Evaluating Atlantic Salmon (Salmo salar) as a Natural or Alternative Host for Piscine Myocarditis Virus (PMCV) Infection
Abstract
1. Introduction
2. Materials and Methods
2.1. Samples
2.2. RNA Extraction
2.3. Extraction of Virion dsRNA
2.4. RT-qPCR and Sequence Analyses
2.5. Detection of ssRNA and dsRNA—RACE
2.6. Statistical Analysis
2.7. In Situ Hybridization (ISH)
3. Results
3.1. In Situ Localization of PMCV RNA in Heart Ventricles and Kidneys
3.2. PMCV RNA Loads in Different Organs
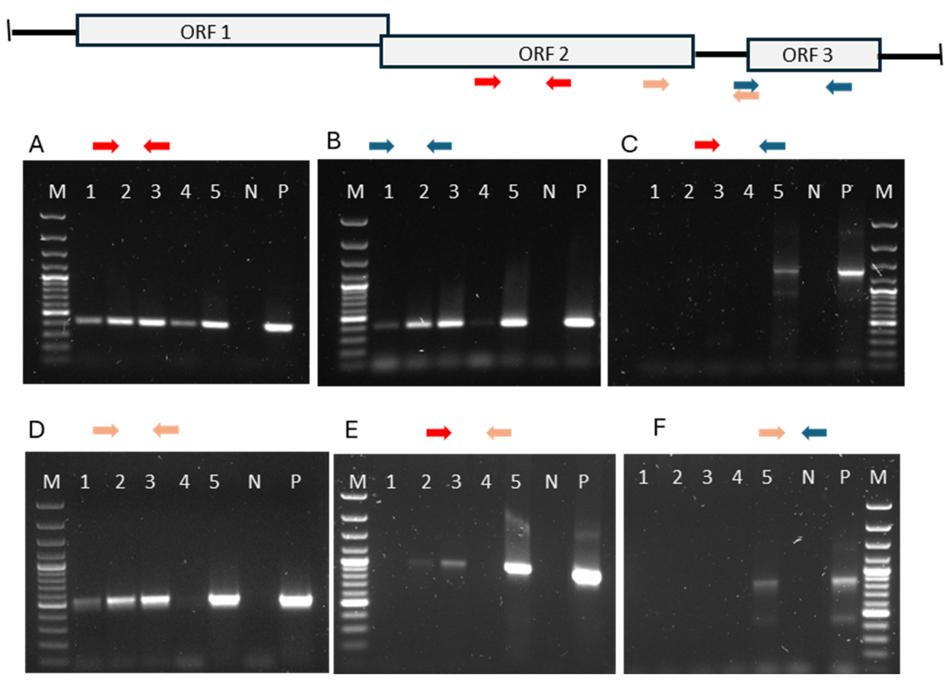
3.3. PMCV RNA Forms in Various Organs at Low and High Viral Loads
3.4. Genomic Organization and Transcription of PMCV
3.5. Search for Alternative Host Organisms for PMCV Present in Atlantic Salmon
4. Discussion
5. Conclusions
Supplementary Materials
Author Contributions
Funding
Institutional Review Board Statement
Informed Consent Statement
Data Availability Statement
Conflicts of Interest
References
- Brun, E.; Poppe, T.; Skrudland, A.; Jarp, J. Cardiomyopathy syndrome in farmed atlantic salmon salmo salar: Occurrence and direct financial losses for norwegian aquaculture. Dis. Aquat. Organ. 2003, 56, 241–247. [Google Scholar] [CrossRef]
- Fritsvold, C.; Mikalsen, A.B.; Poppe, T.T.; Taksdal, T.; Sindre, H. Characterization of an outbreak of cardiomyopathy syndrome (cms) in young atlantic salmon, salmo salar l. J. Fish. Dis. 2021, 44, 2067–2082. [Google Scholar] [CrossRef] [PubMed]
- Amin, A.; Trasti, J. Endomyocarditis in atlantic salmon in norwegian seafarms. Bull. Eur. Assoc. Fish. Pathol. 1988, 8, 70–71. [Google Scholar]
- Fritsvold, C.; Kongtorp, R.T.; Taksdal, T.; Orpetveit, I.; Heum, M.; Poppe, T.T. Experimental transmission of cardiomyopathy syndrome (cms) in atlantic salmon salmo salar. Dis. Aquat. Organ. 2009, 87, 225–234. [Google Scholar] [CrossRef] [PubMed]
- Haugland, O.; Mikalsen, A.B.; Nilsen, P.; Lindmo, K.; Thu, B.J.; Eliassen, T.M.; Roos, N.; Rode, M.; Evensen, O. Cardiomyopathy syndrome of atlantic salmon (Salmo salar L.) is caused by a double-stranded rna virus of the totiviridae family. J. Virol. 2011, 85, 5275–5286. [Google Scholar] [CrossRef]
- Lovoll, M.; Wiik-Nielsen, J.; Grove, S.; Wiik-Nielsen, C.R.; Kristoffersen, A.B.; Faller, R.; Poppe, T.; Jung, J.; Pedamallu, C.S.; Nederbragt, A.J.; et al. A novel totivirus and piscine reovirus (prv) in atlantic salmon (Salmo salar) with cardiomyopathy syndrome (cms). Virol. J. 2010, 7, 309. [Google Scholar] [CrossRef]
- Su, H.; van Eerde, A.; Steen, H.S.; Heldal, I.; Haugslien, S.; Ørpetveit, I.; Wüstner, S.C.; Inami, M.; Løvoll, M.; Rimstad, E. Establishment of a piscine myocarditis virus (pmcv) challenge model and testing of a plant-produced subunit vaccine candidate against cardiomyopathy syndrome (cms) in atlantic salmon salmo salar. Aquaculture 2021, 541, 736806. [Google Scholar] [CrossRef]
- Dinman, J.D.; Icho, T.; Wickner, R.B. A-1 ribosomal frameshift in a double-stranded rna virus of yeast forms a gag-pol fusion protein. Proc. Natl. Acad. Sci. USA 1991, 88, 174–178. [Google Scholar] [CrossRef]
- Rodríguez-Cousiño, N.; Esteban, R. Relationships and evolution of double-stranded rna totiviruses of yeasts inferred from analysis of la-2 and l-bc variants in wine yeast strain populations. Appl. Environ. Microbiol. 2017, 83, e02991-16. [Google Scholar] [CrossRef]
- Fermin, G.; Mazumdar-Leighton, S.; Tennant, P. Viruses of prokaryotes, protozoa, fungi, and chromista. In Viruses; Academic Press: London, UK, 2018; pp. 217–244. [Google Scholar]
- Wickner, R.B.; Ribas, J.C. Totivirus. In The Springer Index of Viruses; Springer Science and Business Media: Berlin, Germany, 2011. [Google Scholar]
- Tang, J.; Ochoa, W.F.; Sinkovits, R.S.; Poulos, B.T.; Ghabrial, S.A.; Lightner, D.V.; Baker, T.S.; Nibert, M.L. Infectious myonecrosis virus has a totivirus-like, 120-subunit capsid, but with fiber complexes at the fivefold axes. Proc. Natl. Acad. Sci. USA 2008, 105, 17526–17531. [Google Scholar] [CrossRef]
- Shao, Q.; Jia, X.; Gao, Y.; Liu, Z.; Zhang, H.; Tan, Q.; Zhang, X.; Zhou, H.; Li, Y.; Wu, D. Cryo-em reveals a previously unrecognized structural protein of a dsrna virus implicated in its extracellular transmission. PLoS Pathog. 2021, 17, e1009396. [Google Scholar] [CrossRef]
- de Lima, J.G.; Lanza, D.C. 2a and 2a-like sequences: Distribution in different virus species and applications in biotechnology. Viruses 2021, 13, 2160. [Google Scholar] [CrossRef]
- Dantas, M.D.A.; Cavalcante, G.H.O.; Oliveira, R.A.; Lanza, D.C. New insights about orf1 coding regions support the proposition of a new genus comprising arthropod viruses in the family totiviridae. Virus Res. 2016, 211, 159–164. [Google Scholar] [CrossRef] [PubMed]
- Poulos, B.T.; Tang, K.F.; Pantoja, C.R.; Bonami, J.R.; Lightner, D.V. Purification and characterization of infectious myonecrosis virus of penaeid shrimp. J. Gen. Virol. 2006, 87, 987–996. [Google Scholar] [CrossRef] [PubMed]
- Wang, H.; Marucci, G.; Munke, A.; Hassan, M.M.; Lalle, M.; Okamoto, K. High-resolution comparative atomic structures of two giardiavirus prototypes infecting G. duodenalis parasite. PLoS Pathog. 2024, 20, e1012140. [Google Scholar] [CrossRef]
- Wessel, O.; Olsen, C.M.; Rimstad, E.; Dahle, M.K. Piscine orthoreovirus (prv) replicates in atlantic salmon (Salmo salar L.) erythrocytes ex vivo. Vet. Res. 2015, 46, 26. [Google Scholar] [CrossRef]
- Hodneland, K.; Endresen, C. Sensitive and specific detection of salmonid alphavirus using real-time pcr (taqman). J. Virol. Methods 2006, 131, 184–192. [Google Scholar] [CrossRef]
- Tengs, T.; Rimstad, E. Emerging pathogens in the fish farming industry and sequencing-based pathogen discovery. Dev. Comp. Immunol. 2017, 75, 109–119. [Google Scholar] [CrossRef]
- Park, C.; Raines, R.T. Origin of the ‘inactivation’ of ribonuclease a at low salt concentration. FEBS Lett. 2000, 468, 199–202. [Google Scholar] [CrossRef]
- Polinski, M.P.; Marty, G.D.; Snyman, H.N.; Garver, K.A. Piscine orthoreovirus demonstrates high infectivity but low virulence in atlantic salmon of pacific canada. Sci. Rep. 2019, 9, 3297. [Google Scholar] [CrossRef]
- Ferguson, H.; Poppe, T.; Speare, D.J. Cardiomyopathy in farmed norwegian salmon. Dis. Aquat. Organ. 1990, 8, 225–231. [Google Scholar] [CrossRef]
- Marti, E.; Ferrary-Américo, M.; Barardi, C.R.M. Detection of potential infectious enteric viruses in fresh produce by (rt)-qpcr preceded by nuclease treatment. Food Environ. Virol. 2017, 9, 444–452. [Google Scholar] [CrossRef]
- Wickner, R.B. Double-stranded rna viruses of saccharomyces cerevisiae. Microbiol. Rev. 1996, 60, 250–265. [Google Scholar] [CrossRef]
- Applen Clancey, S.; Ruchti, F.; LeibundGut-Landmann, S.; Heitman, J.; Ianiri, G. A novel mycovirus evokes transcriptional rewiring in the fungus malassezia and stimulates beta interferon production in macrophages. mBio 2020, 11, e01534-20. [Google Scholar] [CrossRef]
- Wickner, R.B.; Tang, J.; Gardner, N.A.; Johnson, J.E.; Patton, J. The Yeast Dsrna Virus la Resembles Mammalian Dsrna Virus Cores; Caister Academic Press: Poole, UK, 2008. [Google Scholar]
- Timmerhaus, G.; Krasnov, A.; Nilsen, P.; Alarcon, M.; Afanasyev, S.; Rode, M.; Takle, H.; Jørgensen, S.M. Transcriptome profiling of immune responses to cardiomyopathy syndrome (cms) in atlantic salmon. BMC Genom. 2011, 12, 459. [Google Scholar] [CrossRef]
- Wiik-Nielsen, J.; Løvoll, M.; Fritsvold, C.; Kristoffersen, A.B.; Haugland, Ø.; Hordvik, I.; Aamelfot, M.; Jirillo, E.; Koppang, E.O.; Grove, S. Characterization of myocardial lesions associated with cardiomyopathy syndrome in a tlantic salmon, Salmo salar L., using laser capture microdissection. J. Fish. Dis. 2012, 35, 907–916. [Google Scholar] [CrossRef]
- Tenorio, R.; Fernández de Castro, I.; Knowlton, J.J.; Zamora, P.F.; Sutherland, D.M.; Risco, C.; Dermody, T.S. Function, architecture, and biogenesis of reovirus replication neoorganelles. Viruses 2019, 11, 288. [Google Scholar] [CrossRef]
- Pieperhoff, S.; Bennett, W.; Farrell, A.P. The intercellular organization of the two muscular systems in the adult salmonid heart, the compact and the spongy myocardium. J. Anat. 2009, 215, 536–547. [Google Scholar] [CrossRef]
- Wiik-Nielsen, C.R.; Ski, P.M.; Aunsmo, A.; Lovoll, M. Prevalence of viral rna from piscine reovirus and piscine myocarditis virus in atlantic salmon, salmo salar l., broodfish and progeny. J. Fish. Dis. 2012, 35, 169–171. [Google Scholar] [CrossRef]
- Garseth, A.H.; Fritsvold, C.; Svendsen, J.C.; Jensen, B.B.; Mikalsen, A.B. Cardiomyopathy syndrome in atlantic salmon Salmo salar L.: A review of the current state of knowledge. J. Fish. Dis. 2018, 41, 11–26. [Google Scholar] [CrossRef] [PubMed]
- Bevan, E.; Herring, A.; Mitchell, D.J. Preliminary characterization of two species of dsrna in yeast and their relationship to the “killer” character. Nature 1973, 245, 81–86. [Google Scholar] [CrossRef]
- Sandlund, L.; Mor, S.K.; Singh, V.K.; Padhi, S.K.; Phelps, N.B.D.; Nylund, S.; Mikalsen, A.B. Comparative molecular characterization of novel and known piscine toti-like viruses. Viruses 2021, 13, 1063. [Google Scholar] [CrossRef]
- Tighe, A.J.; Ruane, N.M.; Carlsson, J. Potential origins of fish toti-like viruses in invertebrates. J. Gen. Virol. 2022, 103, 001775. [Google Scholar] [CrossRef]
- Steinbach, R.M.; El Baidouri, F.; Mitchison-Field, L.M.; Lim, F.Y.; Ekena, J.; Vogt, E.J.; Gladfelter, A.; Theberge, A.B.; Amend, A.S. Malassezia is widespread and has undescribed diversity in the marine environment. Fungal Ecol. 2023, 65, 101273. [Google Scholar] [CrossRef]
- Uyaguari-Diaz, M.I.; Chan, M.; Chaban, B.L.; Croxen, M.A.; Finke, J.F.; Hill, J.E.; Peabody, M.A.; Van Rossum, T.; Suttle, C.A.; Brinkman, F.S. A comprehensive method for amplicon-based and metagenomic characterization of viruses, bacteria, and eukaryotes in freshwater samples. Microbiome 2016, 4, 20. [Google Scholar] [CrossRef]
- Bal, J.; Yun, S.-H.; Yeo, S.-H.; Kim, J.-M.; Kim, D.-H. Metagenomic analysis of fungal diversity in korean traditional wheat-based fermentation starter nuruk. Food Microbiol. 2016, 60, 73–83. [Google Scholar] [CrossRef]
- Rodrigues, M.S.; Morelli, K.A.; Jansen, A.M. Cytochrome c oxidase subunit 1 gene as a DNA barcode for discriminating trypanosoma cruzi dtus and closely related species. Parasites Vectors 2017, 10, 488. [Google Scholar] [CrossRef]
- Renoux, L.P.; Dolan, M.C.; Cook, C.A.; Smit, N.J.; Sikkel, P.C. Developing an apicomplexan DNA barcoding system to detect blood parasites of small coral reef fishes. J. Parasitol. 2017, 103, 366–376. [Google Scholar] [CrossRef]
- Trzebny, A.; Slodkowicz-Kowalska, A.; Becnel, J.J.; Sanscrainte, N.; Dabert, M. A new method of metabarcoding microsporidia and their hosts reveals high levels of microsporidian infections in mosquitoes (culicidae). Mol. Ecol. Resour. 2020, 20, 1486–1504. [Google Scholar] [CrossRef] [PubMed]
- Hartikainen, H.; Bass, D.; Briscoe, A.G.; Knipe, H.; Green, A.J.; Okamura, B. Assessing myxozoan presence and diversity using environmental DNA. Int. J. Parasitol. 2016, 46, 781–792. [Google Scholar] [CrossRef]
- LaDouceur, E.E.; Leger, J.S.; Mena, A.; Mackenzie, A.; Gregg, J.; Purcell, M.; Batts, W.; Hershberger, P. Ichthyophonus sp. Infection in opaleye (Girella nigricans). Vet. Pathol. 2020, 57, 316–320. [Google Scholar] [CrossRef] [PubMed]
- Clancey, S.A.; Ruchti, F.; LeibundGut-Landmann, S.; Heitman, J.; Ianiri, G. A Novel Mycovirus Evokes Transcriptional Rewiring in Malassezia and Provokes Host Inflammation and an Immunological Response. bioRxiv 2019. Available online: https://www.researchgate.net/profile/Giuseppe-Ianiri/publication/338076426_A_novel_mycovirus_evokes_transcriptional_rewiring_in_Malassezia_and_provokes_host_inflammation_and_an_immunological_response/links/5e73a58e92851ca9c11c3bca/A-novel-mycovirus-evokes-transcriptional-rewiring-in-Malassezia-and-provokes-host-inflammation-and-an-immunological-response.pdf (accessed on 3 July 2024).
- Vu, D.; Groenewald, M.; Szöke, S.; Cardinali, G.; Eberhardt, U.; Stielow, B.; De Vries, M.; Verkleij, G.; Crous, P.; Boekhout, T. DNA barcoding analysis of more than 9 000 yeast isolates contributes to quantitative thresholds for yeast species and genera delimitation. Stud. Mycol. 2016, 85, 91–105. [Google Scholar] [CrossRef]
- Robideau, G.P.; De Cock, A.W.; Coffey, M.D.; Voglmayr, H.; Brouwer, H.; Bala, K.; Chitty, D.W.; Desaulniers, N.; Eggertson, Q.A.; Gachon, C.M. DNA barcoding of oomycetes with cytochrome c oxidase subunit i and internal transcribed spacer. Mol. Ecol. Resour. 2011, 11, 1002–1011. [Google Scholar] [CrossRef]
- Raupach, M.J.; Barco, A.; Steinke, D.; Beermann, J.; Laakmann, S.; Mohrbeck, I.; Neumann, H.; Kihara, T.C.; Pointner, K.; Radulovici, A. The application of DNA barcodes for the identification of marine crustaceans from the north sea and adjacent regions. PLoS ONE 2015, 10, e0139421. [Google Scholar] [CrossRef]



| Virus | Primer/Probe | Sequence (5′ → 3′) | Amplicon (bp) | Reference |
|---|---|---|---|---|
| PMCV | ||||
| ORF2 | PMCV-F | TTCCAAACAATTCGAGAAGCG | 140 | [6] |
| PMCV-R | ACCTGCCATTTTCCCCTCTT | |||
| PMCV probe | FAM-CCGGGTAAAGTATTTGCGTC-MGBNFQ | |||
| ORF3 | Orf3-3′Fw | TTACAGAGGGCGGGAACCTGTGTGG | ||
| Orf3-3′Rw | TGGCTTCTTGTGAATTGTCAACAC | 114 | ||
| Orf3 probe | FAM-TCTTCGATAATACGCAGTGTA-MGBNFQ | |||
| SYBR primers | SP3-orf2Fw | CTAAGGCCAGTGGCGGAATC | 264 | |
| Orf2 Rw | TGGTGGCATACTTACCCATG | |||
| Orf3 Fw | GGCGAGAATGGTGTTTGTGCACTGC | 266 | ||
| SP3-orf3Rw | GAATGAAGCAAGATGGAACC | |||
| Orf2-3′Fw | TTGGGTTCAAGAGGATAGAG | 122 | ||
| Orf2-3′Rw | GAATTTTGGTACCTGTGATG | |||
| PRV 1 | Sigma3 659 Fw | TGCGTCCTGCGTATGGCACC | [18] | |
| Sigma3 801Rw | GGCTGGCATGCCCGAATAGCA | |||
| Sigma3_693 probe | FAM-ATCACAACGCCTACCT-MGBNFQ | |||
| SAV | QnsP1 17F | CCGGCCCTGAACCAGTT | [19] | |
| QnsP1 122R | GTAGCCAAGTGGGAGAAAGCT | |||
| QnsP1_53probe | FAM-CTGGCCACCACTTCGA-MGBNFQ |
| Probe | Accession No. | Target Region (bp) | Catalog No. |
|---|---|---|---|
| V-piscine-myocarditis-ORF1-C2 | JQ728724.1 | 1050–1757 | 812021-C2 |
| V-PMCV-ORF2 | HQ339954.1 | 3441–4500 | 555231 |
| V-PMCV-ORF2-sense-C3 | HQ339954.1 | 3441–4500 | 1219761-C3 |
| DapB (negative control) | EF191515 | 414–862 | 310043 |
| PPIB (positive control) | NM_001140870 | 20–934 | 494421 |
| Fish No. | Heart | Gills | Kidney | Spleen | Liver | Muscle | Skin Scrape | Pyloric Ceca | Midgut | Hindgut |
|---|---|---|---|---|---|---|---|---|---|---|
| 1 | - | - | - | - | - | - | 35.9 | - | - | - |
| 2 | 24.5 | 26.0 | 22.9 | 21.9 | 29.9 | 27.4 | 26.4 | 27.5 | 25.7 | 27.5 |
| 3 | - | - | - | - | - | - | - | - | - | - |
| 4 | 16.4 | 28.6 | 22.5 | 22.7 | 26.7 | 26.8 | 28.4 | 26.3 | 25.3 | 26.3 |
| 5 | 36.9 | - | 35.0 | - | - | - | 37.4 | - | - | - |
| 6 | - | - | - | - | - | - | - | - | - | - |
| 7 | 24.4 | 26.4 | 22.9 | 22.9 | 29.5 | 28.1 | 29.9 | 27.4 | 22.2 | 27.1 |
| 8 | 22.9 | 28.8 | 21.9 | 21.8 | 27.1 | 27.8 | 29.6 | 29.6 | 29.1 | 30.5 |
| 9 | 16.9 | 28.0 | 24.5 | 24.9 | 30.5 | 28.4 | 28.7 | 28.9 | 28.3 | 27.7 |
| 10 | 26.2 | 26.3 | 23.9 | 25.1 | 30.8 | 28.0 | 27.3 | 29.5 | 26.5 | 27.6 |
| Ave | 21.9 | 27.3 | 23.1 | 23.2 | 29.1 | 27.8 | 28.4 | 28.2 | 26.2 | 27.8 |
| Heat-Treated Samples (ssRNA + dsRNA) | Non-Heat-Treated Samples (ssRNA) | ΔCq for PMCV ssRNA versus Total PMCV RNA | ||||
|---|---|---|---|---|---|---|
| Fish No. | Heart | Kidney | Heart | Kidney | Heart | Kidney |
| 1 | 17.05 | 21.66 | 17.23 | 25.47 | 0.18 | 3.81 |
| 2 | 13.36 | 20.20 | 13.32 | 23.06 | −0.04 | 2.86 |
| 3 | 14.19 | 20.26 | 14.49 | 24.24 | 0.3 | 3.94 |
| 4 | 12.79 | 21.74 | 12.78 | 25.27 | −0.01 | 3.53 |
| 5 | 17.70 | 19.00 | 18.65 | 23.21 | 0.95 | 4.21 |
| 6 | 21.8 | 23.5 | 21.6 | 24.5 | −0.2 | 1 |
| 7 | 17.7 | 20.6 | 17.6 | 24.2 | −0.1 | 3.6 |
| 8 | 13.6 | 19.3 | 13.7 | 22.9 | 0.1 | 3.6 |
| 9 | 17.4 | 22.7 | 17.3 | 25.9 | −0.1 | 3.2 |
| 10 | 17.5 | 20.4 | 17.6 | 24.5 | 0.1 | 4.1 |
| ORF2 | ORF3 | ΔCq | Relative Amount of ORF3 ssRNA versus ORF2 | |
|---|---|---|---|---|
| Heart 2 | 12.08 | 15.36 | −3.28 | 10% |
| Heart 3 | 12.97 | 17.94 | −4.97 | 3% |
| Heart 4 | 11.34 | 16.60 | −5.26 | 3% |
| Heart 5 | 18.31 | 21.72 | −3.41 | 9% |
| Average | 13.675 | 17.90 | 6.25% | |
| Kidney 2 | 22.91 | 24.23 | −1.32 | 40% |
| Kidney 3 | 23.84 | 25.43 | −1.59 | 33% |
| Kidney 4 | 24.68 | 27.10 | −2.42 | 19% |
| Kidney 5 | 23.13 | 24.71 | −1.58 | 33% |
| Average | 23.64 | 25.37 | 31.25% |
Disclaimer/Publisher’s Note: The statements, opinions and data contained in all publications are solely those of the individual author(s) and contributor(s) and not of MDPI and/or the editor(s). MDPI and/or the editor(s) disclaim responsibility for any injury to people or property resulting from any ideas, methods, instructions or products referred to in the content. |
© 2024 by the authors. Licensee MDPI, Basel, Switzerland. This article is an open access article distributed under the terms and conditions of the Creative Commons Attribution (CC BY) license (https://creativecommons.org/licenses/by/4.0/).
Share and Cite
Nyman, I.B.; Wessel, Ø.; Bjørgen, H.; Alarcon, M.; Tengs, T.; Rimstad, E. Evaluating Atlantic Salmon (Salmo salar) as a Natural or Alternative Host for Piscine Myocarditis Virus (PMCV) Infection. Pathogens 2024, 13, 744. https://doi.org/10.3390/pathogens13090744
Nyman IB, Wessel Ø, Bjørgen H, Alarcon M, Tengs T, Rimstad E. Evaluating Atlantic Salmon (Salmo salar) as a Natural or Alternative Host for Piscine Myocarditis Virus (PMCV) Infection. Pathogens. 2024; 13(9):744. https://doi.org/10.3390/pathogens13090744
Chicago/Turabian StyleNyman, Ingvild B., Øystein Wessel, Håvard Bjørgen, Marta Alarcon, Torstein Tengs, and Espen Rimstad. 2024. "Evaluating Atlantic Salmon (Salmo salar) as a Natural or Alternative Host for Piscine Myocarditis Virus (PMCV) Infection" Pathogens 13, no. 9: 744. https://doi.org/10.3390/pathogens13090744
APA StyleNyman, I. B., Wessel, Ø., Bjørgen, H., Alarcon, M., Tengs, T., & Rimstad, E. (2024). Evaluating Atlantic Salmon (Salmo salar) as a Natural or Alternative Host for Piscine Myocarditis Virus (PMCV) Infection. Pathogens, 13(9), 744. https://doi.org/10.3390/pathogens13090744

