Discovery of Novel Diagnostic Biomarkers for Common Pathogenic Nocardia Through Pan-Genome and Comparative Genome Analysis, with Preliminary Validation
Abstract
1. Introduction
2. Materials and Methods
2.1. Genome Sequence Retrieval
2.2. Average Nucleotide Identity (ANI), Genome Annotation, and Gene Homology Analysis
2.3. Pan-Genomic and Comparative Genome Analysis: Searching for Nocardia-Specific Core Genes
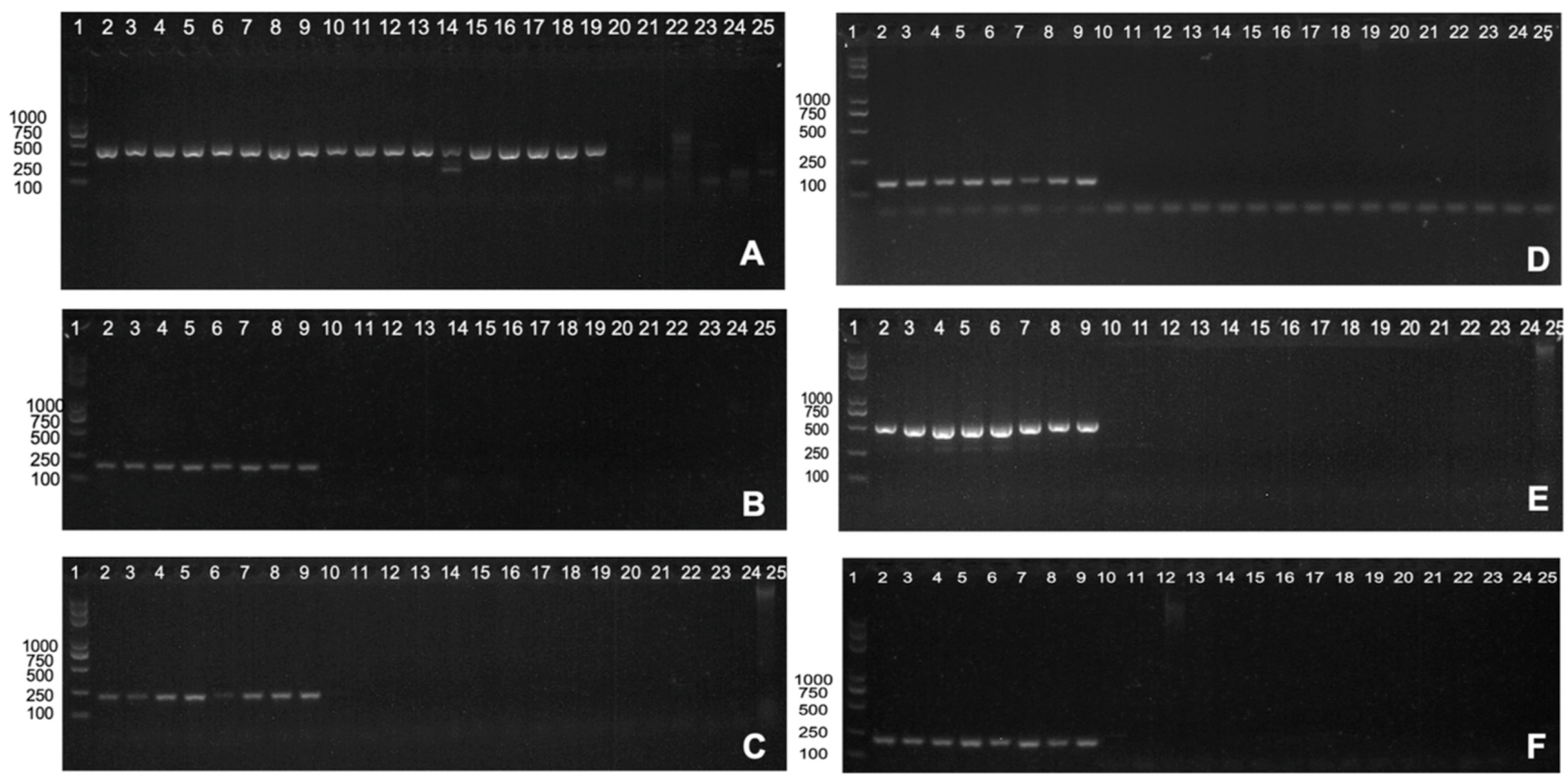
2.4. Preliminary Validation of Specificity Candidate Markers
3. Results
3.1. Genomic Characterization of Common Pathogenic Nocardia Species
3.2. Pan-Genome and Comparative Genome Analyses Reveal Specific Core Genes (SCGs) of the Common Pathogenic Nocardia Species
3.3. Validation of the Feasibility of Nocardia-Specific Core Genes for Clinical Diagnosis
4. Discussion
5. Conclusions
Supplementary Materials
Author Contributions
Funding
Institutional Review Board Statement
Informed Consent Statement
Data Availability Statement
Conflicts of Interest
References
- Brown-Elliott, B.A.; Brown, J.M.; Conville, P.S.; Wallace, R.J. Clinical and Laboratory Features of the Nocardia spp. Based on Current Molecular Taxonomy. Clin. Microbiol. Rev. 2006, 19, 259–282. [Google Scholar] [CrossRef] [PubMed]
- Wintheiser, G.A.; Venable, E.R.; Temesgen, Z. Disseminated Nocardia in an Immunocompetent Host. Mayo Clin. Proc. 2021, 96, 847–848. [Google Scholar] [CrossRef] [PubMed]
- Wang, C.; Sun, Q.; Yan, J.; Liao, X.; Long, S.; Zheng, M.; Zhang, Y.; Yang, X.; Shi, G.; Zhao, Y.; et al. The Species Distribution and Antimicrobial Resistance Profiles of Nocardia Species in China: A Systematic Review and Meta-Analysis. PLoS Negl. Trop. Dis. 2023, 17, e0011432. [Google Scholar] [CrossRef] [PubMed]
- Abe, S.; Tanabe, Y.; Ota, T.; Fujimori, F.; Youkou, A.; Makino, M. Case Report: Pulmonary Nocardiosis Caused by Nocardia Exalbida in an Immunocompetent Patient. BMC Infect. Dis. 2021, 21, 776. [Google Scholar] [CrossRef]
- Steinbrink, J.; Leavens, J.; Kauffman, C.A.; Miceli, M.H. Manifestations and Outcomes of Nocardia Infections. Medicine 2018, 97, e12436. [Google Scholar] [CrossRef]
- Martínez Tomás, R.; Menéndez Villanueva, R.; Reyes Calzada, S.; Santos Durantez, M.; Vallés Tarazona, J.M.; Modesto Alapont, M.; Gobernado Serrano, M. Pulmonary Nocardiosis: Risk Factors and Outcomes. Respirology 2007, 12, 394–400. [Google Scholar] [CrossRef]
- Peng, Y.; Dong, X.; Zhu, Y.; Lv, H.; Ge, Y. A Rare Case of Pulmonary Nocardiosis Comorbid with Sjogren’s Syndrome. Clin. Lab. Anal. 2021, 35, e23902. [Google Scholar] [CrossRef]
- Wu, C.; Lu, J.; Yao, J. A Case of Intraocular Infection Caused by Nocardia Brasiliensis in a Patient Who Is Immunocompetent. Int. J. Infect. Dis. 2023, 130, 73–75. [Google Scholar] [CrossRef]
- Zhou, H.; Larkin, P.M.K.; Zhao, D.; Ma, Q.; Yao, Y.; Wu, X.; Wang, J.; Zhou, X.; Li, Y.; Wang, G.; et al. Clinical Impact of Metagenomic Next-Generation Sequencing of Bronchoalveolar Lavage in the Diagnosis and Management of Pneumonia. J. Mol. Diagn. 2021, 23, 1259–1268. [Google Scholar] [CrossRef]
- Duggal, S.D.; Chugh, T.D. Nocardiosis: A Neglected Disease. Med. Princ. Pract. 2020, 29, 514–523. [Google Scholar] [CrossRef]
- Traxler, R.M.; Bell, M.E.; Lasker, B.; Headd, B.; Shieh, W.-J.; McQuiston, J.R. Updated Review on Nocardia Species: 2006–2021. Clin. Microbiol. Rev. 2022, 35, e00027-21. [Google Scholar] [CrossRef] [PubMed]
- Wang, H.; Zhu, Y.; Cui, Q.; Wu, W.; Li, G.; Chen, D.; Xiang, L.; Qu, J.; Shi, D.; Lu, B. Epidemiology and Antimicrobial Resistance Profiles of the Nocardia Species in China, 2009 to 2021. Microbiol. Spectr. 2022, 10, e01560-21. [Google Scholar] [CrossRef] [PubMed]
- Jiao, M.; Ma, X.; Li, Y.; Wang, H.; Liu, Y.; Guo, W.; Lv, J. Metagenomic Next-Generation Sequencing Provides Prognostic Warning by Identifying Mixed Infections in Nocardiosis. Front. Cell Infect. Microbiol. 2022, 12, 894678. [Google Scholar] [CrossRef] [PubMed]
- Sánchez-Herrera, K.; Sandoval, H.; Mouniee, D.; Ramírez-Durán, N.; Bergeron, E.; Boiron, P.; Sánchez-Saucedo, N.; Rodríguez-Nava, V. Molecular Identification of Nocardia Species Using the Sod A Gene. New Microbes New Infect. 2017, 19, 96–116. [Google Scholar] [CrossRef]
- Rouzaud, C.; Rodriguez-Nava, V.; Catherinot, E.; Méchaï, F.; Bergeron, E.; Farfour, E.; Scemla, A.; Poirée, S.; Delavaud, C.; Mathieu, D.; et al. Clinical Assessment of a Nocardia PCR-Based Assay for Diagnosis of Nocardiosis. J. Clin. Microbiol. 2018, 56, e00002-18. [Google Scholar] [CrossRef]
- Sim, B.Z.; Aaron, L.; Coulter, C.; Parkes-Smith, J.; Badrick, T.; May, K.; Armstrong, M.; Hendry, S.; Sundac, L.; Dang, L.; et al. A Multi-Centre Retrospective Study of Nocardia Speciation and Antimicrobial Susceptibility in Queensland, Australia. Eur. J. Clin. Microbiol. Infect. Dis. 2023, 42, 339–345. [Google Scholar] [CrossRef]
- Wang, S.; Wang, P.; Liu, J.; Yang, C.; Li, T.; Yang, J.; Gu, L.; Wei, M. Molecular Detection of Nocardia: Development and Application of a Real-Time PCR Assay in Sputum and Bronchoalveolar Lavage Fluid Samples. Eur. J. Clin. Microbiol. Infect. Dis. 2023, 42, 865–872. [Google Scholar] [CrossRef]
- Ding, J.; Ma, B.; Wei, X.; Li, Y. Detection of Nocardia by 16S Ribosomal RNA Gene PCR and Metagenomic Next-Generation Sequencing (mNGS). Front. Cell Infect. Microbiol. 2022, 11, 768613. [Google Scholar] [CrossRef]
- Lebeaux, D.; Bergeron, E.; Berthet, J.; Djadi-Prat, J.; Mouniée, D.; Boiron, P.; Lortholary, O.; Rodriguez-Nava, V. Antibiotic Susceptibility Testing and Species Identification of Nocardia Isolates: A Retrospective Analysis of Data from a French Expert Laboratory, 2010–2015. Clin. Microbiol. Infect. 2019, 25, 489–495. [Google Scholar] [CrossRef]
- Lowman, W.; Aithma, N. Antimicrobial Susceptibility Testing and Profiling of Nocardia Species and Other Aerobic Actinomycetes from South Africa: Comparative Evaluation of Broth Microdilution versus the Etest. J. Clin. Microbiol. 2010, 48, 4534–4540. [Google Scholar] [CrossRef]
- Wauters, G.; Avesani, V.; Charlier, J.; Janssens, M.; Vaneechoutte, M.; Delmée, M. Distribution of Nocardia Species in Clinical Samples and Their Routine Rapid Identification in the Laboratory. J. Clin. Microbiol. 2005, 43, 2624–2628. [Google Scholar] [CrossRef] [PubMed]
- Hashemi-Shahraki, A.; Heidarieh, P.; Bostanabad, S.Z.; Hashemzadeh, M.; Feizabadi, M.M.; Schraufnagel, D.; Mirsaeidi, M. Genetic Diversity and Antimicrobial Susceptibility of Nocardia Species among Patients with Nocardiosis. Sci. Rep. 2015, 5, 17862. [Google Scholar] [CrossRef] [PubMed]
- Valdezate, S.; Garrido, N.; Carrasco, G.; Medina-Pascual, M.J.; Villalón, P.; Navarro, A.M.; Saéz-Nieto, J.A. Epidemiology and Susceptibility to Antimicrobial Agents of the Main Nocardia Species in Spain. J. Antimicrob. Chemother. 2017, 72, 754–761. [Google Scholar] [CrossRef] [PubMed]
- Yeoh, K.; Globan, M.; Naimo, P.; Williamson, D.A.; Lea, K.; Bond, K. Identification and Antimicrobial Susceptibility of Referred Nocardia Isolates in Victoria, Australia 2009–2019. J. Med. Microbiol. 2022, 71, 001581. [Google Scholar] [CrossRef]
- Hamdi, A.M.; Fida, M.; Deml, S.M.; Abu Saleh, O.M.; Wengenack, N.L. Retrospective Analysis of Antimicrobial Susceptibility Profiles of Nocardia Species from a Tertiary Hospital and Reference Laboratory, 2011 to 2017. Antimicrob. Agents Chemother. 2020, 64, e01868-19. [Google Scholar] [CrossRef]
- Pritchard, L.; Glover, R.H.; Humphris, S.; Elphinstone, J.G.; Toth, I.K. Genomics and Taxonomy in Diagnostics for Food Security: Soft-Rotting Enterobacterial Plant Pathogens. Anal. Methods 2016, 8, 12–24. [Google Scholar] [CrossRef]
- Seemann, T. Prokka: Rapid Prokaryotic Genome Annotation. Bioinformatics 2014, 30, 2068–2069. [Google Scholar] [CrossRef]
- Emms, D.M.; Kelly, S. OrthoFinder: Phylogenetic Orthology Inference for Comparative Genomics. Genome Biol. 2019, 20, 238. [Google Scholar] [CrossRef]
- Chaudhari, N.M.; Gupta, V.K.; Dutta, C. BPGA-an Ultra-Fast Pan-Genome Analysis Pipeline. Sci. Rep. 2016, 6, 24373. [Google Scholar] [CrossRef]
- Kent, W.J. BLAT—The BLAST-Like Alignment Tool. Genome Res. 2002, 12, 656–664. [Google Scholar] [CrossRef]
- Remm, M.; Storm, C.E.V.; Sonnhammer, E.L.L. Automatic Clustering of Orthologs and In-Paralogs from Pairwise Species Comparisons. J. Mol. Biol. 2001, 314, 1041–1052. [Google Scholar] [CrossRef]
- odríguez-Nava, V.; Couble, A.; Devulder, G.; Flandrois, J.-P.; Boiron, P.; Laurent, F. Use of PCR-Restriction Enzyme Pattern Analysis and Sequencing Database for Hsp65 Gene-Based Identification of Nocardia Species. J. Clin. Microbiol. 2006, 44, 536–546. [Google Scholar] [CrossRef] [PubMed]
- Cloud, J.L.; Conville, P.S.; Croft, A.; Harmsen, D.; Witebsky, F.G.; Carroll, K.C. Evaluation of Partial 16S Ribosomal DNA Sequencing for Identification of Nocardia Species by Using the MicroSeq 500 System with an Expanded Database. J. Clin. Microbiol. 2004, 42, 578–584. [Google Scholar] [CrossRef] [PubMed]
- Xu, S.; Li, Z.; Huang, Y.; Han, L.; Che, Y.; Hou, X.; Li, D.; Fan, S.; Li, Z. Whole Genome Sequencing Reveals the Genomic Diversity, Taxonomic Classification, and Evolutionary Relationships of the Genus Nocardia. PLoS Negl. Trop. Dis. 2021, 15, e0009665. [Google Scholar] [CrossRef] [PubMed]
- Yasuike, M.; Nishiki, I.; Iwasaki, Y.; Nakamura, Y.; Fujiwara, A.; Shimahara, Y.; Kamaishi, T.; Yoshida, T.; Nagai, S.; Kobayashi, T.; et al. Analysis of the Complete Genome Sequence of Nocardia Seriolae UTF1, the Causative Agent of Fish Nocardiosis: The First Reference Genome Sequence of the Fish Pathogenic Nocardia Species. PLoS ONE 2017, 12, e0173198. [Google Scholar] [CrossRef]



| Organism | Strain Number | Average Genome Size (Mb) | Average Gene Number (CDS) | Average GC Content (%) | Average Core-Gene Number (%) | Average Accessory Gene Number (%) | Average Unique Genes Number (%) | Average Exclusively Absent Genes Number (%) |
|---|---|---|---|---|---|---|---|---|
| Nocardia | 33 | 7.8 (6.2~10.01) | 6672 (5268~8560) | 68.5 (66.5~71.5%) | 1773 (26.57) | 4329 (64.88) | 562 (8.42) | 8 (0.12) |
| N. brasiliensis | 3 | 8.77 (~9.44) | 7957 (~8551) | 68 (~68%) | 5607 (70.47) | 1098 (13.80) | 703 (8.83) | 549 (6.90) |
| N. cyriacigeorgica | 3 | 6.32 (~6.48) | 5603 (~5633) | 68 (~68%) | 4369 (77.98) | 494 (8.82) | 493 (8.80) | 247 (4.41) |
| N. farcinica | 4 | 6.45 (~6.61) | 5899 (~6025) | 70.5 (~70.5%) | 4865 (82.47) | 651 (11.04) | 266 (4.51) | 117 (1.98) |
| Non-tuberculosis mycobacteria (NTM) | 31 | 5.86 (~6.99) | 4935 (~6791) | 66.9 (~69%) | 1543 (31.27) | 3232 (65.49) | 156 (3.16) | 4 (0.08) |
| Mycobacteria tuberculosis (MTB) | 23 | 4.42 (~4.54) | 3646 (~3786) | 65.4 (~65.5%) | 3245 (89.00) | 381 (10.45) | 12 (0.33) | 8 (0.22) |
| Gordonia | 12 | 4.99 (~5.96) | 4326 (~5191) | 67 (~69%) | 1351 (31.23) | 2148 (49.65) | 808 (18.68) | 19 (0.44) |
| Tsukamurella | 7 | 4.71 (~4.92) | 4561 (~4963) | 70.5 (68~71%) | 2794 (61.26) | 1344 (29.47) | 326 (7.15) | 97 (2.13) |
| Strains | Source of Strains 1 | No. of Strains |
|---|---|---|
| Nocardia cyriacigeorgica | BCH | 8 |
| Nocardia farcinica | BCH-NTCL | 8 |
| Nocardia otitidiscaviarum | BCH | 1 |
| Nocardia abscessus | BCH | 1 |
| Nocardia wallacei | BCH | 1 |
| Nocardia beijingensis | BCH | 1 |
| Nocardia nova | BCH | 1 |
| Nocardia puris | BCH-NTCL | 1 |
| Tsukamurella | BCH-NTCL | 1 |
| Gordonia | BCH-NTCL | 1 |
| Mycobacteriumtuberculosis | H37Rv (BCH-NTCL) | 1 |
| Mycobacterium chelonei | ATCC35750 (BCH-NTCL) | 1 |
| Mycobacterium abscess | ATCC19977 (BCH-NTCL) | 1 |
| Mycobacterium avium | ATCC25291 (BCH-NTCL) | 1 |
Disclaimer/Publisher’s Note: The statements, opinions and data contained in all publications are solely those of the individual author(s) and contributor(s) and not of MDPI and/or the editor(s). MDPI and/or the editor(s) disclaim responsibility for any injury to people or property resulting from any ideas, methods, instructions or products referred to in the content. |
© 2025 by the authors. Licensee MDPI, Basel, Switzerland. This article is an open access article distributed under the terms and conditions of the Creative Commons Attribution (CC BY) license (https://creativecommons.org/licenses/by/4.0/).
Share and Cite
Wang, C.; Jia, X.; Wei, M.; Yan, J.; Sun, Q.; Long, S.; Zheng, M.; Shi, Y.; Jiang, G.; Zhao, Y.; et al. Discovery of Novel Diagnostic Biomarkers for Common Pathogenic Nocardia Through Pan-Genome and Comparative Genome Analysis, with Preliminary Validation. Pathogens 2025, 14, 35. https://doi.org/10.3390/pathogens14010035
Wang C, Jia X, Wei M, Yan J, Sun Q, Long S, Zheng M, Shi Y, Jiang G, Zhao Y, et al. Discovery of Novel Diagnostic Biomarkers for Common Pathogenic Nocardia Through Pan-Genome and Comparative Genome Analysis, with Preliminary Validation. Pathogens. 2025; 14(1):35. https://doi.org/10.3390/pathogens14010035
Chicago/Turabian StyleWang, Chaohong, Xinmiao Jia, Ming Wei, Jun Yan, Qing Sun, Sibo Long, Maike Zheng, Yiheng Shi, Guanglu Jiang, Yan Zhao, and et al. 2025. "Discovery of Novel Diagnostic Biomarkers for Common Pathogenic Nocardia Through Pan-Genome and Comparative Genome Analysis, with Preliminary Validation" Pathogens 14, no. 1: 35. https://doi.org/10.3390/pathogens14010035
APA StyleWang, C., Jia, X., Wei, M., Yan, J., Sun, Q., Long, S., Zheng, M., Shi, Y., Jiang, G., Zhao, Y., Huang, H., Yang, X., Gu, L., & Wang, G. (2025). Discovery of Novel Diagnostic Biomarkers for Common Pathogenic Nocardia Through Pan-Genome and Comparative Genome Analysis, with Preliminary Validation. Pathogens, 14(1), 35. https://doi.org/10.3390/pathogens14010035

