, 509, 288–292. [Google Scholar] [CrossRef] [PubMed]
- Lin, J.; Dai, W.; Li, W.; Xiao, L.; Luo, T.; Guo, Y.; Yang, Y.; Han, Y.; Zhu, P.; Wu, Q.; et al. Potential False-Positive and False-Negative Results for COVID-19 IgG/IgM Antibody Testing After Heat-Inactivation. Front. Med. 2021, 7, 589080. [Google Scholar] [CrossRef] [PubMed]
- Takahashi, M.; Nishizawa, T.; Sato, Y.; Miyazaki, S.; Aikawa, T.; Ashida, K.; Tamaru, T.; Oguro, K.; Hayakawa, F.; Matsuoka, H.; et al. Prevalence and genotype/subtype distribution of hepatitis E virus (HEV) among wild boars in Japan: Identification of a genotype 5 HEV strain. Virus Res. 2020, 287, 198106. [Google Scholar] [CrossRef]
- Komiya, T.; Toriniwa, H.; Matsumura, T.; Takegami, T.; Nakayama, T. Epidemiological study on Japanese encephalitis virus distribution in Ishikawa prefecture, Japan, by serological investigation using wild boar sera. J. Vet. Med. Sci. 2019, 81, 903–905. [Google Scholar] [CrossRef]
- Kodama, F.; Yamaguchi, H.; Park, E.; Tatemoto, K.; Sashika, M.; Nakao, R.; Terauchi, Y.; Mizuma, K.; Orba, Y.; Kariwa, H.; et al. A Novel Nairovirus Associated with Acute Febrile Illness in Hokkaido, Japan. Nat. Commun. 2021, 12, 5539. [Google Scholar] [CrossRef]
- Matsuno, K.; Kajihara, M.; Nakao, R.; Nao, N.; Mori-Kajihara, A.; Muramatsu, M.; Qiu, Y.; Torii, S.; Igarashi, M.; Kasajima, N.; et al. The Unique Phylogenetic Position of a Novel Tick-Borne Phlebovirus Ensures an Ixodid Origin of the Genus Phlebovirus. Msphere 2018, 3, e00239-18. [Google Scholar] [CrossRef]
- Shimoda, H.; Hayasaka, D.; Yoshii, K.; Yokoyama, M.; Suzuki, K.; Kodera, Y.; Takeda, T.; Mizuno, J.; Noguchi, K.; Yonemitsu, K.; et al. Detection of a Novel Tick-Borne Flavivirus and Its Serological Surveillance. Ticks Tick-Borne Dis. 2019, 10, 742–748. [Google Scholar] [CrossRef]
- Tran, N.T.B.; Shimoda, H.; Mizuno, J.; Ishijima, K.; Yonemitsu, K.; Minami, S.; Supriyono; Kuroda, Y.; Tatemoto, K.; Mendoza, M.V.; et al. Epidemiological Study of Kabuto Mountain Virus, a Novel Uukuvirus, in Japan. J. Vet. Med. Sci. 2022, 84, 82–89. [Google Scholar] [CrossRef]
- Chae, J.-B.; Cho, Y.-S.; Cho, Y.-K.; Kang, J.-G.; Shin, N.-S.; Chae, J.-S. Epidemiological Investigation of Tick Species from Near Domestic Animal Farms and Cattle, Goat, and Wild Boar in Korea. Korean J. Parasitol. 2019, 57, 319–324. [Google Scholar] [CrossRef] [PubMed]
- Osawa, S.; Kimura, H.; Abe, S.; Nagata, N.; Ueno, E.; Ebihara, H.; Kimura, R.; Furuya, T. Molecular Epidemiology and Seroepidemiology of Oz Virus Infection in Ticks and Wild Boars in Ibaraki Prefecture, Japan. Microorganisms 2025, 13, 2421. [Google Scholar] [CrossRef]
- Jezierski, W. Longevity and Mortality Rate in a Population of Wild Boar. Acta Theriol 1977, 22, 337–348. [Google Scholar] [CrossRef]
- Fujimoto, K. The Seasonal Activity of Amblyomma testudinarium Koch (Acari: Ixodidae) in the Rokko Mountains of Hyogo Prefecture and Analysis Under Experimental Outdoor Conditions. J. Acarol. Soc. Jpn. 2004, 9, 185–188. [Google Scholar] [CrossRef]
- Bamunuarachchi, G.; Najera, F.; Aziati, I.D.; Palmer, J.L.; Biro, E.G.; Wang, D.; Deem, S.L.; Boon, A.C.M.; Adalsteinsson, S.A. Serosurveillance Identifies Bourbon Virus-Neutralizing Antibodies in Bobcats, Coyotes, and Red Foxes in Missouri. Vector-Borne Zoonotic Dis. 2025, 25, 287–294. [Google Scholar] [CrossRef]
- Suh, J.-H.; Kim, H.-C.; Yun, S.-M.; Lim, J.-W.; Kim, J.-H.; Chong, S.-T.; Kim, D.-H.; Kim, H.-T.; Kim, H.; Klein, T.A.; et al. Detection of SFTS Virus in Ixodes nipponensis and Amblyomma testudinarium (Ixodida: Ixodidae) Collected From Reptiles in the Republic of Korea. J. Med. Entomol. 2016, 53, 584–590. [Google Scholar] [CrossRef] [PubMed]
- Kim, H.C.; Chong, S.T.; Nunn, P.V.; Jang, W.-J.; Klein, T.A.; Robbins, R.G. Seasonal Abundance of Ticks Collected from Live-Captured Small Mammals in Gyeonggi Province, Republic of Korea, during 2009. Syst. Appl. Acarol. 2013, 18, 201–211. [Google Scholar] [CrossRef]
- Smith, D.J.; Lapedes, A.S.; de Jong, J.C.; Bestebroer, T.M.; Rimmelzwaan, G.F.; Osterhaus, A.D.M.E.; Fouchier, R.A.M. Mapping the Antigenic and Genetic Evolution of Influenza Virus. Science 2004, 305, 371–376. [Google Scholar] [CrossRef]
- Li, W.; Shi, W.; Qiao, H.; Ho, S.Y.; Luo, A.; Zhang, Y.; Zhu, C. Positive Selection on Hemagglutinin and Neuraminidase Genes of H1N1 Influenza Viruses. Virol. J. 2011, 8, 183. [Google Scholar] [CrossRef]
- Matsuu, A.; Momoi, Y.; Nishiguchi, A.; Noguchi, K.; Yabuki, M.; Hamakubo, E.; Take, M.; Maeda, K. Natural Severe Fever with Thrombocytopenia Syndrome Virus Infection in Domestic Cats in Japan. Vet. Microbiol. 2019, 236, 108346. [Google Scholar] [CrossRef] [PubMed]
- Ishijima, K.; Tatemoto, K.; Park, E.; Kimura, M.; Fujita, O.; Taira, M.; Kuroda, Y.; Mendoza, M.V.; Inoue, Y.; Harada, M.; et al. Lethal Disease in Dogs Naturally Infected with Severe Fever with Thrombocytopenia Syndrome Virus. Viruses 2022, 14, 1963. [Google Scholar] [CrossRef] [PubMed]
- Matsuno, K.; Nonoue, N.; Noda, A.; Kasajima, N.; Noguchi, K.; Takano, A.; Shimoda, H.; Orba, Y.; Muramatsu, M.; Sakoda, Y.; et al. Fatal Tickborne Phlebovirus Infection in Captive Cheetahs, Japan. Emerg. Infect. Dis. 2018, 24, 1726–1729. [Google Scholar] [CrossRef] [PubMed]





| PRNT80 (b) Positive | PRNT80 Negative | Total | |
|---|---|---|---|
| DAgS ELISA positive (a) | 83 | 10 | 93 |
| DAgS ELISA negative | 32 | 75 | 107 |
| Total | 115 | 85 | 200 |
| Dilution Ratio of Oz Virus-Immune Rabbit Serum (×) | 2 | 4 | 8 | 16 | 32 | 64 | 128 | 256 | 512 |
|---|---|---|---|---|---|---|---|---|---|
| OD value (a) | 1.301 | 0.883 | 0.415 | 0.155 | 0.059 | 0.026 | 0.012 | 0.010 | 0.007 |
| Plaque reduction rate (b) (%) | 100 | 100 | 100 | 100 | 100 | 94.9 | 69.2 | 28.2 | 0 |
| Region/Category | Positive | Negative | Total | Positive Rate (%) |
|---|---|---|---|---|
| Northern | 107 | 217 | 324 | 33.0 |
| Central | 98 | 188 | 286 | 34.3 |
| Western | 121 | 227 | 348 | 34.8 |
| Southern | 22 | 58 | 80 | 27.5 |
| Unknown | 2 | 5 | 7 | 28.6 |
| Male | 177 | 390 | 567 | 31.2 |
| Female | 169 | 298 | 467 | 36.2 |
| Unknown | 4 | 7 | 11 | 36.4 |
| Adult | 319 | 627 | 946 | 33.7 |
| Juvenile | 28 | 60 | 88 | 31.8 |
| Unknown | 3 | 8 | 11 | 27.3 |
| Total | 350 | 695 | 1045 | 33.5 |
| Region/Category | Positive | Negative | Total | Positive Rate (%) |
|---|---|---|---|---|
| 2022 (November–December) | 21 | 37 | 58 | 36.2 |
| 2023 (January–December) | 120 | 258 | 378 | 31.7 |
| 2024 (January–December) | 196 | 345 | 541 | 36.2 |
| 2025 (January–May) | 13 | 55 | 68 | 19.1 |
| Spring (March–May) | 28 | 71 | 99 | 28.3 |
| Summer (June–Aug) | 145 | 165 | 310 | 46.8 |
| Autumn (September–November) | 112 | 228 | 340 | 32.9 |
| Winter (December–February) | 65 | 231 | 296 | 22.0 |
| Total | 350 | 695 | 1045 | 33.5 |
Disclaimer/Publisher’s Note: The statements, opinions and data contained in all publications are solely those of the individual author(s) and contributor(s) and not of MDPI and/or the editor(s). MDPI and/or the editor(s) disclaim responsibility for any injury to people or property resulting from any ideas, methods, instructions or products referred to in the content. |
© 2025 by the authors. Licensee MDPI, Basel, Switzerland. This article is an open access article distributed under the terms and conditions of the Creative Commons Attribution (CC BY) license (https://creativecommons.org/licenses/by/4.0/).
Share and Cite
Mekata, H.; Yamamoto, M.; Matsuu, A.; Maeda, K.; Isawa, H.; Yoshii, K.; Umeki, K.; Okabayashi, T. Development of a Double-Antigen Sandwich ELISA for Oz Virus and a Seroepidemiological Survey in Wild Boars in Miyazaki, Japan. Pathogens 2025, 14, 1288. https://doi.org/10.3390/pathogens14121288
Mekata H, Yamamoto M, Matsuu A, Maeda K, Isawa H, Yoshii K, Umeki K, Okabayashi T. Development of a Double-Antigen Sandwich ELISA for Oz Virus and a Seroepidemiological Survey in Wild Boars in Miyazaki, Japan. Pathogens. 2025; 14(12):1288. https://doi.org/10.3390/pathogens14121288
Chicago/Turabian StyleMekata, Hirohisa, Mari Yamamoto, Aya Matsuu, Ken Maeda, Haruhiko Isawa, Kentaro Yoshii, Kazumi Umeki, and Tamaki Okabayashi. 2025. "Development of a Double-Antigen Sandwich ELISA for Oz Virus and a Seroepidemiological Survey in Wild Boars in Miyazaki, Japan" Pathogens 14, no. 12: 1288. https://doi.org/10.3390/pathogens14121288
APA StyleMekata, H., Yamamoto, M., Matsuu, A., Maeda, K., Isawa, H., Yoshii, K., Umeki, K., & Okabayashi, T. (2025). Development of a Double-Antigen Sandwich ELISA for Oz Virus and a Seroepidemiological Survey in Wild Boars in Miyazaki, Japan. Pathogens, 14(12), 1288. https://doi.org/10.3390/pathogens14121288

