Sanguinarine Protects Channel Catfish against Aeromonas hydrophila Infection by Inhibiting Aerolysin and Biofilm Formation
Abstract
1. Introduction
2. Material and Methods
2.1. Bacteria Strain and Drug Preparation
2.2. Determination of Minimal Inhibition Concentrations (MICs)
2.3. Growth Curves Assay
2.4. Hemolytic Activity Assay
2.5. Immunoblotting
2.6. Biofilm Formation Assay and Microscopic Analysis
2.7. qPCR Assay
2.8. Cytotoxicity Assays
2.9. Experimental Therapeutics
2.10. Statistical Analysis
3. Results
3.1. The Effect of Sanguinarine on the Growth of A. hydrophila
3.2. Sanguinarine Decreased the Hemolysis of Bacterial Supernatants by Inhibiting the Expression of Aerolysin
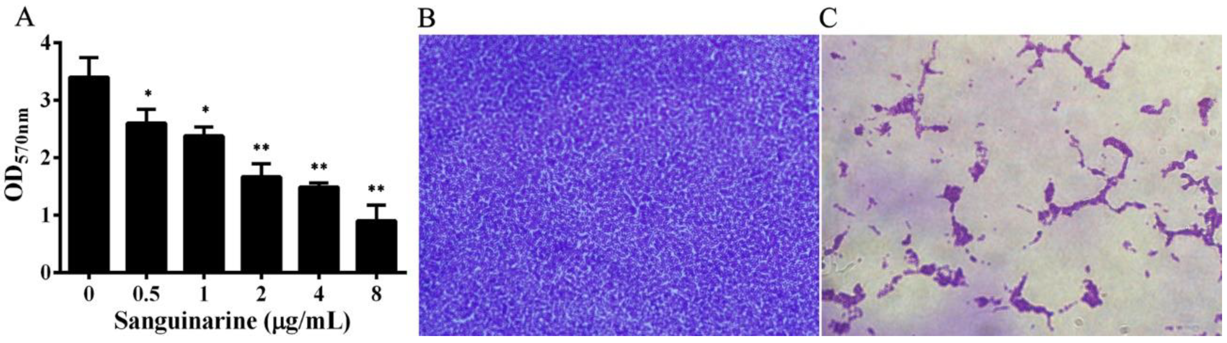
3.3. Sanguinarine Decreased the Biofilm Formation of A. hydrophila
3.4. qPCR Results
3.5. Sanguinarine Protected A549 Cells from Aerolysin Mediated Cell Injury
3.6. Sanguinarine Provided a Protection to the Channel Catfish against A. hydrophila Infection
4. Discussion
5. Conclusions
Author Contributions
Funding
Institutional Review Board Statement
Informed Consent Statement
Data Availability Statement
Acknowledgments
Conflicts of Interest
References
- Galindo, C.L.; Gutierrez, C.; Chopra, A.K. Potential involvement of galectin-3 and SNAP23 in Aeromonas hydrophila cytotoxic enterotoxin-induced host cell apoptosis. Microb. Pathogenesis 2006, 40, 56–68. [Google Scholar] [CrossRef]
- Yousr, A.H.; Napis, S.; Rahmat Ali, G.R.; Radu, S. Detection of aerolysin and hemolysin genes in Aeromonas spp.isolated from environmental and shellfish sources by polymerase chain reaction. ASEAN Food J. 2007, 14, 115–122. [Google Scholar]
- Janda, J.M.; Abbott, S.L. The genus Aeromonas: Taxonomy, pathogenicity, and infection. Clin. Microbiol. Rev. 2010, 23, 35–73. [Google Scholar] [CrossRef]
- Igbinosa, I.H.; Igumbor, E.U.; Aghdasi, F.; Tom, M.; Okoh, A.I. Emerging Aeromonas species infections and their significance in public health. Sci. World J. 2012, 2012, 625023. [Google Scholar] [CrossRef] [PubMed]
- Beaz-Hidalgo, R.; Figueras, M.J. Aeromonas spp. whole genomes and virulence factors implicated in fish disease. J. Fish. Dis. 2013, 36, 371–388. [Google Scholar] [CrossRef] [PubMed]
- Rasmussen-Ivey, C.R.; Figueras, M.J.; McGarey, D.; Liles, M.R. Virulence factors of Aeromonas hydrophila: In the wake of reclassification. Front. Microbiol. 2016, 7, 1337. [Google Scholar] [CrossRef] [PubMed]
- Vivas, J.; Carracedo, B.; Riano, J.; Razquin, B.E.; Lopez-Fierro, P.; Acosta, F.; Naharro, G.; Villena, A.J. Behavior of an Aeromonas hydrophila aroA live vaccine in water microcosms. Appl. Environ. Microbiol. 2004, 70, 2702–2708. [Google Scholar] [CrossRef] [PubMed]
- Froquet, R.; Cherix, N.; Burr, S.E.; Frey, J.; Vilches, S.; Tomas, J.M.; Cosson, P. Alternative host model to evaluate Aeromonas virulence. Appl. Environ. Microbiol. 2007, 73, 5657–5659. [Google Scholar] [CrossRef] [PubMed][Green Version]
- Dong, J.; Ruan, J.; Xu, N.; Yang, Y.B.; Ai, X.H. Expression, purification, and characterization of hemolytic toxin from virulent Aeromonas hydrophila. J. World Aquacult Soc. 2017, 48, 531–536. [Google Scholar] [CrossRef]
- Korkoca, H.; Alan, Y.; Bozari, S.; Berktas, M.; Goz, Y. Detection of putative virulence genes in Aeromonas isolates from humans and animals. J. Infect. Dev. Countr. 2014, 8, 1398–1406. [Google Scholar] [CrossRef]
- Ran, C.; Qin, C.B.; Xie, M.X.; Zhang, J.X.; Li, J.; Xie, Y.D.; Wang, Y.B.; Li, S.N.; Liu, L.H.; Fu, X.Z.; et al. Aeromonas veronii and aerolysin are important for the pathogenesis of motile aeromonad septicemia in cyprinid fish. Environ. Microbiol. 2018, 20, 3442–3456. [Google Scholar] [CrossRef] [PubMed]
- Li, H.; Qin, Y.; Mao, X.; Zheng, W.; Luo, G.; Xu, X.; Zheng, J. Silencing of cyt-c4 led to decrease of biofilm formation in Aeromonas hydrophila. Biosci. Biotechnol. Biochem. 2019, 83, 221–232. [Google Scholar] [CrossRef] [PubMed]
- Zhang, B.; Zhuang, X.; Guo, L.; McLean, R.J.C.; Chu, W. Recombinant N-acyl homoserine lactone-Lactonase AiiAQSI-1 Attenuates Aeromonas hydrophila virulence factors, biofilm formation and reduces mortality in crucian carp. Mar. Drugs 2019, 17, 499. [Google Scholar] [CrossRef]
- Chi, X.L.; Zhang, Z.J.; Xu, X.T.; Zhang, X.B.; Zhao, Z.P.; Liu, Y.M.; Wang, Q.G.; Wang, H.; Li, Y.; Yang, G.; et al. Threatened medicinal plants in China: Distributions and conservation priorities. Biol. Conserv. 2017, 210, 89–95. [Google Scholar] [CrossRef]
- Nazar, S.; Hussain, M.A.; Khan, A.; Muhammad, G.; Bukhari, S.N.A. Alkaloid-rich plant Tylophora indica; current trends in isolation strategies, chemical profiling and medicinal applications. Arab. J. Chem. 2020, 13, 6348–6365. [Google Scholar] [CrossRef]
- Kuete, V. Health effects of alkaloids from African medicinal plants. Toxicol. Surv. Afr. Med. Plants 2014, 2014, 611–633. [Google Scholar]
- Zhang, R.; Wang, X.W.; Zhu, J.Y.; Liu, L.L.; Liu, Y.C.; Zhu, H. Dietary sanguinarine affected immune response, digestive enzyme activity and intestinal microbiota of Koi carp (cryprinus carpiod). Aquaculture 2019, 502, 72–79. [Google Scholar] [CrossRef]
- Fu, Y.; Liu, W.; Liu, M.; Zhang, J.; Yang, M.; Wang, T.; Qian, W. In vitro anti-biofilm efficacy of sanguinarine against carbapenem-resistant Serratia marcescens. Biofouling 2021, 37, 341–351. [Google Scholar] [CrossRef]
- Beuria, T.K.; Santra, M.K.; Panda, D. Sanguinarine blocks cytokinesis in bacteria by inhibiting FtsZ assembly and bundling. Biochemistry 2005, 44, 16584–16593. [Google Scholar] [CrossRef]
- Falchi, F.A.; Borlotti, G.; Ferretti, F.; Pellegrino, G.; Raneri, M.; Schiavoni, M.; Caselli, A.; Briani, F. Sanguinarine Inhibits the 2-Ketogluconate Pathway of Glucose Utilization in Pseudomonas aeruginosa. Front. Microbiol. 2021, 12, 744458. [Google Scholar] [CrossRef]
- Abuelsaad, A.S.A.; Mohamed, I.; Allam, G.; Al-Solumani, A.A. Antimicrobial and immunomodulating activities of hesperidin and ellagic acid against diarrheic Aeromonas hydrophila in a murine model. Life Sci. 2013, 93, 714–722. [Google Scholar] [CrossRef] [PubMed]
- Dong, J.; Qiu, J.Z.; Wang, J.F.; Li, H.E.; Dai, X.H.; Zhang, Y.; Wang, X.; Tan, W.; Niu, X.D.; Deng, X.M.; et al. Apigenin alleviates the symptoms of Staphylococcus aureus pneumonia by inhibiting the production of alpha-hemolysin. FEMS Microbiol. Lett. 2013, 338, 124–131. [Google Scholar] [CrossRef] [PubMed]
- Dong, J.; Ding, H.; Liu, Y.; Yang, Q.; Xu, N.; Yang, Y.; Ai, X. Magnolol protects channel catfish from Aeromonas hydrophila infection via inhibiting the expression of aerolysin. Vet. Microbiol. 2017, 211, 119–123. [Google Scholar] [CrossRef]
- Dong, J.; Zhang, L.; Liu, Y.; Xu, N.; Zhou, S.; Yang, Q.; Yang, Y.; Ai, X. Thymol protects channel catfish from Aeromonas hydrophila infection by inhibiting aerolysin expression and biofilm formation. Microorganisms 2020, 8, 636. [Google Scholar] [CrossRef] [PubMed]
- Rama Devi, K.; Srinivasan, R.; Kannappan, A.; Santhakumari, S.; Bhuvaneswari, M.; Rajasekar, P.; Prabhu, N.M.; Veera Ravi, A. In vitro and in vivo efficacy of rosmarinic acid on quorum sensing mediated biofilm formation and virulence factor production in Aeromonas hydrophila. Biofouling 2016, 32, 1171–1183. [Google Scholar] [CrossRef] [PubMed]
- Clatworthy, A.E.; Pierson, E.; Hung, D.T. Targeting virulence: A new paradigm for antimicrobial therapy. Nat. Chem. Biol. 2007, 3, 541–548. [Google Scholar] [CrossRef] [PubMed]
- Helliwell, R.; Morris, C.; Raman, S. Antibiotic stewardship and its implications for agricultural animal-human relationships: Insights from an intensive dairy farm in England. J. Rural Stud. 2020, 78, 447–456. [Google Scholar] [CrossRef]
- Bello-Lopez, J.M.; Cabrero-Martinez, O.A.; Ibanez-Cervantes, G.; Hernandez-Cortez, C.; Pelcastre-Rodriguez, L.I.; Gonzalez-Avila, L.U.; Castro-Escarpulli, G. Horizontal gene transfer and its association with antibiotic resistance in the Genus Aeromonas spp. Microorganisms 2019, 7, 363. [Google Scholar] [CrossRef]
- Agerso, Y.; Bruun, M.S.; Dalsgaard, I.; Larsen, J.L. The tetracycline resistance gene tet(E) is frequently occurring and present on large horizontally transferable plasmids in Aeromonas spp. from fish farms. Aquaculture 2007, 266, 47–52. [Google Scholar] [CrossRef]
- Bhowmick, U.D.; Bhattacharjee, S. Bacteriological, clinical and virulence aspects of aeromonas-associated diseases in humans. Pol. J. Microbiol. 2018, 67, 137–149. [Google Scholar] [CrossRef]
- Alksne, L.E.; Projan, S.J. Bacterial virulence as a target for antimicrobial chemotherapy. Curr. Opin. Biotech. 2000, 11, 625–636. [Google Scholar] [CrossRef] [PubMed]
- Cirauqui, N.; Abriata, L.A.; van der Goot, F.G.; Dal Peraro, M. Structural, physicochemical and dynamic features conserved within the aerolysin pore-forming toxin family. Sci. Rep. 2017, 7, 1–12. [Google Scholar]
- Degiacomi, M.T.; Lacovache, I.; Pernot, L.; Chami, M.; Kudryashev, M.; Stahlberg, H.; van der Goot, F.G.; Dal Peraro, M. Molecular assembly of the aerolysin pore reveals a swirling membrane-insertion mechanism. Nat. Chem. Biol. 2013, 9, 623–629. [Google Scholar] [CrossRef] [PubMed]
- Zhang, D.; Xu, D.H.; Shoemaker, C.A. Immunization with recombinant aerolysin and haemolysin protected channel catfish against virulent Aeromonas hydrophila. Aquac Res. 2015, 48, 875–882. [Google Scholar] [CrossRef]
- Wang, G.X.; Wang, J.F.; Yuan, J.L.; Shen, Y.H.; Li, L. Activity of sanguinarine from Macleaya cordata to Dactylogyrus and six pathogenic bacteria in aquaculture. Acta Bot. Boreali Occident. Sin. 2007, 27, 1650–1655. [Google Scholar]
- Kang, Y.J.; Yi, Y.l.; Zhang, C.; Wu, S.Q.; Shi, C.B.; Wang, G.X. Bioassay-guided isolation and identification of active compounds from Macleaya microcarpa (Maxim) Fedde against fish pathogenic bacteria. Aquac Res. 2013, 44, 1221–1228. [Google Scholar] [CrossRef]
- Ding, H.; Dong, J.; Song, Y.; Su, Z.; Yu, L.; Ai, X. Antimicrobial and biofilm-eliminated effects of 36 Chinese medicine compounds on Streptococcus agalactiate isolated from tilapia in vitro. Freshw. Fisheries 2019, 49, 71–77. [Google Scholar]
- Wang, X.L.; Yu, J.P.; Fan, J.Y. The in vitro Bacteriostatic Activity of Sanguinarine on Saprolegnia sp. J. Mt. Agric. Biol. 2012, 31, 450–453. [Google Scholar]
- Sun, W.; Yuan, S.; Huang, Q.; Yang, J.; Liu, N.; Zhong, Z. Study on bacteriostasis of Eomecon chionantha alkaloids and sanguinarine. Pract. Prev. Med. 2010, 17, 1864–1866. [Google Scholar]
- Zhang, Q.; Lyu, Y.; Huang, J.; Zhang, X.; Yu, N.; Wen, Z.; Chen, S. Antibacterial activity and mechanism of sanguinarine against Providencia rettgeri in vitro. Peer J 2020, 8, e9543. [Google Scholar] [CrossRef]
- Zhang, Y.; Liu, Y.; Wang, T.; Deng, X.; Chu, X. Natural compound sanguinarine chloride targets the type III secretion system of Salmonella enterica Serovar Typhimurium. Biochem. Biophys. Rep. 2018, 14, 149–154. [Google Scholar] [CrossRef] [PubMed]
- Srinivasan, R.; Devi, K.R.; Santhakumari, S.; Kannappan, A.; Chen, X.; Ravi, A.V.; Lin, X. Anti-quorum sensing and protective efficacies of naringin against Aeromonas hydrophila infection in danio rerio. Front. Microbiol. 2020, 11, 600622. [Google Scholar] [CrossRef] [PubMed]
- Dong, J.; Zhang, L.S.; Liu, Y.T.; Zhou, S.; Yang, Y.B.; Xu, N.; Yang, Q.H.; Ai, X.H. Resveratrol influences the pathogenesis of Aeromonas hydrophila by inhibiting production of aerolysin and biofilm. Food Control 2021, 126, 108083. [Google Scholar] [CrossRef]






| Primer | Sequence | PCR Amplicon (bp) |
|---|---|---|
| aerA-F | 5′-TCTACCACCACCTCCCTGTC-3′ | 218 |
| aerA-R | 5′-GACGAAGGTGTGGTTCCAGT-3′ | |
| ahyI-F | 5′-GTCAGCTCCCACACGTCGTT-3′ | 202 |
| ahyI-R | 5′-GGGATGTGGAATCCCACCGT-3′ | |
| ahyR-R | 5′-CCTGGATGTCCAACTACATCTT-3′ | 206 |
| ahyR-F | 5′-TTTACGGGTGACCTGATTGAG-3′ | |
| 16S rRNA-F | 5′-TAATACCGCATACGCCCTAC-3′ | 164 |
| 16S rRNA-R | 5′-ACCGTGTCTCAGTTCCAGTG-3’ |
Publisher’s Note: MDPI stays neutral with regard to jurisdictional claims in published maps and institutional affiliations. |
© 2022 by the authors. Licensee MDPI, Basel, Switzerland. This article is an open access article distributed under the terms and conditions of the Creative Commons Attribution (CC BY) license (https://creativecommons.org/licenses/by/4.0/).
Share and Cite
Zhang, L.; Ma, L.; Yang, Q.; Liu, Y.; Ai, X.; Dong, J. Sanguinarine Protects Channel Catfish against Aeromonas hydrophila Infection by Inhibiting Aerolysin and Biofilm Formation. Pathogens 2022, 11, 323. https://doi.org/10.3390/pathogens11030323
Zhang L, Ma L, Yang Q, Liu Y, Ai X, Dong J. Sanguinarine Protects Channel Catfish against Aeromonas hydrophila Infection by Inhibiting Aerolysin and Biofilm Formation. Pathogens. 2022; 11(3):323. https://doi.org/10.3390/pathogens11030323
Chicago/Turabian StyleZhang, Lushan, Liang Ma, Qiuhong Yang, Yongtao Liu, Xiaohui Ai, and Jing Dong. 2022. "Sanguinarine Protects Channel Catfish against Aeromonas hydrophila Infection by Inhibiting Aerolysin and Biofilm Formation" Pathogens 11, no. 3: 323. https://doi.org/10.3390/pathogens11030323
APA StyleZhang, L., Ma, L., Yang, Q., Liu, Y., Ai, X., & Dong, J. (2022). Sanguinarine Protects Channel Catfish against Aeromonas hydrophila Infection by Inhibiting Aerolysin and Biofilm Formation. Pathogens, 11(3), 323. https://doi.org/10.3390/pathogens11030323

